Novel Biodegradable 3D-Printed Analgesics-Eluting-Nanofibers Incorporated Nuss Bars for Therapy of Pectus Excavatum
Abstract
:1. Introduction
2. Results
2.1. In Vitro Characterizations
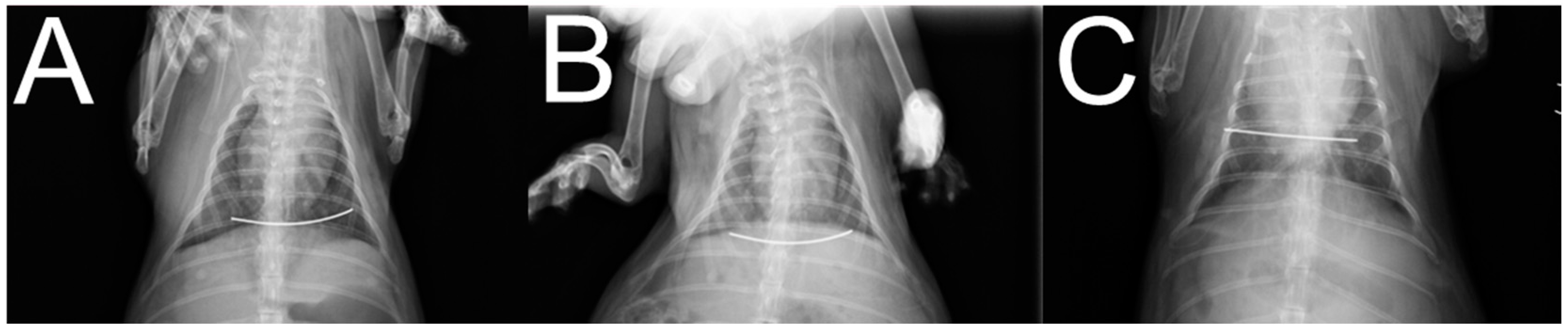
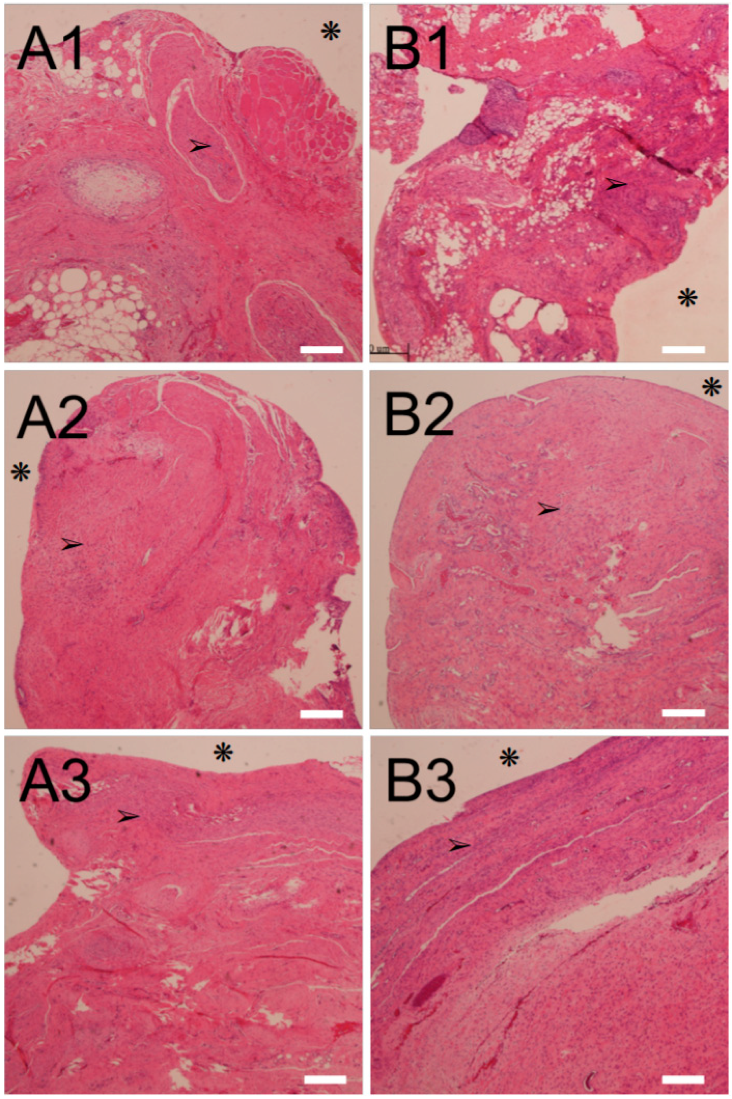
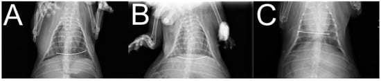
2.2. In Vivo Animal Studies
3. Discussion
4. Materials and Methods
4.1. 3D Printing of Degradable Nuss Bars
4.2. Assessment of Fabricated PLA Bars
4.3. Lidocaine and Ketorolac-Eluting Nanofibers
4.4. Surgical Procedure, Animal Care and Assessments
4.5. Biomechanical and Histological Assays
4.6. Data Analysis
5. Conclusions
Author Contributions
Funding
Institutional Review Board Statement
Acknowledgments
Conflicts of Interest
References
- Jaroszewski, D.; Notrica, D.; McMabon, L.; Steidley, D.E.; Deschamps, C. Current management of pectus excavatum: A review and update of therapy and treatment recommendations. J. Am. Board. Fam. Med. 2010, 23, 230–239. [Google Scholar] [CrossRef] [PubMed]
- Nuss, D.; Kelly, R.E., Jr.; Croitoru, D.P.; Katz, M.E. A 10-year review of a minimally invasive technique for the correction of pectus excavatum. J. Pediatric Surg. 1998, 33, 545–552. [Google Scholar] [CrossRef]
- Pawlak, K.; Gąsiorowski, Ł.; Gabryel, P.; Gałęcki, B.; Zieliński, P.; Dyszkiewicz, W. Early and late results of the Nuss procedure in surgical treatment of pectus excavatum in different age groups. Ann. Thorac. Surg. 2016, 102, 1711–1716. [Google Scholar] [CrossRef] [PubMed] [Green Version]
- Nuss, D.; Obermeyer, R.J.; Kelly, R.E. Nuss bar procedure: Past, present and future. Ann. Cardiothorac. Surg. 2016, 5, 422–433. [Google Scholar] [CrossRef] [PubMed] [Green Version]
- Abid, I.; Ewais, M.M.; Marranca, J.; Jaroszewski, D.E. Pectus Excavatum: A review of diagnosis and current treatment options. J. Am. Osteopath. Assoc. 2017, 117, 106–113. [Google Scholar] [CrossRef] [Green Version]
- Casalini, T.; Rossi, F.; Castrovinci, A.; Perale, G. A Perspective on polylactic acid-based polymers use for nanoparticles synthesis and applications. Front. Bioeng. Biotechnol. 2019, 7, 259. [Google Scholar] [CrossRef]
