Biological Activity of Bursera schlechtendalii Essential oil and the Roles of Its Chemical Components in the Wound Healing Process
Abstract
1. Introduction
2. Results
2.1. Wound Healing Activity
2.1.1. Macroscopic Observations and Wound Contraction Measurements
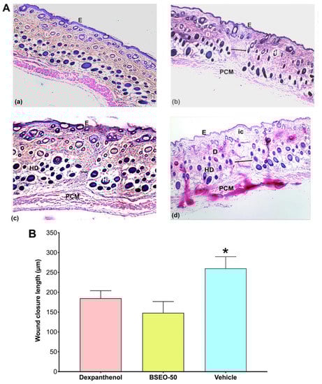
2.1.2. Histological Analysis
2.1.3. Tensiometric Method
2.2. Anti-Inflammatory Activity in the 13-acetate-12-O-tetradecanoylphorbol (TPA)-Induced Ear Edema Model
2.3. Antibacterial Activity
2.4. Chemical Analysis by GC–MS
2.5. Proposals and Descriptions of the Mechanisms of Action of BSEO in the Healing Process
2.6. Acute Dermal Toxicity Test
3. Discussion
4. Materials and Methods
4.1. Plant Material
4.2. Obtaining the Essential Oil by Hydrodistillation
4.3. Experimental Animals
4.4. Wound Healing Activity
4.4.1. Measurement of Wound Contraction
Histological Analysis
4.4.2. Tensiometric Method
4.5. Assessment of TPA-Induced Inflammation in Mice
- Edema A induced by TPA alone: (a − b);
- Edema B induced by TPA plus treatment: (c − b);
- Anti-inflammatory percentage (%) = [(Edema A − Edema B)/Edema A] ∗ 100.
4.6. Antibacterial Activity
4.6.1. Microorganisms
4.6.2. Evaluation by the Kirby–Baüer Agar Diffusion Method [42]
4.6.3. Estimation of the Minimum Inhibitory Concentration (MIC) and Minimum Bactericidal Concentration (MBC)
4.7. Essential Oil Analysis
4.8. Proposals and Descriptions of the Mechanisms of Action of BSEO in the Healing Process
4.9. Acute Dermal Toxicity
4.10. Statistical Analysis
5. Conclusions
- BSEO-50 (Bursera schlechtendalii essential oil at 50% v/v) demonstrated a significant healing effect in the murine model, as evidenced by improved wound closure length, increased tensile strength, and antibacterial activity against clinically relevant strains.
- Phytochemical analysis revealed the presence of terpene compounds in BSEO-50, which were evaluated together, and the effects observed can be attributed to a synergistic relationship between them.
- Several terpenes present in BSEO-50, including limonene, borneol, and camphene, demonstrated antibacterial activity.
- BSEO-50 increased the tensile strength of the scar, and camphene probably is responsible since it has been demonstrated to promote collagen production.
- Of the compounds identified in the BSEO-50, there are reports that during the proliferative phase of wound healing, α-phellandrene and camphor were found to stimulate fibroblast proliferation, while camphor also contributed to the production of new capillaries.
- The experimental results obtained, combined with the existing literature on each identified compound in BSEO-50, support the ability of Bursera schlechtendalii to effectively heal superficial wounds.
