Loss of ERβ in Aging LXRαβ Knockout Mice Leads to Colitis
Abstract
1. Introduction
2. Results
2.1. Expression of LXRα and LXRβ in the Colon
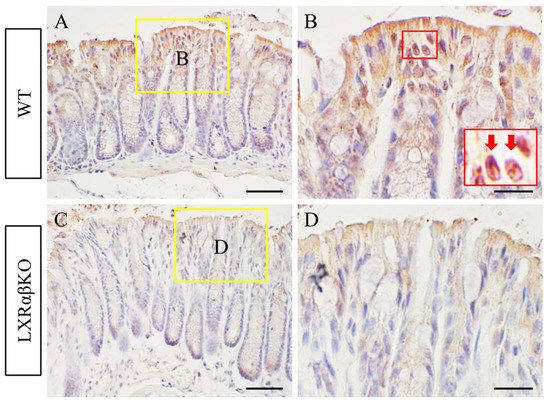
2.2. Decrease in the Intensity of Goblet Cells and Mucins in the Colon of LXRαβ−/− Mice
2.3. Increased Activation of Macrophages in the Lamina Propria of LXRαβ−/− Mice
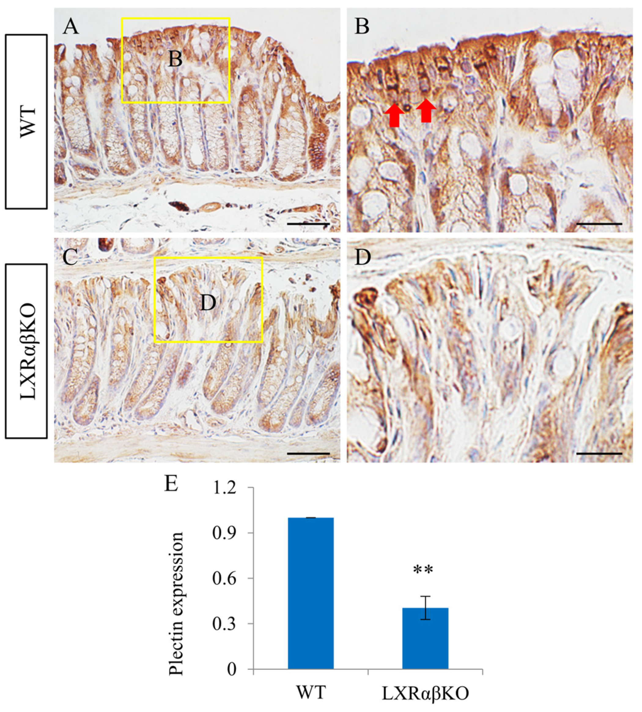
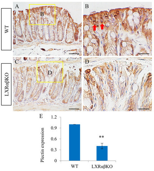
2.4. Decreased Expression of Plectin in the Colon of LXRαβ−/− Mice
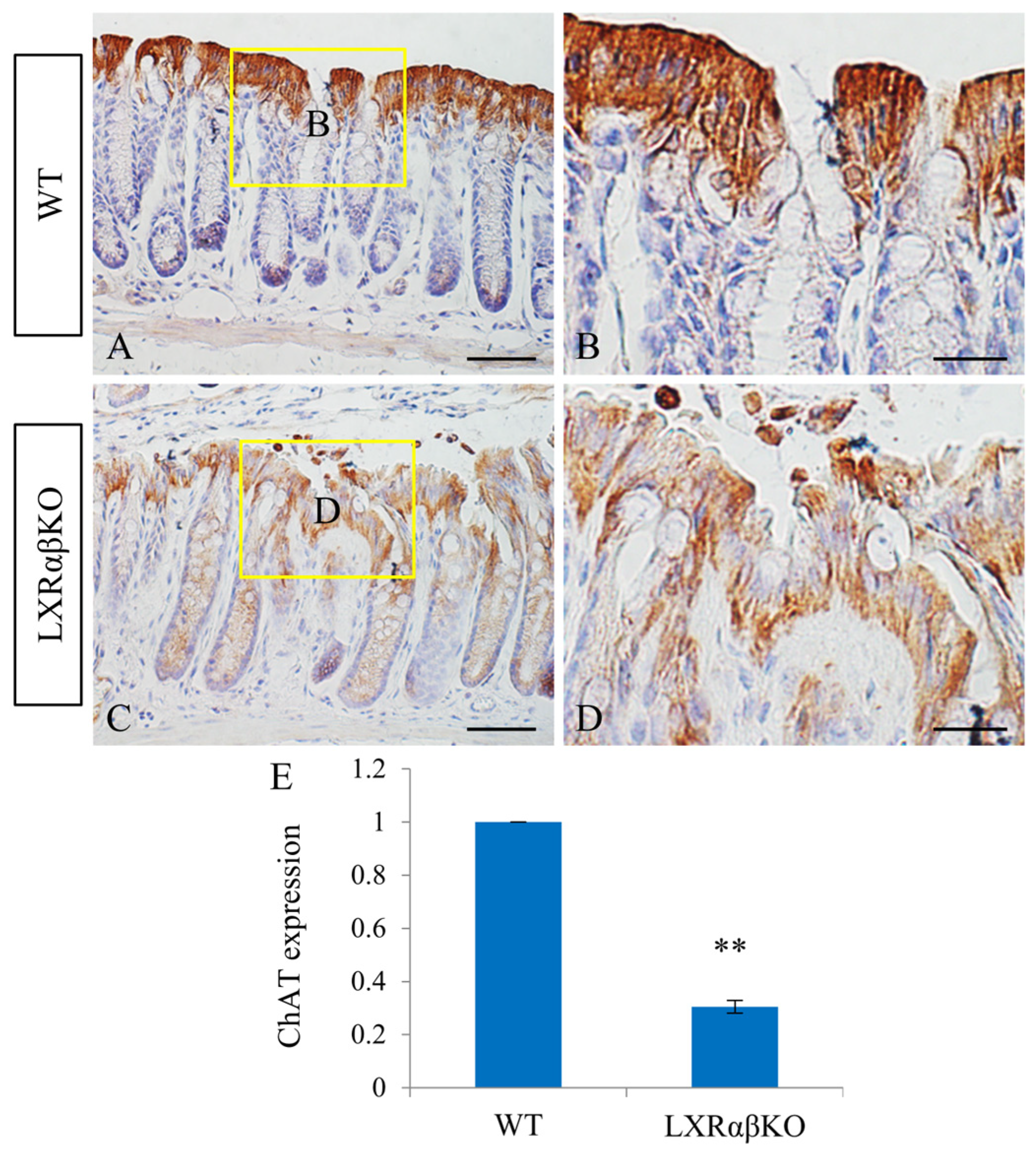
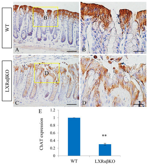
2.5. Decreased Expression of ChAT and ELOVL1 in the Colonic Epithelium of LXRαβ−/− Mice
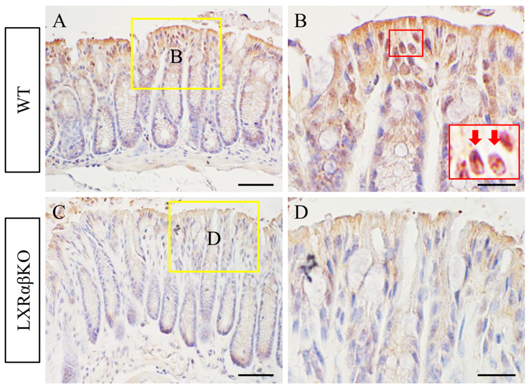
2.6. ERβ Expression in the Colon of WT and LXRαβ−/− Mice
3. Discussion
4. Materials and Methods
4.1. Animals
4.2. Histopathological Analysis
4.3. Immunohistochemistry
4.4. Quantification of Immunostaining
4.5. Data Analysis
5. Conclusions
Supplementary Materials
Author Contributions
Funding
Institutional Review Board Statement
Informed Consent Statement
Data Availability Statement
Acknowledgments
Conflicts of Interest
References
- Soderholm, A.T.; Pedicord, V.A. Intestinal epithelial cells: At the interface of the microbiota and mucosal immunity. Immunology 2019, 158, 267–280. [Google Scholar] [CrossRef]
- Jakobsson, T.; Treuter, E.; Gustafsson, J.A.; Steffensen, K.R. Liver X receptor biology and pharmacology: New pathways, challenges and opportunities. Trends Pharmacol. Sci. 2012, 33, 394–404. [Google Scholar] [CrossRef]
- Song, X.; Wu, W.; Warner, M.; Gustafsson, J.A. Liver X Receptor Regulation of Glial Cell Functions in the CNS. Biomedicines 2022, 10, 2165. [Google Scholar] [CrossRef]
- Korach-Andre, M.; Gustafsson, J.A. Liver X receptors as regulators of metabolism. Biomol. Concepts 2015, 6, 177–190. [Google Scholar] [CrossRef]
- Steffensen, K.R.; Jakobsson, T.; Gustafsson, J.A. Targeting liver X receptors in inflammation. Expert Opin. Ther. Targets 2013, 17, 977–990. [Google Scholar] [CrossRef]
- de Freitas, F.A.; Levy, D.; Reichert, C.O.; Cunha-Neto, E.; Kalil, J.; Bydlowski, S.P. Effects of Oxysterols on Immune Cells and Related Diseases. Cells 2022, 11, 1251. [Google Scholar] [CrossRef]
- Guillemot-Legris, O.; Muccioli, G.G. The oxysterome and its receptors as pharmacological targets in inflammatory diseases. Br. J. Pharmacol. 2022, 179, 4917–4940. [Google Scholar] [CrossRef]
