Noninvasive Diagnostics of Renal Amyloidosis: Current State and Perspectives
Abstract
1. Introduction
2. Different Types of Renal Amyloidosis
3. Tissue- and Cell-Based Diagnostics of Amyloidosis
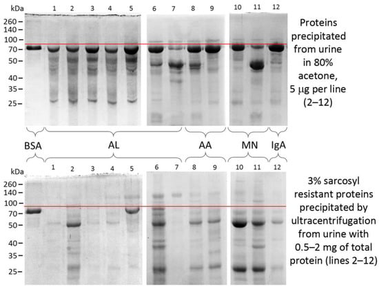
4. Noninvasive Evaluation of Amyloidosis and Its Types
5. Promising Trends in Noninvasive Diagnostics
6. Conclusions
Author Contributions
Funding
Institutional Review Board Statement
Informed Consent Statement
Data Availability Statement
Acknowledgments
Conflicts of Interest
Abbreviations
| AA | serum amyloid A amyloidosis |
| AFib | fibrinogen α chain amyloidosis |
| AH | immunoglobulin heavy chains amyloidosis |
| AHL | immunoglobulin heavy and light chains amyloidosis |
| AL | immunoglobulin light chains amyloidosis |
| ALECT2 | leukocyte chemotactic factor 2 amyloidoses |
| ALP | alkaline phosphatase |
| ALT | alanine aminotransferase |
| AST | aspartate aminotransferase |
| ATTR | transthyretin amyloidosis |
| ATTRv | hereditary type of transthyretin amyloidosis |
| ATTRwt | wild-type type of transthyretin amyloidosis |
| BSA | bovine serum albumin |
| CNS | central nervous system |
| CRD | Congo red dot |
| CT | computed tomography |
| ECG | electrocardiography |
| FFPE | formalin-fixed paraffin-embedded |
| FLC | free light chains |
| GIT | gastrointestinal tract |
| I/T | troponin I/troponin T |
| IEM | immunoelectron microscopy |
| IFE | immunofixation electrophoresis |
| Ig | immunoglobulin |
| IgA | immunoglobulin A nephropathy |
| IGVL | light chain variable region |
| Igκ | immunoglobulin kappa light chain |
| IgκC | immunoglobulin kappa constant domain |
| IgκV | immunoglobulin kappa variable domain. |
| Igλ | immunoglobulin lambda light chain |
| IHC | immunohistochemistry |
| LMD–MS | laser microdissection followed by tandem mass spectrometry |
| LV | left ventricle |
| MG | monoclonal gammopathy |
| MGUS | gammopathy of undetermined significance |
| MM | multiple myeloma |
| MN | membranous nephropathy |
| MS | mass spectrometry |
| NT-proBNP | N-terminal pro-B-type natriuretic peptide |
| PAGE | polyacrylamide gel electrophoresis |
| PMCA | protein misfolding cyclic amplification |
| PNS | peripheral nervous system |
| QuIC | quaking-induced conversion |
| SAA | serum amyloid A protein |
| SAP | serum amyloid P component |
| ThT | thioflavin T |
| TTR | transthyretin protein |
References
- Merlini, G.; Bellotti, V. Molecular Mechanisms of Amyloidosis. N. Engl. J. Med. 2003, 349, 583–596. [Google Scholar] [CrossRef] [PubMed]
- Pepys, M.B. Amyloidosis. Annu. Rev. Med. 2006, 57, 223–241. [Google Scholar] [CrossRef] [PubMed]
- Glenner, G.G. Amyloid Deposits and Amyloidosis. The Beta-Fibrilloses (First of Two Parts). N. Engl. J. Med. 1980, 302, 1283–1292. [Google Scholar] [CrossRef] [PubMed]
- Sunde, M.; Serpell, L.C.; Bartlam, M.; Fraser, P.E.; Pepys, M.B.; Blake, C.C.F. Common Core Structure of Amyloid Fibrils by Synchrotron X-ray Diffraction. J. Mol. Biol. 1997, 273, 729–739. [Google Scholar] [CrossRef] [PubMed]
- Benson, M.D.; Buxbaum, J.N.; Eisenberg, D.S.; Merlini, G.; Saraiva, M.J.M.; Sekijima, Y.; Sipe, J.D.; Westermark, P. Amyloid Nomenclature 2020: Update and Recommendations by the International Society of Amyloidosis (ISA) Nomenclature Committee. Amyloid 2020, 27, 217–222. [Google Scholar] [CrossRef] [PubMed]
- Chatani, E.; Yuzu, K.; Ohhashi, Y.; Goto, Y. Current Understanding of the Structure, Stability and Dynamic Properties of Amyloid Fibrils. Int. J. Mol. Sci. 2021, 22, 4349. [Google Scholar] [CrossRef] [PubMed]
- Maskevich, A.A.; Stsiapura, V.I.; Kuzmitsky, V.A.; Kuznetsova, I.M.; Povarova, O.I.; Uversky, V.N.; Turoverov, K.K. Spectral Properties of Thioflavin T in Solvents with Different Dielectric Properties and in a Fibril-Incorporated Form. J. Proteome Res. 2007, 6, 1392–1401. [Google Scholar] [CrossRef] [PubMed]
- Frieg, B.; Gremer, L.; Heise, H.; Willbold, D.; Gohlke, H. Binding Modes of Thioflavin T and Congo Red to the Fibril Structure of Amyloid-β(1–42). Chem. Commun. 2020, 56, 7589–7592. [Google Scholar] [CrossRef] [PubMed]
- Kachkin, D.V.; Volkov, K.V.; Sopova, J.V.; Bobylev, A.G.; Fedotov, S.A.; Inge-Vechtomov, S.G.; Galzitskaya, O.V.; Chernoff, Y.O.; Rubel, A.A.; Aksenova, A.Y. Human RAD51 Protein Forms Amyloid-like Aggregates In Vitro. Int. J. Mol. Sci. 2022, 23, 11657. [Google Scholar] [CrossRef] [PubMed]
- Riesner, D. Biochemistry and Structure of PrPC and PrPSc. Br. Med. Bull. 2003, 66, 21–33. [Google Scholar] [CrossRef] [PubMed]
- Rubel, M.S.; Fedotov, S.A.; Grizel, A.V.; Sopova, J.V.; Malikova, O.A.; Chernoff, Y.O. Functional Mammalian Amyloids and Amyloid-Like Proteins. Life 2020, 10, 156. [Google Scholar] [CrossRef] [PubMed]
- Bunker, D.; Gorevic, P. AA Amyloidosis: Mount Sinai Experience, 1997-2012. Mt. Sinai J. Med. 2012, 79, 749–756. [Google Scholar] [CrossRef]
- Diomede, L.; Rognoni, P.; Lavatelli, F.; Romeo, M.; del Favero, E.; Cantù, L.; Ghibaudi, E.; di Fonzo, A.; Corbelli, A.; Fiordaliso, F.; et al. A Caenorhabditis Elegans–Based Assay Recognizes Immunoglobulin Light Chains Causing Heart Amyloidosis. Blood 2014, 123, 3543–3552. [Google Scholar] [CrossRef]
- Misra, P.; Blancas-Mejia, L.M.; Ramirez-Alvarado, M. Mechanistic Insights into the Early Events in the Aggregation of Immunoglobulin Light Chains. Biochemistry 2019, 58, 3155–3168. [Google Scholar] [CrossRef] [PubMed]
- Chiti, F.; Dobson, C.M. Protein Misfolding, Amyloid Formation, and Human Disease: A Summary of Progress Over the Last Decade. Annu. Rev. Biochem. 2017, 86, 27–68. [Google Scholar] [CrossRef] [PubMed]
