Bioluminescence Production by Turnip Yellows Virus Infectious Clones: A New Way to Monitor Plant Virus Infection
Abstract
1. Introduction
2. Results
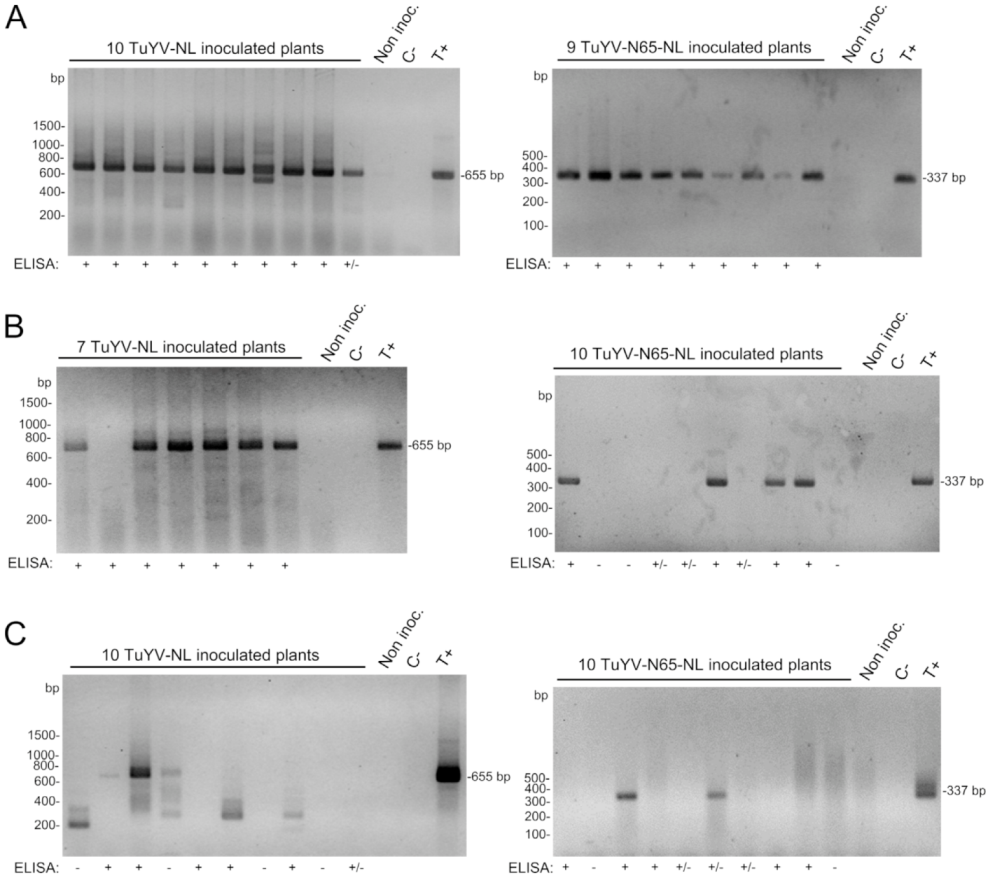
2.1. Infectivity of TuYV-NL and TuYV-N65-NL in Agro-Inoculated Leaves and in Systemic Leaves
2.2. Functional Characterization: Bioluminescence Observation in Nicotiana Benthamiana
3. Discussion
4. Materials and Methods
4.1. Cloning of TuYV-N65-NL and TuYV-NL
4.2. Cloning of C66-NanoLuc Domain in Binary Vector for Agro-Infiltration and Plant Transformation
4.3. Nicotiana Benthamiana Transformation
4.4. Plant Growth and Inoculation
4.5. Western Blot
4.6. Virus Detection by DAS-ELISA
4.7. Analysis of Viral Progeny by RT-PCR
4.8. Virus Detection by Bioluminescence
Supplementary Materials
Author Contributions
Funding
Institutional Review Board Statement
Informed Consent Statement
Data Availability Statement
Acknowledgments
Conflicts of Interest
References
- Bortolamiol-Bécet, D.; Monsion, B.; Chapuis, S.; Hleibieh, K.; Scheidecker, D.; Alioua, A.; Bogaert, F.; Revers, F.; Brault, V.; Ziegler-Graff, V. Phloem-Triggered Virus-Induced Gene Silencing Using a Recombinant Polerovirus. Front. Microbiol. 2018, 9, 2449. [Google Scholar] [CrossRef] [PubMed]
- Bedoya, L.C.; Martínez, F.; Orzáez, D.; Daròs, J.-A. Visual tracking of plant virus infection and movement using a reporter MYB transcription factor that activates anthocyanin biosynthesis. Plant Physiol. 2012, 158, 1130–1138. [Google Scholar] [CrossRef] [PubMed]
- Berg, R.H.; Beachy, R.N. Fluorescent protein applications in plants. Methods Cell Biol. 2008, 85, 153–177. [Google Scholar] [CrossRef] [PubMed]
- Matevz, R.; Florence, F.; Michel, T.; Ion, G.-A.; Agnès, D.; Laurent, G.; Maja, K.; David, D.; Kristina, G.; Emmanuel, J.; et al. Fluorescently Tagged Potato virus Y: A Versatile Tool for Functional Analysis of Plant-Virus Interactions. Mol. Plant Microbe Interact. 2015, 28, 739–750. [Google Scholar] [CrossRef]
- Tian, J.; Pei, H.; Zhang, S.; Chen, J.; Chen, W.; Yang, R.; Meng, Y.; You, J.; Gao, J.; Ma, N. TRV-GFP: A modified Tobacco rattle virus vector for efficient and visualizable analysis of gene function. J. Exp. Bot. 2014, 65, 311–322. [Google Scholar] [CrossRef]
- Chan, K.; Robinson, M.; Yang, H.; Cornew, S.; Delaney Iv, W.E. Development of a robust luciferase reporter 1b/2a hepatitis C virus (HCV) for characterization of early stage HCV life cycle inhibitors. Antivir. Res 2013, 98, 85–92. [Google Scholar] [CrossRef]
