Effects of the Overexpression of Progesterone Receptors on a Precancer p53 and Rb-Defective Human Fallopian Tube Epithelial Cell Line
Abstract
1. Introduction
2. Results
2.1. Transfection with PRA- or PRB-Overexpressing Constructs Increased the Expression of PRA or PRB in FE25 Cells
2.2. FE25-PRA Decreased Proliferation, While FE25-PRB Increased Proliferation
2.3. FE25-PRA Promoted Cell Migration, While FE25-PRB Inhibited Cell Migration, Both of Which Were Reversed by Progesterone Treatment
2.4. FE25-PRA Promoted Cell Invasion, While FE25-PRB Inhibited Cell Invasion, Both of Which Were Reversed by Progesterone Treatment
2.5. Progesterone Inhibited AIG
2.6. Progesterone Increased Apoptosis (TUNEL+ Cells) in FE25-PRA or FE25-PRB
2.7. FE25-PRA or -PRB Increased Chemoresistance of Carboplatin
2.8. Progesterone Activated the AKT and ERK Signaling Pathways in FE25-PRA or FE25-PRB
2.9. Progesterone Decreased BCL2 and XIAP Expression in FE25-PRA or FE25-PRB
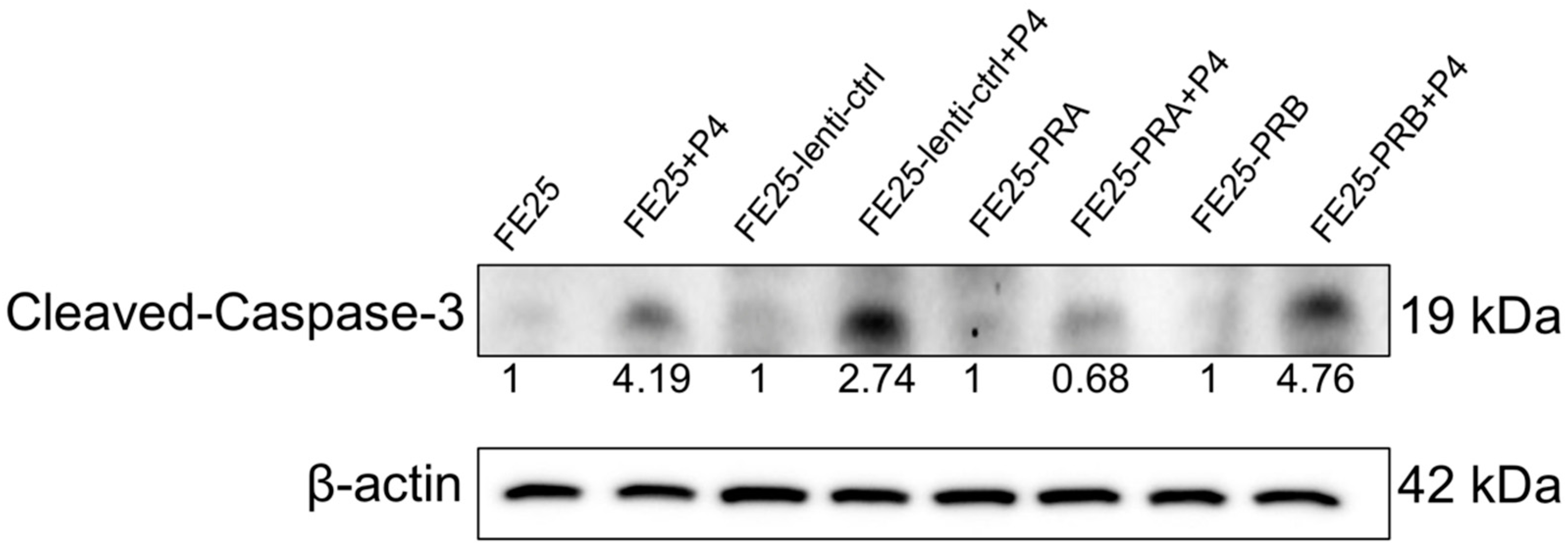
2.10. Progesterone Treatment Increased Cleaved Caspase 3 Expression in FE25-PRB but Decreased in FE25-PRA
3. Discussion
4. Materials and Methods
4.1. Cell Lines
4.2. Upregulation of Progesterone Receptors Using a Lentivector
4.3. The Proliferation of Cells
4.4. Migration and Invasion Assay
4.5. Anchorage-Independent Growth in Soft Agar
4.6. Quantitative Polymerase Chain Reaction (qPCR) and Reverse Transcription-Polymerase Chain Reaction (RT-PCR)
4.6.1. Extraction of Total RNA from Cells
4.6.2. Preparation of cDNA
4.6.3. qPCR
4.7. Terminal Deoxynucleotidyl Transferase dUTP Nick End Labeling (TUNEL) Assay
4.8. Sensitivity to Chemotherapy Drugs
4.9. Western Blot
4.10. Statistical Analyses
5. Conclusions
Author Contributions
Funding
Institutional Review Board Statement
Informed Consent Statement
Data Availability Statement
Conflicts of Interest
References
- Zhang, Y.; Luo, G.; Li, M.; Guo, P.; Xiao, Y.; Ji, H.; Hao, Y. Global Patterns and Trends in Ovarian Cancer Incidence: Age, Period and Birth Cohort Analysis. BMC Cancer 2019, 19, 984. [Google Scholar] [CrossRef]
- Huang, J.; Chan, W.C.; Ngai, C.H.; Lok, V.; Zhang, L.; Lucero-Prisno, D.E., 3rd; Xu, W.; Zheng, Z.-J.; Elcarte, E.; Withers, M.; et al. Worldwide Burden, Risk Factors, and Temporal Trends of Ovarian Cancer: A Global Study. Cancers 2022, 14, 2230. [Google Scholar] [CrossRef] [PubMed]
- Reid, B.M.; Permuth, J.B.; Sellers, T.A. Epidemiology of Ovarian Cancer: A Review. Cancer Biol. Med. 2017, 14, 9–32. [Google Scholar]
- O’Cearbhaill, R.E. Using PARP Inhibitors in Advanced Ovarian Cancer. Oncology 2018, 32, 339–343. [Google Scholar]
- Perren, T.J.; Swart, A.M.; Pfisterer, J.; Ledermann, J.A.; Pujade-Lauraine, E.; Kristensen, G.; Carey, M.S.; Beale, P.; Cervantes, A.; Kurzeder, C.; et al. A Phase 3 Trial of Bevacizumab in Ovarian Cancer. N. Engl. J. Med. 2011, 365, 2484–2496. [Google Scholar] [CrossRef] [PubMed]
