Functional Evidence of CCDC186 as a New Disease-Associated Gene with Endocrine and Central Nervous System Alterations
Abstract
1. Introduction
2. Results
2.1. Identification of CCDC186 Variant
2.2. Analysis of CCDC186 Protein Expression
2.3. RNA Sequencing
2.4. Functional Annotation of Differentially Expressed Genes
3. Discussion
4. Materials and Methods
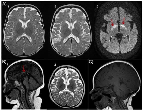
4.1. Cases Report
4.2. Whole Exome Sequencing (WES)
4.3. Protein Expression Analysis
4.4. RNA Sequencing
4.5. Functional Annotation of Differentially Expressed Genes
4.6. Statistics and Data Analysis
5. Conclusions
Supplementary Materials
Author Contributions
Funding
Institutional Review Board Statement
Informed Consent Statement
Data Availability Statement
Acknowledgments
Conflicts of Interest
References
- Priyanka, P.P.; Yenugu, S. Coiled-Coil Domain-Containing (CCDC) Proteins: Functional Roles in General and Male Reproductive Physiology. Reprod. Sci. 2021, 28, 2725–2734. [Google Scholar] [CrossRef] [PubMed]
- Rose, A.; Schraegle, S.J.; Stahlberg, E.A.; Meier, I. Coiled-coil protein composition of 22 proteomes—Differences and common themes in subcellular infrastructure and traffic control. BMC Evol. Biol. 2005, 5, 66. [Google Scholar] [CrossRef] [PubMed]
- Cattin-Ortolá, J.; Topalidou, I.; Dosey, A.; Merz, A.J.; Ailion, M. The dense-core vesicle maturation protein CCCP-1 binds RAB-2 and membranes through its C-terminal domain. Traffic 2017, 18, 720–732. [Google Scholar] [CrossRef] [PubMed]
- Gondré-Lewis, M.C.; Park, J.J.; Loh, Y.P. Cellular mechanisms for the biogenesis and transport of synaptic and dense-core vesicles. Int. Rev. Cell Mol. Biol. 2012, 299, 27–115. [Google Scholar] [CrossRef] [PubMed]
- Ailion, M.; Hannemann, M.; Dalton, S.; Pappas, A.; Watanabe, S.; Hegermann, J.; Liu, Q.; Han, H.-F.; Gu, M.; Goulding, M.Q.; et al. Two Rab2 interactors regulate dense-core vesicle maturation. Neuron 2014, 82, 167–180. [Google Scholar] [CrossRef] [PubMed]
- Edwards, S.L.; Charlie, N.K.; Richmond, J.E.; Hegermann, J.; Eimer, S.; Miller, K.G. Impaired dense core vesicle maturation in Caenorhabditis elegans mutants lacking Rab2. J. Cell Biol. 2009, 186, 881–895. [Google Scholar] [CrossRef] [PubMed]
- Topalidou, I.; Cattin-Ortolá, J.; Pappas, A.L.; Cooper, K.; Merrihew, G.E.; MacCoss, M.J.; Ailion, M. The EARP Complex and Its Interactor EIPR-1 Are Required for Cargo Sorting to Dense-Core Vesicles. PLoS Genet. 2016, 12, e1006074. [Google Scholar] [CrossRef] [PubMed]
- Wang, G.; Li, R.; Yang, Y.; Cai, L.; Ding, S.; Xu, T.; Han, M.; Wu, X. Disruption of the Golgi protein Otg1 gene causes defective hormone secretion and aberrant glucose homeostasis in mice. Cell Biosci. 2016, 6, 41. [Google Scholar] [CrossRef] [PubMed]
- Feinstein, M.; Flusser, H.; Lerman-Sagie, T.; Ben-Zeev, B.; Lev, D.; Agamy, O.; Cohen, I.; Kadir, R.; Sivan, S.; Leshinsky-Silver, E.; et al. VPS53 mutations cause progressive cerebello-cerebral atrophy type 2 (PCCA2). J. Med. Genet. 2014, 51, 303–308. [Google Scholar] [CrossRef] [PubMed]
- Hady-Cohen, R.; Ben-Pazi, H.; Adir, V.; Yosovich, K.; Blumkin, L.; Lerman-Sagie, T.; Lev, D. Progressive cerebello-cerebral atrophy and progressive encephalopathy with edema, hypsarrhythmia and optic atrophy may be allelic syndromes. Eur. J. Paediatr. Neurol. 2018, 22, 1133–1138. [Google Scholar] [CrossRef] [PubMed]
