Dickkopf-Related Protein 1 (DKK-1) as a Possible Link between Bone Erosions and Increased Carotid Intima-Media Thickness in Psoriatic Arthritis: An Ultrasound Study
Abstract
:1. Introduction
2. Results
2.1. Study Group Characteristics
2.2. Correlations of DKK-1 and cIMT for the Evaluation of CVD
2.3. Correlations of DKK-1 and Bone Erosion
3. Discussion
4. Materials and Methods
4.1. The Study Cohort
4.2. Laboratory Analysis
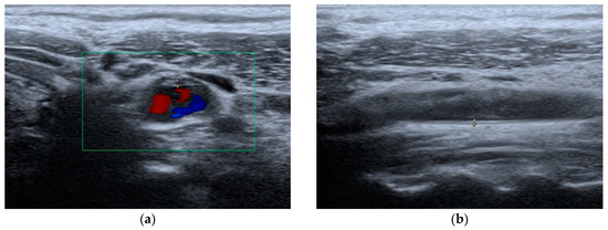
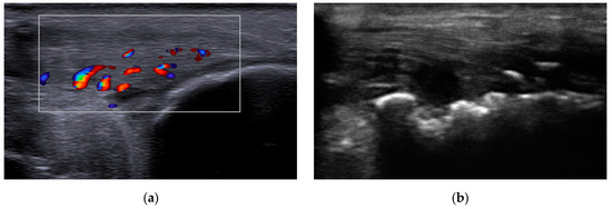
4.3. Musculoskeletal Ultrasound
4.4. Cardiovascular Risk Estimation
4.4.1. SCORE Chart
4.4.2. Measurement of Intima-Media Thickness
4.5. Statistical Analysis
5. Conclusions
Author Contributions
Funding
Institutional Review Board Statement
Informed Consent Statement
Data Availability Statement
Conflicts of Interest
References
- Veale, D.J.; Fearon, U. The Pathogenesis of Psoriatic Arthritis. Lancet 2018, 391, 2273–2284. [Google Scholar] [CrossRef]
- Ritchlin, C. Psoriatic Disease—From Skin to Bone. Nat. Clin. Pract. Rheumatol. 2007, 3, 698–706. [Google Scholar] [CrossRef] [PubMed]
- Dalbeth, N.; Pool, B.; Smith, T.; Callon, K.E.; Lobo, M.; Taylor, W.J.; Jones, P.B.; Cornish, J.; McQueen, F.M. Circulating Mediators of Bone Remodeling in Psoriatic Arthritis: Implications for Disordered Osteoclastogenesis and Bone Erosion. Arthritis Res. Ther. 2010, 12, R164. [Google Scholar] [CrossRef] [PubMed]
- Han, C.; Robinson, D.W.; Hackett, M.V.; Paramore, L.C.; Fraeman, K.H.; Bala, M.V. Cardiovascular Disease and Risk Factors in Patients with Rheumatoid Arthritis, Psoriatic Arthritis, and Ankylosing Spondylitis. J. Rheumatol. 2006, 33, 2167–2172. [Google Scholar] [PubMed]
- Stober, C. Pathogenesis of Psoriatic Arthritis. Best Pract. Res. Clin. Rheumatol. 2021, 35, 101694. [Google Scholar] [CrossRef]
- Ciobanu, D.A.; Barbulescu, A.L.; Trasca, B.A.; Parvanescu, C.D.; Firulescu, S.C.; Dinescu, S.C.; Bita, C.E.; Cringus, L.; Tica, A.A.; Ananu Vreju, F. Metabolic Syndrome in a Cohort of Rheumatoid Arthritis Patients. Rom. J. Rheumatol. 2022, 31, 124–128. [Google Scholar] [CrossRef]
- Ueland, T.; Åkerblom, A.; Ghukasyan, T.; Michelsen, A.E.; Becker, R.C.; Bertilsson, M.; Himmelmann, A.; James, S.K.; Siegbahn, A.; Storey, R.F.; et al. Admission Levels of DKK1 (Dickkopf-1) Are Associated With Future Cardiovascular Death in Patients With Acute Coronary Syndromes. Arterioscler. Thromb. Vasc. Biol. 2019, 39, 294–302. [Google Scholar] [CrossRef]
- Baetta, R.; Banfi, C. Dkk (Dickkopf) Proteins. Arterioscler. Thromb. Vasc. Biol. 2019, 39, 1330–1342. [Google Scholar] [CrossRef]
- Gonzalez-Juanatey, C.; Llorca, J.; Miranda-Filloy, J.A.; Amigo-Diaz, E.; Testa, A.; Garcia-Porrua, C.; Martin, J.; Gonzalez-Gay, M.A. Endothelial Dysfunction in Psoriatic Arthritis Patients without Clinically Evident Cardiovascular Disease or Classic Atherosclerosis Risk Factors. Arthritis Rheum. 2007, 57, 287–293. [Google Scholar] [CrossRef]
