Magnetic Nanoemulsions for the Intra-Articular Delivery of Ascorbic Acid and Dexamethasone
Abstract
1. Introduction
2. Results
2.1. Physical Characterization of Magnetoemulsions
2.1.1. Stability, DLS, ζ-Potential Measurements, and Magnetization
2.1.2. MNE Magnetization
2.1.3. MNE Stability
2.1.4. MNE In Vitro Drug Release
2.2. Magnetoemulsion Interaction with Adipose Derived Mesenchymal Cells—ADSC
2.2.1. Morphological aspects of MNEs upload in ADSC
2.2.2. Iron Cellular Uptake
2.3. Magnetoemulsion Biocompatibility
2.3.1. In Vitro Cytotoxicity on ADSC
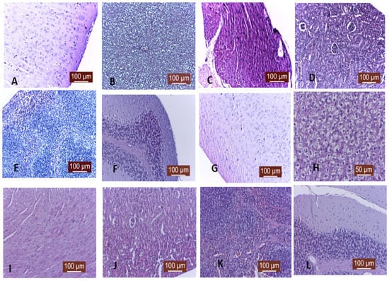
2.3.2. In Vivo MNE Biocompatibility
2.4. Magnetoemulsion Potential Therapeutic Effect Tested on ADSC
2.4.1. In Vitro Wound Healing on ADSC Model
2.4.2. ADSC Chondrogenesis
3. Discussion
4. Materials and Methods
4.1. Synthesis of MNEs
4.2. In Vitro Drug Release
4.3. MNE Characterization
4.4. Cells—Human Primary ADSC
4.5. In Vitro Cytotoxicity
4.6. Cellular Iron Uptake (Ferrozine Assay)
4.7. Morphological Aspects of ADSC Loaded with MNE
4.8. In Vitro Wound Healing Model
4.9. Chondrogenesis
4.10. Assessment of Chondrogenesis
4.11. In Vivo Biocompatibility
Animals
4.12. Experimental Design
4.13. Hematology
4.14. Assessment of Circulating Inflammation Markers (C Reactive Protein-CRP)
4.15. Statistical Analysis
4.16. Ethical Implications
5. Conclusions
Supplementary Materials
Author Contributions
Funding
Institutional Review Board Statement
Data Availability Statement
Conflicts of Interest
References
- Sarzi-Puttini, P.; Cimmino, M.A.; Scarpa, R.; Caporali, R.; Parazzini, F.; Zaninelli, A.; Atzeni, F.; Canesi, B. Osteoarthritis: An overview of the disease and its treatment strategies. Semin. Arthritis Rheum. 2005, 35 (Suppl. 1), 1–10. [Google Scholar] [CrossRef] [PubMed]
- Long, H.; Liu, Q.; Yin, H.; Wang, K.; Diao, N.; Zhang, Y.; Lin, J.; Guo, A. Prevalence Trends of Site-Specific Osteoarthritis From 1990 to 2019: Findings from the Global Burden of Disease Study 2019. Arthritis Rheumatol. 2022, 74, 1172–1183. [Google Scholar] [CrossRef]
- Neogi, T. The epidemiology and impact of pain in osteoarthritis. Osteoarthr. Cartil. 2013, 21, 1145–1153. [Google Scholar] [CrossRef]
- Wehling, M. Non-steroidal anti-inflammatory drug use in chronic pain conditions with special emphasis on the elderly and patients with relevant comorbidities: Management and mitigation of risks and adverse effects. Eur. J. Clin. Pharmacol. 2014, 70, 1159–1172. [Google Scholar] [CrossRef]
- Welsch, P.; Petzke, F.; Klose, P.; Häuser, W. Opioids for chronic osteoarthritis pain: An updated systematic review and meta-analysis of efficacy, tolerability and safety in randomized placebo-controlled studies of at least 4 weeks double-blind duration. Eur. J. Pain 2020, 24, 685–703. [Google Scholar] [CrossRef]
