Structural Characterization of Murine Phosphodiesterase 5 Isoforms and Involvement of Cysteine Residues in Supramolecular Assembly
Abstract
1. Introduction
2. Results
2.1. Quaternary Structure of MmPDE5A1, A2 and A3
2.2. Structural Effects of Reducing and Oxidizing Agents
2.3. Characterization of Cys Involved in D3 Stabilization
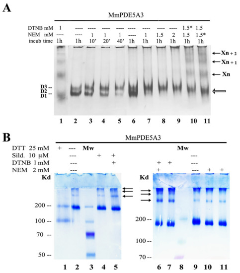
2.4. Effect of the Covalent Modification of Cys on the Quaternary Assembly of MmPDE5A3
2.5. Localization of Reactive Cys Using Mass Spectrometry (MS)
3. Discussion
4. Materials and Methods
4.1. Strains, Media and Vectors
4.2. Size Exclusion Chromatography Linked to Small-Angle X-ray Scattering (SEC-SAXS)
4.3. Transmission Electron Microscopy
4.4. PDE Enzymatic Assays
4.5. Native Polyacrylamide Gel Electrophoresis (PAGE)
4.6. Titration of Free SH Using Ellman’s Method
4.7. Mass Spectrometry Analysis
5. Conclusions
Supplementary Materials
Author Contributions
Funding
Institutional Review Board Statement
Informed Consent Statement
Data Availability Statement
Acknowledgments
Conflicts of Interest
References
- Bender, A.T.; Beavo, J.A. Cyclic nucleotide phosphodiesterases: Molecular regulation to clinical use. Pharmacol. Rev. 2006, 3, 488–520. [Google Scholar] [CrossRef] [PubMed]
- Lugnier, C. Cyclic nucleotide phosphodiesterase (PDE) superfamily: A new target for the development of specific therapeutic agents. Pharmacol. Ther. 2006, 109, 366–398. [Google Scholar] [CrossRef] [PubMed]
- Lin, C.S.; Lin, G.; Xin, Z.C.; Lue, T.F. Expression, distribution and regulation of phosphodiesterase 5. Curr. Pharm. Des. 2006, 12, 3439–3457. [Google Scholar] [CrossRef] [PubMed]
- Keravis, T.; Lugnier, C. Cyclic nucleotide phosphodiesterase (PDE) isozymes as targets of the intracellular signalling network: Benefits of PDE inhibitors in various diseases and perspectives for future therapeutic development. Br. J. Pharmacol. 2012, 165, 1288–1305. [Google Scholar] [CrossRef] [PubMed]
- Maurice, D.H.; Ke, H.; Ahmad, F.; Wang, Y.; Chung, J.; Manganiello, V.C. Advances in targeting cyclic nucleotide phosphodiesterases. Nat. Rev. Drug Discov. 2014, 13, 290–314. [Google Scholar] [CrossRef]
- Ioakeimidis, N.; Kostos, J.B. Pharmacologic therapy for erectile dysfunction and its interaction with the cardiovascular system. J. Cardiovasc. Pharmacol. Ther. 2014, 19, 53–64. [Google Scholar] [CrossRef]
- Prickaerts, J.; Sik, A.; van Staveren, W.C.; Koopmans, G.; Steinbusch, H.W.; van der Staay, F.J.; de Vente, J.; Blokland, A. Phosphodiesterase type 5 inhibition improves early memory consolidation of object information. Neurochem. Int. 2004, 45, 915–928. [Google Scholar] [CrossRef]
- Tsai, E.J.; Kass, D.A. Cyclic GMP signaling in cardiovascular pathophysiology and therapeutics. Pharmacol. Ther. 2009, 122, 216–238. [Google Scholar] [CrossRef]
- Giorgi, M.; Pompili, A.; Cardarelli, S.; Castelli, V.; Biagioni, S.; Sancesario, G.; Gasbarri, A. Zaprinast impairs spatial memory by increasing PDE5 expression in the rat hippocampus. Behav. Brain Res. 2015, 278, 129–136. [Google Scholar] [CrossRef]
- Sponziello, M.; Verrienti, A.; Rosignolo, F.; De Rose, R.F.; Pecce, V.; Maggisano, V.; Durante, C.; Bullotta, S.; Damante, G.; Giacomelli, L.; et al. PDE5 expression in human thyroid tumors and effects of PDE5 inhibitors on growth and migration of cancer cells. Endocrine 2015, 50, 434–441. [Google Scholar] [CrossRef]
