A Homologous Recombination System to Generate Epitope-Tagged Target Genes in Chaetomium thermophilum: A Genetic Approach to Investigate Native Thermostable Proteins
Abstract
:1. Introduction
2. Results
2.1. Engineering HR-Compatibility in C. thermophilum
2.2. Utilization of the ΔligD Strain for in Locus Gene Targeting
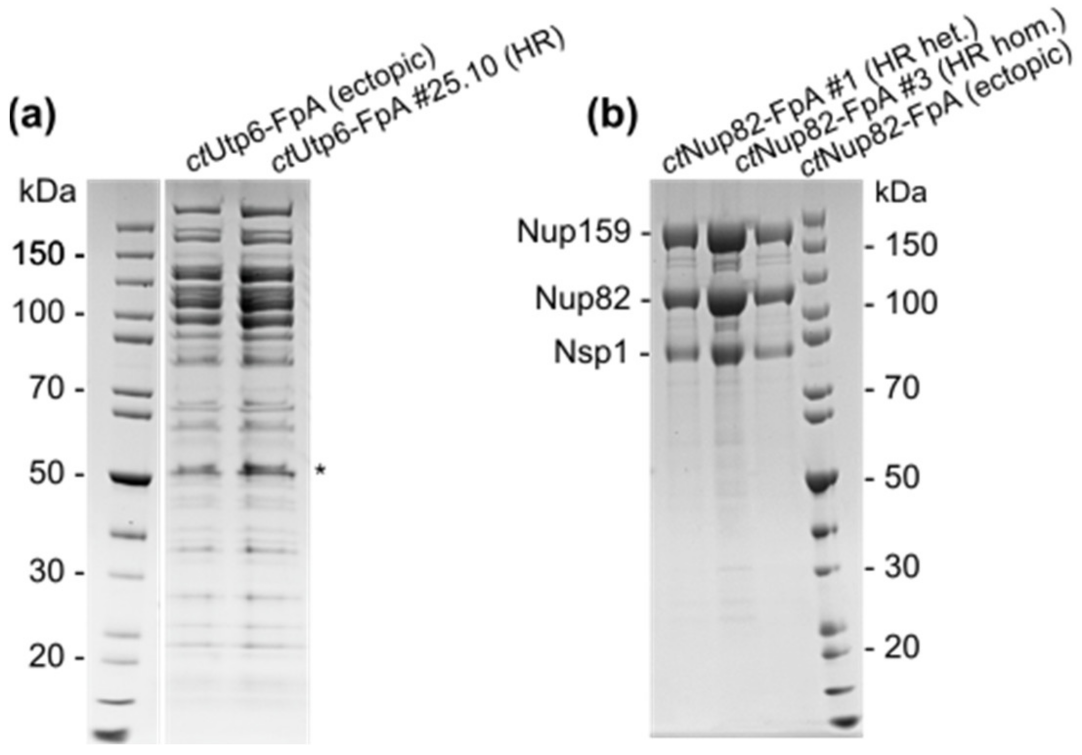
2.3. Biochemical Analysis of HR-Derived Strains Obtained by in Locus Gene Targeting
3. Discussion
4. Materials and Methods
4.1. Strains and Growth Conditions
4.2. DNA Procedures
4.3. Expression and Affinity Purification of Proteins from C. thermophilum
Supplementary Materials
Author Contributions
Funding
Institutional Review Board Statement
Informed Consent Statement
Data Availability Statement
Conflicts of Interest
References
- Chefetz, B.; Chen, Y.; Hadar, Y. Purification and characterization of laccase from Chaetomium thermophilium and its role in humification. Appl. Environ. Microbiol. 1998, 64, 3175–3179. [Google Scholar] [CrossRef] [PubMed] [Green Version]
- Li, A.N.; Ding, A.Y.; Chen, J.; Liu, S.A.; Zhang, M.; Li, D.C. Purification and characterization of two thermostable proteases from the thermophilic fungus Chaetomium thermophilum. J. Microbiol. Biotechnol. 2007, 17, 624–631. [Google Scholar] [PubMed]
- Li, A.N.; Yu, K.; Liu, H.Q.; Zhang, J.; Li, H.; Li, D.C. Two novel thermostable chitinase genes from thermophilic fungi: Cloning, expression and characterization. Bioresour. Technol. 2010, 101, 5546–5551. [Google Scholar] [CrossRef] [PubMed]
- Hakulinen, N.; Turunen, O.; Janis, J.; Leisola, M.; Rouvinen, J. Three-dimensional structures of thermophilic beta-1,4-xylanases from Chaetomium thermophilum and Nonomuraea flexuosa. Comparison of twelve xylanases in relation to their thermal stability. Eur. J. Biochem. FEBS. 2003, 270, 1399–1412. [Google Scholar] [CrossRef] [Green Version]
- Rosgaard, L.; Pedersen, S.; Cherry, J.R.; Harris, P.; Meyer, A.S. Efficiency of new fungal cellulase systems in boosting enzymatic degradation of barley straw lignocellulose. Biotechnol. Prog. 2006, 22, 493–498. [Google Scholar] [CrossRef]
- Voutilainen, S.P.; Puranen, T.; Siika-Aho, M.; Lappalainen, A.; Alapuranen, M.; Kallio, J.; Hooman, S.; Viikari, L.; Vehmaanpera, J.; Koivula, A. Cloning, expression, and characterization of novel thermostable family 7 cellobiohydrolases. Biotechnol. Bioeng. 2008, 101, 515–528. [Google Scholar] [CrossRef] [Green Version]
- Sriyapai, T.; Somyoonsap, P.; Matsui, K.; Kawai, F.; Chansiri, K. Cloning of a thermostable xylanase from Actinomadura sp. S14 and its expression in Escherichia coli and Pichia pastoris. J. Biosci. Bioeng. 2011, 111, 528–536. [Google Scholar] [CrossRef]
