Does Diffusely Infiltrating Lobular Carcinoma of the Breast Arise from Epithelial–Mesenchymal Hybrid Cells?
Abstract
1. Introduction
2. Results
2.1. Cultured Cells Had Long-Term Survival with Distinct Morphologic Phenotypes
2.2. Microtumour Formation by Cultured Cells
2.3. Mesenchymal Stem Cell Marker Expression
2.4. Epithelial–Mesenchymal Hybrid Cell Characteristics
3. Discussion
4. Materials and Methods
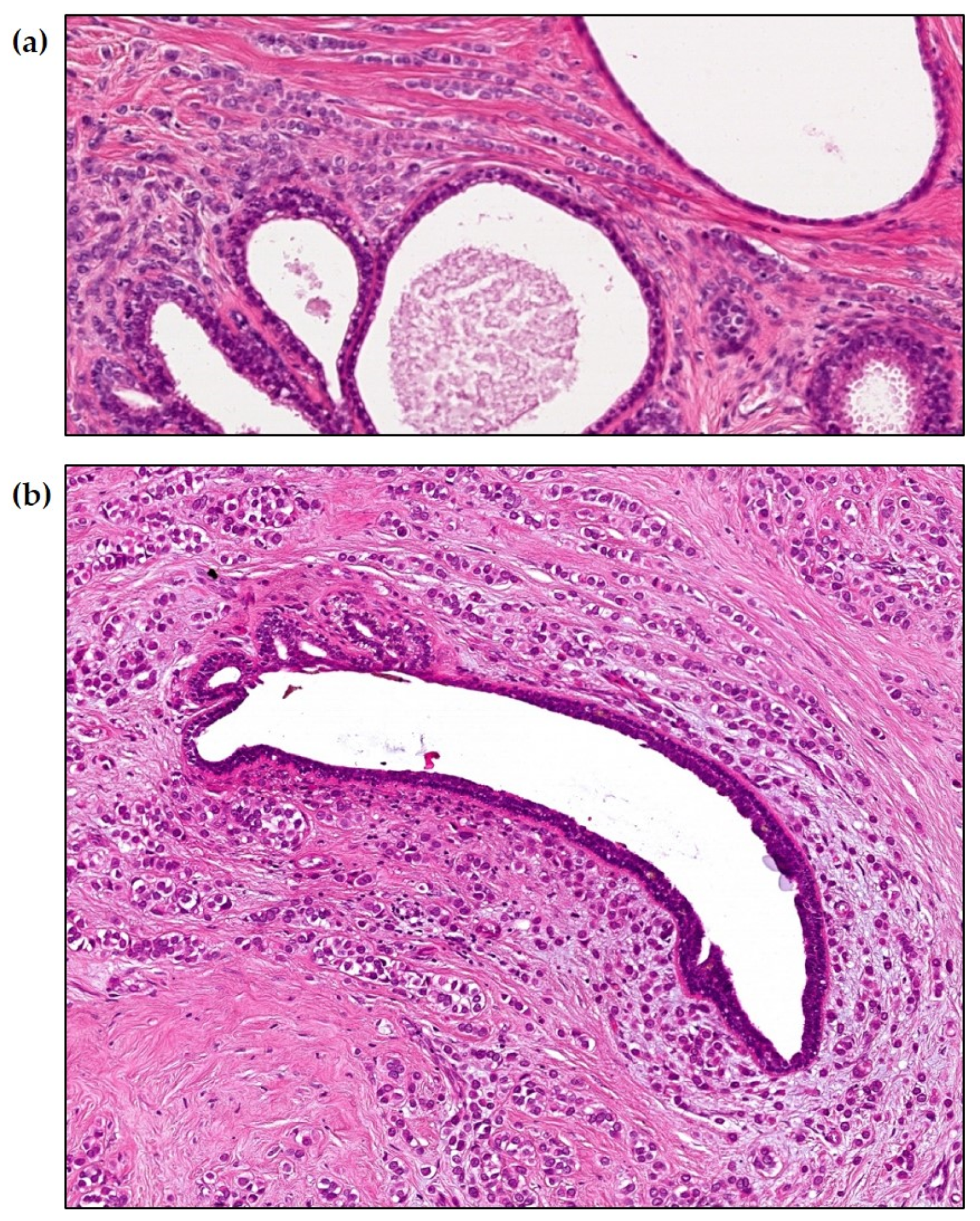
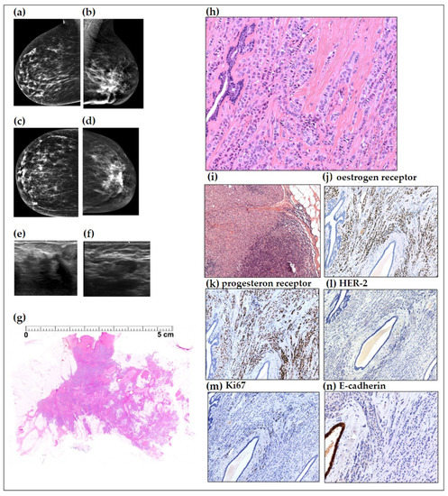
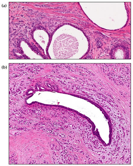
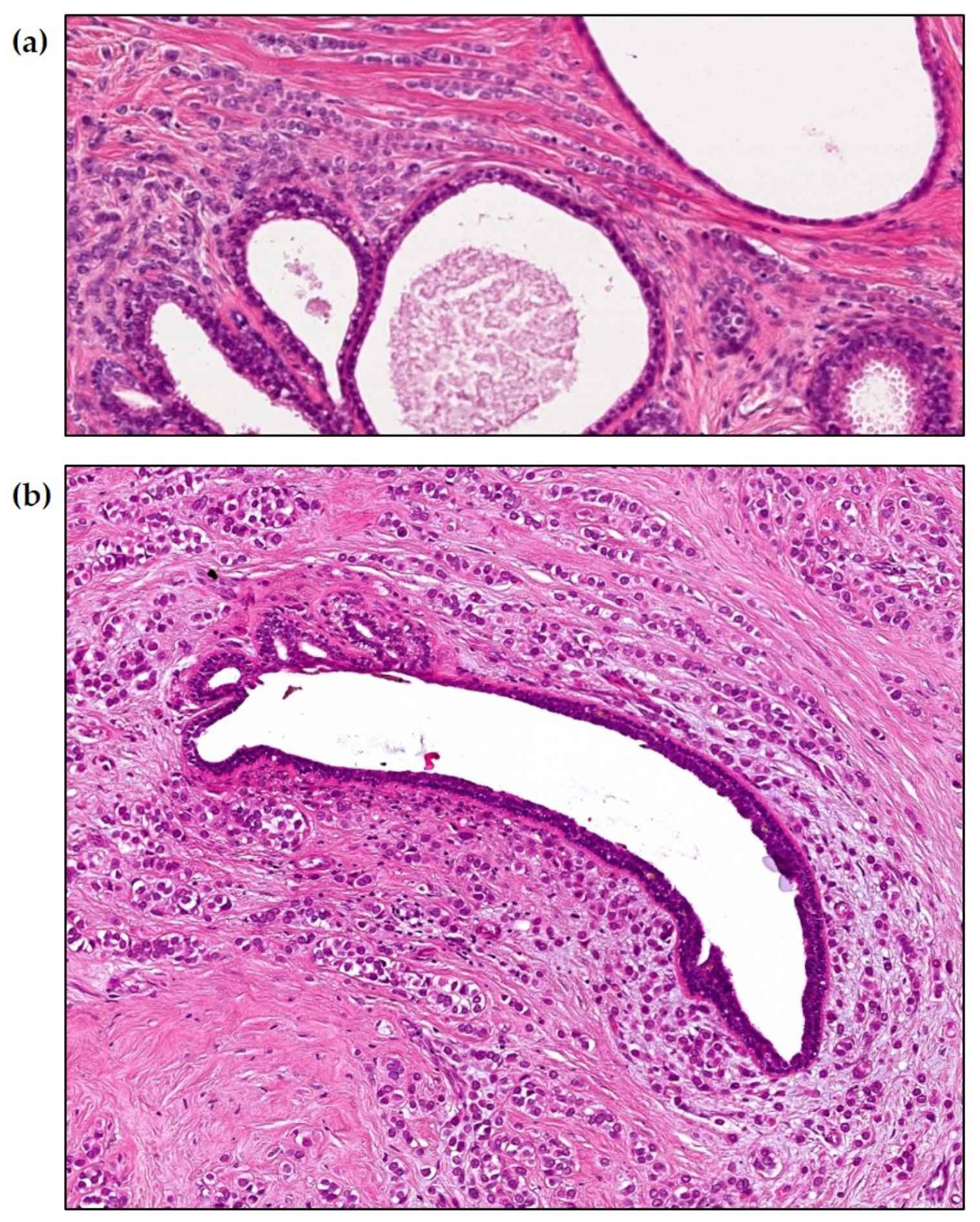
4.1. Detailed Description of Case 1
4.2. Cell Isolation from Tumour Tissue
4.3. Flow Cytometric Analysis
4.4. Immunofluorescence Staining
Author Contributions
Funding
Institutional Review Board Statement
Informed Consent Statement
Data Availability Statement
Acknowledgments
Conflicts of Interest
Appendix A



References
- World Health Organization. Breast Cancer Screening; IARC, International Agency for Research on Cancer: Lyon, France, 2016. [Google Scholar]
- Duffy, S.W.; Tabár, L.; Yen, A.M.; Dean, P.B.; Smith, R.A.; Jonsson, H.; Törnberg, S.; Chiu, S.Y.; Chen, S.L.; Jen, G.H.; et al. Beneficial Effect of Consecutive Screening Mammography Examinations on Mortality from Breast Cancer: A Prospective Study. Radiology 2021, 299, 541–547. [Google Scholar] [CrossRef]
- Duffy, S.W.; Tabár, L.; Yen, A.M.; Dean, P.B.; Smith, R.A.; Jonsson, H.; Törnberg, S.; Chen, S.L.; Chiu, S.Y.; Fann, J.C.; et al. Mammography screening reduces rates of advanced and fatal breast cancers: Results in 549,091 women. Cancer 2020, 126, 2971–2979. [Google Scholar] [CrossRef]
- Tabár, L.; Dean, P.B.; Yen, A.M.; Tarján, M.; Chiu, S.Y.; Chen, S.L.; Fann, J.C.; Chen, T.H. A Proposal to Unify the Classification of Breast and Prostate Cancers Based on the Anatomic Site of Cancer Origin and on Long-term Patient Outcome. Breast Cancer 2014, 8, 15–38. [Google Scholar] [CrossRef]