- Biewend, M.L.; Menke, D.M.; Calamia, K.T. The Spectrum of Localized Amyloidosis: A Case Series of 20 Patients and Review of the Literature. Amyloid 2006, 13, 135–142. [Google Scholar] [CrossRef] [PubMed]
- Nienhuis, H.L.A.; Bijzet, J.; Hazenberg, B.P.C. The Prevalence and Management of Systemic Amyloidosis in Western Countries. Kidney Dis. 2016, 2, 10–19. [Google Scholar] [CrossRef] [PubMed]
- Baumgart, J.-V.; Stuhlmann-Laeisz, C.; Hegenbart, U.; Nattenmüller, J.; Schönland, S.; Krüger, S.; Behrens, H.-M.; Röcken, C. Local vs. Systemic Pulmonary Amyloidosis—Impact on Diagnostics and Clinical Management. Virchows Arch. 2018, 473, 627–637. [Google Scholar] [CrossRef] [PubMed]
- Dember, L.M. Amyloidosis-Associated Kidney Disease. J. Am. Soc. Nephrol. 2006, 17, 3458–3471. [Google Scholar] [CrossRef] [PubMed]
- Linke, R.P. On Typing Amyloidosis Using Immunohistochemistry. Detailled Illustrations, Review and a Note on Mass Spectrometry. Prog. Histochem. Cytochem. 2012, 47, 61–132. [Google Scholar] [CrossRef]
- Dasari, S.; Theis, J.D.; Vrana, J.A.; Rech, K.L.; Dao, L.N.; Howard, M.T.; Dispenzieri, A.; Gertz, M.A.; Hasadsri, L.; Highsmith, W.E.; et al. Amyloid Typing by Mass Spectrometry in Clinical Practice: A Comprehensive Review of 16,175 Samples. Mayo Clin. Proc. 2020, 95, 1852–1864. [Google Scholar] [CrossRef]
- Pinney, J.H.; Whelan, C.J.; Petrie, A.; Dungu, J.; Banypersad, S.M.; Sattianayagam, P.; Wechalekar, A.; Gibbs, S.D.J.; Venner, C.P.; Wassef, N.; et al. Senile Systemic Amyloidosis: Clinical Features at Presentation and Outcome. J. Am. Hear. Assoc. 2013, 2, e000098. [Google Scholar] [CrossRef] [PubMed]
- Sevcuka, A.; White, K.; Terry, C. Factors That Contribute to HIAPP Amyloidosis in Type 2 Diabetes Mellitus. Life 2022, 12, 583. [Google Scholar] [CrossRef] [PubMed]
- Cline, E.N.; Bicca, M.A.; Viola, K.L.; Klein, W.L. The Amyloid-β Oligomer Hypothesis: Beginning of the Third Decade. J. Alzheimer’s Dis. 2018, 64, S567–S610. [Google Scholar] [CrossRef] [PubMed]
- Koike, H.; Katsuno, M. The Ultrastructure of Tissue Damage by Amyloid Fibrils. Molecules 2021, 26, 4611. [Google Scholar] [CrossRef] [PubMed]
- Lachmann, H.J.; Gallimore, J.R.; Sabin, C.A.; Hawkins, P.N. Natural History and Outcome in Systemic AA Amyloidosis. N. Engl. J. Med. 2007, 356, 2361–2371. [Google Scholar] [CrossRef] [PubMed]
- Nevone, A.; Merlini, G.; Nuvolone, M. Treating Protein Misfolding Diseases: Therapeutic Successes Against Systemic Amyloidoses. Front. Pharmacol. 2020, 11, 1024. [Google Scholar] [CrossRef]
- Wechalekar, A.; Whelan, C.; Lachmann, H.; Fontana, M.; Mahmood, S.; Gillmore, J.D.; Hawkins, P.N. Oral Doxycycline Improves Outcomes of Stage III AL Amyloidosis-a Matched Case Control Study. Blood 2015, 126, 732. [Google Scholar] [CrossRef]
- Ozawa, M.; Komatsuda, A.; Ohtani, H.; Nara, M.; Sato, R.; Togashi, M.; Takahashi, N.; Wakui, H. Long-Term Prognosis of AL and AA Renal Amyloidosis: A Japanese Single-Center Experience. Clin. Exp. Nephrol. 2017, 21, 212–227. [Google Scholar] [CrossRef]
- Oerlemans, M.I.F.J.; Rutten, K.H.G.; Minnema, M.C.; Raymakers, R.A.P.; Asselbergs, F.W.; de Jonge, N. Cardiac Amyloidosis: The Need for Early Diagnosis. Neth. Heart J. 2019, 27, 525–536. [Google Scholar] [CrossRef]
- Said, S.M.; Sethi, S.; Valeri, A.M.; Leung, N.; Cornell, L.D.; Fidler, M.E.; Hernandez, L.H.; Vrana, J.A.; Theis, J.D.; Quint, P.S.; et al. Renal Amyloidosis: Origin and Clinicopathologic Correlations of 474 Recent Cases. Clin. J. Am. Soc. Nephrol. 2013, 8, 1515–1523. [Google Scholar] [CrossRef] [PubMed]
- Puchtler, H.; Sweat, F.; Levine, M. On the binding of congo red by amyloid. J. Histochem. Cytochem. 1962, 10, 355–364. [Google Scholar] [CrossRef]
- Howie, A.J.; Brewer, D.B.; Howell, D.; Jones, A.P. Physical Basis of Colors Seen in Congo Red-Stained Amyloid in Polarized Light. Lab. Investig. 2008, 88, 232–242. [Google Scholar] [CrossRef] [PubMed]
- Wisniowski, B.; Wechalekar, A. Confirming the Diagnosis of Amyloidosis. Acta Haematol. 2020, 143, 312–321. [Google Scholar] [CrossRef] [PubMed]
- Gillmore, J.D.; Maurer, M.S.; Falk, R.H.; Merlini, G.; Damy, T.; Dispenzieri, A.; Wechalekar, A.D.; Berk, J.L.; Quarta, C.C.; Grogan, M.; et al. Nonbiopsy Diagnosis of Cardiac Transthyretin Amyloidosis. Circulation 2016, 133, 2404–2412. [Google Scholar] [CrossRef]
- Hazenberg, B.P.C.; van Rijswijk, M.H.; Piers, D.A.; Lub-de Hooge, M.N.; Vellenga, E.; Haagsma, E.B.; Hawkins, P.N.; Jager, P.L. Diagnostic Performance of 123I-Labeled Serum Amyloid P Component Scintigraphy in Patients with Amyloidosis. Am. J. Med. 2006, 119, 355.e15–355.e24. [Google Scholar] [CrossRef]
- Bature, F.; Pappas, Y.; Pang, D.; Guinn, B. Can Non-Invasive Biomarkers Lead to an Earlier Diagnosis of Alzheimer’s Disease? Curr. Alzheimer Res. 2021, 18, 908–913. [Google Scholar] [CrossRef]
- Kulichikhin, K.Y.; Fedotov, S.A.; Rubel, M.S.; Zalutskaya, N.M.; Zobnina, A.E.; Malikova, O.A.; Neznanov, N.G.; Chernoff, Y.O.; Rubel, A.A. Development of Molecular Tools for Diagnosis of Alzheimer’s Disease That Are Based on Detection of Amyloidogenic Proteins. Prion 2021, 15, 56–69. [Google Scholar] [CrossRef]
- Sharma, L.; Sharma, A.; Kumar, D.; Asthana, M.K.; Lalhlenmawia, H.; Kumar, A.; Bhattacharyya, S.; Kumar, D. Promising Protein Biomarkers in the Early Diagnosis of Alzheimer’s Disease. Metab. Brain Dis. 2022, 37, 1727–1744. [Google Scholar] [CrossRef]
- Sidiqi, M.H.; McPhail, E.D.; Theis, J.D.; Dasari, S.; Vrana, J.A.; Drosou, M.E.; Leung, N.; Hayman, S.; Rajkumar, S.V.; Warsame, R.; et al. Two Types of Amyloidosis Presenting in a Single Patient: A Case Series. Blood Cancer J. 2019, 9, 30. [Google Scholar] [CrossRef]
