Molecular Mechanisms of Acute Organophosphate Nephrotoxicity
Abstract
:1. Introduction: Organophosphates (OPs), Their Sources, Routes of Ingestion, and Principal Targets
Animal Models of Acute Organophosphate Toxicity
2. Molecular Pathophysiological Mechanisms of Organophosphate Nephrotoxicity
2.1. Serum Albumin
2.1.1. Binding of OPs to Albumin
2.1.2. OP-SA Complexes in the Kidneys: More Questions Than Answers
2.1.3. Protective Effects of Albumin against OPs
2.2. Oxidative Stress
2.3. Endothelial Damage
2.4. Glycosaminoglycans and Organophosphate Nephrotoxicity
2.4.1. Basement Membrane Glycosaminoglycans
2.4.2. Endothelial Glycosaminoglycans
2.5. Immunological Mechanisms of OP Nephrotoxicity
2.6. Biochemical Mechanisms of OPs Nephrotoxicity
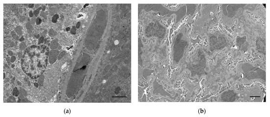
3. Histological and Ultrastructural Changes in the Kidneys
4. Conclusions
Author Contributions
Funding
Institutional Review Board Statement
Informed Consent Statement
Data Availability Statement
Conflicts of Interest
Abbreviations
| AKI | Acute kidney injury |
| Angpt | Angiopoietin |
| ARF | Acute renal failure |
| BBB | Blood–brain barrier |
| BLECs | Human-brain-like endothelial cells |
| BSA | Bovine serum albumin |
| BW | Body weight |
| BuChE | Butyrylcholinesterase |
| CAM | Cell adhesion molecules |
| cAMP | Cyclic adenosine monophosphate |
| CAT | Catalase |
| CBDP | 2-(o-Cresyl)-4H-1,3,2-benzodioxaphosphorin-2-oxide |
| CKD | Chronic kidney disease |
| CE | Carboxylesterase |
| CRP | C-reactive protein |
| CS | Chondroitin sulfate |
| CTL | Cytotoxic T lymphocyte |
| DCT | Distal convoluted tubule |
| DN | Diabetic nephropathy |
| ECC | Endogenous creatinine clearance |
| ECs | Endothelial cells |
| EndoMT | Endothelial to mesenchymal transition |
| FAO | Fatty acid oxidation |
| FcRn | Neonatal Fc receptor |
| GAG | Glycosaminoglycan |
| GBM | Glomerular basement membrane |
| GFB | Glomerular filtration barrier |
| GFR | Glomerular filtration rate |
| GECs | Glomerular endothelial cells |
| GPx | Glutathione peroxidase |
| GSH | Glutathione |
| HA | Hyaluronic acid |
| HIF | Hypoxia-inducible factor |
| HSA | Human serum albumin |
| HUS | Haemolytic uraemic syndrome |
| HUVEC | Human umbilical vein |
| ICAM-1 | Intercellular adhesion molecule 1 |
| LOPs | Lipid oxidation products |
| LAK | Lymphokine-activated killer |
| LPS | Lipopolysaccharide |
| MAPK | Mitogen-activated protein kinases |
| MDA | Malondialdehyde |
| MCP1 | Membrane cofactor protein 1 |
| MMPs | Matrix metalloproteinases |
| mTOR | Mammalian target of rapamycin |
| NAD | Nicotinamide adenine dinucleotide |
| NK | Natural killer |
| NO | Nitric oxide |
| NOX | NADPH oxidase |
| OP, OPs | Organophosphates |
| PAI1 | Plasminogen activator inhibitor 1 |
| PCT | Proximal convoluted tubule |
| PGI2 | Prostaglandin I2 |
| PKC | Protein kinase C |
| POX | Paraoxon |
| PCr | Plasma creatinine concentration |
| Prxs | Peroxiredoxins |
| RAGE | Receptor for advanced glycation end products |
| RBF | Renal blood flow |
| ROS | Reactive oxygen species |
| SOD | Superoxide dismutase |
| SPARC | Secreted protein, acidic and rich in cysteine |
| Stx | Shiga toxin |
| TEM | Transmission electron microscopy |
| TF | Tissue factor |
| TFPI | TF pathway inhibitor |
| TM | Thrombomodulin |
| tPA | Tissue plasminogen activator |
| TXA2 | Thromboxane A2 |
| USG | Urine specific gravity |
| vWF | von Willebrand factor |
| VCAM1 | Vascular cell adhesion protein 1 |
| VEGF | Vascular endothelial growth factor |
| VEGFR | VEGF receptor |
References
- Adeyinka, A.; Muco, E.; Pierre, L. Organophosphates. In Stat Pearls; Stat Pearls Publishing: Treasure Island, FL, USA, 2021. [Google Scholar]
- Reigart, R.; Roberts, J.R. (Eds.) Organophosphates. In Recognition and Management of Pesticide Poisonings, 6th ed.; US Environ. Protect. Agency: Washington, DC, USA, 2013; pp. 43–55. [Google Scholar]
- Eddleston, M.; Buckley, N.A.; Eyer, P.; Dawson, A.H. Management of acute organophosphorus pesticide poisoning. Lancet 2008, 371, 597–607. [Google Scholar] [CrossRef] [Green Version]
- Tafuri, J.; Roberts, J. Organophosphate poisoning. Ann. Emerg. Med. 1987, 16, 193–202. [Google Scholar] [CrossRef]
- Veltri, J.; Litovitz, T. 1983 annual report of the American Association of Poison Control Centers National Data Collection System. Am. J. Emerg. Med. 1984, 2, 420–443. [Google Scholar] [CrossRef]
- O’Malley, M. Clinical evaluation of pesticide exposure and poisoning. Lancet 1997, 349, 1161–1166. [Google Scholar] [CrossRef]
- Senanayake, N.; Karalliedde, L. Acute poisoning in Sri Lanka: An overview. Ceylon Med. J. 1986, 31, 61–71. [Google Scholar]
- Kwong, T.C. Organophosphate Pesticides: Biochemistry and Clinical Toxicology. Ther. Drug Monit. 2002, 24, 144–149. [Google Scholar] [CrossRef] [PubMed]
- Litovitz, T.L.; Klein-Schwartz, W.; White, S.; Cobaugh, D.J.; Youniss, J.; Drab, A.; Benson, B.E. 1999 annual report of the American Association of Poison Control Centers Toxic Exposure Surveillance System. Am. J. Emerg. Med. 2000, 18, 517–574. [Google Scholar] [CrossRef]
- Shrestha, B.; Shakya, R. Subcutaneous Organophospate Poisoning—A Case Report. J. Psychiatr. Assoc. Nepal 2013, 2, 46–48. [Google Scholar] [CrossRef] [Green Version]
- Ezzouine, H.; Kerrous, M.; El Haoui, S.; Ahdil, S.; Benslama, A. Subcutaneous Injection of Organophosphate Parathion: An Unusual Way of Intentional Acute Poisoning. J. Med. Toxicol. Clin. Med. 2016, 2, 2. [Google Scholar] [CrossRef]
- Fating, S.V.; Khobragade, D.; Bhagat, A.; Balpande, V. Case report on organophosphorus poisoning. Nat. Volatiles Essent. Oils 2021, 8, 1052–1056. Available online: https://www.nveo.org/index.php/journal/article/view/528 (accessed on 7 April 2022).
