Histopathology and Molecular Genetics in Systemic Mastocytosis: Implications for Clinical Management
Abstract
:1. Introduction
2. Results
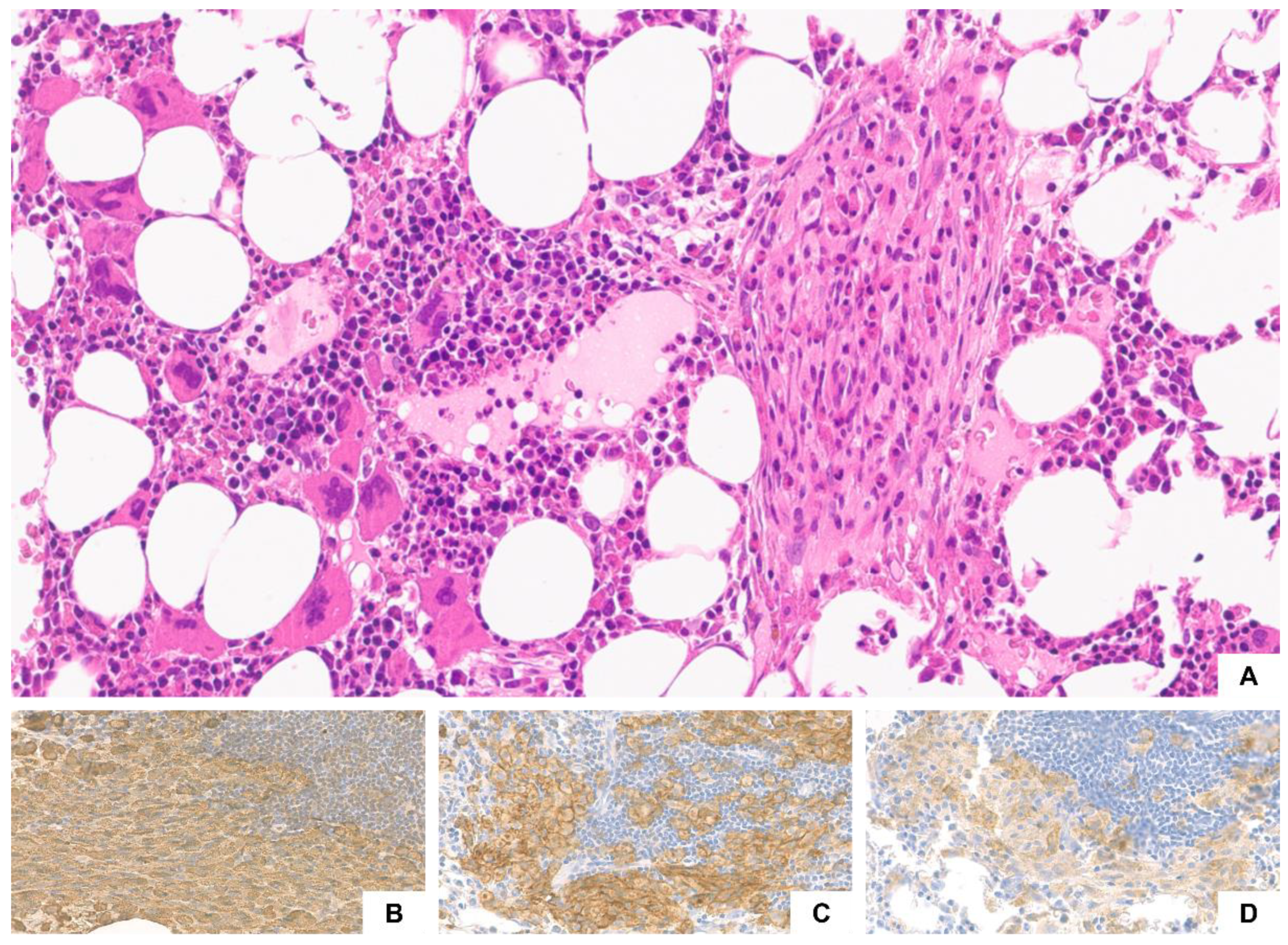
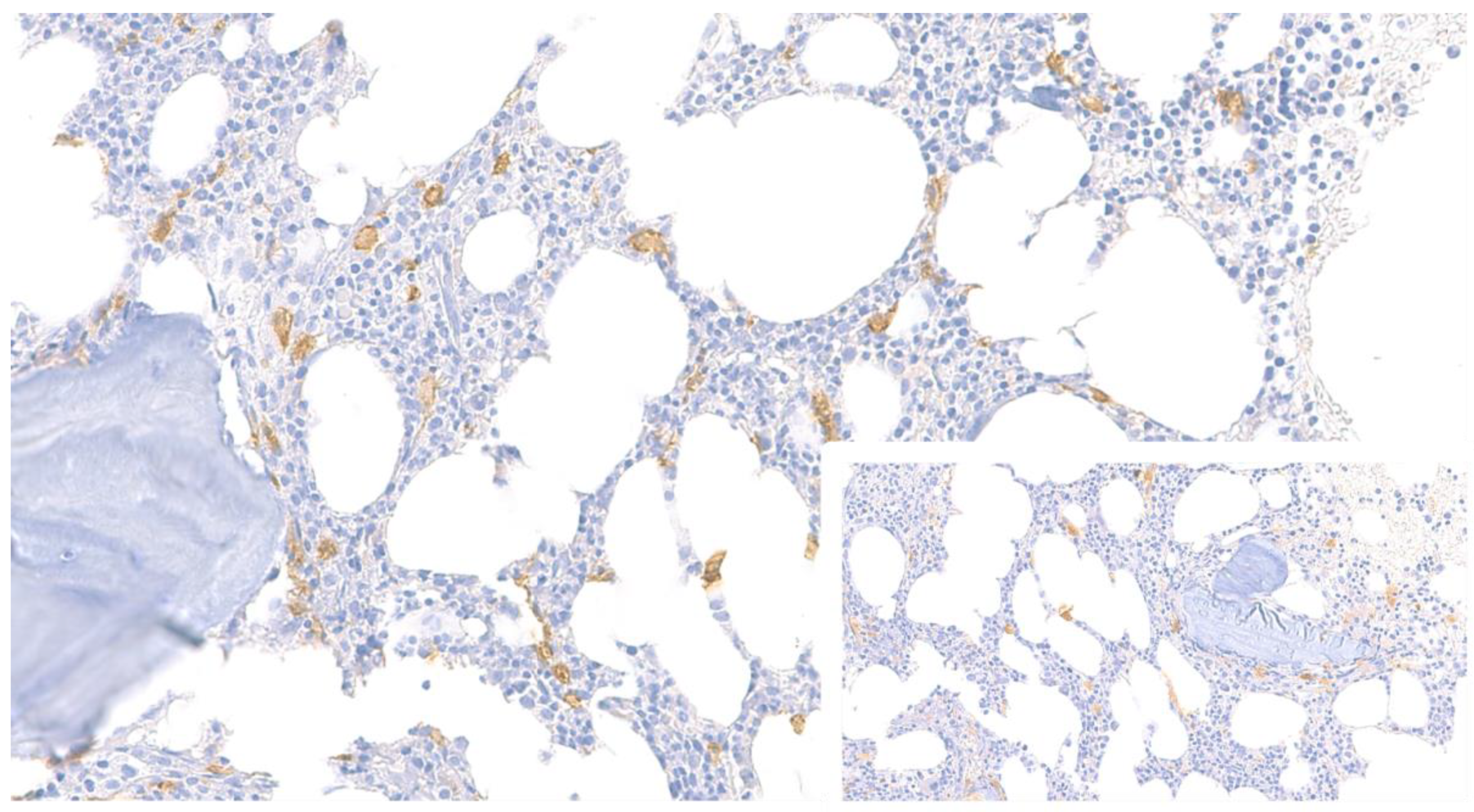
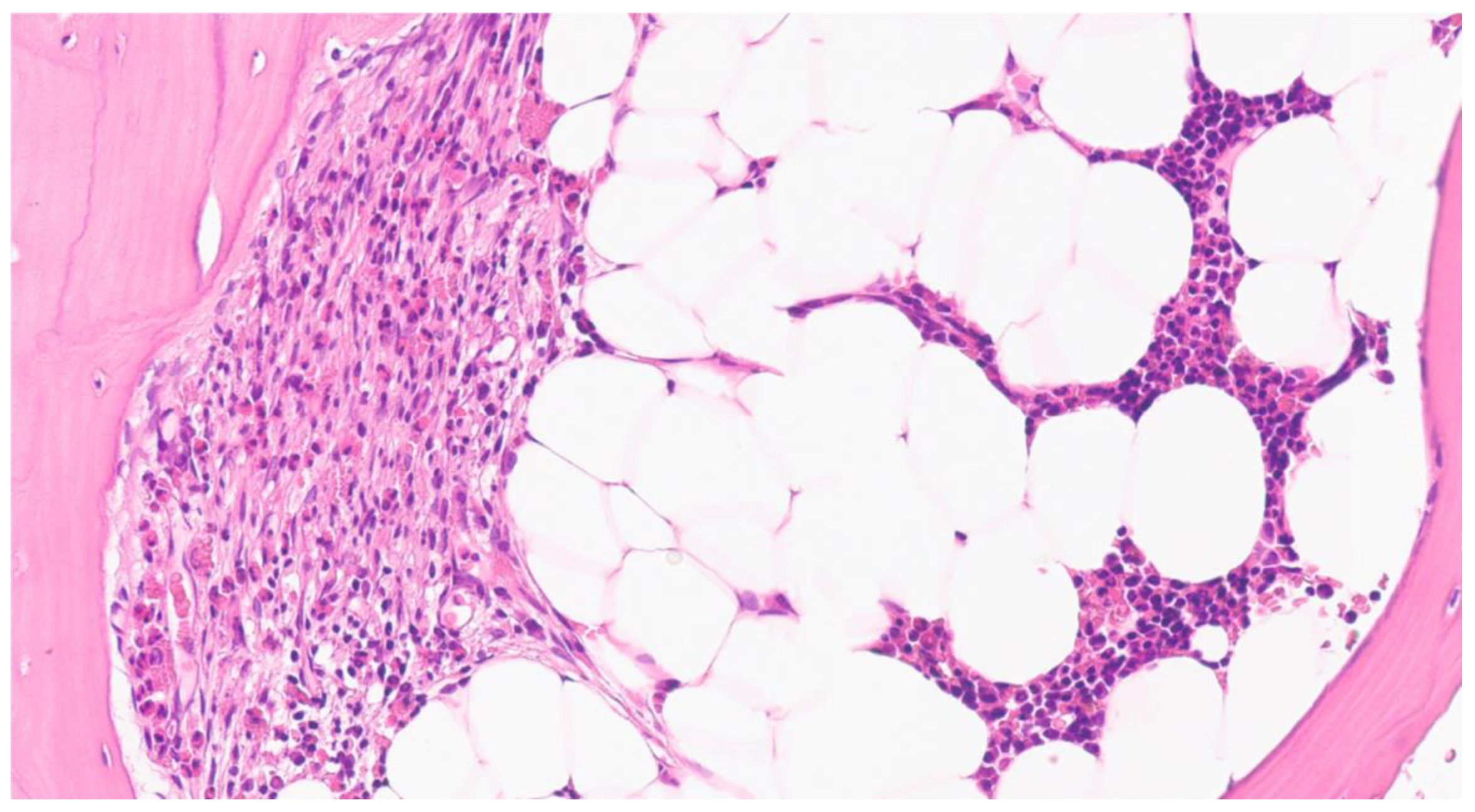
2.1. Case 1
2.2. Case 2
2.3. Case 3
2.4. Case 4
3. Discussion
3.1. Case 1. Multi-Mutated ASM Treated with KIT Inhibitors
3.2. Case 2. SM Associated with Myeloproliferative Neoplasm (MPN): Molecular and Clonal Heterogeneity
3.3. Case 3. A Carrier of HαT Diagnosed with SM
3.4. Case 4. KIT D816V-Negative SM with Severe Clinical Symptoms
4. Materials and Methods
4.1. Histology
4.2. Immunohistochemistry
4.3. Molecular Biology
4.3.1. DNA Extraction
4.3.2. NGS
4.3.3. Droplet Digital PCR
5. Conclusions
Author Contributions
Funding
Institutional Review Board Statement
Informed Consent Statement
Data Availability Statement
Conflicts of Interest
References
- Khoury, J.D.; Solary, E.; Abla, O.; Akkari, Y.; Alaggio, R.; Apperley, J.F.; Bejar, R.; Berti, E.; Busque, L.; Chan, J.K.C.; et al. The 5th edition of the World Health Organization Classification of Haematolymphoid Tumours: Myeloid and Histiocytic/Dendritic Neoplasms. Leukemia 2022, 36, 1703–1719. [Google Scholar] [CrossRef] [PubMed]