- Ayhan, E.; Kesmezacar, H.; Akgun, I. Intraarticular injections (corticosteroid, hyaluronic acid, platelet rich plasma) for the knee osteoarthritis. World J. Orthop. 2014, 5, 351–361. [Google Scholar] [CrossRef]
- Dragoo, J.L.; Danial, C.M.; Braun, H.J.; Pouliot, M.A.; Kim, H.J. The chondrotoxicity of single-dose corticosteroids. Knee Surg. Sport. Traumatol. Arthrosc. 2012, 20, 1809–1814. [Google Scholar] [CrossRef] [PubMed]
- Mehta, S.; He, T.; Bajpayee, A.G. Recent advances in targeted drug delivery for treatment of osteoarthritis. Curr. Opin. Rheumatol. 2021, 33, 94–109. [Google Scholar] [CrossRef] [PubMed]
- Mancipe Castro, L.M.; García, A.J.; Guldberg, R.E. Biomaterial strategies for improved intra-articular drug delivery. J. Biomed. Mater. Res. A 2021, 109, 426–436. [Google Scholar] [CrossRef]
- Stanicki, D.; Vangijzegem, T.; Ternad, I.; Laurent, S. An update on the applications and characteristics of magnetic iron oxide nanoparticles for drug delivery. Expert Opin. Drug Deliv. 2022, 19, 321–335. [Google Scholar] [CrossRef]
- Labusca, L.; Herea, D.D.; Mashayekhi, K. Stem cells as delivery vehicles for regenerative medicine-challenges and perspectives. World J. Stem Cells 2018, 10, 43–56. [Google Scholar] [CrossRef] [PubMed]
- Price, P.M.; Mahmoud, W.E.; Al-Ghamdi, A.A.; Bronstein, L.M. Magnetic Drug Delivery: Where the Field Is Going. Front. Chem. 2018, 6, 619. [Google Scholar] [CrossRef] [PubMed]
- Vlasova, K.Y.; Piroyan, A.; Le-Deygen, I.M.; Vishwasrao, H.M.; Ramsey, J.D.; Klyachko, N.L.; Golovin, Y.I.; Rudakovskaya, P.G.; Kireev, I.I.; Kabanov, A.V.; et al. Magnetic liposome design for drug release systems responsive to super-low frequency alternating current magnetic field (AC MF). J. Colloid Interface Sci. 2019, 552, 689–700. [Google Scholar] [CrossRef] [PubMed]
- Thuy, L.T.; Lee, S.; Dongquoc, V.; Choi, J.S. Nanoemulsion Composed of α-Tocopherol Succinate and Dequalinium Shows Mitochondria-Targeting and Anticancer Effects. Antioxidants 2023, 12, 437. [Google Scholar] [CrossRef]
- Wilson, B.; Geetha, K.M. Lipid nanoparticles in the development of mRNA vaccines for COVID-19. J. Drug Deliv. Sci. Technol. 2022, 74, 103553. [Google Scholar] [CrossRef] [PubMed]
- Langella, A.; Calcagno, V.; De Gregorio, V.; Urciuolo, F.; Imparato, G.; Vecchione, R.; Netti, P.A. In vitro study of intestinal epithelial interaction with engineered oil in water nanoemulsions conveying curcumin. Colloids Surf. B Biointerfaces 2018, 164, 232–239. [Google Scholar] [CrossRef] [PubMed]
- Tsai, M.J.; Fu, Y.S.; Lin, Y.H.; Huang, Y.B.; Wu, P.C. The effect of nanoemulsion as a carrier of hydrophilic compound for transdermal delivery. PLoS ONE 2014, 9, e102850. [Google Scholar] [CrossRef]
- Misra, S.K.; Pathak, K. Nose-to-Brain Targeting via Nanoemulsion: Significance and Evidence. Colloids Interfaces 2023, 7, 23. [Google Scholar] [CrossRef]