- Burger, R.A.; Brady, M.F.; Bookman, M.A.; Fleming, G.F.; Monk, B.J.; Huang, H.; Mannel, R.S.; Homesley, H.D.; Fowler, J.; Greer, B.E.; et al. Incorporation of Bevacizumab in the Primary Treatment of Ovarian Cancer. N. Engl. J. Med. 2011, 365, 2473–2483. [Google Scholar] [CrossRef]
- Audeh, M.W.; Carmichael, J.; Penson, R.T.; Friedlander, M.; Powell, B.; Bell-McGuinn, K.M.; Scott, C.; Weitzel, J.N.; Oaknin, A.; Loman, N.; et al. Oral poly(ADP-ribose) Polymerase Inhibitor Olaparib in Patients with BRCA1 or BRCA2 Mutations and Recurrent Ovarian Cancer: A Proof-of-Concept Trial. Lancet 2010, 376, 245–251. [Google Scholar] [CrossRef] [PubMed]
- Evans, T.; Matulonis, U. PARP Inhibitors in Ovarian Cancer: Evidence, Experience and Clinical Potential. Ther. Adv. Med. Oncol. 2017, 9, 253–267. [Google Scholar] [CrossRef]
- Lin, H.; Lan, K.-C.; Ou, Y.-C.; Wu, C.-H.; Kang, H.-Y.; Chuang, I.-C.; Fu, H.-C. Highly Expressed Progesterone Receptor B Isoform Increases Platinum Sensitivity and Survival of Ovarian High-Grade Serous Carcinoma. Cancers 2021, 13, 5578. [Google Scholar] [CrossRef]
- Li, H.; Liu, Y.; Wang, Y.; Zhao, X.; Qi, X. Hormone Therapy for Ovarian Cancer: Emphasis on Mechanisms and Applications (Review). Oncol. Rep. 2021, 46, 223. [Google Scholar] [CrossRef]
- Bellance, C.; Khan, J.A.; Meduri, G.; Guiochon-Mantel, A.; Lombès, M.; Loosfelt, H. Progesterone Receptor Isoforms PRA and PRB Differentially Contribute to Breast Cancer Cell Migration through Interaction with Focal Adhesion Kinase Complexes. Mol. Biol. Cell 2013, 24, 1363–1374. [Google Scholar] [CrossRef] [PubMed]
- Graham, J.D.; Clarke, C.L. Expression and Transcriptional Activity of Progesterone Receptor A and Progesterone Receptor B in Mammalian Cells. Breast Cancer Res. 2002, 4, 187–190. [Google Scholar] [CrossRef]
- Lenhard, M.; Tereza, L.; Heublein, S.; Ditsch, N.; Himsl, I.; Mayr, D.; Friese, K.; Jeschke, U. Steroid Hormone Receptor Expression in Ovarian Cancer: Progesterone Receptor B as Prognostic Marker for Patient Survival. BMC Cancer 2012, 12, 553. [Google Scholar] [CrossRef]
- Lau, K.-M.; Mok, S.C.; Ho, S.-M. Expression of Human Estrogen Receptor-α and -β, Progesterone Receptor, and Androgen Receptor mRNA in Normal and Malignant Ovarian Epithelial Cells. Proc. Natl. Acad. Sci. USA 1999, 96, 5722–5727. [Google Scholar] [CrossRef] [PubMed]
- Ajani, M.A.; Salami, A.; Awolude, O.A.; Oluwasola, A.O. Hormone-Receptor Expression Status of Epithelial Ovarian Cancer in Ibadan, South-Western Nigeria. Pan Afr. Med. J. 2017, 27, 259. [Google Scholar] [CrossRef] [PubMed]
- Li, Y.; Huang, C.; Kavlashvili, T.; Fronk, A.; Zhang, Y.; Wei, Y.; Dai, D.; Devor, E.J.; Meng, X.; Thiel, K.W.; et al. Loss of Progesterone Receptor through Epigenetic Regulation Is Associated with Poor Prognosis in Solid Tumors. Am. J. Cancer Res. 2020, 10, 1827–1843. [Google Scholar]