- Sethi, S.; Theis, J.D. Pathology and Diagnosis of Renal Non-AL Amyloidosis. J. Nephrol. 2018, 31, 343–350. [Google Scholar] [CrossRef] [PubMed]
- Fenoglio, R.; Baldovino, S.; Barreca, A.; Bottasso, E.; Sciascia, S.; Sbaiz, L.; Papotti, M.; Roccatello, D. Renal Involvement in Transthyretin Amyloidosis: The Double Presentation of Transthyretin Amyloidosis Deposition Disease. Nephron 2022, 146, 481–488. [Google Scholar] [CrossRef] [PubMed]
- Yao, Y.; Wang, S.-X.; Zhang, Y.-K.; Qu, Z.; Liu, G.; Zou, W.-Z. A Clinicopathological Analysis in a Large Cohort of Chinese Patients with Renal Amyloid Light-Chain Amyloidosis. Nephrol. Dial. Transplant. 2013, 28, 689–697. [Google Scholar] [CrossRef] [PubMed]
- Matsuda, M.; Gono, T.; Morita, H.; Katoh, N.; Kodaira, M.; Ikeda, S. Peripheral Nerve Involvement in Primary Systemic AL Amyloidosis: A Clinical and Electrophysiological Study: Polyneuropathy in AL Amyloidosis. Eur. J. Neurol. 2011, 18, 604–610. [Google Scholar] [CrossRef] [PubMed]
- Merlini, G.; Palladini, G. Light Chain Amyloidosis: The Heart of the Problem. Haematologica 2013, 98, 1492–1495. [Google Scholar] [CrossRef]
- Kapoor, P.; Thenappan, T.; Singh, E.; Kumar, S.; Greipp, P.R. Cardiac Amyloidosis: A Practical Approach to Diagnosis and Management. Am. J. Med. 2011, 124, 1006–1015. [Google Scholar] [CrossRef]
- Bergesio, F.; Ciciani, A.M.; Santostefano, M.; Brugnano, R.; Manganaro, M.; Palladini, G.; Palma, A.M.D.; Gallo, M.; Tosi, P.L.; Salvadori, M.; et al. Renal Involvement in Systemic Amyloidosis--an Italian Retrospective Study on Epidemiological and Clinical Data at Diagnosis. Nephrol. Dial. Transplant. 2007, 22, 1608–1618. [Google Scholar] [CrossRef]
- Bollée, G.; Guery, B.; Joly, M.; Snanoudj, R.; Terrier, B.; Allouache, M.; Mercadal, L.; Peraldi, M.-N.; Viron, B.; Fumeron, C.; et al. Presentation and Outcome of Patients with Systemic Amyloidosis Undergoing Dialysis. Clin. J. Am. Soc. Nephrol. 2008, 3, 375–381. [Google Scholar] [CrossRef]
- Sethi, S.; Vrana, J.A.; Theis, J.D.; Leung, N.; Sethi, A.; Nasr, S.H.; Fervenza, F.C.; Cornell, L.D.; Fidler, M.E.; Dogan, A. Laser Microdissection and Mass Spectrometry–Based Proteomics Aids the Diagnosis and Typing of Renal Amyloidosis. Kidney Int. 2012, 82, 226–234. [Google Scholar] [CrossRef]
- Larsen, C.P.; Walker, P.D.; Weiss, D.T.; Solomon, A. Prevalence and Morphology of Leukocyte Chemotactic Factor 2-Associated Amyloid in Renal Biopsies. Kidney Int. 2010, 77, 816–819. [Google Scholar] [CrossRef]
- von Hutten, H.; Mihatsch, M.; Lobeck, H.; Rudolph, B.; Eriksson, M.; Röcken, C. Prevalence and Origin of Amyloid in Kidney Biopsies. Am. J. Surg. Pathol. 2009, 33, 1198–1205. [Google Scholar] [CrossRef] [PubMed]
- Nasr, S.H.; Said, S.M.; Valeri, A.M.; Sethi, S.; Fidler, M.E.; Cornell, L.D.; Gertz, M.A.; Dispenzieri, A.; Buadi, F.K.; Vrana, J.A.; et al. The Diagnosis and Characteristics of Renal Heavy-Chain and Heavy/Light-Chain Amyloidosis and Their Comparison with Renal Light-Chain Amyloidosis. Kidney Int. 2013, 83, 463–470. [Google Scholar] [CrossRef] [PubMed]
- Leung, N.; Bridoux, F.; Batuman, V.; Chaidos, A.; Cockwell, P.; D’Agati, V.D.; Dispenzieri, A.; Fervenza, F.C.; Fermand, J.-P.; Gibbs, S.; et al. The Evaluation of Monoclonal Gammopathy of Renal Significance: A Consensus Report of the International Kidney and Monoclonal Gammopathy Research Group. Nat. Rev. Nephrol. 2019, 15, 45–59. [Google Scholar] [CrossRef] [PubMed]
- Benson, M.D. The Hereditary Amyloidoses. Best Pract. Res. Clin. Rheumatol. 2003, 17, 909–927. [Google Scholar] [CrossRef]
- Sekijima, Y. Transthyretin (ATTR) Amyloidosis: Clinical Spectrum, Molecular Pathogenesis and Disease-Modifying Treatments. J. Neurol. Neurosurg. Psychiatry 2015, 86, 1036–1043. [Google Scholar] [CrossRef]
- Said, S.M.; Sethi, S.; Valeri, A.M.; Chang, A.; Nast, C.C.; Krahl, L.; Molloy, P.; Barry, M.; Fidler, M.E.; Cornell, L.D.; et al. Characterization and Outcomes of Renal Leukocyte Chemotactic Factor 2-Associated Amyloidosis. Kidney Int. 2014, 86, 370–377. [Google Scholar] [CrossRef]
- Gillmore, J.D.; Lachmann, H.J.; Rowczenio, D.; Gilbertson, J.A.; Zeng, C.-H.; Liu, Z.-H.; Li, L.-S.; Wechalekar, A.; Hawkins, P.N. Diagnosis, Pathogenesis, Treatment, and Prognosis of Hereditary Fibrinogen Aα-Chain Amyloidosis. J. Am. Soc. Nephrol. 2009, 20, 444–451. [Google Scholar] [CrossRef]
- Bergesio, F.; Ciciani, A.M.; Manganaro, M.; Palladini, G.; Santostefano, M.; Brugnano, R.; Di Palma, A.M.; Gallo, M.; Rosati, A.; Tosi, P.L.; et al. Renal Involvement in Systemic Amyloidosis: An Italian Collaborative Study on Survival and Renal Outcome. Nephrol. Dial. Transplant. 2007, 23, 941–951. [Google Scholar] [CrossRef]
- Kyle, R.A.; Bayrd, E.D. Amyloidosis: Review of 236 Cases. Medicine 1975, 54, 271–299. [Google Scholar] [CrossRef]
- Hemminki, K.; Li, X.; Försti, A.; Sundquist, J.; Sundquist, K. Incidence and Survival in Non-Hereditary Amyloidosis in Sweden. BMC Public Health 2012, 12, 974. [Google Scholar] [CrossRef]
- Staron, A.; Zheng, L.; Doros, G.; Connors, L.H.; Mendelson, L.M.; Joshi, T.; Sanchorawala, V. Marked Progress in AL Amyloidosis Survival: A 40-Year Longitudinal Natural History Study. Blood Cancer J. 2021, 11, 139. [Google Scholar] [CrossRef] [PubMed]
- Papa, R.; Lachmann, H.J. Secondary, AA, Amyloidosis. Rheum. Dis. Clin. N. Am. 2018, 44, 585–603. [Google Scholar] [CrossRef] [PubMed]
- Gertz, M.A. Immunoglobulin Light Chain Amyloidosis: 2020 Update on Diagnosis, Prognosis, and Treatment. Am. J. Hematol. 2020, 95, 848–860. [Google Scholar] [CrossRef]
