Enhancing Transdermal Delivery: Investigating the Impact of Permeation Promoters on Ibuprofen Release and Penetration from Medical Patches—In Vitro Research
Abstract
:1. Introduction
2. Results and Discussion
2.1. Examination of Self-Adhesive Characteristics in a Transdermal Patch with Diverse Enhancers
2.2. Microscopy and Stability Evaluation of Acrylate-Based Transdermal Patches with Various Enhancers
2.3. Microspectroscopy Analysis
2.4. Thermal Properties
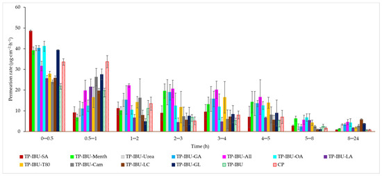
2.5. Permeability, Release, and Accumulation in Skin Studies
3. Materials and Methods
3.1. Materials
3.2. Preparation of Transdermal Patches
3.3. Properties of Transdermal Patches
3.4. Self-Adhesive Properties of Transdermal Patches
3.5. Microscopic Examination and Stability Assessment of Transdermal Patches
3.6. Infrared Microspectroscopy
3.7. In Vitro Skin Permeation, Release, and Accumulation Studies
3.8. Statistical Analysis
4. Conclusions
Supplementary Materials
Author Contributions
Funding
Institutional Review Board Statement
Informed Consent Statement
Data Availability Statement
Conflicts of Interest
References
- Morrow, D.J.; McCarron, P.A.; Woolfson, A.D.; Donnelly, R.F. Innovative Strategies for Enhancing Topical and Transdermal Drug Delivery. Open Drug Deliv. J. 2007, 1, 36–59. [Google Scholar] [CrossRef]
- Benson, H. Transdermal Drug Delivery: Penetration Enhancement Techniques. Curr. Drug Deliv. 2005, 2, 23–33. [Google Scholar] [CrossRef] [PubMed]
- Cal, K. Across Skin Barrier: Known Methods, New Performances. In Frontiers in Drug Design & Discovery; Atta-ur-Rahman, W., Caldwell, G., Iqbal Choudhary, M., Yan, Z., Eds.; Bentham Science Publishers: Bentham, UK, 2012; Volume 4, pp. 162–188. ISBN 978-1-60805-202-8. [Google Scholar]
- Pandey, A.; Gupta, S. Evaluation of Formulated Transdermal Patches. J. Popul. Ther. Clin. Pharmacol. 2021, 30, 793–798. [Google Scholar] [CrossRef]
- Jeong, W.Y.; Kwon, M.; Choi, H.E.; Kim, K.S. Recent advances in transdermal drug delivery systems: A review. Biomater. Res. 2021, 25, 24. [Google Scholar] [CrossRef]
- Ramadon, D.; McCrudden, M.T.C.; Courtenay, A.J.; Donnelly, R.F. Enhancement strategies for transdermal drug delivery systems: Current trends and applications. Drug Deliv. Transl. Res. 2022, 12, 758–791. [Google Scholar] [CrossRef] [PubMed]
- Higo, N. The Recent Trend of Transdermal Drug Delivery System Development. Yakugaku Zasshi 2007, 127, 655–662. [Google Scholar] [CrossRef] [PubMed]
- Yilmaz, E.G.; Ece, E.; Erdem, Ö.; Eş, I.; Inci, F. A Sustainable Solution to Skin Diseases: Ecofriendly Transdermal Patches. Pharmaceutics 2023, 15, 579. [Google Scholar] [CrossRef]
- Salimi, A.; Sheykholeslami, S. The Effect of Herbal Penetration Enhancers on the Skin Permeability of Mefenamic Acid Through Rat Skin. Turk. J. Pharm. Sci. 2023, 20, 108–114. [Google Scholar] [CrossRef] [PubMed]
