NMR-Based Characterization of the Interaction between Yeast Oxa1-CTD and Ribosomes
Abstract
:1. Introduction
2. Results
2.1. Sequence Alignment of Oxa1
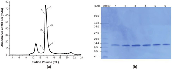
2.2. Oxa1-CTD Protein Preparation
2.3. Secondary Structure Analysis of Oxa1-CTD
2.4. Oxa1-Ribosome Interactions
3. Discussion
4. Materials and Methods
4.1. Cloning, Expression, and Purification
4.2. Isolation of E. coli Ribosome
4.3. Circular Dichroism (CD) Spectroscopy
4.4. NMR Sample Preparation, Data Collection, and Assignment
4.5. Microscale Thermophoresis (MST) Assays
4.6. NMR Titration Assays
Supplementary Materials
Author Contributions
Funding
Institutional Review Board Statement
Informed Consent Statement
Data Availability Statement
Acknowledgments
Conflicts of Interest
References
- Eaglesfield, R.; Tokatlidis, K. Targeting and Insertion of Membrane Proteins in Mitochondria. Front. Cell Dev. Biol. 2021, 9, 803205. [Google Scholar] [CrossRef] [PubMed]
- Sulo, P.; Szaboova, D.; Bielik, P.; Polakova, S.; Soltys, K.; Jatzova, K.; Szemes, T. The Evolutionary History of Saccharomyces Species Inferred from Completed Mitochondrial Genomes and Revision in the ‘yeast mitochondrial genetic code’. DNA Res. 2017, 24, 571–583. [Google Scholar] [CrossRef] [PubMed]
- Wang, P.; Dalbey, R.E. Inserting Membrane Proteins: The YidC/Oxa1/Alb3 Machinery in Bacteria, Mitochondria, and Chloroplasts. Biochim. Biophys. Acta 2011, 1808, 866–875. [Google Scholar] [CrossRef]
- Szyrach, G.; Ott, M.; Bonnefoy, N.; Neupert, W.; Herrmann, J.M. Ribosome Binding to the Oxa1 Complex Facilitates Co-Translational Protein Insertion in Mitochondria. EMBO J. 2003, 22, 6448–6457. [Google Scholar] [CrossRef]
- Hennon, S.W.; Soman, R.; Zhu, L.; Dalbey, R.E. YidC/Alb3/Oxa1 Family of Insertases. J. Biol. Chem. 2015, 290, 14866–14874. [Google Scholar] [CrossRef]
- Kruger, V.; Deckers, M.; Hildenbeutel, M.; van der Laan, M.; Hellmers, M.; Dreker, C.; Preuss, M.; Herrmann, J.M.; Rehling, P.; Wagner, R.; et al. The Mitochondrial Oxidase Assembly Protein1 (Oxa1) Insertase Forms a Membrane Pore in Lipid Bilayers. J. Biol. Chem. 2012, 287, 33314–33326. [Google Scholar] [CrossRef]
- Hildenbeutel, M.; Theis, M.; Geier, M.; Haferkamp, I.; Neuhaus, H.E.; Herrmann, J.M.; Ott, M. The Membrane Insertase Oxa1 is Required for Efficient Import of Carrier Proteins into Mitochondria. J. Mol. Biol. 2012, 423, 590–599. [Google Scholar] [CrossRef]
- Funes, S.; Hasona, A.; Bauerschmitt, H.; Grubbauer, C.; Kauff, F.; Collins, R.; Crowley, P.J.; Palmer, S.R.; Brady, L.J.; Herrmann, J.M. Independent gene duplications of the YidC/Oxa/Alb3 family enabled a specialized cotranslational function. Proc. Natl. Acad. Sci. USA 2009, 106, 6656–6661. [Google Scholar] [CrossRef]
- Bonnefoy, N.; Fiumera, H.L.; Dujardin, G.; Fox, T.D. Roles of Oxa1-Related Inner-Membrane Translocases in Assembly of Respiratory Chain Complexes. Biochim. Biophys. Acta 2009, 1793, 60–70. [Google Scholar] [CrossRef]
- Keil, M.; Bareth, B.; Woellhaf, M.W.; Peleh, V.; Prestele, M.; Rehling, P.; Herrmann, J.M. Oxa1-Ribosome Complexes Coordinate the Assembly of Cytochrome C Oxidase in Mitochondria. J. Biol. Chem. 2012, 287, 34484–34493. [Google Scholar] [CrossRef]
