Effects of Luteolin on Biofilm of Trueperella pyogenes and Its Therapeutic Effect on Rat Endometritis
Abstract
1. Introduction
2. Results
2.1. Anti-Biofilm Activity of Luteolin on T. pyogenes Biofilm
2.2. Effect of Luteolin on Biofilm-Associated Gene Expression of T. pyogenes
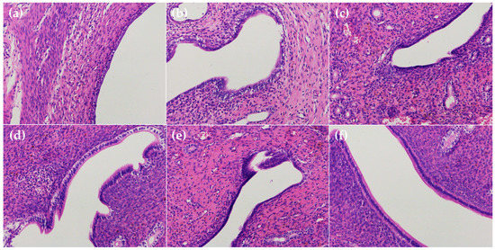
2.3. In Vivo Treatment of Luteolin on Rat Infectious of T. pyogenes (BMH06-3) Biofilm-Associated Endometritis
3. Discussion
4. Materials and Methods
4.1. Drug and Bacterial Strain Information
4.2. Biofilm Susceptibility Test
4.3. Biofilm Imaging
4.4. Biofilm-Associated Gene Expression Analysis
4.5. Animal Experiment
Supplementary Materials
Author Contributions
Funding
Institutional Review Board Statement
Informed Consent Statement
Data Availability Statement
Acknowledgments
Conflicts of Interest
References
- Zambrano-Nava, S.; Boscán-Ocando, J.; Nava, J. Normal bacterial flora from vaginas of Criollo Limonero cows. Trop. Anim. Health Prod. 2011, 43, 291–294. [Google Scholar] [CrossRef] [PubMed]
- Ribeiro, M.G.; Risseti, R.M.; Bolaños, C.A.; Caffaro, K.A.; de Morais, A.C.; Lara, G.H.; Zamprogna, T.O.; Paes, A.C.; Listoni, F.J.; Franco, M.M. Trueperella pyogenes multispecies infections in domestic animals: A retrospective study of 144 cases (2002 to 2012). Vet. Q 2015, 35, 82–87. [Google Scholar] [CrossRef] [PubMed]
- Galán-Relaño, Á.; Gómez-Gascón, L.; Barrero-Domínguez, B.; Luque, I.; Jurado-Martos, F.; Vela, A.I.; Sanz-Tejero, C.; Tarradas, C. Antimicrobial susceptibility of Trueperella pyogenes isolated from food-producing ruminants. Vet. Microbiol. 2020, 242, 108593. [Google Scholar] [CrossRef]
- Liu, M.; Wang, B.; Liang, H.; Ma, B.; Wang, J.; Zhang, W. Determination of the expression of three fimbrial subunit proteins in cultured Trueperella pyogenes. Acta Vet. Scand. 2018, 60, 53. [Google Scholar] [CrossRef]
- Ishiyama, D.; Mizomoto, T.; Ueda, C.; Takagi, N.; Shimizu, N.; Matsuura, Y.; Makuuchi, Y.; Watanabe, A.; Shinozuka, Y.; Kawai, K. Factors affecting the incidence and outcome of Trueperella pyogenes mastitis in cows. J. Vet. Med. Sci. 2017, 79, 626–631. [Google Scholar] [CrossRef]
- Amachawadi, R.G.; Nagaraja, T.G. Liver abscesses in cattle: A review of incidence in Holsteins and of bacteriology and vaccine approaches to control in feedlot cattle. J. Anim. Sci. 2016, 94, 1620–1632. [Google Scholar] [CrossRef]
- Tamai, I.A.; Mohammadzadeh, A.; Salehi, T.Z.; Mahmoodi, P.; Pakbin, B. Expression of virulence factor genes in co-infections with Trueperella pyogenes isolates and other bacterial pathogens; an in vivo study. Microb. Pathog. 2022, 164, 105435. [Google Scholar] [CrossRef] [PubMed]
- Rzewuska, M.; Kwiecień, E.; Chrobak-Chmiel, D.; Kizerwetter-Świda, M.; Stefańska, I.; Gieryńska, M. Pathogenicity and Virulence of Trueperella pyogenes: A Review. Int. J. Mol. Sci. 2019, 20, 2737. [Google Scholar] [CrossRef]
