CD138 Is Expressed in Different Entities of Salivary Gland Cancer and Their Lymph Node Metastases and Therefore Represents a Potential Therapeutic Target
Abstract
:1. Introduction
2. Results
2.1. Patients’ Cohort
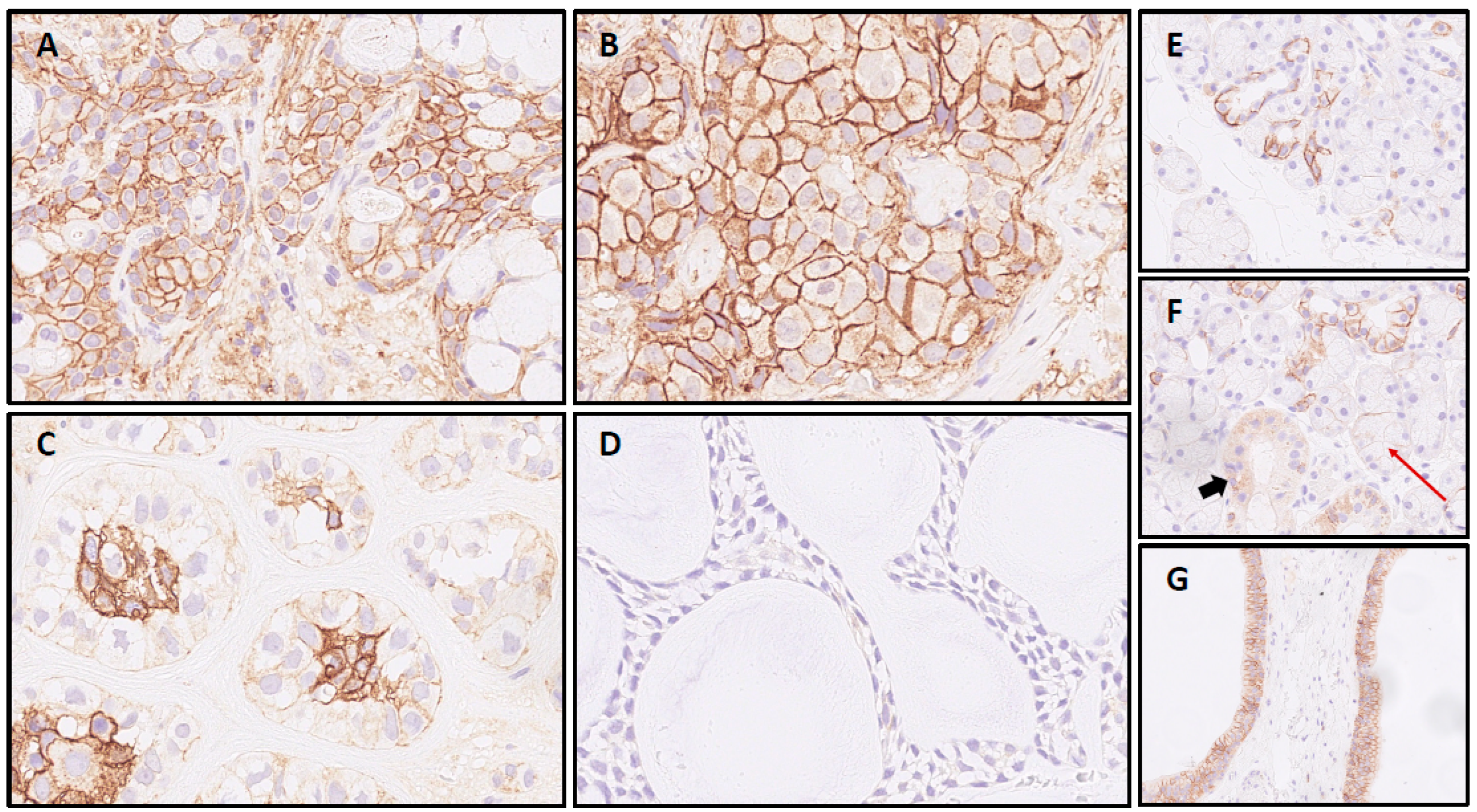
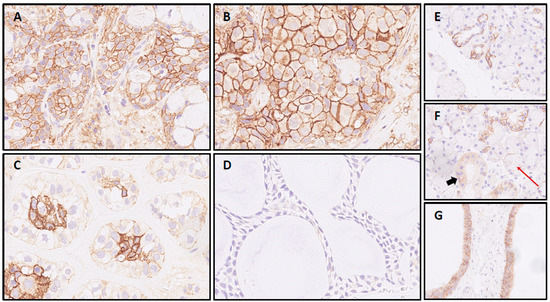
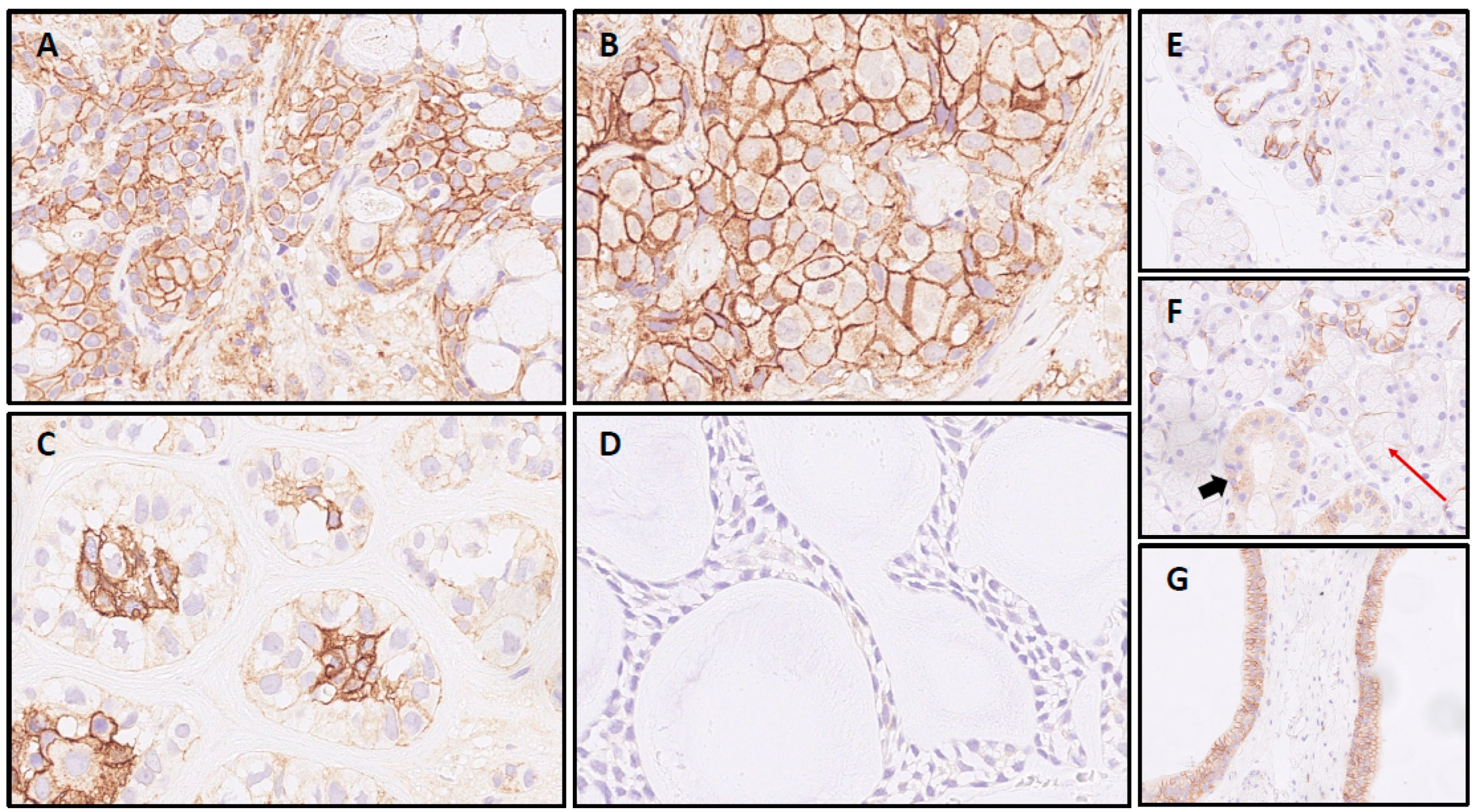
2.2. Immunohistochemistry
2.3. MALDI-MS Imaging
2.4. Survival
3. Discussion
4. Methods and Materials
4.1. Cohort
4.2. TMA Preparation and Immunohistochemical Assessment of CD138 Expression
4.3. MALDI-MS Imaging
4.4. Statistical Analysis
Author Contributions
Funding
Institutional Review Board Statement
Informed Consent Statement
Data Availability Statement
Acknowledgments
Conflicts of Interest
References
- Carvalho, A.L.; Nishimoto, I.N.; Califano, J.A.; Kowalski, L.P. Trends in incidence and prognosis for head and neck cancer in the United States: A site-specific analysis of the SEER database. Int. J. Cancer 2005, 114, 806–816. [Google Scholar] [CrossRef]
- Fitzpatrick, P.J.; Theriault, C. Malignant salivary gland tumors. Int. J. Radiat. Oncol. Biol. Phys. 1986, 12, 1743–1747. [Google Scholar] [CrossRef]
- El-Naggar, A.K.; Chan, J.K.; Grandis, J.R.; Takata, T.; Slootweg, P.J. WHO Classification of Head and Neck Tumours: International Agency for Research on Cancer; International Agency for Research on Cancer: Lyon, France, 2017. [Google Scholar]
- Pires, F.R.; de Almeida, O.P.; de Araujo, V.C.; Kowalski, L.P. Prognostic factors in head and neck mucoepidermoid carcinoma. Arch. Otolaryngol. Head Neck Surg. 2004, 130, 174–180. [Google Scholar] [CrossRef] [PubMed]
- Johnston, M.L.; Huang, S.H.; Waldron, J.N.; Atenafu, E.G.; Chan, K.; Cummings, B.J.; Gilbert, R.W.; Goldstein, D.; Gullane, P.J.; Irish, J.C.; et al. Salivary duct carcinoma: Treatment, outcomes, and patterns of failure. Head Neck. 2016, 38 (Suppl. 1), E820–E826. [Google Scholar] [CrossRef] [PubMed]
- Geiger, J.L.; Ismaila, N.; Beadle, B.; Caudell, J.J.; Chau, N.; Deschler, D.; Glastonbury, C.; Kaufman, M.; Lamarre, E.; Lau, H.Y.; et al. Management of Salivary Gland Malignancy: ASCO Guideline. J. Clin. Oncol. 2021, 39, 1909–1941. [Google Scholar] [CrossRef]
