Central and Peripheral NPY Age-Related Regulation: A Comparative Analysis in Fish Translational Models
Abstract
1. Introduction
2. Results
2.1. NPY mRNA Expression Levels in the Brain and Gut during Aging
2.2. Immunoreactivity to NPY in the Brain of Turquoise Killifish and Zebrafish
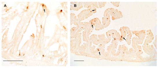
2.3. Immunoreactivity to NPY in the Gut of Turquoise Killifish and Zebrafish
3. Discussion
4. Materials and Methods
4.1. Protocols
- -
- on group-housed N. furzeri belonging to the long-lived strain MZM 04/10 at the following time points: 5 weeks post hatching (wph), corresponding to a young adult at the age of the sexual maturity and 27 wph, corresponding to old individuals, at the onset of aging-related alterations [45]. Authorization for tissue sampling was carried out in accordance with the Italian legislative Decree (n°26/2014) (n° 6146A.N.4XE);
- -
- on group-housed D. rerio belonging to the AB strain, at the following time points: 6 months post fertilization (mpf) (young-adult) and 36 mpf (old). Authorization for tissue sampling was carried out in accordance with the Italian legislative Decree (n°26/2014) (n° 6146A.N.WZ1).
4.2. Animal and Tissue Preparation
4.3. RNA Extraction and the Reverse Transcription of cDNA Synthesis
4.4. Quantitative Real Time PCR
- -
- N. furzeri:
- NPY fw CAGCCCTGAGACACTACATCA;
- NPY rev CTGCTCTCCTTCAGCAGCA;
- -
- D. rerio:
- NPY fw ACAAAGCCCGACAACCCG;
- NPY rev AGCGCTTGACCTTTTCCCAT.
4.5. Statistical Analysis
4.6. Immunohistochemistry
4.7. Controls of Specificity
4.8. Image Acquisition
Supplementary Materials
Author Contributions
Funding
Institutional Review Board Statement
Informed Consent Statement
Data Availability Statement
Conflicts of Interest
References
- Kontis, K.; Bennett, J.E.; Mathers, C.D.; Li, G.; Foreman, K.; Ezzati, M. Future life expectancy in 35 industrialised countries: Projections with a Bayesian model ensemble. Lancet 2017, 389, 1323–1335. [Google Scholar] [CrossRef]
- Wyss-Coray, T. Ageing, neurodegeneration and brain rejuvenation. Nature 2016, 539, 180–186. [Google Scholar] [CrossRef]
- Ferreira-Marques, M.; Carvalho, A.; Cavadas, C.; Aveleira, C.A. PI3K/AKT/MTOR and ERK1/2-MAPK signaling pathways are involved in autophagy stimulation induced by caloric restriction or caloric restriction mimetics in cortical neurons. Aging 2021, 13, 7872–7882. [Google Scholar] [CrossRef]
- Tatemoto, K.; Carlquist, M.; Mutt, V. Neuropeptide Y—A novel brain peptide with structural similarities to peptide YY and pancreatic polypeptide. Nature 1982, 15, 659–660. [Google Scholar] [CrossRef]
- Holzer, P.; Reichmann, F.; Farzi, A. Neuropeptide Y, peptide YY and pancreatic polypeptide in the gut-brain axis. Neuropeptides 2012, 46, 261–274. [Google Scholar] [CrossRef]
- Silva, A.P.; Xapelli, S.; Grouzmann, E.; Cavadas, C. The putative neuroprotective role of neuropeptide Y in the central nervous system. Curr. Drug Targets CNS Neurol. Disord. 2005, 4, 331–347. [Google Scholar] [CrossRef]
- Botelho, M.; Cavadas, C. Neuropeptide Y: An Anti-Aging Player? Trends Neurosci. 2015, 38, 701–711. [Google Scholar] [CrossRef]
- Michalkiewicz, M.; Knestaut, K.M.; Bytchkova, E.Y.; Michalkiewicz, T. Hypotension and reduced catecholamines in neuropeptide Y transgenic rats. Hypertension 2003, 41, 1056–1062. [Google Scholar] [CrossRef][Green Version]
- Redrobe, J.P.; Dumont, Y.; Herzog, H.; Quirion, R. Characterization of neuropeptide Y, Y(2) receptor knockout mice in two animal models of learning and memory processing. J. Mol. Neurosci. 2004, 22, 159–166. [Google Scholar] [CrossRef]