- Sheldon, I.M.; Lewis, G.S.; LeBlanc, S.; Gilbert, R.O. Defining postpartum uterine disease in cattle. Theriogenology 2006, 65, 1516–1530. [Google Scholar] [CrossRef]
- Galvão, K.N.; Bicalho, R.C.; Jeon, S.J. Symposium review: The uterine microbiome associated with the development of uterine disease in dairy cows. J. Dairy Sci. 2019, 102, 11786–11797. [Google Scholar] [CrossRef]
- Pascottini, O.B.; Van Schyndel, S.J.; Spricigo, J.; Rousseau, J.; Weese, J.S.; LeBlanc, S.J. Dynamics of uterine microbiota in postpartum dairy cows with clinical or subclinical endometritis. Sci. Rep. 2020, 10, 12353. [Google Scholar] [CrossRef] [PubMed]
- Ernstberger, M.; Oehl, H.; Haessig, M.; Hartnack, S.; Bollwein, H. Predicting the probability of conception in dairy cows with clinical endometritis based on a combination of anamnestic information and examination results. Theriogenology 2019, 138, 127–136. [Google Scholar] [CrossRef] [PubMed]
- Zhang, Z.; Liang, Y.; Yu, L.; Chen, M.; Guo, Y.; Kang, Z.; Qu, C.; Tian, C.; Zhang, D.; Liu, M. TatD DNases Contribute to Biofilm Formation and Virulence in Trueperella pyogenes. Front. Microbiol. 2021, 12, 758465. [Google Scholar] [CrossRef] [PubMed]
- Wang, G.; Zhao, G.; Chao, X.; Xie, L.; Wang, H. The Characteristic of Virulence, Biofilm and Antibiotic Resistance of Klebsiella pneumoniae. Int. J. Environ. Res. Public Health 2020, 17, 6278. [Google Scholar] [CrossRef] [PubMed]
- Jamal, M.; Ahmad, W.; Andleeb, S.; Jalil, F.; Imran, M.; Nawaz, M.A.; Hussain, T.; Ali, M.; Rafiq, M.; Kamil, M.A. Bacterial biofilm and associated infections. J. Chin. Med. Assoc. 2018, 81, 7–11. [Google Scholar] [CrossRef] [PubMed]
- Otto, M. Staphylococcal Biofilms. Microbiol. Spectr. 2018, 6. [Google Scholar] [CrossRef]
- Ahire, J.J.; Dicks, L.M. Nisin Incorporated With 2,3-Dihydroxybenzoic Acid in Nanofibers Inhibits Biofilm Formation by a Methicillin-Resistant Strain of Staphylococcus aureus. Probiotics Antimicrob. Proteins 2015, 7, 52–59. [Google Scholar] [CrossRef]
- Carbone, A.; Parrino, B.; Cusimano, M.G.; Spanò, V.; Montalbano, A.; Barraja, P.; Schillaci, D.; Cirrincione, G.; Diana, P.; Cascioferro, S. New Thiazole Nortopsentin Analogues Inhibit Bacterial Biofilm Formation. Mar. Drugs 2018, 16, 274. [Google Scholar] [CrossRef]
- Kumar, P.; Lee, J.H.; Beyenal, H.; Lee, J. Fatty Acids as Antibiofilm and Antivirulence Agents. Trends Microbiol. 2020, 28, 753–768. [Google Scholar] [CrossRef]
- Wood, T.K. Strategies for combating persister cell and biofilm infections. Microb. Biotechnol. 2017, 10, 1054–1056. [Google Scholar] [CrossRef]
- Zhao, Y.; Li, H.; Wei, S.; Zhou, X.; Xiao, X. Antimicrobial Effects of Chemical Compounds Isolated from Traditional Chinese Herbal Medicine (TCHM) Against Drug-Resistant Bacteria: A Review Paper. Mini Rev. Med. Chem. 2019, 19, 125–137. [Google Scholar] [CrossRef] [PubMed]
