FOXO3 Depletion as a Marker of Compression-Induced Apoptosis in the Ligature Mark: An Immunohistochemical Study
Abstract
1. Introduction
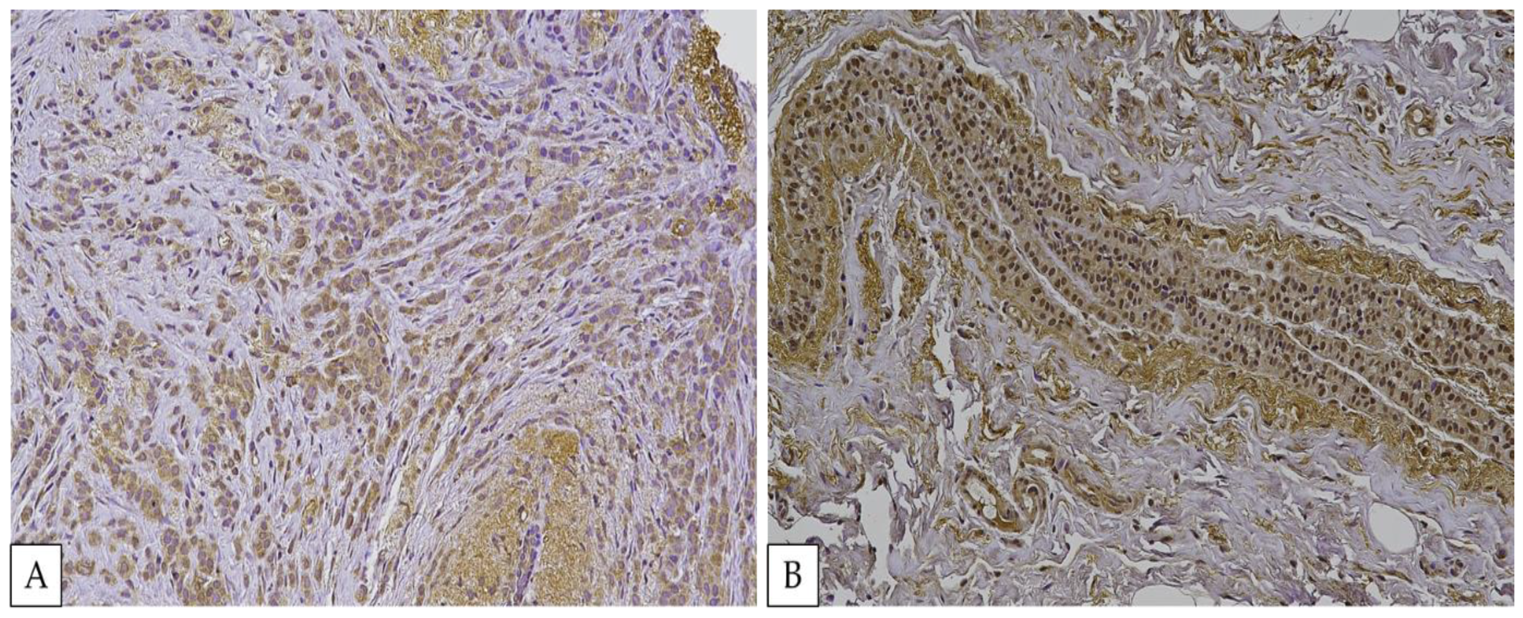
2. Results
3. Discussion
4. Materials and Methods
4.1. Study Group Selection and Samples Collection
4.2. Histological and Immunohistochemical Analysis
4.3. Quantitative Analysis
4.4. Statistical Analysis
5. Conclusions
Author Contributions
Funding
Institutional Review Board Statement
Informed Consent Statement
Data Availability Statement
Conflicts of Interest
References
- Maiese, A.; Manetti, A.C.; Iacoponi, N.; Mezzetti, E.; Turillazzi, E.; Di Paolo, M.; La Russa, R.; Frati, P.; Fineschi, V. State of-the-Art on Wound Vitality Evaluation: A Systematic Review. Int. J. Mol. Sci. 2022, 23, 6881. [Google Scholar] [CrossRef]
- Turillazzi, E.; Vacchiano, G.; Luna-Maldonado, A.; Neri, M.; Pomara, C.; Rabozzi, R.; Riezzo, I.; Fineschi, V. Tryptase, CD15 and IL-15 as reliable markers for the determination of soft and hard ligature marks vitality. Histol. Histopathol. 2010, 25, 1539–1546. [Google Scholar] [CrossRef] [PubMed]
- Dettmeyer, R.B. Forensic Histopathology: Fundamentals and Perspectives, 1st ed.; Springer: Berlin/Heidelberg, Germany, 2011. [Google Scholar]
- Balandiz, H.; Pehlivan, S.; Çiçek, A.F.; Tuğcu, H. Evaluation of Vitality in the Experimental Hanging Model of Rats by Using Immunohistochemical IL-1β Antibody Staining. Am. J. Forensic Med. Pathol. 2015, 36, 317–322. [Google Scholar] [CrossRef]
- Chandrakanth, H.V.; Pramod Kumar, G.N.; Arud, M.; Suraj, S.; Sapna, P.; Balaraj, B.M. Compression injuries of neck: A microscopic analysis of skin and subcutaneous tissues. Ind. J. Forensic Med. Pathol. 2012, 5, 5–8. [Google Scholar]
- Ashok Kumar, S. New Trends in Hanging Death. J. Indian Acad. Forensic Med. 2012, 34, 37–39. [Google Scholar]
- Ishida, Y.; Kuninaka, Y.; Nosaka, M.; Shimada, E.; Hata, S.; Yamamoto, H.; Hashizume, Y.; Kimura, A.; Furukawa, F.; Kondo, T. Forensic application of epidermal AQP3 expression to determination of wound vitality in human compressed neck skin. Int. J. Leg. Med. 2018, 132, 1375–1380. [Google Scholar] [CrossRef]
- Ye, M.Y.; Xu, D.; Liu, J.C.; Lyu, H.P.; Xue, Y.; He, J.T.; Huang, H.Y.; Zhang, K.K.; Xie, X.L.; Wang, Q. IL-6 and IL-20 as potential markers for vitality of skin contusion. J. Forensic Leg. Med. 2018, 59, 8–12. [Google Scholar] [CrossRef] [PubMed]
- He, J.T.; Huang, H.Y.; Qu, D.; Xue, Y.; Zhang, K.K.; Xie, X.L.; Wang, Q. CXCL1 and CXCR2 as potential markers for vital reactions in skin contusions. Forensic Sci. Med. Pathol. 2018, 14, 174–179. [Google Scholar] [CrossRef]
- Neri, M.; Fabbri, M.; D’Errico, S.; Di Paolo, M.; Frati, P.; Gaudio, R.M.; La Russa, R.; Maiese, A.; Marti, M.; Pinchi, E.; et al. Regulation of miRNAs as new tool for cutaneous vitality lesions demonstration in ligature marks in deaths by hanging. Sci. Rep. 2019, 9, 20011. [Google Scholar] [CrossRef]
