Evaluation of Ammonia Nitrogen Exposure in Immune Defenses Present on Spleen and Head-Kidney of Wuchang Bream (Megalobrama amblycephala)
Abstract
:1. Introduction
2. Results
2.1. Ammonia Content in Spleen and Head-Kidney
2.2. Serum Cortisol, Lysozyme, C3 and C4 Levels
2.3. Immunity Organ Indexes
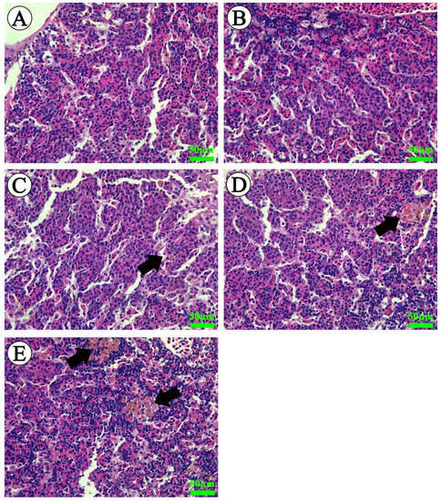
2.4. Pathological Evaluation
2.5. Tissue Immune Parameter Analysis
2.6. Correlation Analysis
2.7. IBR Indices
3. Discussion
4. Materials and Methods
4.1. Animal Maintenance and Experimental Protocol
4.2. Sample Collection and Preparation
4.3. Ammonia Detection in Spleen and Head-Kidney
4.4. Serum Immune Parameters Assay
4.5. Tissue Immune Parameters Assay
4.6. Gene Expression Analysis
4.7. Histopathological Evaluation
4.8. Integrated Biomarker Response Analysis
4.9. Statistical Analyses
5. Conclusions
Supplementary Materials
Author Contributions
Funding
Institutional Review Board Statement
Informed Consent Statement
Data Availability Statement
Conflicts of Interest
References
- Randall, D.J.; Tsui, T. Ammonia toxicity in fish. Mar. Pollut. Bull. 2002, 45, 17–23. [Google Scholar] [CrossRef]
- David, A.A.; Debbie, C.; Allen, W.K.; John, E.C. Interaction of Ionized and Un-Ionized Ammonia on Short-Term Survival and Growth of Prawn Larvae, Macrobrachium rosenbergii. Biol. Bull. 1978, 154, 15–31. [Google Scholar] [CrossRef]
- Thurston, R.V.; Russo, R.C.; Vinogradov, G.A. Ammonia toxicity to fishes. Effect of pH on the toxicity of the unionized ammonia species. Environ. Sci. Technol. 1981, 15, 837–840. [Google Scholar] [CrossRef]
- Armstrong, B.M.; Lazorchak, J.M.; Murphy, C.A.; Haring, H.J.; Jensen, K.M.; Smith, M.E. Determining the effects of ammonia on fathead minnow (Pimephales promelas) reproduction. Sci. Total Environ. 2012, 420, 127–133. [Google Scholar] [CrossRef] [PubMed]
- Eddy, F.B. Ammonia in estuaries and effects on fish. J. Fish Biol. 2005, 67, 1495–1513. [Google Scholar] [CrossRef]
- Miron, D.S.; Moraes, B.; Becker, A.G.; Crestani, M.; Spanevello, R.; Loro, V.L.; Baldisserotto, B. Ammonia and pH effects on some metabolic parameters and gill histology of silver catfish, Rhamdia quelen (Heptapteridae). Aquaculture 2008, 277, 192–196. [Google Scholar] [CrossRef]
- Yu, C.; Huang, X.; Chen, H.; Godfray, H.C.J.; Wright, J.S.; Hall, J.W.; Gong, P.; Ni, S.; Qiao, S.; Huang, G.; et al. Managing nitrogen to restore water quality in China. Nature 2019, 567, 516. [Google Scholar] [CrossRef]
- World Health Organization (WHO). A Global Overview of National Regulations and Standards for Drinking-Water Quality, 2nd ed.; World Health Organization: Geneva, Switzerland, 2021; 66p. [Google Scholar]
- Passell, H.D.; Dahm, C.N.; Bedrick, E.J. Ammonia modeling for assessing potential toxicity to fish species in the RIO grande, 1989–2002. Ecol. Appl. 2007, 17, 2087–2099. [Google Scholar] [CrossRef]
- Fan, B.; Li, J.; Wang, X.; Chen, J.; Gao, X.; Li, W.; Ai, S.; Gui, L.; Gao, S.; Liu, Z. Ammonia spatiotemporal distribution and risk assessment for freshwater species in aquatic ecosystem in China. Ecotox. Environ. Saf. 2021, 207, 111541. [Google Scholar] [CrossRef]