- Chen, X.; Li, W.; Ji, P.; Zhao, Y.; Hua, C.; Han, C. Engineering the conserved and noncatalytic residues of a thermostable beta-1,4-endoglucanase to improve specific activity and thermostability. Sci. Rep. 2018, 8, 2954. [Google Scholar] [CrossRef]
- Li, W.; Ji, P.; Zhou, Q.; Hua, C.; Han, C. Insights into the Synergistic Biodegradation of Waste Papers Using a Combination of Thermostable Endoglucanase and Cellobiohydrolase from Chaetomium thermophilum. Mol. Biotechnol. 2018, 60, 49–54. [Google Scholar] [CrossRef]
- Zhou, Q.; Ji, P.; Zhang, J.; Li, X.; Han, C. Characterization of a novel thermostable GH45 endoglucanase from Chaetomium thermophilum and its biodegradation of pectin. J. Biosci. Bioeng. 2017, 124, 271–276. [Google Scholar] [CrossRef]
- Ulrich, A.; Wahl, M.C. Structure and evolution of the spliceosomal peptidyl-prolyl cis-trans isomerase Cwc27. Acta Crystallogr. Sect. D. Biol. Crystallogr. 2014, 70, 3110–3123. [Google Scholar] [CrossRef] [PubMed]
- Hondele, M.; Stuwe, T.; Hassler, M.; Halbach, F.; Bowman, A.; Zhang, E.T.; Nijmeijer, B.; Kotthoff, C.; Rybin, V.; Amlacher, S.; et al. Structural basis of histone H2A-H2B recognition by the essential chaperone FACT. Nature 2013, 499, 111–114. [Google Scholar] [CrossRef] [PubMed]
- Teimer, R.; Kosinski, J.; von Appen, A.; Beck, M.; Hurt, E. A short linear motif in scaffold Nup145C connects Y-complex with pre-assembled outer ring Nup82 complex. Nat. Commun. 2017, 8, 1107. [Google Scholar] [CrossRef] [PubMed]
- Eustermann, S.; Schall, K.; Kostrewa, D.; Lakomek, K.; Strauss, M.; Moldt, M.; Hopfner, K.P. Structural basis for ATP-dependent chromatin remodelling by the INO80 complex. Nature 2018, 556, 386–390. [Google Scholar] [CrossRef] [PubMed]
- Cheng, J.; Bassler, J.; Fischer, P.; Lau, B.; Kellner, N.; Kunze, R.; Griesel, S.; Kallas, M.; Berninghausen, O.; Strauss, D.; et al. Thermophile 90S Pre-ribosome Structures Reveal the Reverse Order of Co-transcriptional 18S rRNA Subdomain Integration. Mol. Cell 2019, 75, 1256–1269.e7. [Google Scholar] [CrossRef]
- Kisonaite, M.; Wild, K.; Lapouge, K.; Ruppert, T.; Sinning, I. High-resolution structures of a thermophilic eukaryotic 80S ribosome reveal atomistic details of translocation. Nat. Commun. 2022, 13, 476. [Google Scholar] [CrossRef]
- Kellner, N.; Schwarz, J.; Sturm, M.; Fernandez-Martinez, J.; Griesel, S.; Zhang, W.; Chait, B.T.; Rout, M.P.; Kück, U.; Hurt, E. Developing genetic tools to exploit Chaetomium thermophilum for biochemical analyses of eukaryotic macromolecular assemblies. Sci. Rep. 2016, 6, 20937. [Google Scholar] [CrossRef]
