Immunoregulatory Sertoli Cell Allografts Engineered to Express Human Insulin Survive Humoral-Mediated Rejection
Abstract
1. Introduction
2. Results
2.1. Survival of MSC1-HI Cells Transduced to Express Human Insulin after Exposure to Human Serum Containing Complement
2.2. Survival of MSC1 and MSC1-HI Cells after Transplantation as Allografts in Mice
2.3. Deposition of IgM and IgG on MSC1-HI or MSC1 Cell Grafts
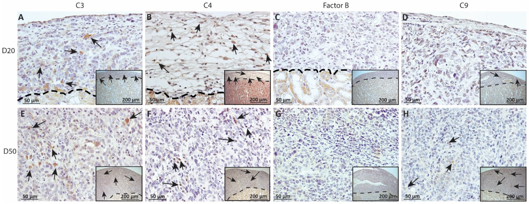
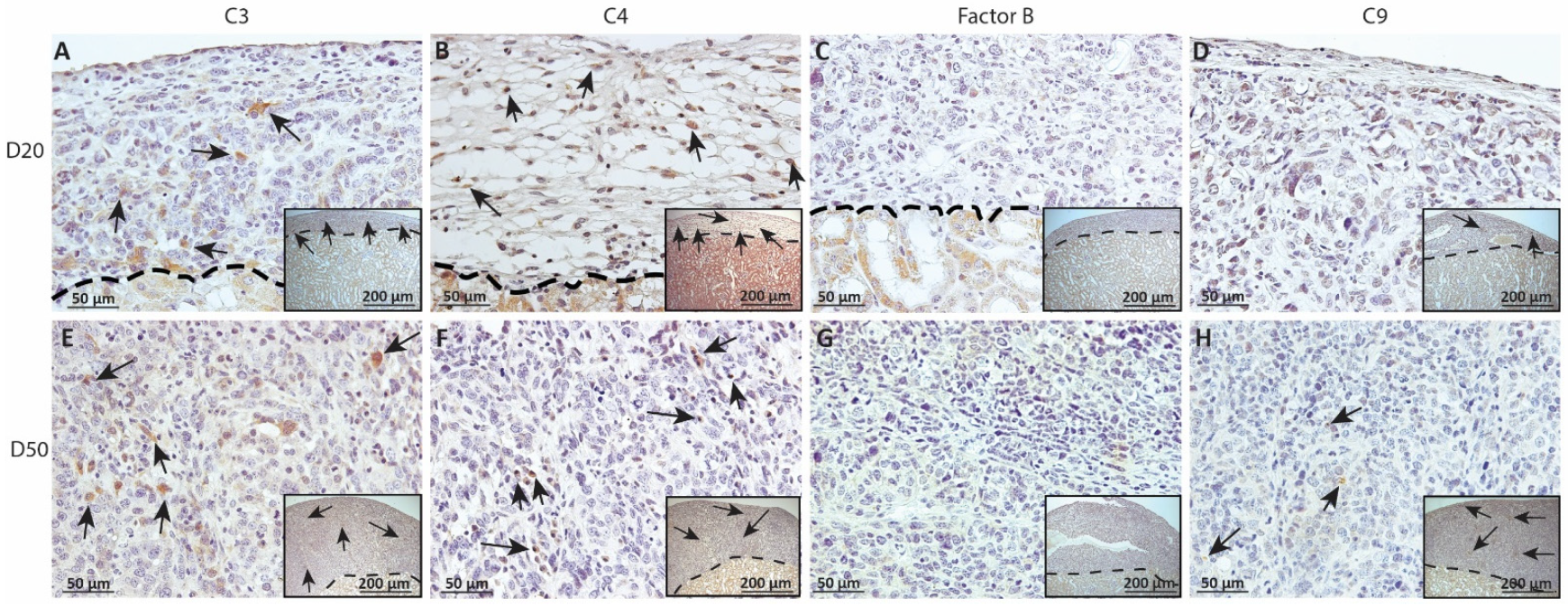
2.4. Deposition of Complement Factors C3, C4, FB and C9 in MSC1 or MSC1-HI Cell Grafts
2.5. Protein Expression of COMP and C1QBP by MSC1 and MSC1-HI Cells
3. Discussion
4. Materials and Methods
4.1. Animals
4.2. SC Transduction
4.3. Cell Preparation and Transplantation
4.4. Human Serum Complement Cytotoxicity Assay
4.5. Immunohistochemical Graft Characterization
4.6. ELISA Quantification of COMP and C1QBP Protein Secretion
4.7. Statistical Analysis
5. Conclusions
Author Contributions
Funding
Institutional Review Board Statement
Informed Consent Statement
Data Availability Statement
Conflicts of Interest
References
- Sun, H.; Saeedi, P.; Karuranga, S.; Pinkepank, M.; Ogurtsova, K.; Duncan, B.B.; Stein, C.; Basit, A.; Chan, J.C.N.; Mbanya, J.C.; et al. IDF Diabetes Atlas: Global, regional and country-level diabetes prevalence estimates for 2021 and projections for 2045. Diabetes Res. Clin. Pract. 2022, 183, 109119. [Google Scholar] [CrossRef] [PubMed]
- Causes of blindness and vision impairment in 2020 and trends over 30 years, and prevalence of avoidable blindness in relation to VISION 2020: The Right to Sight: An analysis for the Global Burden of Disease Study. Lancet Glob Health 2021, 9, e144–e160. [CrossRef] [PubMed]
- Saran, R.; Li, Y.; Robinson, B.; Ayanian, J.; Balkrishnan, R.; Bragg-Gresham, J.; Chen, J.T.; Cope, E.; Gipson, D.; He, K.; et al. US Renal Data System 2014 Annual Data Report: Epidemiology of Kidney Disease in the United States. Am. J. Kidney Dis. Off. J. Natl. Kidney Found. 2015, 66 (Suppl. 1), S1–S305. [Google Scholar] [CrossRef] [PubMed]
- Pullen, L.C. Islet cell transplantation hits a milestone. Am. J. Transplant. Off. J. Am. Soc. Transplant. Am. Soc. Transpl. Surg. 2021, 21, 2625–2626. [Google Scholar] [CrossRef]
- Witkowski, P.; Philipson, L.H.; Buse, J.B.; Robertson, R.P.; Alejandro, R.; Bellin, M.D.; Kandeel, F.; Baidal, D.; Gaglia, J.L.; Posselt, A.M.; et al. Islets Transplantation at a Crossroads—Need for Urgent Regulatory Update in the United States: Perspective Presented During the Scientific Sessions 2021 at the American Diabetes Association Congress. Front. Endocrinol. 2021, 12, 789526. [Google Scholar] [CrossRef]
- Arifin, D.R.; Bulte, J.W.M. In Vivo Imaging of Pancreatic Islet Grafts in Diabetes Treatment. Front. Endocrinol. 2021, 12, 640117. [Google Scholar] [CrossRef]
- Rickels, M.R.; Robertson, R.P. Pancreatic Islet Transplantation in Humans: Recent Progress and Future Directions. Endocr. Rev. 2019, 40, 631–668. [Google Scholar] [CrossRef]