- Das, A.; Ahmed, A.B. natural permeation enhancer for transdermal drug delivery system and permeation evaluation: A review. Asian J. Pharm. Clin. Res. 2017, 10, 5. [Google Scholar] [CrossRef]
- Wennberg, C.; Lundborg, M.; Lindahl, E.; Norlén, L. Understanding Drug Skin Permeation Enhancers Using Molecular Dynamics Simulations. J. Chem. Inf. Model. 2023, 63, 4900–4911. [Google Scholar] [CrossRef]
- Abdullah, H.M.; Farooq, M.; Adnan, S.; Masood, Z.; Saeed, M.A.; Aslam, N.; Ishaq, W. Development and evaluation of reservoir transdermal polymeric patches for controlled delivery of diclofenac sodium. Polym. Bull. 2023, 80, 6793–6818. [Google Scholar] [CrossRef]
- Bhairam, M.; Prasad, J.; Verma, K.; Jain, P.; Gidwani, B. Formulation of transdermal patch of Losartan Potassium & Glipizide for the treatment of hypertension & diabetes. Mater. Today Proc. 2023, 83, 59–68. [Google Scholar]
- Paudel, K.S.; Milewski, M.; Swadley, C.L.; Brogden, N.K.; Ghosh, P.; Stinchcomb, A.L. Challenges and opportunities in dermal/transdermal delivery. Ther. Deliv. 2010, 1, 109–131. [Google Scholar] [CrossRef] [PubMed]
- Murthy, S.N. Transdermal drug delivery: Approaches and significance. Res. Rep. Transdermal Drug Deliv. 2012, 1, 1–2. [Google Scholar] [CrossRef]
- Dhiman, S.; Singh, T.G.; Rehni, A.K. Transdermal Patches: A Recent Approch to New Drug Delivery System. Int. J. Pharm. Pharm. Sci. 2011, 3, 26–34. [Google Scholar]
- Prausnitz, M.R.; Mitragotri, S.; Langer, R. Current status and future potential of transdermal drug delivery. Nat. Rev. Drug Discov. 2004, 3, 115–124. [Google Scholar] [CrossRef] [PubMed]
- Bolla, P.K.; Clark, B.A.; Juluri, A.; Cheruvu, H.S.; Renukuntla, J. Evaluation of Formulation Parameters on Permeation of Ibuprofen from Topical Formulations Using Strat-M® Membrane. Pharmaceutics 2020, 12, 151. [Google Scholar] [CrossRef]
- Bajaj, S.; Whiteman, A.; Brandner, B. Transdermal drug delivery in pain management. Contin. Educ. Anaesth. Crit. Care Pain 2011, 11, 39–43. [Google Scholar] [CrossRef]
- Wong, W.F.; Ang, K.P.; Sethi, G.; Looi, C.Y. Recent Advancement of Medical Patch for Transdermal Drug Delivery. Medicina 2023, 59, 778. [Google Scholar] [CrossRef]
- Bird, D.; Ravindra, N.M. Transdermal drug delivery and patches—An overview. Med. Devices Sens. 2020, 3, e10069. [Google Scholar] [CrossRef]
- Freynhagen, R.; von Giesen, H.J.; Busche, P.; Sabatowski, R.; Konrad, C.; Grond, S. Switching from Reservoir to Matrix Systems for the Transdermal Delivery of Fentanyl: A Prospective, Multicenter Pilot Study in Outpatients with Chronic Pain. J. Pain Symptom Manag. 2005, 30, 289–297. [Google Scholar] [CrossRef] [PubMed]
- Margetts, L.; Sawyer, R. Transdermal drug delivery: Principles and opioid therapy. Contin. Educ. Anaesth. Crit. Care Pain 2007, 7, 171–176. [Google Scholar] [CrossRef]
