P-Glycoprotein and Androgen Receptor Expression Reveals Independence of Canine Prostate Cancer from Androgen Hormone Stimulation
Abstract
:1. Introduction
2. Results
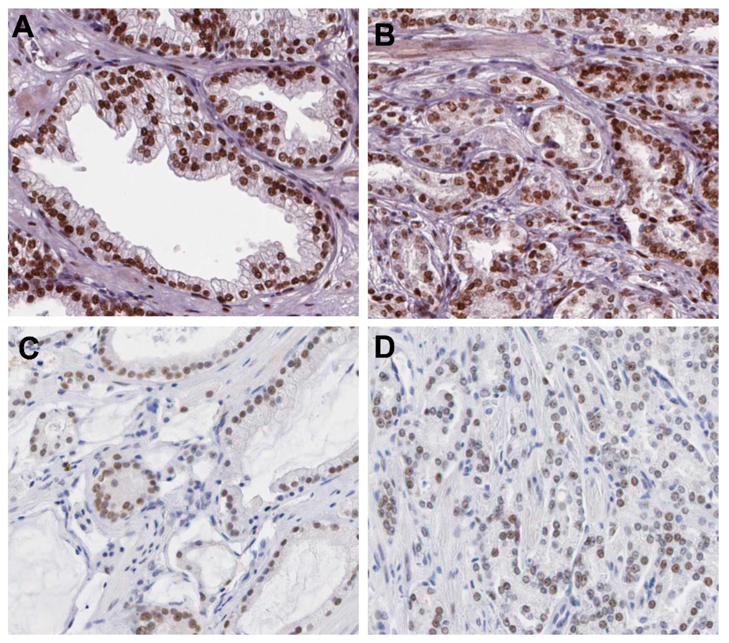
2.1. AR/P-gp Double Staining in Canine Prostatic Samples
2.2. AR and MDR1 Molecular Evaluation Indicates Independence of Hormone Regulation
2.3. AR and P-gp Expression in Human PC
3. Discussion
4. Material and Methods
4.1. Ethical Approval
4.2. Tumor Samples
4.3. Double Immunofluorescence
4.4. Gene Expression
4.5. Quantitative Bisulfite Pyrosequencing
4.6. P-Glycoprotein and AR Expression in Human PC
4.7. Statistical Analysis
5. Conclusions
Supplementary Materials
Author Contributions
Funding
Institutional Review Board Statement
Informed Consent Statement
Data Availability Statement
Conflicts of Interest
References
- Griffin, J.E. Androgen resistance—The clinical and molecular spectrum. N. Engl. J. Med. 1992, 326, 611–618. [Google Scholar]
- Banerjee, P.P.; Banerjee, S.; Brown, T.R.; Zirkin, B.R. Androgen action in prostate function and disease. Am. J. Clin. Exp. Urol. 2018, 6, 62–77. [Google Scholar] [PubMed]
- Evans, R.M. The steroid and thyroid hormone receptor superfamily. Science 1988, 240, 889–895. [Google Scholar] [CrossRef]
- Rosner, W.; Hryb, D.J.; Khan, M.S.; Nakhla, A.M.; Romas, N.A. Sex hormone-binding globulin mediates steroid hormone signal transduction at the plasma membrane. J. Steroid Biochem. Mol. Biol. 1999, 69, 481–485. [Google Scholar] [CrossRef]
- Giorgi, E.P.; Stein, W.D. The transport of steroids into animal cells in culture. Endocrinology 1981, 108, 688–697. [Google Scholar] [CrossRef] [PubMed]
- Fojo, A.T.; Ueda, K.; Slamon, D.J.; Poplack, D.G.; Gottesman, M.M.; Pastan, I. Expression of a multidrug-resistance gene in human tumors and tissues. Proc. Natl. Acad. Sci. USA 1987, 84, 265–269. [Google Scholar] [CrossRef] [PubMed] [Green Version]
- Fedoruk, M.N.; Giménez-Bonafé, P.; Guns, E.S.; Mayer, L.D.; Nelson, C.C. P-glycoprotein increases the efflux of the androgen dihydrotestosterone and reduces androgen responsive gene activity in prostate tumor cells. Prostate 2004, 59, 77–90. [Google Scholar] [CrossRef]
- Dai, C.; Heemers, H.; Sharifi, N. Androgen Signaling in Prostate Cancer. Cold Spring Harb. Perspect. Med. 2017, 7, a030452. [Google Scholar] [CrossRef] [Green Version]
- Huggins, C.; Hodges, C.V. Studies on prostatic cancer. I: The effect of castration, of estrogen and of androgen injection on serum phosphatases in metastatic carcinoma of the prostate. Cancer Res. 1941, 1, 293–297. [Google Scholar]
- Harris, W.P.; Mostaghel, E.A.; Nelson, P.S.; Montgomery, B. Androgen deprivation therapy: Progress in understanding mechanisms of resistance and optimizing androgen depletion. Nat. Clin. Pract. Urol. 2009, 6, 76–85. [Google Scholar] [CrossRef]