- Maiese, A.; Scatena, A.; Costantino, A.; Di Paolo, M.; La Russa, R.; Turillazzi, E.; Frati, P.; Fineschi, V. MicroRNAs as Useful Tools to Estimate Time Since Death. A Systematic Review of Current Literature. Diagnostics 2021, 11, 64. [Google Scholar] [CrossRef]
- Maiese, A.; de Matteis, A.; Bolino, G.; Turillazzi, E.; Frati, P.; Fineschi, V. Hypo-Expression of Flice-Inhibitory Protein and Activation of the Caspase-8 Apoptotic Pathways in the Death-Inducing Signaling Complex Due to Ischemia Induced by the Compression of the Asphyxiogenic Tool on the Skin in Hanging Cases. Diagnostics 2020, 10, 938. [Google Scholar] [CrossRef]
- Qu, D.; Tan, X.H.; Zhang, K.; Wang, Q.; Wang, H.J. ATF3 mRNA, but not BTG2, as a possible marker for vital reaction of skin contusion. Forensic Sci. Int. 2019, 303, 109937. [Google Scholar] [CrossRef]
- Fu, Z.; Tindall, D.J. FOXOs, cancer and regulation of apoptosis. Oncogene 2008, 27, 2312–2319. [Google Scholar] [CrossRef] [PubMed]
- Calnan, D.R.; Brunet, A. The FoxO code. Oncogene 2008, 27, 2276–2288. [Google Scholar] [CrossRef] [PubMed]
- Kaestner, K.H.; Knochel, W.; Martinez, D.E. Unified nomenclature for the winged helix/forkhead transcription factors. Genes Dev. 2000, 14, 142–146. [Google Scholar] [CrossRef] [PubMed]
- Wang, J.; Liu, S.; Yin, Y.; Li, M.; Wang, B.; Yang, L. FOXO3-mediated up-regulation of Bim contributes to rhein-induced cancer cell apoptosis. Apoptosis 2015, 20, 399–409. [Google Scholar] [CrossRef] [PubMed]
- Wang, X.; Chen, W.R.; Xing, D. A pathway from JNK through decreased ERK and Akt activities for FOXO3a nuclear translocation in response to UV irradiation. J. Cell Physiol. 2012, 227, 1168–1178. [Google Scholar] [CrossRef] [PubMed]
- Yang, J.Y.; Zong, C.S.; Xia, W.; Yamaguchi, H.; Ding, Q.; Xie, X.; Lang, J.Y.; Lai, C.C.; Chang, C.J.; Huang, W.C.; et al. ERK promotes tumorigenesis by inhibiting FOXO3a via MDM2-mediated degradation. Nat. Cell Biol. 2008, 10, 138–148. [Google Scholar] [CrossRef] [PubMed]
- Burgering, B.M.T.; Medema, R.H. Decisions on life and death: FOXO Forkhead transcription factors are in command when PKB/Akt is off duty. J. Leukoc. Biol. 2003, 73, 689–701. [Google Scholar] [CrossRef]
- Ekoff, M.; Kaufmann, T.; Engström, M.; Motoyama, N.; Villunger, A.; Jönsson, J.I.; Strasser, A.; Nilsson, G. The BH3-only protein Puma plays an essential role in cytokine deprivation induced apoptosis of mast cells. Blood 2007, 110, 3209–3217. [Google Scholar] [CrossRef]
- Skurk, C.; Maatz, H.; Kim, H.S.; Yang, J.; Abid, M.R.; Aird, W.C.; Walsh, K. The Akt-regulated forkhead transcription factor FOXO3a controls endothelial cell viability through modulation of the caspase-8 inhibitor FLIP. J. Biol. Chem. 2004, 279, 1513–1525. [Google Scholar] [CrossRef] [PubMed]