- Stangou, A.J.; Hawkins, P.N. Liver Transplantation in Transthyretin-Related Familial Amyloid Polyneuropathy. Curr. Opin. Neurol. 2004, 17, 615–620. [Google Scholar] [CrossRef] [PubMed]
- Berk, J.L.; Suhr, O.B.; Obici, L.; Sekijima, Y.; Zeldenrust, S.R.; Yamashita, T.; Heneghan, M.A.; Gorevic, P.D.; Litchy, W.J.; Wiesman, J.F.; et al. Repurposing Diflunisal for Familial Amyloid Polyneuropathy: A Randomized Clinical Trial. JAMA 2013, 310, 2658. [Google Scholar] [CrossRef] [PubMed]
- Maurer, M.S.; Schwartz, J.H.; Gundapaneni, B.; Elliott, P.M.; Merlini, G.; Waddington-Cruz, M.; Kristen, A.V.; Grogan, M.; Witteles, R.; Damy, T.; et al. Tafamidis Treatment for Patients with Transthyretin Amyloid Cardiomyopathy. N. Engl. J. Med. 2018, 379, 1007–1016. [Google Scholar] [CrossRef]
- Benson, M.D.; Buxbaum, J.N.; Eisenberg, D.S.; Merlini, G.; Saraiva, M.J.M.; Sekijima, Y.; Sipe, J.D.; Westermark, P. Amyloid Nomenclature 2018: Recommendations by the International Society of Amyloidosis (ISA) Nomenclature Committee. Amyloid 2018, 25, 215–219. [Google Scholar] [CrossRef] [PubMed]
- Adams, D.; Gonzalez-Duarte, A.; O’Riordan, W.D.; Yang, C.-C.; Ueda, M.; Kristen, A.V.; Tournev, I.; Schmidt, H.H.; Coelho, T.; Berk, J.L.; et al. Patisiran, an RNAi Therapeutic, for Hereditary Transthyretin Amyloidosis. N. Engl. J. Med. 2018, 379, 11–21. [Google Scholar] [CrossRef] [PubMed]
- Zhou, P.; Ma, X.; Iyer, L.; Chaulagain, C.; Comenzo, R.L. One SiRNA Pool Targeting the λ Constant Region Stops λ Light-Chain Production and Causes Terminal Endoplasmic Reticulum Stress. Blood 2014, 123, 3440–3451. [Google Scholar] [CrossRef] [PubMed]
- Morgan, G.J.; Yan, N.L.; Mortenson, D.E.; Rennella, E.; Blundon, J.M.; Gwin, R.M.; Lin, C.-Y.; Stanfield, R.L.; Brown, S.J.; Rosen, H.; et al. Stabilization of Amyloidogenic Immunoglobulin Light Chains by Small Molecules. Proc. Natl. Acad. Sci. USA 2019, 116, 8360–8369. [Google Scholar] [CrossRef]
- Kumar, S.K.; Gertz, M.A.; Lacy, M.Q.; Dingli, D.; Hayman, S.R.; Buadi, F.K.; Short-Detweiler, K.; Zeldenrust, S.R.; Leung, N.; Greipp, P.R.; et al. Recent Improvements in Survival in Primary Systemic Amyloidosis and the Importance of an Early Mortality Risk Score. Mayo Clin. Proc. 2011, 86, 12–18. [Google Scholar] [CrossRef] [PubMed]
- Dispenzieri, A.; Merlini, G. Future Perspectives. Hematol./Oncol. Clin. N. Am. 2020, 34, 1205–1214. [Google Scholar] [CrossRef] [PubMed]
- The Inaugural Amyloidosis Forum Panelists; Blank, M.; Campbell, M.; Clarke, J.O.; Comenzo, R.; Dember, L.M.; Dispenzieri, A.; Dorbala, S.; Dunnmon, P.; Faller, D.V.; et al. The Amyloidosis Forum: A Public Private Partnership to Advance Drug Development in AL Amyloidosis. Orphanet J. Rare Dis. 2020, 15, 268. [Google Scholar] [CrossRef]
- Juneja, R.; Pati, H.P. Approach to the Diagnosis of Amyloidosis. Indian J. Hematol. Blood Transfus. 2020, 36, 246–253. [Google Scholar] [CrossRef] [PubMed]
- Falk, R.H. Diagnosis and Management of the Cardiac Amyloidoses. Circulation 2005, 112, 2047–2060. [Google Scholar] [CrossRef] [PubMed]
- Banypersad, S.M.; Sado, D.M.; Flett, A.S.; Gibbs, S.D.J.; Pinney, J.H.; Maestrini, V.; Cox, A.T.; Fontana, M.; Whelan, C.J.; Wechalekar, A.D.; et al. Quantification of Myocardial Extracellular Volume Fraction in Systemic AL Amyloidosis: An Equilibrium Contrast Cardiovascular Magnetic Resonance Study. Circ. Cardiovasc. Imaging 2013, 6, 34–39. [Google Scholar] [CrossRef] [PubMed]
- Swan, N.; Skinner, M.; O’Hara, C.J. Bone Marrow Core Biopsy Specimens in AL (Primary) Amyloidosis: A Morphologic and Immunohistochemical Study of 100 Cases. Am. J. Clin. Pathol. 2003, 120, 610–616. [Google Scholar] [CrossRef] [PubMed]
- Schönland, S.O.; Hegenbart, U.; Bochtler, T.; Mangatter, A.; Hansberg, M.; Ho, A.D.; Lohse, P.; Röcken, C. Immunohistochemistry in the Classification of Systemic Forms of Amyloidosis: A Systematic Investigation of 117 Patients. Blood 2012, 119, 488–493. [Google Scholar] [CrossRef]
- Owen, A.M.; Coleman, M.R.; Boly, M.; Davis, M.H.; Laureys, S.; Pickard, J.D. Detecting Awareness in the Vegetative State. Science 2006, 313, 1402. [Google Scholar] [CrossRef]
- Enqvist, S.; Sletten, K.; Westermark, P. Fibril Protein Fragmentation Pattern in Systemic AL-Amyloidosis. J. Pathol. 2009, 219, 473–480. [Google Scholar] [CrossRef] [PubMed]
- Picken, M.M.; Herrera, G.A. The Burden of “Sticky” Amyloid: Typing Challenges. Arch. Pathol. Lab. Med. 2007, 131, 850–851. [Google Scholar] [CrossRef]
- Hoshii, Y.; Kiyama, M.; Cui, D.; Kawano, H.; Ishihara, T. Immunohistochemical Study of Immunoglobulin Light Chain Amyloidosis with Antibodies to the Immunoglobulin Light Chain Variable Region. Pathol. Int. 2006, 56, 324–330. [Google Scholar] [CrossRef] [PubMed]
- Owen-Casey, M.P.; Sim, R.; Cook, H.T.; Roufosse, C.A.; Gillmore, J.D.; Gilbertson, J.A.; Hutchison, C.A.; Howie, A.J. Value of Antibodies to Free Light Chains in Immunoperoxidase Studies of Renal Biopsies. J. Clin. Pathol. 2014, 67, 661–666. [Google Scholar] [CrossRef] [PubMed]
- Barreca, A.; Bottasso, E.; Veneziano, F.; Giarin, M.; Nocifora, A.; Martinetti, N.; Attanasio, A.; Biancone, L.; Benevolo, G.; Roccatello, D.; et al. Immunohistochemical Typing of Amyloid in Fixed Paraffin-Embedded Samples by an Automatic Procedure: Comparison with Immunofluorescence Data on Fresh-Frozen Tissue. PLoS ONE 2021, 16, e0256306. [Google Scholar] [CrossRef] [PubMed]
- de Larrea, C.F.; Verga, L.; Morbini, P.; Klersy, C.; Lavatelli, F.; Foli, A.; Obici, L.; Milani, P.; Capello, G.L.; Paulli, M.; et al. A Practical Approach to the Diagnosis of Systemic Amyloidoses. Blood 2015, 125, 2239–2244. [Google Scholar] [CrossRef] [PubMed]