- Shimizu, Y.; Tamada, S.; Kato, M.; Hirayama, Y.; Takeyama, Y.; Iguchi, T.; Sadar, M.D.; Nakatani, T. Androgen Receptor Splice Variant 7 Drives the Growth of Castration Resistant Prostate Cancer without Being Involved in the Efficacy of Taxane Chemotherapy. J. Clin. Med. 2018, 7, 444. [Google Scholar] [CrossRef] [PubMed] [Green Version]
- Palmieri, C.; Foster, R.A.; Grieco, V.; Fonseca-Alves, C.E.; Wood, G.A.; Culp, W.T.N.; Murua, E.H.; De Marzo, A.M.; Laufer-Amorim, R. Histopathological Terminology Standards for the Reporting of Prostatic Epithelial Lesions in Dogs. J. Comp. Pathol. 2019, 171, 30–37. [Google Scholar] [CrossRef]
- Laufer-Amorim, R.; Fonseca-Alves, C.E.; Villacis, R.A.R.; Linde, S.A.D.; Carvalho, M.; Larsen, S.J.; Marchi, F.A.; Rogatto, S.R. Comprehensive Genomic Profiling of Androgen-Receptor-Negative Canine Prostate Cancer. Int. J. Mol. Sci. 2019, 20, 1555. [Google Scholar] [CrossRef] [PubMed] [Green Version]
- Fonseca-Alves, C.E.; Kobayashi, P.E.; Rivera-Calderón, L.G.; Felisbino, S.L.; Rinaldi, J.C.; Drigo, S.A.; Rogatto, S.R.; Laufer-Amorim, R. Immunohistochemical panel to characterize canine prostate carcinomas according to aberrant p63 expression. PLoS ONE 2018, 13, e0199173. [Google Scholar] [CrossRef] [PubMed]
- Fonseca-Alves, C.E.; Kobayashi, P.E.; Laufer-Amorim, R. Evaluation of NKX3.1 and C-MYC expression in canine prostatic cancer. Res. Vet. Sci. 2018, 118, 365–370. [Google Scholar] [CrossRef] [PubMed] [Green Version]
- Fonseca-Alves, C.E.; Rodrigues, M.M.; de Moura, V.M.; Rogatto, S.R.; Laufer-Amorim, R. Alterations of C- MYC, NKX3.1, and E-cadherin expression in canine prostate carcinogenesis. Microsc. Res. Tech. 2013, 76, 1250–1256. [Google Scholar] [CrossRef]
- Kobayashi, P.E.; Rodrigues, M.M.P.; Gartner, F.; Rema, A.; Fonseca-Alves, C.E.; Laufer-Amorim, R. Association between decreased expression of estrogen receptor alpha, androgen receptor and phosphatase and tensin homolog immunoexpression in the canine prostate. Pesq. Vet. Bras. 2019, 39, 40–46. [Google Scholar] [CrossRef]
- Lin, H.Y.; Palmieri, C. Is STAT3 and PTEN Expression Altered in Canine Prostate Cancer? J. Comp. Pathol. 2016, 155, 185–189. [Google Scholar] [CrossRef]
- Rivera-Calderón, L.G.; Fonseca-Alves, C.E.; Kobayashi, P.E.; Carvalho, M.; Drigo, S.A.; de Oliveira, V.R.; Laufer-Amorim, R. Alterations in PTEN, MDM2, TP53 and AR protein and gene expression are associated with canine prostate carcinogenesis. Res. Vet. Sci. 2016, 106, 56–61. [Google Scholar] [CrossRef] [Green Version]
- Lim, B.; Kim, H.B.; Jeong, S.; Kim, S.H.; Kang, J.M.; Park, Y.; Won, D.S.; Kim, J.W.; Ryu, D.S.; Kim, Y.; et al. Novel platinum bipolar electrode for irreversible electroporation in prostate cancer: Preclinical study in the beagle prostate. Sci. Rep. 2021, 11, 17194. [Google Scholar] [CrossRef]