- Tabar, L.; Dean, P.B.; Chen, S.L.; Chen, H.H.; Yen, A.M.; Fann, J.C. Invasive Lobular Carcinoma of the Breast: The Use of Radiological Appearance to Classify Tumor Subtypes for Better Prediction of Long-Term Outcome. J. Clin. Exp. Pathol. 2014, 4, 179. [Google Scholar] [CrossRef]
- Tabar, L.; Gad, A.; Holmberg, L.H.; Ljungquist, U.; Fagerberg, C.J.; Baldetorp, L.; Gröntoft, O.; Lundström, B.; Månson, J.C.; Croup, Ö.C.; et al. Reduction in mortality from breast cancer after mass screening with mammography. Lancet 1985, 325, 829–832. [Google Scholar] [CrossRef] [PubMed]
- Tabár, L.; Dean, P.B.; Chen, T.H.; Yen, A.M.; Chen, S.L.; Fann, J.C.; Chiu, S.Y.; Ku, M.M.; Wu, W.Y.; Hsu, C.Y.; et al. The incidence of fatal breast cancer measures the increased effectiveness of therapy in women participating in mammography screening. Cancer 2019, 125, 515–523. [Google Scholar] [CrossRef] [PubMed]
- Tabar, L.; Tony Chen, H.H.; Amy Yen, M.F.; Tot, T.; Tung, T.H.; Chen, L.S.; Chiu, Y.H.; Duffy, S.W.; Smith, R.A. Mammographic tumor features can predict long-term outcomes reliably in women with 1–14-mm invasive breast carcinoma: Suggestions for the reconsideration of current therapeutic practice and the TNM classification system. Cancer 2004, 101, 1745–1759. [Google Scholar] [CrossRef] [PubMed]
- Tabár, L.; Chen, H.H.; Duffy, S.W.; Yen, M.F.; Chiang, C.F.; Dean, P.B.; Smith, R.A. A novel method for prediction of long-term outcome of women with T1a, T1b, and 10–14 mm invasive breast cancers: A prospective study. Lancet 2000, 355, 429–433. [Google Scholar] [CrossRef]
- Wu, W.Y.; Tabar, L.; Tot, T.; Fann, C.Y.; Yen, A.M.; Chen, S.L.; Chiu, S.Y.; Ku, M.M.; Hsu, C.Y.; Beckmann, K.R.; et al. Imaging Biomarkers as Predictors for Breast Cancer Death. J. Oncol. 2019, 2019, 2087983. [Google Scholar] [CrossRef]