- Yu, S.; Li, S.; Henke, A.; Muse, E.D.; Cheng, B.; Welzel, G.; Chatterjee, A.K.; Wang, D.; Roland, J.; Glass, C.K.; et al. Dissociated sterol-based liver X receptor agonists as therapeutics for chronic inflammatory diseases. FASEB J. Off. Publ. Fed. Am. Soc. Exp. Biol. 2016, 30, 2570–2579. [Google Scholar] [CrossRef]
- Miranda-Bautista, J.; Rodriguez-Feo, J.A.; Puerto, M.; Lopez-Cauce, B.; Lara, J.M.; Gonzalez-Novo, R.; Martin-Hernandez, D.; Ferreiro-Iglesias, R.; Banares, R.; Menchen, L. Liver X Receptor Exerts Anti-Inflammatory Effects in Colonic Epithelial Cells via ABCA1 and Its Expression Is Decreased in Human and Experimental Inflammatory Bowel Disease. Inflamm. Bowel Dis. 2021, 27, 1661–1673. [Google Scholar] [CrossRef] [PubMed]
- Andersen, V.; Christensen, J.; Ernst, A.; Jacobsen, B.A.; Tjonneland, A.; Krarup, H.B.; Vogel, U. Polymorphisms in NF-kappaB, PXR, LXR, PPARgamma and risk of inflammatory bowel disease. World J. Gastroenterol. 2011, 17, 197–206. [Google Scholar] [CrossRef] [PubMed]
- Jakobsson, T.; Vedin, L.L.; Hassan, T.; Venteclef, N.; Greco, D.; D’Amato, M.; Treuter, E.; Gustafsson, J.A.; Steffensen, K.R. The oxysterol receptor LXRbeta protects against DSS- and TNBS-induced colitis in mice. Mucosal Immunol. 2014, 7, 1416–1428. [Google Scholar] [CrossRef]
- Garcia-Villatoro, E.L.; Allred, C.D. Estrogen receptor actions in colitis. Essays Biochem. 2021, 65, 1003–1013. [Google Scholar] [CrossRef] [PubMed]
- Wada-Hiraike, O.; Imamov, O.; Hiraike, H.; Hultenby, K.; Schwend, T.; Omoto, Y.; Warner, M.; Gustafsson, J.A. Role of estrogen receptor beta in colonic epithelium. Proc. Natl. Acad. Sci. USA 2006, 103, 2959–2964. [Google Scholar] [CrossRef] [PubMed]
- Ma, Y.; Liu, T.; Li, X.; Kong, A.; Xiao, R.; Xie, R.; Gao, J.; Wang, Z.; Cai, Y.; Zou, J.; et al. Estrogen receptor beta deficiency impairs gut microbiota: A possible mechanism of IBD-induced anxiety-like behavior. Microbiome 2022, 10, 160. [Google Scholar] [CrossRef]
- Hases, L.; Indukuri, R.; Birgersson, M.; Nguyen-Vu, T.; Lozano, R.; Saxena, A.; Hartman, J.; Frasor, J.; Gustafsson, J.A.; Katajisto, P.; et al. Intestinal estrogen receptor beta suppresses colon inflammation and tumorigenesis in both sexes. Cancer Lett. 2020, 492, 54–62. [Google Scholar] [CrossRef]
