The Sigma-1 Receptor Is a Novel Target for Improving Cold Preservation in Rodent Kidney Transplants
Abstract
1. Introduction
2. Results
2.1. S1R Agonist FLU Improves Post-Transplant Kidney Function and Mitigates Tubular Injury
2.2. FLU Alleviates Inflammation in the Kidney Following ATx
2.3. Kidneys Are Better Preserved during Cold Storage with the Addition of FLU to the Preservation Solution
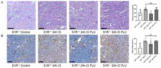
2.4. The Beneficial Effects of FLU Are Diminished in S1R−/− Mice
3. Discussion
4. Materials and Methods
4.1. Materials
4.2. Animals
4.3. Experimental Protocols
4.3.1. Renal Autotransplantation (ATx)
4.3.2. Cold Ischemia (CI)
4.4. Histology
4.5. Apoptosis Detection by TUNEL Assay
4.6. CD45 Assay
4.7. RT-qPCR
5. Patents
Author Contributions
Funding
Institutional Review Board Statement
Informed Consent Statement
Data Availability Statement
Acknowledgments
Conflicts of Interest
References
- Thurlow, J.S.; Joshi, M.; Yan, G.; Norris, K.C.; Agodoa, L.Y.; Yuan, C.M.; Nee, R. Global Epidemiology of End-Stage Kidney Disease and Disparities in Kidney Replacement Therapy. Am. J. Nephrol. 2021, 52, 98–107. [Google Scholar] [CrossRef] [PubMed]
- Tullius, S.G.; Rabb, H. Improving the Supply and Quality of Deceased-Donor Organs for Transplantation. N. Engl. J. Med. 2018, 378, 1920–1929. [Google Scholar] [CrossRef] [PubMed]
- Requião-Moura, L.R.; Durão Mde, S.; Tonato, E.J.; Matos, A.C.; Ozaki, K.S.; Câmara, N.O.; Pacheco-Silva, A. Effects of ischemia and reperfusion injury on long-term graft function. Transplant. Proc. 2011, 43, 70–73. [Google Scholar] [CrossRef] [PubMed]
- Hellewell, S.B.; Bruce, A.; Feinstein, G.; Orringer, J.; Williams, W.; Bowen, W.D. Rat liver and kidney contain high densities of sigma 1 and sigma 2 receptors: Characterization by ligand binding and photoaffinity labeling. Eur. J. Pharmacol. 1994, 268, 9–18. [Google Scholar] [CrossRef]
- Ela, C.; Barg, J.; Vogel, Z.; Hasin, Y.; Eilam, Y. Sigma receptor ligands modulate contractility, Ca++ influx and beating rate in cultured cardiac myocytes. J. Pharmacol. Exp. Ther. 1994, 269, 1300–1309. [Google Scholar]
- Hosszu, A.; Antal, Z.; Lenart, L.; Hodrea, J.; Koszegi, S.; Balogh, D.B.; Banki, N.F.; Wagner, L.; Denes, A.; Hamar, P.; et al. sigma1-Receptor Agonism Protects against Renal Ischemia-Reperfusion Injury. J. Am. Soc. Nephrol. 2017, 28, 152–165. [Google Scholar] [CrossRef]
- Zager, R.A.; Johnson, A.C.; Becker, K. Plasma and urinary heme oxygenase-1 in AKI. J. Am. Soc. Nephrol. JASN 2012, 23, 1048–1057. [Google Scholar] [CrossRef]
- Debout, A.; Foucher, Y.; Trébern-Launay, K.; Legendre, C.; Kreis, H.; Mourad, G.; Garrigue, V.; Morelon, E.; Buron, F.; Rostaing, L.; et al. Each additional hour of cold ischemia time significantly increases the risk of graft failure and mortality following renal transplantation. Kidney Int. 2015, 87, 343–349. [Google Scholar] [CrossRef]