- Garg, N.; Krishan, P.; Syngle, A. Atherosclerosis in Psoriatic Arthritis: A Multiparametric Analysis Using Imaging Technique and Laboratory Markers of Inflammation and Vascular Function. Int. J. Angiol. 2016, 25, 222–228. [Google Scholar] [CrossRef]
- Chisălău, B.; Bărbulescu, A.; Pârvănescu, C.; Firulescu, S.; Dinescu, Ș.; Dumitrașcu, R.; Turcu-Stiolica, A.; Ionescu, R.; Popoviciu, H.; Covei, S.; et al. Entheseal Involvement in a Group of Psoriatic Arthritis Patients: An Ultrasonographic Study. Exp. Ther. Med. 2021, 22, 1044. [Google Scholar] [CrossRef] [PubMed]
- Atzeni, F.; Sarzi-Puttini, P.; Sitia, S.; Tomasoni, L.; Gianturco, L.; Battellino, M.; Boccassini, L.; De Gennaro Colonna, V.; Marchesoni, A.; Turiel, M. Coronary Flow Reserve and Asymmetric Dimethylarginine Levels: New Measurements for Identifying Subclinical Atherosclerosis in Patients with Psoriatic Arthritis. J. Rheumatol. 2011, 38, 1661–1664. [Google Scholar] [CrossRef] [PubMed]
- Magro-Checa, C.; Orgaz-Molina, J.; Rosales-Alexander, J.L.; Salvatierra, J.; Arias-Santiago, S.; Cantero-Hinojosa, J.; Ruiz-Carrascosa, J.C.; Raya-Álvarez, E. SAT0295 Comparison of Subclinical Carotid Atherosclerosis in Patients with Psoriatic Arthritis, Psoriasis Alone and Controls. Ann. Rheum. Dis. 2013, 71, 572. [Google Scholar] [CrossRef]
- Gonzalez-Juanatey, C.; Llorca, J.; Amigo-Diaz, E.; Dierssen, T.; Martin, J.; Gonzalez-Gay, M.A. High Prevalence of Subclinical Atherosclerosis in Psoriatic Arthritis Patients without Clinically Evident Cardiovascular Disease or Classic Atherosclerosis Risk Factors. Arthritis Rheum. 2007, 57, 1074–1080. [Google Scholar] [CrossRef] [PubMed]
- Verma, S.; Wang, C.-H.; Li, S.-H.; Dumont, A.S.; Fedak, P.W.M.; Badiwala, M.V.; Dhillon, B.; Weisel, R.D.; Li, R.-K.; Mickle, D.A.G.; et al. A Self-Fulfilling Prophecy. Circulation 2002, 106, 913–919. [Google Scholar] [CrossRef]
- Gabay, C.; Kushner, I. Acute-Phase Proteins and Other Systemic Responses to Inflammation. N. Engl. J. Med. 1999, 340, 448–454. [Google Scholar] [CrossRef]
- Brunner, H.; Cockcroft, J.R.; Deanfield, J.; Donald, A.; Ferrannini, E.; Halcox, J.; Kiowski, W.; Lüscher, T.F.; Mancia, G.; Natali, A.; et al. Endothelial Function and Dysfunction. Part II: Association with Cardiovascular Risk Factors and Diseases. A Statement by the Working Group on Endothelins and Endothelial Factors of the European Society of Hypertension*. J. Hypertens. 2005, 23, 233–246. [Google Scholar] [CrossRef]
- Deanfield, J.; Donald, A.; Ferri, C.; Giannattasio, C.; Halcox, J.; Halligan, S.; Lerman, A.; Mancia, G.; Oliver, J.J.; Pessina, A.C.; et al. Endothelial Function and Dysfunction. Part I. J. Hypertens. 2005, 23, 7–17. [Google Scholar] [CrossRef]
- Yun, J. Adipose Tissue Inflammation in Psoriatic Arthritis: Overexpression of a Wide Array of Inflammatory Mediators and Associations with Disease and Treatment Characteristics. In Proceedings of the 2018 ACR/ARHP Annual Meeting, Chicago, IL, USA, 19–24 October 2018. [Google Scholar]