- Sieh, W.; Köbel, M.; Longacre, T.A.; Bowtell, D.D.; deFazio, A.; Goodman, M.T.; Høgdall, E.; Deen, S.; Wentzensen, N.; Moysich, K.B.; et al. Hormone-Receptor Expression and Ovarian Cancer Survival: An Ovarian Tumor Tissue Analysis Consortium Study. Lancet Oncol. 2013, 14, 853–862. [Google Scholar] [CrossRef]
- Tone, A.A.; Virtanen, C.; Shaw, P.A.; Brown, T.J. Decreased Progesterone Receptor Isoform Expression in Luteal Phase Fallopian Tube Epithelium and High-Grade Serous Carcinoma. Endocr. Relat. Cancer 2011, 18, 221–234. [Google Scholar] [CrossRef]
- Liao, J.; Ding, D.; Sun, C.; Weng, D.; Meng, L.; Chen, G.; Ma, D. Polymorphisms of Progesterone Receptor and Ovarian Cancer Risk: A Systemic Review and Meta-Analysis. J. Obstet. Gynaecol. Res. 2015, 41, 178–187. [Google Scholar] [CrossRef]
- Kurman, R.J.; Shih, I.-M. The Dualistic Model of Ovarian Carcinogenesis: Revisited, Revised, and Expanded. Am. J. Pathol. 2016, 186, 733–747. [Google Scholar] [CrossRef]
- Hong, M.-K.; Chu, T.-Y.; Ding, D.-C. The Fallopian Tube Is the Culprit and an Accomplice in Type II Ovarian Cancer: A Review. Tzu Chi Med. J. 2013, 25, 203–205. [Google Scholar] [CrossRef]
- Huang, H.-S.; Chu, S.-C.; Hsu, C.-F.; Chen, P.-C.; Ding, D.-C.; Chang, M.-Y.; Chu, T.-Y. Mutagenic, Surviving and Tumorigenic Effects of Follicular Fluid in the Context of p53 Loss: Initiation of Fimbria Carcinogenesis. Carcinogenesis 2015, 36, 1419–1428. [Google Scholar] [CrossRef]
- Chang, Y.-H.; Chu, T.-Y.; Ding, D.-C. Spontaneous Transformation of a p53 and Rb-Defective Human Fallopian Tube Epithelial Cell Line after Long Passage with Features of High-Grade Serous Carcinoma. Int. J. Mol. Sci. 2022, 23, 13843. [Google Scholar] [CrossRef]
- Timmermans-Sprang, E.P.M.; Gracanin, A.; Mol, J.A. Molecular Signaling of Progesterone, Growth Hormone, Wnt, and HER in Mammary Glands of Dogs, Rodents, and Humans: New Treatment Target Identification. Front. Vet. Sci. 2017, 4, 53. [Google Scholar] [CrossRef] [PubMed]
- Khan, J.A.; Bellance, C.; Guiochon-Mantel, A.; Lombès, M.; Loosfelt, H. Differential Regulation of Breast Cancer-Associated Genes by Progesterone Receptor Isoforms PRA and PRB in a New Bi-Inducible Breast Cancer Cell Line. PLoS ONE 2012, 7, e45993. [Google Scholar] [CrossRef] [PubMed]
- Nouaille, S.; Mondeil, S.; Finoux, A.-L.; Moulis, C.; Girbal, L.; Cocaign-Bousquet, M. The Stability of an mRNA Is Influenced by Its Concentration: A Potential Physical Mechanism to Regulate Gene Expression. Nucleic Acids Res. 2017, 45, 11711–11724. [Google Scholar] [CrossRef] [PubMed]
- Jacobsen, B.M.; Horwitz, K.B. Progesterone Receptors, Their Isoforms and Progesterone Regulated Transcription. Mol. Cell. Endocrinol. 2012, 357, 18–29. [Google Scholar] [CrossRef]
- Bhurke, A.S.; Bagchi, I.C.; Bagchi, M.K. Progesterone-Regulated Endometrial Factors Controlling Implantation. Am. J. Reprod. Immunol. 2016, 75, 237–245. [Google Scholar] [CrossRef]
- Cope, D.I.; Monsivais, D. Progesterone Receptor Signaling in the Uterus Is Essential for Pregnancy Success. Cells 2022, 11, 1474. [Google Scholar] [CrossRef]