- Guo, Y.; Liu, Y.; Zhang, Z.; Chen, M.; Zhang, D.; Tian, C.; Liu, M.; Jiang, G. The Antibacterial Activity and Mechanism of Action of Luteolin Against Trueperella pyogenes. Infect. Drug Resist. 2020, 13, 1697–1711. [Google Scholar] [CrossRef] [PubMed]
- Zhang, D.; Gao, X.; Song, X.; Zhou, W.; Hong, W.; Tian, C.; Liu, Y.; Liu, M. Luteolin Showed a Resistance Elimination Effect on Gentamicin by Decreasing MATE mRNA Expression in Trueperella pyogenes. Microb. Drug Resist. 2019, 25, 619–626. [Google Scholar] [CrossRef] [PubMed]
- Guo, Y.; Huang, C.; Su, H.; Zhang, Z.; Chen, M.; Wang, R.; Zhang, D.; Zhang, L.; Liu, M. Luteolin increases susceptibility to macrolides by inhibiting MsrA efflux pump in Trueperella pyogenes. Vet. Res. 2022, 53, 3. [Google Scholar] [CrossRef] [PubMed]
- Shen, X.F.; Ren, L.B.; Teng, Y.; Zheng, S.; Yang, X.L.; Guo, X.J.; Wang, X.Y.; Sha, K.H.; Li, N.; Xu, G.Y.; et al. Luteolin decreases the attachment, invasion and cytotoxicity of UPEC in bladder epithelial cells and inhibits UPEC biofilm formation. Food Chem. Toxicol. 2014, 72, 204–211. [Google Scholar] [CrossRef] [PubMed]
- Fu, Y.; Wang, W.; Zeng, Q.; Wang, T.; Qian, W. Antibiofilm Efficacy of Luteolin Against Single and Dual Species of Candida albicans and Enterococcus faecalis. Front. Microbiol. 2021, 12, 715156. [Google Scholar] [PubMed]
- Zhang, Z.; Guo, Y.; Guo, Y.; Zhang, L.; Niu, S.; Tian, C.; Han, L.; Zhang, D.; Liu, M. Molecular Basis for Luteolin as a Natural TatD DNase Inhibitor in Trueperella pyogenes. Int. J. Mol. Sci. 2022, 23, 8374. [Google Scholar] [CrossRef]
- Donlan, R.M. Biofilms: Microbial life on surfaces. Emerg. Infect. Dis. 2002, 8, 881–890. [Google Scholar] [CrossRef]
- Girard, G.; Bloemberg, G.V. Central role of quorum sensing in regulating the production of pathogenicity factors in Pseudomonas aeruginosa. Future Microbiol. 2008, 3, 97–106. [Google Scholar] [CrossRef]
- Hall, C.W.; Mah, T.F. Molecular mechanisms of biofilm-based antibiotic resistance and tolerance in pathogenic bacteria. FEMS Microbiol. Rev. 2017, 41, 276–301. [Google Scholar] [CrossRef]
- Xiong, J.; Wang, K.; Yuan, C.; Xing, R.; Ni, J.; Hu, G.; Chen, F.; Wang, X. Luteolin protects mice from severe acute pancreatitis by exerting HO-1-mediated anti-inflammatory and antioxidant effects. Int. J. Mol. Med. 2017, 39, 113–125. [Google Scholar] [CrossRef] [PubMed]
- Sharma, D.; Misba, L.; Khan, A.U. Antibiotics versus biofilm: An emerging battleground in microbial communities. Antimicrob. Resist. Infect. Control 2019, 8, 76. [Google Scholar] [CrossRef] [PubMed]
- Zhao, K.; Li, W.; Huang, T.; Song, X.; Zhang, X.; Yue, B. Comparative transcriptome analysis of Trueperella pyogenes reveals a novel antimicrobial strategy. Arch. Microbiol. 2017, 199, 649–655. [Google Scholar] [CrossRef]