- Tabár, L.; Dean, P.B.; Tucker, F.L.; Yen, A.M.; Chen, S.L.; Jen, G.H.; Wang, J.W.; Smith, R.A.; Duffy, S.W.; Chen, T.H. A new approach to breast cancer terminology based on the anatomic site of tumour origin: The importance of radiologic imaging biomarkers. Eur. J. Radiol. 2022, 149, 110189. [Google Scholar] [CrossRef]
- Tot, T.; Tabár, L. Mammographic–Pathologic Correlation of Ductal Carcinoma In Situ of the Breast Using Two- and Three-Dimensional Large Histologic Sections. Semin. Breast Dis. 2005, 8, 144–151. [Google Scholar] [CrossRef]
- Nistico, P.; Bissell, M.J.; Radisky, D.C. Epithelial-Mesenchymal Transition: General Principles and Pathological Relevance with Special Emphasis on the Role of Matrix Metalloproteinases. Cold Spring Harb. Perspect. Biol. 2012, 4, a011908. [Google Scholar] [CrossRef] [PubMed]
- Zhou, W.; Sollie, T.; Tot, T.; Pinder, S.E.; Amini, R.M.; Blomqvist, C.; Fjällskog, M.L.; Christensson, G.; Abdsaleh, S.; Wärnberg, F. Breast Cancer with Neoductgenesis: Histopathological Criteria and Its Correlation with Mammographic and Tumour Features. Int. J. Breast Cancer 2014, 2014, 581706. [Google Scholar] [CrossRef] [PubMed]
- Zombori, T.; Cserni, G. Elastic stains in the evaluation of DCIS with comedo necrosis in breast cancers. Virchows Arch. 2018, 472, 1007–1014. [Google Scholar] [CrossRef]
- Tabár, L.; Dean, P.B.; Tucker, F.L.; Yen, A.M.; Chang, R.W.; Hsu, C.Y.; Smith, R.A.; Duffy, S.W.; Chen, T.H. Breast cancers originating from the major lactiferous ducts and the process of neoductgenesis: Ductal Adenocarcinoma of the Breast, DAB. Eur. J. Radiol. 2022, 153, 110363. [Google Scholar] [CrossRef]