- Belasco, J.; Louie, J.S.; Gulati, N.; Wei, N.; Nograles, K.; Fuentes-Duculan, J.; Mitsui, H.; Suárez-Fariñas, M.; Krueger, J.G. Comparative Genomic Profiling of Synovium Versus Skin Lesions in Psoriatic Arthritis. Arthritis Rheumatol. 2015, 67, 934–944. [Google Scholar] [CrossRef]
- Gashick, M. Vascular Endothelial and Inflammatory Differences in Psoriasis and Psoriatic Arthritis Patients. In Proceedings of the 2018 ACR/ARHP Annual Meeting, Chicago, IL, USA, 19–24 October 2018. [Google Scholar]
- Späh, F. Inflammation in Atherosclerosis and Psoriasis: Common Pathogenic Mechanisms and the Potential for an Integrated Treatment Approach. Br. J. Dermatol. 2008, 159, 10–17. [Google Scholar] [CrossRef]
- Aj, L. Atherosclerosis. Nature 2000, 407, 233–241. [Google Scholar]
- Gudjonsson, J.E.; Johnston, A.; Ellis, C.N. Novel Systemic Drugs under Investigation for the Treatment of Psoriasis. J. Am. Acad. Dermatol. 2012, 67, 139–147. [Google Scholar] [CrossRef] [PubMed]
- Chisălău, B.; Crînguș, L.-I.; Vreju, F.; Pârvănescu, C.; Firulescu, S.; Dinescu, Ș.; Ciobanu, D.; Tica, A.; Sandu, R.; Siloși, I.; et al. New Insights into IL-17/IL-23 Signaling in Ankylosing Spondylitis (Review). Exp. Ther. Med. 2020, 20, 3493–3497. [Google Scholar] [CrossRef]
- Cruciat, C.-M.; Niehrs, C. Secreted and Transmembrane Wnt Inhibitors and Activators. Cold Spring Harb. Perspect. Biol. 2013, 5, a015081. [Google Scholar] [CrossRef] [PubMed]
- Kagey, M.H.; He, X. Rationale for Targeting the Wnt Signalling Modulator Dickkopf-1 for Oncology. Br. J. Pharmacol. 2017, 174, 4637–4650. [Google Scholar] [CrossRef] [PubMed]
- Niehrs, C. Function and Biological Roles of the Dickkopf Family of Wnt Modulators. Oncogene 2006, 25, 7469–7481. [Google Scholar] [CrossRef]
- Gómez-Vaquero, C.; Corrales, A.; Zacarías, A.; Rueda-Gotor, J.; Blanco, R.; González-Juanatey, C.; Llorca, J.; González-Gay, M.A. SCORE and REGICOR Function Charts Underestimate the Cardiovascular Risk in Spanish Patients with Rheumatoid Arthritis. Arthritis Res. Ther. 2013, 15, R91. [Google Scholar] [CrossRef]
- Torres, T.; Sales, R.; Vasconcelos, C.; Martins da Silva, B.; Selores, M. Framingham Risk Score Underestimates Cardiovascular Disease Risk in Severe Psoriatic Patients: Implications in Cardiovascular Risk Factors Management and Primary Prevention of Cardiovascular Disease. J. Dermatol. 2013, 40, 923–926. [Google Scholar] [CrossRef]
- Belur, A.D.; Mehta, N.N. Underestimation of Risk of Carotid Subclinical Atherosclerosis by Cardiovascular Risk Scores in Patients with Psoriatic Arthritis: How Far Are We from the Truth? J. Rheumatol. 2018, 45, 150–152. [Google Scholar] [CrossRef]