- Pellerin, O.; Déan, C.; Reb, P.; Chaix, C.; Floch, F.; Tierny, D.; Sapoval, M. Prostate artery chemoembolization in prostate cancer: A proof of concept study in spontaneous prostate cancer in a canine model. Diagn. Interv. Imaging 2021, 2211–5684, 00172–00178. [Google Scholar] [CrossRef] [PubMed]
- Leis-Filho, A.F.; Lainetti, P.D.; Kobayashi, P.E.; Palmieri, C.; Amorim, R.L.; Fonseca-Alves, C.E. Expression and prognostic significance of vascular endothelial growth factor-A (VEGF-A) and its receptor in canine prostate cancer. Prostate 2021, 81, 1021–1031. [Google Scholar] [CrossRef] [PubMed]
- De Godoy, F.G.; Pedrina, B.; de Faria, L.P.; Kobayashi, P.E.; Govoni, V.M.; Palmieri, C.; de Moura, V.M.B.D.; Laufer-Amorim, R.; Fonseca-Alves, C.E. Morphological and Molecular Characterization of Proliferative Inflammatory Atrophy in Canine Prostatic Samples. Cancers 2021, 13, 1887. [Google Scholar] [CrossRef]
- Bongiovanni, L.; Caposano, F.; Romanucci, M.; Grieco, V.; Malatesta, D.; Brachelente, C.; Massimini, M.; Benazzi, C.; Thomas, R.E.; Salda, L.D. Survivin and Sox9: Potential Stem Cell Markers in Canine Normal, Hyperplastic, and Neoplastic Canine Prostate. Vet. Pathol. 2019, 56, 200–207. [Google Scholar] [CrossRef] [PubMed]
- Leis-Filho, A.F.; Lainetti, P.F.; Franzoni, M.S.; Palmieri, C.; Kobayshi, P.E.; Laufer-Amorim, R.; Fonseca-Alves, C.E. A Comparative in Silico Analysis of CD24’s Prognostic Value in Human and Canine Prostate Cancer. J. Pers. Med. 2021, 11, 232. [Google Scholar] [CrossRef] [PubMed]
- Che, M.; Chaturvedi, A.; Munro, S.A.; Pitzen, S.P.; Ling, A.; Zhang, W.; Mentzer, J.; Ku, S.Y.; Puca, L.; Zhu, Y.; et al. Opposing transcriptional programs of KLF5 and AR emerge during therapy for advanced prostate cancer. Nat. Commun. 2021, 12, 6377. [Google Scholar] [CrossRef] [PubMed]
- Romanucci, M.; Frattone, L.; Ciccarelli, A.; Bongiovanni, L.; Malatesta, D.; Benazzi, C.; Brachelente, C.; Della-Salda, L. Immunohistochemical expression of heat shock proteins, p63 and androgen receptor in benign prostatic hyperplasia and prostatic carcinoma in the dog. Vet. Comp. Oncol. 2016, 14, 337–349. [Google Scholar] [CrossRef]
- Enokida, H.; Shiina, H.; Igawa, M.; Ogishima, T.; Kawakami, T.; Bassett, W.W.; Anast, J.W.; Li, L.C.; Urakami, S.; Terashima, M.; et al. CpG hypermethylation of MDR1 gene contributes to the pathogenesis and progression of human prostate cancer. Cancer Res. 2004, 64, 5956–5962. [Google Scholar] [CrossRef] [Green Version]
- Nowacka-Zawisza, M.; Wiśnik, E. DNA methylation and histone modifications as epigenetic regulation in prostate cancer (Review). Oncol. Rep. 2017, 38, 2587–2596. [Google Scholar] [CrossRef] [Green Version]