- Alfieri, S.; Granata, R.; Bergamini, C.; Resteghini, C.; Bossi, P.; Licitra, L.F.; Locati, L.D. Systemic therapy in metastatic salivary gland carcinomas: A pathology-driven paradigm? Oral. Oncol. 2017, 66, 58–63. [Google Scholar] [CrossRef]
- Chintakuntlawar, A.V.; Okuno, S.H.; Price, K.A. Systemic therapy for recurrent or metastatic salivary gland malignancies. Cancers Head Neck 2016, 1, 11. [Google Scholar] [CrossRef]
- Laurie, S.A.; Ho, A.L.; Fury, M.G.; Sherman, E.; Pfister, D.G. Systemic therapy in the management of metastatic or locally recurrent adenoid cystic carcinoma of the salivary glands: A systematic review. Lancet Oncol. 2011, 12, 815–824. [Google Scholar] [CrossRef]
- Le, X.B.C.; Baumann, J. Efficacy and safety of larotrectinib in patients with advanced TRK fusion salivary gland cancer. In Proceedings of the 10th American Head & Neck Society International Conference on Head and Neck Cancer, Abstract S030, Chicago, IL, USA, 22–25 July 2021. [Google Scholar]
- Wolber, P.; Nachtsheim, L.; Hoffmann, F.; Klussmann, J.P.; Meyer, M.; von Eggeling, F.; Guntinas-Lichius, O.; Quaas, A.; Arolt, C. Trophoblast Cell Surface Antigen 2 (Trop-2) Protein is Highly Expressed in Salivary Gland Carcinomas and Represents a Potential Therapeutic Target. Head Neck Pathol. 2021, 15, 1147–1155. [Google Scholar] [CrossRef]
- Ouyang, D.Q.; Liang, L.Z.; Zheng, G.S.; Ke, Z.F.; Weng, D.S.; Yang, W.F.; Su, Y.X.; Liao, G.Q. Risk factors and prognosis for salivary gland adenoid cystic carcinoma in southern china: A 25-year retrospective study. Medicine 2017, 96, e5964. [Google Scholar] [CrossRef]
- Gharbaran, R. Advances in the molecular functions of syndecan-1 (SDC1/CD138) in the pathogenesis of malignancies. Crit. Rev. Oncol. Hematol. 2015, 94, 1–17. [Google Scholar] [CrossRef]
- Czarnowski, D. Syndecans in cancer: A review of function, expression, prognostic value, and therapeutic significance. Cancer Treat. Res. Commun. 2021, 27, 100312. [Google Scholar] [CrossRef]
- Szatmari, T.; Dobra, K. The role of syndecan-1 in cellular signaling and its effects on heparan sulfate biosynthesis in mesenchymal tumors. Front. Oncol. 2013, 3, 310. [Google Scholar] [CrossRef]