- Gupta, R.; Badhe, Y.; Rai, B.; Mitragotri, S. Molecular mechanism of the skin permeation enhancing effect of ethanol: A molecular dynamics study. RSC Adv. 2020, 10, 12234–12248. [Google Scholar] [CrossRef] [PubMed]
- Lam, P.; Gambari, R. Advanced progress of microencapsulation technologies: In vivo and in vitro models for studying oral and transdermal drug deliveries. J. Control Release 2014, 178, 25–45. [Google Scholar] [CrossRef]
- Haq, A.; Michniak-Kohn, B. Effects of solvents and penetration enhancers on transdermal delivery of thymoquinone: Permeability and skin deposition study. Drug Deliv. 2018, 25, 1943–1949. [Google Scholar] [CrossRef] [PubMed]
- Parhi, R.; Mandru, A. Enhancement of skin permeability with thermal ablation techniques: Concept to commercial products. Drug Deliv. Transl. Res. 2021, 11, 817–841. [Google Scholar] [CrossRef] [PubMed]
- Williams, A.C.; Barry, B.W. Penetration enhancers. Adv. Drug Deliv. Rev. 2012, 64, 128–137. [Google Scholar] [CrossRef]
- Sakdiset, P.; Arce, F.J.; See, G.L.; Sawatdee, S.; Sae Yoon, A. Preparation and characterization of lidocaine HCl-loaded proniosome gels with skin penetration enhancers. J. Drug Deliv. Sci. Technol. 2023, 86, 104639. [Google Scholar] [CrossRef]
- Moser, K.; Kriwet, K.; Naik, A.; Kalia, Y.N.; Guy, R.H. Passive skin penetration enhancement and its quantification in vitro. Eur. J. Pharm. Biopharm. 2001, 52, 103–112. [Google Scholar] [CrossRef]
- Song, W.; Quan, P.; Li, S.; Liu, C.; Lv, S.; Zhao, Y.; Fang, L. Probing the role of chemical enhancers in facilitating drug release from patches: Mechanistic insights based on FT-IR spectroscopy, molecular modeling and thermal analysis. J. Control Release 2016, 227, 13–22. [Google Scholar] [CrossRef]
- Ossowicz-Rupniewska, P.; Bednarczyk, P.; Nowak, M.; Nowak, A.; Duchnik, W.; Kucharski, Ł.; Klebeko, J.; Świątek, E.; Bilska, K.; Rokicka, J.; et al. Evaluation of the Structural Modification of Ibuprofen on the Penetration Release of Ibuprofen from a Drug-in-Adhesive Matrix Type Transdermal Patch. Int. J. Mol. Sci. 2022, 23, 7752. [Google Scholar] [CrossRef] [PubMed]
- Cilurzo, F.; Gennari, C.G.M.; Minghetti, P. Adhesive properties: A critical issue in transdermal patch development. Expert Opin. Drug Deliv. 2012, 9, 33–45. [Google Scholar] [CrossRef] [PubMed]
- Ossowicz-Rupniewska, P.; Bednarczyk, P.; Nowak, M.; Nowak, A.; Duchnik, W.; Kucharski, Ł.; Rokicka, J.; Klimowicz, A.; Czech, Z. Sustainable UV-Crosslinkable Acrylic Pressure-Sensitive Adhesives for Medical Application. Int. J. Mol. Sci. 2021, 22, 11840. [Google Scholar] [CrossRef] [PubMed]
- Kopečná, M.; Macháček, M.; Nováčková, A.; Paraskevopoulos, G.; Roh, J.; Vávrová, K. Esters of terpene alcohols as highly potent, reversible, and low toxic skin penetration enhancers. Sci. Rep. 2019, 9, 14617. [Google Scholar] [CrossRef] [PubMed]
- Davies, D.; Ward, R.; Heylings, J. Multi-species assessment of electrical resistance as a skin integrity marker for in vitro percutaneous absorption studies. Toxicol. Vitr. 2004, 18, 351–358. [Google Scholar] [CrossRef] [PubMed]