- Zaaba, N.F.; Jaafar, M. A review on degradation mechanisms of polylactic acid: Hydrolytic, photodegradative, microbial, and enzymatic degradation. Polym. Eng. Sci. 2020, 60, 2061–2075. [Google Scholar] [CrossRef]
- Kapoor, D.N.; Bhatia, A.; Kaur, R.; Sharma, R.; Kaur, G.; Dhawan, S. PLGA: A unique polymer for drug delivery. Ther. Deliv. 2015, 6, 41–58. [Google Scholar] [CrossRef]
- Shahrubudin, N.; Lee, T.C.; Ramlan, R. An overview on 3D printing technology: Technological, materials, and applications. Procedia Manuf. 2019, 35, 1286–1296. [Google Scholar] [CrossRef]
- Xue, J.; Wu, T.; Dai, Y.; Xia, Y. Electrospinning and electrospun nanofibers: Methods, materials, and applications. Chem. Rev. 2019, 119, 5298–5415. [Google Scholar] [CrossRef]
- DeStefano, V.; Khan, S.; Tabada, A. Applications of PLA in modern medicine. Eng. Regen. 2020, 1, 76–87. [Google Scholar] [CrossRef]
- Im, S.H.; Im, D.H.; Park, S.J.; Chung, J.J.; Jung, Y.; Kim, S.H. Stereocomplex polylactide for drug delivery and biomedical applications: A review. Molecules 2021, 26, 2846. [Google Scholar] [CrossRef]
- Demina, T.S.; Gilman, A.B.; Zelenetskii, A.N. Application of high-energy chemistry methods to the modification of the structure and properties of polylactide (a review). High Energy Chem. 2017, 51, 302–314. [Google Scholar] [CrossRef]
- Jadhav, H.; Jadhav, A.; Takkalkar, P.; Hossain, N.; Nizammudin, S.; Zahoor, M.; Jamal, M.; Mubarak, N.M.; Griffin, G.; Kao, N. Potential of polylactide based nanocomposites-nanopolysaccharide filler for reinforcement purpose: A comprehensive review. J. Polym. Res. 2020, 27, 330. [Google Scholar] [CrossRef]
- Banerjee, R.; Ray, S.S. An overview of the recent advances in polylactide-based sustainable nanocomposites. Polym. Eng. Sci. 2021, 61, 617–649. [Google Scholar] [CrossRef]
- Tian, X.; Liu, T.; Yang, C.; Wang, Q.; Li, D. Interface and performance of 3D printed continuous carbon fiber reinforced PLA composites. Comp. Part A 2016, 88, 198–205. [Google Scholar] [CrossRef]
- Valapa, R.B.; Pugazhenthi, G.; Katiyar, V. Effect of graphene content on the properties of poly(lactic acid) nanocomposites. RSC Adv. 2015, 5, 28410–28423. [Google Scholar] [CrossRef]
- Makadia, H.K.; Siegel, S.J. Poly lactic-co-glycolic acid (PLGA) as biodegradable controlled drug delivery carrier. Polymers 2011, 3, 1377–1397. [Google Scholar] [CrossRef]