- Cheng, I.T.; Shang, Q.; Li, E.K.; Wong, P.C.; Kun, E.W.; Law, M.Y.; Yip, R.M.; Yim, I.C.; Lai, B.T.; Ying, S.K.; et al. Effect of Achieving Minimal Disease Activity on the Progression of Subclinical Atherosclerosis and Arterial Stiffness: A Prospective Cohort Study in Psoriatic Arthritis. Arthritis Rheumatol. 2019, 71, 271–280. [Google Scholar] [CrossRef]
- Zabotti, A.; Bandinelli, F.; Batticciotto, A.; Scirè, C.A.; Iagnocco, A.; Sakellariou, G. Musculoskeletal Ultrasonography for Psoriatic Arthritis and Psoriasis Patients: A Systematic Literature Review. Rheumatology 2017, 56, 1518–1532. [Google Scholar] [CrossRef] [PubMed]
- Frediani, B.; Falsetti, P.; Storri, L.; Allegri, A.; Bisogno, S.; Baldi, F.; Marcolongo, R. Ultrasound and Clinical Evaluation of Quadricipital Tendon Enthesitis in Patients with Psoriatic Arthritis and Rheumatoid Arthritis. Clin. Rheumatol. 2002, 21, 203–206. [Google Scholar] [CrossRef] [PubMed]
- McGonagle, D.; Stockwin, L.; Isaacs, J.; Emery, P. An Enthesitis Based Model for the Pathogenesis of Spondyloarthropathy. Additive Effects of Microbial Adjuvant and Biomechanical Factors at Disease Sites. J. Rheumatol. 2001, 28, 2155–2159. [Google Scholar] [PubMed]
- Gladman, D.D. Mortality in Psoriatic Arthritis. Clin. Exp. Rheumatol. 2008, 26, S62–S65. [Google Scholar]
- Haroon, N.; Inman, R.D.; Learch, T.J.; Weisman, M.H.; Lee, M.; Rahbar, M.H.; Ward, M.M.; Reveille, J.D.; Gensler, L.S. The Impact of TNF-Inhibitors on Radiographic Progression in Ankylosing Spondylitis. Arthritis Rheum. 2013, 65, 2645–2654. [Google Scholar] [CrossRef]
- Jadon, D.R.; Nightingale, A.L.; McHugh, N.J.; Lindsay, M.A.; Korendowych, E.; Sengupta, R. Serum Soluble Bone Turnover Biomarkers in Psoriatic Arthritis and Psoriatic Spondyloarthropathy. J. Rheumatol. 2015, 42, 21–30. [Google Scholar] [CrossRef]
- Chung, Y.; Li, Z.-C.; Sun, X.-L.; Liu, Y.-Y.; Shao, M.; Gan, Y.-Z.; Li, Y.-M.; Li, Y.-H.; Zhang, X.-W. Elevated Serum Dickkopf-1 Is a Biomarker for Bone Erosion in Patients with Psoriatic Arthritis. Chin. Med. J. 2021, 134, 2583–2588. [Google Scholar] [CrossRef]
- Fassio, A.; Gatti, D.; Rossini, M.; Idolazzi, L.; Giollo, A.; Adami, G.; Gisondi, P.; Girolomoni, G.; Viapiana, O. Secukinumab Produces a Quick Increase in WNT Signalling Antagonists in Patients with Psoriatic Arthritis. Clin. Exp. Rheumatol. 2019, 37, 133–136. [Google Scholar]
- Lorenzo, A.; Pardo, E.; Charca, L.; Pino, M.; Queiro, R. Enthesitis and Joint Erosions Are Disease Traits Associated with Cardiovascular Risk in Psoriatic Arthritis. Clin. Rheumatol. 2020, 39, 2973–2979. [Google Scholar] [CrossRef]
- Arida, A.; Protogerou, A.; Kitas, G.; Sfikakis, P. Systemic Inflammatory Response and Atherosclerosis: The Paradigm of Chronic Inflammatory Rheumatic Diseases. Int. J. Mol. Sci. 2018, 19, 1890. [Google Scholar] [CrossRef]
- Lee, K.S.; Kronbichler, A.; Eisenhut, M.; Lee, K.H.; Shin, J.I. Cardiovascular Involvement in Systemic Rheumatic Diseases: An Integrated View for the Treating Physicians. Autoimmun. Rev. 2018, 17, 201–214. [Google Scholar] [CrossRef] [PubMed]