- Goldsmith, M.; Ashani, Y.; Margalit, R.; Nyska, A.; Mirelman, D.; Tawfik, D.S. A new post-intoxication treatment of paraoxon and parathion poisonings using an evolved PON1 variant and recombinant GOT1. Chem. Biol. Interact. 2016, 259 Pt B, 242–251. [Google Scholar] [CrossRef]
- Ambali, S.F.; Ayo, J.O. Sensorimotor performance deficits induced by chronic chlorpyrifos exposure in Wistar rats: Mitigative effect of vitamin C. Toxicol. Env. Chem. 2011, 93, 1212–1226. [Google Scholar] [CrossRef]
- Cao, D.; Lv, K.; Gao, W.; Fu, J.; Wu, J.; Fu, J.; Wang, Y.; Jiang, G. Presence and human exposure assessment of organophosphate flame retardants (OPEs) in indoor dust and air in Beijing, China. Ecotoxicol. Environ. Saf. 2019, 169, 383–391. [Google Scholar] [CrossRef] [PubMed]
- Balali-Mood, M.; Shariat, M. Treatment of organophosphate poisoning. Experience of nerve agents and acute pesticide poisoning on the effects of oximes. J. Physiol. 1998, 92, 375–378. [Google Scholar] [CrossRef]
- Cequier, E.; Sakhi, A.K.; Haug, L.S.; Thomsen, C. Exposure to organophosphorus pesticides in Norwegian mothers and their children: Diurnal variability in concentrations of their biomarkers and associations with food consumption. Sci. Total Environ. 2017, 590, 655–662. [Google Scholar] [CrossRef]
- Lu, C.; Barr, D.B.; Pearson, M.A.; Waller, L.A. Dietary intake and its contribution to longitudinal organophosphorus pesticide exposure in urban/ suburban children. Environ. Health Perspect. 2008, 116, 537–542. [Google Scholar] [CrossRef] [PubMed] [Green Version]
- Quir´os-Alcal´a, L.; Bradman, A.; Smith, K.; Weerasekera, G.; Odetokun, M.; Barr, D.B.; Nishioka, M.; Castorina, R.; Hubbard, A.E.; Nicas, M.; et al. Organophosphorous pesticide breakdown products in house dust and children’s urine. J. Eposure Sci. Environ. Epidemiol. 2012, 22, 559–568. [Google Scholar] [CrossRef] [Green Version]
- Trasande, L. When enough data are not enough to enact policy: The failure to ban chlorpyrifos. PLoS Biol. 2017, 15, e2003671. [Google Scholar] [CrossRef] [Green Version]
- DuBois, K.P. The toxicity of organophosphorus compounds to mammals. Bull. World Health Organ. 1971, 44, 233–240. [Google Scholar]
- Pasquet, J.; Mazuret, A.; Fournel, J.; Koenig, F.H. Acute oral and percutaneous toxicity of phosalone in the rat, in comparison with azinphosmethyl and parathion. Toxicol. Appl. Pharmacol. 1976, 37, 85–92. [Google Scholar] [CrossRef]
- Bajgar, J. Organophosphates/nerve agent poisoning: Mechanism of action, diagnosis, prophylaxis, and treatment. Adv. Clin. Chem. 2004, 38, 151–216. [Google Scholar] [CrossRef] [PubMed]
- Garcia-Repetto, R.; Martinez, D.; Repetto, M. Coefficient of distribution of some organophosphorus pesticides in rat tissue. Vet. Hum. Toxicol. 1995, 37, 226–229. [Google Scholar] [PubMed]
- Roberts, D.M.; Aaron, C.K. Management of acute organophosphorus pesticide poisoning. BMJ 2007, 334, 629–634. [Google Scholar] [CrossRef] [PubMed] [Green Version]
- Gallo, M.A.; Lawryk, N.J. Organic phosphorus pesticides. In Handbook of Pesticide Toxicology; Haves, W.J., Laws, E.R., Eds.; Academic Press Inc.: San Diego, CA, USA, 1991; Volume 2. [Google Scholar]
- Wedin, G.P. Nephrotoxicity of anticholinesterases. In Clinical and Experimental Toxicology of Organophosphates and Carbomates; Ballantyne, B., Marrs, T.C., Eds.; Britterworth-Heinemann Ltd.: Oxford, UK, 1992; pp. 195–202. [Google Scholar]
- Albright, R.K.; Kram, B.W.; White, R.P. Malathion exposure associated with acute renal failure. JAMA 1983, 250, 2469. [Google Scholar] [CrossRef]
- Kushnir, A.; Finkelstein, Y.; Raikhlin, B.; Taitelman, U. Multihospital study of severe acute organophosphate insecticide poisoning. Vet. Hum. Toxicol. 1988, 30, 366. [Google Scholar]
- Wedin, G.P.; Pennente, C.M.; Sachdev, S.S. Renal involvement in organophosphate poisoning. JAMA 1984, 252, 1408. [Google Scholar] [CrossRef]
- Kerem, M.; Bedirli, N.; Guerbuez, N.; Ekinci, O.; Bedirli, A.; Akkaya, T.; Sakrak, O.; Pasaoglu, H. Effects of Acute FenthionToxicity on Liver and Kidney Function and Histology in Rats. Turk. J. Med. Sci. 2007, 37, 281–288. [Google Scholar]
- Kaya, Y.; Bas, O.; Hanci, H.; Cankaya, S.; Nalbant, I.; Odaci, E.; Aslan, A. Acute renal involvement in organophosphate poisoning: Histological and immunochemical investigations. Ren. Fail. 2018, 40, 410–415. [Google Scholar] [CrossRef]
- Boroushaki, M.T.; Arshadi, D.; Jalili-Rasti, H. Protective effect of pomegranate seed oil against acute toxicity of diazinon in rat kidney. Iran. J. Pharm. Res. 2013, 12, 821–827. [Google Scholar]
- Possamai, F.P.; Fortunato, J.J.; Feier, G.; Agostinho, F.; de Quevedo, J.L.; Filho, D.W.; Pizzol, F.D. Oxidative stress after acute and sub-chronic malathion intoxication in Wistar rats. Environ. Toxicol. Pharmacol. 2007, 23, 198–204. [Google Scholar] [CrossRef]
- Al-Attar, A.M. Physiological and Histopathological Investigations on the Effects of a-Lipoic Acid in Rats Exposed to Malathion. J. Biomed. Biotechnol. 2010, 2010, 203503. [Google Scholar] [CrossRef] [PubMed] [Green Version]
- Ahmed, N.S.; Mohamed, A.S.; Abdel-Wahhab, M.A. Chlorpyrifos-induced oxidative stress and histological changes in retinas and kidney in rats: Protective role of ascorbic acid and alpha tocopherol. Pestic. Biochem. Physiol. 2010, 98, 33–38. [Google Scholar] [CrossRef]
- Hou, Y.; Zeng, Y.; Li, S.; Qi, L.; Xu, W.; Wang, H.; Zhao, X.; Sun, C. Effect of quercetin against dichlorvos induced nephrotoxicity in rats. Exp. Toxicol. Pathol. 2014, 66, 211–218. [Google Scholar] [CrossRef]
- Satar, S.; Satar, D.; Mete, U.O.; Suchard, J.R.; Topal, M.; Kaya, M. Ultrastructural effects of acute organophosphate poisoning on rat kidney. Ren. Fail. 2005, 27, 623–627. [Google Scholar] [CrossRef]
- Eid, R.A. Apoptosis of Rat Renal Cells by Organophosphate Pesticide, Quinalphos: Ultrastructural Study. Saudi. J. Kidney Dis. Transpl. 2017, 28, 725–736. [Google Scholar] [PubMed]
- Fuentes-Delgado, V.H.; Martínez-Saldaña, M.C.; Rodríguez-Vázquez, M.L.; Reyes-Romero, M.A.; Reyes-Sánchez, J.L.; Jaramillo-Juárez, F. Renal damage induced by the pesticide methyl parathion in maleWistar rats. J. Toxicol. Env. Health Part A 2018, 81, 130–141. [Google Scholar] [CrossRef]
- Cavari, Y.; Landau, D.; Sofer, S.; Leibson, T.; Lazar, I. Organophosphate poisoning-induced acute renal failure. Ped. Emerg. Care 2013, 29, 646–647. [Google Scholar] [CrossRef]
- Lee, F.Y.; Chen, W.K.; Lin, C.L.; Lai, C.Y.; Wu, Y.S.; Lin, I.C.; Kao, C.H. Organophosphate Poisoning and Subsequent Acute Kidney Injury Risk: A Nationwide Population-based Cohort Study. Medicine 2015, 94, 2107. [Google Scholar] [CrossRef]
- Zafar, R.; Munawar, K.; Nasrullah, A.; Haq, S.; Ghazanfar, H.; Sheikh, A.B.; Khan, A.Y. Renal failure due to organophosphatepoisoning: A case report. Cureus 2017, 27, 523. [Google Scholar] [CrossRef] [Green Version]
- Mullins, L.J.; Conway, B.R.; Menzies, R.I.; Denby, L.; Mullins, J.J. Renal disease pathophysiology and treatment: Contributions from the rat. Dis. Models Mech. 2016, 9, 1419–1433. [Google Scholar] [CrossRef] [Green Version]
- Sullivan JBKrieger, G.R. Clinical Environmental Health and Toxic Exposures; Lippincott Williams & Wilkins: Philadelphia, PA, USA, 2001; p. 1323. [Google Scholar]