Author Contributions
Funding
Institutional Review Board Statement
Informed Consent Statement
Data Availability Statement
Acknowledgments
Conflicts of Interest
References
- Rzedowski, J.; Lemos, R.M.; de Rzedowski, G.C. Inventario del conocimiento taxonómico, así como de la diversidad y del endemismo regionales de las especies mexicanas de Bursera (Burseraceae). Acta Bot. Mex. 2005, 70, 85–111. [Google Scholar] [CrossRef]
- Bakkali, F.; Averbeck, S.; Averbeck, D.; Idaomar, M. Biological effects of essential oils–a review. Food Chem. Toxicol. 2008, 46, 446–475. [Google Scholar] [CrossRef]
- Canales-Martinez, M.; Rivera-Yañez, C.; Salas-Oropeza, J.; Lopez, H.; Jimenez-Estrada, M.; Rosas-Lopez, R.; Duran, D.; Flores, C.; Hernandez, L.; Rodriguez-Monroy, M. Antimicrobial activity of Bursera morelensis Ramírez essential oil. Afr. J. Tradit. Complement. Altern. Med. 2017, 14, 74–82. [Google Scholar] [CrossRef] [PubMed]
- Koziol, A.; Stryjewska, A.; Librowski, T.; Salat, K.; Gawel, M.; Moniczewski, A.; Lochynski, S. An overview of the pharmacological properties and potential applications of natural monoterpenes. Mini Rev. Med. Chem. 2014, 14, 1156–1168. [Google Scholar] [CrossRef] [PubMed]
- Tsala, D.E.; Amadou, D.; Habtemariam, S. Natural wound healing and bioactive natural products. Phytopharmacology 2013, 4, 532–560. [Google Scholar]
- Dubay, D.A.; Franz, M.G. Acute wound healing: The biology of acute wound failure. Surg. Clin. 2003, 83, 463–481. [Google Scholar] [CrossRef]
- Espinosa-Espinosa, L.; Garduño-Siciliano, L.; Rodriguez-Canales, M.; Hernandez-Portilla, L.B.; Canales-Martinez, M.M.; Rodriguez-Monroy, M.A. The Wound-Healing Effect of Mango Peel Extract on Incision Wounds in a Murine Model. Molecules 2022, 27, 259. [Google Scholar] [CrossRef]
- Téllez, V.O.; Reyes, C.M.; Dávila, A.P.; Gutiérrez, G.K.; Téllez, P.O.; Álvarez, E.R.; González, R.A.; Rosas, R.I.; Ayala, R.M.; Hernández, M.M.; et al. Guía Ecoturística: Las Plantas del Valle de Tehuacán-Cuicatlán; Universidad Nacional Autónoma de México, Distrito Federal, Edo. De México: Mexico City, Mexico, 2008; p. 54. [Google Scholar]
- Becerra, J.X.; Venable, D.L. Rapid-terpene-bath and” squirt-gun” defense in Bursera schlechtendalii and the counterploy of chrysomelid beetles. Biotropica 1990, 22, 320–323. [Google Scholar] [CrossRef]
- Evans, P.H.; Becerra, J.X.; Venable, D.L.; Bowers, W.S. Chemical analysis of squirt-gun defense in Bursera and counterdefense by chrysomelid beetles. J. Chem. Ecol. 2000, 26, 745–754. [Google Scholar] [CrossRef]
- Valente, J.; Zuzarte, M.; Gonçalves, M.; Lopes, M.; Cavaleiro, C.; Salgueiro, L.; Cruz, M. Antifungal, antioxidant and anti-inflammatory activities of Oenanthe crocata L. essential oil. Food Chem. Toxicol. 2013, 62, 349–354. [Google Scholar] [CrossRef]
- Kim, D.-S.; Lee, H.-J.; Jeon, Y.-D.; Han, Y.-H.; Kee, J.-Y.; Kim, H.-J.; Shin, H.-J.; Kang, J.; Lee, B.S.; Kim, S.-H. Alpha-pinene exhibits anti-inflammatory activity through the suppression of MAPKs and the NF-κB pathway in mouse peritoneal macrophages. Am. J. Chin. Med. 2015, 43, 731–742. [Google Scholar] [CrossRef] [PubMed]
- Salas-Oropeza, J.; Jimenez-Estrada, M.; Perez-Torres, A.; Castell-Rodriguez, A.E.; Becerril-Millan, R.; Rodriguez-Monroy, M.A.; Jarquin-Yañez, K.; Canales-Martinez, M.M. Wound healing activity of α-pinene and α-phellandrene. Molecules 2021, 26, 2488. [Google Scholar] [CrossRef]