- Yue, F.; Pan, L.Q.; Xie, P.; Zheng, D.; Li, J. Immune responses and expression of immune-related genes in swimming crab Portunus trituberculatus exposed to elevated ambient ammonia-N stress. Comp. Biochem. Physiol. A Mol. Integr. Physiol. 2010, 157, 246–251. [Google Scholar] [CrossRef]
- Qin, C.J.; Shao, T.; Zhao, D.X.; Duan, H.G.; Wen, Z.Y.; Yuan, D.; Li, H.T.; Qi, Z.M. Effect of ammonia-N and pathogen challenge on complement component 8α and 8β expression in the darkbarbel catfish Pelteobagrus vachellii. Fish Shellfish Immunol. 2017, 62, 107–115. [Google Scholar] [CrossRef] [PubMed]
- Cheng, C.H.; Yang, F.F.; Ling, R.Z.; Liao, S.A.; Miao, Y.T.; Ye, C.X.; Wang, A.L. Effects of ammonia exposure on apoptosis, oxidative stress and immune response in pufferfish (Takifugu obscurus). Aquat. Toxicol. 2015, 164, 61–71. [Google Scholar] [CrossRef]
- Liu, B.L.; Jia, R.; Huang, B.; Lei, J.L. Interactive effect of ammonia and crowding stress on ion-regulation and expression of immune-related genes in juvenile turbot (Scophthalmus maximus). Mar. Freshw. Behav. Physiol. 2017, 50, 179–194. [Google Scholar] [CrossRef]
- Li, M.; Zhang, M.; Qian, Y.; Shi, G.; Wang, R. Ammonia toxicity in the yellow catfish (Pelteobagrus fulvidraco): The mechanistic insight from physiological detoxification to poisoning. Fish Shellfish Immunol. 2020, 102, 195–202. [Google Scholar] [CrossRef] [PubMed]
- Wang, L.; Sun, Y.; Xu, B.; Sagada, G.; Chen, K.; Xiao, J.; Zhang, J.; Shao, Q. Effects of berberine supplementation in high starch diet on growth performance, antioxidative status, immune parameters and ammonia stress response of fingerling black sea bream (Acanthopagrus schlegelii). Aquaculture 2020, 527, 735473. [Google Scholar] [CrossRef]
- Qin, C.J.; Shao, T.; Wang, Y.M.; Yang, Q.; Bu, P. Effect of ammonia-N on histology and expression of immunoglobulin M and component C3 in the spleen and head kidney of Pelteobagrus vachellii. Aquac. Rep. 2017, 8, 16–20. [Google Scholar] [CrossRef]
- Yu, Z.; Wu, X.Q.; Zheng, L.J.; Dai, Z.Y.; Wu, L.F. Effect of acute exposure to ammonia and BFT alterations on Rhynchocypris lagowski: Digestive enzyme, inflammation response, oxidative stress and immunological parameters. Environ. Toxicol. Pharmacol. 2020, 78, 103380. [Google Scholar] [CrossRef]
- Zhang, T.; Yan, Z.; Zheng, X.; Fan, J.; Wang, S.; Wei, Y.; Yang, L.; Wang, P.; Guo, S. Transcriptome analysis of response mechanism to ammonia stress in Asian clam (Corbicula fluminea). Aquat. Toxicol. 2019, 214, 105235. [Google Scholar] [CrossRef]
- Cheng, C.; Ma, H.; Su, Y.; Deng, Y.; Feng, J.; Xie, J.; Chen, X.; Guo, Z. Ammonia toxicity in the mud crab (Scylla paramamosain): The mechanistic insight from physiology to transcriptome analysis. Ecotox. Environ. Safe. 2019, 179, 9–16. [Google Scholar] [CrossRef]
- Banerjee, B.; Koner, D.; Hasan, R.; Bhattacharya, S.; Saha, N. Transcriptome analysis reveals novel insights in air-breathing magur catfish (Clarias magur) in response to high environmental ammonia. Gene 2019, 703, 35–49. [Google Scholar] [CrossRef]
- Yu, J.; Sun, J.; Zhao, S.; Wang, H.; Zeng, Q. Transcriptome analysis of oriental river Prawn (Macrobrachium nipponense) Hepatopancreas in response to ammonia exposure. Fish Shellfish Immunol. 2019, 93, 223–231. [Google Scholar] [CrossRef] [PubMed]