- Safa, A.R. c-FLIP, a master anti-apoptotic regulator. Exp. Oncol. 2012, 34, 176–184. [Google Scholar] [PubMed]
- Habashy, H.O.; Rakha, E.A.; Aleskandarany, M.; Ahmed, M.A.; Green, A.R.; Ellis, I.O.; Powe, D.G. FOXO3a nuclear localisation is associated with good prognosis in luminal-like breast cancer. Breast Cancer Res. Treat. 2011, 129, 11–21. [Google Scholar] [CrossRef] [PubMed]
- Krol, J.; Francis, R.E.; Albergaria, A.; Sunters, A.; Polychronis, A.; Coombes, R.C.; Lam, E.W. The transcription factor FOXO3a is a crucial cellular target of gefitinib (Iressa) in breast cancer cells. Mol. Cancer Ther. 2007, 6, 3169–3179. [Google Scholar] [CrossRef]
- Park, S.J.; Sohn, H.Y.; Yoon, J.; Park, S.I. Down-regulation of FoxO-dependent c-FLIP expression mediates TRAIL-induced apoptosis in activated hepatic stellate cells. Cell. Signal. 2009, 21, 1495–1503. [Google Scholar] [CrossRef]
- Song, S.S.; Ying, J.F.; Zhang, Y.N.; Pan, H.Y.; He, X.L.; Hu, Z.M.; Wang, H.J.; Dou, X.B.; Mou, X.Z. High expression of FOXO3 is associated with poor prognosis in patients with hepatocellular carcinoma. Oncol. Lett. 2020, 19, 3181–3188. [Google Scholar] [CrossRef]
- Cornforth, A.N.; Davis, J.S.; Khanifar, E.; Nastiuk, K.L.; Krolewski, J.J. FOXO3a mediates the androgen-dependent regulation of FLIP and contributes to TRAIL-induced apoptosis of LNCaP cells. Oncogene 2008, 27, 4422–4433. [Google Scholar] [CrossRef]
- Kataoka, T. The Caspase-8 Modulator c-FLIP. Crit. Rev. Immunol. 2005, 25, 31–58. [Google Scholar] [CrossRef]
- Hughes, M.A.; Powley, I.R.; Jukes-Jones, R.; Horn, S.; Feoktistova, M.; Fairall, L.; Schwabe, J.W.; Leverkus, M.; Cain, K.; MacFarlane, M. Co-operative and Hierarchical Binding of c-FLIP and Caspase-8: A Unified Model Defines How c-FLIP Isoforms Differentially Control Cell Fate. Mol. Cell. 2016, 61, 834–849. [Google Scholar] [CrossRef]
- Ghosh, A.P.; Klocke, B.J.; Ballestas, M.E.; Roth, K.A. CHOP Potentially Co-Operates with FOXO3a in Neuronal Cells to Regulate PUMA and BIM Expression in Response to ER Stress. PloS ONE 2012, 7, e39586. [Google Scholar] [CrossRef]
- Liu, Y.; Ao, X.; Ding, W.; Ponnusamy, M.; Wu, W.; Hao, X.; Yu, W.; Wang, Y.; Li, P.; Wang, J. Critical role of FOXO3a in carcinogenesis. Mol. Cancer. 2018, 17, 104. [Google Scholar] [CrossRef]
- Maiese, A.; Del Duca, F.; Santoro, P.; Pellegrini, L.; De Matteis, A.; La Russa, R.; Frati, P.; Fineschi, V. An Overview on Actual Knowledge About Immunohistochemical and Molecular Features of Vitality, Focusing on the Growing Evidence and Analysis to Distinguish Between Suicidal and Simulated Hanging. Front. Med. 2022, 8, 793539. [Google Scholar] [CrossRef] [PubMed]