 - Arber, D.A.; Orazi, A.; Hasserjian, R.P.; Borowitz, M.J.; Calvo, K.R.; Kvasnicka, H.M.; Wang, S.A.; Bagg, A.; Barbui, T.; Branford, S.; et al. International Consensus Classification of Myeloid Neoplasms and Acute Leukemia: Integrating Morphological, Clinical, and Genomic Data. Blood 2022, 2022015850. [Google Scholar] [CrossRef]
 - Pardanani, A. Systemic mastocytosis in adults: 2021 Update on diagnosis, risk stratification and management. Am. J. Hematol. 2021, 96, 508–525. [Google Scholar] [CrossRef]
 - Leguit, R.; Hebeda, K.; Kremer, M.; van der Walt, J.; Gianelli, U.; Tzankov, A.; Orazi, A. The Spectrum of Aggressive Mastocytosis: A Workshop Report and Literature Review. Pathobiology 2020, 87, 2–19. [Google Scholar] [CrossRef] [PubMed]
 - Krokowski, M.; Sotlar, K.; Krauth, M.T.; Födinger, M.; Valent, P.; Horny, H.P. Delineation of patterns of bone marrow mast cell infiltration in systemic mastocytosis: Value of CD25, correlation with subvariants of the disease, and separation from mast cell hyperplasia. Am. J. Clin. Pathol. 2005, 124, 560–568. [Google Scholar] [CrossRef] [PubMed]
 - Horny, H.P.; Valent, P. Diagnosis of mastocytosis: General histopathological aspects, morphological criteria, and immunohistochemical findings. Leuk. Res. 2001, 25, 543–551. [Google Scholar] [CrossRef]
 - Brunning, R.D.; McKenna, R.W.; Rosai, J.; Parkin, J.L.; Risdall, R. Systemic mastocytosis. Extracutaneous manifestations. Am. J. Surg. Pathol. 1983, 7, 425–438. [Google Scholar] [CrossRef]