- Abildgaard, N.; Rojek, A.M.; Møller, H.E.; Palstrøm, N.B.; Nyvold, C.G.; Rasmussen, L.M.; Hansen, C.T.; Beck, H.C.; Marcussen, N. Immunoelectron Microscopy and Mass Spectrometry for Classification of Amyloid Deposits. Amyloid 2020, 27, 59–66. [Google Scholar] [CrossRef] [PubMed]
- Picken, M.M. Proteomics and Mass Spectrometry in the Diagnosis of Renal Amyloidosis. Clin. Kidney J. 2015, 8, 665–672. [Google Scholar] [CrossRef]
- Casadonte, R.; Kriegsmann, M.; Deininger, S.-O.; Amann, K.; Paape, R.; Belau, E.; Suckau, D.; Fuchser, J.; Beckmann, J.; Becker, M.; et al. Imaging Mass Spectrometry Analysis of Renal Amyloidosis Biopsies Reveals Protein Co-Localization with Amyloid Deposits. Anal. Bioanal. Chem. 2015, 407, 5323–5331. [Google Scholar] [CrossRef]
- Vrana, J.A.; Gamez, J.D.; Madden, B.J.; Theis, J.D.; Bergen, H.R.; Dogan, A. Classification of Amyloidosis by Laser Microdissection and Mass Spectrometry–Based Proteomic Analysis in Clinical Biopsy Specimens. Blood 2009, 114, 4957–4959. [Google Scholar] [CrossRef] [PubMed]
- Gilbertson, J.A.; Theis, J.D.; Vrana, J.A.; Lachmann, H.; Wechalekar, A.; Whelan, C.; Hawkins, P.N.; Dogan, A.; Gillmore, J.D. A Comparison of Immunohistochemistry and Mass Spectrometry for Determining the Amyloid Fibril Protein from Formalin-Fixed Biopsy Tissue. J. Clin. Pathol. 2015, 68, 314–317. [Google Scholar] [CrossRef]
- Mollee, P.; Boros, S.; Loo, D.; Ruelcke, J.E.; Lakis, V.A.; Cao, K.L.; Renaut, P.; Hill, M.M. Implementation and Evaluation of Amyloidosis Subtyping by Laser-Capture Microdissection and Tandem Mass Spectrometry. Clin. Proteom. 2016, 13, 30. [Google Scholar] [CrossRef] [PubMed]
- Gonzalez Suarez, M.L.; Zhang, P.; Nasr, S.H.; Sathick, I.J.; Kittanamongkolchai, W.; Kurtin, P.J.; Alexander, M.P.; Cornell, L.D.; Fidler, M.E.; Grande, J.P.; et al. The Sensitivity and Specificity of the Routine Kidney Biopsy Immunofluorescence Panel Are Inferior to Diagnosing Renal Immunoglobulin-Derived Amyloidosis by Mass Spectrometry. Kidney Int. 2019, 96, 1005–1009. [Google Scholar] [CrossRef] [PubMed]
- Lavatelli, F.; Valentini, V.; Palladini, G.; Verga, L.; Russo, P.; Foli, A.; Obici, L.; Sarais, G.; Perfetti, V.; Casarini, S.; et al. Mass Spectrometry-Based Proteomics as a Diagnostic Tool When Immunoelectron Microscopy Fails in Typing Amyloid Deposits. Amyloid 2011, 18, 64–66. [Google Scholar] [CrossRef] [PubMed]
- Gertz, M.A.; Mauermann, M.L.; Grogan, M.; Coelho, T. Advances in the Treatment of Hereditary Transthyretin Amyloidosis: A Review. Brain Behav. 2019, 9, e01371. [Google Scholar] [CrossRef] [PubMed]
- Yazaki, M.; Yoshinaga, T.; Sekijima, Y.; Kametani, F.; Okumura, N. Hereditary Fibrinogen Aα-Chain Amyloidosis in Asia: Clinical and Molecular Characteristics. Int. J. Mol. Sci. 2018, 19, 320. [Google Scholar] [CrossRef] [PubMed]
- Maurer, M.S.; Bokhari, S.; Damy, T.; Dorbala, S.; Drachman, B.M.; Fontana, M.; Grogan, M.; Kristen, A.V.; Lousada, I.; Nativi-Nicolau, J.; et al. Expert Consensus Recommendations for the Suspicion and Diagnosis of Transthyretin Cardiac Amyloidosis. Circ. Heart Fail. 2019, 12, e006075. [Google Scholar] [CrossRef] [PubMed]
- Krainer, J.; Siebenhandl, S.; Weinhäusel, A. Systemic Autoinflammatory Diseases. J. Autoimmun. 2020, 109, 102421. [Google Scholar] [CrossRef] [PubMed]
- Rowczenio, D.M.; Noor, I.; Gillmore, J.D.; Lachmann, H.J.; Whelan, C.; Hawkins, P.N.; Obici, L.; Westermark, P.; Grateau, G.; Wechalekar, A.D. Online Registry for Mutations in Hereditary Amyloidosis Including Nomenclature Recommendations. Hum. Mutat. 2014, 35, E2403–E2412. [Google Scholar] [CrossRef] [PubMed]
- Lachmann, H.J.; Gilbertson, J.A.; Gillmore, J.D.; Hawkins, P.N. Misdiagnosis of Hereditary Amyloidosis as AL (Primary) Amyloidosis. N. Engl. J. Med. 2002, 346, 1786–1791. [Google Scholar] [CrossRef]
- Hellman, U.; Alarcon, F.; Lundgren, H.-E.; Suhr, O.B.; Bonaiti-PelliÉ, C.; Planté-Bordeneuve, V. Heterogeneity of Penetrance in Familial Amyloid Polyneuropathy, ATTR Val30Met, in the Swedish Population. Amyloid 2008, 15, 181–186. [Google Scholar] [CrossRef] [PubMed]
- Dasari, S.; Theis, J.D.; Vrana, J.A.; Zenka, R.M.; Zimmermann, M.T.; Kocher, J.-P.A.; Highsmith, W.E.; Kurtin, P.J.; Dogan, A. Clinical Proteome Informatics Workbench Detects Pathogenic Mutations in Hereditary Amyloidoses. J. Proteome Res. 2014, 13, 2352–2358. [Google Scholar] [CrossRef]
- Rona, G.; Pasaoglu, L.; Ozkayar, N.; Ciliz, D.; Toprak, U.; Abat, G. Functional Evaluation of Secondary Renal Amyloidosis with Diffusion-Weighted MR Imaging. Ren. Fail. 2016, 38, 249–255. [Google Scholar] [CrossRef] [PubMed][Green Version]
- Paeng, J.C.; Choi, J.Y. Nuclear Imaging for Cardiac Amyloidosis: Bone Scan, SPECT/CT, and Amyloid-Targeting PET. Nucl. Med. Mol. Imaging 2021, 55, 61–70. [Google Scholar] [CrossRef] [PubMed]
- Razvi, Y.; Patel, R.K.; Fontana, M.; Gillmore, J.D. Cardiac Amyloidosis: A Review of Current Imaging Techniques. Front. Cardiovasc. Med. 2021, 8, 751293. [Google Scholar] [CrossRef] [PubMed]
- Phull, P.; Sanchorawala, V.; Connors, L.H.; Doros, G.; Ruberg, F.L.; Berk, J.L.; Sarosiek, S. Monoclonal Gammopathy of Undetermined Significance in Systemic Transthyretin Amyloidosis (ATTR). Amyloid 2018, 25, 62–67. [Google Scholar] [CrossRef] [PubMed]
- Ezawa, N.; Katoh, N.; Oguchi, K.; Yoshinaga, T.; Yazaki, M.; Sekijima, Y. Visualization of Multiple Organ Amyloid Involvement in Systemic Amyloidosis Using 11C-PiB PET Imaging. Eur. J. Nucl. Med. Mol. Imaging 2018, 45, 452–461. [Google Scholar] [CrossRef]
- Gallegos, C.; Miller, E.J. Advances in PET-Based Cardiac Amyloid Radiotracers. Curr. Cardiol. Rep. 2020, 22, 40. [Google Scholar] [CrossRef]