- Scarpin, K.M.; Graham, J.D.; Mote, P.A.; Clarke, C.L. Progesterone Action in Human Tissues: Regulation by Progesterone Receptor (PR) Isoform Expression, Nuclear Positioning and Coregulator Expression. Nucl. Recept. Signal. 2009, 7, e009. [Google Scholar] [CrossRef]
- Kariagina, A.; Aupperlee, M.D.; Haslam, S.Z. Progesterone Receptor Isoform Functions in Normal Breast Development and Breast Cancer. Crit. Rev. Eukaryot. Gene Expr. 2008, 18, 11–33. [Google Scholar] [CrossRef] [PubMed]
- Li, S.; Han, B.; Liu, G.; Li, S.; Ouellet, J.; Labrie, F.; Pelletier, G. Immunocytochemical Localization of Sex Steroid Hormone Receptors in Normal Human Mammary Gland. J. Histochem. Cytochem. 2010, 58, 509–515. [Google Scholar] [CrossRef]
- Shah, N.M.; Lai, P.F.; Imami, N.; Johnson, M.R. Progesterone-Related Immune Modulation of Pregnancy and Labor. Front. Endocrinol. 2019, 10, 198. [Google Scholar] [CrossRef]
- Pedernera, E.; Gómora, M.J.; Morales-Vásquez, F.; Pérez-Montiel, D.; Mendez, C. Progesterone Reduces Cell Survival in Primary Cultures of Endometrioid Ovarian Cancer. J. Ovarian Res. 2019, 12, 15. [Google Scholar] [CrossRef]
- Wu, N.-Y.Y.; Fang, C.; Huang, H.-S.; Wang, J.; Chu, T.-Y. Natural History of Ovarian High-Grade Serous Carcinoma from Time Effects of Ovulation Inhibition and Progesterone Clearance of p53-Defective Lesions. Mod. Pathol. 2020, 33, 29–37. [Google Scholar] [CrossRef] [PubMed]
- Wu, N.-Y.; Huang, H.-S.; Chao, T.H.; Chou, H.M.; Fang, C.; Qin, C.-Z.; Lin, C.-Y.; Chu, T.-Y.; Zhou, H.H. Progesterone Prevents High-Grade Serous Ovarian Cancer by Inducing Necroptosis of p53-Defective Fallopian Tube Epithelial Cells. Cell Rep. 2017, 18, 2557–2565. [Google Scholar] [CrossRef]
- Kim, O.; Park, E.Y.; Kwon, S.Y.; Shin, S.; Emerson, R.E.; Shin, Y.-H.; DeMayo, F.J.; Lydon, J.P.; Coffey, D.M.; Hawkins, S.M.; et al. Targeting Progesterone Signaling Prevents Metastatic Ovarian Cancer. Proc. Natl. Acad. Sci. USA 2020, 117, 31993–32004. [Google Scholar] [CrossRef] [PubMed]
- Lee, P.; Rosen, D.G.; Zhu, C.; Silva, E.G.; Liu, J. Expression of Progesterone Receptor Is a Favorable Prognostic Marker in Ovarian Cancer. Gynecol. Oncol. 2005, 96, 671–677. [Google Scholar] [CrossRef] [PubMed]
- Akahira, J.-I.; Suzuki, T.; Ito, K.; Kaneko, C.; Darnel, A.D.; Moriya, T.; Okamura, K.; Yaegashi, N.; Sasano, H. Differential Expression of Progesterone Receptor Isoforms A and B in the Normal Ovary, and in Benign, Borderline, and Malignant Ovarian Tumors. Jpn. J. Cancer Res. 2002, 93, 807–815. [Google Scholar] [CrossRef]
- McFall, T.; Patki, M.; Rosati, R.; Ratnam, M. Role of the Short Isoform of the Progesterone Receptor in Breast Cancer Cell Invasiveness at Estrogen and Progesterone Levels in the Pre- and Post-Menopausal Ranges. Oncotarget 2015, 6, 33146–33164. [Google Scholar] [CrossRef]
