Genetic Authentication of the Medicinal Plant Portulaca oleracea Using a Quick, Precise, and Sensitive Isothermal DNA Amplification Assay
Abstract
1. Introduction
2. Results
2.1. ITS2 Sequence Alignment and LAMP Primer Design
2.2. Establishment of a LAMP Assay with Specificity for the PO DNA Identification
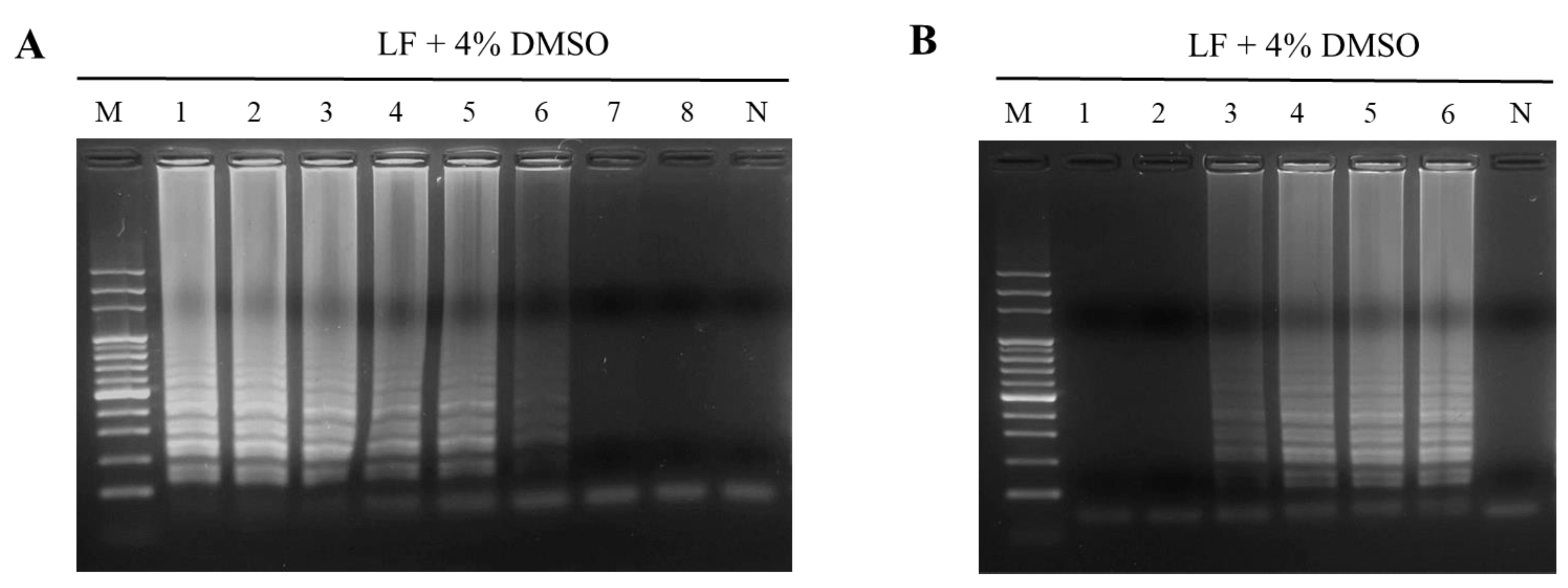
2.3. Sensitive Authentication of PO DNA by LAMP
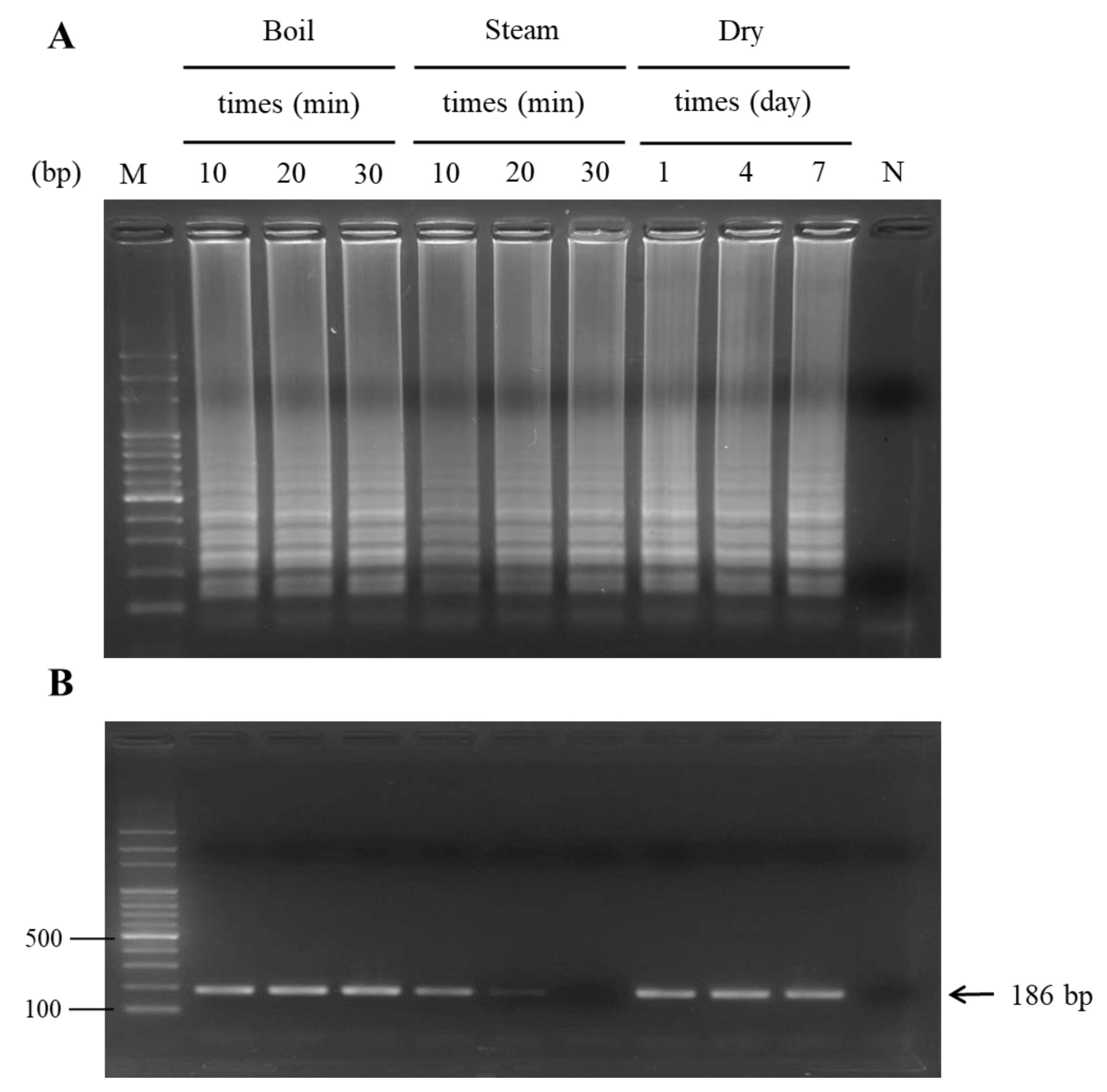
2.4. Heat-Processed PO Authentication Using LAMP
2.5. PO Speciments in the Market for Authentication by LAMP
3. Discussion
4. Materials and Methods
4.1. Sample Collection
4.2. DNA Extraction
4.3. Sequence Alignment and Primer Design for LAMP
4.4. LAMP
4.5. Detection of LAMP Products
4.6. Specificity of the LAMP Assay
4.7. Optimal Temperature Determination for the LAMP Assay
4.8. Determination of Reaction Times for LAMP Assay
4.9. Digestion of LAMP Product by Restriction Enzyme
4.10. Detection Sensitivity of LAMP
4.11. PCR
4.12. Using the LAMP Assay for Authentication of Heat-Processed PO Samples
5. Conclusions
Supplementary Materials
Author Contributions
Funding
Institutional Review Board Statement
Informed Consent Statement
Data Availability Statement
Acknowledgments
Conflicts of Interest
References
- Wood, R. The New Whole Foods Encyclopedia; Penguin Book: New York, NY, USA, 1999. [Google Scholar]
- Heydari, M.; Hashempur, M.H.; Daneshfard, B.; Mosavat, S.H. Bioactive Food as Dietary Interventions for Diabetes, 2nd ed.; Chapter 4—Bioactive Foods as Dietary Intervention for Diabetes from the Perspective of Persian Medicine; Academic Press: Cambridge, MA, USA, 2019; p. 56. [Google Scholar]