- Buchke, S.; Sharma, M.; Bora, A.; Relekar, M.; Bhanu, P.; Kumar, J. Mitochondria-Targeted, Nanoparticle-Based Drug-Delivery Systems: Therapeutics for Mitochondrial Disorders. Life 2022, 12, 657. [Google Scholar] [CrossRef]
- Lemos, S.E. Editorial Commentary: Periarticular and Intra-Articular Injections May Do the Right Thing for Patients’ Pain but May Be the Wrong Thing for Their Articular Cartilage: Be Careful. Arthroscopy 2022, 38, 1996–1998. [Google Scholar] [CrossRef]
- Labusca, L.; Herea, D.D.; Minuti, A.E.; Stavila, C.; Danceanu, C.; Grigoras, M.; Ababei, G.; Chiriac, H.; Lupu, N. Magnetic nanoparticle loaded human adipose derived mesenchymal cells spheroids in levitated culture. J. Biomed. Mater. Res. B Appl. Biomater. 2021, 109, 630–642. [Google Scholar] [CrossRef]
- Labusca, L.; Herea, D.D.; Emanuela Minuti, A.; Stavila, C.; Danceanu, C.; Plamadeala, P.; Chiriac, H.; Lupu, N. Magnetic Nanoparticles and Magnetic Field Exposure Enhances Chondrogenesis of Human Adipose Derived Mesenchymal Stem Cells but Not of Wharton Jelly Mesenchymal Stem Cells. Front. Bioeng. Biotechnol. 2021, 9, 737132. [Google Scholar] [CrossRef]
- Levy, M.Y.; Schutze, W.; Fuhrer, C.; Benita, S. Characterization of diazepam submicron emulsion interface: Role of oleic acid. J Microencapsul. 1994, 11, 79–92. [Google Scholar] [CrossRef] [PubMed]
- Azmi, N.A.N.; Elgharbawy, A.A.M.; Motlagh, S.R.; Samsudin, N.; Salleh, H.M. Nanoemulsions: Factory for Food, Pharmaceutical and Cosmetics. Processes 2019, 7, 617. [Google Scholar] [CrossRef]
- Farcas, C.G.; Dehelean, C.; Pinzaru, I.A.; Mioc, M.; Socoliuc, V.; Moaca, E.A.; Avram, S.; Ghiulai, R.; Coricovac, D.; Pavel, I.; et al. Thermosensitive Betulinic Acid-Loaded Magnetoliposomes: A Promising Antitumor Potential for Highly Aggressive Human Breast Adenocarcinoma Cells Under Hyperthermic Conditions. Int. J. Nanomed. 2020, 15, 8175–8200. [Google Scholar] [CrossRef]
- Oh, D.H.; Balakrishnan, P.; Oh, Y.-K.; Kim, D.-D.; Yong, C.S.; Choi, H.-G. Effect of process parameters on nanoemulsion droplet size and distribution in SPG membrane emulsification. Int. J. Pharm. 2011, 404, 191–197. [Google Scholar] [CrossRef]
- Danceanu-Zara, C.M.; Minuti, A.; Stavila, C.; Labusca, L.; Herea, D.D.; Tiron, C.E.; Chiriac, H.; Lupu, N. Magnetic Nanoparticle Coating Decreases the Senescence and Increases the Targeting Potential of Fibroblasts and Adipose-Derived Mesenchymal Stem Cells. ACS Omega 2023, 8, 23953–23963. [Google Scholar] [CrossRef] [PubMed]
- Winter, E.; Dal Pizzol, C.; Locatelli, C.; Crezkynski-Pasa, T.B. Development and Evaluation of Lipid Nanoparticles for Drug Delivery: Study of Toxicity In, Vitro and In Vivo. J. Nanosci. Nanotechnol. 2016, 16, 1321–1330. [Google Scholar] [CrossRef]
- Rodríguez-Burneo, N.; Busquets, M.A.; Estelrich, J. Magnetic Nanoemulsions: Comparison between Nanoemulsions Formed by Ultrasonication and by Spontaneous Emulsification. Nanomaterials 2017, 7, 190. [Google Scholar] [CrossRef]