- Wang, P.; Schuetz, C.; Ross, A.; Dai, G.; Markmann, J.F.; Moore, A. Immune rejection after pancreatic islet cell transplantation: In vivo dual contrast-enhanced MR imaging in a mouse model. Radiology 2013, 266, 822–830. [Google Scholar] [CrossRef][Green Version]
- Moreau, A.; Varey, E.; Anegon, I.; Cuturi, M.C. Effector mechanisms of rejection. Cold Spring Harb. Perspect. Med. 2013, 3, a015461. [Google Scholar] [CrossRef]
- Duncan, M.D.; Wilkes, D.S. Transplant-related immunosuppression: A review of immunosuppression and pulmonary infections. Proc. Am. Thorac. Soc. USA 2005, 2, 449–455. [Google Scholar] [CrossRef]
- Tönshoff, B. Immunosuppressants in Organ Transplantation. In Handbook of Experimental Pharmacology; Springer: Berlin/Heidelberg, Germany, 2020; Volume 261, pp. 441–469. [Google Scholar] [CrossRef]
- Ryan, E.A.; Paty, B.W.; Senior, P.A.; Bigam, D.; Alfadhli, E.; Kneteman, N.M.; Lakey, J.R.; Shapiro, A.M. Five-year follow-up after clinical islet transplantation. Diabetes 2005, 54, 2060–2069. [Google Scholar] [CrossRef] [PubMed]
- Mital, P.; Kaur, G.; Dufour, J.M. Immunoprotective sertoli cells: Making allogeneic and xenogeneic transplantation feasible. In Reproduction; University of Cambridge: Cambridge, UK, 2010; Volume 139, pp. 495–504. [Google Scholar] [CrossRef]
- Dufour, J.M.; Gores, P.; Hemendinger, R.; Emerich, D.F.; Halberstadt, C.R. Transgenic Sertoli cells as a vehicle for gene therapy. Cell Transplant. 2004, 13, 1–6. [Google Scholar] [CrossRef] [PubMed]
- Dufour, J.M.; Hemendinger, R.; Halberstadt, C.R.; Gores, P.; Emerich, D.F.; Korbutt, G.S.; Rajotte, R.V. Genetically engineered Sertoli cells are able to survive allogeneic transplantation. Gene Ther. 2004, 11, 694–700. [Google Scholar] [CrossRef]
- Kaur, G.; Thompson, L.A.; Pasham, M.; Tessanne, K.; Long, C.R.; Dufour, J.M. Sustained expression of insulin by a genetically engineered sertoli cell line after allotransplantation in diabetic BALB/c mice. Biol. Reprod. 2014, 90, 109. [Google Scholar] [CrossRef] [PubMed]
- Halley, K.; Dyson, E.L.; Kaur, G.; Mital, P.; Uong, P.M.; Dass, B.; Crowell, S.N.; Dufour, J.M. Delivery of a therapeutic protein by immune-privileged Sertoli cells. Cell Transplant. 2010, 19, 1645–1657. [Google Scholar] [CrossRef] [PubMed]
- Kaur, G.; Thompson, L.A.; Babcock, R.L.; Mueller, K.; Dufour, J.M. Sertoli Cells Engineered to Express Insulin to Lower Blood Glucose in Diabetic Mice. DNA Cell Biol. 2018, 37, 680–690. [Google Scholar] [CrossRef]
- Sacks, S.H.; Chowdhury, P.; Zhou, W. Role of the complement system in rejection. Curr. Opin. Immunol. 2003, 15, 487–492. [Google Scholar] [CrossRef] [PubMed]
- Washburn, R.; Kaur, G.; Dufour, J. Mouse Sertoli Cells Inhibit Humoral-Based Immunity. Int. J. Mol. Sci. 2022, 23, 12760. [Google Scholar] [CrossRef]
- Dufour, J.M.; Hamilton, M.; Rajotte, R.V.; Korbutt, G.S. Neonatal porcine Sertoli cells inhibit human natural antibody-mediated lysis. Biol. Reprod. 2005, 72, 1224–1231. [Google Scholar] [CrossRef]
- Stites, E.; Le Quintrec, M.; Thurman, J.M. The Complement System and Antibody-Mediated Transplant Rejection. J. Immunol. 2015, 195, 5525–5531. [Google Scholar] [CrossRef]