- Kornprobst, M.; Turk, M.; Kellner, N.; Cheng, J.; Flemming, D.; Kos-Braun, I.; Kos, M.; Thoms, M.; Berninghausen, O.; Beckmann, R.; et al. Architecture of the 90S Pre-ribosome: A Structural View on the Birth of the Eukaryotic Ribosome. Cell 2016, 166, 380–393. [Google Scholar] [CrossRef] [Green Version]
- Cheng, J.; Kellner, N.; Berninghausen, O.; Hurt, E.; Beckmann, R. 3.2-A-resolution structure of the 90S preribosome before A1 pre-rRNA cleavage. Nat. Struct. Mol. Biol. 2017, 24, 954–964. [Google Scholar] [CrossRef]
- Fischer, J.; Teimer, R.; Amlacher, S.; Kunze, R.; Hurt, E. Linker Nups connect the nuclear pore complex inner ring with the outer ring and transport channel. Nat. Struct. Mol. Biol. 2015, 22, 774–781. [Google Scholar] [CrossRef]
- Xie, X.L.; Wei, Y.; Song, Y.Y.; Pan, G.M.; Chen, L.N.; Wang, G.; Zhang, S.H. Genetic Analysis of Four Sexual Differentiation Process Proteins (isp4/SDPs) in Chaetomium thermophilum and Thermomyces lanuginosus Reveals Their Distinct Roles in Development. Front. Microbiol. 2019, 10, 2994. [Google Scholar] [CrossRef] [PubMed]
- Krappmann, S.; Sasse, C.; Braus, G.H. Gene targeting in Aspergillus fumigatus by homologous recombination is facilitated in a nonhomologous end- joining-deficient genetic background. Eukaryot Cell 2006, 5, 212–215. [Google Scholar] [CrossRef] [PubMed] [Green Version]
- Ninomiya, Y.; Suzuki, K.; Ishii, C.; Inoue, H. Highly efficient gene replacements in Neurospora strains deficient for nonhomologous end-joining. Proc. Natl. Acad. Sci. USA 2004, 101, 12248–12253. [Google Scholar] [CrossRef] [PubMed] [Green Version]
- Pöggeler, S.; Kück, U. Highly efficient generation of signal transduction knockout mutants using a fungal strain deficient in the mammalian ku70 ortholog. Gene 2006, 378, 1–10. [Google Scholar] [CrossRef]
- Chang, H.H.Y.; Pannunzio, N.R.; Adachi, N.; Lieber, M.R. Non-homologous DNA end joining and alternative pathways to double-strand break repair. Nat. Rev. Mol. Cell Biol 2017, 18, 495–506. [Google Scholar] [CrossRef]
- Nakazawa, T.; Ishiuchi, K.; Sato, M.; Tsunematsu, Y.; Sugimoto, S.; Gotanda, Y.; Noguchi, H.; Hotta, K.; Watanabe, K. Targeted disruption of transcriptional regulators in Chaetomium globosum activates biosynthetic pathways and reveals transcriptional regulator-like behavior of aureonitol. J. Am. Chem. Soc. 2013, 135, 13446–13455. [Google Scholar] [CrossRef]
- Mizutani, O.; Kudo, Y.; Saito, A.; Matsuura, T.; Inoue, H.; Abe, K.; Gomi, K. A defect of LigD (human Lig4 homolog) for nonhomologous end joining significantly improves efficiency of gene-targeting in Aspergillus oryzae. Fungal Genet. Biol. 2008, 45, 878–889. [Google Scholar] [CrossRef]
