The Effects of BSA-Stabilized Selenium Nanoparticles and Sodium Selenite Supplementation on the Structure, Oxidative Stress Parameters and Selenium Redox Biology in Rat Placenta
Abstract
1. Introduction
2. Results
2.1. Effects on Pregnant Females—General Parameters
2.2. Effects on the Fetoplacental Unit
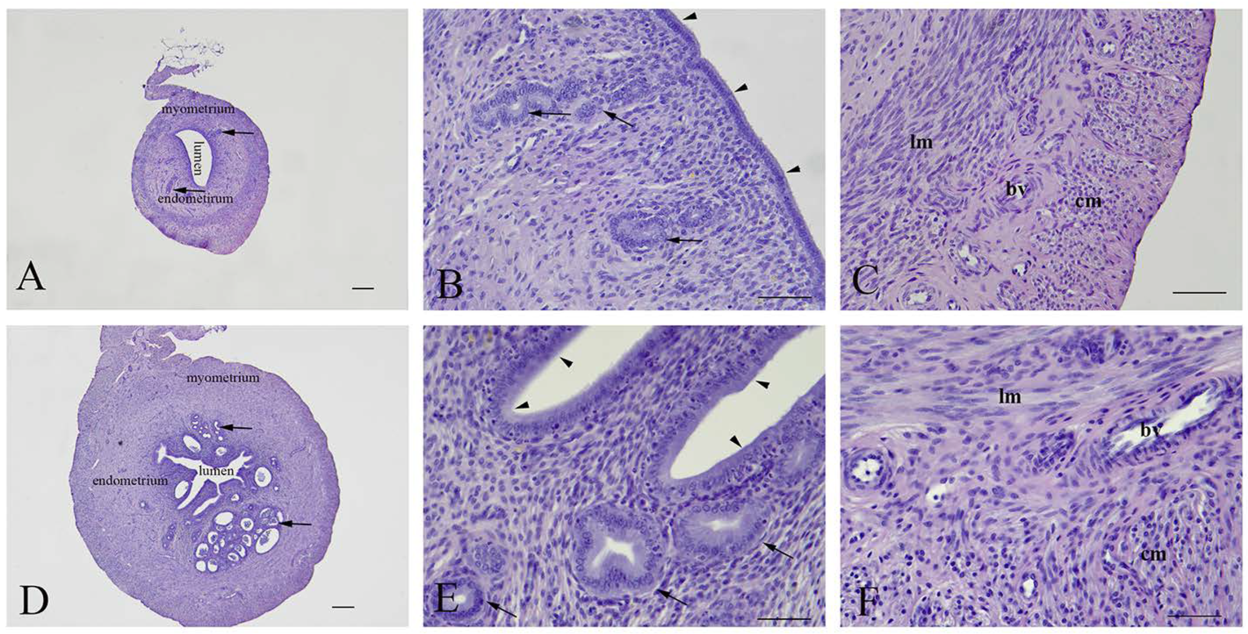
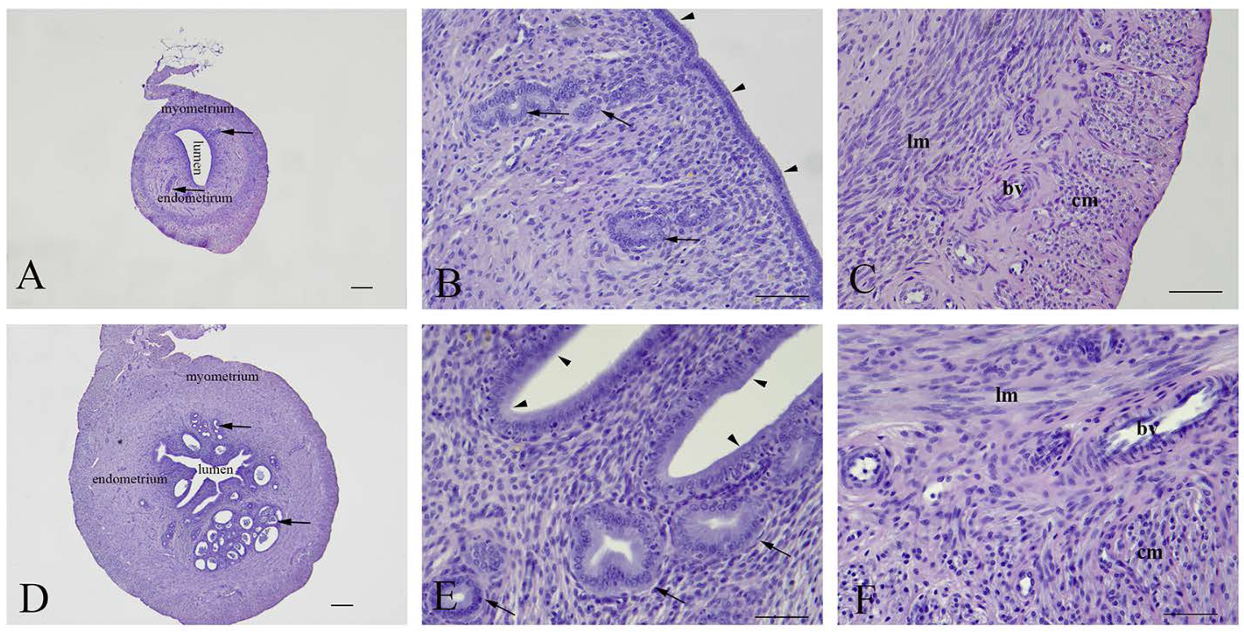
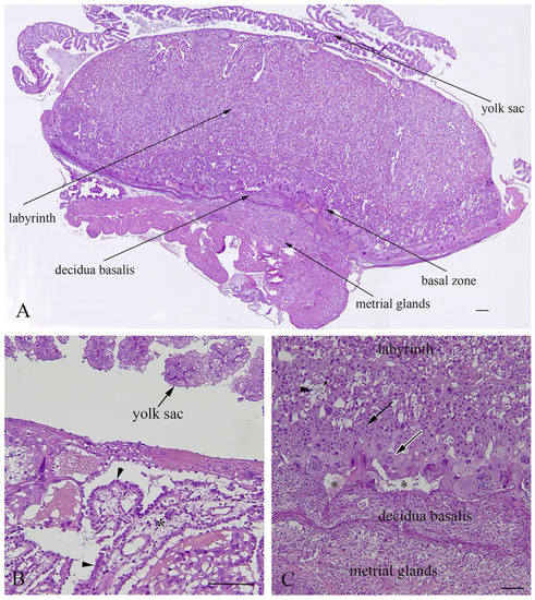
2.3. Histological and Stereological Analysis of the Placenta of 21-Day-Old Fetuses
2.4. Oxidative Stress Parameters in the Placenta
2.5. Level of Se in the Placenta
3. Discussion
4. Materials and Methods
4.1. Animals and Groups in the Experiment
4.2. Synthesis and Physicochemical Characterization of SeNPs
4.2.1. Fourier-Transform Infrared (FTIR) Spectroscopy
4.2.2. X-ray Diffraction (XRD) Measurements
4.2.3. Morphological Studies
4.2.4. Inductively Coupled Plasma Optical Emission Spectrometry (ICP-OES)
4.3. Histological and Stereological Analysis of the Placenta
4.4. Determination of Oxidative Stress Biomarkers in the Placenta
4.4.1. Preparation of Placental Tissues
4.4.2. Antioxidant Enzyme Assays
4.4.3. Determination of Nonenzymatic Antioxidants
4.4.4. Analysis of Se in the Placenta
4.4.5. Statistical Analysis
5. Conclusions
Supplementary Materials
Author Contributions
Funding
Institutional Review Board Statement
Informed Consent Statement
Data Availability Statement
Acknowledgments
Conflicts of Interest
References
- Kieliszek, M. Selenium–Fascinating Microelement, Properties and Sources in Food. Molecules 2019, 24, 1298. [Google Scholar] [CrossRef] [PubMed]
- Gladyshev, V.N.; Arnér, E.S.; Berry, M.J.; Brigelius-Flohé, R.; Bruford, E.A.; Burk, R.F.; Carlson, B.A.; Castellano, S.; Chavatte, L.; Conrad, M.; et al. Selenoprotein Gene Nomenclature. J. Biol. Chem. 2016, 291, 24036–24040. [Google Scholar] [CrossRef] [PubMed]
- Ferro, C.; Florindo, H.F.; Santos, H.A. Selenium nanoparticles for biomedical applications: From development and characterization to therapeutics. Adv. Healthc. Mater. 2021, 10, e2100598. [Google Scholar] [CrossRef] [PubMed]
- Brown, K.M.; Pickard, K.; Nicol, F.; Beckett, G.J.; Duthie, G.G.; Arthur, J.R. Effects of organic and inorganic selenium supplementation on selenoenzyme activity in blood lymphocytes, granulocytes, platelets and erythrocytes. Clin. Sci. 2000, 98, 593–599. [Google Scholar] [CrossRef]
- Tan, Q.-H.; Huang, Y.-Q.; Liu, X.-C.; Liu, L.; Lo, K.; Chen, J.-Y.; Feng, Y.-Q. A U-Shaped Relationship Between Selenium Concentrations and All-Cause or Cardiovascular Mortality in Patients with Hypertension. Front. Cardiovasc. Med. 2021, 8, 671618. [Google Scholar] [CrossRef]
- Kieliszek, M.; Blazejak, S. Selenium: Significance, and outlook for supplementation. Nutrition 2013, 29, 713–718. [Google Scholar] [CrossRef]
- Mistry, H.D.; Williams, P.J. The importance of antioxidant micronutrients in pregnancy. Oxid. Med. Cell. Longev. 2011, 2011, 841749. [Google Scholar] [CrossRef]
- Zachara, B.A. Selenium in pregnant women: Mini review. J. Nutr. Food Sci. 2016, 6, 1–7. [Google Scholar]