- Tjernberg, J.; Ekdahl, K.N.; Lambris, J.D.; Korsgren, O.; Nilsson, B. Acute antibody-mediated complement activation mediates lysis of pancreatic islets cells and may cause tissue loss in clinical islet transplantation. Transplantation 2008, 85, 1193–1199. [Google Scholar] [CrossRef]
- Dufour, J.M.; Rajotte, R.V.; Seeberger, K.; Kin, T.; Korbutt, G.S. Long-term survival of neonatal porcine Sertoli cells in non-immunosuppressed rats. Xenotransplantation 2003, 10, 577–586. [Google Scholar] [CrossRef]
- Gores, P.F.; Hayes, D.H.; Copeland, M.J.; Korbutt, G.S.; Halberstadt, C.; Kirkpatrick, S.A.; Rajotte, R.V. Long-term survival of intratesticular porcine islets in nonimmunosuppressed beagles. Transplantation 2003, 75, 613–618. [Google Scholar] [CrossRef]
- Selawry, H.P.; Cameron, D.F. Sertoli cell-enriched fractions in successful islet cell transplantation. Cell Transplant. 1993, 2, 123–129. [Google Scholar] [CrossRef]
- Mital, P.; Kaur, G.; Bowlin, B.; Paniagua, N.J.; Korbutt, G.S.; Dufour, J.M. Nondividing, postpubertal rat sertoli cells resumed proliferation after transplantation. Biol. Reprod. 2014, 90, 13. [Google Scholar] [CrossRef]
- Washburn, R.L.; Mueller, K.; Kaur, G.; Moreno, T.; Moustaid-Moussa, N.; Ramalingam, L.; Dufour, J.M. C-Peptide as a Therapy for Type 1 Diabetes Mellitus. Biomedicines 2021, 9, 270. [Google Scholar] [CrossRef]
- Scalia, R.; Coyle, K.M.; Levine, B.J.; Booth, G.; Lefer, A.M. C-peptide inhibits leukocyte-endothelium interaction in the microcirculation during acute endothelial dysfunction. FASEB J. Off. Publ. Fed. Am. Soc. Exp. Biol. 2000, 14, 2357–2364. [Google Scholar] [CrossRef]
- Chowta, M.N.; Adhikari, P.M.; Chowta, N.K.; Shenoy, A.K.; D’Souza, S. Serum C peptide level and renal function in diabetes mellitus. Indian J. Nephrol. 2010, 20, 25–28. [Google Scholar] [CrossRef]
- Williams, K.; Costacou, T.; Becker, D.J.; Orchard, T.J. Persistent C-Peptide Levels and Proliferative Retinopathy in Childhood-Onset Type 1 Diabetes (T1D). Diabetes 2018, 67 (Suppl. 1), 589-P. [Google Scholar] [CrossRef]
- Mann, N.P.; Johnston, D.I.; Reeves, W.G.; Murphy, M.A. Human insulin and porcine insulin in the treatment of diabetic children: Comparison of metabolic control and insulin antibody production. Br. Med. J. (Clin. Res. Ed.) 1983, 287, 1580–1582. [Google Scholar] [CrossRef]
- Pepper, A.R.; Gall, C.; Mazzuca, D.M.; Melling, C.W.; White, D.J. Diabetic rats and mice are resistant to porcine and human insulin: Flawed experimental models for testing islet xenografts. Xenotransplantation 2009, 16, 502–510. [Google Scholar] [CrossRef] [PubMed]
- Grant, C.W.; Duclos, S.K.; Moran-Paul, C.M.; Yahalom, B.; Tirabassi, R.S.; Arreaza-Rubin, G.; Spain, L.M.; Guberski, D.L. Development of standardized insulin treatment protocols for spontaneous rodent models of type 1 diabetes. Comp. Med. 2012, 62, 381–390. [Google Scholar] [PubMed]