- Amlacher, S.; Sarges, P.; Flemming, D.; van Noort, V.; Kunze, R.; Devos, D.P.; Arumugam, M.; Bork, P.; Hurt, E. Insight into structure and assembly of the nuclear pore complex by utilizing the genome of a eukaryotic thermophile. Cell 2011, 146, 277–289. [Google Scholar] [CrossRef] [Green Version]
- Bock, T.; Chen, W.H.; Ori, A.; Malik, N.; Silva-Martin, N.; Huerta-Cepas, J.; Powell, S.T.; Kastritis, P.L.; Smyshlyaev, G.; Vonkova, I.; et al. An integrated approach for genome annotation of the eukaryotic thermophile Chaetomium thermophilum. Nucleic. Acids. Res. 2014, 42, 13525–13533. [Google Scholar] [CrossRef] [Green Version]
- Singh, A.; Schermann, G.; Reislöhner, S.; Kellner, N.; Hurt, E.; Brunner, M. Global Transcriptome Characterization and Assembly of the Thermophilic Ascomycete Chaetomium thermophilum. Genes 2021, 12, 1549. [Google Scholar] [CrossRef]
- Kämper, J. A PCR-based system for highly efficient generation of gene replacement mutants in Ustilago maydis. Mol. Genet. Genom. 2004, 271, 103–110. [Google Scholar] [CrossRef] [PubMed]
- Nayak, T.; Szewczyk, E.; Oakley, C.E.; Osmani, A.; Ukil, L.; Murray, S.L.; Hynes, M.J.; Osmani, S.A.; Oakley, B.R. A versatile and efficient gene-targeting system for Aspergillus nidulans. Genetics 2006, 172, 1557–1566. [Google Scholar] [CrossRef] [PubMed] [Green Version]
- Takahashi, T.; Masuda, T.; Koyama, Y. Enhanced gene targeting frequency in ku70 and ku80 disruption mutants of Aspergillus sojae and Aspergillus oryzae. Mol. Genet. Genom. 2006, 275, 460–470. [Google Scholar] [CrossRef] [PubMed]
- Ishibashi, K.; Suzuki, K.; Ando, Y.; Takakura, C.; Inoue, H. Nonhomologous chromosomal integration of foreign DNA is completely dependent on MUS-53 (human Lig4 homolog) in Neurospora. Proc. Natl. Acad. Sci. USA 2006, 103, 14871–14876. [Google Scholar] [CrossRef] [PubMed] [Green Version]
- Kito, H.; Fujikawa, T.; Moriwaki, A.; Tomono, A.; Izawa, M.; Kamakura, T.; Ohashi, M.; Sato, H.; Abe, K.; Nishimura, M. MgLig4, a homolog of Neurospora crassa Mus-53 (DNA ligase IV), is involved in, but not essential for, non-homologous end-joining events in Magnaporthe grisea. Fungal. Genet. Biol. 2008, 45, 1543–1551. [Google Scholar] [CrossRef]
- Jeong, J.S.; Mitchell, T.K.; Dean, R.A. The Magnaporthe grisea snodprot1 homolog, MSP1, is required for virulence. FEMS. Microbiol. Lett. 2007, 273, 157–165. [Google Scholar] [CrossRef] [Green Version]