- Barrington, J.W.; Lindsay, P.; James, D.; Smith, S.; Roberts, A. Selenium deficiency and miscarriage: A possible link? Br. J. Obstet. Gynaecol. 1996, 103, 130–132. [Google Scholar] [CrossRef]
- Al-Kunani, A.S.; Knight, R.; Haswell, S.J.; Thompson, J.W.; Lindow, S.W. The selenium status of women with a history of recurrent miscarriage. Br. J. Obstet. Gynaecol. 2001, 108, 1094–1097. [Google Scholar] [CrossRef]
- Rayman, M.P.; Searle, E.; Kelly, L.; Johnsen, S.; Bodman-Smith, K.; Bath, S.C.; Mao, J.; Redman, C.W. Effect of selenium on markers of risk of pre-eclampsia in uk pregnant women: A randomised, controlled pilot trial. Br. J. Nutr. 2014, 112, 99–111. [Google Scholar] [CrossRef] [PubMed]
- Rayman, M.P.; Wijnen, H.; Vader, H.; Kooistra, L.; Pop, V. Maternal selenium status during early gestation and risk for preterm birth. CMAJ 2011, 183, 549–555. [Google Scholar] [CrossRef]
- Lewandowska, M.; Sajdak, S.; Lubinski, J. The role of early pregnancy maternal selenium levels on the risk for small-for-gestational age newborns. Nutrients 2019, 11, 2298. [Google Scholar] [CrossRef] [PubMed]
- Hubalewska-Dydejczyk, A.; Duntas, L.; Gilis-Januszewska, A. Pregnancy, thyroid, and the potential use of selenium. Hormones 2020, 19, 47–53. [Google Scholar] [CrossRef] [PubMed]
- Chen, L.; Remondetto, G.E.; Subirade, M. Food protein-based materials as nutraceutical delivery systems. Trends Food Sci. Technol. 2006, 17, 272–283. [Google Scholar] [CrossRef]
- Hosnedlova, B.; Kepinska, M.; Skalickova, S.; Fernandez, C.; Ruttkay-Nedecky, B.; Peng, Q.; Baron, M.; Melcova, M.; Opatrilova, R.; Zidkova, J.; et al. Nano-selenium and its nanomedicine applications: A critical review. Int. J. Nanomed. 2018, 13, 2107–2128. [Google Scholar] [CrossRef]
- Zakeri, N.; Kelishadi, M.R.; Asbaghi, O.; Naeini, F.; Afsharfar, M.; Mirzadeh, E.; Naserizadeh, S.K. Selenium supplementation and oxidative stress: A review. PharmaNutrition 2021, 17, 100263. [Google Scholar] [CrossRef]
- Burk, R.F.; Olson, G.E.; Hill, K.E.; Winfrey, V.P.; Motley, A.K.; Kurokawa, S. Maternal-fetal transfer of selenium in the mouse. FASEB J. 2013, 27, 3249–3256. [Google Scholar] [CrossRef]
- Amorós, R.; Murcia, M.; Ballester, F.; Broberg, K.; Iñiguez, C.; Rebagliato, M.; Skröder, H.; González, L.; Lopez-Espinosa, M.J.; Llop, S. Selenium status during pregnancy: Influential factors and effects on neuropsychological development among spanish infants. Sci. Total Environ. 2018, 610-611, 741–749. [Google Scholar] [CrossRef]
- Wang, X.; Sun, K.; Tan, Y.; Wu, S.; Zhang, J. Efficacy and safety of selenium nanoparticles administered intraperitoneally for the prevention of growth of cancer cells in the peritoneal cavity. Free Radic. Biol. Med. 2014, 72, 1–10. [Google Scholar] [CrossRef]
- Fernandes, A.P.; Gandin, V. Selenium compounds as therapeutic agents in cancer. Biochim. Biophys. Acta 2015, 1850, 1642–1660. [Google Scholar] [CrossRef] [PubMed]
- Kipp, A.P. Selenium and selenoproteins in redox signaling. Free. Radic. Biol. Med. 2017, 108, S1, L2. [Google Scholar] [CrossRef]
- Burk, R.F.; Hill, K.E. Regulation of selenium metabolism and transport. Annu. Rev. Nutr. 2015, 35, 109–134. [Google Scholar] [CrossRef] [PubMed]