- Rapraeger, A.C.; Ell, B.J.; Roy, M.; Li, X.; Morrison, O.R.; Thomas, G.M.; Beauvais, D.M. Vascular endothelial-cadherin stimulates syndecan-1-coupled insulin-like growth factor-1 receptor and cross-talk between alphaVbeta3 integrin and vascular endothelial growth factor receptor 2 at the onset of endothelial cell dissemination during angiogenesis. FEBS J. 2013, 280, 2194–2206. [Google Scholar]
- Voyvodic, P.L.; Min, D.; Liu, R.; Williams, E.; Chitalia, V.; Dunn, A.K.; Baker, A.B. Loss of syndecan-1 induces a pro-inflammatory phenotype in endothelial cells with a dysregulated response to atheroprotective flow. J. Biol. Chem. 2014, 289, 9547–9559. [Google Scholar] [CrossRef]
- Xian, X.; Gopal, S.; Couchman, J.R. Syndecans as receptors and organizers of the extracellular matrix. Cell. Tissue Res. 2010, 339, 31–46. [Google Scholar] [CrossRef]
- Szatmari, T.; Otvos, R.; Hjerpe, A.; Dobra, K. Syndecan-1 in Cancer: Implications for Cell Signaling, Differentiation, and Prognostication. Dis. Markers 2015, 2015, 796052. [Google Scholar] [CrossRef]
- Derksen, P.W.; de Gorter, D.J.; Meijer, H.P.; Bende, R.J.; van Dijk, M.; Lokhorst, H.M.; Bloem, A.C.; Spaargaren, M.; Pals, S.T. The hepatocyte growth factor/Met pathway controls proliferation and apoptosis in multiple myeloma. Leukemia 2003, 17, 764–774. [Google Scholar] [CrossRef]
- Kind, S.; Merenkow, C.; Buscheck, F.; Moller, K.; Dum, D.; Chirico, V.; Luebke, A.M.; Höflmayer, D.; Hinsch, A.; Jacobsen, F.; et al. Prevalence of Syndecan-1 (CD138) Expression in Different Kinds of Human Tumors and Normal Tissues. Dis. Markers 2019, 2019, 4928315. [Google Scholar] [CrossRef]
- Lee, N.Y.; Kim, N.R.; Kang, J.W.; Kim, G.; Han, M.S.; Jang, J.A.; Ahn, D.; Jeong, J.; Nam, E. Increased salivary syndecan-1 level is associated with salivary gland function and inflammation in patients with Sjogren’s syndrome. Scand. J. Rheumatol. 2022, 51, 220–229. [Google Scholar] [CrossRef]
- Wijdenes, J.; Vooijs, W.C.; Clement, C.; Post, J.; Morard, F.; Vita, N.; Laurent, P.; Sun, R.-X.; Klein, B.; Dore, J.-M. A plasmocyte selective monoclonal antibody (B-B4) recognizes syndecan-1. Br. J. Haematol. 1996, 94, 318–323. [Google Scholar] [CrossRef]