- Jacobson, M.H.; Wu, Y.; Liu, M.; Kannan, K.; Li, A.J.; Robinson, M.; Warady, B.A.; Furth, S.; Trachtman, H.; Trasande, L. Organophosphate pesticides and progression of chronic kidney disease among children: A prospective cohort study. Environ. Int. 2021, 155, 106597. [Google Scholar] [CrossRef] [PubMed]
- Walum, E. Acute oral toxicity. Environ. Health Perspect. 1998, 106 (Suppl. 2), 497–503. [Google Scholar] [CrossRef] [PubMed]
- Chinedu, E.; Arome, D.; Ameh, F.S. A new method for determining acute toxicity in animal models. Toxicol. Int. 2013, 20, 224. [Google Scholar] [CrossRef] [Green Version]
- Rizzati, V.; Briand, O.; Guillou, H.; Gamet-Payrastre, L. Effects of pesticide mixtures in human and animal models: An update of the recent literature. Chem.-Biol. Interact. 2016, 254, 231–246. [Google Scholar] [CrossRef] [PubMed] [Green Version]
- Poirier, L.; Jacquet, P.; Plener, L.; Masson, P.; Daudé, D.; Chabrière, E. Organophosphorus poisoning in animals and enzymatic antidotes. Environ. Sci. Pollut. Res. 2021, 28, 25081–25106. [Google Scholar] [CrossRef] [PubMed]
- Tsai, Y.H.; Lein, P.J. Mechanisms of organophosphate neurotoxicity. Curr. Opin. Toxicol. 2021, 26, 49–60. [Google Scholar] [CrossRef]
- Pereira, E.F.; Aracava, Y.; DeTolla, L.J.; Beecham, E.J.; Basinger, G.W.; Wakayama, E.J.; Albuquerque, E.X. Animal models that best reproduce the clinical manifestations of human intoxication with organophosphorus compounds. J. Pharmacol. Exp. Therap. 2014, 350, 313–321. [Google Scholar] [CrossRef] [Green Version]
- Guignet, M.; Dhakal, K.; Flannery, B.M.; Hobson, B.A.; Zolkowska, D.; Dhir, A.; Bruun, D.A.; Shuyang, L.; Wahab, A.; Harvey, D.J.; et al. Persistent behavior deficits, neuroinflammation, and oxidative stress in a rat model of acute organophosphate intoxication. Neurobiol. Dis. 2020, 133, 104431. [Google Scholar] [CrossRef]
- Hatfield, M.J.; Umans, R.A.; Hyatt, J.L.; Edwards, C.C.; Wierdl, M.; Tsurkan, L.; Taylor, M.R.; Potter, P.M. Carboxylesterases: General detoxifying enzymes. Chem. Biol. Interact. 2016, 259, 327–331. [Google Scholar] [CrossRef] [Green Version]
- Lian, J.; Nelson, R.; Lehner, R. Carboxylesterases in lipid metabolism: From mouse to human. Protein Cell. 2018, 9, 178–195. [Google Scholar] [CrossRef]
- Li, B.; Sedlacek, M.; Manoharan, I.; Boopathy, R.; Duysen, E.G.; Masson, P.; Lockridge, O. Butyrylcholinesterase, paraoxonase, and albumin esterase, but not carboxylesterase, are present in human plasma. Biochem. Pharmacol. 2005, 70, 1673–1684. [Google Scholar] [CrossRef] [PubMed]
- Goncharov, N.V.; Terpilowski, M.A.; Shmurak, V.I.; Belinskaya, D.A.; Avdonin, P.V. The rat (Rattus norvegicus) as a model object for acute organophosphate poisoning. 1. Biochemical aspects. J. Evol. Biochem. Physiol. 2019, 55, 112–123. [Google Scholar] [CrossRef]
- Kuznetsov, S.V.; Goncharov, N.V. The Rat (Rattus norvegicus) as a Model Object for Acute Organophosphate Poisoning. 3. Cardiorespiratory Indices. J. Evol. Biochem. Physiol. 2019, 55, 239–243. [Google Scholar] [CrossRef]
- Sobolev, V.E.; Shmurak, V.I.; Goncharov, N.V. Rat (Rattus) norvegicus as a research object in the model of acute intoxication with organophosphorous compound. 4. M1-cholinergic receptors and esterase activity in the brain homogenates. J. Evol. Biochem. Physiol. 2019, 55, 219–222. [Google Scholar] [CrossRef]
- Sobolev, V.E.; Korf, E.A.; Goncharov, N.V. The Rat (Rattus norvegicus) as a Model Object for Acute Organophosphate Poisoning. 5. Morphofunctional Alterations in Kidneys. J. Evol. Biochem. Physiol. 2019, 55, 302–312. [Google Scholar] [CrossRef]
- Sobolev, V.E.; Sokolova, M.O.; Jenkins, R.O.; Goncharov, N.V. Nephrotoxic Effects of Paraoxon in Three Rat Models of Acute Intoxication. Int. J. Mol. Sci. 2021, 22, 13625. [Google Scholar] [CrossRef]
- Goncharov, N.V.; Belinskaia, D.A.; Shmurak, V.I.; Terpilowski, M.A.; Jenkins, R.O.; Avdonin, P.V. Serum Albumin Binding and Esterase Activity: Mechanistic Interactions with Organophosphates. Molecules 2017, 22, 1201. [Google Scholar] [CrossRef] [Green Version]
- Belinskaia, D.A.; Voronina, P.A.; Shmurak, V.I.; Vovk, M.A.; Batalova, A.A.; Jenkins, R.O.; Goncharov, N.V. The universal soldier: Enzymatic and non-enzymatic antioxidant functions of serum albumin. Antioxidants 2020, 9, 966. [Google Scholar] [CrossRef]
- Sugio, S.; Kashima, A.; Mochizuki, S.; Noda, M.; Kobayashi, K. Crystal structure of human serumalbumin at 2.5 A resolution. Protein. Eng. 1999, 12, 439–446. [Google Scholar] [CrossRef]
- Sudlow, G.; Birkett, D.J.; Wade, D.N. Further characterization of specific drug binding sites on human serum albumin. Mol. Pharmacol. 1976, 12, 1052–1061. [Google Scholar]
- Merlot, A.M.; Kalinowski, D.S.; Richardson, D.R. Unraveling the mysteries of serum albumin—More than just a serum protein. Front. Physiol. 2014, 5, 299. [Google Scholar] [CrossRef] [PubMed] [Green Version]
- Silva, D.; Cortez, C.M.; Cunha-Bastos, J.; Louro, S.R. Methyl parathion interaction with human and bovine serum albumin. Toxicol. Lett. 2004, 147, 53–61. [Google Scholar] [CrossRef] [PubMed]
- Ascenzi, P.; Bocedi, A.; Notari, S.; Fanali, G.; Fesce, R.; Fasano, M. Allosteric Modulation of Drug Binding to Human Serum Albumin. Mini-Rev. Med. Chem. 2006, 6, 483–489. [Google Scholar] [CrossRef] [PubMed]
- Ascenzi, P.; Fasano, M. Allostery in a monomeric protein: The case of human serum albumin. Biophys. Chem. 2010, 148, 16–22. [Google Scholar] [CrossRef]
- Jacobsen, J.; Brodersen, R. Albumin-bilirubin binding mechanism. J. Biol. Chem. 1983, 258, 6319–6326. [Google Scholar] [CrossRef]
- Uchida, H.; Hanano, M. Conformational Changes of Human Serum Albumin by Binding of Small Molecules. Chem. Pharm. Bull. 1974, 22, 1571–1579. [Google Scholar] [CrossRef] [Green Version]
- Danesh, N.; Sedighi, Z.N.; Beigoli, S.; Sharifi-Rad, A.; Saberi, M.R.; Chamani, J. Determining the binding site and binding affinity of estradiol to human serum albumin and holo-transferrin: Fluorescence spectroscopic, isothermal titration calorimetry and molecular modeling approaches. J. Biomol. Struct. Dyn. 2017, 36, 1747–1763. [Google Scholar] [CrossRef]
- Barzegar, A.; Moosavi-Movahedi, A.; Sattarahmady, N.; Hosseinpour-Faizi, M.; Aminbakhsh, M.; Ahmad, F.; Saboury, A.; Ganjali, M.R.; Norouzi, P. Spectroscopic Studies of the Effects of Glycation of Human Serum Albumin on L-Trp Binding. Prot. Pept. Lett. 2007, 14, 13–18. [Google Scholar] [CrossRef]
- Fitos, I.; Kardos, J.; Visy, J. Stereoselective kinetics of warfarin binding to human serum albumin: Effect of an allosteric interaction. Chirality 2002, 14, 442–448. [Google Scholar] [CrossRef]
- Bree, F.; Urien, S.; Nguyen, P.; Tillement, J.P.; Steiner, A.; Vallat-Molliet, C.; Testa, B.; Visy, J.; Simonyi, M. Human Serum Albumin Conformational Changes as Induced by Tenoxicam and Modified by Simultaneous Diazepam Binding. J. Piharm. Pharmacol. 1993, 45, 1050–1053. [Google Scholar] [CrossRef]
- Dahiya, V.; Anand, B.G.; Kar, K.; Pal, S. In vitro interaction of organophosphate metabolites with bovine serum albumin: A comparative (1) H NMR, fluorescence and molecular docking analysis. Pestic. Biochem. Physiol. 2020, 163, 39–50. [Google Scholar] [CrossRef] [PubMed]