- Shao, H.; Lamont, R.J.; Demuth, D.R. Autoinducer 2 is required for biofilm growth of Aggregatibacter (Actinobacillus) actinomycetemcomitans. Infect. Immun. 2007, 75, 4211–4218. [Google Scholar] [CrossRef] [PubMed]
- Sun, Y.; Li, Y.; Luo, Q.; Huang, J.; Chen, J.; Zhang, R.; Wang, X. LuxS/AI-2 Quorum Sensing System in Edwardsiella piscicida Promotes Biofilm Formation and Pathogenicity. Infect. Immun. 2020, 88, e00907-19. [Google Scholar] [CrossRef] [PubMed]
- Yadav, M.K.; Vidal, J.E.; Go, Y.Y.; Kim, S.H.; Chae, S.W.; Song, J.J. The LuxS/AI-2 Quorum-Sensing System of Streptococcus pneumoniae Is Required to Cause Disease, and to Regulate Virulence- and Metabolism-Related Genes in a Rat Model of Middle Ear Infection. Front. Cell. Infect. Microbiol. 2018, 8, 138. [Google Scholar] [CrossRef] [PubMed]
- Li, Y.; Ma, X.; Yang, J.; Wu, X.; Yan, Z.; He, B. Expression Pattern of Cathelicidins in Dairy Cows During Endometritis and Role of Bovine Endometrial Epithelial Cells in Production of Cathelicidins. Front. Vet. Sci. 2021, 8, 675669. [Google Scholar] [CrossRef]
- Zhang, Y.; Su, N.; Liu, W.; Wang, Q.; Sun, J.; Peng, Y. Metabolomics Study of Guizhi Fuling Capsules in Rats with Cold Coagulation Dysmenorrhea. Front. Pharmacol. 2021, 12, 764904. [Google Scholar] [CrossRef]
- Lodhi, S.; Vadnere, G.P.; Patil, K.D.; Patil, T.P. Protective effects of luteolin on injury induced inflammation through reduction of tissue uric acid and pro-inflammatory cytokines in rats. J. Tradit. Complement. Med. 2019, 10, 60–69. [Google Scholar] [CrossRef]
- Conti, P.; Caraffa, A.; Gallenga, C.E.; Ross, R.; Kritas, S.K.; Frydas, I.; Younes, A.; Di Emidio, P.; Ronconi, G.; Pandolfi, F. Powerful anti-inflammatory action of luteolin: Potential increase with IL-38. Biofactors 2021, 47, 165–169. [Google Scholar] [CrossRef]
- Zhang, D.; Zhao, J.; Wang, Q.; Liu, Y.; Tian, C.; Zhao, Y.; Yu, L.; Liu, M. Trueperella pyogenes isolated from dairy cows with endometritis in Inner Mongolia, China: Tetracycline susceptibility and tetracycline-resistance gene distribution. Microb. Pathog. 2017, 105, 51–56. [Google Scholar] [CrossRef] [PubMed]
- Xu, D.; Xiong, H.; Xiao, Z.; He, J.; Liao, Q.; Xue, L.; Wang, N.; Yang, Q. Uterine cytokine profile in a rat model of endometritis. Am. J. Reprod. Immunol. 2015, 73, 214–220. [Google Scholar] [CrossRef] [PubMed]
- Willcox, M.D. Microbial adhesion to silicone hydrogel lenses: A review. Eye Contact Lens. 2013, 39, 61–66. [Google Scholar] [CrossRef] [PubMed]








| T. pyogenes | MIC (μg/mL) | MBIC (μg/mL) | MBEC (μg/mL) |
|---|---|---|---|
| ATCC19411 | 78 | 78 | 156 |
| HC03-1 | 78 | 78 | 156 |
| HC-H01-4 | 78 | 156 | 312 |
| HC-H08-1 | 78 | 156 | 312 |
| HC-H03-3 | 78 | 156 | 312 |
| HC-H13-2 | 78 | 156 | 312 |
| BMH06-3 | 78 | 156 | 312 |
| BMH05-5 | 39 | 156 | 312 |
| RY11-3 | 78 | 156 | 156 |
| Groups | Total Leukocyte (109/L) | Lymphocyte (%) | Monocyte (%) | Neutrophil (%) |