- Zeng, T.; Zhang, C.L.; Xiao, M.; Yang, R.; Xie, K.Q. Critical Roles of Kupffer Cells in the Pathogenesis of Alcoholic Liver Disease: From Basic Science to Clinical Trials. Front. Immunol. 2016, 7, 538. [Google Scholar] [CrossRef]
- Shingyochi, Y.; Orbay, H.; Mizuno, H. Adipose-derived stem cells for wound repair and regeneration. Expert Opin. Biol. Ther. 2015, 15, 1285–1292. [Google Scholar] [CrossRef] [PubMed]
- Stewart, A.A.; Byron, C.R.; Pondenis, H.C.; Stewart, M.C. Effect of dexamethasone supplementation on chondrogenesis of equine mesenchymal stem cells. Am. J. Vet. Res. 2008, 69, 1013–1021. [Google Scholar] [CrossRef] [PubMed]
- Shintani, N.; Hunziker, E.B. Differential effects of dexamethasone on the chondrogenesis of mesenchymal stromal cells: Influence of microenvironment, tissue origin and growth factor. Eur. Cell Mater. 2011, 22, 302–319. [Google Scholar] [CrossRef] [PubMed]
- Peng, Y.; Jiang, H.; Zuo, H.D. Factors affecting osteogenesis and chondrogenic differentiation of mesenchymal stem cells in osteoarthritis. World J. Stem Cells 2023, 15, 548–560. [Google Scholar] [CrossRef]
- Yamauchi, M.; Sricholpech, M. Lysine post-translational modifications of collagen. Essays Biochem. 2012, 52, 113–133. [Google Scholar]
- Van de Walle, A.; Plan Sangnier, A.; Abou-Hassan, A.; Curcio, A.; Hémadi, M.; Menguy, N.; Lalatonne, Y.; Luciani, N.; Wilhelm, C. Biosynthesis of magnetic nanoparticles from nano-degradation products revealed in human stem cells. Proc. Natl. Acad. Sci. USA 2019, 116, 4044–4053. [Google Scholar] [CrossRef]
- Theruvath, A.J.; Mahmoud, E.E.; Wu, W.; Nejadnik, H.; Kiru, L.; Liang, T.; Felt, S.; Daldrup-Link, H.E. Ascorbic Acid and Iron Supplement Treatment Improves Stem Cell-Mediated Cartilage Regeneration in a Minipig Model. Am. J. Sport. Med. 2021, 49, 1861–1870. [Google Scholar] [CrossRef]
- Dadfar, S.M.; Roemhild, K.; Drude, N.I.; von Stillfried, S.; Knüchel, R.; Kiessling, F.; Lammers, T. Iron oxide nanoparticles: Diagnostic, therapeutic and theranostic applications. Adv. Drug Deliv. Rev. 2019, 138, 302–325. [Google Scholar] [CrossRef]












| Physical Characteristics | OA-MNPs | MNEs-Dex | MNEs-As.Ac. |
|---|---|---|---|
| Diameter (nm) | 116.63 | 186.25 | 200 |
| Polydispersity index | 0.22 | 0.36 | 0.26 |
| ζ-potential (mV) | −148.7 | 20.69 | 20.17 |
| Sample | RBC (1012/L) | HGB (g/dL) | HCT (%) | MCV (fL) | MCH (pg) | MCHC (g/dL) | RDWc (%) | RDWs (%) | PLT (109/L) |
|---|---|---|---|---|---|---|---|---|---|
| MNP OA 80 µg/mL | 8.25 ± 0.55 | 13.55 ± 0.93 | 42.45 ± 3.65 | 51.50 ± 3.34 | 11.81 ± 0.81 | 25.84 ± 2.62 | 19.32 ± 1.54 | 38.3 ± 6.22 | 312.48 ± 18.41 |
| MNP OA 160 µg/mL | 8.60 ± 0.24 | 12.45 ± 0.53 | 41.91 ± 3.87 | 52.13 ± 1.81 | 12.14 ± 0.45 | 25.52 ± 1.52 | 19.26 ± 0.67 | 38.65 ± 5.12 | 321.42 ± 23.16 |
| MNE-Dexa-80 µg/mL | 8.46 ± 0.13 | 13.13 ± 0.67 | 42.13 ± 2.71 | 52 ± 2.72 | 12.45 ± 0.18 | 28.55 ± 2.34 | 19.22 ± 1.14 | 38.37 ± 6.38 | 341.23 ± 14.61 |