- Belinskaia, D.A.; Terpilovskii, M.A.; Batalova, A.A.; Goncharov, N.V. Effect of Cys34 Oxidation State of Albumin on Its Interaction with Paraoxon according to Molecular Modeling Data. Russ. J. Bioorg. Chem. 2019, 45, 535–544. [Google Scholar] [CrossRef]
- Dahiya, V.; Anand, B.G.; Kar, K.; Pal, S. Analyzing organophosphate pesticide-serum albumin binding interaction: A combined STD NMR and molecular docking study. J. Biomol. Struct. Dyn. 2020, 39, 1865–1878. [Google Scholar] [CrossRef] [PubMed]
- Belinskaya, D.A.; Shmurak, V.I.; Taborskaya, K.I.; Avdonin, P.P.; Avdonin, P.V.; Goncharov, N.V. In silico analysis of paraoxon binding by human and bovine serum albumin. J. Evol. Biochem. Physiol. 2017, 53, 191–199. [Google Scholar] [CrossRef]
- Schnitzer, J.E. gp60 is an albumin-binding glycoprotein expressed by continuous endothelium involved in albumin transcytosis. Am. J. Physiol. 1992, 262, 246–254. [Google Scholar] [CrossRef]
- Brekken, R.A.; Sage, E.H. SPARC, a matricellular protein: At the crossroads of cell-matrix communication. Matrix Biol. 2001, 19, 816–827. [Google Scholar] [CrossRef]
- Zhai, X.Y.; Nielsen, R.; Birn, H.; Drumm, K.; Mildenberger, S.; Freudinger, R.; Moestrup, S.K.; Verroust, P.J.; Christensen, E.I.; Gekle, M. Cubilin- and megalin-mediated uptake of albumin in cultured proximal tubule cells of opossum kidney. Kidney Int. 2000, 58, 1523–1533. [Google Scholar] [CrossRef] [Green Version]
- Amsellem, S.; Gburek, J.; Hamard, G.; Nielsen, R.; Willnow, T.E.; Devuyst, O.; Nexo, E.; Verroust, P.J.; Christensen, E.I.; Kozyraki, R. Cubilin is essential for albumin reabsorption in the renal proximal tubule. J. Am. Soc. Nephrol. 2010, 21, 1859–1867. [Google Scholar] [CrossRef] [Green Version]
- Christensen, E.I.; Birn, H. Megalin and cubilin: Multifunctional endocytic receptors. Nat. Rev. Mol. Cell Biol. 2002, 3, 258–267. [Google Scholar] [CrossRef]
- Peres, G.B.; Michelacci, Y.M. The role of proximal tubular cells in the early stages of diabetic nephropathy. J. Diabetes Metab. 2015, 6, 2. [Google Scholar] [CrossRef]
- Birn, H.; Fyfe, J.C.; Jacobsen, C.; Mounier, F.; Verroust, P.J.; Orskov, H.; Willnow, T.E.; Moestrup, S.K.; Christensen, E.I. Cubilin is an albumin binding protein important for renal tubular albumin reabsorption. J. Clin. Investig. 2000, 105, 1353–1361. [Google Scholar] [CrossRef] [PubMed] [Green Version]
- Storm, T.; Emma, F.; Verroust, P.J.; Hertz, J.M.; Nielsen, R.; Christensen, E.I. A patient with cubilin deficiency. N. Engl. J. Med. 2011, 364, 89–91. [Google Scholar] [CrossRef] [PubMed] [Green Version]
- Cui, S.; Verroust, P.J.; Moestrup, S.K.; Christensen, E.I. Megalin/gp330 mediates uptake of albumin in renal proximal tubule. Am. J. Physiol. 1996, 271 Pt 2, 900–907. [Google Scholar] [CrossRef]
- Weyer, K.; Storm, T.; Shan, J.; Vainio, S.; Kozyraki, R.; Verroust, P.J.; Christensen, E.I.; Nielsen, R. Mouse model of proximal tubule endocytic dysfunction. Nephrol. Dial. Transplant. 2011, 26, 3446–3451. [Google Scholar] [CrossRef] [PubMed] [Green Version]
- Thrailkill, K.M.; Nimmo, T.; Bunn, R.C.; Cockrell, G.E.; Moreau, C.S.; Mackintosh, S.; Fowlkes, J.L. Microalbuminuria in type 1 diabetes is associated with enhanced excretion of the endocytic multiligand receptors megalin and cubilin. Diabetes Care 2009, 32, 1266–1268. [Google Scholar] [CrossRef] [Green Version]
- Borvak, J.; Richardson, J.; Medesan, C.; Antohe, F.; Radu, C.; Simionescu, M.; Ward, E.S. Functional expression of the MHC class I-related receptor, FcRn, in endothelial cells of mice. Int. Immunol. 1998, 10, 1289–1298. [Google Scholar] [CrossRef] [Green Version]
- Tian, Z.; Sutton, B.J.; Zhang, X. Distribution of rat neonatal Fc receptor in the principal organs of neonatal and pubertal rats. J. Recept. Signal Transduct. 2014, 34, 137–142. [Google Scholar] [CrossRef]
- Raghavan, M.; Bonagura, V.R.; Morrison, S.L.; Bjorkman, P.J. Analysis of the pH dependence of the neonatal Fc receptor/immunoglobulin G interaction using antibody and receptor variants. Biochemistry 1995, 34, 14649–14657. [Google Scholar] [CrossRef]
- Chaudhury, C.; Brooks, C.L.; Carter, D.C.; Robinson, J.M.; Anderson, C.L. Albumin binding to FcRn: Distinct from the FcRn−IgG interaction. Biochemistry 2006, 45, 4983–4990. [Google Scholar] [CrossRef]
- Chaudhury, C.; Mehnaz, S.; Robinson, J.M.; Hayton, W.L.; Pearl, D.K.; Roopenian, D.C.; Anderson, C.L. The major histocompatibility complex–related Fc receptor for IgG (FcRn) binds albumin and prolongs its lifespan. J. Exp. Med. 2003, 197, 315–322. [Google Scholar] [CrossRef] [Green Version]
- Sarav, M.; Wang, Y.; Hack, B.K.; Chang, A.; Jensen, M.; Bao, L.; Quigg, R.J. Renal FcRn reclaims albumin but facilitates elimination of IgG. J. Am. Soc. Nephrol. 2009, 20, 1941–1952. [Google Scholar] [CrossRef] [PubMed] [Green Version]
- Tenten, V.; Menzel, S.; Kunter, U.; Sicking, E.M.; van Roeyen, C.R.; Sanden, S.K.; Moeller, M.J. Albumin is recycled from the primary urine by tubular transcytosis. J. Am. Soc. Nephrol. 2013, 24, 1966–1980. [Google Scholar] [CrossRef] [PubMed] [Green Version]
- Christensen, E.I.; Birn, H. Tubular handling of albumin—Degradation or salvation? Nat. Rev. Nephrol. 2013, 9, 700–702. [Google Scholar] [CrossRef] [PubMed]
- Yamagishi, Y.; Iwase, H.; Ogra, Y. Effects of human serum albumin on post-mortem changes of malathion. Sci. Rep. 2021, 11, 11573. [Google Scholar] [CrossRef]
- Noh, E.; Moon, J.M.; Chun, B.J.; Cho, Y.S.; Ryu, S.J.; Kim, D. The clinical role of serum albumin in Organophospate poisoning. Basic Clin. Pharmacol. Toxicol. 2021, 128, 605–614. [Google Scholar] [CrossRef]
- Pichamuthu, K.; Jerobin, J.; Nair, A.; John, G.T.; Kamalesh, J.; Thomas, K.; Jose, A.; Fleming, J.J.; Zachariah, A.; David, S.; et al. Bioscavenger therapy for organophosphate poisoning-an open-labeled pilot randomized trial comparing fresh frozen plasma or albumin with saline in acute organophosphate poisoning in humans. Clin. Toxicol. 2010, 48, 813–819. [Google Scholar] [CrossRef]
- Lessenger, J.E.; Resse, B.E. The patophysiology of acetylcholinesterase inhibiting pesticides. Agromed 2000, 7, 5–19. [Google Scholar] [CrossRef]
- Gaspari, R.J.; Paydarfar, D. Respiratory failure inducend by acute organophosphate poisoning in rats: Effects of vagotomy. Neurotoxicol 2009, 30, 298–304. [Google Scholar] [CrossRef]
- Jayawardane, P.; Senanayake, N.; Buckley, N.A.; Dawson, A.H. Electrophysiological correlates of respiratory failure in acute organophosphate poisoning: Evidence for differential roles of muscarinic and nicotinic stimulation. Clin. Toxicol. 2012, 50, 250–253. [Google Scholar] [CrossRef]
- Casey, P.; Vale, J.P. Deaths from pesticide poisoning in England and Wes: 1945–1999. Hut. Exper. Toxicol. 1999, 13, 95–101. [Google Scholar] [CrossRef]
- Casida, J.E.; Quistad, G.B. Organophosphate toxicology: Safety aspects of nonacetylcholintsterase secondary targets. Chem. Res. Toxicol. 2004, 17, 983. [Google Scholar] [CrossRef] [PubMed]
- Abraham, S.O.; Sahar, R.; Kadar, T. QTc prolongation and cardiac lesions following acute organophosphate poisoning. Proc. West Pharmacol. Soc. 2001, 44, 185–186. [Google Scholar] [PubMed]