- Duarte-Neves, J.; Pereira de Almeida, L.; Cavadas, C. Neuropeptide Y (NPY) as a therapeutic target for neurodegenerative diseases. Neurobiol. Dis. 2016, 95, 210–224. [Google Scholar] [CrossRef]
- Cardoso, A.; Silva, D.; Magano, S.; Pereira, P.A.; Andrade, J.P. Old-onset caloric restriction effects on neuropeptide Y- and somatostatin-containing neurons and on cholinergic varicosities in the rat hippocampal formation. Age 2014, 36, 9737. [Google Scholar] [CrossRef]
- Valdesalici, S.; Cellerino, A. Extremely short lifespan in the annual fish Nothobranchius furzeri. Proc. Biol. Sci. 2003, 270 (Suppl. S2), S189–S191. [Google Scholar] [CrossRef]
- Hu, C.K.; Brunet, A. The African turquoise killifish: A research organism to study vertebrate aging and diapause. Aging Cell 2018, 17, 3. [Google Scholar] [CrossRef]
- D’Angelo, L.; Lossi, L.; Merighi, A.; de Girolamo, P. Anatomical features for the adequate choice of experimental animal models in biomedicine: I, Fishes. Ann. Anat. 2016, 205, 75–84. [Google Scholar] [CrossRef]
- Leggieri, A.; Attanasio, C.; Palladino, A.; Cellerino, A.; Lucini, C.; Paolucci, M.; Terzibasi Tozzini, E.; de Girolamo, P.; D’Angelo, L. Identification and expression of neurotrophin-6 in the brain of Nothobranchius furzeri: One more piece in neurotrophin research. J. Clin. Med. 2019, 8, 595. [Google Scholar] [CrossRef]
- De Girolamo, P.; Leggieri, A.; Palladino, A.; Lucini, C.; Attanasio, C.; D’Angelo, L. Cholinergic system and NGF receptors: Insights from the brain of the short-lived fish Nothobanchius furzeri. Brain Sci. 2020, 10, 394. [Google Scholar] [CrossRef]
- Cellerino, A.; Valenzano, D.R.; Reichard, M. From the bush to the bench: The annual Nothobranchius fishes as a new model system in biology. Biol. Rev. 2016, 91, 511–533. [Google Scholar] [CrossRef]
- Dolfi, L.; Ripa, R.; Cellerino, A. Transition to annual life history coincides with reduction in cell cycle speed during early cleavage in three independent clades of annual killifish. Evodevo 2014, 5, 32. [Google Scholar] [CrossRef]
- Kimmel, C.B.; Ballard, W.W.; Kimmel, S.R.; Ullmann, B.; Schilling, T.F. Stages of embryonic development of the zebrafish. Dev. Dyn. 1995, 203, 253–310. [Google Scholar] [CrossRef]
- The Zebrafish Information Network. Available online: https://zfin.org/ (accessed on 1 February 2022).
- Avdesh, A.; Chen, M.; Martin-Iverson, M.T.; Mondal, A.; Ong, D.; Rainey-Smith, S.; Taddei, K.; Lardelli, M.; Growth, D.M.; Verdile, G.; et al. Regular care and maintenance of a zebrafish (Danio rerio) laboratory: An introduction. J. Vis. Exp. 2012, 69, e4196. [Google Scholar] [CrossRef]
- Volkoff, H. Fish as models for understanding the vertebrate endocrine regulation of feeding and weight. Mol. Cell Endocrinol. 2019, 497, 110437. [Google Scholar] [CrossRef]
- Ronnestad, I.; Gomes, A.S.; Murashita, K.; Angotzi, R.; Jönsson, E.; Volkoff, H. Appetite-Controlling Endocrine Systems in Teleosts. Front. Endocrinol. 2017, 8, 73. [Google Scholar] [CrossRef]
- Amodeo, P.; D’Aniello, E.; Defranoux, F.; Marino, A.; D’Angelo, L.; Ghiselin, M.T.; Mollo, E. The suitability of fishes as models for studying appetitive behavior in vertebrates. Results Probl. Cell Differ. 2018, 65, 423–438. [Google Scholar]
- Matsuda, K.; Sakashita, A.; Yokobori, E.; Azuma, M. Neuroendocrine control of feeding behavior and psychomotor activity by neuropeptideY in fish. Neuropeptides 2012, 46, 275–283. [Google Scholar] [CrossRef]
- Singh, C.; Rihel, J.; Prober, D.A. Neuropeptide Y regulates sleep by modulating noradrenergic signaling. Curr. Biol. 2017, 27, 3796–3811. [Google Scholar] [CrossRef]