- Schonfeld, K.; Herbener, P.; Zuber, C.; Hader, T.; Bernoster, K.; Uherek, C.; Schüttrumpf, J. Activity of Indatuximab Ravtansine against Triple-Negative Breast Cancer in Preclinical Tumor Models. Pharm. Res. 2018, 35, 118. [Google Scholar] [CrossRef]
- Alaeddini, M.; Yazdani, F.; Etemad-Moghadam, S. Stromal and epithelial syndecan-1 expression in benign and malignant salivary gland tumors: Which is more reflective of behavior? Braz. J. Otorhinolaryngol. 2021, 87, 171–177. [Google Scholar] [CrossRef]
- Iqbal, N.; Iqbal, N. Human Epidermal Growth Factor Receptor 2 (HER2) in Cancers: Overexpression and Therapeutic Implications. Mol. Biol. Int. 2014, 2014, 852748. [Google Scholar] [CrossRef]
- Shah, M.A.; Kang, Y.K.; Thuss-Patience, P.C.; Ohtsu, A.; Ajani, J.A.; Van Cutsem, E.; Hoersch, S.; Harle-Yge, M.-L.; de Haas, S.L. Biomarker analysis of the GATSBY study of trastuzumab emtansine versus a taxane in previously treated HER2-positive advanced gastric/gastroesophageal junction cancer. Gastric Cancer 2019, 22, 803–816. [Google Scholar] [CrossRef]
- Couchman, J.R. Syndecan-1 (CD138), Carcinomas and EMT. Int. J. Mol. Sci. 2021, 22, 4227. [Google Scholar] [CrossRef]
- Yu, T.; Chaganty, B.; Lin, L.; Xing, L.; Ramakrishnan, B.; Wen, K.; Hsieh, P.A.; Wollacott, A.; Viswanathan, K.; Adari, H.; et al. VIS832, a novel CD138-targeting monoclonal antibody, potently induces killing of human multiple myeloma and further synergizes with IMiDs or bortezomib in vitro and in vivo. Blood Cancer J. 2020, 10, 110. [Google Scholar] [CrossRef]
- Ikeda, H.; Hideshima, T.; Fulciniti, M.; Lutz, R.J.; Yasui, H.; Okawa, Y.; Kiziltepe, T.; Vallet, S.; Pozzi, S.; Santo, L.; et al. The monoclonal antibody nBT062 conjugated to cytotoxic Maytansinoids has selective cytotoxicity against CD138-positive multiple myeloma cells in vitro and in vivo. Clin. Cancer Res. 2009, 15, 4028–4037. [Google Scholar] [CrossRef]
- Kelly, K.R.; Ailawadhi, S.; Siegel, D.S.; Heffner, L.T.; Somlo, G.; Jagannath, S.; Zimmerman, T.M.; Munshi, N.C.; Madan, S.; Chanan-Khan, A.; et al. Indatuximab ravtansine plus dexamethasone with lenalidomide or pomalidomide in relapsed or refractory multiple myeloma: A multicentre, phase 1/2a study. Lancet Haematol. 2021, 8, e794–e807. [Google Scholar] [CrossRef]