- Casqueiro, J.; Gutierrez, S.; Banuelos, O.; Hijarrubia, M.J.; Martin, J.F. Gene targeting in Penicillium chrysogenum: Disruption of the lys2 gene leads to penicillin overproduction. J. Bacteriol. 1999, 181, 1181–1188. [Google Scholar] [CrossRef] [Green Version]
- Aliye, N.; Fabbretti, A.; Lupidi, G.; Tsekoa, T.; Spurio, R. Engineering color variants of green fluorescent protein (GFP) for thermostability, pH-sensitivity, and improved folding kinetics. Appl. Microbiol. Biotechnol. 2015, 99, 1205–1216. [Google Scholar] [CrossRef]
- Roux, K.J.; Kim, D.I.; Raida, M.; Burke, B. A promiscuous biotin ligase fusion protein identifies proximal and interacting proteins in mammalian cells. J. Cell Biol. 2012, 196, 801–810. [Google Scholar] [CrossRef] [Green Version]
- La Touche, C.J. A Chaetomium-like thermophile fungus. Nature 1948, 161, 320. [Google Scholar] [CrossRef]
- Sambrook, J.; Fritsch, E.F.; Maniatis, T. Molecular Cloning: A Laboratory Manual; Cold Spring Harbor Laboratory Press: New York, NY, USA, 1989. [Google Scholar]
- Al-Samarrai, T.H.; Schmid, J. A simple method for extraction of fungal genomic DNA. Lett. Appl. Microbiol. 2000, 30, 53–56. [Google Scholar] [CrossRef] [PubMed]
- Southern, E.M. Detection of specific sequences among DNA fragments separated by gel electrophoresis. J. Mol. Biol. 1975, 98, 503–517. [Google Scholar] [CrossRef]




| Strains | Genotype | Reference |
|---|---|---|
| ΔligD | ΔligD::hph | This study |
| Δku70 | Δku70::hph | This study |
| Utp6-FpA (in locus) | ΔligD::hph, utp6:FpA, erg1 | This study |
| CT13 | PUTP6:UTP6:FpA, erg1 | [18] |
| Nup82-FpA (in locus) | ΔligD::hph, nup82:FpA, erg1 | This study |
| CT7 | PNUP82:NUP82:FpA, erg1 | [17] |
| Oligonucleotides | Sequence (5′-3′ Direction) | Purpose |
|---|---|---|
| ligD_lb_se | CAACTTCATGCCGAACGTTCTCGAG | ligD deletion |
| ligD_lb_asSfiI | ATAggccatctaggccGGTTGATGGGGTCGAACTCGGG | ligD deletion |
| ligD_rb_seSfiI | GTGggcctgagtggccTGATTTTATGGAGCGCTAAGGGAGG | ligD deletion |
| ligD_rb_as | CCTGCAGCTTGCTGATGAGCTTC | ligD deletion |
| ligD_nested_se | CGGTCGGAAGACCGTAACCAGC | ligD deletion |
| ligD_nested_as | CGTTCTGTGACCTGACCTCTTGTC | ligD deletion |
| ligD_ORFse | ATGAGCGCCACAAAGAAGAGGAC | Analytical PCR |
| ligD_ORFas | GAAATCGCCGGCCGTACCAGC | Analytical PCR |
| HPHcheck_as | CGCGGTGAGTTCAGGCTTTTTCAT | Analytical PCR |
| HPHcheck_se | GCACTCGTCCGAGGGCAAAGG | Analytical PCR |
| ku70lb_se | CTCGGCTTGGTATACATCGGCCG | ku70 deletion |
| ku70lb_asSfiI | ATAggccatctaggccGGTTGCTGGTAAGTGTGATGTCGTTC | ku70 deletion |
| ku70rb_seSfiI | GTGggcctgagtggccTGATTCGTCATGATTATGTGTAATGCCTTG | ku70 deletion |
| ku70rb_as | GGATTTGCCGTCCAGTGGGACC | ku70 deletion |
| ku70nested_se | GCCAAACGACTTGCCTGTAGGG | ku70 deletion |