- Giannetta, E.; Isidori, A.; Galea, N.; Carbone, I.; Mandosi, E.; Vizza, C.D.; Naro, F.; Morano, S.; Fedele, F.; Lenzi, A. Chronic inhibition of cGMP phosphodiesterase5A improves diabetic cardiomyopathy. A randomized, controlled clinical trial using magnetic resonance imaging with myocardial tagging. Circulation 2012, 125, 2323–2333. [Google Scholar] [CrossRef] [PubMed]
- Giorgi, M.; Cardarelli, S.; Ragusa, F.; Saliola, M.; Biagioni, S.; Poiana, G.; Naro, F.; Massimi, M. Phosphodiesterase Inhibitors: Could They Be Beneficial for the Treatment of COVID-19? Int. J. Mol. Sci. 2020, 21, 5338. [Google Scholar] [CrossRef]
- Cardarelli, S.; Giorgi, M.; Naro, F.; Malatesta, F.; Biagioni, S.; Saliola, M. Use of the KlADH3 promoter for the quantitative production of the murine PDE5A isoforms in the yeast Kluyveromyces lactis. Microb. Cell Factories 2017, 16, 159. [Google Scholar] [CrossRef] [PubMed]
- Cardarelli, S.; Miele, A.E.; Zamparelli, C.; Biagioni, S.; Naro, F.; Malatesta, F.; Giorgi, M.; Saliola, M. The oligomeric assembly of the phosphodiesterase-5 is a mixture of dimers and tetramers: A putative role in the regulation of function. Biochim. Biophys. Acta Gen. Subj. 2018, 1862, 2183–2190. [Google Scholar] [CrossRef] [PubMed]
- Campolo, F.; Zevini, A.; Cardarelli, S.; Monaco, L.; Barbagallo, F.; Pellegrini, M.; Cornacchione, M.; Di Grazia, A.; De Arcangelis, V.; Gianfrilli, D.; et al. Identification of murine phosphodiesterase 5A isoforms and their functional characterization in HL-1 cardiac cell line. J. Cell. Physiol. 2018, 233, 325–337. [Google Scholar] [CrossRef]
- Cardarelli, S.; Miele, A.E.; Campolo, F.; Massimi, M.; Mancini, P.; Biagioni, S.; Naro, F.; Giorgi, M.; Saliola, M. Cellular redox metabolism is modulated by the distinct localization of cyclic nucleotide phosphodiesterase 5A isoforms. Int. J. Mol. Sci. 2022, 23, 8587. [Google Scholar] [CrossRef]
- Goffrini, P.; Algeri, A.A.; Donnini, C.; Wésolowski-Louvel, M.; Ferrero, I. RAG1 and RAG2: Nuclear genes involved in the dependence/independence on mitochondrial respiratory function for growth on sugar. Yeast 1981, 5, 99–105. [Google Scholar] [CrossRef]
- Wésolowski–Louvel, M.; Prior, C.; Bornecque, D.; Fukuhara, H. Rag− mutations involved in glucose metabolism in yeast: Isolation and genetic characterization. Yeast 1992, 8, 711–719. [Google Scholar] [CrossRef]
- Corbin, J.D.; Francis, S.H.; Zoraghi, R. Allosteric-site and catalytic-site ligand effect on PDE5 functions are associated with distinct changes in physical form of the enzyme. Cell. Signal. 2009, 21, 1768–1774. [Google Scholar] [CrossRef]
- Corbin, J.D.; Francis, S.H. Conformation conversion of PDE5 by incubation with sildefil or metal ion is accompanied by stimulation of allosteric cGMP binding. Cell. Signal. 2011, 23, 1578–1583. [Google Scholar] [CrossRef]
- Cardarelli, S.; Giorgi, M.; Poiana, G.; Biagioni, S.; Saliola, M. Metabolic role of cGMP in S. cerevisiae: The murine phosphodiesterase-5 activity affects yeast cell proliferation by altering the cAMP/cGMP equilibrium. FEMS Yeast Res. 2019, 19, foz016. [Google Scholar] [CrossRef] [PubMed]
- Thureau, P.; Roblin, J. Perez, BioSAXS on the SWING beamline at Synchrotron SOLEIL. J. Appl. Cryst. 2021, 54, 1698–1710. [Google Scholar] [CrossRef]