- Schoots, M.H.; Gordijn, S.J.; Scherjon, S.A.; van Goor, H.; Hillebrands, J.L. Oxidative stress in placental pathology. Placenta 2018, 69, 153–161. [Google Scholar] [CrossRef]
- Watson, A.L.; Skepper, J.N.; Jauniaux, E.; Burton, G.J. Susceptibility of human placental syncytiotrophoblastic mitochondria to oxygen-mediated damage in relation to gestational age. J. Clin. Endocrinol. Metab. 1998, 83, 1697–1705. [Google Scholar] [CrossRef]
- Jauniaux, E.; Watson, A.L.; Hempstock, J.; Bao, Y.P.; Skepper, J.N.; Burton, G.J. Onset of maternal arterial blood flow and placental oxidative stress. A possible factor in human early pregnancy failure. Am. J. Pathol. 2000, 157, 2111–2122. [Google Scholar] [CrossRef]
- Watson, A.L.; Skepper, J.N.; Jauniaux, E.; Burton, G.J. Changes in concentration, localization and activity of catalase within the human placenta during early gestation. Placenta 1998, 19, 27–34. [Google Scholar] [CrossRef]
- Hung, T.H.; Skepper, J.N.; Burton, G.J. In vitro ischemia-reperfusion injury in term human placenta as a model for oxidative stress in pathological pregnancies. Am. J. Pathol. 2001, 159, 1031–1043. [Google Scholar] [CrossRef]
- Tinggi, U. Selenium: Its role as antioxidant in human health. Environ. Health Prev. Med. 2008, 13, 102–108. [Google Scholar] [CrossRef]
- Huang, B.; Zhang, J.; Hou, J.; Chen, C. Free radical scavenging efficiency of nano-se in vitro. Free Radic. Biol. Med. 2003, 35, 805–813. [Google Scholar] [CrossRef]
- Qi, W.; Bi, J.; Zhang, X.; Wang, J.; Wang, J.; Liu, P.; Li, Z.; Wu, W. Damaging effects of multi-walled carbon nanotubes on pregnant mice with different pregnancy times. Sci. Rep. 2014, 4, 4352. [Google Scholar] [CrossRef] [PubMed]
- Stapleton, P.A. Gestational nanomaterial exposures: Microvascular implications during pregnancy, fetal development and adulthood. J. Physiol. 2016, 594, 2161–2173. [Google Scholar] [CrossRef] [PubMed]
- Pietroiusti, A.; Vecchione, L.; Malvindi, M.A.; Aru, C.; Massimiani, M.; Camaioni, A.; Magrini, A.; Bernardini, R.; Sabella, S.; Pompa, P.P.; et al. Relevance to investigate different stages of pregnancy to highlight toxic effects of nanoparticles: The example of silica. Toxicol. Appl. Pharmacol. 2018, 342, 60–68. [Google Scholar] [CrossRef]
- Ma, X.; Yang, X.; Wang, Y.; Liu, J.; Jin, S.; Li, S.; Liang, X.-J. Gold nanoparticles cause size-dependent inhibition of embryonic development during murine pregnancy. Nano Res. 2018, 11, 3419–3433. [Google Scholar] [CrossRef]
- Loeschner, K.; Hadrup, N.; Hansen, M.; Pereira, S.A.; Gammelgaard, B.; Møller, L.H.; Mortensen, A.; Lam, H.R.; Larsen, E.H. Absorption, distribution, metabolism and excretion of selenium following oral administration of elemental selenium nanoparticles or selenite in rats. Metallomics 2014, 6, 330–337. [Google Scholar] [CrossRef] [PubMed]
- He, Y.; Chen, S.; Liu, Z.; Cheng, C.; Li, H.; Wang, M. Toxicity of selenium nanoparticles in male Sprague-Dawley rats at supranutritional and nonlethal levels. Life Sci. 2014, 115, 44–51. [Google Scholar] [CrossRef] [PubMed]