| ku70nested_as | GTTCTGGGCTTCGTCTCCTTTGG | ku70 deletion |
| ku70_ORF_se | ATGGCGTACGGTGATGACGATG | Analytical PCR |
| ku70_ORF_as | CAGGTCAACCAACAGGTAGCAG | Analytical PCR |
| ku70_LB_out | CAACAGTCGCCCTCAATTGCTC | Analytical PCR |
| utp6fus_lb_se | GACGAAATTCGCAACCTCGTAGCC | Utp6 fusion |
| utp6fus_lb_asSfiI | ATAggccgcgttggcccgGCTGGGCGACTCCTCCAGCG | Utp6 fusion |
| utp6_rb_seSfiI | GTGggcctgagtggccTCGTTTGGCTGCAAAGAGGGTCAAAATC | Utp6 fusion |
| utp6_rb_as | CCTAAGATCCCTCCCGAGGTATTAG | Utp6 fusion |
| utp6fus_nest_se | GGCACCAAGCCGACCGATTTCC | Utp6 fusion |
| utp6fus_nest_as | CAGTGCCCACGACTATGACCACAC | Utp6 fusion |
| nup82fus_lb_se | CGAAGATGAACAGGACGATGAGGTG | Nup82 fusion |
| nup82fus_lb_asSfi | ATAggccgcgttggcccgCCCAATGCTGAGCCTCTCGATTC | Nup82 fusion |
| nup82fus_rb_seSfi | GTGggcctgagtggccGTATGGGAACCCGAGAATATGGAAG | Nup82 fusion |
| nup82fus_rb_as | GAAGTCTGCATCTAGGTGGTTCTG | Nup82 fusion |
| nup82fus_nest_se | GCCAAGGGTTGCGGACCTGATG | Nup82 fusion |
| nup82fus_nest_as | CTTTAATCTGAGCGCGCAGATCAAC | Nup82 fusion |
Publisher’s Note: MDPI stays neutral with regard to jurisdictional claims in published maps and institutional affiliations. |
© 2022 by the authors. Licensee MDPI, Basel, Switzerland. This article is an open access article distributed under the terms and conditions of the Creative Commons Attribution (CC BY) license (https://creativecommons.org/licenses/by/4.0/).
Share and Cite
Kellner, N.; Griesel, S.; Hurt, E. A Homologous Recombination System to Generate Epitope-Tagged Target Genes in Chaetomium thermophilum: A Genetic Approach to Investigate Native Thermostable Proteins. Int. J. Mol. Sci. 2022, 23, 3198. https://doi.org/10.3390/ijms23063198
Kellner N, Griesel S, Hurt E. A Homologous Recombination System to Generate Epitope-Tagged Target Genes in Chaetomium thermophilum: A Genetic Approach to Investigate Native Thermostable Proteins. International Journal of Molecular Sciences. 2022; 23(6):3198. https://doi.org/10.3390/ijms23063198
Chicago/Turabian StyleKellner, Nikola, Sabine Griesel, and Ed Hurt. 2022. "A Homologous Recombination System to Generate Epitope-Tagged Target Genes in Chaetomium thermophilum: A Genetic Approach to Investigate Native Thermostable Proteins" International Journal of Molecular Sciences 23, no. 6: 3198. https://doi.org/10.3390/ijms23063198
APA StyleKellner, N., Griesel, S., & Hurt, E. (2022). A Homologous Recombination System to Generate Epitope-Tagged Target Genes in Chaetomium thermophilum: A Genetic Approach to Investigate Native Thermostable Proteins. International Journal of Molecular Sciences, 23(6), 3198. https://doi.org/10.3390/ijms23063198