- Tillett, W.; Costa, L.; Jadon, D.; Wallis, D.; Cavill, C.; McHugh, J.; Korendowych, E.; McHugh, N. The ClASsification for Psoriatic ARthritis (CASPAR) Criteria—A Retrospective Feasibility, Sensitivity, and Specificity Study: Table 1. J. Rheumatol. 2012, 39, 154–156. [Google Scholar] [CrossRef] [PubMed]
- Gandjbakhch, F.; Terslev, L.; Joshua, F.; Wakefield, R.J.; Naredo, E.; D’Agostino, M. Ultrasound in the Evaluation of Enthesitis: Status and Perspectives. Arthritis Res. Ther. 2011, 13, R188. [Google Scholar] [CrossRef] [PubMed]
- Bruyn, G.A.; Iagnocco, A.; Naredo, E.; Balint, P.V.; Gutierrez, M.; Hammer, H.B.; Collado, P.; Filippou, G.; Schmidt, W.A.; Jousse-Joulin, S.; et al. OMERACT Definitions for Ultrasonographic Pathologies and Elementary Lesions of Rheumatic Disorders 15 Years On. J. Rheumatol. 2019, 46, 1388–1393. [Google Scholar] [CrossRef] [PubMed]
- Hageman, S.; Pennells, L.; Ojeda, F.; Kaptoge, S.; Kuulasmaa, K.; de Vries, T.; Xu, Z.; Kee, F.; Chung, R.; Wood, A.; et al. SCORE2 Risk Prediction Algorithms: New Models to Estimate 10-Year Risk of Cardiovascular Disease in Europe. Eur. Heart J. 2021, 42, 2439–2454. [Google Scholar] [CrossRef]
- Froud, R.; Abel, G. Using ROC Curves to Choose Minimally Important Change Thresholds When Sensitivity and Specificity Are Valued Equally: The Forgotten Lesson of Pythagoras. Theoretical Considerations and an Example Application of Change in Health Status. PLoS ONE 2014, 9, e114468. [Google Scholar] [CrossRef]
- Koo, T.K.; Li, M.Y. A Guideline of Selecting and Reporting Intraclass Correlation Coefficients for Reliability Research. J. Chiropr. Med. 2016, 15, 155–163. [Google Scholar] [CrossRef]





| Control Group (n = 13) | PsA (n = 17) | p | |
|---|---|---|---|
| Female, n (%) | 7 (53.85) | 9 (52.94) | 0.9547 |
| Male, n (%) | 6 (46.15) | 8 (47.06) | |
| Mean age (years) | 50.15 ± 10.11 | 49.53 ± 9.65 | 0.8774 |
| Smoker status (current, %) | 30.76 | 35.29 | 0.9480 |
| Disease duration (years) | - | 5.88 ± 4.28 | - |
| DAPSA | - | 36.76 ± 12.26 | - |
| PASI | - | 17.41 ± 11.12 | - |
| Enthesitis, n (presence %) | 0 (0) | 11 (64.71) | <0.001 |
| Bone erosion, n (presence %) | 1 (7.69) | 9 (52.94) | 0.0357 |
| BMI (kg/m2) | 27.70 ± 4.42 | 28.89 ± 5.47 | 0.4621 |
| TC (mg/dL) | 193.08 ± 42.17 | 211.82 ± 53.70 | 0.4013 |
| HDL (mg/dL) | 66.31 ± 12.53 | 43.18 ± 10.35 | 0.4681 |
| LDL (mg/dL) | 126.77 ± 48.47 | 168.65 ± 59.25 | 0.5218 |
| CRP (mg/L) | 4.09 ± 2.87 | 16.90 ± 12.47 | <0.001 |
| DKK-1 (pg/mL) | 8159.86 ± 2232.04 | 10,986.2 ± 4063.56 | 0.0413 |
| cIMT (mm) | 0.54 ± 0.09 | 0.68 ± 0.17 | 0.0333 |
| Atherosclerotic plaque, n (presence %) | 3 (23.08) | 9 (52.94) | 0.5826 |
| SCORE (%) | 7.5 | 13.47 | 0.0240 |
| Abnormal Tendon Structure n (%) | Thickened Tendon n (%) | Erosion n (%) | Enthesis Calcification/Enthesophyte n (%) | Enthesis PD n (%) | Bursitis n (%) | |