- Rønneseth, A.; Wergeland, H.I.; Pettersen, E.F. Neutrophils and B-cells in Atlantic cod (Gadus morhua L.). Fish Shellfish Immunol. 2007, 23, 493–503. [Google Scholar] [CrossRef] [PubMed]
- Wang, X.; Xing, H.; Jiang, Y.; Wu, H.; Sun, G.; Xu, Q.; Xu, S. Accumulation, histopathological effects and response of biochemical markers in the spleens and head kidneys of common carp exposed to atrazine and chlorpyrifos. Food Chem. Toxicol. 2013, 62, 148–158. [Google Scholar] [CrossRef] [PubMed]
- Bromage, E.S.; Kaattari, I.M.; Zwollo, P.; Kaattari, S.L. Plasmablast and plasma cell production and distribution in trout immune tissues. J. Immunol. 2004, 173, 7317–7323. [Google Scholar] [CrossRef] [PubMed] [Green Version]
- Zwollo, P.; Haines, A.; Rosato, P.; Gumulak-Smith, J. Molecular and cellular analysis of B-cell populations in the rainbow trout using Pax5 and immunoglobulin markers. Dev. Comp. Immunol. 2008, 32, 1482–1496. [Google Scholar] [CrossRef] [Green Version]
- Tort, L. Stress and immune modulation in fish. Dev. Comp. Immunol. 2011, 35, 1366–1375. [Google Scholar] [CrossRef]
- Magnadóttir, B. Innate immunity of fish (overview). Fish Shellfish Immunol. 2006, 20, 137–151. [Google Scholar] [CrossRef]
- Whyte, S.K. The innate immune response of finfish—A review of current knowledge. Fish Shellfish Immunol. 2007, 23, 1127–1151. [Google Scholar] [CrossRef]
- Food and Agriculture Organization (FAO). World Aquaculture Production of Fish, Crustaceans, Molluscs, etc., by Principal Species in 2014. 2016. Available online: http://www.fao.org/tempref/FI/STAT/summary/a-6.pdf (accessed on 23 February 2022).
- Sun, S.M.; Ge, X.P.; Zhu, J.; Zhang, W.X.; Zhang, Q. Molecular cloning, immunohistochemical localization, characterization and expression analysis of caspase-8 from the blunt snout bream (Megalobrama amblycephala) exposed to ammonia. Fish Shellfish Immunol. 2015, 47, 645–654. [Google Scholar] [CrossRef]
- Zhang, W.; Xia, S.; Zhu, J.; Miao, L.; Ren, M.; Lin, Y.; Ge, X.; Sun, S. Growth performance, physiological response and histology changes of juvenile blunt snout bream, Megalobrama amblycephala exposed to chronic ammonia. Aquaculture 2019, 506, 424–436. [Google Scholar] [CrossRef]
- Zhang, W.; Sun, S.; Ge, X.; Xia, S.; Zhu, J.; Miao, L.; Yu, H. Acute effects of ammonia exposure on the plasma and haematological parameters and histological structure of the juvenile blunt snout bream, Megalobrama amblycephala, and post exposure recovery. Aquac. Res. 2018, 49, 1008–1019. [Google Scholar] [CrossRef]
- Aksakal, F.I.; Ciltas, A. Impact of copper oxide nanoparticles (CuO NPs) exposure on embryo development and expression of genes related to the innate immune system of zebrafish (Danio rerio). Comp. Biochem. Physiol. Part C Toxicol. Pharmacol. 2019, 223, 78–87. [Google Scholar] [CrossRef] [PubMed]
- Lin, W.; Li, L.; Chen, J.; Li, D.; Hou, J.; Guo, H.; Shen, J. Long-term crowding stress causes compromised nonspecific immunity and increases apoptosis of spleen in grass carp (Ctenopharyngodon idella). Fish Shellfish Immunol. 2018, 80, 540–545. [Google Scholar] [CrossRef] [PubMed]