- Tabár, L.; Dean, P.B.; Tucker, F.L.; Chen, T.H.; Smith, R.A.; Duffy, S.W.; Chiu, S.Y.; Ku, M.M.; Fan, C.Y.; Yen, A.M. Imaging biomarkers of breast cancers originating from the major lactiferous ducts: Ductal adenocarcinoma of the breast, DAB. Eur. J. Radiol. 2022, 154, 110394. [Google Scholar] [CrossRef]
- Jensen, H.M.; Rice, J.R.; Wellings, S.R. Preneoplastic lesions in the human breast. Science 1976, 191, 295–297. [Google Scholar] [CrossRef]
- Tabár, L.; Dean, P.B.; Tucker, F.L.; Yen, A.M.; Fann, J.C.; Lin, A.T.; Smith, R.A.; Duffy, S.W.; Chen, T.H. Breast cancers originating from the terminal ductal lobular units: In situ and invasive acinar adenocarcinoma of the breast, AAB. Eur. J. Radiol. 2022, 152, 110323. [Google Scholar] [CrossRef]
- Organisation Mondiale de la Santé (Ed.) Breast Tumours, 5th ed.; OMS: Geneva, Switzerland, 2019. [Google Scholar]
- Foote, F.W.; Stewart, F.W. A histologic classification of carcinoma of the breast. Surgery 1946, 19, 74–99. [Google Scholar]
- Gupta, P.B.; Pastushenko, I.; Skibinski, A.; Blanpain, C.; Kuperwasser, C. Phenotypic Plasticity: Driver of Cancer Initiation, Progression, and Therapy Resistance. Cell Stem Cell 2019, 24, 65–78. [Google Scholar] [CrossRef]
- Castaneda, M.; den Hollander, P.; Kuburich, N.A.; Rosen, J.M.; Mani, S.A. Mechanisms of cancer metastasis. Semin. Cancer Biol. 2022, 87, 17–31. [Google Scholar] [CrossRef] [PubMed]
- Brown, C.; McKee, C.; Bakshi, S.; Walker, K.; Hakman, E.; Halassy, S.; Svinarich, D.; Dodds, R.; Govind, C.K.; Chaudhry, G.R. Mesenchymal stem cells: Cell therapy and regeneration potential. J. Tissue Eng. Regen. Med. 2019, 13, 1738–1755. [Google Scholar] [CrossRef] [PubMed]






Disclaimer/Publisher’s Note: The statements, opinions and data contained in all publications are solely those of the individual author(s) and contributor(s) and not of MDPI and/or the editor(s). MDPI and/or the editor(s) disclaim responsibility for any injury to people or property resulting from any ideas, methods, instructions or products referred to in the content. |