- Hosszu, A.; Antal, Z.; Veres-Szekely, A.; Lenart, L.; Balogh, D.B.; Szkibinszkij, E.; Illesy, L.; Hodrea, J.; Banki, N.F.; Wagner, L.; et al. The role of Sigma-1 receptor in sex-specific heat shock response in an experimental rat model of renal ischaemia/reperfusion injury. Transpl. Int. 2018, 31, 1268–1278. [Google Scholar] [CrossRef]
- Lentine, K.L.; Smith, J.M.; Hart, A.; Miller, J.; Skeans, M.A.; Larkin, L.; Robinson, A.; Gauntt, K.; Israni, A.K.; Hirose, R.; et al. OPTN/SRTR 2020 Annual Data Report: Kidney. Am. J. Transplant. Off. J. Am. Soc. Transplant. Am. Soc. Transpl. Surg. 2022, 22 (Suppl. 2), 21–136. [Google Scholar] [CrossRef]
- Chatterjee, P.K.; Cuzzocrea, S.; Brown, P.A.; Zacharowski, K.; Stewart, K.N.; Mota-Filipe, H.; Thiemermann, C. Tempol, a membrane-permeable radical scavenger, reduces oxidant stress-mediated renal dysfunction and injury in the rat. Kidney Int. 2000, 58, 658–673. [Google Scholar] [CrossRef]
- Desanti De Oliveira, B.; Xu, K.; Shen, T.H.; Callahan, M.; Kiryluk, K.; D’Agati, V.D.; Tatonetti, N.P.; Barasch, J.; Devarajan, P. Molecular nephrology: Types of acute tubular injury. Nat. Rev. Nephrol. 2019, 15, 599–612. [Google Scholar] [CrossRef]
- Vaidya, V.S.; Ozer, J.S.; Dieterle, F.; Collings, F.B.; Ramirez, V.; Troth, S.; Muniappa, N.; Thudium, D.; Gerhold, D.; Holder, D.J.; et al. Kidney injury molecule-1 outperforms traditional biomarkers of kidney injury in preclinical biomarker qualification studies. Nat. Biotechnol. 2010, 28, 478–485. [Google Scholar] [CrossRef]
- Liu, J.; Krautzberger, A.M.; Sui, S.H.; Hofmann, O.M.; Chen, Y.; Baetscher, M.; Grgic, I.; Kumar, S.; Humphreys, B.D.; Hide, W.A.; et al. Cell-specific translational profiling in acute kidney injury. J. Clin. Investig. 2014, 124, 1242–1254. [Google Scholar] [CrossRef]
- Bolisetty, S.; Zarjou, A.; Agarwal, A. Heme Oxygenase 1 as a Therapeutic Target in Acute Kidney Injury. Am. J. Kidney Dis. 2017, 69, 531–545. [Google Scholar] [CrossRef]
- Ferenbach, D.A.; Kluth, D.C.; Hughes, J. Hemeoxygenase-1 and renal ischaemia-reperfusion injury. Nephron Exp. Nephrol. 2010, 115, e33–e37. [Google Scholar] [CrossRef]
- Tracz, M.J.; Juncos, J.P.; Croatt, A.J.; Ackerman, A.W.; Grande, J.P.; Knutson, K.L.; Kane, G.C.; Terzic, A.; Griffin, M.D.; Nath, K.A. Deficiency of heme oxygenase-1 impairs renal hemodynamics and exaggerates systemic inflammatory responses to renal ischemia. Kidney Int. 2007, 72, 1073–1080. [Google Scholar] [CrossRef]
- Abedini, S.; Holme, I.; März, W.; Weihrauch, G.; Fellström, B.; Jardine, A.; Cole, E.; Maes, B.; Neumayer, H.H.; Grønhagen-Riska, C.; et al. Inflammation in renal transplantation. Clin. J. Am. Soc. Nephrol. 2009, 4, 1246–1254. [Google Scholar] [CrossRef]