- Lin, W.; Guo, H.; Wang, L.; Zhang, D.; Wu, X.; Li, L.; Qiu, Y.; Yang, L.; Li, D.; Tang, R. Waterborne microcystin-LR exposure induced chronic inflammatory response via MyD88-dependent toll-like receptor signaling pathway in male zebrafish. Sci. Total Environ. 2020, 702, 134969. [Google Scholar] [CrossRef]
- Armando, E.V.; Jordan, C.; Zhao, X.; Micah, J.G.; Jaclyn, E.C. In vivo effects on the immune function of fathead minnow (Pimephales promelas) following ingestion and intraperitoneal injection of polystyrene nanoplastics. Sci. Total Environ. 2020, 735, 139461. [Google Scholar] [CrossRef]
- Ruyet, J.P.L.; Lamers, A.; Roux, A.L.; Severe, A.; Boeuf, G.; Mayer-Gostan, N. Long-term ammonia exposure of turbot: Effects on plasma parameters. J. Fish Biol. 2003, 62, 879–894. [Google Scholar] [CrossRef]
- Mirghaed, A.T.; Fayaz, S.; Hoseini, S.M. Effects of dietary 1, 8-cineole supplementation on serum stress and antioxidant markers of common carp (Cyprinus carpio) acutely exposed to ambient ammonia. Aquaculture 2019, 509, 8–15. [Google Scholar] [CrossRef]
- Demers, N.E.; Bayne, C.J. The immediate effects of stress on hormones and plasma lysozyme in rainbow trout. Dev. Comp. Immunol. 1997, 21, 363. [Google Scholar] [CrossRef]
- Holland, M.C.H.; Lambris, J.D. The complement system in teleosts. Fish Shellfish Immunol. 2002, 12, 399–420. [Google Scholar] [CrossRef] [Green Version]
- Hawlisch, H.; Köhl, J. Complement and Toll-like receptors: Key regulators of adaptive immune responses. Mol. Immunol. 2006, 43, 13–21. [Google Scholar] [CrossRef]
- Kim, S.H.; Kim, J.H.; Park, M.A.; Hwang, S.D.; Kang, J.C. The toxic effects of ammonia exposure on antioxidant and immune responses in Rockfish, Sebastes schlegelii during thermal stress. Environ. Toxicol. Phar. 2015, 40, 954–959. [Google Scholar] [CrossRef] [PubMed]
- Ren, Q.; Li, M.; Yuan, L.; Song, M.; Xing, X.; Shi, G.; Meng, F.; Wang, R. Acute ammonia toxicity in crucian carp Carassius auratus and effects of taurine on hyperammonemia. Comp. Biochem. Physiol. Part C Toxicol. Pharmacol. 2016, 190, 9–14. [Google Scholar] [CrossRef]
- Xing, X.; Li, M.; Yuan, L.; Song, M.; Ren, Q.; Shi, G.; Meng, F.; Wang, R. The protective effects of taurine on acute ammonia toxicity in grass carp Ctenopharynodon idellus. Fish Shellfish Immunol. 2016, 56, 517–522. [Google Scholar] [CrossRef] [PubMed]
- Jia, R.; Liu, B.; Han, C.; Huang, B.; Lei, J. Effects of ammonia exposure on stress and immune response in juvenile turbot (Scophthalmus maximus). Aquac Res. 2017, 48, 3149–3162. [Google Scholar] [CrossRef]
- Agius, C. The role of melano-macrophage centres in iron storage in normal and diseased fish. J. Fish Dis. 1979, 2, 337–343. [Google Scholar] [CrossRef]
- Agius, C. Preliminary studies on the ontogeny of the melano-macrophages of teleost haemopoietic tissue and age-related changes. Dev. Comp. Immunol. 1981, 5, 597–606. [Google Scholar] [CrossRef]
- Agius, C. The melano-macrophage centres of fish: A review. Fish Immunol. 1985, 85–105. [Google Scholar] [CrossRef]
- Agius, C.; Agbede, S.A. Electron microscopical studies on the genesis of lipofuscin, melanin and haemosiderin in the haemopoietic tissues of fish. J. Fish Biol. 1984, 24, 471–488. [Google Scholar] [CrossRef]