- Gershlick, D.C.; Ishida, M.; Jones, J.R.; Bellomo, A.; Bonifacino, J.S.; Everman, D.B. A neurodevelopmental disorder caused by mutations in the VPS51 subunit of the GARP and EARP complexes. Hum. Mol. Genet. 2019, 28, 1548–1560. [Google Scholar] [CrossRef] [PubMed]
- Gershlick, D.; Ishida, M.; Jones, J.R.; Bellomo, A.; Bonifacino, J.S.; Everman, D.B. VPS51 biallelic variants cause microcephaly with brain malformations: A confirmatory report. Eur. J. Med. Genet. 2019, 62, 103704. [Google Scholar] [CrossRef]
- E Schneeberger, P.; Nampoothiri, S.; Holling, T.; Yesodharan, D.; Alawi, M.; Knisely, A.S.; Müller, T.; Plecko, B.; Janecke, A.R.; Kutsche, K. Biallelic variants in VPS50 cause a neurodevelopmental disorder with neonatal cholestasis. Brain 2021, 144, 3036–3049. [Google Scholar] [CrossRef] [PubMed]
- Monies, D.; Abouelhoda, M.; AlSayed, M.; Alhassnan, Z.; Alotaibi, M.; Kayyali, H.; Al-Owain, M.; Shah, A.; Rahbeeni, Z.; Al-Muhaizea, M.A.; et al. The landscape of genetic diseases in Saudi Arabia based on the first 1000 diagnostic panels and exomes. Hum Genet. 2017, 136, 921–939. [Google Scholar] [CrossRef] [PubMed]
- Brugger, M.; Becker-Dettling, F.; Brunet, T.; Strom, T.; Meitinger, T.; Lurz, E.; Borggraefe, I.; Wagner, M. A homozygous truncating variant in CCDC186 in an individual with epileptic encephalopathy. Ann. Clin. Transl. Neurol. 2021, 8, 278–283. [Google Scholar] [CrossRef] [PubMed]
- Laurie, S.; Fernandez-Callejo, M.; Marco-Sola, S.; Trotta, J.; Camps, J.; Chacón, A.; Espinosa, A.; Gut, M.; Gut, I.; Heath, S.; et al. From Wet-Lab to Variations: Concordance and Speed of Bioinformatics Pipelines for Whole Genome and Whole Exome Sequencing. Hum. Mutat. 2016, 37, 1263–1271. [Google Scholar] [CrossRef] [PubMed]
- Brechtmann, F.; Mertes, C.; Matusevičiūtė, A.; Yépez, V.A.; Avsec, Ž.; Herzog, M.; Bader, D.M.; Prokisch, H.; Gagneur, J. OUTRIDER: A Statistical Method for Detecting Aberrantly Expressed Genes in RNA Sequencing Data. Am. J. Hum. Genet. 2018, 103, 907–917. [Google Scholar] [CrossRef] [PubMed]
- Mertes, C.; Scheller, I.F.; Yépez, V.A.; Çelik, M.H.; Liang, Y.; Kremer, L.S.; Gusic, M.; Prokisch, H.; Gagneur, J. Detection of aberrant splicing events in RNA-seq data using FRASER. Nat. Commun. 2021, 12, 529. [Google Scholar] [CrossRef] [PubMed]
- Yépez, V.A.; Mertes, C.; Müller, M.F.; Klaproth-Andrade, D.; Wachutka, L.; Frésard, L.; Gusic, M.; Scheller, I.F.; Goldberg, P.F.; Prokisch, H.; et al. Detection of aberrant gene expression events in RNA sequencing data. Nat. Protoc. 2021, 16, 1276–1296. [Google Scholar] [CrossRef] [PubMed]
- Yépez, V.A.; Gusic, M.; Kopajtich, R.; Mertes, C.; Smith, N.H.; Alston, C.L.; Ban, R.; Beblo, S.; Berutti, R.; Blessing, H.; et al. Clinical implementation of RNA sequencing for Mendelian disease diagnostics. Genome Med. 2022, 14, 38. [Google Scholar] [CrossRef] [PubMed]




| Brugger et al. [15] | This Report | ||||
|---|---|---|---|---|---|
| P1.1 | P1.2 | P2.1 | |||
| Age at onset | 4 months | Neonatal | Neonatal | Neonatal | |
| Exitus | Unknown. Age at last follow-up: 15 months | 7 months | 4 years | 10 months | |
| Origin | Senegalese | Spanish gypsy | Spanish gypsy | Spanish gypsy | |
| Consanguinity | Yes | Yes | Yes | No | |
| Congenital malformations | Infundibular pulmonary stenosis | No | Laryngomalacia | No | |
| Growth | IUGR | Yes | Yes | No | No |
| Failure to thrive | Yes | Yes | Yes | Yes | |
| Microcephaly | Yes | Yes | Yes (severe) | Yes (severe) | |