- Brookes, E.; Vachette, P.; Rocco, M.; Perez, J. US-SOMO HPLC-SAXS module: Dealing with capillary fouling and extraction of pure component patterns from poorly resolved SEC-SAXS data. J. Appl. Crystallogr. 2016, 49, 1827–1841. [Google Scholar] [CrossRef] [PubMed]
- Tully, M.D.; Tarbouriech, N.; Rambo, R.P.; Hutin, S. Analysis of SEC-SAXS data via EFA deconvolution and Scatter. J. Vis. Exp. 2021, 167. [Google Scholar] [CrossRef]
- Pandit, J.; Forman, M.D.; Fennell, K.F.; Dillman, K.S.; Menniti, F.S. Mechanism for the allosteric regulation of phosphodiesterase 2A deduced from the X-ray structure of a near full-length construct. Proc. Natl. Acad. Sci. USA 2009, 106, 18225–18230. [Google Scholar] [CrossRef]
- Franke, D.; Petoukhov, M.V.; Konarev, P.V.; Panjkovich, A.; Tuukkanen, A.; Mertens, H.D.T.; Kikhney, A.G.; Hajizadeh, N.R.; Franklin, J.M.; Jeffries, C.M.; et al. ATSAS 2.8: A comprehensive data analysis suite for small-angle scattering from macromolecular solutions. J. Appl. Crystallogr. 2017, 50, 1212–1225. [Google Scholar] [CrossRef]
- Baker, M.A.; Hagner, B.A. Diamide induced shift in protein and glutathione thiol: Disulfide status delays DNA rejoining after X-irradiation of human cancer cells. Biochim. Biophys. Acta 1990, 1037, 39–47. [Google Scholar] [CrossRef]
- Preedy, M.E.J. Cardiac Cyclic Nucleotide Phosphodiesterases: Roles and Therapeutic Potential in Heart Failure. Cardiovasc. Drugs Ther. 2020, 34, 401–417. [Google Scholar] [CrossRef]
- Ghazaleh, F.A.; Omburo, G.A.; Colman, R.W. Evidence for the presence of essential histidine and cysteine residues in platelet cGMP-inhibited phosphodiesterase. Biochem. J. 1996, 317, 495–501. [Google Scholar] [CrossRef]
- Riener, C.K.; Kada, G.; Gruber, H.J. Quick measurement of protein sulphydryls with Ellman’s reagent and 4,4’-dithiodipyridine. Anal. Bioanal. Chem. 2002, 373, 266–276. [Google Scholar] [CrossRef]
- Li, X.; Day, N.J.; Feng, S.; Gaffrey, M.J.; Lin, T.D.; Paurus, V.L.; Monroe, M.E.; Moore, R.J.; Yang, B.; Xian, M.; et al. Mass spectrometry-based direct detection of multiple types of protein thiol modifications in pancreatic beta cells under endoplasmic reticulum stress. Redox Biol. 2021, 46, 102111. [Google Scholar] [CrossRef] [PubMed]
- Hamitouche, F.; Gaillard, J.C.; Schmitt, P.; Armengaud, J.; Duport, C.; Dedieu, L. Redox proteomic study of Bacillus cereus thiol proteome during fermentative anaerobic growth. BMC Genom. 2021, 22, 648. [Google Scholar] [CrossRef] [PubMed]
- Ellman, G.L. Tissue sulphydryl groups. Arch. Biochem. Biophys. 1959, 82, 70–77. [Google Scholar] [CrossRef] [PubMed]
- Heihaus, C.C.; Stout, J.R.; Sekharan, M.R.; Eakin, C.M.; Rajagopal, P.; Brzovic, P.S.; Beavo, J.A.; Klevit, R.E. Solution structure of the cGMP binding GAF domain from phosphodiesterase 5. J. Biol. Chem. 2008, 283, 22749–22759. [Google Scholar]
- Takimoto, E.; Champion, H.C.; Belardi, D.; Moslehi, J.; Mongillo, M.; Mergia, E.; Montrose, D.C.; Isoda, T.; Aufiero, K.; Zaccolo, M.; et al. cGMP Catabolism by Phosphodiesterase 5A Regulates Cardiac Adrenergic Stimulation by NOS3-Dependent Mechanism. Circ. Res. 2005, 96, 100–109. [Google Scholar] [CrossRef]
- Thompson, W.J.; Appleman, M.M. Multiple cyclic nucleotide phosphodiesterase activities from rat brain. Biochemistry 1971, 10, 311–316. [Google Scholar]