- Altuntas, I.; Delibas, N.; Sutcu, R. The effects of organophosphorus insecticide methi-dathion on lipid peroxidation and anti-oxidant enzymes in rat erythrocytes: Role of vitamins E and C. Hum. Exp. Toxicol. 2002, 21, 681–685. [Google Scholar] [CrossRef] [PubMed]
- Shah, M.D.; Iqbal, M. Diazinon-induced oxidative stress and renal dysfunction in rats. Food Chem. Toxicol. 2010, 48, 3345–3353. [Google Scholar] [CrossRef] [PubMed]
- Schneider, C.D.; Oliveira, A.R.D. Oxygen free radicals and exercise: Mechanisms of synthesis and adaptation to the physical training. Rev. Bras. Med. Espar. 2004, 10, 308–313. [Google Scholar] [CrossRef] [Green Version]
- Salehi, M.; Jafari, M.; Asgari, A.; Salimian, M.; Abbasnezhad, M. Strain-Related Differences on Response of Liver and Kidney Antioxidant Defense System in Two Rat Strains Following Diazinon Exposure. Zahedan J. Res. Med. Sci. 2016, 18, E5988. [Google Scholar] [CrossRef] [Green Version]
- Badr, A.M. Organophosphate toxicity: Updates of malathion potential toxic effects in mammals and potential treatments. Environ. Sci. Pollut. Res. 2020, 27, 26036–26057. [Google Scholar] [CrossRef]
- Vidyasagar, J.; Karunakar, N.; Reddy, M.S.; Rajnarayana, K.; Surender, T.; Krishna, D.R. Oxidative stress and antioxidant status in acute organophosphorous insecticide poisoning. Indian. J. Pharmacol. 2004, 36, 76–79. [Google Scholar]
- Jusman, S.A.; Halim, A. Oxidative stress in liver tissue of rat induced by chronic systemic hypoxia. Makara J. Health Res. 2010, 34–38. [Google Scholar] [CrossRef] [Green Version]
- Ahmad, R.; Tripathi, A.K.; Tripathi, P.; Singh, R.; Singh, S.; Singh, R.K. Studies on lipid peroxidation and non-enzymatic antioxidant status as indices of oxidative stress in patients with chronic myeloid leukaemia. Singap. Med. J. 2010, 51, 110. [Google Scholar]
- Gultekin, F. The effect of organophosphate insecticide chlorpyrifos-ethyl on lipid peroxidation and antioxidant enzymes (in vitro). Arch. Toxicol. 2000, 74, 533–538. [Google Scholar] [CrossRef] [PubMed]
- Akhgari, M.; Abdollahi, M.; Kebryaeezadeh, A.; Hosseini, R.; Sabzevari, O. Biochemical evidence for free radical-induced lipid peroxidation as a mechanism for subchronic toxicity of malathion in blood and liver of rats. Hum. Exp. Toxicol. 2003, 22, 205–211. [Google Scholar] [CrossRef]
- Banerjee, B.D.; Seth, V.; Bhattacharya, A.; Pasha, S.T.; Chakraborty, A.K. Biochemical effects of some pesticides on lipid peroxidation and freeradical scavengers. Toxicol. Lett. 1999, 107, 33–47. [Google Scholar] [CrossRef]
- Ranjbar, A.; Pasalar, P.; Abdollahi, M. Induction of oxidative stress and acetylcholinesterase inhibition in organophosphorous pesticide manufacturing workers. Hum. Exp. Toxicol. 2002, 21, 179–182. [Google Scholar] [CrossRef]
- Verma, R.S. Chlorpyrifos-induced alterations in levels of thiobarbituric acid reactive substances and glutathione in rat brain. Indian. J. Exp. Biol. 2001, 39, 174–177. [Google Scholar]
- Gupta, R.C. Depletion of energy metabolites following acetylcholinesterase inhibitor-induced status epilepticus: Protection by antioxidants. Neurotoxicol 2001, 22, 271–282. [Google Scholar] [CrossRef]
- Baiomy, A.A.; Attia, H.F.; Soliman, M.M.; Makrum, O. Protective effect of ginger and zinc chloride mixture on the liver and kidney alterations induced by malathion toxicity. Int. J. Immunopathol. Pharmacol. 2015, 28, 122–128. [Google Scholar] [CrossRef] [Green Version]
- Coban, F.K.; Ince, S.; Kucukkurt, I.; Demirel, H.H.; Hazman, O. Boron attenuates malathion-induced oxidative stress and acetylcholinesterase inhibition in rats. Drug Chem. Toxicol. 2015, 38, 391–399. [Google Scholar] [CrossRef]
- Yokota, K.; Fukuda, M.; Katafuchi, R.; Okamoto, T. Nephrotic syndrome and acute kidney injury induced by malathion toxicity. BMJ Case Rep. 2017, bcr2017220733. [Google Scholar] [CrossRef]
- Selmi, S.; Rtibi, K.; Grami, D.; Sebai, H.; Marzouki, L. Malathion, an organophosphate insecticide, provokes metabolic, histopathologic and molecular disorders in liver and kidney in prepubertal male mice. Toxicol. Rep. 2018, 5, 189–195. [Google Scholar] [CrossRef]
- Poovala, V.S.; Huang, H.; Salahudeen, A.K. Role of reactive oxygen metabolites in organophosphate-bidrin-induced renal tubular cytotoxicity. J. Am. Soc. Nephrol. 1999, 10, 1746–1752. [Google Scholar] [CrossRef] [PubMed]
- Jafari, M.; Salehi, M.; Asgari, A.; Ahmadi, S.; Abbasnezhad, M.; Hajihoosani, R.; Hajigholamali, M. Effects of paraoxon on serum biochemical parameters and oxidative stress induction in various tissues of Wistar and Norway rats. Environ. Toxicol. Pharmacol. 2012, 34, 876–887. [Google Scholar] [CrossRef] [PubMed]
- Nurulain, S.M.; Ojha, S.; Tekes, K.; Shafiullah, M.; Kalasz, H.; Adem, A. Efficacy of N-Acetylcysteine, Glutathione, and Ascorbic Acid in Acute Toxicity of Paraoxon to Wistar Rats: Survival Study. Oxidative Med. Cell. Longev. 2015, 2015, 329306. [Google Scholar] [CrossRef] [PubMed]
- Lukaszewicz-Hussain, A. Role of oxidative stress in organophosphate insecticide toxicity–Short review. Pestic. Biochem. Physiol. 2010, 98, 145–150. [Google Scholar] [CrossRef]
- Rambabu, L.; Megson, I.L.; Eddleston, M. Does oxidative stress contribute to toxicity in acute organophosphorus poisoning?—A systematic review of the evidence. Clin. Toxicol. 2020, 58, 437–452. [Google Scholar] [CrossRef]
- Cortés-Iza, S.C.; Rodríguez, A.I. Oxidative stress and pesticide disease: A challenge for toxicology. Rev. Fac. Med. 2018, 66, 261–267. [Google Scholar] [CrossRef]
- Vanova, N.; Pejchal, J.; Herman, D.; Dlabkova, A.; Jun, D. Oxidative stress in organophosphate poisoning: Role of standard antidotal therapy. J. Appl. Toxicol. 2018, 38, 1058–1070. [Google Scholar] [CrossRef]
- Farkhondeh, T.; Mehrpour, O.; Buhrmann, C.; Pourbagher-Shahri, A.M.; Shakibaei, M.; Samarghandian, S. Organophosphorus Compounds and MAPK Signaling Pathways. Int. J. Mol. Sci. 2020, 21, 4258. [Google Scholar] [CrossRef]
- Rahimi, R.; Abdollahi, M. A review on the mechanisms involved in hyperglycemia induced by organophosphorus pesticides. Pestic. Biochem. Physiol. 2007, 88, 115–121. [Google Scholar] [CrossRef]
- Basiri, S.; Esmaily, H.; Vosough-Ghanbari, S.; Mohammadirad, A.; Yasa, N.; Abdollahi, M. Improvement by Satureja khuzestanica essential oil of malathion-induced red blood cells acetylcholinesterase inhibition and altered hepatic mitochondrial glycogen phosphorylase and phosphoenolpyruvate carboxykinase activities. Pestic. Biochem. Physiol. 2007, 89, 124–129. [Google Scholar] [CrossRef]
- Matés, J.M.; Pérez-Gómez, C.; De Castro, I.N. Antioxidant enzymes and human diseases. Clin. Biochem. 1999, 32, 595–603. [Google Scholar] [CrossRef]
- Zasadowski, A.; Wysocki, A.; Barski, D.; Spodniewska, A. Some aspects of reactive oxygen species [ROS] and antioxidative system agent′s action. Short review. Acta Toxicol. 2004, 12, 5–19. [Google Scholar]
- Morgan, M.J.; Kim, Y.S.; Liu, Z. Lipid rafts and oxidative stress–induced cell death. Antioxid. Redox Signal. 2007, 9, 1471–1484. [Google Scholar] [CrossRef] [PubMed]
- Davies, K.J. Oxidative stress, antioxidant defenses, and damage removal, repair, and replacement systems. IUBMB Life 2000, 50, 279–289. [Google Scholar] [CrossRef]
- Costantini, D.; Verhulst, S. Does high antioxidant capacity indicate low oxidative stress? Funct. Ecol. 2009, 23, 506–509. [Google Scholar] [CrossRef] [Green Version]