- Ros, A.C.; Bacci, S.; Luna, A.; Legaz, I. Forensic Impact of the Omics Science Involved in the Wound: A Systematic Review. Front. Med. 2022, 8, 786798. [Google Scholar] [CrossRef] [PubMed]
- Legaz Pérez, I.; Falcón, M.; Gimenez, M.; Diaz, F.M.; Pérez-Cárceles, M.D.; Osuna, E.; Nuno-Vieira, D.; Luna, A. Diagnosis of Vitality in Skin Wounds in the Ligature Marks Resulting From Suicide Hanging. Am. J. Forensic Med. Pathol. 2017, 38, 211–218. [Google Scholar] [CrossRef] [PubMed]
- De Matteis, A.; dell’Aquila, M.; Maiese, A.; Frati, P.; La Russa, R.; Bolino, G.; Fineschi, V. The Troponin-I fast skeletal muscle is reliable marker for the determination of vitality in the suicide hanging. Forensic Sci. Int. 2019, 301, 284–288. [Google Scholar] [CrossRef] [PubMed]
- Manetti, A.C.; Maiese, A.; Di Paolo, M.; De Matteis, A.; La Russa, R.; Turillazzi, E.; Frati, P.; Fineschi, V. MicroRNAs and Sepsis-Induced Cardiac Dysfunction: A Systematic Review. Int. J. Mol. Sci. 2020, 22, 321. [Google Scholar] [CrossRef]
- Zhao, X.C.; Cao, X.C.; Liu, F.; Quan, M.F.; Ren, K.Q.; Cao, J.G. Regulation of the FOXO3a/Bim signaling pathway by 5,7-dihydroxy-8-nitrochrysin in MDA-MB-453 breast cancer cells. Oncol. Lett. 2013, 5, 929–934. [Google Scholar] [CrossRef] [PubMed]
- Maiese, A.; Gitto, L.; Dell’Aquila, M.; Bolino, G. When the hidden features become evident: The usefulness of PMCT in a strangulation-related death. Leg. Med. 2014, 16, 364–366. [Google Scholar] [CrossRef]
- Gauchotte, G.; Bochnakian, A.; Campoli, P.; Lardenois, E.; Brix, M.; Simon, E.; Colomb, S.; Martrille, L.; Peyron, P.A. Myeloperoxydase and CD15 With Glycophorin C Double Staining in the Evaluation of Skin Wound Vitality in Forensic Practice. Front. Med. 2022, 9, 910093. [Google Scholar] [CrossRef]
- De Simone, S.; Giacani, E.; Bosco, M.A.; Vittorio, S.; Ferrara, M.; Bertozzi, G.; Cipolloni, L.; La Russa, R. The Role of miR-NAs as New Molecular Biomarkers for Dating the Age of Wound Production: A Systematic Review. Front. Med. 2022, 8, 803067. [Google Scholar] [CrossRef]



| Case Number | Sex | Staining Intensity | Hanging Material | Type of Hanging | Knot Position |
|---|---|---|---|---|---|
| 1 | M | −3 | Soft | Complete | Occipital |
| 2 | F | −3 | Soft | Incomplete | Occipital |
| 3 | M | −2 | Soft | Complete | Right/Left side of the neck |
| 4 | M | −3 | Hard | Incomplete | Right/Left side of the neck |
| 5 | M | −3 | Hard | Complete | Occipital |
| 6 | M | −3 | Soft | Complete | Occipital |
| 7 | F | −3 | Hard | Incomplete | Occipital |
| 8 | F | −2 | Soft | Complete | Right/Left side of the neck |
| 9 | F | −3 | Soft | Complete | Right/Left side of the neck |
| 10 | M | −3 | Soft | Complete | Right/Left side of the neck |
| 11 | M | −2 | Soft | Complete | Right/Left side of the neck |
| 12 | F | −3 | Soft | Incomplete | Right/Left side of the neck |