- Ossowicz, P.; Klebeko, J.; Janus, E.; Nowak, A.; Duchnik, W.; Kucharski, Ł.; Klimowicz, A. The effect of alcohols as vehicles on the percutaneous absorption and skin retention of ibuprofen modified with l-valine alkyl esters. RSC Adv. 2020, 10, 41727–41740. [Google Scholar] [CrossRef]
- Janus, E.; Ossowicz, P.; Klebeko, J.; Nowak, A.; Duchnik, W.; Kucharski, Ł.; Klimowicz, A. Enhancement of ibuprofen solubility and skin permeation by conjugation with l-valine alkyl esters. RSC Adv. 2020, 10, 7570–7584. [Google Scholar] [CrossRef]
- Ossowicz-Rupniewska, P.; Klebeko, J.; Świątek, E.; Bilska, K.; Nowak, A.; Duchnik, W.; Kucharski, Ł.; Struk, Ł.; Wenelska, K.; Klimowicz, A.; et al. Influence of the Type of Amino Acid on the Permeability and Properties of Ibuprofenates of Isopropyl Amino Acid Esters. Int. J. Mol. Sci. 2022, 23, 4158. [Google Scholar] [CrossRef]
- Klebeko, J.; Krüger, O.; Dubicki, M.; Ossowicz-Rupniewska, P.; Janus, E. Isopropyl Amino Acid Esters Ionic Liquids as Vehicles for Non-Steroidal Anti-Inflammatory Drugs in Potential Topical Drug Delivery Systems with Antimicrobial Activity. Int. J. Mol. Sci. 2022, 23, 13863. [Google Scholar] [CrossRef]






| Sample Code | Coat Weight [g/m2] | SWC [%] | Shear Strength | Adhesion [N/25 mm] | Tack [N] |
|---|---|---|---|---|---|
| TP | 32 [32] | 98 [32] | >72 h [32] | 13.60 [32] | 14.00 [32] |
| TP-IBU | 40 [32] | 97 [32] | 10 min/c.f. [32] | 11.90/c.f. [32] | 13.50 [32] |
| TP-SA | 38 | 98 | >72 h | 21.50 | 16.58 |
| TP-Menth | 29 | 99 | >72 h | 16.84 | 16.27 |
| TP-Urea | 31 | 98 | >72 h | 15.03 | 10.25 |
| TP-GA | 37 | 99 | 7 min/c.f. | 22.69 | 11.73 |
| TP-All | 32 | 100 | >72 h | 14.29 | 12.10 |
| TP-OA | 39 | 99 | >72 h | 15.78 | 7.69 |
| TP-LA | 35 | 99 | 12 h 7 min/c.f. | 13.80 | 7.60 |
| TP-T80 | 37 | 99 | >72 h | 10.75 | 11.57 |
| TP-Cam | 31 | 99 | >72 h | 20.71 | 16.35 |
| TP-LC | 33 | 99 | >72 h | 12.30 | 9.01 |
| TP-GL | 31 | 99 | >72 h | 23.33 | 13.82 |
| TP-IBU-SA | 34 | 94 | 26 min/c.f. | 22.24 | 11.30 |
| TP-IBU-Menth | 40 | 92 | 9 min/c.f. | 12.31 | 9.34 |
| TP-IBU-Urea | 31 | 93 | 27 min/c.f. | 6.48 | 1.27 |
| TP-IBU-GA | 26 | 94 | 2 min/c.f. | 11.96 | 12.27 |
| TP-IBU-All | 31 | 91 | 24 min/c.f. | 13.24 | 11.24 |
| TP-IBU-OA | 33 | 93 | 10 min/c.f. | 12.27 | 7.45 |
| TP-IBU-LA | 27 | 96 | 9 min/c.f. | 18.94 | 10.27 |
| TP-IBU-T80 | 38 | 93 | 7 min/c.f. | 14.00 | 11.23/c.f. |
| TP-IBU-Cam | 30 | 93 | 13 min/c.f. | 14.55 | 11.01 |
| TP-IBU-LC | 37 | 94 | 1 min/c.f. | 5.87 | 13.45/c.f. |
| TP-IBU-GL | 26 | 94 | 2 min/c.f. | 11.96 | 12.27 |
| Enhancer | Categorisation | Polarity | Crystallisation Tendencies | Diffusivity |
|---|---|---|---|---|