- Jagannath, S.; Heffner, L.T., Jr.; Ailawadhi, S.; Munshi, N.C.; Zimmerman, T.M.; Rosenblatt, J.; Lonial, S.; Chanan-Khan, A.; Ruehle, M.; Rharbaoui, F.; et al. Indatuximab Ravtansine (BT062) Monotherapy in Patients With Relapsed and/or Refractory Multiple Myeloma. Clin. Lymphoma Myeloma Leuk. 2019, 19, 372–380. [Google Scholar] [CrossRef]
- Anttonen, A.; Leppa, S.; Heikkila, P.; Grenman, R.; Joensuu, H. Effect of treatment of larynx and hypopharynx carcinomas on serum syndecan-1 concentrations. J. Cancer Res. Clin. Oncol. 2006, 132, 451–457. [Google Scholar] [CrossRef] [PubMed]
- Inki, P.; Joensuu, H.; Grenman, R.; Klemi, P.; Jalkanen, M. Association between syndecan-1 expression and clinical outcome in squamous cell carcinoma of the head and neck. Br. J. Cancer 1994, 70, 319–323. [Google Scholar] [CrossRef] [PubMed]
- Brierley, J.D.; Gospodarowicz, M.K.; Wittekind, C. TNM Classification of Malignant Tumours; John Wiley & Sons: Hoboken, NJ, USA, 2017. [Google Scholar]
- Stodulski, D.; Mikaszewski, B.; Majewska, H.; Kuczkowski, J. Parotid salivary duct carcinoma: A single institution’s 20-year experience. Eur. Arch. Otorhinolaryngol. 2019, 276, 2031–2038. [Google Scholar] [CrossRef] [PubMed]
- Weinreb, I.; Piscuoglio, S.; Martelotto, L.G.; Waggott, D.; Ng, C.K.; Perez-Ordonez, B.; Harding, N.; Alfaro, J.; Chu, K.C.; Viale, A.; et al. Hotspot activating PRKD1 somatic mutations in polymorphous low-grade adenocarcinomas of the salivary glands. Nat. Genet. 2014, 46, 1166–1169. [Google Scholar] [CrossRef]
- Arolt, C.; Meyer, M.; Hoffmann, F.; Wagener-Ryczek, S.; Schwarz, D.; Nachtsheim, L.; Beutner, D.; Odenthal, M.; Guntinas-Lichius, O.; Buettner, R.; et al. Expression Profiling of Extracellular Matrix Genes Reveals Global and Entity-Specific Characteristics in Adenoid Cystic, Mucoepidermoid and Salivary Duct Carcinomas. Cancers 2020, 12, 2466. [Google Scholar]







| All n = 111 | SaDu n = 27 | MuEp n = 25 | ACC n = 23 | Acin n = 12 | EpMy n = 8 | SecC n = 7 | OTH n = 9 | |
|---|---|---|---|---|---|---|---|---|
| Localization | ||||||||
| Parotid gland | 100 (90.1) | 25 (92.6) | 25 (100.0) | 16 (69.6) | 12 (100.0) | 8 (100.0) | 6 (85.7) | 8 (88.9) |