- Jia, L.; Dienhart, M.; Schramp, M.; McCauley, M.; Hell, K.; Stuart, R.A. Yeast Oxa1 interacts with mitochondrial ribosomes: The importance of the C-terminal region of Oxa1. EMBO J. 2003, 22, 6438–6447. [Google Scholar] [CrossRef]
- Lemaire, C.; Guibet-Grandmougin, F.; Angles, D.; Dujardin, G.; Bonnefoy, N. A Yeast Mitochondrial Membrane Methyltransferase-Like Protein can Compensate for Oxa1 Mutations. J. Biol. Chem. 2004, 279, 47464–47472. [Google Scholar] [CrossRef] [PubMed]
- Ott, M.; Herrmann, J.M. Co-translational membrane insertion of mitochondrially encoded proteins. Biochim. Biophys. Acta 2010, 1803, 767–775. [Google Scholar] [CrossRef] [PubMed]
- McDowell, M.A.; Heimes, M.; Sinning, I. Structural and Molecular Mechanisms for Membrane Protein Biogenesis by the Oxa1 Superfamily. Nat. Struct. Mol. Biol. 2021, 28, 234–239. [Google Scholar] [CrossRef] [PubMed]
- Itoh, Y.; Andréll, J.; Choi, A.; Richter, U.; Maiti, P.; Best, R.B.; Barrientos, A.; Battersby, B.J.; Amunts, A. Mechanism of Membrane-Tethered Mitochondrial Protein Synthesis. Science 2021, 371, 846–849. [Google Scholar] [CrossRef]
- Lupas, A.; Van Dyke, M.; Stock, J. Predicting Coiled Coils from Protein Sequences. Science 1991, 252, 1162–1164. [Google Scholar] [CrossRef]
- Zimmermann, L.; Stephens, A.; Nam, S.Z.; Rau, D.; Kubler, J.; Lozajic, M.; Gabler, F.; Soding, J.; Lupas, A.N.; Alva, V. A Completely Reimplemented MPI Bioinformatics Toolkit with a New HHpred Server at its Core. J. Mol. Biol. 2018, 430, 2237–2243. [Google Scholar] [CrossRef]
- Wolf, E.; Kim, P.S.; Berger, B. MultiCoil: A Program for Predicting Two- and Three-Stranded Coiled Coils. Protein Sci. 1997, 6, 1179–1189. [Google Scholar] [CrossRef]
- Yang, Z.R.; Thomson, R.; McNeil, P.; Esnouf, R.M. RONN: The bio-basis function neural network technique applied to the detection of natively disordered regions in proteins. Bioinformatics 2005, 21, 3369–3376. [Google Scholar] [CrossRef]
- Mirdita, M.; Schutze, K.; Moriwaki, Y.; Heo, L.; Ovchinnikov, S.; Steinegger, M. ColabFold: Making protein folding accessible to all. Nat. Methods 2022, 19, 679–682. [Google Scholar] [CrossRef]
- Kelly, S.M.; Price, N.C. The use of circular dichroism in the investigation of protein structure and function. Curr. Protein Pept. Sci. 2000, 1, 349–384. [Google Scholar] [CrossRef] [PubMed]
- Dahal, S.R.; Lewellen, J.L.; Chaudhary, B.P.; Mohanty, S. (1)H, (13)C, and (15)N resonance assignment and secondary structure of the pheromone-binding protein2 from the agricultural pest Ostrinia furnacalis (OfurPBP2). Biomol. NMR Assign. 2020, 14, 115–118. [Google Scholar] [CrossRef]
- Baker, J.M.; Hudson, R.P.; Kanelis, V.; Choy, W.Y.; Thibodeau, P.H.; Thomas, P.J.; Forman-Kay, J.D. CFTR Regulatory Region Interacts with NBD1 Predominantly Via Multiple Transient Helices. Nat. Struct. Mol. Biol. 2007, 14, 738–745. [Google Scholar] [CrossRef] [PubMed]
- Wishart, D.S.; Case, D.A. Use of chemical shifts in macromolecular structure determination. Methods Enzymol. 2001, 338, 3–34. [Google Scholar] [PubMed]
- Liya, W.; John, L.M. Empirical Correlation between Protein Backbone 15N And 13C Secondary Chemical Shifts and its Application to Nitrogen Chemical Shift Re-referencing. J. Biomol. NMR 2009, 44, 95–99. [Google Scholar]
- Spera, S.; Bax, A. Empirical correlation between protein backbone conformation and C.alpha. and C.beta. 13C nuclear magnetic resonance chemical shifts. J. Am. Chem. Soc. 1991, 113, 5490–5492. [Google Scholar] [CrossRef]