| SA | beta-hydroxy acid (BHA) and is commonly used in skincare products | moderately polar compound due to its hydroxyl group, making it soluble in both water and lipids | can crystallise under certain conditions, particularly when concentrated or exposed to lower temperatures | has reasonable diffusivity, allowing it to penetrate the skin to some extent |
| Menth | naturally occurring terpene alcohol | moderate polarity and its chemical structure includes a hydroxyl group | can crystallise at lower temperatures or when it becomes concentrated | has relatively good diffusivity, which contributes to its cooling sensation when topically applied |
| Urea | naturally occurring organic compound (diamide) and is often used in skincare for its moisturising properties | polar compound due to its amide functional group and exhibits good water solubility | tends to form crystals under certain conditions, especially when the solution becomes concentrated | has moderate diffusivity and can penetrate the skin to provide hydration |
| GA | alpha-hydroxy acid (AHA) and is used in skincare for its exfoliating properties | polar compound with good water solubility | may crystallise in concentrated solutions | has good diffusivity, which allows it to effectively penetrate the skin and exfoliate |
| All | chemical compound (acylureas) with anti-irritant and skin-soothing properties | moderately polar and exhibits good water solubility | can crystallise when concentrated | moderate diffusivity and can penetrate the skin to provide soothing effects |
| OA | monounsaturated omega-9 fatty acid | moderately polar due to its carboxylic acid group | can crystallise at lower temperatures | moderate diffusivity and can penetrate the skin |
| LA | polyunsaturated fatty acid | moderately polar due to its multiple double bonds | can crystallise under certain conditions | moderate diffusivity and can penetrate the skin |
| T80 | non-ionic surfactant, often used as an emulsifier | Amphiphilic | is not known for crystallisation | enhances the dispersion of other compounds, potentially improving their penetration |
| Cam | terpene and is often used in topical products for its cooling sensation | moderately polar due to its functional groups | can crystallise at lower temperatures | has reasonable diffusivity, contributing to its sensory effects |
| LC | caprolactam compound | moderately polar due to its structure | can crystallise under certain conditions | diffusivity depends on its formulation |
| GL | sugar alcohol | highly polar and hygroscopic, with excellent water solubility | typically does not crystallise | has good diffusivity, and its hygroscopic nature can help maintain skin hydration |
| Sample Code | First Day of Observation (without IBU) | First Day of Observation (with IBU) | Observation after 7 Days (with IBU) | Observation after 3 Months (with IBU) |
|---|---|---|---|---|
| TP-IBU-SA | ![]() | ![]() | ![]() | ![]() |
| TP-IBU-Menth | ![]() | ![]() | ![]() | ![]() |
| TP-IBU-Urea | ![]() | ![]() | ![]() | ![]() |