- Ho, D.; Leong, J.W.; Crew, R.C.; Norret, M.; House, M.J.; Mark, P.J.; Waddell, B.J.; Iyer, K.S.; Keelan, J.A. Maternal-placental-fetal biodistribution of multimodal polymeric nanoparticles in a pregnant rat model in mid and late gestation. Sci. Rep. 2017, 7, 2866. [Google Scholar] [CrossRef]
- Stolwijk, J.M.; Garje, R.; Sieren, J.C.; Buettner, G.R.; Zakharia, Y. Understanding the redox biology of selenium in the search of targeted cancer therapies. Antioxidants 2020, 9, 420. [Google Scholar] [CrossRef]
- Amini, S.M.M.; Mahabadi, V.P. Selenium nanoparticles role in organ systems functionality and disorder. Nanomed. Res. J. 2018, 3, 117–124. [Google Scholar] [CrossRef]
- Khurana, A.; Tekula, S.; Saifi, M.A.; Venkatesh, P.; Godugu, C. Therapeutic applications of selenium nanoparticles. Biomed. Pharmacother. 2019, 111, 802–812. [Google Scholar] [CrossRef]
- Rayman, M.P. Selenium intake, status, and health: A complex relationship. Hormones 2020, 19, 9–14. [Google Scholar] [CrossRef]
- Zhai, X.; Zhang, C.; Zhao, G.; Stoll, S.; Ren, F.; Leng, X. Antioxidant capacities of the selenium nanoparticles stabilized by chitosan. J. Nanobiotechnology 2017, 15, 4. [Google Scholar] [CrossRef] [PubMed]
- Đelmiš, J. Placenta development. Gynaec. Perinat. 2019, 28, 20–26. (In Serbian) [Google Scholar]
- Ufer, C.; Wang, C.C. The roles of glutathione peroxidases during embryo development. Front. Mol. Neurosci. 2011, 4, 12. [Google Scholar] [CrossRef]
- Zaken, V.; Kohen, R.; Ornoy, A. The development of antioxidant defense mechanism in young rat embryos in vivo and in vitro. Early Pregnancy 2000, 4, 110–123. [Google Scholar] [PubMed]
- Leese, H.J.; Baumann, C.G.; Brison, D.R.; McEvoy, T.G.; Sturmey, R.G. Metabolism of the viable mammalian embryo: Quietness revisited. Mol. Hum. Reprod. 2008, 14, 667–672. [Google Scholar] [CrossRef] [PubMed]
- Flora, S.J. Structural, chemical and biological aspects of antioxidants for strategies against metal and metalloid exposure. Oxid. Med. Cell. Longev. 2009, 2, 191–206. [Google Scholar] [CrossRef]
- Dawood, M.A.O.; Basuini, M.F.E. Selenium nanoparticles as a natural antioxidant and metabolic regulator in aquaculture: A review. Antioxidants 2021, 10, 1364. [Google Scholar] [CrossRef] [PubMed]
- Richter, H.G.; Camm, E.J.; Modi, B.N.; Naeem, F.; Cross, C.M.; Cindrova-Davies, T.; Spasic-Boskovic, O.; Dunster, C.; Mudway, I.S.; Kelly, F.J.; et al. Ascorbate prevents placental oxidative stress and enhances birth weight in hypoxic pregnancy in rats. J. Physiol. 2012, 590, 1377–1387. [Google Scholar] [CrossRef]
- Kim, J.H.; Kim, Y.C.; Nahm, F.S.; Lee, P.B. The Therapeutic Effect of Vitamin C in an Animal Model of Complex Regional Pain Syndrome Produced by Prolonged Hindpaw Ischemia-Reperfusion in Rats. Int. J. Med. Sci. 2017, 14, 97–101. [Google Scholar] [CrossRef]
- Roshanzamir, D.A.; Bidadkosh, M.; Bidadkosh, A. Dose-related protecting effects of vitamin C in gentamicin-induced rat nephrotoxicity: A histopathologic and biochemical study. Comp. Clin. Pathol. 2013, 1322, 441–447. [Google Scholar] [CrossRef]