- Wu, W.; Sarhadi, M.; Song, X.; Xue, J.; Dai, Y.; Gustafsson, J.A. Liver X receptors and estrogen receptor beta, two players in a rare subtype of NSCLC. Int. J. Biol. Sci. 2023, 19, 2848–2859. [Google Scholar] [CrossRef] [PubMed]
- Fan, X.; Kim, H.J.; Bouton, D.; Warner, M.; Gustafsson, J.A. Expression of liver X receptor beta is essential for formation of superficial cortical layers and migration of later-born neurons. Proc. Natl. Acad. Sci. USA 2008, 105, 13445–13450. [Google Scholar] [CrossRef]
- Kim, H.J.; Andersson, L.C.; Bouton, D.; Warner, M.; Gustafsson, J.A. Stromal growth and epithelial cell proliferation in ventral prostates of liver X receptor knockout mice. Proc. Natl. Acad. Sci. USA 2009, 106, 558–563. [Google Scholar] [CrossRef]
- Miao, Y.; Wu, W.; Dai, Y.; Maneix, L.; Huang, B.; Warner, M.; Gustafsson, J.A. Liver X receptor beta controls thyroid hormone feedback in the brain and regulates browning of subcutaneous white adipose tissue. Proc. Natl. Acad. Sci. USA 2015, 112, 14006–14011. [Google Scholar] [CrossRef] [PubMed]
- Dai, Y.B.; Wu, W.F.; Huang, B.; Miao, Y.F.; Nadarshina, S.; Warner, M.; Gustafsson, J.A. Liver X receptors regulate cerebrospinal fluid production. Mol. Psychiatry 2016, 21, 844–856. [Google Scholar] [CrossRef]
- Song, X.Y.; Wu, W.F.; Gabbi, C.; Dai, Y.B.; So, M.; Chaurasiya, S.P.; Wang, L.; Warner, M.; Gustafsson, J.A. Retinal and optic nerve degeneration in liver X receptor beta knockout mice. Proc. Natl. Acad. Sci. USA 2019, 116, 16507–16512. [Google Scholar] [CrossRef] [PubMed]
- Song, X.Y.; Wu, W.F.; Dai, Y.B.; Xu, H.W.; Roman, A.; Wang, L.; Warner, M.; Gustafsson, J.A. Ablation of Liver X receptor beta in mice leads to overactive macrophages and death of spiral ganglion neurons. Hear. Res. 2022, 422, 108534. [Google Scholar] [CrossRef] [PubMed]
- Aihara, E.; Engevik, K.A.; Montrose, M.H. Trefoil Factor Peptides and Gastrointestinal Function. Annu. Rev. Physiol. 2017, 79, 357–380. [Google Scholar] [CrossRef] [PubMed]
- Yip, J.L.K.; Balasuriya, G.K.; Spencer, S.J.; Hill-Yardin, E.L. The Role of Intestinal Macrophages in Gastrointestinal Homeostasis: Heterogeneity and Implications in Disease. Cell. Mol. Gastroenterol. Hepatol. 2021, 12, 1701–1718. [Google Scholar] [CrossRef]
- Beckmann, J.; Lips, K.S. The non-neuronal cholinergic system in health and disease. Pharmacology 2013, 92, 286–302. [Google Scholar] [CrossRef]