| Submandibular gland | 11 (9.9) | 2 (7.4) | 0 (0.0) | 7 (30.4) | 0 (0.0) | 0 (0.0) | 1(14.3) | 1 (11.1) |
| Demographics | ||||||||
| Female | 57 (51.4) | 6 (22.2) | 18 (72.0) | 15 (65.2) | 7 (58.3) | 2 (25.0) | 3 (42.99) | 6 (66.7) |
| Male | 54 (48.6) | 21 (77.8) | 7 (28.0) | 8 (34.8) | 5 (41.7) | 6 (75.0) | 4 (57.1) | 3 (33.3) |
| Age | 55.7 ± 17.6 | 67.2 ± 11.5 | 44.6 ± 18.3 | 51.7 ± 13.9 | 52.9 ± 18.6 | 62.6 ± 18.0 | 48.6 ± 20.0 | 66.1 ± 10.4 |
| Histopathological parameters T-stage | ||||||||
| T1–2 | 55 (49.5) | 10 (37.0) | 17 (68.0) | 10 (43.5) | 6 (50.0) | 5 (62.5) | 5 (71.4) | 2 (22.2) |
| T3–4 | 53 (47.7) | 17 (63.0) | 7 (28.0) | 12 (52.2) | 6 (50.0) | 3 (37.5) | 2 (28.6) | 6 (66.7) |
| N/A | 3 (2.7) | 0 (0.0) | 1 (4.0) | 1 (4.3) | 0 (0.0) | 0 (0.0) | 0 (0.0) | 1 (11.1) |
| N-stage | ||||||||
| N0 | 73 (65.8) | 4 (14.8) | 21 (84.0) | 16 (69.6) | 10 (83.3) | 8 (100.0) | 6 (85.7) | 8 (88.9) |
| N+ | 34 (30.6) | 23 (85.2) | 3 (12.0) | 6 (26.1) | 1 (8.3) | 0 (0.0) | 1 (14.3) | 1 (11.1) |
| N/A | 4 (3.6) | 0 (0.0) | 1 (4.0) | 1 (4.3) | 1 (8.3) | 0 (0.0) | 0 (0.0) | 0 (0.0) |
| Vascular invasion | ||||||||
| V0 | 93 (83.8) | 21 (77.8) | 23 (92.0) | 18 (78.3) | 11 (91.7) | 7 (87.5) | 6 (85.7) | 8 (88.9) |
| V1 | 10 (9.0) | 6 (22.2) | 2 (8.0) | 0 (0.0) | 0 (0.0) | 1 (12.5) | 1 (14.3) | 0 (0.0) |
| N/A | 8 (7.2) | 0 (0.0) | 0 (0.0) | 5 (21.5) | 1 (8.3) | 0 (0.0) | 0 (0.0) | 1 (11.1) |
| Perineural invasion | ||||||||
| Pn0 | 61 (55.0) | 5 (18.5) | 22 (88.0) | 8 (34.8) | 9 (75.0) | 7 (87.5) | 6 (85.7) | 4 (44.4) |
| Pn1 | 41 (36.9) | 22 (81.5) | 2 (8.0) | 11 (47.8) | 2 (16.7) | 1 (12.5) | 1 (14.3) | 3 (33.3) |
| N/A | 9 (8.1) | 0 (0.0) | 1 (4.0) | 4 (17.4) | 1 (8.3) | 0 (0.0) | 0 (0.0) | 2 (22.2) |
| Lymphovascular invasion | ||||||||
| L0 | 89 (80.2) | 15 (55.6) | 24 (96.0) | 18 (78.3) | 10 (83.3) | 7 (87.5) | 7 (100.0) | 8 (88.9) |
| L1 | 15 (13.5) | 12 (44.4) | 1 (4.0) | 0 (0.0) | 1 (8.3) | 1 (12.5) | 0 (0.0) | 0 (0.0) |
| N/A | 7 (6.3) | 0 (0.0) | 0 (0.0) | 5 (21.5) | 1 (8.3) | 0 (0.0) | 0 (0.0) | 1 (11.1) |
| Extracapsular extension | ||||||||
| ECE− | 85 (76.6) | 13 (48.1) | 24 (96.0) | 15 (65.2) | 10 (83.3) | 8 (100.0) | 7 (100.0) | 8 (88.9) |