- Takahashi, A.; Kato, K.; Kuboyama, A.; Inoue, T.; Tanaka, Y.; Kuhara, A.; Kinoshita, K.; Takeda, S.; Wake, N. Induction of Senescence by Progesterone Receptor-B Activation in Response to cAMP in Ovarian Cancer Cells. Gynecol. Oncol. 2009, 113, 270–276. [Google Scholar] [CrossRef] [PubMed]
- Diep, C.H.; Daniel, A.R.; Mauro, L.J.; Knutson, T.P.; Lange, C.A. Progesterone Action in Breast, Uterine, and Ovarian Cancers. J. Mol. Endocrinol. 2015, 54, R31–R53. [Google Scholar] [CrossRef] [PubMed]
- Clamp, A.R.; James, E.C.; McNeish, I.A.; Dean, A.; Kim, J.-W.; O’Donnell, D.M.; Gallardo-Rincon, D.; Blagden, S.; Brenton, J.; Perren, T.J.; et al. Weekly Dose-Dense Chemotherapy in First-Line Epithelial Ovarian, Fallopian Tube, or Primary Peritoneal Cancer Treatment (ICON8): Overall Survival Results from an Open-Label, Randomised, Controlled, Phase 3 Trial. Lancet Oncol. 2022, 23, 919–930. [Google Scholar] [CrossRef]










| Gene | Forward 5′→3′ | Reverse 5′→3′ | Size (bp) |
|---|---|---|---|
| PRB | TATCTCCCTGGACGGGCTAC | TGTCCAAGACACTGTCCAGC | 194 |
| PRA | CGCGCTCTACCCTGCACTC | TGAATCCGGCCTCAGGTAGTT | 121 |
| GAPDH | GGTCTCCTCTGACTTGAACA | GTGAGGGTCTCTCTCTTCCT | 221 |
Disclaimer/Publisher’s Note: The statements, opinions and data contained in all publications are solely those of the individual author(s) and contributor(s) and not of MDPI and/or the editor(s). MDPI and/or the editor(s) disclaim responsibility for any injury to people or property resulting from any ideas, methods, instructions or products referred to in the content. |
© 2023 by the authors. Licensee MDPI, Basel, Switzerland. This article is an open access article distributed under the terms and conditions of the Creative Commons Attribution (CC BY) license (https://creativecommons.org/licenses/by/4.0/).
Share and Cite
Chang, Y.-H.; Wu, K.-C.; Wang, K.-H.; Ding, D.-C. Effects of the Overexpression of Progesterone Receptors on a Precancer p53 and Rb-Defective Human Fallopian Tube Epithelial Cell Line. Int. J. Mol. Sci. 2023, 24, 11823. https://doi.org/10.3390/ijms241411823
Chang Y-H, Wu K-C, Wang K-H, Ding D-C. Effects of the Overexpression of Progesterone Receptors on a Precancer p53 and Rb-Defective Human Fallopian Tube Epithelial Cell Line. International Journal of Molecular Sciences. 2023; 24(14):11823. https://doi.org/10.3390/ijms241411823
Chicago/Turabian StyleChang, Yu-Hsun, Kun-Chi Wu, Kai-Hung Wang, and Dah-Ching Ding. 2023. "Effects of the Overexpression of Progesterone Receptors on a Precancer p53 and Rb-Defective Human Fallopian Tube Epithelial Cell Line" International Journal of Molecular Sciences 24, no. 14: 11823. https://doi.org/10.3390/ijms241411823
APA StyleChang, Y.-H., Wu, K.-C., Wang, K.-H., & Ding, D.-C. (2023). Effects of the Overexpression of Progesterone Receptors on a Precancer p53 and Rb-Defective Human Fallopian Tube Epithelial Cell Line. International Journal of Molecular Sciences, 24(14), 11823. https://doi.org/10.3390/ijms241411823