- Enokida, H.; Shiina, H.; Urakami, S.; Igawa, M.; Ogishima, T.; Li, L.C.; Kawahara, M.; Nakagawa, M.; Kane, C.J.; Carroll, P.R.; et al. Multigene methylation analysis for detection and staging of prostate cancer. Clin. Cancer Res. 2005, 11, 6582–6588. [Google Scholar] [CrossRef] [Green Version]
- Ellinger, J.; Bastian, P.J.; Jurgan, T.; Biermann, K.; Kah, P.; Heukamp, L.C.; Wernert, N.; Müller, S.C.; von Ruecker, A. CpG island hypermethylation at multiple gene sites in diagnosis and prognosis of prostate cancer. Urology 2008, 71, 161–167. [Google Scholar] [CrossRef] [PubMed]
- De Marzo, A.M.; Marchi, V.L.; Epstein, J.I.; Nelson, W.G. Proliferative inflammatory atrophy of the prostate: Implications for prostatic carcinogenesis. Am. J. Pathol. 1999, 155, 1985–1992. [Google Scholar] [CrossRef]
- Nakayama, M.; Bennett, C.J.; Hicks, J.L.; Epstein, J.I.; Platz, E.A.; Nelson, W.G.; De Marzo, A.M. Hypermethylation of the human glutathione S-transferase-pi gene (GSTP1) CpG island is present in a subset of proliferative inflammatory atrophy lesions but not in normal or hyperplastic epithelium of the prostate: A detailed study using laser-capture microdissection. Am. J. Pathol. 2003, 163, 923–933. [Google Scholar] [PubMed]
- Servian, P.; Celma, A.; Planas, J.; Placer, J.; de Torres, I.M.; Morote, J. Clinical Significance of Proliferative Inflammatory Atrophy in Negative Prostatic Biopsies. Prostate 2016, 76, 1501–1506. [Google Scholar] [CrossRef] [PubMed]
- Russo, G.I.; Cimino, S.; Giranio, G.; Regis, F.; Favilla, V.; Privitera, S.; Motta, F.; Caltabiano, R.; Stenzl, A.; Todenhöfer, T.; et al. Metabolic syndrome is not associated with greater evidences of proliferative inflammatory atrophy and inflammation in patients with suspected prostate cancer. Urol. Oncol. 2018, 36, 240. [Google Scholar] [CrossRef]
- Bostwick, D.G.; Ramnani, D.; Qian, J. Prostatic intraepithelial neoplasia: Animal models 2000. Prostate 2000, 43, 286–294. [Google Scholar] [CrossRef]
- Waters, D.J. High-grade prostatic intraepithelial neoplasia in dogs. Eur. Urol. 1999, 35, 456–458. [Google Scholar] [CrossRef]
- Lainetti, P.F.; Leis-Filho, A.F.; Laufer-Amorim, R.; Battazza, A.; Fonseca-Alves, C.E. Mechanisms of Resistance to Chemotherapy in Breast Cancer and Possible Targets in Drug Delivery Systems. Pharmaceutics 2020, 12, 1193. [Google Scholar] [CrossRef] [PubMed]
- Elia, S.G.; Al-Karmalawy, A.A.; Nasr, M.Y.; Elshal, M.F. Loperamide potentiates doxorubicin sensitivity in triple-negative breast cancer cells by targeting MDR1 and JNK and suppressing mTOR and Bcl-2: In vitro and molecular docking study. J. Biochem. Mol. Toxicol. 2021, 31, e22938. [Google Scholar] [CrossRef]