- Shiozaki, K.; Kawabe, M.; Karasuyama, K.; Kurachi, T.; Hayashi, A.; Ataka, K.; Iwai, H.; Takeno, H.; Hayasaka, O.; Kotani, T.; et al. Neuropeptide Y deficiency induces anxiety-like behaviours in zebrafish (Danio rerio). Sci. Rep. 2020, 10, 5913. [Google Scholar] [CrossRef]
- Cui, C.; Wang, L.F.; Huang, S.B.; Zhao, P.; Chen, Y.Q.; Wu, Y.B.; Qiao, C.M.; Zhao, W.J.; Shen, Y.Q. Adequate expression of neuropeptide Y is essential for the recovery of zebrafish motor function following spinal cord injury. Exp. Neurol. 2021, 345, 113831. [Google Scholar] [CrossRef]
- Blomqvist, A.G.; Söderberg, C.; Lundell, I.; Milner, R.J.; Larhammar, D. Strong evolutionary conservation of neuropeptide Y: Sequences of chicken, goldfish, and Torpedo marmorata DNA clones. Proc. Natl. Acad. Sci. USA 1992, 89, 2350–2354. [Google Scholar] [CrossRef]
- Montesano, A.; Baumgart, M.; Avallone, L.; Castaldo, L.; Lucini, C.; Terzibasi Tozzini, E.; Cellerino, A.; D’Angelo, L.; de Girolamo, P. Age-related central regulation of orexin and NPY in the shortlived African killifish Nothobranchius furzeri. J. Comp. Neurol. 2019, 527, 1508–1526. [Google Scholar] [CrossRef]
- Assan, D.; Mustapha, U.F.; Chen, H.; Li, Z.; Peng, Y.; Li, G. The Roles of Neuropeptide Y (Npy) and Peptide YY (Pyy) in Teleost Food Intake: A Mini Review. Life 2021, 11, 547. [Google Scholar] [CrossRef]
- Yokobori, E.; Azuma, M.; Nishiguchi, R.; Kang, K.S.; Kamijo, M.; Uchiyama, M.; Matsuda, K. Neuropeptide Y stimulates food intake in the Zebrafish, Danio rerio. J. Neuroendocrinol. 2012, 24, 766–773. [Google Scholar] [CrossRef]
- Jeong, I.; Kim, E.; Kim, S.; Kim, H.K.; Lee, D.W.; Seong, J.Y.; Park, H.C. mRNA expression and metabolic regulation of npy and agrp1/2 in the zebrafish brain. Neurosci. Lett. 2018, 668, 73–79. [Google Scholar] [CrossRef]
- De Girolamo, P.; D’Angelo, L. Neurotrophins in the Brain of Teleost Fish: The State of the Art. Adv. Exp. Med. Biol. 2021, 1331, 289–307. [Google Scholar]
- Kim, Y.; Nam, H.G.; Valenzano, D.R. The short-lived African turquoise killifish: An emerging experimental model for ageing. Dis. Model Mech. 2016, 9, 115–129. [Google Scholar] [CrossRef]
- Gehrig, S.M.; van der Poel, C.; Sayer, T.A.; Schertzer, J.D.; Henstridge, D.C.; Church, J.E. Hsp72 preserves muscle function and slows progression of severe muscular dystrophy. Nature 2012, 484, 394–398. [Google Scholar] [CrossRef]
- Aveleira, C.A.; Botelho, M.; Carmo-Silva, S.; Pascoal, J.F.; Ferreira-Marques, M.; Nóbrega, C.; Cortes, L.; Valero, J.; Sousa-Ferreira, L.; Álvaro, A.R.; et al. Neuropeptide Y stimulates autophagy in hypothalamic neurons. Proc. Natl. Acad. Sci. USA 2015, 112, E1642–E1651. [Google Scholar] [CrossRef]
- Ferreira-Marques, M.; Aveleira, C.A.; Carmo-Silva, S.; Botelho, M.; Pereira de Almeida, L.; Cavadas, C. Caloric restriction stimulates autophagy in rat cortical neurons through neuropeptide Y and ghrelin receptor activation. Aging 2016, 8, 1470–1484. [Google Scholar] [CrossRef]
- Aveleira, C.A.; Ferreira-Marques, M.; Cortes, L.; Valero, J.; Pereira, D.; Pereira de Almeida, L.; Cavadas, C. Neuropeptide Y enhances progerin clearence and ameliorates the senescent phenotype of human Hutchinson-Gilford progeria syndrome cells. J. Gerontol. Biol. Sci. Med. Sci. 2020, 75, 1073–1078. [Google Scholar] [CrossRef]
- Eriksson, M.; Brown, W.T.; Gordon, L.B.; Glynn, M.W.; Singer, J.; Scott, L.; Erdos, M.R.; Robbins, C.M.; Moses, T.Y.; Berglund, P.; et al. Recurrent de novo point mutations in lamin A cause Hutchinson-Gilford progeria syndrome. Nature 2003, 423, 293–298. [Google Scholar] [CrossRef]
- Valenzano, D.R.; Benayoun, B.A.; Singh, P.P.; Zhang, E.; Etter, P.D.; Hu, C.K.; Clément-Ziza, M.; Willemsen, D.; Cui, R.; Harel, I.; et al. The African turquoise killifish genome provides insights into evolution and genetic architecture of lifespan. Cell 2015, 163, 1539–1554. [Google Scholar] [CrossRef]