| ECE+ | 19 (17.1) | 14 (51.9) | 1 (4.0) | 3 (13.0) | 1 (8.3) | 0 (0.0) | 0 (0.0) | 0 (0.0) |
| N/A | 7 (6.3) | 0 (0.0) | 0 (0.0) | 5 (21.7) | 1 (8.3) | 0 (0.0) | 0 (0.0) | 1 (11.1) |
| Grading | ||||||||
| Low | 26 (23.4) | 7 (25.9) | 15 (60.0) | 1 (4.3) | 1 (8.3) | 0 (0.0) | 2 (28.6) | 0 (0.0) |
| High/intermediate | 51 (45.9) | 17 (63.0) | 10 (40.0) | 16 (69.6) | 2 (16.7) | 1 (12.5) | 1 (14.3) | 4 (44.4) |
| N/A | 34 (30.6) | 3 (11.1) | 0 (0.0) | 6 (26.1) | 9 (75.0) | 7 (87.5.0) | 4 (57.1) | 5 (55.6) |
| CD138 (mean % of tumor cells, ±) | 13.9 ± 21.8 | 15.2 ± 22.0 | 25.2 ± 26.7 | 3.0 ± 7.1 | 16.0 ± 24.9 | 20.9 ± 28.9 | 0.5 ± 1.4 | 8.1 ± 9.4 |
| CD138 expression | ||||||||
| No | 45 (40.5) | 8 (29.6) | 7 (28.0) | 15 (65.2) | 4 (33.3) | 2 (25.0) | 6 (85.7) | 3 (33.3) |
| Yes | 66 (59.5) | 19 (70.4) | 18 (72.0) | 8 (34.8) | 8 (66.7) | 6 (75.0) | 1 (14.3) | 6 (66.7) |
| CD138 (mean % of tumor cells, ±, if CD138 positive) | 23.4 ± 25.0 | 21.6 ± 23.5 | 35.0 ± 25.3 | 24.1 ± 27.4 | 16.0 ± 24.9 | 27.9 ± 30.6 | 3.8 | 12.1 ± 9.1 |
| Variable | CD138 Expression (All Entities) | CD138 Expression (SaDu) | CD138 Expression (MuEp) | CD138 Expression (ACC) | ||||
|---|---|---|---|---|---|---|---|---|
| Parotid gland | 60.0% | p = 0.73 # | 68.0% | p = 0.34 # | 72.0% | N/A | 31.3% | p = 0.59 # |
| Submandibular gland | 54.5% | 100.0% | 72.0% | 42.9% | ||||
| Male | 61.1% | p = 0.73 # | 76.2% | p = 0.22 # | 57.1% | p = 0.30 # | 50.0% | p = 0.26 # |
| Female | 57.9% | 50.0% | 77.8% | 27.7% | ||||
| T1/2 | 67.3% | p = 0.13 # | 80.0% | p = 0.40 # | 76.5% | p = 0.80 # | 50.0% | p = 0.23 # |
| T3/4 | 52.8% | 64.7% | 71.4% | 25.0% | ||||
| N0 | 60.3% | p = 0.36 # | 75.0% | p = 0.83 # | 76.2% | p = 0.25 # | 37.5% | p = 0.74 # |
| N+ | 61.8% | 69.7% | 66.7% | 33.3% | ||||
| V0 | 59.1% | p = 0.58 # | 71.4% | p = 0.82 # | 73.9% | p = 0.47 # | 27.8% | N/A |
| V1 | 70.0% | 66.7% | 50.0% | 0.0% | ||||
| Pn0 | 60.7% | p = 0.70 # | 60.0% | p = 0.57 # | 72.7% | p = 0.50 # | 37.5% | p = 0.64 # |
| Pn1 | 58.5% | 72.7% | 50.0% | 27.3% | ||||
| L0 | 58.4% | p = 0.60 # | 73.3% | p = 0.71 # | 75.0% | p = 0.10 # | 27.8% | N/A |
| L1 | 66.7% | 66.7% | 0.0% | 0.0% | ||||
| ECE− | 58.8% | p = 0.67 # | 69.2% | p = 0.90 # | 75.0% | p = 0.10 # | 26.7% | p = 0.81 # |