- Jin, Y.; Ibrahim, D.; Magness, S.T.; Blikslager, A.T. Knockout of ClC-2 reveals critical functions of adherens junctions in colonic homeostasis and tumorigenicity. Am. J. Physiol. Gastrointest. Liver Physiol. 2018, 315, G966–G979. [Google Scholar] [CrossRef]
- Castanon, M.J.; Wiche, G. Identifying Plectin Isoform Functions through Animal Models. Cells 2021, 10, 2453. [Google Scholar] [CrossRef]
- Kiritsi, D.; Tsakiris, L.; Schauer, F. Plectin in Skin Fragility Disorders. Cells 2021, 10, 2738. [Google Scholar] [CrossRef]
- Krausova, A.; Buresova, P.; Sarnova, L.; Oyman-Eyrilmez, G.; Skarda, J.; Wohl, P.; Bajer, L.; Sticova, E.; Bartonova, L.; Pacha, J.; et al. Plectin ensures intestinal epithelial integrity and protects colon against colitis. Mucosal Immunol. 2021, 14, 691–702. [Google Scholar] [CrossRef]
- De Arcangelis, A.; Hamade, H.; Alpy, F.; Normand, S.; Bruyere, E.; Lefebvre, O.; Mechine-Neuville, A.; Siebert, S.; Pfister, V.; Lepage, P.; et al. Hemidesmosome integrity protects the colon against colitis and colorectal cancer. Gut 2017, 66, 1748–1760. [Google Scholar] [CrossRef]
- Baribault, H.; Penner, J.; Iozzo, R.V.; Wilson-Heiner, M. Colorectal hyperplasia and inflammation in keratin 8-deficient FVB/N mice. Genes Dev. 1994, 8, 2964–2973. [Google Scholar] [CrossRef] [PubMed]
- Li, H.; Su, Y.S.; He, W.; Zhang, J.B.; Zhang, Q.; Jing, X.H.; Zhan, L.B. The nonneuronal cholinergic system in the colon: A comprehensive review. FASEB J. Off. Publ. Fed. Am. Soc. Exp. Biol. 2022, 36, e22165. [Google Scholar] [CrossRef]
- Bader, S.; Klein, J.; Diener, M. Choline acetyltransferase and organic cation transporters are responsible for synthesis and propionate-induced release of acetylcholine in colon epithelium. Eur. J. Pharmacol. 2014, 733, 23–33. [Google Scholar] [CrossRef]
- Lesko, S.; Wessler, I.; Gabel, G.; Petto, C.; Pfannkuche, H. Cholinergic modulation of epithelial integrity in the proximal colon of pigs. Cells Tissues Organs 2013, 197, 411–420. [Google Scholar] [CrossRef]
- Jonsson, M.; Norrgard, O.; Forsgren, S. Presence of a marked nonneuronal cholinergic system in human colon: Study of normal colon and colon in ulcerative colitis. Inflamm. Bowel Dis. 2007, 13, 1347–1356. [Google Scholar] [CrossRef]
- Bader, S.; Gerbig, S.; Spengler, B.; Schwiertz, A.; Breves, G.; Diener, M. Robustness of the non-neuronal cholinergic system in rat large intestine against luminal challenges. Pflug. Arch. Eur. J. Physiol. 2019, 471, 605–618. [Google Scholar] [CrossRef]