| TP-IBU-GA | ![]() | ![]() | ![]() | ![]() |
| TP-IBU-All | ![]() | ![]() | ![]() | ![]() |
| TP-IBU-OA | ![]() | ![]() | ![]() | ![]() |
| TP-IBU-LA | ![]() | ![]() | ![]() | ![]() |
| TP-IBU-T80 | ![]() | ![]() | ![]() | ![]() |
| TP-IBU-Cam | ![]() | ![]() | ![]() | ![]() |
| TP-IBU-LC | ![]() | ![]() | ![]() | ![]() |
| TP-IBU-GL | ![]() | ![]() | ![]() | ![]() |
| TP-IBU | ![]() | ![]() | ![]() | ![]() |
| Sample Code | Observation after 7 Days (with IBU) Patches not Protected with Siliconized Foil | Observation after 3 Months (with IBU) Patches not Protected with Siliconized Foil |
|---|---|---|
| TP-IBU-Menth | ![]() | ![]() |
| TP-IBU-All | ![]() | ![]() |
| TP-IBU-OA | ![]() | ![]() |
| TP-IBU-LC | ![]() | ![]() |
| TP-IBU-GL | ![]() | ![]() |
| Sample Code | TIDT (°C) | Td50% (°C) | TMDT (°C) | Tg (°C) |
|---|---|---|---|---|
| TP | 318.1 | 360.0 | 365.3 | −45.98 [33] |
| TP-IBU | 172.5 | 350.4 | 381.8 | −51.88 [33] |
| TP-IBU-SA | 159.0 | 352.0 | 373.7 | −52.20 |
| TP-IBU-Menth | 163.6 | 336.9 | 369.7 | −51.77 |
| TP-IBU-Urea | 167.6 | 355.0 | 380.5 | −51.15 |
| TP-IBU-GA | 164.8 | 336.3 | 360.8 | −52.09 |
| TP-IBU-All | 178.0 | 351.3 | 383.1 | −52.48 |
| TP-IBU-OA | 173.7 | 344.2 | 376.3 | −55.68 |
| TP-IBU-LA | 164.9 | 351.9 | 370.1 | −50.62 |
| TP-IBU-T80 | 170.1 | 358.1 | 372.9 | −53.56 |
| TP-IBU-Cam | 166.4 | 347.1 | 357.1 | −51.54 |
| TP-IBU-LC | 174.0 | 337.4 | 331.9 | −53.81 |
| TP-IBU-GL | 161.0 | 344.3 | 370.4 | −52.17 |
| Sample Code | Cumulative Permeation Mass [µg/cm2] | JSS [µg/cm2∙h] | KP∙103 [cm/h] | Q%24 h |
|---|---|---|---|---|
| TP-IBU | 68.386 ± 1.210 | 7.66 ± 0.24 | 5.36 ± 0.19 | 4.79 ± 0.27 |
| TP-IBU-SA | 87.259 ± 1.425 * | 10.03 ± 0.28 | 7.02 ± 0.20 | 6.11 ± 0.10 |
| TP-IBU-Menth | 119.463 ± 4.413 * | 13.13 ± 0.27 | 9.19 ± 0.19 | 8.36 ± 0.31 |
| TP-IBU-Urea | 129.762 ± 8.961 * | 15.65 ± 0.36 | 10.96 ± 0.27 | 9.08 ± 0.22 |
| TP-IBU-GA | 150.278 ± 6.226 * | 16.00 ± 0.27 | 11.20 ± 0.37 | 10.05 ± 0.44 |
| TP-IBU-All | 157.861 ± 9.423 * | 21.27 ± 0.48 | 14.89 ± 0.38 | 11.05 ± 0.21 |
| TP-IBU-OA | 163.306 ± 24.418 * | 11.47 ± 0.28 | 8.03 ± 0.25 | 11.43 ± 0.37 |
| TP-IBU-LA | 89.856 ± 2.466 * | 6.94 ± 0.24 | 4.86 ± 0.27 | 6.29 ± 0.44 |
| TP-IBU-T80 | 122.473 ± 0.120 * | 14.15 ± 0.49 | 9.90 ± 0.54 | 8.57 ± 0.35 |
| TP-IBU-Cam | 113.804 ± 16.655 * | 14.42 ± 0.43 | 10.08 ± 0.70 | 7.96 ± 0.40 |
| TP-IBU-LC | 144.114 ± 0.524 * | 6.73 ± 0.29 | 4.71 ± 0.20 | 10.09 ± 0.28 |
| TP-IBU-GL | 126.337 ± 13.193 * | 6.97 ± 0.44 | 4.87 ± 0.43 | 8.84 ± 0.35 |
| CP | 83.705 ± 7.184 | 8.79 ± 0.31 | 6.15 ± 0.22 | 5.96 ± 0.37 |
| Adhesive | Permeation Promoter | Solvent | Ibuprofen (1) | |||||
|---|---|---|---|---|---|---|---|---|
| Sample Code | Symbol | Weight [g] | Symbol | Weight [g] | Symbol | m1 | weight [g] | m2 |
| TP | DT54 | 9.8 | - | 0.2 | - | - | - | - |
| TP-IBU | - | - | - | - | - | |||
| TP-SA | SA | OE | 1:9 | - | - | |||