- Sharfuddin, A.A.; Molitoris, B.A. Pathophysiology of ischemic acute kidney injury. Nat. Rev. Nephrol. 2011, 7, 189–200. [Google Scholar] [CrossRef]
- Rosen, D.A.; Seki, S.M.; Fernández-Castañeda, A.; Beiter, R.M.; Eccles, J.D.; Woodfolk, J.A.; Gaultier, A. Modulation of the sigma-1 receptor-IRE1 pathway is beneficial in preclinical models of inflammation and sepsis. Sci. Transl. Med. 2019, 11, eaau5266. [Google Scholar] [CrossRef]
- Rafiee, L.; Hajhashemi, V.; Javanmard, S.H. Fluvoxamine inhibits some inflammatory genes expression in LPS/stimulated human endothelial cells, U937 macrophages, and carrageenan-induced paw edema in rat. Iran. J. Basic Med. Sci. 2016, 19, 977–984. [Google Scholar] [PubMed]
- Abou Taka, M.; Dugbartey, G.J.; Sener, A. The Optimization of Renal Graft Preservation Temperature to Mitigate Cold Ischemia-Reperfusion Injury in Kidney Transplantation. Int. J. Mol. Sci. 2022, 24, 567. [Google Scholar] [CrossRef] [PubMed]
- Kayler, L.K.; Srinivas, T.R.; Schold, J.D. Influence of CIT-induced DGF on kidney transplant outcomes. Am. J. Transplant. Off. J. Am. Soc. Transplant. Am. Soc. Transpl. Surg. 2011, 11, 2657–2664. [Google Scholar] [CrossRef] [PubMed]
- Kox, J.; Moers, C.; Monbaliu, D.; Strelniece, A.; Treckmann, J.; Jochmans, I.; Leuvenink, H.; Van Heurn, E.; Pirenne, J.; Paul, A.; et al. The Benefits of Hypothermic Machine Preservation and Short Cold Ischemia Times in Deceased Donor Kidneys. Transplantation 2018, 102, 1344–1350. [Google Scholar] [CrossRef]
- Kaths, J.M.; Echeverri, J.; Goldaracena, N.; Louis, K.S.; Chun, Y.M.; Linares, I.; Wiebe, A.; Foltys, D.B.; Yip, P.M.; John, R.; et al. Eight-Hour Continuous Normothermic Ex Vivo Kidney Perfusion Is a Safe Preservation Technique for Kidney Transplantation: A New Opportunity for the Storage, Assessment, and Repair of Kidney Grafts. Transplantation 2016, 100, 1862–1870. [Google Scholar] [CrossRef]
- Weissenbacher, A.; Vrakas, G.; Nasralla, D.; Ceresa, C.D.L. The future of organ perfusion and re-conditioning. Transpl. Int. Off. J. Eur. Soc. Organ Transplant. 2019, 32, 586–597. [Google Scholar] [CrossRef]
- Tillou, X.; Howden, B.O.; Kanellis, J.; Nikolic-Paterson, D.J.; Ma, F.Y. Methods in renal research: Kidney transplantation in the rat. Nephrology 2016, 21, 451–456. [Google Scholar] [CrossRef]
- Hanif, M.O.; Bali, A.; Ramphul, K. Acute Renal Tubular Necrosis. In StatPearls; StatPearls Publishing LLC.: Treasure Island, FL, USA, 2023. [Google Scholar]




| SHAM | ATx | ATx FLU | |
|---|---|---|---|
| Creatinine (µmol/L) | 28.3 ± 6.2 | 361.7 ± 42 +++ | 308.2 ± 42.6 +++,* |
| BUN (mmol/L) | 7.5 ± 1.8 | 55.5 ± 6.5 +++ | 57 ± 7.7 +++ |
| AST (U/L) | 233.8 ± 40 | 507.8 ± 180.8 +++ | 294.3 ± 118.2 *** |
| Na (mmol/L) | 142.8 ± 2.5 | 137.9 ± 3.1 | 137.2 ± 2.7 |
| K (mmol/L) | 6.9 ± 1 | 7.9 ± 0.8 | 8.2 ± 0.5 |