- Gerard-Monnier, D.; Chaudiere, J. Metabolism and antioxidant function of glutathione. Pathol.-Biol. 1996, 44, 77–85. [Google Scholar] [PubMed]
- Spolarics, Z.; Wu, J.X. Role of glutathione and catalase in H2O2detoxification in LPS-activated hepatic endothelial and Kupffer cells. Am. J. Physiol.-Gastrointest. Liver Physiol. 1997, 273, 1304–1311. [Google Scholar] [CrossRef] [Green Version]
- Hai, D.Q.; Varga Sz, I.; Matkovics, B. Organophosphate effects on antioxidant system of Carp (Cyprinus carpio) and Catfish (Ictalurus nebulosus). Comp. Biochem. Pharmacol. 1997, 117, 8–88. [Google Scholar] [CrossRef]
- Ranjbar, A.M.; Shadnia, S.; Shekoufeh, N.; Rezaie, A. Pesticide and oxidative stress: A review. Med. Sci. Monit. 2004, 10, 141–147. [Google Scholar]
- Abbasnezhad, M.; Jafari, M.; Asgari, A.R.; Hajihoseini, R.; Hajigholamali, M.; Salehi, M.; Salimian, M. The study regarding effect of paraoxon on oxidative stress. J. Maz. Univ. Med. Sci. 2009, 19, 16–26. [Google Scholar]
- Ghonem, M.M.; Lashin, H.I.; Hodeib, A.A.; Soliman, N.A. L-Carnitine as an Adjuvant Treatment in Acute Organophosphorus Pesticides Poisoning: A Randomized Clinical Trial. Mansoura J. Forensic Med. Clin. Toxicol. 2018, 26, 37–52. [Google Scholar] [CrossRef]
- Atilgan, F.A.; Atescelik, M.; Yilmaz, M.; Turk, A.; Gurger, M.; Goktekin, M.C.; Kuloglu, T. Effects of N-acetyl cysteine on TRPM2 expression in kidney and liver tissues following malathion intoxication. Biotech. Histochem. 2022, 97, 340–346. [Google Scholar] [CrossRef] [PubMed]
- Ko, S.Y.; Wang, S.E.; Lee, H.K.; Jo, S.; Han, J.; Lee, S.H.; Son, H. Transient receptor potential melastatin 2 governs stress-induced depressive-like behaviors. Proc. Natl. Acad. Sci. USA 2019, 116, 1770–1775. [Google Scholar] [CrossRef] [PubMed] [Green Version]
- Jourde-Chiche, N.; Fakhouri, F.; Dou, L.; Bellien, J.; Burtey, S.; Frimat, M.; Roumenina, L.T. Endothelium structure and function in kidney health and disease. Nat. Rev. Nephrol. 2019, 15, 87–108. [Google Scholar] [CrossRef]
- Satchell, S.C.; Braet, F. Glomerular endothelial cell fenestrations: An integral component of the glomerularfiltration barrier. Am. J. Physiol. Ren. Physiol. 2009, 296, 947–956. [Google Scholar] [CrossRef] [Green Version]
- Satchell, S. The role of the glomerular endothelium in albumin handling. Nat. Rev. Nephrol. 2013, 9, 717–725. [Google Scholar] [CrossRef]
- Rabelink, T.J.; de Zeeuw, D. The glycocalyx-linking albuminuria with renal and cardiovascular disease. Nat. Rev. Nephrol. 2015, 11, 667–676. [Google Scholar] [CrossRef]
- Stan, R.V.; Kubitza, M.; Palade, G.E. PV-1 is a component of the fenestral and stomatal diaphragms in fenestrated endothelia. Proc. Natl. Acad. Sci. USA 1999, 96, 13203–13207. [Google Scholar] [CrossRef] [Green Version]
- Rabelink, T.J.; Wijewickrama, D.C.; de Koning, E.J. Peritubular endothelium: The Achilles heel of thekidney? Kidney Int. 2007, 72, 926–930. [Google Scholar] [CrossRef] [Green Version]
- Kramann, R.; Humphreys, B.D. Kidney pericytes: Roles in regeneration and fibrosis. Semin. Nephrol. 2014, 34, 374–383. [Google Scholar] [CrossRef] [Green Version]
- Shaw, I.; Rider, S.; Mullins, J.; Hughes, J.; Peault, B. Pericytes in the renal vasculature: Roles in health and disease. Nat. Rev. Nephrol. 2018, 14, 521–534. [Google Scholar] [CrossRef] [PubMed]
- Rafii, S.; Butler, J.M.; Ding, B.S. Angiocrine functions of organ- specific endothelial cells. Nature 2016, 529, 316–325. [Google Scholar] [CrossRef] [PubMed] [Green Version]
- Li, P.; Liu, L.; Zhou, S.; Wu, S. Paraoxon-Induced Injuries of Vascular Endothelial Cell and Exploration of Potential Mechanisms. Chin. J. Arterioscler. 2007, 15, 666. Available online: https://en.cnki.com.cn/Article_en/CJFDTotal-KDYZ200709005.htm (accessed on 7 April 2022).
- Louise, C.B.; Obrig, T.G. Human renal microvascular endothelial cells as a potential target in the development of the hemolytic uremic syndrome as related to fibrinolysis factor expression, in vitro. Microvasc. Res. 1994, 47, 377–387. [Google Scholar] [CrossRef]
- Murakami, S.; Morioka, T.; Nakagawa, Y.; Suzuki, Y.; Arakawa, M.; Oite, T. Expression of adhesion molecules by cultured human glomerular endothelial cells in response to cytokines: Comparison to human umbilical vein and dermal microvascular endothelial cells. Microvasc. Res. 2001, 62, 383–391. [Google Scholar] [CrossRef] [PubMed]
- Sartain, S.E.; Turner, N.A.; Moake, J.L. TNF regulates essential alternative complement pathway components and impairs activation of protein C in human glomerular endothelial cells. J. Immunol. 2016, 196, 832–845. [Google Scholar] [CrossRef] [PubMed]
- Roumenina, L.T.; Frimat, M.; Miller, E.C.; Provot, F.; Dragon-Durey, M.A.; Bordereau, P.; Bigot, S.; Hue, C.; Satchell, S.C.; Mathieson, P.W.; et al. A prevalent C3 mutation in aHUS patients causes a direct C3 convertase gain of function. Blood 2012, 119, 4182–4191. [Google Scholar] [CrossRef]
- Du, L.; Dong, F.; Guo, L.; Hou, Y.; Yi, F.; Liu, J.; Xu, D. Interleukin-1β increases permeability and upregulates the expression of vascular endothelialcadherin in human renal glomerular endothelial cells. Mol. Med. Rep. 2015, 11, 3708–3714. [Google Scholar] [CrossRef]
- Betzen, C.; Plotnicki, K.; Fathalizadeh, F.; Pappan, K.; Fleming, T.; Bielaszewska, M.; Rafat, N. Shiga toxin 2a–induced endothelial injury in hemolytic uremic syndrome: A metabolomic analysis. J. Infect. Dis. 2016, 213, 1031–1040. [Google Scholar] [CrossRef] [Green Version]
- Merle, N.S.; Grunenwald, A.; Figueres, M.L.; Chauvet, S.; Daugan, M.; Knockaert, S.; Roumenina, L.T. Characterization of renal injury and inflammation in an experimental model of intravascular hemolysis. Front. Immunol. 2018, 9, 179. [Google Scholar] [CrossRef]
- Roumenina, L.T.; Rayes, J.; Lacroix-Desmazes, S.; Dimitrov, J.D. Heme: Modulator of plasma systems in hemolytic diseases. Trends Mol. Med. 2016, 22, 200–213. [Google Scholar] [CrossRef] [PubMed]
- Roumenina, L.T.; Rayes, J.; Frimat, M.; Fremeaux-Bacchi, V. Endothelial cells: Source, barrier, and target of defensive mediators. Immunol. Rev. 2016, 274, 307–329. [Google Scholar] [CrossRef] [PubMed]
- Belinskaia, D.A.; Voronina, P.A.; Shmurak, V.I.; Jenkins, R.O.; Goncharov, N.V. Serum albumin in health and disease: Esterase, antioxidant, transporting and signaling properties. Int. J. Mol. Sci. 2021, 22, 10318. [Google Scholar] [CrossRef] [PubMed]
- Goncharov, N.V.; Nadeev, A.D.; Jenkins, R.O.; Avdonin, P.V. Markers and Biomarkers of Endothelium: When Something Is Rotten in the State. Oxidative Med. Cell. Longev. 2017, 2017, 1–27. [Google Scholar] [CrossRef]
- Gaudette, S.; Hughes, D.; Boller, M. The endothelial glycocalyx: Structure and function in health and critical illness. J. Vet. Emerg. Crit. Care 2020, 30, 117–134. [Google Scholar] [CrossRef]
- Zou, Z.; Li, L.; Schäfer, N.; Huang, Q.; Maegele, M.; Gu, Z. Endothelial glycocalyx intraumatic brain injury associated coagulopathy: Potential mechanisms and impact. J. Neuroinflamm. 2021, 18, 134. [Google Scholar] [CrossRef]
- Yuan, W.; Li, G.; Zeng, M.; Fu, B.M. Modulation of the blood-brain barrier permeability by plasma glycoprotein orosomucoid. Microvasc. Res. 2010, 80, 148–157. [Google Scholar] [CrossRef]