| Development | Developmental delay | Yes (severe) | Yes (severe) | Yes | Yes (severe) |
| Neurological findings | Muscular hypotonia | Yes | Yes | Yes | Yes |
| Refractory seizures | Yes | Yes | Yes | Yes | |
| MRI findings | Yes Frontotemporal atrophy | Yes Thin corpus callosum | Yes Thin corpus callosum Progressive frontotemporal atrophy | Yes Thin corpus callosum Progressive atrophy Hypomyelination | |
| Heart findings | NR | No | Yes Hypertrophic cardiomyopathy | No | |
| Gastrointestinal findings | Yes Vomiting, Swallowing Obstipation Exocrine pancreas insufficiency | Yes Gastroesophageal reflux | Yes Intestinal ischemia | Yes Gastroesophageal reflux Swallowing Exocrine pancreas insufficiency | |
| Endocrinologic findings | Yes Hypothyroidism, Suspected endocrine pancreas insufficiency | Yes Non-ketotic hypoglycemia, low IGF1 | Yes GH deficiency, non-ketotic hypoglycemia | Yes Non-ketotic hypoglycemia, low Insulin, cortisol, IGF1, BP3IGFl, and Elastase | |
| Respiratory findings | NR | Apneas | Apneas | Apneas | |
| Ophthalmologic findings | Lack of fixation | Lack of fixation | No | Lack of fixation | |
| Auditory findings | Hyperacusia, left side | No | No | No | |
| Genotype | c. [767C>G]; [767C>G] | c. [2215C>T]; [2215C>T] | c. [2215C>T]; [2215C>T] | c. [2215C>T]; [2215C>T] | |
| Effect on protein | p. [Ser256Ter]; [Ser256Ter] | p. [Arg739Ter]; [Arg739Ter] | p. [Arg739Ter]; [Arg739Ter] | p. [Arg739Ter]; [Arg739Ter] | |
Disclaimer/Publisher’s Note: The statements, opinions and data contained in all publications are solely those of the individual author(s) and contributor(s) and not of MDPI and/or the editor(s). MDPI and/or the editor(s) disclaim responsibility for any injury to people or property resulting from any ideas, methods, instructions or products referred to in the content. |
© 2023 by the authors. Licensee MDPI, Basel, Switzerland. This article is an open access article distributed under the terms and conditions of the Creative Commons Attribution (CC BY) license (https://creativecommons.org/licenses/by/4.0/).
Share and Cite
Arrabal, L.; Muñoz-Pujol, G.; Medina Martínez, I.; Gort, L.; García-Villoria, J.; Roldán, S.; Tort, F.; Ribes, A. Functional Evidence of CCDC186 as a New Disease-Associated Gene with Endocrine and Central Nervous System Alterations. Int. J. Mol. Sci. 2023, 24, 12319. https://doi.org/10.3390/ijms241512319
Arrabal L, Muñoz-Pujol G, Medina Martínez I, Gort L, García-Villoria J, Roldán S, Tort F, Ribes A. Functional Evidence of CCDC186 as a New Disease-Associated Gene with Endocrine and Central Nervous System Alterations. International Journal of Molecular Sciences. 2023; 24(15):12319. https://doi.org/10.3390/ijms241512319
Chicago/Turabian StyleArrabal, Luisa, Gerard Muñoz-Pujol, Inmaculada Medina Martínez, Laura Gort, Judit García-Villoria, Susana Roldán, Frederic Tort, and Antonia Ribes. 2023. "Functional Evidence of CCDC186 as a New Disease-Associated Gene with Endocrine and Central Nervous System Alterations" International Journal of Molecular Sciences 24, no. 15: 12319. https://doi.org/10.3390/ijms241512319
APA StyleArrabal, L., Muñoz-Pujol, G., Medina Martínez, I., Gort, L., García-Villoria, J., Roldán, S., Tort, F., & Ribes, A. (2023). Functional Evidence of CCDC186 as a New Disease-Associated Gene with Endocrine and Central Nervous System Alterations. International Journal of Molecular Sciences, 24(15), 12319. https://doi.org/10.3390/ijms241512319