- De Christo Scherer, M.M.; Marques, F.M.; Figueira, M.M.; Peisino, M.C.O.; Schmitt, E.F.P.; Kondratyuk, T.P.; Endringer, D.C.; Scherer, R.; Fronza, M. Wound healing activity of terpinolene and α-phellandrene by attenuating inflammation and oxidative stress in vitro. J. Tissue Viability 2019, 28, 94–99. [Google Scholar] [CrossRef] [PubMed]
- Tumen, I.; Süntar, I.; Keleş, H.; Küpeli Akkol, E. A therapeutic approach for wound healing by using essential oils of Cupressus and Juniperus species growing in Turkey. Evid. Based Complement. Altern. Med. 2012, 2012, 728281. [Google Scholar] [CrossRef] [PubMed]
- Keskin, I.; Gunal, Y.; Ayla, S.; Kolbasi, B.; Sakul, A.; Kilic, U.; Gok, O.; Koroglu, K.; Ozbek, H. Effects of Foeniculum vulgare essential oil compounds, fenchone and limonene, on experimental wound healing. Biotech. Histochem. 2017, 92, 274–282. [Google Scholar] [CrossRef]
- Mai, L.-M.; Lin, C.-Y.; Chen, C.-Y.; Tsai, Y.-C. Synergistic effect of bismuth subgallate and borneol, the major components of Sulbogin®, on the healing of skin wound. Biomaterials 2003, 24, 3005–3012. [Google Scholar] [CrossRef]
- Tiwari, M.; Kakkar, P. Plant derived antioxidants–geraniol and camphene protect rat alveolar macrophages against t-BHP induced oxidative stress. Toxicol. In Vitro 2009, 23, 295–301. [Google Scholar] [CrossRef]
- Tran, T.A.; Ho, M.T.; Song, Y.W.; Cho, M.; Cho, S.K. Camphor induces proliferative and anti-senescence activities in human primary dermal fibroblasts and inhibits UV-induced wrinkle formation in mouse skin. Phytother. Res. 2015, 29, 1917–1925. [Google Scholar] [CrossRef]
- Bonnard, M.; Martin, E.; Parrot, I. Wound Healing Potential of an Oleoresin Essential Oil Chemotype from Canarium schweinfurthii Engl. Molecules 2022, 27, 7966. [Google Scholar] [CrossRef]
- Turek, C.; Stintzing, F.C. Stability of essential oils: A review. Compr. Rev. Food Sci. Food Saf. 2013, 12, 40–53. [Google Scholar] [CrossRef]
- Espinoza, L.C.; Sosa, L.; Granda, P.C.; Bozal, N.; Díaz-Garrido, N.; Chulca-Torres, B.; Calpena, A.C. Development of a topical amphotericin b and bursera graveolens essential oil-loaded gel for the treatment of dermal candidiasis. Pharmaceuticals 2021, 14, 1033. [Google Scholar] [CrossRef] [PubMed]
- Landén, N.X.; Li, D.; Ståhle, M. Transition from inflammation to proliferation: A critical step during wound healing. Cell. Mol. Life Sci. 2016, 73, 3861–3885. [Google Scholar] [CrossRef] [PubMed]
- Süntar, I.; Akkol, E.K.; Keleş, H.; Oktem, A.; Başer, K.H.C.; Yeşilada, E. A novel wound healing ointment: A formulation of Hypericum perforatum oil and sage and oregano essential oils based on traditional Turkish knowledge. J. Ethnopharmacol. 2011, 134, 89–96. [Google Scholar] [CrossRef]
- Villegas, L.; Marcalo, A.; Martin, J.; Fernandez, I.; Maldonado, H.; Vaisberg, A.; Hammond, G. epi-Alpha-bisabolol [correction of bisbolol] is the wound-healing principle of Peperomia galioides: Investigation of the in vivo wound-healing activity of related terpenoids. J. Nat. Prod. 2001, 64, 1357–1359. [Google Scholar] [CrossRef] [PubMed]
- Riella, K.; Marinho, R.; Santos, J.; Pereira-Filho, R.; Cardoso, J.; Albuquerque-Junior, R.; Thomazzi, S. Anti-inflammatory and cicatrizing activities of thymol, a monoterpene of the essential oil from Lippia gracilis, in rodents. J. Ethnopharmacol. 2012, 143, 656–663. [Google Scholar] [CrossRef]