- Ehman, E.C.; El-Sady, M.S.; Kijewski, M.F.; Khor, Y.M.; Jacob, S.; Ruberg, F.L.; Sanchorawala, V.; Landau, H.; Yee, A.J.; Bianchi, G.; et al. Early Detection of Multiorgan Light-Chain Amyloidosis by Whole-Body 18F-Florbetapir PET/CT. J. Nucl. Med. 2019, 60, 1234–1239. [Google Scholar] [CrossRef]
- Derosena, R.; Koss, M.N.; Pirani, C.L. Demonstration of Amyloid Fibrils in Urinary Sediment. N. Engl. J. Med. 1975, 293, 1131–1133. [Google Scholar] [CrossRef] [PubMed]
- Nimoityn, P.; Lasker, N.; Soriano, R.Z. Detection of Urinary Amyloid in Familial Mediterranean Fever. BMJ 1976, 2, 284. [Google Scholar] [CrossRef] [PubMed]
- Orfila, C.; Graeve, P.; Guilhem, A.; Suc, J.M. Study of Light-, Electron- and Immunofluorescence Microscopy of Urinary Sediment in Amyloidosis. Virchows Arch. A Path. Anat. Histol. 1978, 379, 113–118. [Google Scholar] [CrossRef] [PubMed]
- Winer, R.L.; Wuerker, R.B.; Erickson, J.O.; Cooper, W.L. Ultrastructural Examination of Urinary Sediment: Value in Renal Amyloidosis. Am. J. Clin. Pathol. 1979, 71, 36–39. [Google Scholar] [CrossRef]
- Lindner, L.E.; Haber, M.H. Unsuitability of Electron Microscopic Examination of Urinary Sediment for the Diagnosis of Amyloidosis: Universal Presence of Fibrillar Proteins in Urine Containing Casts. Am. J. Clin. Pathol. 1979, 71, 40–42. [Google Scholar] [CrossRef] [PubMed]
- Palladini, G.; Russo, P.; Bosoni, T.; Verga, L.; Sarais, G.; Lavatelli, F.; Nuvolone, M.; Obici, L.; Casarini, S.; Donadei, S.; et al. Identification of Amyloidogenic Light Chains Requires the Combination of Serum-Free Light Chain Assay with Immunofixation of Serum and Urine. Clin. Chem. 2009, 55, 499–504. [Google Scholar] [CrossRef]
- Visram, A.; Al Saleh, A.S.; Parmar, H.; McDonald, J.S.; Lieske, J.C.; Vaxman, I.; Muchtar, E.; Hobbs, M.; Fonder, A.; Hwa, Y.L.; et al. Correlation between Urine ACR and 24-h Proteinuria in a Real-World Cohort of Systemic AL Amyloidosis Patients. Blood Cancer J. 2020, 10, 124. [Google Scholar] [CrossRef] [PubMed]
- Wechalekar, A.D.; Gillmore, J.D.; Wassef, N.; Lachmann, H.J.; Whelan, C.; Hawkins, P.N. Abnormal N-Terminal Fragment of Brain Natriuretic Peptide in Patients with Light Chain Amyloidosis without Cardiac Involvement at Presentation Is a Risk Factor for Development of Cardiac Amyloidosis. Haematologica 2011, 96, 1079–1080. [Google Scholar] [CrossRef]
- Katzmann, J.A.; Dispenzieri, A.; Kyle, R.A.; Snyder, M.R.; Plevak, M.F.; Larson, D.R.; Abraham, R.S.; Lust, J.A.; Melton, L.J.; Rajkumar, S.V. Elimination of the Need for Urine Studies in the Screening Algorithm for Monoclonal Gammopathies by Using Serum Immunofixation and Free Light Chain Assays. Mayo Clin. Proc. 2006, 81, 1575–1578. [Google Scholar] [CrossRef] [PubMed]
- Dispenzieri, A.; Katzmann, J.A.; Kyle, R.A.; Larson, D.R.; Melton, L.J.; Colby, C.L.; Therneau, T.M.; Clark, R.; Kumar, S.K.; Bradwell, A.; et al. Prevalence and Risk of Progression of Light-Chain Monoclonal Gammopathy of Undetermined Significance: A Retrospective Population-Based Cohort Study. Lancet 2010, 375, 1721–1728. [Google Scholar] [CrossRef]
- Terré, A.; Colombat, M.; Cez, A.; Martin, C.; Diet, C.; Brechignac, S.; Oghina, S.; Bodez, D.; Faguer, S.; Savey, L.; et al. AA Amyloidosis Complicating Monoclonal Gammopathies, an Unusual Feature Validating the Concept of “Monoclonal Gammopathy of Inflammatory Significance”? Int. J. Clin. Pract. 2021, 75, e14817. [Google Scholar] [CrossRef] [PubMed]
- Gillmore, J.D.; Lovat, L.B.; Persey, M.R.; Pepys, M.B.; Hawkins, P.N. Amyloid Load and Clinical Outcome in AA Amyloidosis in Relation to Circulating Concentration of Serum Amyloid A Protein. Lancet 2001, 358, 24–29. [Google Scholar] [CrossRef]
- Hosman, I.S.; Kos, I.; Lamot, L. Serum Amyloid a in Inflammatory Rheumatic Diseases: A Compendious Review of a Renowned Biomarker. Front. Immunol. 2021, 11, 631299. [Google Scholar] [CrossRef] [PubMed]
- Lavatelli, F.; di Fonzo, A.; Palladini, G.; Merlini, G. Systemic Amyloidoses and Proteomics: The State of the Art. EuPA Open Proteom. 2016, 11, 4–10. [Google Scholar] [CrossRef] [PubMed][Green Version]
- Vilà-Rico, M.; Colomé-Calls, N.; Martín-Castel, L.; Gay, M.; Azorín, S.; Vilaseca, M.; Planas, A.; Canals, F. Quantitative Analysis of Post-Translational Modifications in Human Serum Transthyretin Associated with Familial Amyloidotic Polyneuropathy by Targeted LC-MS and Intact Protein MS. J. Proteom. 2015, 127, 234–246. [Google Scholar] [CrossRef] [PubMed]
- Mills, J.R.; Barnidge, D.R.; Murray, D.L. Detecting Monoclonal Immunoglobulins in Human Serum Using Mass Spectrometry. Methods 2015, 81, 56–65. [Google Scholar] [CrossRef] [PubMed]
- VanDuijn, M.M.; Jacobs, J.F.M.; Wevers, R.A.; Engelke, U.F.; Joosten, I.; Luider, T.M. Quantitative Measurement of Immunoglobulins and Free Light Chains Using Mass Spectrometry. Anal. Chem. 2015, 87, 8268–8274. [Google Scholar] [CrossRef] [PubMed]
- Barnidge, D.R.; Dasari, S.; Botz, C.M.; Murray, D.H.; Snyder, M.R.; Katzmann, J.A.; Dispenzieri, A.; Murray, D.L. Using Mass Spectrometry to Monitor Monoclonal Immunoglobulins in Patients with a Monoclonal Gammopathy. J. Proteome Res. 2014, 13, 1419–1427. [Google Scholar] [CrossRef]
- Tasaki, M.; Ueda, M.; Obayashi, K.; Motokawa, H.; Kinoshita, Y.; Suenaga, G.; Yanagisawa, A.; Toyoshima, R.; Misumi, Y.; Masuda, T.; et al. Rapid Detection of Wild-Type and Mutated Transthyretins. Ann. Clin. Biochem. 2016, 53, 508–510. [Google Scholar] [CrossRef]
- Berghaus, N.; Schreiner, S.; Granzow, M.; Müller-Tidow, C.; Hegenbart, U.; Schönland, S.O.; Huhn, S. Analysis of the Complete Lambda Light Chain Germline Usage in Patients with AL Amyloidosis and Dominant Heart or Kidney Involvement. PLoS ONE 2022, 17, e0264407. [Google Scholar] [CrossRef]