|---|---|---|---|---|---|---|
| TT | 1 (5.88) | 0 (0.00) | 0 (0.00) | 1 (5.88) | 0 (0.00) | 0 (0.00) |
| QT | 3 (17.65) | 1 (5.88) | 2 (11.76) | 2 (11.76) | 2 (11.76) | 0 (0.00) |
| PP | 1 (5.88) | 1 (5.88) | 1 (5.88) | 1 (5.88) | 0 (0.00) | 0 (0.00) |
| DP | 3 (17.65) | 2 (11.76) | 0 (0.00) | 1 (5.88) | 1 (5.88) | 0 (0.00) |
| AT | 6 (35.29) | 3 (17.65) | 5 (29.41) | 5 (29.41) | 5 (29.41) | 1 (5.88) |
| PA | 2 (11.76) | 1 (5.88) | 1 (5.88) | 1 (5.88) | 0 (0.00) | 0 (0.00) |
Disclaimer/Publisher’s Note: The statements, opinions and data contained in all publications are solely those of the individual author(s) and contributor(s) and not of MDPI and/or the editor(s). MDPI and/or the editor(s) disclaim responsibility for any injury to people or property resulting from any ideas, methods, instructions or products referred to in the content. |
© 2023 by the authors. Licensee MDPI, Basel, Switzerland. This article is an open access article distributed under the terms and conditions of the Creative Commons Attribution (CC BY) license (https://creativecommons.org/licenses/by/4.0/).
Share and Cite
Biță, C.-E.; Dinescu, Ș.C.; Riza, A.-L.; Ciurea, P.L.; Mușetescu, A.E.; Marinescu, D.; Dumitrașcu, R.M.; Șuiu, L.I.; Ionescu, R.A.; Popoviciu, H.V.; et al. Dickkopf-Related Protein 1 (DKK-1) as a Possible Link between Bone Erosions and Increased Carotid Intima-Media Thickness in Psoriatic Arthritis: An Ultrasound Study. Int. J. Mol. Sci. 2023, 24, 14970. https://doi.org/10.3390/ijms241914970
Biță C-E, Dinescu ȘC, Riza A-L, Ciurea PL, Mușetescu AE, Marinescu D, Dumitrașcu RM, Șuiu LI, Ionescu RA, Popoviciu HV, et al. Dickkopf-Related Protein 1 (DKK-1) as a Possible Link between Bone Erosions and Increased Carotid Intima-Media Thickness in Psoriatic Arthritis: An Ultrasound Study. International Journal of Molecular Sciences. 2023; 24(19):14970. https://doi.org/10.3390/ijms241914970
Chicago/Turabian StyleBiță, Cristina-Elena, Ștefan Cristian Dinescu, Anca-Lelia Riza, Paulina Lucia Ciurea, Anca Emanuela Mușetescu, Daniela Marinescu, Roxana Mihaela Dumitrașcu, Larisa Ionela Șuiu, Răzvan Adrian Ionescu, Horațiu Valeriu Popoviciu, and et al. 2023. "Dickkopf-Related Protein 1 (DKK-1) as a Possible Link between Bone Erosions and Increased Carotid Intima-Media Thickness in Psoriatic Arthritis: An Ultrasound Study" International Journal of Molecular Sciences 24, no. 19: 14970. https://doi.org/10.3390/ijms241914970
APA StyleBiță, C.-E., Dinescu, Ș. C., Riza, A.-L., Ciurea, P. L., Mușetescu, A. E., Marinescu, D., Dumitrașcu, R. M., Șuiu, L. I., Ionescu, R. A., Popoviciu, H. V., & Vreju, F. A. (2023). Dickkopf-Related Protein 1 (DKK-1) as a Possible Link between Bone Erosions and Increased Carotid Intima-Media Thickness in Psoriatic Arthritis: An Ultrasound Study. International Journal of Molecular Sciences, 24(19), 14970. https://doi.org/10.3390/ijms241914970