- Roberts, R.J. Melanin-Containing Cells of the Teleost Fish and Their Relation to Disease. In The Pathology of Fishes; Ribelin, W.E., Migaki, G., Eds.; University of Wisconsin Press: Madison, WI, USA, 1975; pp. 399–428. [Google Scholar]
- Brown, C.L.; George, C.J. Age-dependent accumulation of macrophage aggregation in the yellow perch, Perca flavescens (Mitchill). J. Fish Dis. 1985, 8, 135–138. [Google Scholar] [CrossRef]
- Kwon, J.Y.; Chang, Y.J. Effects of ammonia concentration on histological and physiological status in black seabream (Acanthopagrus schlegeli). Korean J. Fish. Aquat. Sci. 1996, 29, 828–836. [Google Scholar]
- Baud, V.; Karin, M. Signal transduction by tumor necrosis factor and its relatives. Trends Cell Biol. 2001, 11, 372–377. [Google Scholar] [CrossRef]
- Ingerslev, H.C.; Cunningham, C.; Wergeland, H.I. Cloning and expression of TNF-α, IL-1β and COX-2 in an anadromous and landlocked strain of Atlantic salmon (Salmo salar L.) during the smolting period. Fish Shellfish Immunol. 2006, 20, 450–461. [Google Scholar] [CrossRef] [PubMed]
- Zhang, A.; Chen, D.; Wei, H.; Du, L.; Zhao, T.; Wang, X.; Zhou, H. Functional characterization of TNF-α in grass carp head kidney leukocytes: Induction and involvement in the regulation of NF-κB signaling. Fish Shellfish Immunol. 2012, 33, 1123–1132. [Google Scholar] [CrossRef]
- Yang, X.; Wei, H.; Qin, L.; Zhang, S.; Wang, X.; Zhang, A.; Du, L.; Zhou, H. Reciprocal interaction between fish TGF-β1 and IL-1β is responsible for restraining IL-1β signaling activity in grass carp head kidney leukocytes. Dev. Comp. Immunol. 2014, 47, 197–204. [Google Scholar] [CrossRef]
- Wei, L.L.; Sun, B.J.; Chang, M.X.; Liu, Y.; Nie, P. Effects of cyanobacterial toxin microcystin-LR on the transcription levels of immune-related genes in grass carp Ctenopharyngodon idella. Environ. Biol. Fish. 2009, 85, 231–238. [Google Scholar] [CrossRef]
- Lin, W.; Hou, J.; Guo, H.; Qiu, Y.; Li, L.; Li, D.; Tang, R. Dualistic immunomodulation of sub-chronic microcystin-LR exposure on the innate-immune defense system in male zebrafish. Chemosphere 2017, 183, 315–322. [Google Scholar] [CrossRef]
- Qi, X.Z.; Xue, M.Y.; Yang, S.B.; Zha, J.W.; Wang, G.X.; Ling, F. Ammonia exposure alters the expression of immune-related and antioxidant enzymes-related genes and the gut microbial community of crucian carp (Carassius auratus). Fish Shellfish Immunol. 2017, 70, 485–492. [Google Scholar] [CrossRef]
- Stenvik, J.; Schroder, M.B.; Olsen, K.; Zapata, A.; Jorgensen, T.O. Expression of immunoglobulin heavy chain transcripts (vh-families, igm, and igd) in head kidney and spleen of the atlantic cod (Gadus morhua L.). Dev. Comp. Immunol. 2001, 25, 291–302. [Google Scholar] [CrossRef]
- Xia, H.; Wu, K.; Liu, W.; Gul, Y.; Wang, W.; Zhang, X. Molecular cloning and expression analysis of immunoglobulin M heavy chain gene of blunt snout bream (Megalobrama amblycephala). Fish Shellfish Immunol. 2014, 40, 129–135. [Google Scholar] [CrossRef]
- Zhang, L.; Bassig, B.A.; Mora, J.L.; Vermeulen, R.; Ge, Y.; Curry, J.D.; Hu, W.; Shen, M.; Qiu, C.; Ji, Z.; et al. Alterations in serum immunoglobulin levels in workers occupationally exposed to trichloroethylene. Carcinogenesis 2013, 34, 799–802. [Google Scholar] [CrossRef] [Green Version]