- Alina, C.-M.C.; Rocío, R.-L.; Aurelio, R.-M.M.; Margarita, C.-M.M.; Angélica, R.-G.; Rubén, J.-A. Chemical composition and in vivo anti-inflammatory activity of Bursera morelensis Ramírez essential oil. J. Essent. Oil Bear. Plants 2014, 17, 758–768. [Google Scholar] [CrossRef]
- Gan, T.J. Diclofenac: An update on its mechanism of action and safety profile. Curr. Med. Res. Opin. 2010, 26, 1715–1731. [Google Scholar] [CrossRef]
- Wang, H.; Liu, Y.; Cai, K.; Zhang, B.; Tang, S.; Zhang, W.; Liu, W. Antibacterial polysaccharide-based hydrogel dressing containing plant essential oil for burn wound healing. Burn. Trauma 2021, 9, tkab041. [Google Scholar] [CrossRef]
- Nascimento, A.S.D.; Tamiasso, R.S.S.; Morais, S.F.M.; Rizzo Gnatta, J.; Turrini, R.N.T.; Calache, A.L.S.C.; de Brito Poveda, V. Essential oils for healing and/or preventing infection of surgical wounds: A systematic review. Rev. Esc. Enferm. USP 2022, 56, e20210442. [Google Scholar] [CrossRef]
- Johnson, T.; Gómez, B.; McIntyre, M.; Dubick, M.; Christy, R.; Nicholson, S.; Burmeister, D. The cutaneous microbiome and wounds: New molecular targets to promote wound healing. Int. J. Mol. Sci. 2018, 19, 2699. [Google Scholar] [CrossRef]
- Villa-Ruano, N.; Pacheco-Hernández, Y.; Becerra-Martínez, E.; Zárate-Reyes, J.A.; Cruz-Durán, R. Chemical profile and pharmacological effects of the resin and essential oil from Bursera slechtendalii: A medicinal “copal tree” of southern Mexico. Fitoterapia 2018, 128, 86–92. [Google Scholar] [CrossRef] [PubMed]
- Criollo-Mendoza, M.S.; Contreras-Angulo, L.A.; Leyva-López, N.; Gutiérrez-Grijalva, E.P.; Jiménez-Ortega, L.A.; Heredia, J.B. Wound Healing Properties of Natural Products: Mechanisms of Action. Molecules 2023, 28, 598. [Google Scholar] [CrossRef] [PubMed]
- Thakre, A.D.; Mulange, S.V.; Kodgire, S.S.; Zore, G.B.; Karuppayil, S.M. Effects of cinnamaldehyde, ocimene, camphene, curcumin and farnesene on Candida albicans. Adv. Microbiol. 2016, 6, 627. [Google Scholar] [CrossRef]
- Salas-Oropeza, J.; Jimenez-Estrada, M.; Perez-Torres, A.; Castell-Rodriguez, A.E.; Becerril-Millan, R.; Rodriguez-Monroy, M.A.; Canales-Martinez, M.M. Wound healing activity of the essential oil of Bursera morelensis, in mice. Molecules 2020, 25, 1795. [Google Scholar] [CrossRef] [PubMed]
- Mishra, A.K.; Mishra, A.; Chattopadhyay, P. Screening of acute and sub-chronic dermal toxicity of Calendula officinalis L. essential oil. Regul. Toxicol. Pharmacol. 2018, 98, 184–189. [Google Scholar] [CrossRef]
- Sánchez-Monroy, M.B.; León-Rivera, I.; Llanos-Romero, R.E.; García-Bores, A.M.; Guevara-Fefer, P. Cytotoxic activity and triterpenes content of nine Mexican species of Bursera. Nat. Prod. Res. 2021, 35, 4881–4885. [Google Scholar] [CrossRef]
- Chattopadhyay, P.; Banerjee, S.; Pathak, M.P.; Agnihotri, A.; Karmakar, S.; Goyary, D.; Dhiman, S.; Veer, V. Acute and subchronic dermal toxicity of Vitex negundo essential oil. Cutan. Ocul. Toxicol. 2014, 33, 16–21. [Google Scholar] [CrossRef]
- Domínguez, X.A. Métodos de Investigación Fitoquímica; Pontificia Universidad Católica del Perú: San Miguel, Peru, 1973. [Google Scholar]
- Vaisberg, A.J.; Milla, M.; del Carmen Planas, M.; Cordova, J.L.; de Agusti, E.R.; Ferreyra, R.; del Carmen Mustiga, M.; Carlin, L.; Hammond, G.B. Taspine is the cicatrizant principle in Sangre de Grado extracted from Croton lechleri. Planta Medica 1989, 55, 140–143. [Google Scholar] [CrossRef]