- Maris, C.; Jayne, S.; Damberger, F.F.; Beusch, I.; Dorn, G.; Ravindranathan, S.; Allain, F.H. A transient alpha-helix in the N-terminal RNA recognition motif of polypyrimidine tract binding protein senses RNA secondary structure. Nucleic Acids Res. 2020, 48, 4521–4537. [Google Scholar] [CrossRef]
- Bondos, S.E.; Dunker, A.K.; Uversky, V.N. Intrinsically disordered proteins play diverse roles in cell signaling. Cell Commun. Signal. 2022, 20, 20. [Google Scholar] [CrossRef]
- Lermyte, F. Roles, Characteristics, and Analysis of Intrinsically Disordered Proteins: A Minireview. Life 2020, 10, 320. [Google Scholar] [CrossRef]
- Yruela, I.; Neira, J.L. Intrinsically disordered proteins in biology: One for all, all for one. Arch. Biochem. Biophys. 2020, 684, 108328. [Google Scholar] [CrossRef]
- Haque, M.E.; Spremulli, L.L.; Fecko, C.J. Identification of protein-protein and protein-ribosome interacting regions of the C-terminal tail of human mitochondrial inner membrane protein Oxa1L. J. Biol. Chem. 2010, 285, 34991–34998. [Google Scholar] [CrossRef] [PubMed]
- Kohler, R.; Boehringer, D.; Greber, B.; Bingel-Erlenmeyer, R.; Collinson, I.; Schaffitzel, C.; Ban, N. YidC and Oxa1 Form Dimeric Insertion Pores on the Translating Ribosome. Mol. Cell 2009, 34, 344–353. [Google Scholar] [CrossRef] [PubMed]
- Seidel, S.A.; Dijkman, P.M.; Lea, W.A.; van den Bogaart, G.; Jerabek-Willemsen, M.; Lazic, A.; Joseph, J.S.; Srinivasan, P.; Baaske, P.; Simeonov, A.; et al. Microscale thermophoresis quantifies biomolecular interactions under previously challenging conditions. Methods 2013, 59, 301–315. [Google Scholar] [CrossRef] [PubMed]







Disclaimer/Publisher’s Note: The statements, opinions and data contained in all publications are solely those of the individual author(s) and contributor(s) and not of MDPI and/or the editor(s). MDPI and/or the editor(s) disclaim responsibility for any injury to people or property resulting from any ideas, methods, instructions or products referred to in the content. |
© 2023 by the authors. Licensee MDPI, Basel, Switzerland. This article is an open access article distributed under the terms and conditions of the Creative Commons Attribution (CC BY) license (https://creativecommons.org/licenses/by/4.0/).
Share and Cite
Liu, Y.; Yang, J.; Ruan, M.; Zhang, H.; Wang, J.; Li, Y. NMR-Based Characterization of the Interaction between Yeast Oxa1-CTD and Ribosomes. Int. J. Mol. Sci. 2023, 24, 14657. https://doi.org/10.3390/ijms241914657
Liu Y, Yang J, Ruan M, Zhang H, Wang J, Li Y. NMR-Based Characterization of the Interaction between Yeast Oxa1-CTD and Ribosomes. International Journal of Molecular Sciences. 2023; 24(19):14657. https://doi.org/10.3390/ijms241914657
Chicago/Turabian StyleLiu, Yong, Jing Yang, Maosen Ruan, Huiqin Zhang, Junfeng Wang, and Yunyan Li. 2023. "NMR-Based Characterization of the Interaction between Yeast Oxa1-CTD and Ribosomes" International Journal of Molecular Sciences 24, no. 19: 14657. https://doi.org/10.3390/ijms241914657
APA StyleLiu, Y., Yang, J., Ruan, M., Zhang, H., Wang, J., & Li, Y. (2023). NMR-Based Characterization of the Interaction between Yeast Oxa1-CTD and Ribosomes. International Journal of Molecular Sciences, 24(19), 14657. https://doi.org/10.3390/ijms241914657