- Kutuzov, N.; Flyvbjerg, H.; Lauritzen, M. Contributions of the glycocalyx, endothelium, and extravascular compartment to the blood–brain barrier. Proc. Natl. Acad. Sci. USA 2018, 115, 9429–9438. [Google Scholar] [CrossRef] [Green Version]
- Ando, Y.; Okada, H.; Takemura, G.; Suzuki, K.; Takada, C.; Tomita, H.; Zaikokuji, R.; Hotta, Y.; Miyazaki, N.; Yano, H.; et al. Brain-specific ultrastructure of capillary endothelial glycocalyx and its possible contribution for blood brain barrier. Sci. Rep. 2018, 8, 17523. [Google Scholar] [CrossRef] [Green Version]
- Yoon, J.H.; Lee, E.S.; Jeong, Y. In vivo imaging of the cerebral endothelial glycocalyx in mice. J. Vasc. Res. 2017, 54, 59–67. [Google Scholar] [CrossRef]
- Wiesinger, A.; Peters, W.; Chappell, D.; Kentrup, D.; Reuter, S.; Pavenstädt, H.; Oberleithner, H.; Kümpers, P. Nanomechanics of the endothelial glycocalyx in experimental sepsis. PLoS ONE 2013, 8, e80905. [Google Scholar] [CrossRef] [Green Version]
- Galea, I. The blood–brain barrier in systemic infection and inflammation. Cell. Mol. Immunol. 2021, 18, 2489–2501. [Google Scholar] [CrossRef] [PubMed]
- Rabelink, T.J.; Heerspink, H.J.L.; de Zeeuw, D. The pathophysiology of proteinuria. In Chronic Renal Disease; Academic Press: Cambridge, MA, USA, 2015; pp. 92–105. [Google Scholar] [CrossRef]
- An, X.; Zhang, L.; Yuan, Y.; Wang, B.; Yao, Q.; Li, L.; Zhang, J. Hyperoside pre-treatment prevents glomerular basement membrane damage in diabetic nephropathy by inhibiting podocyte heparanase expression. Sci. Rep. 2017, 7, 6413. [Google Scholar] [CrossRef] [Green Version]
- Conti, S.; Perico, N.; Novelli, R.; Carrara, C.; Benigni, A.; Remuzzi, G. Early and late scanning electron microscopy findings in diabetic kidney disease. Sci. Rep. 2018, 8, 4909. [Google Scholar] [CrossRef]
- Sorensson, J.; Bjornson, A.; Ohlson, M.; Ballermann, B.J.; Haraldsson, B. Synthesis of sulfated proteoglycans by bovine glomerular endothelial cells in culture. Am. J. Physiol. Ren. Physiol. 2003, 284, 373–380. [Google Scholar] [CrossRef] [PubMed] [Green Version]
- Van Den Berg, B.M.; Wang, G.; Boels, M.G.; Avramut, M.C.; Jansen, E.; Sol, W.M.; Rabelink, T.J. Glomerular function and structural integrity depend on hyaluronan synthesis by glomerular endothelium. J. Am. Soc. Nephrol. 2019, 30, 1886–1897. [Google Scholar] [CrossRef] [PubMed] [Green Version]
- Taraboletti, G.; D’Ascenzo, S.; Borsotti, P.; Giavazzi, R.; Pavan, A.; Dolo, V. Shedding of the matrix metalloproteinases MMP-2, MMP-9, and MT1-MMP as membrane vesicle-associated components by endothelial cells. Am. J. Pathol. 2002, 160, 673–680. [Google Scholar] [CrossRef] [Green Version]
- Fitzgerald, M.L.; Wang, Z.; Park, P.W.; Murphy, G.; Bernfield, M. Shedding of syndecan-1 and -4 ectodomains is regulated by multiple signaling pathways and mediated by a Timp-3-sensitive metalloproteinase. J. Cell Biol. 2000, 148, 811–824. [Google Scholar] [CrossRef]
- Mulivor, A.W.; Lipowsky, H.H. Inhibition of glycan shedding and leukocyteendothelial adhesion in postcapillary venules by suppression of matrixmetalloprotease activity with doxycycline. Microcirculation 2009, 16, 657–666. [Google Scholar] [CrossRef]
- Wozniak, J.; Floege, J.; Ostendorf, T.; Ludwig, A. Key metalloproteinase-mediated pathways in the kidney. Nat. Rev. Nephrol. 2021, 17, 513–527. [Google Scholar] [CrossRef]
- Lin, C.C.; Hsieh, H.L.; Shih, R.H.; Chi, P.L.; Cheng, S.E.; Chen, J.C.; Yang, C.M. NADPH oxidase 2-derived reactive oxygen species signal contributes to bradykinin-induced matrix metalloproteinase-9 expression and cell migration in brain astrocytes. Cell Commun. Signal. 2012, 10, 35. [Google Scholar] [CrossRef] [PubMed] [Green Version]
- Rahimi Anbarkeh, F.; Jalali, M.; Nikravesh, M.R.; Soukhtanloo, M. Protective effects of alpha-lipoic acid on diazinon-induced renal toxicity in rats: An immunohistochemistry study. Toxin. Rev. 2022, 41, 1–10. [Google Scholar] [CrossRef]
- Li, B.; Zhu, C.; Dong, L.; Qin, J.; Xiang, W.; Davidson, A.J.; Jiang, H. ADAM10 mediates ectopic proximal tubule development and renal fibrosis through Notch signalling. J. Pathol. 2020, 252, 274–289. [Google Scholar] [CrossRef] [PubMed]
- Zhang, H.; Penninger, J.M.; Li, Y.; Zhong, N.; Slutsky, A.S. Angiotensin-converting enzyme 2 (ACE2) as a SARS-CoV-2 receptor: Molecular mechanisms and potential therapeutic target. Intensive Care Med. 2020, 46, 586–590. [Google Scholar] [CrossRef] [PubMed] [Green Version]
- Karami-Mohajeri, S.; Ahmadipour, A.; Rahimi, H.R.; Abdollahi, M. Adverse effects of organophosphorus pesticides on the liver: A brief summary of four decades of research. Arh. Hig. Rada Toksikol. 2017, 68, 261–275. [Google Scholar] [CrossRef] [Green Version]
- Medina-Buelvas, D.; Estrada-Muñiz, E.; Flores-Valadez, M.; Vega, L. Genotoxic and immunotoxic effects of the organophosphate metabolite diethyldithiophosphate (DEDTP) in vivo. Toxicol. Appl. Pharmacol. 2019, 366, 96–103. [Google Scholar] [CrossRef]
- Li, Q. New mechanism of organophosphorus pesticide-induced immunotoxicity. J. Nippon Med. Sch. 2007, 74, 92–105. [Google Scholar] [CrossRef] [Green Version]
- Sharma, K.; Ziyadeh, F.N. The emerging role of transforming growth factor-beta in kidney diseases. Am. J. Physiol. Ren. Physiol. 1994, 266, 829–842. [Google Scholar] [CrossRef]
- Gekle, M.; Knaus, P.; Nielsen, R.; Mildenberger, S.; Freudinger, R.; Wohlfarth, V.; Christensen, E.I. Transforming growth factor-β1 reduces megalin-and cubilin-mediated endocytosis of albumin in proximal-tubule-derived opossum kidney cells. J. Physiol. 2003, 552, 471–481. [Google Scholar] [CrossRef]
- Proskocil, B.J.; Grodzki, A.C.G.; Jacoby, D.B.; Lein, P.J.; Fryer, A.D. Organophosphorus pesticides induce cytokine release from differentiated human THP1 cells. Am. J. Respir. Cell Mol. Biol. 2019, 61, 620–630. [Google Scholar] [CrossRef]
- Rajak, P.; Ganguly, A.; Sarkar, S.; Mandi, M.; Dutta, M.; Podder, S.; Roy, S. Immunotoxic role of organophosphates: An unseen risk escalating SARS-CoV-2 pathogenicity. Food Chem. Toxicol. 2021, 149, 112007. [Google Scholar] [CrossRef] [PubMed]
- Koelle, G.B. Pharmacology and Toxicology of organophos-phates and carbonates. In Clinical and Experimental Toxicology of Organophosphates and Carbonates; Koelle, G.B., Ballantyn, B., Marrs, T., Eds.; Butterworth Heinmann: Oxford, UK, 1992; pp. 33–40. [Google Scholar] [CrossRef] [Green Version]
- Reiner, E.; Radic, Z.; Simeon-Rudolf, V. Mechanisms of organophosphate toxicity and detoxication with emphasis on studies in Croatia. Arh. Za Hig. Rada I Toksikol. 2007, 58, 329–338. [Google Scholar] [CrossRef] [PubMed]
- Vansen, K.L.; Cole, T.B.; Park, S.S. Paraoxonase 1 (PON1) modulates the toxicity of mixed organophosphorus compounds. Toxicol. Appl. Pharmacol. 2009, 236, 142–153. [Google Scholar] [CrossRef] [Green Version]
- Shmurak, V.I.; Kurdyukov, I.D.; Nadeyev, A.D.; Voitenko, N.G.; Glashkina, L.M.; Goncharov, N.V. Biomarkers of intoxication by organophosphorous toxic agents. Toxicol. Vestn. 2012, 4, 30–34. Available online: https://cyberleninka.ru/article/n/biohimicheskie-markery-intoksikatsii-fosfororganicheskimi-otravlyayuschimi-veschestvami (accessed on 22 March 2022). (In Russian).