| TP-Menth | Menth | OE | 1:6 | - | - | |||
| TP-Urea | Urea | EtOH | 1:9 | - | - | |||
| TP-GA | GA | Ac | 1:5 | - | - | |||
| TP-All | All | EtOH | 1:9 | - | - | |||
| TP-OA | OA | - | - | - | - | |||
| TP-LA | LA | - | - | - | - | |||
| TP-T80 | T80 | - | - | - | - | |||
| TP-Cam | Cam | OE | 1:2 | - | - | |||
| TP-LC | LC | - | - | - | - | |||
| TP-GL | GL | - | - | - | - | |||
| TP-IBU-SA | DT54 | 9.02 | SA | 0.18 | OE | 1:9 | 2 | 1:1 |
| TP-IBU-Menth | Menth | OE | 1:6 | |||||
| TP-IBU-Urea | Urea | EtOH | 1:9 | |||||
| TP-IBU-GA | GA | Ac | 1:5 | |||||
| TP-IBU-All | All | EtOH | 1:9 | |||||
| TP-IBU-OA | OA | - | - | |||||
| TP-IBU-LA | LA | - | - | |||||
| TP-IBU-T80 | T80 | - | - | |||||
| TP-IBU-Cam | Cam | OE | 1:2 | |||||
| TP-IBU-LC | LC | - | - | |||||
| TP-IBU-GL | GL | - | - | |||||
Disclaimer/Publisher’s Note: The statements, opinions and data contained in all publications are solely those of the individual author(s) and contributor(s) and not of MDPI and/or the editor(s). MDPI and/or the editor(s) disclaim responsibility for any injury to people or property resulting from any ideas, methods, instructions or products referred to in the content. |
© 2023 by the authors. Licensee MDPI, Basel, Switzerland. This article is an open access article distributed under the terms and conditions of the Creative Commons Attribution (CC BY) license (https://creativecommons.org/licenses/by/4.0/).
Share and Cite
Bednarczyk, P.; Nowak, A.; Duchnik, W.; Kucharski, Ł.; Ossowicz-Rupniewska, P. Enhancing Transdermal Delivery: Investigating the Impact of Permeation Promoters on Ibuprofen Release and Penetration from Medical Patches—In Vitro Research. Int. J. Mol. Sci. 2023, 24, 15632. https://doi.org/10.3390/ijms242115632
Bednarczyk P, Nowak A, Duchnik W, Kucharski Ł, Ossowicz-Rupniewska P. Enhancing Transdermal Delivery: Investigating the Impact of Permeation Promoters on Ibuprofen Release and Penetration from Medical Patches—In Vitro Research. International Journal of Molecular Sciences. 2023; 24(21):15632. https://doi.org/10.3390/ijms242115632
Chicago/Turabian StyleBednarczyk, Paulina, Anna Nowak, Wiktoria Duchnik, Łukasz Kucharski, and Paula Ossowicz-Rupniewska. 2023. "Enhancing Transdermal Delivery: Investigating the Impact of Permeation Promoters on Ibuprofen Release and Penetration from Medical Patches—In Vitro Research" International Journal of Molecular Sciences 24, no. 21: 15632. https://doi.org/10.3390/ijms242115632
APA StyleBednarczyk, P., Nowak, A., Duchnik, W., Kucharski, Ł., & Ossowicz-Rupniewska, P. (2023). Enhancing Transdermal Delivery: Investigating the Impact of Permeation Promoters on Ibuprofen Release and Penetration from Medical Patches—In Vitro Research. International Journal of Molecular Sciences, 24(21), 15632. https://doi.org/10.3390/ijms242115632



























