 - Horny, H.P.; Parwaresch, M.R.; Lennert, K. Bone marrow findings in systemic mastocytosis. Hum. Pathol. 1985, 16, 808–814. [Google Scholar] [CrossRef]
 - Sánchez-Muñoz, L.; Henriques, A.F.; Alvarez-Twose, I.; Matito, A. Bone Marrow Expression of Mast Cell Disorders. Immunol. Allergy Clin. N. Am. 2018, 38, 379–395. [Google Scholar] [CrossRef] [PubMed]
 - Sotlar, K.; George, T.I.; Kluin, P.; Reiter, A.; Schwaab, J.; Panse, J.; Brockow, K.; Hartmann, K.; Sperr, W.R.; Kristensen, T.; et al. Standards of Pathology in the Diagnosis of Systemic Mastocytosis: Recommendations of the EU-US Cooperative Group. J. Allergy Clin. Immunol. Pract. 2022, 17. [Google Scholar] [CrossRef]
 - Sánchez-Muñoz, L.; Morgado, J.M.; Álvarez-Twose, I.; Matito, A.; Garcia-Montero, A.C.; Teodosio, C.; Jara-Acevedo, M.; Mayado, A.; Mollejo, M.; Caldas, C.; et al. Diagnosis and classification of mastocytosis in non-specialized versus reference centres: A Spanish Network on Mastocytosis (REMA) study on 122 patients. Br. J. Haematol. 2016, 172, 56–63. [Google Scholar] [CrossRef]
 - Barbui, T.; Vannucchi, A.M.; Buxhofer-Ausch, V.; De Stefano, V.; Betti, S.; Rambaldi, A.; Rumi, E.; Ruggeri, M.; Rodeghiero, F.; Randi, M.L.; et al. Practice-relevant revision of IPSET-thrombosis based on 1019 patients with WHO-defined essential thrombocythemia. Blood Cancer J. 2015, 5, e369. [Google Scholar] [CrossRef] [PubMed]