- Carrizo, V.; Valenzuela, C.A.; Zuloaga, R.; Aros, C.; Molina, A. Effect of cortisol on the immune-like response of rainbow trout (Oncorhynchus mykiss) myotubes challenged with Piscirickettsia salmonis. Vet. Immunol. Immunopathol. 2021, 237, 110240. [Google Scholar] [CrossRef] [PubMed]
- Susarla, R.; Liu, L.; Walker, E.A.; Bujalska, I.J.; Alsalem, J.; Williams, G.P.; Sreekantam, S.; Taylor, A.E.; Tallouzi, M.; Southworth, H.S.; et al. Cortisol Biosynthesis in the Human Ocular Surface Innate Immune Response. PLoS ONE 2014, 9, e94913. [Google Scholar] [CrossRef] [PubMed] [Green Version]
- Akira, S.; Takeda, K.; Kaisho, T. Toll-like receptors: Critical proteins linking innate and acquired immunity. Nat. Immunol. 2001, 2, 675–680. [Google Scholar] [CrossRef] [PubMed]
- Koyasu, S. The role of PI3K in immune cells. Nat. Immunol. 2003, 4, 313. [Google Scholar] [CrossRef]
- Omori, S.A.; Rickert, R.C. Phosphatidylinositol 3-kinase (PI3K) signaling and regulation of the antibody response. Cell Cycle 2007, 6, 397–402. [Google Scholar] [CrossRef]
- Troutman, T.D.; Hu, W.; Fulenchek, S.; Yamazaki, T.; Kurosaki, T.; Bazan, J.F.; Pasare, C. Role for B-cell adapter for PI3K (BCAP) as a signaling adapter linking Toll-like receptors (TLRs) to serine/threonine kinases PI3K/Akt. Proc. Natl. Acad. Sci. USA 2012, 109, 273–278. [Google Scholar] [CrossRef] [Green Version]
- Kobayashi, T.; Walsh, M.C.; Choi, Y. The role of traf6 in signal transduction and the immune response. Microbes Infect. 2004, 6, 1333–1338. [Google Scholar] [CrossRef]
- Akira, S.; Uematsu, S.; Takeuchi, O. Pathogen recognition and innate immunity. Cell 2006, 124, 783–801. [Google Scholar] [CrossRef] [Green Version]
- Jalukar, S.V.; Hostager, B.S.; Bishop, G.A. Characterization of the roles of tnf receptor-associated factor 6 in cd40-mediated b lymphocyte effector functions. J. Immunol. 2000, 164, 623–630. [Google Scholar] [CrossRef] [Green Version]
- Brooks, S.J.; Harman, C.; Hultman, M.T.; Berge, J.A. Integrated biomarker assessment of the effects of tailing discharges from an iron ore mine using blue mussels (Mytilus spp.). Sci. Total Environ. 2015, 524–525, 104–114. [Google Scholar] [CrossRef] [Green Version]
- Zhang, Y.L.; Zhang, H.L.; Wang, L.Y.; Gu, B.Y.; Fan, Q.X. Changes of ammonia, urea contents and transaminase activity in the body during aerial exposure and ammonia loading in Chinese loach Paramisgurnus dabryanus. Fish Physiol. Biochem. 2017, 43, 631–640. [Google Scholar] [CrossRef] [PubMed]
- Brown, R.H.; Duda, G.D.; Handler, P. A colorimetric micromethod for determination of ammonia; the ammonia content of rat tissues and human plasma. Arch. Biochem. Biophys. 1957, 66, 301–309. [Google Scholar] [CrossRef]
- Rance, T.A.; Baker, B.I. The in vitro response of the trout interrenal to various fragments of ACTH. Gen. Comp. Endocrinol. 1981, 45, 497–503. [Google Scholar] [CrossRef]
- Liang, H.; Ji, K.; Ge, X.; Ren, M.; Liu, B.; Xi, B.; Pan, L. Effects of dietary arginine on antioxidant status and immunity involved in AMPK-no signaling pathway in juvenile blunt snout bream. Fish Shellfish Immunol. 2018, 78, 69–78. [Google Scholar] [CrossRef] [PubMed]