- Dispenzieri, A.; Larson, D.R.; Rajkumar, S.V.; Kyle, R.A.; Kumar, S.K.; Kourelis, T.; Arendt, B.; Willrcih, M.; Dasari, S.; Murray, D. N-Glycosylation of Monoclonal Light Chains on Routine MASS-FIX Testing Is a Risk Factor for MGUS Progression. Leukemia 2020, 34, 2749–2753. [Google Scholar] [CrossRef]
- Kourelis, T.V.; Dasari, S.; Theis, J.D.; Ramirez-Alvarado, M.; Kurtin, P.J.; Gertz, M.A.; Zeldenrust, S.R.; Zenka, R.M.; Dogan, A.; Dispenzieri, A. Clarifying Immunoglobulin Gene Usage in Systemic and Localized Immunoglobulin Light-Chain Amyloidosis by Mass Spectrometry. Blood 2017, 129, 299–306. [Google Scholar] [CrossRef]
- Kumar, S.; Murray, D.; Dasari, S.; Milani, P.; Barnidge, D.; Madden, B.; Kourelis, T.; Arendt, B.; Merlini, G.; Ramirez-Alvarado, M.; et al. Assay to rapidly screen for immunoglobulin light chain glycosylation: A potential path to earlier AL diagnosis for a subset of patients. Leukemia 2019, 33, 254–257. [Google Scholar] [CrossRef] [PubMed]
- Ramirez-Alvarado, M.; Ward, C.J.; Huang, B.Q.; Gong, X.; Hogan, M.C.; Madden, B.J.; Charlesworth, M.C.; Leung, N. Differences in Immunoglobulin Light Chain Species Found in Urinary Exosomes in Light Chain Amyloidosis (AL). PLoS ONE 2012, 7, e38061. [Google Scholar] [CrossRef] [PubMed]
- Phelan, D.; Collier, P.; Thavendiranathan, P.; Popović, Z.B.; Hanna, M.; Plana, J.C.; Marwick, T.H.; Thomas, J.D. Relative Apical Sparing of Longitudinal Strain Using Two-Dimensional Speckle-Tracking Echocardiography Is Both Sensitive and Specific for the Diagnosis of Cardiac Amyloidosis. Heart 2012, 98, 1442–1448. [Google Scholar] [CrossRef] [PubMed]
- Quarta, C.C.; Zheng, J.; Hutt, D.; Grigore, S.F.; Manwani, R.; Sachchithanantham, S.; Mahmood, S.A.; Whelan, C.J.; Fontana, M.; Martinez-Naharro, A.; et al. 99mTc-DPD Scintigraphy in Immunoglobulin Light Chain (AL) Cardiac Amyloidosis. Eur. Heart J. Cardiovasc. Imaging 2021, 22, 1304–1311. [Google Scholar] [CrossRef]
- Colby, D.W.; Zhang, Q.; Wang, S.; Groth, D.; Legname, G.; Riesner, D.; Prusiner, S.B. Prion Detection by an Amyloid Seeding Assay. Proc. Natl. Acad. Sci. USA 2007, 104, 20914–20919. [Google Scholar] [CrossRef]
- Heerde, T.; Rennegarbe, M.; Biedermann, A.; Savran, D.; Pfeiffer, P.B.; Hitzenberger, M.; Baur, J.; Puscalau-Girtu, I.; Zacharias, M.; Schwierz, N.; et al. Cryo-EM Demonstrates the in Vitro Proliferation of an Ex Vivo Amyloid Fibril Morphology by Seeding. Nat. Commun. 2022, 13, 85. [Google Scholar] [CrossRef]
- Martin, E.; Williams, A.; Wooliver, C.; Heidel, R.E.; Adams, S.; Dunlap, J.; Ramirez-Alvarado, M.; Blancas-Mejia, L.M.; Lands, R.H.; Kennel, S.J.; et al. Differential Recruitment Efficacy of Patient-Derived Amyloidogenic and Myeloma Light Chain Proteins by Synthetic Fibrils-A Metric for Predicting Amyloid Propensity. PLoS ONE 2017, 12, E0174152. [Google Scholar] [CrossRef]
- Arosio, P.; Knowles, T.P.J.; Linse, S. On the Lag Phase in Amyloid Fibril Formation. Phys. Chem. Chem. Phys. 2015, 17, 7606–7618. [Google Scholar] [CrossRef]
- Saborio, G.P.; Permanne, B.; Soto, C. Sensitive Detection of Pathological Prion Protein by Cyclic Amplification of Protein Misfolding. Nature 2001, 411, 810–813. [Google Scholar] [CrossRef]
- Atarashi, R.; Satoh, K.; Sano, K.; Fuse, T.; Yamaguchi, N.; Ishibashi, D.; Matsubara, T.; Nakagaki, T.; Yamanaka, H.; Shirabe, S.; et al. Ultrasensitive Human Prion Detection in Cerebrospinal Fluid by Real-Time Quaking-Induced Conversion. Nat. Med. 2011, 17, 175–178. [Google Scholar] [CrossRef]
- Moda, F.; Gambetti, P.; Notari, S.; Concha-Marambio, L.; Catania, M.; Park, K.-W.; Maderna, E.; Suardi, S.; Haïk, S.; Brandel, J.-P.; et al. Prions in the Urine of Patients with Variant Creutzfeldt–Jakob Disease. N. Engl. J. Med. 2014, 371, 530–539. [Google Scholar] [CrossRef] [PubMed]
- Andrich, K.; Hegenbart, U.; Kimmich, C.; Kedia, N.; Bergen, H.R.; Schönland, S.; Wanker, E.; Bieschke, J. Aggregation of Full-Length Immunoglobulin Light Chains from Systemic Light Chain Amyloidosis (AL) Patients Is Remodeled by Epigallocatechin-3-Gallate. J. Biol. Chem. 2017, 292, 2328–2344. [Google Scholar] [CrossRef] [PubMed]
- Pradhan, T.; Annamalai, K.; Sarkar, R.; Huhn, S.; Hegenbart, U.; Schönland, S.; Fändrich, M.; Reif, B. Seeded Fibrils of the Germline Variant of Human λ-III Immunoglobulin Light Chain FOR005 Have a Similar Core as Patient Fibrils with Reduced Stability. J. Biol. Chem. 2020, 295, 18474–18484. [Google Scholar] [CrossRef] [PubMed]
- Saelices, L.; Chung, K.; Lee, J.H.; Cohn, W.; Whitelegge, J.P.; Benson, M.D.; Eisenberg, D.S. Amyloid Seeding of Transthyretin by Ex Vivo Cardiac Fibrils and Its Inhibition. Proc. Natl. Acad. Sci. USA 2018, 115, E6741–E6750. [Google Scholar] [CrossRef] [PubMed]
- Morales, R.; Moreno-Gonzalez, I.; Soto, C. Cross-Seeding of Misfolded Proteins: Implications for Etiology and Pathogenesis of Protein Misfolding Diseases. PLoS Pathog. 2013, 9, e1003537. [Google Scholar] [CrossRef]
- Blancas-Mejía, L.M.; Ramirez-Alvarado, M. Recruitment of Light Chains by Homologous and Heterologous Fibrils Shows Distinctive Kinetic and Conformational Specificity. Biochemistry 2016, 55, 2967–2978. [Google Scholar] [CrossRef]
- Yamamoto, K.; Yagi, H.; Lee, Y.-H.; Kardos, J.; Hagihara, Y.; Naiki, H.; Goto, Y. The Amyloid Fibrils of the Constant Domain of Immunoglobulin Light Chain. FEBS Lett. 2010, 584, 3348–3353. [Google Scholar] [CrossRef]