 - Metcalfe, D.D. The liver, spleen, and lymph nodes in mastocytosis. J. Investig. Dermatol. 1991, 96 (Suppl. S3), 45S–46S. [Google Scholar] [CrossRef] [PubMed] [Green Version]
 - Horny, H.P.; Valent, P. Histopathological and immunohistochemical aspects of mastocytosis. Int. Arch. Allergy Immunol. 2002, 127, 115–117. [Google Scholar] [CrossRef] [PubMed]
 - Doyle, L.A.; Hornick, J.L. Pathology of extramedullary mastocytosis. Immunol. Allergy Clin. N. Am. 2014, 34, 323–339. [Google Scholar] [CrossRef] [PubMed]
 - Travis, W.D.; Li, C.Y. Pathology of the lymph node and spleen in systemic mast cell disease. Mod. Pathol. 1988, 1, 4–14. [Google Scholar]
 - Gotlib, J.; Kluin-Nelemans, H.C.; George, T.I.; Akin, C.; Sotlar, K.; Hermine, O.; Awan, F.T.; Hexner, E.; Mauro, M.J.; Sternberg, D.W.; et al. Efficacy and Safety of Midostaurin in Advanced Systemic Mastocytosis. N. Engl. J. Med. 2016, 374, 2530–2541. [Google Scholar] [CrossRef]
 - Jawhar, M.; Schwaab, J.; Naumann, N.; Horny, H.P.; Sotlar, K.; Haferlach, T.; Metzgeroth, G.; Fabarius, A.; Valent, P.; Hofmann, W.K.; et al. Response and progression on midostaurin in advanced systemic mastocytosis: KITD816V and other molecular markers. Blood 2017, 130, 137–145. [Google Scholar] [CrossRef] [Green Version]