- Xia, S.L.; Li, X.F.; Abasubong, K.P.; Xu, C.; Shi, H.J.; Liu, W.B.; Zhang, D. Effects of dietary glucose and starch levels on the growth, apparent digestibility, and skin-associated mucosal non-specific immune parameters in juvenile blunt snout bream (Megalobrama amblycephala). Fish Shellfish Immunol. 2018, 79, 193–201. [Google Scholar] [CrossRef] [PubMed]
- Guo, H.; Lin, W.; Hou, J.; Wang, L.; Zhang, D.; Wu, X.; Li, L.; Li, D. The Protective Roles of Dietary Selenium Yeast and Tea Polyphenols on Growth Performance and Ammonia Tolerance of Juvenile Wuchang Bream (Megalobrama amblycephala). Front. Aquat. Physiol. 2018, 9, 1371. [Google Scholar] [CrossRef]
- Livak, K.J.; Schmittgen, T.D. Analysis of relative gene expression data using real-time quantitative PCR and the 2(-Delta Delta C(T)) Method. Methods 2001, 25, 402–408. [Google Scholar] [CrossRef] [PubMed]
- Liang, H.; Mokrani, A.; Chisomo-Kasiya, H.; Ji, K.; Ge, X.; Ren, M.; Liu, B.; Xi, B.; Sun, A. Dietary leucine affects glucose metabolism and lipogenesis involved in TOR/PI3K/Akt signaling pathway for juvenile blunt snout bream Megalobrama amblycephala. Fish Physiol. Biochem. 2019, 45, 719–732. [Google Scholar] [CrossRef]
- Bernet, D.; Schmidt, H.; Meier, W.; Burkhardt-Holm, P.; Wahli, T. Histopathology in fish: Proposal for a protocol to assess aquatic pollution. J. Fish Dis. 1999, 22, 25–34. [Google Scholar] [CrossRef] [Green Version]
- Corbett, P.A.; King, C.K.; Mondon, J.A. Application of a quantitative histological health index for antarctic rock cod (Trematomus bernacchii) from davis station, east Antarctica. Mar. Environ. Res. 2015, 109, 28–40. [Google Scholar] [CrossRef]
- Beliaeff, B.; Burgeot, T. Integrated biomarker response: A useful tool for ecological risk assessment. Environ. Toxicol. Chem. 2002, 21, 1316–1322. [Google Scholar] [CrossRef] [PubMed]
- Kim, W.K.; Lee, S.K.; Jung, J. Integrated assessment of biomarker responses in common carp (Cyprinus carpio) exposed to perfluorinated organic compounds. J. Hazard. Mater. 2010, 180, 395–400. [Google Scholar] [CrossRef] [PubMed]
- Huang, X.; Lan, Y.; Liu, Z.; Huang, W.; Guo, Q.; Liu, L.; Hu, M.; Sui, Y.; Wu, F.; Lu, W.; et al. Salinity mediates the toxic effect of nano-TiO2 on the juvenile olive flounder Paralichthys olivaceus. Sci. Total Environ. 2018, 640–641, 726–735. [Google Scholar] [CrossRef] [PubMed]








| Ammonia Nitrogen Concentration (mg/L) | ||||||
|---|---|---|---|---|---|---|
| Tissue | Lesions | 0 | 5 | 10 | 20 | 30 |
| Spleen | Melano-Macrophage centers | 0.00 a ± 0.00 | 0.00 ± 0.00 | 1.00 ± 0.58 | 1.33 ± 0.67 | 1.33 ± 0.33 |
| Increased erythrocytes | 0.00 ± 0.00 | 2.67 ± 0.88 * | 5.33 ± 0.67 ** | 6.00 ± 0.00 ** | 6.00 ± 0.00 ** | |
| Cytoplasm vacuolation | 0.00 ± 0.00 | 0.00 ± 0.00 | 0.00 ± 0.00 | 0.00 ± 0.00 | 0.67 ± 0.33 * | |
| Head-kidney | Melano-Macrophage centers | 0.00 ± 0.00 | 0.00 ± 0.00 | 0.67 ± 0.67 | 0.67 ± 0.33 | 2.33 ± 0.67 * |
| IBR/n | ||
|---|---|---|
| Ammonia Nitrogen (mg/L) | Spleen | Head-Kidney |
| 0 | 0.00 | 0.00 |
| 5 | 0.34 | 0.34 |
| 10 | 0.48 | 0.47 |
| 20 | 0.69 | 0.42 |
| 30 | 0.87 | 0.95 |
| Target Gene | Primer Sequences (from 5′ to 3′) | Accession Number and/or References | Amplification Efficiency | |
|---|---|---|---|---|