- El-Salhy, M.; Sandström, O. How age changes the content of neuroendocrine peptides in the murine gastrointestinal tract. Gerontology 1999, 45, 17–22. [Google Scholar] [CrossRef]
- Budnik, A.F.; Aryaeva, D.; Vyshnyakova, P.; Masliukov, P.M. Age related changes of neuropeptide Y-ergic system in the rat duodenum. Neuropetides 2020, 80, 101982. [Google Scholar] [CrossRef]
- Lavergne, A.; Tarifeño-Saldivia, E.; Pirson, J.; Reuter, A.S.; Flasse, L.; Manfroid, I.; Voz, M.L.; Peers, B. Pancreatic and intestinal endocrine cells in zebrafish share common transcriptomic signatures and regulatory programmes. BMC Biol. 2020, 18, 109. [Google Scholar] [CrossRef]
- Leggieri, A.; Attanasio, C.; Palladino, A.; de Girolamo, P.; Lucini, C.; D’Angelo, L. Neuronal phenotype pf col4a1 and col25a1: An intriguing hypothesis in vertebrates brain aging. Int. J. Mol. Sci. 2022, 23, 1778. [Google Scholar] [CrossRef]
- Untergasser, A.; Nijveen, H.; Rao, X.; Bisseling, T.; Geurts, R.; Leunissen, J.A. Primer3Plus, an enhanced web interface to Primer3. Nucleic Acids Res. 2007, 35, W71–W74. [Google Scholar] [CrossRef]
- Cacialli, P.; Gatta, C.; D’Angelo, L.; Leggieri, A.; Palladino, A.; de Girolamo, P.; Pellegrini, E.; Lucini, C. Nerve growth factor is expressed and stored in central neurons of adult zebrafish. J Anat. 2019, 235, 167–179. [Google Scholar] [CrossRef]
- De Girolamo, P.; Lucini, C. Neuropeptide localization in nonmammalian vertebrates. Methods Mol. Biol. 2011, 789, 37–56. [Google Scholar]
- D’Angelo, L. Brain atlas of an emerging teleostean model: Nothobranchius furzeri. Anat. Rec. 2013, 296, 681–691. [Google Scholar] [CrossRef]
- The Pennsylvania State University. Available online: https://bio-atlas.psu.edu/index.php (accessed on 1 February 2022).




Publisher’s Note: MDPI stays neutral with regard to jurisdictional claims in published maps and institutional affiliations. |
© 2022 by the authors. Licensee MDPI, Basel, Switzerland. This article is an open access article distributed under the terms and conditions of the Creative Commons Attribution (CC BY) license (https://creativecommons.org/licenses/by/4.0/).
Share and Cite
Giaquinto, D.; De Felice, E.; Attanasio, C.; Palladino, A.; Schiano, V.; Mollo, E.; Lucini, C.; de Girolamo, P.; D’Angelo, L. Central and Peripheral NPY Age-Related Regulation: A Comparative Analysis in Fish Translational Models. Int. J. Mol. Sci. 2022, 23, 3839. https://doi.org/10.3390/ijms23073839
Giaquinto D, De Felice E, Attanasio C, Palladino A, Schiano V, Mollo E, Lucini C, de Girolamo P, D’Angelo L. Central and Peripheral NPY Age-Related Regulation: A Comparative Analysis in Fish Translational Models. International Journal of Molecular Sciences. 2022; 23(7):3839. https://doi.org/10.3390/ijms23073839
Chicago/Turabian StyleGiaquinto, Daniela, Elena De Felice, Chiara Attanasio, Antonio Palladino, Valentina Schiano, Ernesto Mollo, Carla Lucini, Paolo de Girolamo, and Livia D’Angelo. 2022. "Central and Peripheral NPY Age-Related Regulation: A Comparative Analysis in Fish Translational Models" International Journal of Molecular Sciences 23, no. 7: 3839. https://doi.org/10.3390/ijms23073839
APA StyleGiaquinto, D., De Felice, E., Attanasio, C., Palladino, A., Schiano, V., Mollo, E., Lucini, C., de Girolamo, P., & D’Angelo, L. (2022). Central and Peripheral NPY Age-Related Regulation: A Comparative Analysis in Fish Translational Models. International Journal of Molecular Sciences, 23(7), 3839. https://doi.org/10.3390/ijms23073839