- Iranshahy, M.; Javadi, B.; Iranshahi, M.; Jahanbakhsh, S.P.; Mahyari, S.; Hassani, F.V.; Karimi, G.A. A review of traditional uses, phytochemistry, and pharmacology of Portulaca oleracea L. J. Ethnopharmacol. 2017, 205, 158–172. [Google Scholar] [CrossRef] [PubMed]
- Kristoffersen, A.E.; Quandt, S.A.; Stub, T. Use of complementary and alternative medicine in Norway: A cross-sectional survey with a modified Norwegian version of the international questionnaire to measure use of complementary and alternative medicine (I-CAM-QN). BMC Complement. Med. Ther. 2021, 16, 93. [Google Scholar] [CrossRef] [PubMed]
- Hawks, M.K.; Crawford, P.F., 3rd; Moss, D.A.; Snyder, M.J. Integrative Medicine: Herbal Supplements. FP Essent. 2021, 505, 23–27. [Google Scholar]
- Chang, H.C. Pharmacognostical studies on Portulaca species in Taiwan. Master’s Thesis, China Medical University, Taichung, Taiwan, 2020. [Google Scholar]
- Xu, M.R.; Yang, B.C.; Chang, H.C.; Kuo, C.L.; Lin, C.H.; Chen, H.J.; Cheng, J.H.; Lee, M.S. Molecular authentication of the medicinal crop Portulaca oleracea and discrimination from its adulterants in herbal markets using PCR-restriction fragment length polymorphism (PCR-RFLP) analysis. Ind. Crops Prod. 2022, 183, 114983. [Google Scholar] [CrossRef]
- Ministry Health and Welfare. Taiwan Herbal Pharmacopeia, 3rd ed.; Portulacae Herba; Ministry Health and Welfare: Taipei City, Taiwan, 2019; p. 299.