| igm | F: TGGAGCAACGGCACAGTATT | R: CTCTTGGGACTCGCACCATT | KC894945 | 99.03% |
| il-1β | F: ACGATAAGACCAGCACGACC | R: CTGTTTCCGTCTCTCAGCGT | KF515511 | 104.87% |
| tnf-α | F: TCCAAGGCAGCCATCCATTT | R: GCCTGAAGAGAAAGCCTGGT | KF515512 | 103.97% |
| jnk1 | F: AGCACCCCTACATCAACGTG | R: CGTTTTTCGTTCGCTCCTCC | MK315047 | 109.47% |
| erk1 | F: TCCTGCGAGGGCTGAAATAC | R: TCCGGTGTGGTCATGTTCTG | MK315044 | 101.48% |
| p38α | F: TGGGAGCGGATCTCAACAAC | R: TCAGGCCAGCTGAATGGATG | MK315052 | 91.86% |
| nf-κb1 | F: TGGATGGAGGGGCAGATGTA | R: AAGTGCGCTCAGTTTGCTTG | MK315050 | 108.68% |
| nf-κb2 | F: AACTACCAGTTGAGCGGTGG | R: GGTCACTGCAGGATTTCCCA | MK315051 | 99.24% |
| pi3 k | F: GGCGTAACATCCAGCTTTGC | R: GCTCCTGGAAGCTGGGTAAC | Liang et al. [81] | 93.04% |
| akt | F: GCTGGGTAAAGGCACGTTTG | R: CTCTCGGTGACCGTATGAGC | Liang et al. [81] | 101.56% |
| myd88 | F: TGGAACAGACTGAATACAAC | R: GACAACAGGGATTAGACG | KP192128 | 109.31% |
| traf6 | F: ATCTGAGCCCGACAGAGAAC | R: CGAGCGAAGACCCATTAGAC | KP192129 | 109.86% |
| tlr1 | F: TCCTGGCTGTTACGATTCTG | R: GAGGTTATTGCGTGGTGCTT | KX196269 | 109.45% |
| tlr2 | F: TTACTCCACCTTGGGACCTG | R: CTAAGCCATTCTTGTGAACCA | KX196270 | 90.03% |
| tlr3 | F: TTGTGGAAGACAGCCAACC | R: CGCAAAGCATCAAGTGGAAT | DQ986365 | 108.82% |
| tlr4 | F: TGGTGTCGCTTTGAGTTTGA | R: AAGGTTCCCTGCTCCACTTC | KR092315 | 91.99% |
| tlr5 | F: GGAGGACCATCTTACCAA | R: TGTTCCCTACAACCAGCA | KX196271 | 97.26% |
| β-actin | F: ACCCACACCGTGCCCATCTA | R: GGACAATTTCTCTTTCGGCTG | AY170122 | 108.48% |
Publisher’s Note: MDPI stays neutral with regard to jurisdictional claims in published maps and institutional affiliations. |
© 2022 by the authors. Licensee MDPI, Basel, Switzerland. This article is an open access article distributed under the terms and conditions of the Creative Commons Attribution (CC BY) license (https://creativecommons.org/licenses/by/4.0/).
Share and Cite
Guo, H.; Chen, S.; Ouyang, K.; Kuang, Y.; Yang, H.; Wang, Y.; Tang, R.; Zhang, X.; Li, D.; Li, L. Evaluation of Ammonia Nitrogen Exposure in Immune Defenses Present on Spleen and Head-Kidney of Wuchang Bream (Megalobrama amblycephala). Int. J. Mol. Sci. 2022, 23, 3129. https://doi.org/10.3390/ijms23063129
Guo H, Chen S, Ouyang K, Kuang Y, Yang H, Wang Y, Tang R, Zhang X, Li D, Li L. Evaluation of Ammonia Nitrogen Exposure in Immune Defenses Present on Spleen and Head-Kidney of Wuchang Bream (Megalobrama amblycephala). International Journal of Molecular Sciences. 2022; 23(6):3129. https://doi.org/10.3390/ijms23063129
Chicago/Turabian StyleGuo, Honghui, Siqi Chen, Kang Ouyang, Yu Kuang, Hui Yang, Yingying Wang, Rong Tang, Xi Zhang, Dapeng Li, and Li Li. 2022. "Evaluation of Ammonia Nitrogen Exposure in Immune Defenses Present on Spleen and Head-Kidney of Wuchang Bream (Megalobrama amblycephala)" International Journal of Molecular Sciences 23, no. 6: 3129. https://doi.org/10.3390/ijms23063129
APA StyleGuo, H., Chen, S., Ouyang, K., Kuang, Y., Yang, H., Wang, Y., Tang, R., Zhang, X., Li, D., & Li, L. (2022). Evaluation of Ammonia Nitrogen Exposure in Immune Defenses Present on Spleen and Head-Kidney of Wuchang Bream (Megalobrama amblycephala). International Journal of Molecular Sciences, 23(6), 3129. https://doi.org/10.3390/ijms23063129