- Uyar, O.; Plante, P.-L.; Piret, J.; Venable, M.-C.; Carbonneau, J.; Corbeil, J.; Boivin, G. A novel bioluminescent herpes simplex virus 1 for in vivo monitoring of herpes simplex encephalitis. Sci. Rep. 2021, 11, 18688. [Google Scholar] [CrossRef]
- Suree, N.; Koizumi, N.; Sahakyan, A.; Shimizu, S.; An, D.S. A novel HIV-1 reporter virus with a membrane-bound Gaussia princeps luciferase. J Virol. Methods 2012, 183, 49–56. [Google Scholar] [CrossRef][Green Version]
- Zou, G.; Xu, H.Y.; Qing, M.; Wang, Q.-Y.; Shi, P.-Y. Development and characterization of a stable luciferase dengue virus for high-throughput screening. Antivir. Res 2011, 91, 11–19. [Google Scholar] [CrossRef]
- Eskelin, K.; Suntio, T.; Hyvärinen, S.; Hafren, A.; Mäkinen, K. Renilla luciferase-based quantitation of Potato virus A infection initiated with Agrobacterium infiltration of N. benthamiana leaves. J. Virol. Methods 2010, 164, 101–110. [Google Scholar] [CrossRef]
- Manicassamy, B.; Manicassamy, S.; Belicha-Villanueva, A.; Pisanelli, G.; Pulendran, B.; García-Sastre, A. Analysis of in vivo dynamics of influenza virus infection in mice using a GFP reporter virus. Proc. Natl. Acad. Sci. USA 2010, 107, 11531–11536. [Google Scholar] [CrossRef]
- Zhao, Y.; Hammond, J.; Tousignant, M.E.; Hammond, R.W. Development and evaluation of a complementation-dependent gene delivery system based on cucumber mosaic virus. Arch. Virol. 2000, 145, 2285–2295. [Google Scholar] [CrossRef]
- Hall, M.P.; Unch, J.; Binkowski, B.F.; Valley, M.P.; Butler, B.L.; Wood, M.G.; Otto, P.; Zimmerman, K.; Vidugiris, G.; Machleidt, T.; et al. Engineered luciferase reporter from a deep sea shrimp utilizing a novel imidazopyrazinone substrate. ACS Chem. Biol. 2012, 7, 1848–1857. [Google Scholar] [CrossRef]
- Zhao, J.; Nelson, T.J.; Vu, Q.; Truong, T.; Stains, C.I. Self-Assembling NanoLuc Luciferase Fragments as Probes for Protein Aggregation in Living Cells. ACS Chem. Biol. 2016, 11, 132–138. [Google Scholar] [CrossRef]
- Leiser, R.M.; Ziegler-Graff, V.; Reutenauer, A.; Herrbach, E.; Lemaire, O.; Guilley, H.; Richards, K.; Jonard, G. Agroinfection as an alternative to insects for infecting plants with beet western yellows luteovirus. Proc. Natl. Acad. Sci. USA 1992, 89, 9136–9140. [Google Scholar] [CrossRef]
- Brault, V.; van den Heuvel, J.F.; Verbeek, M.; Ziegler-Graff, V.; Reutenauer, A.; Herrbach, E.; Garaud, J.C.; Guilley, H.; Richards, K.; Jonard, G. Aphid transmission of beet western yellows luteovirus requires the minor capsid read-through protein P74. EMBO J. 1995, 14, 650–659. [Google Scholar] [CrossRef]