- Borland, K.; Mita, M.; Oppenheimer, C.L.; Blinderman, L.A.; Massague, J.; Hall, P.F.; Czech, M.P. The Actions of Insulin-Like Growth Factors I and II on Cultured Sertoli Cells*. Endocrinology 1984, 114, 240–246. [Google Scholar] [CrossRef] [PubMed]
- Lucas, T.F.G.; Nascimento, A.R.; Pisolato, R.; Pimenta, M.T.; Lazari, M.F.M.; Porto, C.S. Receptors and signaling pathways involved in proliferation and differentiation of Sertoli cells. Spermatogenesis 2014, 4, e28138. [Google Scholar] [CrossRef] [PubMed]
- Shim, K.; Begum, R.; Yang, C.; Wang, H. Complement activation in obesity, insulin resistance, and type 2 diabetes mellitus. World J. Diabetes 2020, 11, 1–12. [Google Scholar] [CrossRef]
- King, B.C.; Kulak, K.; Krus, U.; Rosberg, R.; Golec, E.; Wozniak, K.; Gomez, M.F.; Zhang, E.; O’Connell, D.J.; Renström, E.; et al. Complement Component C3 Is Highly Expressed in Human Pancreatic Islets and Prevents β Cell Death via ATG16L1 Interaction and Autophagy Regulation. Cell Metab. 2019, 29, 202–210.e206. [Google Scholar] [CrossRef]
- King, B.C.; Renström, E.; Blom, A.M. Intracellular cytosolic complement component C3 regulates cytoprotective autophagy in pancreatic beta cells by interaction with ATG16L1. Autophagy 2019, 15, 919–921. [Google Scholar] [CrossRef]
- Lo, J.C.; Ljubicic, S.; Leibiger, B.; Kern, M.; Leibiger, I.B.; Moede, T.; Kelly, M.E.; Chatterjee Bhowmick, D.; Murano, I.; Cohen, P.; et al. Adipsin is an adipokine that improves β cell function in diabetes. Cell 2014, 158, 41–53. [Google Scholar] [CrossRef]
- Rudilla, F.; Fayolle, C.; Casares, N.; Durantez, M.; Arribillaga, L.; Lozano, T.; Villanueva, L.; Pio, R.; Sarobe, P.; Leclerc, C.; et al. Combination of a TLR4 ligand and anaphylatoxin C5a for the induction of antigen-specific cytotoxic T cell responses. Vaccine 2012, 30, 2848–2858. [Google Scholar] [CrossRef]
- Fujita, T.; Hemmi, S.; Kajiwara, M.; Yabuki, M.; Fuke, Y.; Satomura, A.; Soma, M. Complement-mediated chronic inflammation is associated with diabetic microvascular complication. Diabetes/Metab. Res. Rev. 2013, 29, 220–226. [Google Scholar] [CrossRef]
- Van Harmelen, V.; Reynisdottir, S.; Cianflone, K.; Degerman, E.; Hoffstedt, J.; Nilsell, K.; Sniderman, A.; Arner, P. Mechanisms involved in the regulation of free fatty acid release from isolated human fat cells by acylation-stimulating protein and insulin. J. Biol. Chem. 1999, 274, 18243–18251. [Google Scholar] [CrossRef]
- Acosta, J.; Hettinga, J.; Flückiger, R.; Krumrei, N.; Goldfine, A.; Angarita, L.; Halperin, J. Molecular basis for a link between complement and the vascular complications of diabetes. Proc. Natl. Acad. Sci. USA 2000, 97, 5450–5455. [Google Scholar] [CrossRef]
- Qin, X.; Goldfine, A.; Krumrei, N.; Grubissich, L.; Acosta, J.; Chorev, M.; Hays, A.P.; Halperin, J.A. Glycation inactivation of the complement regulatory protein CD59: A possible role in the pathogenesis of the vascular complications of human diabetes. Diabetes 2004, 53, 2653–2661. [Google Scholar] [CrossRef]