- Ramsay, E.E.; Dilda, P.J. Glutathione s-conjugates as prodrugs to target drug-resistant tumors. Front. Pharmacol. 2014, 5, 181. [Google Scholar] [CrossRef] [PubMed]
- Jones, M.L.; Mark, P.J.; Lewis, J.L.; Mori, T.A.; Keelan, J.A.; Waddell, B.J. Antioxidant defenses in the rat placenta in late gestation: Increased labyrinthine expression of superoxide dismutases, glutathione peroxidase 3, and uncoupling protein 2. Biol. Reprod. 2010, 83, 254–260. [Google Scholar] [CrossRef] [PubMed]
- Lee, K.H.; Jeong, D. Bimodal actions of selenium essential for antioxidant and toxic pro-oxidant activities: The selenium paradox (review). Mol. Med. Rep. 2012, 5, 299–304. [Google Scholar] [CrossRef]
- Brohi, R.D.; Wang, L.; Talpur, H.S.; Wu, D.; Khan, F.A.; Bhattarai, D.; Rehman, Z.U.; Farmanullah, F.; Huo, L.J. Toxicity of nanoparticles on the reproductive system in animal models: A review. Front. Pharmacol. 2017, 8, 606. [Google Scholar] [CrossRef] [PubMed]
- Qazi, I.H.; Angel, C.; Yang, H.; Pan, B.; Zoidis, E.; Zeng, C.J.; Han, H.; Zhou, G.B. Selenium, selenoproteins, and female reproduction: A review. Molecules 2018, 23, 3053. [Google Scholar] [CrossRef] [PubMed]
- Štajn, A.; Žikić, R.V.; Ognjanović, B.; Saičić, Z.S.; Pavlović, S.Z.; Kostić, M.M.; Petrović, V.M. Effect of cadmium and selenium on the antioxidant defense system in rat kidneys. Comp. Biochem. Physiol. C Pharmacol. Toxicol. Endocrinol. 1997, 117, 167–172. [Google Scholar] [CrossRef]
- Ognjanović, B.I.; Marković, S.D.; Pavlović, S.Z.; Žikić, R.V.; Štajn, A.S.; Saičić, Z.S. Effect of chronic cadmium exposure on antioxidant defense system in some tissues of rats: Protective effect of selenium. Physiol. Res. 2008, 57, 403–411. [Google Scholar] [CrossRef] [PubMed]
- OECD. Test No. 414: Prenatal developmental toxicity study. In OECD Guidelines for the Testing of Chemicals, Section 4; OECD: Paris, France, 2018. [Google Scholar] [CrossRef]
- Filipović, N.; Ušjak, D.; Milenković, M.T.; Zheng, K.; Liverani, L.; Boccaccini, A.R.; Stevanović, M.M. Comparative study of the Antimicrobial Activity of Selenium Nanoparticles with Different Surface Chemistry and Structure. Front. Bioeng. Biotechnol. 2020, 8, 624621. [Google Scholar] [CrossRef] [PubMed]
- Filipović, N.; Veselinović, L.; Razić, S.; Jeremić, S.; Filipić, M.; Zegura, B.; Tomić, S.; Čolić, M.; Stevanović, M. Poly (epsilon-caprolactone) microspheres for prolonged release of selenium nanoparticles. Mater. Sci. Eng. C 2019, 96, 776–789. [Google Scholar] [CrossRef]
- Gundersen, H.J.; Jensen, E.B. The efficiency of systematic sampling in stereology and its prediction. J. Microsc. 1987, 147, 229–263. [Google Scholar] [CrossRef] [PubMed]
- Dorph-Petersen, K.A.; Nyengaard, J.R.; Gundersen, H.J. Tissue shrinkage and unbiased stereological estimation of particle number and size. J. Microsc. 2001, 204, 232–246. [Google Scholar] [CrossRef] [PubMed]
- Manojlović-Stojanoski, M.; Nestorović, N.; Ristić, N.; Trifunović, S.; Filipović, B.; Šošić-Jurjević, B.; Sekulić, M. Unbiased stereological estimation of the rat fetal pituitary volume and of the total number and volume of TSH cells after maternal dexamethasone application. Microsc. Res. Tech. 2010, 73, 1077–1085. [Google Scholar] [CrossRef] [PubMed]