© 2023 by the authors. Licensee MDPI, Basel, Switzerland. This article is an open access article distributed under the terms and conditions of the Creative Commons Attribution (CC BY) license (https://creativecommons.org/licenses/by/4.0/).
Share and Cite
Tabár, L.; Bozó, R.; Dean, P.B.; Ormándi, K.; Puchkova, O.; Oláh-Németh, O.; Németh, I.B.; Veréb, Z.; Yen, M.-F.; Chen, L.-S.; et al. Does Diffusely Infiltrating Lobular Carcinoma of the Breast Arise from Epithelial–Mesenchymal Hybrid Cells? Int. J. Mol. Sci. 2023, 24, 10752. https://doi.org/10.3390/ijms241310752
Tabár L, Bozó R, Dean PB, Ormándi K, Puchkova O, Oláh-Németh O, Németh IB, Veréb Z, Yen M-F, Chen L-S, et al. Does Diffusely Infiltrating Lobular Carcinoma of the Breast Arise from Epithelial–Mesenchymal Hybrid Cells? International Journal of Molecular Sciences. 2023; 24(13):10752. https://doi.org/10.3390/ijms241310752
Chicago/Turabian StyleTabár, László, Renáta Bozó, Peter B. Dean, Katalin Ormándi, Olga Puchkova, Orsolya Oláh-Németh, István Balázs Németh, Zoltán Veréb, Ming-Fang Yen, Li-Sheng Chen, and et al. 2023. "Does Diffusely Infiltrating Lobular Carcinoma of the Breast Arise from Epithelial–Mesenchymal Hybrid Cells?" International Journal of Molecular Sciences 24, no. 13: 10752. https://doi.org/10.3390/ijms241310752
APA StyleTabár, L., Bozó, R., Dean, P. B., Ormándi, K., Puchkova, O., Oláh-Németh, O., Németh, I. B., Veréb, Z., Yen, M.-F., Chen, L.-S., Chen, H.-H., & Vörös, A. (2023). Does Diffusely Infiltrating Lobular Carcinoma of the Breast Arise from Epithelial–Mesenchymal Hybrid Cells? International Journal of Molecular Sciences, 24(13), 10752. https://doi.org/10.3390/ijms241310752