- Acosta, J.A.; Benzaquen, L.R.; Goldstein, D.J.; Tosteson, M.T.; Halperin, J.A. The transient pore formed by homologous terminal complement complexes functions as a bidirectional route for the transport of autocrine and paracrine signals across human cell membranes. Mol. Med. 1996, 2, 755–765. [Google Scholar]
- Acosta, J.; Qin, X.; Halperin, J. Complement and complement regulatory proteins as potential molecular targets for vascular diseases. Curr. Pharm. Des. 2004, 10, 203–211. [Google Scholar] [CrossRef]
- Doyle, T.J.; Kaur, G.; Putrevu, S.M.; Dyson, E.L.; Dyson, M.; McCunniff, W.T.; Pasham, M.R.; Kim, K.H.; Dufour, J.M. Immunoprotective properties of primary Sertoli cells in mice: Potential functional pathways that confer immune privilege. Biol. Reprod. 2012, 86, 1–14. [Google Scholar] [CrossRef]
- Ghebrehiwet, B. C1q inhibitor (C1qINH): Functional properties and possible relationship to a lymphocyte membrane-associated C1q precipitin. J. Immunol. 1981, 126, 1837–1842. [Google Scholar]
- Chen, A.; Gaddipati, S.; Hong, Y.; Volkman, D.J.; Peerschke, E.I.; Ghebrehiwet, B. Human T cells express specific binding sites for C1q. Role in T cell activation and proliferation. J. Immunol. 1994, 153, 1430. [Google Scholar]
- Zhang, X.; Zhang, F.; Guo, L.; Wang, Y.; Zhang, P.; Wang, R.; Zhang, N.; Chen, R. Interactome analysis reveals that C1QBP (complement component 1, q subcomponent binding protein) is associated with cancer cell chemotaxis and metastasis. Mol. Cell Proteom. 2013, 12, 3199–3209. [Google Scholar] [CrossRef]
- Kim, K.B.; Yi, J.S.; Nguyen, N.; Lee, J.H.; Kwon, Y.C.; Ahn, B.Y.; Cho, H.; Kim, Y.K.; Yoo, H.J.; Lee, J.S.; et al. Cell-surface receptor for complement component C1q (gC1qR) is a key regulator for lamellipodia formation and cancer metastasis. J. Biol. Chem. 2011, 286, 23093–23101. [Google Scholar] [CrossRef]
- Roumenina, L.T.; Daugan, M.V.; Noé, R.; Petitprez, F.; Vano, Y.A.; Sanchez-Salas, R.; Becht, E.; Meilleroux, J.; Clec’h, B.L.; Giraldo, N.A.; et al. Tumor Cells Hijack Macrophage-Produced Complement C1q to Promote Tumor Growth. Cancer Immunol. Res. 2019, 7, 1091–1105. [Google Scholar] [CrossRef]
- Dufour, J.M.; Dass, B.; Halley, K.R.; Korbutt, G.S.; Dixon, D.E.; Rajotte, R.V. Sertoli cell line lacks the immunoprotective properties associated with primary Sertoli cells. Cell Transplant. 2008, 17, 525–534. [Google Scholar] [CrossRef]










| Antibody | Day 20 Post-Transplantation | Day 50 Post-Transplantation | ||
|---|---|---|---|---|
| MSC1-HI | MSC1 | MSC1-HI | MSC1 | |
| IgG | 39.8 | 37.1 | >200 | 173.3 | 
| IgM | 0 | 0 | 2.2 | 28.5 | 
| Complement Factor | Day 20 Post-Transplantation | Day 50 Post-Transplantation | ||
|---|---|---|---|---|
| MSC1-HI | MSC1 | MSC1-HI | MSC1 | |
| C3 | 22.1 | 11.4 | 37.1 | 30.1 | 
| C4 | 19.6 | 4.938 | 37.4 | 10.8 | 
| FB | 0.2983 | 2.478 | 0.2 | 4.625 | 
| C9 | 10.94 | 3.462 | 6.67 | >200 | 
| Complement Component | Levels in Diabetes | Effects in Diabetes | Ref. | 
|---|---|---|---|
| C1q (CP, activation) | Elevated | Apoptosis of adipocytes, increases infiltration of inflammatory macrophages | [37] | 