- Bader, S.; Diener, M. Segmental differences in the non-neuronal cholinergic system in rat caecum. Pflug. Arch. Eur. J. Physiol. 2018, 470, 669–679. [Google Scholar] [CrossRef]
- Sassa, T.; Ohno, Y.; Suzuki, S.; Nomura, T.; Nishioka, C.; Kashiwagi, T.; Hirayama, T.; Akiyama, M.; Taguchi, R.; Shimizu, H.; et al. Impaired epidermal permeability barrier in mice lacking elovl1, the gene responsible for very-long-chain fatty acid production. Mol. Cell. Biol. 2013, 33, 2787–2796. [Google Scholar] [CrossRef]
- Qin, T.; Yang, J.; Huang, D.; Zhang, Z.; Huang, Y.; Chen, H.; Xu, G. DOCK4 stimulates MUC2 production through its effect on goblet cell differentiation. J. Cell. Physiol. 2021, 236, 6507–6519. [Google Scholar] [CrossRef]
- Kalabis, J.; Rosenberg, I.; Podolsky, D.K. Vangl1 protein acts as a downstream effector of intestinal trefoil factor (ITF)/TFF3 signaling and regulates wound healing of intestinal epithelium. J. Biol. Chem. 2006, 281, 6434–6441. [Google Scholar] [CrossRef]
- Dai, Y.B.; Tan, X.J.; Wu, W.F.; Warner, M.; Gustafsson, J.A. Liver X receptor beta protects dopaminergic neurons in a mouse model of Parkinson disease. Proc. Natl. Acad. Sci. USA 2012, 109, 13112–13117. [Google Scholar] [CrossRef]
- Andersson, S.; Gustafsson, N.; Warner, M.; Gustafsson, J.A. Inactivation of liver X receptor beta leads to adult-onset motor neuron degeneration in male mice. Proc. Natl. Acad. Sci. USA 2005, 102, 3857–3862. [Google Scholar] [CrossRef]
- Dai, Y.B.; Miao, Y.F.; Wu, W.F.; Li, Y.; D’Errico, F.; Su, W.; Burns, A.R.; Huang, B.; Maneix, L.; Warner, M.; et al. Ablation of Liver X receptors alpha and beta leads to spontaneous peripheral squamous cell lung cancer in mice. Proc. Natl. Acad. Sci. USA 2016, 113, 7614–7619. [Google Scholar] [CrossRef]
- Hases, L.; Archer, A.; Williams, C. ERbeta and Inflammation. Adv. Exp. Med. Biol. 2022, 1390, 213–225. [Google Scholar] [CrossRef]
- Song, C.H.; Kim, N.; Sohn, S.H.; Lee, S.M.; Nam, R.H.; Na, H.Y.; Lee, D.H.; Surh, Y.J. Effects of 17beta-Estradiol on Colonic Permeability and Inflammation in an Azoxymethane/Dextran Sulfate Sodium-Induced Colitis Mouse Model. Gut Liver 2018, 12, 682–693. [Google Scholar] [CrossRef]
- Tao, Y.; Qiao, S.M.; Lv, C.J.; Yun, X.M.; Yue, M.F.; Fang, Y.L.; Wei, Z.F.; Dai, Y.; Xia, Y.F. Phytoestrogen arctigenin preserves the mucus barrier in inflammatory bowel diseases by inhibiting goblet cell apoptosis via the ERbeta/TRIM21/PHB1 pathway. Phytother. Res. PTR 2022, 36, 3248–3264. [Google Scholar] [CrossRef]