- Bruyère, A.; Brault, V.; Ziegler-Graff, V.; Simonis, M.T.; Van den Heuvel, J.F.; Richards, K.; Guilley, H.; Jonard, G.; Herrbach, E. Effects of mutations in the beet western yellows virus readthrough protein on its expression and packaging and on virus accumulation, symptoms, and aphid transmission. Virology 1997, 230, 323–334. [Google Scholar] [CrossRef]
- Rodriguez-Medina, C.; Boissinot, S.; Chapuis, S.; Gereige, D.; Rastegar, M.; Erdinger, M.; Revers, F.; Ziegler-Graff, V.; Brault, V. A protein kinase binds the C-terminal domain of the readthrough protein of Turnip yellows virus and regulates virus accumulation. Virology 2015, 486, 44–53. [Google Scholar] [CrossRef]
- Boissinot, S.; Pichon, E.; Sorin, C.; Piccini, C.; Scheidecker, D.; Ziegler-Graff, V.; Brault, V. Systemic Propagation of a Fluorescent Infectious Clone of a Polerovirus Following Inoculation by Agrobacteria and Aphids. Viruses 2017, 9, 166. [Google Scholar] [CrossRef]
- Revollon, S.; Strub, J.M.; Fitchette, A.-C.; Wiss, L.; Gomord, V.; Van Dorsselaer, A.; Brault, V. A reinvestigation provides no evidence for sugar residues on structural proteins of poleroviruses and argues against a role for glycosylation of virus structural proteins in aphid transmission. Virology 2010, 402, 303–314. [Google Scholar] [CrossRef]
- Boissinot, S.; Brault, V.; Herrbach, E. Luteovirids. In eLS; John Wiley & Sons, Ltd.: Hoboken, NJ, USA, 2020; pp. 327–339. ISBN 978-0-470-01590-2. [Google Scholar]
- Xu, Y.; Ju, H.-J.; DeBlasio, S.; Carino, E.J.; Johnson, R.; MacCoss, M.J.; Heck, M.; Miller, W.A.; Gray, S.M. A Stem-Loop Structure in Potato Leafroll Virus Open Reading Frame 5 (ORF5) Is Essential for Readthrough Translation of the Coat Protein ORF Stop Codon 700 Bases Upstream. J. Virol. 2018, 92, e01544-17. [Google Scholar] [CrossRef] [PubMed]
- Hipper, C.; Monsion, B.; Bortolamiol-Bécet, D.; Ziegler-Graff, V.; Brault, V. Formation of virions is strictly required for turnip yellows virus long-distance movement in plants. J. Gen. Virol. 2014, 95, 496–505. [Google Scholar] [CrossRef] [PubMed]
- Kupcho, K.; Shultz, J.; Hurst, R.; Hartnett, J.; Zhou, W.; Machleidt, T.; Grailer, J.; Worzella, T.; Riss, T.; Lazar, D.; et al. A real-time, bioluminescent annexin V assay for the assessment of apoptosis. Apoptosis 2019, 24, 184–197. [Google Scholar] [CrossRef] [PubMed]