| Cl (mmol/L) | 103.2 ± 2.5 | 95.2 ± 4.1 | 93.2 ± 4.7 |
| Gene Name | Regular Name | NCBI ID | Primer Sequence | Product Length (bp) |
|---|---|---|---|---|
| Rn18s | Rat 18S ribosomal RNA | 100861533 | F: 5′ GCGGTCGGCGTCCCCCAACTTCTT 3′ | 105 |
| R: 5′ GCGCGTGCAGCCCCGGACATCTA 3′ | ||||
| Il1a | Rat IL-1α | 24493 | F: 5′ GGCTGAGAAAGAGGAGTTCG 3′ | 152 |
| R: 5′ CCACCCATCTGTCTCCTAGA 3′ | ||||
| Il6 | Rat IL-6 | 24498 | F: 5′ GCCACTGCCTTCCCTACTTC 3′ | 153 |
| R: 5′ GCCATTGCACAACTCTTTTCTC 3′ | ||||
| Havcr1 | Rat KIM-1 | 286934 | F: 5′ CGCAGAGAAACCCGACTAAG 3′ | 194 |
| R: 5′ CAAAGCTCAGAGAGCCCATC 3′ | ||||
| Lcn2 | Rat NGAL | 170496 | F: 5′ CAAGTGGCCGACACTGACTA 3′ | 194 |
| R: 5′ GGTGGGAACAGAGAAAACGA 3′ | ||||
| Hmox1 | Rat HO-1 | 24451 | F: 5′ AGACCGCCTTCCTGCTCAACATT 3′ | 160 |
| R: 5′ CATTTTCCTCGGGGCGTCTCTG 3′ | ||||
| Ccl2 | Rat MCP-1 | 24770 | F: 5′ ATGCAGTTAATGCCCCACTC 3′ | 167 |
| R: 5′ TTCCTTATTGGGGTCAGCAC 3′ |
Disclaimer/Publisher’s Note: The statements, opinions and data contained in all publications are solely those of the individual author(s) and contributor(s) and not of MDPI and/or the editor(s). MDPI and/or the editor(s) disclaim responsibility for any injury to people or property resulting from any ideas, methods, instructions or products referred to in the content. |
© 2023 by the authors. Licensee MDPI, Basel, Switzerland. This article is an open access article distributed under the terms and conditions of the Creative Commons Attribution (CC BY) license (https://creativecommons.org/licenses/by/4.0/).
Share and Cite
Hosszu, A.; Toth, A.R.; Lakat, T.; Stepanova, G.; Antal, Z.; Wagner, L.J.; Szabo, A.J.; Fekete, A. The Sigma-1 Receptor Is a Novel Target for Improving Cold Preservation in Rodent Kidney Transplants. Int. J. Mol. Sci. 2023, 24, 11630. https://doi.org/10.3390/ijms241411630
Hosszu A, Toth AR, Lakat T, Stepanova G, Antal Z, Wagner LJ, Szabo AJ, Fekete A. The Sigma-1 Receptor Is a Novel Target for Improving Cold Preservation in Rodent Kidney Transplants. International Journal of Molecular Sciences. 2023; 24(14):11630. https://doi.org/10.3390/ijms241411630
Chicago/Turabian StyleHosszu, Adam, Akos R. Toth, Tamas Lakat, Ganna Stepanova, Zsuzsanna Antal, Laszlo J. Wagner, Attila J. Szabo, and Andrea Fekete. 2023. "The Sigma-1 Receptor Is a Novel Target for Improving Cold Preservation in Rodent Kidney Transplants" International Journal of Molecular Sciences 24, no. 14: 11630. https://doi.org/10.3390/ijms241411630
APA StyleHosszu, A., Toth, A. R., Lakat, T., Stepanova, G., Antal, Z., Wagner, L. J., Szabo, A. J., & Fekete, A. (2023). The Sigma-1 Receptor Is a Novel Target for Improving Cold Preservation in Rodent Kidney Transplants. International Journal of Molecular Sciences, 24(14), 11630. https://doi.org/10.3390/ijms241411630