- Selmi, S.; El-Fazaa, S.; Gharbi, N. Oxidative stress and alteration of biochemical markers in liver and kidney by malathion in rat pups. Toxicol. Ind. Health 2015, 31, 783–788. [Google Scholar] [CrossRef]
- Zidan, N.E.-H.A. Hepato-and nephrotoxicity in male albino rats exposed to malathion and spinosad in stored wheat grains. Acta Biol. Hung. 2015, 66, 133–148. [Google Scholar] [CrossRef] [Green Version]
- Vanneste, Y.; Lison, D. Biochemical Changes Associated with Muscle Fibre Necrosis after Experimental Organophosphate Poisoning. Hum. Exp. Toxicol. 1993, 12, 365–370. [Google Scholar] [CrossRef]
- Sharma, C.D.; Bansal, G. Impact of different doses of Malathion on the selected blood parameter in albino rats (Rattus norvegicus). Environ. Conserv. J. 2021, 22, 1–5. [Google Scholar] [CrossRef]
- Abolaji, A.O.; Awogbindin, I.O.; Adedara, I.A.; Farombi, E.O. Insecticide chlorpyrifos and fungicide carbendazim, common food contaminants mixture, induce hepatic, renal, and splenic oxidative damage in female rats. Hum. Exp. Toxicol. 2017, 36, 483–493. [Google Scholar] [CrossRef]
- Williams, R.I.; Pearson, J.E. Functional study of the renal effect of the anticholinesterase paraoxon. Arch. Int. Pharmacodyn. 1970, 184, 195–208. [Google Scholar]
- Abend, Y.; Goland, S.; Evron, E.; Sthoeger, Z.M.; Geltner, D. Acute renal failure complicating organophosphate intoxication. Ren. Fail. 1994, 16, 415–417. [Google Scholar] [CrossRef] [PubMed]
- Bentur, Y.; Nutenko, I.; Tsipiniuk, A.; Raikhlin-Eisenkraft, B.; Taitelman, U. Pharmacokinetics of obidoxime in organophosphate poisoning associated with renal failure. J. Toxicol. Clin. Toxicol. 1993, 31, 315–322. [Google Scholar] [CrossRef] [PubMed]
- Panda, S.; Nanda, R.; Mangaraj, M.; Rathod, K.P.; Mishra, P.K. Glycemic status in organophosphorus poisoning. J. Nepal Health Res. Counc. 2015, 13, 214–249. [Google Scholar] [PubMed]
- Shobha, T.R.; Prakash, O. Glycosuria in organophosphate and carbamate poisoning. J. Assoc. Physicians India 2000, 48, 1197–1199. [Google Scholar]
- Malekirad, A.A.; Faghih, M.; Mirabdollahi, M.; Kiani, M.; Fathi, A.; Abdollahi, M. Neurocognitive, mental health and glucose disorders in farmers exposed to organophosphorous pesticides. Arh. Hig. Rada Toksikol. 2013, 64, 1–8. [Google Scholar] [CrossRef] [Green Version]
- Bakris, G.L.; Fonseca, V.A.; Sharma, K.; Wright, E.M. Renal sodium-glucose transport: Role in diabetes mellitus and potential clinical implications. Kidney Int. 2009, 75, 1272–1277. [Google Scholar] [CrossRef] [Green Version]
- Georgiadis, G.; Mavridis, C.; Belantis, C.; Zisis, I.E.; Skamagkas, I.; Fragkiadoulaki, I.; Heretis, V.; Tzortzis, K.; Psathakis, A.M.; Tsatsakis Mamoulakis, C. Nephrotoxicity issues of organophosphates. Toxicology 2018, 406, 129–136. [Google Scholar] [CrossRef]
- Agostini, M.; Bianchin, A. Acute renal failure from organophospate poisoning: A case of success with haemofiltration. Hum. Exp. Toxicol. 2003, 22, 165–167. [Google Scholar] [CrossRef]
- Tsarouhas, K.; Tsitsimpikou, C.; Papantoni, X.; Lazaridou, D.; Koutouzis, M.; Mazzaris, S.; Rezaee, R.; Mamoulakis, C.; Georgoulias, P.; Nepka, C.; et al. Oxidative stress and kidney injury in trans-radial catheterization. Biomed. Rep. 2018, 8, 417–425. [Google Scholar] [CrossRef] [Green Version]
- Keadtisuke, S.; Dheranetra, W.; Fukuto, T.R. Detection of kidney damage by malathion impurities using a microdissection technique. Toxicol. Lett. 1989, 47, 53–59. [Google Scholar] [CrossRef]
- Tripathi, S.; Srivastav, A.K. Nephrotoxicity induced by long-term oral administration of different doses of chlorpyrifos. Toxicol. Ind. Health 2010, 26, 439–447. [Google Scholar] [CrossRef] [PubMed]





| Physiological Functions | Regulatory Factors |
|---|---|
| Leukocyte trafficking | ICAM1, VCAM, E-selectin |
| Inflammation | MCP1, complement activation, oxidative stress |
| Metabolism | Glycolysis, glutamine and asparagine metabolism, FAO, mTOR, HIF |
| Vascular permeability and glomerular filtration | Endothelial fenestrations, glycocalyx, VEGF, CD146 |
| Vascular tone | Vasodilators: NO, H2S, PGI2 Vasoconstrictors: endothelin, TXA2, PGH2 |
| Haemostasis and coagulation | Anticoagulant factors: TM, glycocalyx, tPA, TFPI, PGI2 Procoagulant factors: vWF, TF, TXA2, PAI1 |
| Control of VSMC proliferation | Microparticles, Jagged 1–NOTCH-1, miR-126, NO |
| Angiogenesis | VEGF/VEGFR, angiopoietin 2/TIE2, HIF activation, CD146, glycolysis, glutamine and asparagine metabolism, FAO, vWF, Jagged 1/NOTCH-1 |
Publisher’s Note: MDPI stays neutral with regard to jurisdictional claims in published maps and institutional affiliations. |
© 2022 by the authors. Licensee MDPI, Basel, Switzerland. This article is an open access article distributed under the terms and conditions of the Creative Commons Attribution (CC BY) license (https://creativecommons.org/licenses/by/4.0/).
Share and Cite
Sobolev, V.E.; Sokolova, M.O.; Jenkins, R.O.; Goncharov, N.V. Molecular Mechanisms of Acute Organophosphate Nephrotoxicity. Int. J. Mol. Sci. 2022, 23, 8855. https://doi.org/10.3390/ijms23168855
Sobolev VE, Sokolova MO, Jenkins RO, Goncharov NV. Molecular Mechanisms of Acute Organophosphate Nephrotoxicity. International Journal of Molecular Sciences. 2022; 23(16):8855. https://doi.org/10.3390/ijms23168855
Chicago/Turabian StyleSobolev, Vladislav E., Margarita O. Sokolova, Richard O. Jenkins, and Nikolay V. Goncharov. 2022. "Molecular Mechanisms of Acute Organophosphate Nephrotoxicity" International Journal of Molecular Sciences 23, no. 16: 8855. https://doi.org/10.3390/ijms23168855
APA StyleSobolev, V. E., Sokolova, M. O., Jenkins, R. O., & Goncharov, N. V. (2022). Molecular Mechanisms of Acute Organophosphate Nephrotoxicity. International Journal of Molecular Sciences, 23(16), 8855. https://doi.org/10.3390/ijms23168855