- Thiemeyer, H.; Taher, L.; Schille, J.T.; Packeiser, E.M.; Harder, L.K.; Hewicker-Trautwein, M.; Brenig, B.; Schütz, E.; Beck, J.; Nolte, I.; et al. An RNA-Seq-Based Framework for Characterizing Canine Prostate Cancer and Prioritizing Clinically Relevant Biomarker Candidate Genes. Int. J. Mol. Sci. 2021, 25, 11481. [Google Scholar] [CrossRef]
- Azakami, D.; Nakahira, R.; Kato, Y.; Michishita, M.; Kobayashi, M.; Onozawa, E.; Bonkobara, M.; Kobayashi, M.; Takahashi, K.; Watanabe, M.; et al. The canine prostate cancer cell line CHP-1 shows over-expression of the co-chaperone small glutamine-rich tetratricopeptide repeat-containing protein α. Vet. Comp. Oncol. 2017, 15, 557–562. [Google Scholar] [CrossRef]
- L’Eplattenier, H.F.; Lai, C.L.; van den Ham, R.; Mol, J.; van Sluijs, F.; Teske, E. Regulation of COX-2 expression in canine prostate carcinoma: Increased COX-2 expression is not related to inflammation. J. Vet. Intern. Med. 2007, 21, 776–782. [Google Scholar] [CrossRef]
- Sorenmo, K.U.; Goldschmidt, M.H.; Shofer, F.S.; Goldkamp, C.; Ferracone, J. Evaluation of cyclooxygenase-1 and cyclooxygenase-2 expression and the effect of cyclooxygenase inhibitors in canine prostatic carcinoma. Vet. Comp. Oncol. 2004, 2, 13–23. [Google Scholar] [CrossRef] [PubMed]
- Akter, S.H.; Lean, F.Z.; Lu, J.; Grieco, V.; Palmieri, C. Different Growth Patterns of Canine Prostatic Carcinoma Suggests Different Models of Tumor-Initiating Cells. Vet. Pathol. 2015, 52, 1027–1033. [Google Scholar] [CrossRef]
- Kuasne, H.; Barros-Filho, M.C.; Marchi, F.A.; Drigo, S.A.; Scapulatempo-Neto, C.; Faria, E.F.; Rogatto, S.R. Nuclear loss and cytoplasmic expression of androgen receptor in penile carcinomas: Role as a driver event and as a prognosis factor. Virchows Arch. 2018, 473, 607–614. [Google Scholar] [CrossRef] [PubMed] [Green Version]
- Zamagni, A.; Cortesi, M.; Zanoni, M.; Tesei, A. Non-nuclear AR Signaling in Prostate Cancer. Front. Chem. 2019, 26, 651. [Google Scholar] [CrossRef]
- König, P.; Eckstein, M.; Jung, R.; Abdulrahman, A.; Guzman, J.; Weigelt, K.; Serrero, G.; Hayashi, J.; Geppert, C.; Stöhr, R.; et al. Expression of AR-V7 (Androgen Receptor Variant 7) Protein in Granular Cytoplasmic Structures Is an Independent Prognostic Factor in Prostate Cancer Patients. Cancers 2020, 12, 2639. [Google Scholar] [CrossRef]
- National Research Council. Guide for the Care and Use of Laboratory Animals, 8th ed.; National Academies Press: Washington, DC, USA, 2011. [Google Scholar]
- Fonseca-Alves, C.E.; Bento, D.D.; Torres-Neto, R.; Werner, J.; Kitchell, B.; Laufer-Amorim, R. Ki67/KIT double immunohistochemical staining in cutaneous mast cell tumors from Boxer dogs. Res. Vet. Sci. 2015, 102, 122–126. [Google Scholar] [CrossRef] [PubMed]
- Costa, C.D.; Justo, A.A.; Kobayashi, P.E.; Story, M.M.; Palmieri, C.; Laufer-Amorim, R.; Fonseca-Alves, C.E. Characterization of OCT3/4, Nestin, NANOG, CD44 and CD24 as stem cell markers in canine prostate cancer. Int. J. Biochem. Cell Biol. 2019, 108, 21–28. [Google Scholar] [CrossRef]