- Lionetto, M.G.; Caricato, R.; Calisi, A.; Giordano, M.E.; Schettino, T. Acetylcholinesterase as a biomarker in environmental and occupational medicine: New insights and future perspectives. Biomed. Res. Int. 2013, 2013, 321213. [Google Scholar] [CrossRef]
- Rossi, M.A.; Cecchini, G.; Dianzani, M.M. Glutathione peroxidase, glutathione reductase and glutathione transferase in two differenthepatomas and in normal liver. IRCS Med. Sci. 1983, 11, 805. [Google Scholar]
- Takada, Y.; Noguchi, T.; Okabe, T.; Kajiyama, M. Superoxide dismutase in various tissues from rabbits bearing the vx-2 carcinoma in the maxillary sinus. Cancer Res. 1982, 42, 4233–4235. [Google Scholar]
- Abiaka, C.; Al-Awadi, F.; Olusi, S. Effect of prolonged storage on the activities of superoxide dismutase, glutathione reductase, and glutathione peroxidase. Clin. Chem. 2000, 46, 566–567. [Google Scholar] [CrossRef] [PubMed]
- Halliwell, B.M.C.; Gutteridge, J. Reprint of: Oxygen free radicals and iron in relation to biology and medicine: Some problems and concepts. Arch. Biochem. Biophys. 2022, 726, 109246. [Google Scholar] [CrossRef]
- Misra, H.P.; Fridovich, I. The role of superoxide anion in the autoxidation of epinephrine and a simple assay for ‘superoxide dismutase. J. Biol. Chem. 1972, 247, 3170–3175. [Google Scholar] [CrossRef]
- Claiborne, A. Catalase activity. In Handbook of Methods for Oxygen Radical Research; Greenwald, R.A., Ed.; CRC Press: Boca Raton, FL, USA, 1985; pp. 283–284. [Google Scholar]
- Tamura, M.; Oshino, N.; Chance, B. Some characteristics of hydrogen- and alkylhydroperoxides metabolizing systems in cardiac tissue. J. Biochem. 1982, 92, 1019–1031. [Google Scholar] [CrossRef] [PubMed]
- Habig, W.H.; Pabst, M.J.; Jakoby, W.B. Glutathione s-transferases. The first enzymatic step in mercapturic acid formation. J. Biol. Chem. 1974, 249, 7130–7139. [Google Scholar] [CrossRef]
- Glatzle, D.; Vuilleumier, J.P.; Weber, F.; Decker, K. Glutathione reductase test with whole blood, a convenient procedure for the assessment of the riboflavin status in humans. Experientia 1974, 30, 665–667. [Google Scholar] [CrossRef]
- Lowry, O.H.; Rosebrough, N.J.; Farr, A.L.; Randall, R.J. Protein measurement with the folin phenol reagent. J. Biol. Chem. 1951, 193, 265–275. [Google Scholar] [CrossRef]
- Griffith, O.W. Determination of glutathione and glutathione disulfide using glutathione reductase and 2-vinylpyridine. Anal. Biochem. 1980, 106, 207–212. [Google Scholar] [CrossRef]
- Ellman, G.L. Tissue sulfhydryl groups. Arch. Biochem. Biophys. 1959, 82, 70–77. [Google Scholar] [CrossRef]
- Stojsavljević, A.; Rovčanin, M.; Rovčanin, B.; Miković, Ž.; Jeremić, A.; Perović, M.; Manojlović, D. Human biomonitoring of essential, nonessential, rare earth, and noble elements in placental tissues. Chemosphere 2021, 285, 131518. [Google Scholar] [CrossRef]








| No of Fetuses/Dam | Fetal Weight (g) | Placental Weight (g) | Viscera Index of the Placenta (g/g) | |
|---|---|---|---|---|