- Polari, L.; Anttila, S.; Helenius, T.; Wiklund, A.; Linnanen, T.; Toivola, D.M.; Maatta, J. Novel Selective Estrogen Receptor Modulator Ameliorates Murine Colitis. Int. J. Mol. Sci. 2019, 20, 7. [Google Scholar] [CrossRef]
- Alberti, S.; Schuster, G.; Parini, P.; Feltkamp, D.; Diczfalusy, U.; Rudling, M.; Angelin, B.; Bjorkhem, I.; Pettersson, S.; Gustafsson, J.A. Hepatic cholesterol metabolism and resistance to dietary cholesterol in LXRbeta-deficient mice. J. Clin. Investig. 2001, 107, 565–573. [Google Scholar] [CrossRef]








Disclaimer/Publisher’s Note: The statements, opinions and data contained in all publications are solely those of the individual author(s) and contributor(s) and not of MDPI and/or the editor(s). MDPI and/or the editor(s) disclaim responsibility for any injury to people or property resulting from any ideas, methods, instructions or products referred to in the content. |
© 2023 by the authors. Licensee MDPI, Basel, Switzerland. This article is an open access article distributed under the terms and conditions of the Creative Commons Attribution (CC BY) license (https://creativecommons.org/licenses/by/4.0/).
Share and Cite
Song, X.; Wu, W.; Dai, Y.; Warner, M.; Nalvarte, I.; Antonson, P.; Varshney, M.; Gustafsson, J.-Å. Loss of ERβ in Aging LXRαβ Knockout Mice Leads to Colitis. Int. J. Mol. Sci. 2023, 24, 12461. https://doi.org/10.3390/ijms241512461
Song X, Wu W, Dai Y, Warner M, Nalvarte I, Antonson P, Varshney M, Gustafsson J-Å. Loss of ERβ in Aging LXRαβ Knockout Mice Leads to Colitis. International Journal of Molecular Sciences. 2023; 24(15):12461. https://doi.org/10.3390/ijms241512461
Chicago/Turabian StyleSong, Xiaoyu, Wanfu Wu, Yubing Dai, Margaret Warner, Ivan Nalvarte, Per Antonson, Mukesh Varshney, and Jan-Åke Gustafsson. 2023. "Loss of ERβ in Aging LXRαβ Knockout Mice Leads to Colitis" International Journal of Molecular Sciences 24, no. 15: 12461. https://doi.org/10.3390/ijms241512461
APA StyleSong, X., Wu, W., Dai, Y., Warner, M., Nalvarte, I., Antonson, P., Varshney, M., & Gustafsson, J.-Å. (2023). Loss of ERβ in Aging LXRαβ Knockout Mice Leads to Colitis. International Journal of Molecular Sciences, 24(15), 12461. https://doi.org/10.3390/ijms241512461