- Rahimi, V.B.; Ajam, F.; Rakhshandeh, H.; Askari, V.R. A pharmacological review on Portulaca oleracea L.: Focusing on anti-inflammatory, anti-oxidant, immuno-modulatory and antitumor activities. J. Pharmacopunct. 2019, 22, 7–15. [Google Scholar] [CrossRef] [PubMed]
- Wu, B.; Yu, L.; Wu, X.; Chen, J. New CuCl 2-induced glucoside esters and other constituents from Portucala oleracea. Carbohydr. Res. 2012, 351, 68–73. [Google Scholar] [CrossRef]
- Noh, P.; Kim, W.J.; Yang, S.; Choi, G.; Moon, B.C. PCR-based rapid diagnostic tools for the authentication of medicinal mistletoe species. Phytomedicine 2021, 91, 153667. [Google Scholar] [CrossRef]
- Jin, F.; Wang, H.; Xu, H.; Liu, T.; Tang, L.; Wang, X.; Jiang, Y.; Yang, L.; Li, M.; Sui, M.; et al. Comparisons of plant-type characteristics and yield components in filial generations of Indica × Japonica crosses grown in different regions in China. Field Crops Res. 2013, 154, 110–118. [Google Scholar] [CrossRef]
- Kim, K.; Huh, J.H.; Um, Y.; Jeon, K.S.; Kim, H.J. The Comparative of Growth Characteristics and Ginsenoside Contents in Wild-simulated Ginseng (Panax ginseng C.A. Meyer) on Different Years by Soil Properties of Cultivation Regions. Korean J. Plant Res. 2020, 33, 651–658. [Google Scholar]
- Ganie, S.H.; Upadhyay, P.; Das, S.; Prasad Sharma, M. Authentication of medicinal plants by DNA markers. Plant Gene 2015, 4, 83–99. [Google Scholar] [CrossRef]
- Grazina, L.; Amaral, J.S.; Mafra, I. Botanical origin authentication of dietary supplements by DNA-based approaches. Compr. Rev. Food Sci. Food Saf. 2020, 19, 1080–1109. [Google Scholar] [CrossRef]
- Hebert, P.D.; Cywinska, A.; Ball, S.L.; de Waard, J.R. Biological identifications through DNA barcodes. Proc. Biol. Sci. 2003, 270, 313–321. [Google Scholar] [CrossRef]
- Lai, G.H.; Chao, J.; Lin, M.K.; Chang, W.T.; Peng, W.H.; Sun, F.C.; Lee, M.S.; Lee, M.S. Rapid and sensitive identification of the herbal tea ingredient Taraxacum formosanum using loop-mediated isothermal amplification. Int. J. Mol. Sci. 2015, 16, 1562–1575. [Google Scholar] [CrossRef]
- Zhao, M.; Shi, Y.; Wu, L.; Guo, L.; Liu, W.; Xiong, C.; Yan, S.; Sun, W.; Chen, S. Rapid authentication of the precious herb saffron by loop-mediated isothermal amplification (LAMP) based on internal transcribed spacer 2 (ITS2) sequence. Sci. Rep. 2016, 6, 25370. [Google Scholar] [CrossRef]
- Lee, M.S.; Hxiao, H.J. Rapid and sensitive authentication of Polygonum multiflorum (He-Shou-Wu) of Chinese medicinal crop using specific isothermal nucleic acid amplification. Ind. Crops Prod. 2019, 129, 281–289. [Google Scholar] [CrossRef]
- Notomi, T.; Okayama, H.; Masubuchi, H.; Yonekawa, T.; Watanabe, K.; Amino, N.; Hase, T. Loop-mediated isothermal amplification of DNA. Nucleic Acids Res. 2000, 28, e63. [Google Scholar] [CrossRef]
- Deconinck, E.; Djiogo, C.A.S.; Bothy, J.L.; Courselle, P. Detection of regulated herbs and plants in plant food supplements and traditional medicines using infrared spectroscopy. J. Pharmaceut. Biomed. 2017, 142, 210–217. [Google Scholar] [CrossRef]
- Zhao, Z.; Hu, Y.; Liang, Z.; Yuen, J.P.; Jiang, Z.; Leung, K.S. Authentication is fundamental for standardization of Chinese medicines. Planta Med. 2006, 72, 865–874. [Google Scholar] [CrossRef]