| C3 (AP, amplification) | Elevated | Insulin resistance; increases diabetic neuropathy, nephropathy, retinopathy, microangiopathy, and atherosclerosis; causes chronic fibrinolysis and thrombosis; important in beta cell protective autophagy | [38,39] | 
| C3a (anaphylatoxin) | Elevated | Increases inflammation and macrophage recruitment, elevates secretion of insulin by beta cells | [40] | 
| C3aR (receptor) | Elevated | Enhances expression of inflammatory mediators and activation of immune cells | [41] | 
| C3a desArg (anaphylatoxin) | Elevated | Stimulates uptake of glucose, lipid storage, and triglyceride synthesis in adipose tissue; promotes microvascular complications in metabolic disorders | [42,43] | 
| Factor D (AP, amplification) | Elevated | Elevated in obesity, leads to increased activation and amplification through the alternative pathway | [37] | 
| MAC (cytolysis) | Elevated | Promotes endothelial dysfunction and production of ROS; stimulates diabetic complications | [44,45,46] | 
| MASP-2 (LP, activation) | Elevated | Promotes endothelial dysfunction, ROS production, and diabetic vascular complications | [44,45] | 
| CD55 (CIP of C3 and C5) | Reduced | Decreases inhibition of C3 and C5 convertases involved in amplification | [47] | 
| CD59 (CIP of MAC) | Reduced | Decreases inhibition of MAC; maintains stability of lipid rafts, basal insulin secretion, and recycling exocytotic core proteins for insulin release | [44,45,47] | 
| Publisher’s Note: MDPI stays neutral with regard to jurisdictional claims in published maps and institutional affiliations. | 
© 2022 by the authors. Licensee MDPI, Basel, Switzerland. This article is an open access article distributed under the terms and conditions of the Creative Commons Attribution (CC BY) license (https://creativecommons.org/licenses/by/4.0/).
Share and Cite
Washburn, R.L.; Hibler, T.; Kaur, G.; Sabu-Kurian, A.; Landefeld, A.; Dufour, J.M. Immunoregulatory Sertoli Cell Allografts Engineered to Express Human Insulin Survive Humoral-Mediated Rejection. Int. J. Mol. Sci. 2022, 23, 15894. https://doi.org/10.3390/ijms232415894
Washburn RL, Hibler T, Kaur G, Sabu-Kurian A, Landefeld A, Dufour JM. Immunoregulatory Sertoli Cell Allografts Engineered to Express Human Insulin Survive Humoral-Mediated Rejection. International Journal of Molecular Sciences. 2022; 23(24):15894. https://doi.org/10.3390/ijms232415894
Chicago/Turabian StyleWashburn, Rachel L., Taylor Hibler, Gurvinder Kaur, Anna Sabu-Kurian, Alissa Landefeld, and Jannette M. Dufour. 2022. "Immunoregulatory Sertoli Cell Allografts Engineered to Express Human Insulin Survive Humoral-Mediated Rejection" International Journal of Molecular Sciences 23, no. 24: 15894. https://doi.org/10.3390/ijms232415894
APA StyleWashburn, R. L., Hibler, T., Kaur, G., Sabu-Kurian, A., Landefeld, A., & Dufour, J. M. (2022). Immunoregulatory Sertoli Cell Allografts Engineered to Express Human Insulin Survive Humoral-Mediated Rejection. International Journal of Molecular Sciences, 23(24), 15894. https://doi.org/10.3390/ijms232415894
 
        




 
       