- Kao, C.W.; Tseng, Y.Y.; Liu, K.S.; Chen, J.C.; He, H.L.; Kau, Y.C.; Liu, S.J. Anesthetics and human epidermal growth factor incorporated into anti-adhesive nanofibers provide sustained pain relief and promote healing of surgical wounds. Int. J. Nanomed. 2019, 14, 4007–4016. [Google Scholar] [CrossRef] [Green Version]
- Yu, Y.H.; Lin, Y.T.; Hsu, Y.H.; Chou, Y.C.; Ueng, S.W.N.; Liu, S.J. Biodegradable antimicrobial agent/analgesic/bone morphogenetic protein-loaded nanofibrous fixators for bone fracture repair. Int. J. Nanomed. 2021, 16, 5357–5370. [Google Scholar] [CrossRef]
- Liu, K.S.; Kao, C.W.; Tseng, Y.Y.; Chen, S.K.; Lin, Y.T.; Lu, C.J.; Liu, S.J. Assessment of antimicrobial agents, analgesics, and epidermal growth factors-embedded anti-adhesive poly(lactic-co-glycolic acid) nanofibrous membranes: In vitro and in vivo studies. Int. J. Nanomed. 2021, 16, 4471–4480. [Google Scholar] [CrossRef] [PubMed]
- Liu, K.S.; Chen, W.H.; Lee, C.H.; Su, Y.F.; Liu, S.J. Extended pain relief achieved by analgesic-eluting biodegradable nanofibers in the Nuss procedure: In vitro and in vivo Studies. Inter. J. Nanomed. 2018, 13, 8355–8364. [Google Scholar] [CrossRef] [PubMed] [Green Version]
- Hsiao, C.Y.; Liu, S.J.; Ueng, S.W.N.; Chan, E.C. The influence of gamma irradiation and ethylene oxide treatment on the release characteristics of biodegradable poly(lactide-co-glycolide) composites. Polym. Degrad. Stab. 2012, 97, 715–720. [Google Scholar] [CrossRef]
- Chou, R.; Gordon, D.B.; de Leon-Casasola, O.A.; Rosenbery, J.M.; Bickler, S.; Brennan, T.; Carter, T.; Cassidy, C.L.; Chittenden, E.H.; Degenhardt, E.; et al. Management of Postoperative Pain: A Clinical Practice Guideline from the American Pain Society, the American Society of Regional Anesthesia and Pain Medicine, and the American Society of Anesthesiologists’ Committee on Regional Anesthesia, Executive Committee, and Administrative Council. J. Pain 2016, 17, 131–157. [Google Scholar]
- Garimella, V.; Cellini, C. Postoperative pain control. Clin. Colon Rectal Surg. 2013, 26, 191–196. [Google Scholar] [CrossRef] [Green Version]