- Sheu, S.C.; Wu, Y.; Lien, Y.Y.; Lee, M.S. Specific, sensitive and rapid Curcuma longa turmeric powder authentication in commercial food using loop-mediated isothermal nucleic acid amplification. Saudi J. Biol. Sci. 2021, 28, 5931–5936. [Google Scholar] [CrossRef]
- Nagamine, K.; Hase, T.; Notomi, T. Accelerated reaction by loop-mediated isothermal amplification using loop primers. Mol. Cell. Probes 2002, 16, 223–229. [Google Scholar] [CrossRef]
- Chester, N.; Marshak, D.R. Dimethyl Sulfoxide-Mediated Primer Tm Reduction: A Method for Analyzing the Role of Renaturation Temperature in the Polymerase Chain Reaction. Anal. Biochem. 1993, 209, 284–290. [Google Scholar] [CrossRef] [PubMed]
- Escara, J.F.; Hutton, J.R. Thermal stability and renaturation of DNA in dimethyl sulfoxide solutions: Acceleration of the renaturation rate. Biopolymers 1980, 19, 1315–1327. [Google Scholar] [CrossRef] [PubMed]
- Jensen, M.A.; Fukushima, M.; Davis, R.W. DMSO and Betaine Greatly Improve Amplification of GC-Rich Constructs in De Novo Synthesis. PLoS ONE 2010, 5, e11024. [Google Scholar] [CrossRef] [PubMed]
- Jang, W.S.; Lim, D.H.; Choe, Y.; Jee, H.; Moon, K.C.; Kim, C.; Choi, M.; Park, I.S.; Lim, C.S. Development of a Multiplex Loop-Mediated Isothermal Amplification Assay for Diagnosis of Plasmodium spp., Plasmodium falciparum and Plasmodium vivax. Diagnostics 2021, 11, 1950. [Google Scholar] [CrossRef]







| Primer Set | Primer Name | Primer Sequence (5′-3′) | Length | Tm | GC% |
|---|---|---|---|---|---|
| PO02 | F3 a | GGTGGTTGACGAGGCTTAA | 19 | 51.1 | 53 |
| B3 a | GCCGTTACTAGGGGAATCCT | 20 | 53.8 | 55 | |
| FIP (F1c + TTTTT + F2) b | TGGGTCCCAACAAGCCCATCTTTTTTTACATCGCGCCGCTGGA | 43 | 71.2 | 53 | |
| BIP(B1c + TTTTT + B2) b | AAGCCACGCAAAACCGTTGCGTTTTTACTCAGCGGGTAGCCCCGCC | 46 | 74.3 | 59 | |
| POL | LF c | CCAACAGCGTGC | 12 | 36.2 | 67 |
| LB c | ACCCCAGGTCA | 11 | 29.9 | 64 |
| No. | Species (Labeled Species) | Location | Characteristics | Identification | ||
|---|---|---|---|---|---|---|
| LAMP | PCR | Microscopical a | ||||
| 1 | Portulaca oleracea | Yilan | medicinal material | ND | ND | Bacopa monnieri |
| 2 | Portulaca oleracea | Taipei | medicinal material | ND | ND | Bacopa monnieri |
| 3 | Portulaca oleracea | Miaoli | medicinal material | ND | ND | Bacopa monnieri |
| 4 | Portulaca oleracea | Taichung | medicinal material | Portulaca oleracea | Portulaca oleracea | Portulaca oleracea |
| 5 | Portulaca oleracea | Taichung | medicinal material | Portulaca oleracea | Portulaca oleracea | Portulaca oleracea |
| 6 | Portulaca oleracea | Taichung | medicinal material | ND | ND | Bacopa monnieri |
| 7 | Portulaca oleracea | Taichung | medicinal material | ND | ND | Bacopa monnieri |
| 8 | Portulaca oleracea | Taichung | medicinal material | ND | ND | Bacopa monnieri |
| 9 | Portulaca oleracea | Taichung | medicinal material | ND | ND | Bacopa monnieri |
| 10 | Portulaca oleracea | Taichung | medicinal material | Portulaca oleracea | Portulaca oleracea | Portulaca oleracea |
| 11 | Portulaca oleracea | Taichung | medicinal material | Portulaca oleracea | ND | Portulaca oleracea |