- Lowry, N.J.; Rosebrough, A.L.; Farr, R.J. Randall, Protein measurement with the Folin-Phenol reagent. J. Biol. Chem. 1951, 193, 265–275. [Google Scholar] [CrossRef]
- Falcone, C.; Mazzoni, C.; Saliola, M. Alcohol dehydrogenase (ADH) isozymes in Kluyveromyces lactis: Detection by activity. In Manual Non-Conventional Yeasts in Genetics, Biochemistry and Biotechnology; Wolf, K., Breunig, K., Barth, G., Eds.; Springer: Berlin/Heidelberg, Germany, 2003; pp. 195–201. [Google Scholar]
- Riddles, P.W.; Blakeley, R.L.; Zerner, H. Ellman’s reagent: 5,5’–dithio-bis(2-nitrobenzoic acid)—A reexamination. Anal. Biochem. 1979, 94, 75–79. [Google Scholar] [CrossRef]
- Russwurm, M.; Schlicker, C.; Weyand, M.; Koesling, D.; Steegborn, C. Crystal structure of the GAF-B domain from human phosphodiesterase 5. Proteins 2011, 79, 1682–1687. [Google Scholar] [CrossRef]







| MmPDE5A1 (Q8CG03) | MERAGPNSVR SQQQRDPDWV EAWLDDHRDF TFSYFIRATRD MVNAWFSE- |
| MmPDE5A2 (A0A0G2JF67) | MLPFGDKTRD MVNAWFSE- |
| MmPDE5A3 | MVNAWFSE- |
| Isoform | Rg | Dmax | % Aggregation | % Tetramer | % Dimer |
|---|---|---|---|---|---|
| MmPDE5A1 | 66 Å (T) 55 Å (D) | 235 Å (T) 160 Å (D) | 1.5 | 40 | 60 |
| MmPDE5A2 | 55 Å | 202 Å | 5 | 3 | 97 |
| MmPDE5A3 | 53 Å | 185 Å | 3.5 | 0 | 100 |
Disclaimer/Publisher’s Note: The statements, opinions and data contained in all publications are solely those of the individual author(s) and contributor(s) and not of MDPI and/or the editor(s). MDPI and/or the editor(s) disclaim responsibility for any injury to people or property resulting from any ideas, methods, instructions or products referred to in the content. |
© 2023 by the authors. Licensee MDPI, Basel, Switzerland. This article is an open access article distributed under the terms and conditions of the Creative Commons Attribution (CC BY) license (https://creativecommons.org/licenses/by/4.0/).
Share and Cite
Giorgi, M.; Miele, A.E.; Cardarelli, S.; Giorgi, A.; Massimi, M.; Biagioni, S.; Saliola, M. Structural Characterization of Murine Phosphodiesterase 5 Isoforms and Involvement of Cysteine Residues in Supramolecular Assembly. Int. J. Mol. Sci. 2023, 24, 1108. https://doi.org/10.3390/ijms24021108
Giorgi M, Miele AE, Cardarelli S, Giorgi A, Massimi M, Biagioni S, Saliola M. Structural Characterization of Murine Phosphodiesterase 5 Isoforms and Involvement of Cysteine Residues in Supramolecular Assembly. International Journal of Molecular Sciences. 2023; 24(2):1108. https://doi.org/10.3390/ijms24021108
Chicago/Turabian StyleGiorgi, Mauro, Adriana Erica Miele, Silvia Cardarelli, Alessandra Giorgi, Mara Massimi, Stefano Biagioni, and Michele Saliola. 2023. "Structural Characterization of Murine Phosphodiesterase 5 Isoforms and Involvement of Cysteine Residues in Supramolecular Assembly" International Journal of Molecular Sciences 24, no. 2: 1108. https://doi.org/10.3390/ijms24021108
APA StyleGiorgi, M., Miele, A. E., Cardarelli, S., Giorgi, A., Massimi, M., Biagioni, S., & Saliola, M. (2023). Structural Characterization of Murine Phosphodiesterase 5 Isoforms and Involvement of Cysteine Residues in Supramolecular Assembly. International Journal of Molecular Sciences, 24(2), 1108. https://doi.org/10.3390/ijms24021108