- Fonseca-Alves, C.E.; Kobayashi, P.E.; Leis-Filho, A.F.; Lainetti, P.F.; Grieco, V.; Kuasne, H.; Rogatto, S.R.; Laufer-Amorim, R. E-Cadherin Downregulation is Mediated by Promoter Methylation in Canine Prostate Cancer. Front. Genet. 2019, 10, 1242. [Google Scholar] [CrossRef]
- Uhlén, M.; Fagerberg, L.; Hallström, B.M.; Lindskog, C.; Oksvold, P.; Mardinoglu, A.; Sivertsson, Å.; Kampf, C.; Sjöstedt, E.; Asplund, A.; et al. Tissue-based map of the human proteome. Science 2015, 347, 1260419. [Google Scholar] [CrossRef] [PubMed]
- Tang, Z.; Li, C.; Kang, B.; Gao, G.; Li, C.; Zhang, Z. GEPIA: A web server for cancer and normal gene expression profiling and interactive analyses. Nucleic Acids Res. 2017, 45, W98–W102. [Google Scholar] [CrossRef] [PubMed] [Green Version]
- Pett, M.A.; Lackey, N.R.; Sullivan, J.J. Making Sense of Factor Analysis: The Use of Factor Analysis for Instrument Development in Health Care Research; Sage: Thousand Oaks, CA, USA, 2003. [Google Scholar]






Publisher’s Note: MDPI stays neutral with regard to jurisdictional claims in published maps and institutional affiliations. |
© 2022 by the authors. Licensee MDPI, Basel, Switzerland. This article is an open access article distributed under the terms and conditions of the Creative Commons Attribution (CC BY) license (https://creativecommons.org/licenses/by/4.0/).
Share and Cite
Cavalca, A.M.B.; Brandi, A.; Fonseca-Alves, R.H.; Laufer-Amorim, R.; Fonseca-Alves, C.E. P-Glycoprotein and Androgen Receptor Expression Reveals Independence of Canine Prostate Cancer from Androgen Hormone Stimulation. Int. J. Mol. Sci. 2022, 23, 1163. https://doi.org/10.3390/ijms23031163
Cavalca AMB, Brandi A, Fonseca-Alves RH, Laufer-Amorim R, Fonseca-Alves CE. P-Glycoprotein and Androgen Receptor Expression Reveals Independence of Canine Prostate Cancer from Androgen Hormone Stimulation. International Journal of Molecular Sciences. 2022; 23(3):1163. https://doi.org/10.3390/ijms23031163
Chicago/Turabian StyleCavalca, Alexandre Matheus Baesso, Andressa Brandi, Ricardo Henrique Fonseca-Alves, Renée Laufer-Amorim, and Carlos Eduardo Fonseca-Alves. 2022. "P-Glycoprotein and Androgen Receptor Expression Reveals Independence of Canine Prostate Cancer from Androgen Hormone Stimulation" International Journal of Molecular Sciences 23, no. 3: 1163. https://doi.org/10.3390/ijms23031163
APA StyleCavalca, A. M. B., Brandi, A., Fonseca-Alves, R. H., Laufer-Amorim, R., & Fonseca-Alves, C. E. (2022). P-Glycoprotein and Androgen Receptor Expression Reveals Independence of Canine Prostate Cancer from Androgen Hormone Stimulation. International Journal of Molecular Sciences, 23(3), 1163. https://doi.org/10.3390/ijms23031163