| IF | 13 ± 2 | 5.08 ± 0.29 | 0.52 ± 0.04 | 10.05 ± 0.76 |
| IM | 5.48 ± 0.32 | 0.55 ± 0.05 | 10.09 ± 1.00 | |
| CF | 11 ± 2 | 5.18 ± 0.25 | 0.49 ± 0.04 | 9.24 ± 1.05 |
| CM | 5.28 ± 0.42 | 0.51 ± 0.04 | 9.44 ± 1.41 | |
| SeNPF | 12 ± 1 | 4.44 ± 0.33 a,b | 0.43 ± 0.06 | 9.33 ± 1.67 |
| SeNPM | 4.67 ± 0.23 c,d | 0.48 ± 0.06 | 9.33 ± 1.33 | |
| NaSeF | 11 ± 2 | 6.02 ± 0.17 a,b | 0.50 ± 0.06 | 8.27 ± 1.02 |
| NaSeM | 6.26 ± 0.38 c,d | 0.55 ± 0.07 | 8.71 ± 1.19 |
| N = 40 | Gender | Intact Control (IC) | Control (C) | Nanoselenium (SeNP) | Na-Selenite (NaSe) |
|---|---|---|---|---|---|
| SOD | Males + Females | 634.93 ± 116.68 | 582.68 ± 76.64 A | 695.54 ± 119.17 C | 625.36 ± 100.68 |
| CAT | Males + Females | 1597.331 ± 395.84 | 1504.63 ± 422.12 | 1637.49 ± 472.12 B | 224.58 ± 100.44 D,E,F |
| GSH-Px | Males + Females | 46.31 ± 9.02 | 48.49 ± 15.96 | 59.75 ± 9.83 B | 54.40 ± 6.55 |
| GR | Males + Females | 1471.94 ± 513.01 | 1314.90 ± 330.54 | 1549.55 ± 287.21 | 1501.93 ± 337.85 |
| GST | Males + Females | 2888.64 ± 1036.71 | 2191.48 ± 510.01 A | 2655.68 ± 649.79 C | 2007.50 ± 324.59 |
| GSH | Males + Females | 498.70 ± 117.70 | 419.86 ± 98.19 | 402.85 ± 162.41 B | 610.98 ± 91.05 D,E,E |
| SH | Males + Females | 4467.85 ± 560.79 | 4295.83 ± 503.85 | 4267.94 ± 468.55 B | 4047.82 ± 661.15 |
| Treatment | Intact Control (IC) | Control (C) | Nanoselenium (SeNPs) | Na-selenite (NaSe) | ||||
|---|---|---|---|---|---|---|---|---|
| Gender | Female | Male | Female | Male | Female | Male | Female | male |
| SOD | 647.56 ± 107.08 | 605.11 ± 109.90 | 562.91 ± 70.73 | 617.27 ± 84.06 | 693.39 ± 104.15 CF | 699.29 ± 160.06 BM,CM | 615.00 ± 63.64 | 632.27 ± 134.41 |
| CAT | 1606.79 ± 476.05 | 1589.45 ± 363.20 | 1367.10 ± 287.63 | 1745.30 ± 554.20 | 1479.16 ± 504.92 | 1914.56 ± 268.83 BM | 1884.63 ± 318.20 | 1601.83 ± 47.61 |
| GSH-Px | 48.41 ± 11.69 | 44.56 ± 6.2 | 41.98 ± 6.0 | 59.90 ± 12.43 AM,C* | 55.21 ± 9.08 CF | 67.71 ± 4.99 BM,CM | 54.40 ± 6.55 | 54.40 ± 8.00 |
| GR | 1189.34 ± 361.94 | 1707.39 ± 524.58 I* | 1258.84 ± 290.95 | 1410.77 ± 419.78 AM | 1436.61 ± 239.18 | 1747.17 ± 281.41 CM | 1432.47 ± 409.26 | 1548.23 ± 369.47 |
| GST | 3562.50 ± 852.25 | 2327.08 ± 857.89 | 2306.25 ± 608.35 AF | 1990.62 ± 205.74 AM | 2726.77 ± 805.11 BF | 2531.25 ± 280.35 CM | 2031.25 ± 91.68 DF,EF,GF | 1991.67 ± 408.50 DM,GM |
| GSH | 448.63 ± 123.43 | 540.43 ± 104.50 | 422.55 ± 89.88 | 411.21 ± 144.99 | 398.96 ± 199.77 | 409.66 ± 89.52 BM | 650.42 ± 42.78 DF,EF,GF | 584.69 ± 114.34 EM,GM |
| SH | 4428.97 ± 711.69 | 4500.25 ± 470.09 | 4243.98 ± 549.35 | 4328.43 ± 53.52 | 4166.80 ± 312.12 | 4440.93 ± 686.54 | 3695.46 ± 833.54 DF | 4282.76 ± 655.54 |
| PC1 | PC2 | PC3 | PC4 | PC5 | PC6 | PC7 | |
|---|---|---|---|---|---|---|---|
| SOD * | −0.621456 * | 0.278264 | −0.007269 | 0.044775 | −0.044528 | −0.488686 | −0.230895 |
| CAT * | −0.682013 * | −0.666915 * | −0.167632 | 0.129144 | −0.092093 | 0.304164 | −0.265914 |
| GSH-Px * | −0.798461 * | −0.437845 * | 0.188150 | −0.047289 | 0.491792 | −0.116416 | 0.261540 |
| GR | −0.487445 | −0.256611 | 0.670431 | −0.003598 | −0.531476 | 0.093257 | 0.145790 |