- Schwinn, M.K.; Machleidt, T.; Zimmerman, K.; Eggers, C.T.; Dixon, A.S.; Hurst, R.; Hall, M.P.; Encell, L.P.; Binkowski, B.F.; Wood, K.V. CRISPR-Mediated Tagging of Endogenous Proteins with a Luminescent Peptide. ACS Chem. Biol. 2018, 13, 467–474. [Google Scholar] [CrossRef] [PubMed]
- Veidt, I.; Bouzoubaa, S.E.; Leiser, R.M.; Ziegler-Graff, V.; Guilley, H.; Richards, K.; Jonard, G. Synthesis of full-length transcripts of beet western yellows virus RNA: Messenger properties and biological activity in protoplasts. Virology 1992, 186, 192–200. [Google Scholar] [CrossRef]
- Curtis, M.D.; Grossniklaus, U. A gateway cloning vector set for high-throughput functional analysis of genes in planta. Plant Physiol. 2003, 133, 462–469. [Google Scholar] [CrossRef]
- English, J.; Davenport, G.; Elmayan, T.; Vaucheret, H.; Baulcombe, D. Requirement of sense transcription for homology-dependent virus resistance and trans-inactivation. Plant J. 1997, 12, 597–603. [Google Scholar] [CrossRef]
- Reutenauer, A.; Ziegler-Graff, V.; Lot, H.; Scheidecker, D.; Guilley, H.; Richards, K.; Jonard, G. Identification of beet western yellows luteovirus genes implicated in viral replication and particle morphogenesis. Virology 1993, 195, 692–699. [Google Scholar] [CrossRef]
- Laemmli, U.K. Cleavage of Structural Proteins during the Assembly of the Head of Bacteriophage T4. Nature 1970, 227, 680–685. [Google Scholar] [CrossRef]






| Virus | OD405nm ± SD |
|---|---|
| TuYV-N65-NL | 1.46 ± 0.21 |
| TuYV-NL | 1.55 ± 0.01 |
| Wild type TuYV | 1.47 ± 0.22 |
| Not inoculated | 0.11 ± 0.01 |
| Nicotiana benthamiana | Montia perfoliata | Arabidopsis thaliana | ||||||||||||
|---|---|---|---|---|---|---|---|---|---|---|---|---|---|---|
| Exp. 1 | Exp. 2 | Exp. 1 | Exp. 2 | Exp. 1 | Exp. 2 | Exp. 3 | ||||||||
| Nb pl. inf./ pl. inoc. 1 | OD ± SD 2 | Nb pl. inf./ pl. inoc. 1 | OD ± SD 2 | Nb pl. inf./ pl. inoc. 1 | OD ± SD 2 | Nb pl. inf./ pl. inoc. 1 | OD ± SD 2 | Nb pl. inf./ pl. inoc. 1 | OD ± SD 2 | Nb pl. inf./ pl. inoc. 1 | OD ± SD 2 | Nb pl. inf./ pl. inoc. 1 | OD ± SD 2 | |
| TuYV-NL | 10/10 (100%) | 0.63 ± 0.25 | 9/10 (90%) | 0.61 ± 0.10 | 7/7 (100%) ** | 0.87 ± 0.52 | 9/10 (90%) ** | 0.70 ± 0.25 | 5/10 (50%) ** | 0.21 ± 0.09 | 4/10 (40%) ** | 0.39 ± 0.16 | ||
| TuYV-WT | 8/8 (100%) | 0.83 ± 0.26 | 8/8 (100%) | 0.80 ± 0.14 | 4/7 (57%) | 0.79 ± 0.40 | 6/10 (60%) | 1.18 ± 0.23 | 10/10 (100%) | 1.02 ± 0.14 | 8/10 (80%) | 0.91 ± 0.20 | ||