| ECE+ | 63.2% | 71.4% | 0.0% | 33.3% | ||||
| G1 | 69.2% | p = 0.13 # | 58.8% | p = 0.20 # | 70.0% | p = 0.86 # | 0.0% | p = 0.57 # |
| G2/3 | 50.1% | 85.7% | 73.3% | 25.0% |
Publisher’s Note: MDPI stays neutral with regard to jurisdictional claims in published maps and institutional affiliations. |
© 2022 by the authors. Licensee MDPI, Basel, Switzerland. This article is an open access article distributed under the terms and conditions of the Creative Commons Attribution (CC BY) license (https://creativecommons.org/licenses/by/4.0/).
Share and Cite
Mayer, M.; Nachtsheim, L.; Hoffmann, F.; von Eggeling, F.; Guntinas-Lichius, O.; Prinz, J.; Klußmann, J.P.; Quaas, A.; Arolt, C.; Wolber, P. CD138 Is Expressed in Different Entities of Salivary Gland Cancer and Their Lymph Node Metastases and Therefore Represents a Potential Therapeutic Target. Int. J. Mol. Sci. 2022, 23, 9037. https://doi.org/10.3390/ijms23169037
Mayer M, Nachtsheim L, Hoffmann F, von Eggeling F, Guntinas-Lichius O, Prinz J, Klußmann JP, Quaas A, Arolt C, Wolber P. CD138 Is Expressed in Different Entities of Salivary Gland Cancer and Their Lymph Node Metastases and Therefore Represents a Potential Therapeutic Target. International Journal of Molecular Sciences. 2022; 23(16):9037. https://doi.org/10.3390/ijms23169037
Chicago/Turabian StyleMayer, Marcel, Lisa Nachtsheim, Franziska Hoffmann, Ferdinand von Eggeling, Orlando Guntinas-Lichius, Johanna Prinz, Jens Peter Klußmann, Alexander Quaas, Christoph Arolt, and Philipp Wolber. 2022. "CD138 Is Expressed in Different Entities of Salivary Gland Cancer and Their Lymph Node Metastases and Therefore Represents a Potential Therapeutic Target" International Journal of Molecular Sciences 23, no. 16: 9037. https://doi.org/10.3390/ijms23169037
APA StyleMayer, M., Nachtsheim, L., Hoffmann, F., von Eggeling, F., Guntinas-Lichius, O., Prinz, J., Klußmann, J. P., Quaas, A., Arolt, C., & Wolber, P. (2022). CD138 Is Expressed in Different Entities of Salivary Gland Cancer and Their Lymph Node Metastases and Therefore Represents a Potential Therapeutic Target. International Journal of Molecular Sciences, 23(16), 9037. https://doi.org/10.3390/ijms23169037