| 12 | Portulaca oleracea | Taichung | medicinal material | Portulaca oleracea | Portulaca oleracea | Portulaca oleracea |
| 13 | Portulaca oleracea | Changhua | medicinal material | ND | ND | Bacopa monnieri |
| 14 | Portulaca oleracea | Yunlin | medicinal material | ND | ND | Bacopa monnieri |
| 15 | Portulaca oleracea | Kaohsiung | medicinal material | ND | ND | Bacopa monnieri |
| 16 | Portulaca oleracea | Tainan | medicinal material | ND | ND | Bacopa monnieri |
| 17 | Portulaca oleracea | Pingtung | medicinal material | ND | ND | Bacopa monnieri |
| 18 | Portulaca oleracea | Kinmen | medicinal material | ND | ND | Bacopa monnieri |
| 19 | Portulaca oleracea | Taichung | Concentrated Granules | Portulaca oleracea | Portulaca oleracea | ND |
| Species | Location for Collection in Taiwan | Characteristics | Sample Abbreviation | Accession Number in Genbank |
|---|---|---|---|---|
| Portulaca oleracea | Tainan | whole plant | PO | MZ497386.1 |
| Portulaca umbraticola | Tainan | whole plant | PU | MZ505443.1 |
| Portulaca psammotropha | Tainan | whole plant | PPS | MZ520546.1 |
| Portulaca pilosa | Tainan | whole plant | PPI | MZ531899.1 |
| Portulaca quadrifida | Tainan | whole plant | PQ | MZ520547.1 |
| Bacopa monnieri | Yilan | whole plant | BM | MZ520548.1 |
Disclaimer/Publisher’s Note: The statements, opinions and data contained in all publications are solely those of the individual author(s) and contributor(s) and not of MDPI and/or the editor(s). MDPI and/or the editor(s) disclaim responsibility for any injury to people or property resulting from any ideas, methods, instructions or products referred to in the content. |
© 2023 by the authors. Licensee MDPI, Basel, Switzerland. This article is an open access article distributed under the terms and conditions of the Creative Commons Attribution (CC BY) license (https://creativecommons.org/licenses/by/4.0/).
Share and Cite
Xu, M.-R.; Sun, F.-C.; Yang, B.-C.; Chen, H.-J.; Lin, C.-H.; Cheng, J.-H.; Lee, M.-S. Genetic Authentication of the Medicinal Plant Portulaca oleracea Using a Quick, Precise, and Sensitive Isothermal DNA Amplification Assay. Int. J. Mol. Sci. 2023, 24, 10730. https://doi.org/10.3390/ijms241310730
Xu M-R, Sun F-C, Yang B-C, Chen H-J, Lin C-H, Cheng J-H, Lee M-S. Genetic Authentication of the Medicinal Plant Portulaca oleracea Using a Quick, Precise, and Sensitive Isothermal DNA Amplification Assay. International Journal of Molecular Sciences. 2023; 24(13):10730. https://doi.org/10.3390/ijms241310730
Chicago/Turabian StyleXu, Mo-Rong, Fang-Chun Sun, Bo-Cheng Yang, Hsi-Jien Chen, Chia-Hsin Lin, Jai-Hong Cheng, and Meng-Shiou Lee. 2023. "Genetic Authentication of the Medicinal Plant Portulaca oleracea Using a Quick, Precise, and Sensitive Isothermal DNA Amplification Assay" International Journal of Molecular Sciences 24, no. 13: 10730. https://doi.org/10.3390/ijms241310730
APA StyleXu, M.-R., Sun, F.-C., Yang, B.-C., Chen, H.-J., Lin, C.-H., Cheng, J.-H., & Lee, M.-S. (2023). Genetic Authentication of the Medicinal Plant Portulaca oleracea Using a Quick, Precise, and Sensitive Isothermal DNA Amplification Assay. International Journal of Molecular Sciences, 24(13), 10730. https://doi.org/10.3390/ijms241310730