- Stanley, P.L.; Steiner, S.; Havens, M.; Tramposch, K.M. Mouse skin inflammation induced by multiple topical applications of 12-O-tetradecanoylphorbol-13-acetate. Ski. Pharmacol. Physiol. 1991, 4, 262–271. [Google Scholar] [CrossRef]
- Vanden, D.; Vlirtinck, A. Screening methods for antibacterial agents from higher plants. In Methods in Plant Biochemistry, 4th ed.; Elsevier Ltd.: Amsterdam, The Netherlands, 1993; Volume 10, pp. 1–297. [Google Scholar]
- Lennette, H.E.; Balows, A.; Hausler, J.W.; Shadomy, H.J. Manual de Microbiología Clínica; Editorial Médica Panamericana: Mexico City, Mexico, 1987; p. 727. [Google Scholar]
- Guideline, D.U.T. 402 on Acute Dermal Toxicity. In Oecd Guideline for Testing of Chemicals; The Organisation for Economic Co-operation and Development: Paris, France, 2015. [Google Scholar]










| Mean ± Standard Deviation | ||||
|---|---|---|---|---|
| Bacteria | Positive Control Chloramphenicol 5 µL | Inhibition Halos (mm) | MIC (mg/mL) | MBC (mg/mL) |
| S. aureus | 20.4 ± 0.5 | 7.3 ± 0.5 a | >10 | >10 |
| S. epidermidis | 21.8 ± 0.4 | NA | ND | ND |
| P. aeruginosa | 13.2 ± 0.4 | NA | ND | ND |
| E. coli | 20.8 ± 0.4 | 11.6 ± 0.5 a | 0.25 | 0.5 |
| Name | Retention Time (min) | Family | Molecule | % Total |
|---|---|---|---|---|
| Sabinene | 4.740 | Monoterpene | ![]() | 5.276 |
| α-Pinene | 4.868 | Monoterpene | ![]() | 5.128 |
| Camphene | 5.093 | Monoterpene bicyclic | ![]() | 3.797 |
| β-Pinene | 5.413 | Monoterpene | ![]() | 11.620 |
| α-Phellandrene | 5.694, 5.782 | Monoterpene | ![]() | 31.181 |
| Limonene | 5.926 | Terpene | ![]() | 7.155 |
| p-Menthane | 5.974 | Terpene | ![]() | 16.471 |
| Camphor | 7.161 | Terpene | ![]() | 2.201 |
| Borneol | 8.219 | Terpene | ![]() | 0.962 |
| Total | 83.791 |
| Inflammatory Phase | Proliferative Phase | Remodeling Phase | References | ||||||
|---|---|---|---|---|---|---|---|---|---|
| Chemical Compound | Reduction NO and ROS | Decreased Inflammatory Interleukins | Suppression in COX/LOX Pathway | Anti-Bacterial Activity | Fibroblast Proliferation | New Capillary Vessels | Collagen Production | Increased Tensile Strength | |
| Sabinene | X | X | [11] | ||||||
| α-Pinene | X | X | [12] | ||||||
| β-Pinene | X (with α-pinene) | X (with α-pinene) | [4,13] | ||||||
| α-Phellandrene | X (with limonene) | X | X (with α-pinene) | X | [12,13,14,15] | ||||
| Limonene | X | X | X | X | X | [4,15,16,17] | |||
| Borneol | X | X | X | X | [17] | ||||
| Camphene | X | X | [18] | ||||||
| Camphor | X | X | X | [19] | |||||
| Parameters | 30 min | 2 h | 4 h | 24 h | 48 h | 72 h | 7 Days | 14 Days | ||||||||||||||||
|---|---|---|---|---|---|---|---|---|---|---|---|---|---|---|---|---|---|---|---|---|---|---|---|---|
| C | V | O | C | V | O | C | V | O | C | V | O | C | V | O | C | V | O | C | V | O | C | V | O | |
| Skin irritation | N | N | 2 × 1 n | N | N | 1 × 2 n | N | N | N | N | N | N | N | N | N | N | N | N | N | N | N | N | N | N |
| Piloerection | N | N | 2 × 1 n | N | N | 2 × 1 n | N | N | 1 × 2 n | N | N | N | N | N | N | N | N | N | N | N | N | N | N | N |
| Eyes | N | N | N | N | N | N | N | N | N | N | N | N | N | N | N | N | N | N | N | N | N | N | N | N |