| Month | Mn (g/mol) | Mw (g/mol) | Mz (g/mol) | Mz+1 (g/mol) |
|---|---|---|---|---|
| 0 | 82,324 | 131,285 | 209,010 | 332,034 |
| 1 | 79,299 | 130,040 | 208,501 | 323,281 |
| 2 | 73,919 | 125,981 | 215,028 | 404,728 |
| 3 | 75,556 | 126,283 | 203,429 | 317,216 |
| 4 | 76,162 | 124,987 | 202,498 | 321,703 |
| 5 | 63,335 | 103,871 * | 159,125 | 235,957 |
| 6 | 49,520 | 82,292 * | 124,499 | 185,040 |
| Month | Mn (g/mol) | Mw (g/mol) | Mz (g/mol) | Mz+1 (g/mol) |
|---|---|---|---|---|
| 0 | 82,324 | 131,285 | 209,010 | 332,034 |
| 1 | 77,761 | 119,825 * | 185,333 | 281,082 |
| 2 | 67,566 | 103,177 * | 156,349 | 233,279 |
| 3 | 55,364 | 90,472 * | 138,254 | 206,018 |
Publisher’s Note: MDPI stays neutral with regard to jurisdictional claims in published maps and institutional affiliations. |
© 2022 by the authors. Licensee MDPI, Basel, Switzerland. This article is an open access article distributed under the terms and conditions of the Creative Commons Attribution (CC BY) license (https://creativecommons.org/licenses/by/4.0/).
Share and Cite
Liu, K.-S.; Chen, W.-H.; Lee, C.-H.; Su, Y.-F.; Liu, Y.-W.; Liu, S.-J. Novel Biodegradable 3D-Printed Analgesics-Eluting-Nanofibers Incorporated Nuss Bars for Therapy of Pectus Excavatum. Int. J. Mol. Sci. 2022, 23, 2265. https://doi.org/10.3390/ijms23042265
Liu K-S, Chen W-H, Lee C-H, Su Y-F, Liu Y-W, Liu S-J. Novel Biodegradable 3D-Printed Analgesics-Eluting-Nanofibers Incorporated Nuss Bars for Therapy of Pectus Excavatum. International Journal of Molecular Sciences. 2022; 23(4):2265. https://doi.org/10.3390/ijms23042265
Chicago/Turabian StyleLiu, Kuo-Sheng, Wei-Hsun Chen, Chen-Hung Lee, Yong-Fong Su, Yen-Wei Liu, and Shih-Jung Liu. 2022. "Novel Biodegradable 3D-Printed Analgesics-Eluting-Nanofibers Incorporated Nuss Bars for Therapy of Pectus Excavatum" International Journal of Molecular Sciences 23, no. 4: 2265. https://doi.org/10.3390/ijms23042265
APA StyleLiu, K.-S., Chen, W.-H., Lee, C.-H., Su, Y.-F., Liu, Y.-W., & Liu, S.-J. (2022). Novel Biodegradable 3D-Printed Analgesics-Eluting-Nanofibers Incorporated Nuss Bars for Therapy of Pectus Excavatum. International Journal of Molecular Sciences, 23(4), 2265. https://doi.org/10.3390/ijms23042265