|---|---|---|---|---|
| Reference range | 8.93–6.42 | 63.16–38.36 | 2.55–0.00 | 53.30–32.59 |
| Control (C) | 7.35 ± 1.97 | 56.24 ± 6.21 | 1.12 ± 0.08 | 34.65 ± 1.57 |
| Endometritis (E) | 11.52 ± 4.54 | 35.67 ± 2.15 | 2.61 ± 0.97 | 59.31 ± 9.46 |
| Ceftiofur (CE) | 8.62 ± 2.71 | 46.24 ± 2.18 | 1.91 ± 0.15 | 41.26 ± 3.21 |
| Luteolin (L) | 7.98 ± 2.16 | 49.21 ± 6.21 | 2.01 ± 0.61 | 43.26 ± 4.67 |
| Luteolin (M) | 7.61 ± 4.51 | 57.21 ± 4.79 | 1.32 ± 0.12 | 31.58 ± 2.37 |
| Luteolin (H) | 9.87 ± 3.14 | 39.46 ± 4.12 | 1.16 ± 0.24 | 53.18 ± 2.18 |
| T. pyogenes Isolates | Source |
|---|---|
| HC03-1 | Endometritis |
| HC-H01-4 | Endometritis |
| HC-H08-1 | Endometritis |
| HC-H03-3 | Endometritis |
| HC-H13-2 | Endometritis |
| BMH06-3 | Endometritis |
| BMH05-5 | Endometritis |
| RY11-3 | Endometritis |
| HC03-1 | Endometritis |
| Gene | Primer Sequence | |
|---|---|---|
| luxS | F | ACGCAACCACGCCGATAACG |
| R | CGCAAGGTGACCTCGATCAGTTC | |
| plo | F | TTGCCTCCAGTTGACGCTTTGAC |
| R | GCCTTCTCGACGGTTGGATTCAG | |
| rbsB | F | TCGTGTTTGCCGCTTTGGAC |
| R | AACCGTGGTGACCGGAATGT | |
| lsrB | F | GGTTCTCAACGCCAAATGCTATGAAG |
| R | CGCCGACCTTGATAGATTTACCAGAG | |
| gapA | F | CGGCGAAGAACGAGGACATCAC |
| R | GTCGGCAGTGTAGGCGTGAAC |
Publisher’s Note: MDPI stays neutral with regard to jurisdictional claims in published maps and institutional affiliations. |
© 2022 by the authors. Licensee MDPI, Basel, Switzerland. This article is an open access article distributed under the terms and conditions of the Creative Commons Attribution (CC BY) license (https://creativecommons.org/licenses/by/4.0/).
Share and Cite
Zhang, L.; Cai, Y.; Li, L.; Chen, C.; Zhao, H.; Zhang, Z.; Liu, Y.; Wang, Y.; Tian, C.; Liu, M. Effects of Luteolin on Biofilm of Trueperella pyogenes and Its Therapeutic Effect on Rat Endometritis. Int. J. Mol. Sci. 2022, 23, 14451. https://doi.org/10.3390/ijms232214451
Zhang L, Cai Y, Li L, Chen C, Zhao H, Zhang Z, Liu Y, Wang Y, Tian C, Liu M. Effects of Luteolin on Biofilm of Trueperella pyogenes and Its Therapeutic Effect on Rat Endometritis. International Journal of Molecular Sciences. 2022; 23(22):14451. https://doi.org/10.3390/ijms232214451
Chicago/Turabian StyleZhang, Luyao, Yitong Cai, Lishuang Li, Chen Chen, Hanyu Zhao, Zehui Zhang, Yaochuan Liu, Yingyu Wang, Chunlian Tian, and Mingchun Liu. 2022. "Effects of Luteolin on Biofilm of Trueperella pyogenes and Its Therapeutic Effect on Rat Endometritis" International Journal of Molecular Sciences 23, no. 22: 14451. https://doi.org/10.3390/ijms232214451
APA StyleZhang, L., Cai, Y., Li, L., Chen, C., Zhao, H., Zhang, Z., Liu, Y., Wang, Y., Tian, C., & Liu, M. (2022). Effects of Luteolin on Biofilm of Trueperella pyogenes and Its Therapeutic Effect on Rat Endometritis. International Journal of Molecular Sciences, 23(22), 14451. https://doi.org/10.3390/ijms232214451