| Mucosal | N | N | N | N | N | N | N | N | N | N | N | N | N | N | N | N | N | N | N | N | N | N | N | N |
| Irritation | N | N | N | N | N | N | N | N | N | N | N | N | N | N | N | N | N | N | N | N | N | N | N | N |
| Breathing | N | N | N | N | N | N | N | N | N | N | N | N | N | N | N | N | N | N | N | N | N | N | N | N |
| Tremors | N | N | N | N | N | N | N | N | N | N | N | N | N | N | N | N | N | N | N | N | N | N | N | N |
| Seizures | N | N | N | N | N | N | N | N | N | N | N | N | N | N | N | N | N | N | N | N | N | N | N | N |
| Salivation | N | N | N | N | N | N | N | N | N | N | N | N | N | N | N | N | N | N | N | N | N | N | N | N |
| Diarrhea | N | N | N | N | N | N | N | N | N | N | N | N | N | N | N | N | N | N | N | N | N | N | N | N |
| Lethargy | N | N | 1 × 2 n | N | N | N | N | N | N | N | N | N | N | N | N | N | N | N | N | N | N | N | N | N |
| Somnolence | N | N | N | N | N | N | N | N | 2 × 1 n | N | N | N | N | N | N | N | N | N | N | N | N | N | N | N |
| Coma | N | N | N | N | N | N | N | N | N | N | N | N | N | N | N | N | N | N | N | N | N | N | N | N |
| Mortality | N | N | N | N | N | N | N | N | N | N | N | N | N | N | N | N | N | N | N | N | N | N | N | N |
Disclaimer/Publisher’s Note: The statements, opinions and data contained in all publications are solely those of the individual author(s) and contributor(s) and not of MDPI and/or the editor(s). MDPI and/or the editor(s) disclaim responsibility for any injury to people or property resulting from any ideas, methods, instructions or products referred to in the content. |
© 2023 by the authors. Licensee MDPI, Basel, Switzerland. This article is an open access article distributed under the terms and conditions of the Creative Commons Attribution (CC BY) license (https://creativecommons.org/licenses/by/4.0/).
Share and Cite
Espinosa-Espinosa, L.; Canales-Alvarez, O.; Rodríguez-López, M.G.; Flores-Tinajero, C.A.; Canales-Martinez, M.M.; Rodriguez-Monroy, M.A. Biological Activity of Bursera schlechtendalii Essential oil and the Roles of Its Chemical Components in the Wound Healing Process. Int. J. Mol. Sci. 2023, 24, 11040. https://doi.org/10.3390/ijms241311040
Espinosa-Espinosa L, Canales-Alvarez O, Rodríguez-López MG, Flores-Tinajero CA, Canales-Martinez MM, Rodriguez-Monroy MA. Biological Activity of Bursera schlechtendalii Essential oil and the Roles of Its Chemical Components in the Wound Healing Process. International Journal of Molecular Sciences. 2023; 24(13):11040. https://doi.org/10.3390/ijms241311040
Chicago/Turabian StyleEspinosa-Espinosa, Lesslie, Octavio Canales-Alvarez, Marlene Guadalupe Rodríguez-López, César Antonio Flores-Tinajero, Maria Margarita Canales-Martinez, and Marco Aurelio Rodriguez-Monroy. 2023. "Biological Activity of Bursera schlechtendalii Essential oil and the Roles of Its Chemical Components in the Wound Healing Process" International Journal of Molecular Sciences 24, no. 13: 11040. https://doi.org/10.3390/ijms241311040
APA StyleEspinosa-Espinosa, L., Canales-Alvarez, O., Rodríguez-López, M. G., Flores-Tinajero, C. A., Canales-Martinez, M. M., & Rodriguez-Monroy, M. A. (2023). Biological Activity of Bursera schlechtendalii Essential oil and the Roles of Its Chemical Components in the Wound Healing Process. International Journal of Molecular Sciences, 24(13), 11040. https://doi.org/10.3390/ijms241311040