| Non-inoc. 3 | 0/3 | 0.11 ± 0.00 | 0/3 | 0.10 ± 0.00 | 0/3 | 0.11 ± 0.00 | 0/1 | 0.11 | 0/3 | 0.05 ± 0.00 | 0/1 | 0.11 | ||
| TuYV-N65-NL | 9/10 (90%) | 1.05 ± 0.44 | 9/9 (100%) | 1.35 ± 0.17 | 5/10 (50%) | 0.99 ± 0.67 | 4/10 (40%) | 0.99 ± 0.35 | 0/10 (0%) *** | / | 1/15 (6.7%) *** | 0.28 | 4/10 (40%) | 0.56 ± 0.41 |
| TuYV-WT | 10/10 (100%) | 0.81 ± 0.16 | 10/10 (100%) | 1.22 ± 0.28 | 6/10 (60%) | 1.93 ± 0.41 | 8/10 (80%) | 1.21 ± 0.20 | 7/10 (70%) | 1.08 ± 0.62 | 11/15 (73.3%) | 1.69 ± 1.10 | 7/10 (70%) | 2.66 ± 0.26 |
| Non-inoc. 3 | 0/3 | 0.10± 0.00 | 0/3 | 0.14 ± 0.00 | 0/2 | 0.10 ± 0.00 | 0/3 | 0.13 ± 0.01 | 0/2 | 0.10 ± 0.00 | 0/3 | 0.12 ± 0.00 | 0/3 | 0.124 ± 0.01 |
| Line 1 | Line 3 | |||
|---|---|---|---|---|
| Nb pl. inf./ pl. inoc. 1 | OD ± SD 2 | Nb pl. inf./ pl. inoc. 1 | OD ± SD 2 | |
| ocTuYV-N65-NL | 7/10 (70%) | 0.92 ± 0.34 | 9/10 (90%) | 0.82 ± 0.35 |
| TuYV-WT | 10/10 (100%) | 0.99 ± 0.20 | 10/10 (100%) | 0.88 ± 0.15 |
| Non-inoculated | 0/3 | 0.10± 0.00 | ||
Publisher’s Note: MDPI stays neutral with regard to jurisdictional claims in published maps and institutional affiliations. |
© 2022 by the authors. Licensee MDPI, Basel, Switzerland. This article is an open access article distributed under the terms and conditions of the Creative Commons Attribution (CC BY) license (https://creativecommons.org/licenses/by/4.0/).
Share and Cite
Boissinot, S.; Ducousso, M.; Brault, V.; Drucker, M. Bioluminescence Production by Turnip Yellows Virus Infectious Clones: A New Way to Monitor Plant Virus Infection. Int. J. Mol. Sci. 2022, 23, 13685. https://doi.org/10.3390/ijms232213685
Boissinot S, Ducousso M, Brault V, Drucker M. Bioluminescence Production by Turnip Yellows Virus Infectious Clones: A New Way to Monitor Plant Virus Infection. International Journal of Molecular Sciences. 2022; 23(22):13685. https://doi.org/10.3390/ijms232213685
Chicago/Turabian StyleBoissinot, Sylvaine, Marie Ducousso, Véronique Brault, and Martin Drucker. 2022. "Bioluminescence Production by Turnip Yellows Virus Infectious Clones: A New Way to Monitor Plant Virus Infection" International Journal of Molecular Sciences 23, no. 22: 13685. https://doi.org/10.3390/ijms232213685
APA StyleBoissinot, S., Ducousso, M., Brault, V., & Drucker, M. (2022). Bioluminescence Production by Turnip Yellows Virus Infectious Clones: A New Way to Monitor Plant Virus Infection. International Journal of Molecular Sciences, 23(22), 13685. https://doi.org/10.3390/ijms232213685