| MNE-Dexa-160 µg/mL | 9.46 ± 0.32 | 14.43 ± 0.88 | 43.45± 1.41 | 52 ± 1.89 | 12.15 ± 0.34 | 27.37 ± 2.87 | 17.91 ± 1.21 | 37.82 ± 5.69 | 323.26 ± 18.56 |
| MNE-As.Ac 80 µg/mL | 8.81 ± 0.42 | 14.51 ± 0.67 | 42.10 ± 3.23 | 50 ± 3.56 | 12.33 ± 0.42 | 28.83 ± 1.58 | 19.63 ± 0.28 | 38.34 ± 5.54 | 310.31 ± 34.87 |
| MNE-As.Ac 160 µg/mL | 8.70 ± 0.48 | 13.65 ± 0.14 | 43.06 ± 1.65 | 54 ± 3.11 | 12.11 ± 0.32 | 24.36 ± 2.83 | 18.15 ± 0.77 | 38.31 ± 6.43 | 296.42 ± 39.85 |
| DMEM 300 µL | 9.19 ± 0.18 | 13.80 ± 0.98 | 42.88± 2.84 | 53 ± 2.21 | 12.38 ± 0.41 | 28.18 ± 1.29 | 19.11 ± 0.47 | 38.33 ± 5.31 | 291.22 ± 28.48 |
| Saline 300 µL | 9.54 ± 0.36 | 14.35 ± 0.32 | 43.66± 2.14 | 54 ± 2.76 | 12.24 ± 0.45 | 28.44 ± 1.56 | 18.94 ± 1.87 | 39.12 ± 4.87 | 301 ± 26.26 |
Disclaimer/Publisher’s Note: The statements, opinions and data contained in all publications are solely those of the individual author(s) and contributor(s) and not of MDPI and/or the editor(s). MDPI and/or the editor(s) disclaim responsibility for any injury to people or property resulting from any ideas, methods, instructions or products referred to in the content. |
© 2023 by the authors. Licensee MDPI, Basel, Switzerland. This article is an open access article distributed under the terms and conditions of the Creative Commons Attribution (CC BY) license (https://creativecommons.org/licenses/by/4.0/).
Share and Cite
Zară-Dănceanu, C.M.; Stavilă, C.; Minuti, A.E.; Lăbușcă, L.; Nastasa, V.; Herea, D.-D.; Malancus, R.-N.; Ghercă, D.; Pasca, S.-A.; Chiriac, H.; et al. Magnetic Nanoemulsions for the Intra-Articular Delivery of Ascorbic Acid and Dexamethasone. Int. J. Mol. Sci. 2023, 24, 11916. https://doi.org/10.3390/ijms241511916
Zară-Dănceanu CM, Stavilă C, Minuti AE, Lăbușcă L, Nastasa V, Herea D-D, Malancus R-N, Ghercă D, Pasca S-A, Chiriac H, et al. Magnetic Nanoemulsions for the Intra-Articular Delivery of Ascorbic Acid and Dexamethasone. International Journal of Molecular Sciences. 2023; 24(15):11916. https://doi.org/10.3390/ijms241511916
Chicago/Turabian StyleZară-Dănceanu, Camelia Mihaela, Cristina Stavilă, Anca Emanuela Minuti, Luminiţa Lăbușcă, Valentin Nastasa, Dumitru-Daniel Herea, Răzvan-Nicolae Malancus, Daniel Ghercă, Sorin-Aurelian Pasca, Horia Chiriac, and et al. 2023. "Magnetic Nanoemulsions for the Intra-Articular Delivery of Ascorbic Acid and Dexamethasone" International Journal of Molecular Sciences 24, no. 15: 11916. https://doi.org/10.3390/ijms241511916
APA StyleZară-Dănceanu, C. M., Stavilă, C., Minuti, A. E., Lăbușcă, L., Nastasa, V., Herea, D.-D., Malancus, R.-N., Ghercă, D., Pasca, S.-A., Chiriac, H., Mares, M., & Lupu, N. (2023). Magnetic Nanoemulsions for the Intra-Articular Delivery of Ascorbic Acid and Dexamethasone. International Journal of Molecular Sciences, 24(15), 11916. https://doi.org/10.3390/ijms241511916