| 13 | M | −3 | Hard | Complete | Right/Left side of the neck |
| 14 | M | −3 | Hard | Complete | Right/Left side of the neck |
| 15 | M | −3 | Hard | Incomplete | Right/Left side of the neck |
| 16 | F | −2 | Soft | Complete | Occipital |
| 17 | M | −3 | Hard | Complete | Occipital |
| 18 | M | −3 | Hard | Incomplete | Right/Left side of the neck |
| 19 | M | −3 | Soft | Complete | Right/Left side of the neck |
| 20 | F | −3 | Hard | Complete | Right/Left side of the neck |
| 21 | F | −3 | Hard | Complete | Right/Left side of the neck |
| Grade | Interpretation |
|---|---|
| 0 | No loss of staining (positivity) |
| −1 | Minimal decrease in staining compared to normally stained tissue |
| −2 | A clear decrease in staining with some positivity (brown color) remaining |
| −3 | No positive staining |
Disclaimer/Publisher’s Note: The statements, opinions and data contained in all publications are solely those of the individual author(s) and contributor(s) and not of MDPI and/or the editor(s). MDPI and/or the editor(s) disclaim responsibility for any injury to people or property resulting from any ideas, methods, instructions or products referred to in the content. |
© 2023 by the authors. Licensee MDPI, Basel, Switzerland. This article is an open access article distributed under the terms and conditions of the Creative Commons Attribution (CC BY) license (https://creativecommons.org/licenses/by/4.0/).
Share and Cite
Maiese, A.; Manetti, A.C.; Santoro, P.; Del Duca, F.; De Matteis, A.; Turillazzi, E.; Frati, P.; Fineschi, V. FOXO3 Depletion as a Marker of Compression-Induced Apoptosis in the Ligature Mark: An Immunohistochemical Study. Int. J. Mol. Sci. 2023, 24, 1396. https://doi.org/10.3390/ijms24021396
Maiese A, Manetti AC, Santoro P, Del Duca F, De Matteis A, Turillazzi E, Frati P, Fineschi V. FOXO3 Depletion as a Marker of Compression-Induced Apoptosis in the Ligature Mark: An Immunohistochemical Study. International Journal of Molecular Sciences. 2023; 24(2):1396. https://doi.org/10.3390/ijms24021396
Chicago/Turabian StyleMaiese, Aniello, Alice Chiara Manetti, Paola Santoro, Fabio Del Duca, Alessandra De Matteis, Emanuela Turillazzi, Paola Frati, and Vittorio Fineschi. 2023. "FOXO3 Depletion as a Marker of Compression-Induced Apoptosis in the Ligature Mark: An Immunohistochemical Study" International Journal of Molecular Sciences 24, no. 2: 1396. https://doi.org/10.3390/ijms24021396
APA StyleMaiese, A., Manetti, A. C., Santoro, P., Del Duca, F., De Matteis, A., Turillazzi, E., Frati, P., & Fineschi, V. (2023). FOXO3 Depletion as a Marker of Compression-Induced Apoptosis in the Ligature Mark: An Immunohistochemical Study. International Journal of Molecular Sciences, 24(2), 1396. https://doi.org/10.3390/ijms24021396