- Solomon, A.; Weiss, D.T.; Murphy, C.L.; Hrncic, R.; Wall, J.S.; Schell, M. Light chain-associated amyloid deposits comprised of a novel kappa constant domain. Proc. Natl. Acad. Sci. USA 1998, 95, 9547–9551. [Google Scholar] [CrossRef]
- Orrú, C.D.; Groveman, B.R.; Hughson, A.G.; Zanusso, G.; Coulthart, M.B.; Caughey, B. Rapid and Sensitive RT-QuIC Detection of Human Creutzfeldt-Jakob Disease Using Cerebrospinal Fluid. mBio 2015, 6, e02451-14. [Google Scholar] [CrossRef]
- Martin, E.B.; Williams, A.D.; Heidel, R.E.; Foster, J.S.; Lands, R.H.; Kennel, S.J.; Wall, J.S. A Functional Assay to Identify Amyloidogenic Light Chains. Amyloid 2018, 25, 93–100. [Google Scholar] [CrossRef]
- Finn, T.E.; Nunez, A.C.; Sunde, M.; Easterbrook-Smith, S.B. Serum Albumin Prevents Protein Aggregation and Amyloid Formation and Retains Chaperone-like Activity in the Presence of Physiological Ligands. J. Biol. Chem. 2012, 287, 21530–21540. [Google Scholar] [CrossRef] [PubMed]
- Solomon, A. [6] Light Chains of Human Immunoglobulins. In Methods in Enzymology; Elsevier: Amsterdam, The Netherlands, 1985; Volume 116, pp. 101–121. ISBN 978-0-12-182016-9. [Google Scholar]
- Corlin, D.B.; Sen, J.W.; Ladefoged, S.; Lund, G.B.; Nissen, M.H.; Heegaard, N.H. Quantification of Cleaved Β2-Microglobulin in Serum from Patients Undergoing Chronic Hemodialysis. Clin. Chem. 2005, 51, 1177–1184. [Google Scholar] [CrossRef] [PubMed]
- Nizhnikov, A.A.; Alexandrov, A.I.; Ryzhova, T.A.; Mitkevich, O.V.; Dergalev, A.A.; Ter-Avanesyan, M.D.; Galkin, A.P. Proteomic Screening for Amyloid Proteins. PLoS ONE 2014, 9, e116003. [Google Scholar] [CrossRef]
- Buhimschi, I.A.; Nayeri, U.A.; Zhao, G.; Shook, L.L.; Pensalfini, A.; Funai, E.F.; Bernstein, I.M.; Glabe, C.G.; Buhimschi, C.S. Protein Misfolding, Congophilia, Oligomerization, and Defective Amyloid Processing in Preeclampsia. Sci. Transl. Med. 2014, 6, 245ra92. [Google Scholar] [CrossRef]
- Fedotov, S.A.; Gerasimova, E.M.; Vashukova, E.S.; Pakin, V.S.; Kapustin, R.V.; Pachulia, O.V.; Glotov, A.S.; Kulichikhin, K.Y.; Chernoff, Y.O.; Rubel, A.A. Evaluation of the effectiveness of modified CRD tests in the diagnosis of preeclampsia. J. Obstet. Women’s Dis. 2022, 71, 65–74. [Google Scholar] [CrossRef]
- Gerasimova, E.M.; Fedotov, S.A.; Kachkin, D.V.; Vashukova, E.S.; Glotov, A.S.; Chernoff, Y.O.; Rubel, A.A. Protein Misfolding during Pregnancy: New Approaches to Preeclampsia Diagnostics. Int. J. Mol. Sci. 2019, 20, 6183. [Google Scholar] [CrossRef]
- Rood, K.M.; Buhimschi, C.S.; Dible, T.; Webster, S.; Zhao, G.; Samuels, P.; Buhimschi, I.A. Congo Red Dot Paper Test for Antenatal Triage and Rapid Identification of Preeclampsia. eClinicalMedicine 2019, 8, 47–56. [Google Scholar] [CrossRef]




| Amyloidogenic Protein | Sporadic (S) or Hereditary (H)/Local (L) or Systemic (S) | Overall Incidence/Prevalence of Kidney Impairment, % | Extrarenal Manifestation (Other Organ Tropism) |
|---|---|---|---|
| Ig light chains | S/S | 59/53–86 | Different organs |
| Serum amyloid A protein | S/S | 2.9/7–40 | Different organs |
| Leukocyte cell-derived chemotaxin-2 | S/S | 3.1/2.5–19.1 | Liver, lungs, spleen, adrenal glands, prostate, gastrointestinal tract, gall bladder |
| Ig heavy chains | S/S | 2.3/0.3–4.6 | Different organs |
| Ig light and heavy chains | S/S | not assessed/3.6 | Different organs |
| Fibrinogen α chain | H/S | 0.44/1.3–3.5 | Liver, spleen, gastrointestinal tract, fat |
| Transthyretin | S/S; H/S | 28/0.9–1.4 | Different organs with heart and peripheral nervous system predominance |
| Apolipoprotein A–IV | H/S | 0.35/0.1–1.06 | Heart, gastrointestinal tract, skin, lungs |
| Gelsolin | H/S | 0.18/0.8 | Cranial nerves, cornea, liver, gastrointestinal tract, skin, heart, breast, pituitary gland |
| Apolipoprotein C–II | H/L | <0.1/0.6 | - |
| Apolipoprotein A–I | H/S | 0.35/0.1–0.5 | Liver, heart, skin, larynx, gastrointestinal tract, muscles, peripheral nervous system |
| Lysozyme | H/S | <0.1/0.16 | Lymphatic nodes, liver, gastrointestinal tract, lungs, fat, heart |
| Apolipoprotein A–II | H/L | <0.1/<0.1 (extremely rare) | - |
| Apolipoprotein C–III | H/S | <0.1/<0.1 (extremely rare) | Liver, heart, spleen |
| Calcitonin | S/S | <0.1/<0.1 (extremely rare) | Thyroid gland, fat |
Publisher’s Note: MDPI stays neutral with regard to jurisdictional claims in published maps and institutional affiliations. |
© 2022 by the authors. Licensee MDPI, Basel, Switzerland. This article is an open access article distributed under the terms and conditions of the Creative Commons Attribution (CC BY) license (https://creativecommons.org/licenses/by/4.0/).
Share and Cite
Fedotov, S.A.; Khrabrova, M.S.; Anpilova, A.O.; Dobronravov, V.A.; Rubel, A.A. Noninvasive Diagnostics of Renal Amyloidosis: Current State and Perspectives. Int. J. Mol. Sci. 2022, 23, 12662. https://doi.org/10.3390/ijms232012662
Fedotov SA, Khrabrova MS, Anpilova AO, Dobronravov VA, Rubel AA. Noninvasive Diagnostics of Renal Amyloidosis: Current State and Perspectives. International Journal of Molecular Sciences. 2022; 23(20):12662. https://doi.org/10.3390/ijms232012662
Chicago/Turabian StyleFedotov, Sergei A., Maria S. Khrabrova, Anastasia O. Anpilova, Vladimir A. Dobronravov, and Aleksandr A. Rubel. 2022. "Noninvasive Diagnostics of Renal Amyloidosis: Current State and Perspectives" International Journal of Molecular Sciences 23, no. 20: 12662. https://doi.org/10.3390/ijms232012662
APA StyleFedotov, S. A., Khrabrova, M. S., Anpilova, A. O., Dobronravov, V. A., & Rubel, A. A. (2022). Noninvasive Diagnostics of Renal Amyloidosis: Current State and Perspectives. International Journal of Molecular Sciences, 23(20), 12662. https://doi.org/10.3390/ijms232012662