| GST | −0.496050 | 0.183119 | −0.720209 | 0.273873 | −0.247137 | 0.048427 | 0.251540 |
| GSH | 0.352570 | −0.163949 | 0.214057 | 0.885287 | 0.031405 | −0.135105 | −0.065733 |
| SH | 0.448887 | −0.670984 * | −0.185965 | −0.220622 | −0.340460 | −0.379719 | 0.070178 |
| * Treatment | −0.338659 | −0.210221 | 0.364973 | 0.360188 | 0.168948 | −0.010868 | 0.140813 |
| Selenium Concentration | Intact Control (IC) | Control (C) | Se Nanoparticles (SeNP) | Sodium Selenite (NaSe) |
|---|---|---|---|---|
| Female + Male | 149.30 ±12.48 | 193.50 ± 15.40 IC | 722.30 ± 201.55 IC,C | 385.31 ± 135.36 IC,C,* |
| Female | 148.93 ± 14.69 | 191.82 ± 6.25 IC | 657.69 ± 187.68 IC,C | 371.21 ± 94.85 IC,C,* |
| Male | 149.67 ± 15.85 | 204.66 ± 18.33 IC | 734.82 ± 203.92 IC,C | 350.27 ± 94.85 IC,C,* |
| Mineral | mg/kg |
|---|---|
| Iron | min 600 |
| Zinc | min 30 |
| Manganese | min 60 |
| Copper | min 15 |
| Iodine | min 0.15 |
| Selenium | min 0.1 |
Publisher’s Note: MDPI stays neutral with regard to jurisdictional claims in published maps and institutional affiliations. |
© 2022 by the authors. Licensee MDPI, Basel, Switzerland. This article is an open access article distributed under the terms and conditions of the Creative Commons Attribution (CC BY) license (https://creativecommons.org/licenses/by/4.0/).
Share and Cite
Manojlović-Stojanoski, M.; Borković-Mitić, S.; Nestorović, N.; Ristić, N.; Trifunović, S.; Stevanović, M.; Filipović, N.; Stojsavljević, A.; Pavlović, S. The Effects of BSA-Stabilized Selenium Nanoparticles and Sodium Selenite Supplementation on the Structure, Oxidative Stress Parameters and Selenium Redox Biology in Rat Placenta. Int. J. Mol. Sci. 2022, 23, 13068. https://doi.org/10.3390/ijms232113068
Manojlović-Stojanoski M, Borković-Mitić S, Nestorović N, Ristić N, Trifunović S, Stevanović M, Filipović N, Stojsavljević A, Pavlović S. The Effects of BSA-Stabilized Selenium Nanoparticles and Sodium Selenite Supplementation on the Structure, Oxidative Stress Parameters and Selenium Redox Biology in Rat Placenta. International Journal of Molecular Sciences. 2022; 23(21):13068. https://doi.org/10.3390/ijms232113068
Chicago/Turabian StyleManojlović-Stojanoski, Milica, Slavica Borković-Mitić, Nataša Nestorović, Nataša Ristić, Svetlana Trifunović, Magdalena Stevanović, Nenad Filipović, Aleksandar Stojsavljević, and Slađan Pavlović. 2022. "The Effects of BSA-Stabilized Selenium Nanoparticles and Sodium Selenite Supplementation on the Structure, Oxidative Stress Parameters and Selenium Redox Biology in Rat Placenta" International Journal of Molecular Sciences 23, no. 21: 13068. https://doi.org/10.3390/ijms232113068
APA StyleManojlović-Stojanoski, M., Borković-Mitić, S., Nestorović, N., Ristić, N., Trifunović, S., Stevanović, M., Filipović, N., Stojsavljević, A., & Pavlović, S. (2022). The Effects of BSA-Stabilized Selenium Nanoparticles and Sodium Selenite Supplementation on the Structure, Oxidative Stress Parameters and Selenium Redox Biology in Rat Placenta. International Journal of Molecular Sciences, 23(21), 13068. https://doi.org/10.3390/ijms232113068