 - DeAngelo, D.J.; George, T.I.; Linder, A.; Langford, C.; Perkins, C.; Ma, J.; Westervelt, P.; Merker, J.D.; Berube, C.; Coutre, S.; et al. Efficacy and safety of midostaurin in patients with advanced systemic mastocytosis: 10-year median follow-up of a phase II trial. Leukemia 2018, 32, 470–478. [Google Scholar] [CrossRef]
 - Pieri, L.; Bonadonna, P.; Elena, C.; Papayannidis, C.; Grifoni, F.I.; Rondoni, M.; Girlanda, S.; Mauro, M.; Magliacane, D.; Elli, E.M.; et al. Clinical presentation and management practice of systemic mastocytosis. A survey on 460 Italian patients. Am. J. Hematol. 2016, 91, 692–699. [Google Scholar] [CrossRef] [Green Version]
 - Lim, K.H.; Tefferi, A.; Lasho, T.L.; Finke, C.; Patnaik, M.; Butterfield, J.H.; McClure, R.F.; Li, C.Y.; Pardanani, A. Systemic mastocytosis in 342 consecutive adults: Survival studies and prognostic factors. Blood 2009, 113, 5727–5736. [Google Scholar] [CrossRef] [Green Version]
 - Pardanani, A.; Lim, K.H.; Lasho, T.L.; Finke, C.; McClure, R.F.; Li, C.Y.; Tefferi, A. Prognostically relevant breakdown of 123 patients with systemic mastocytosis associated with other myeloid malignancies. Blood 2009, 114, 3769–3772. [Google Scholar] [CrossRef] [PubMed]
 - Wang, S.A.; Hutchinson, L.; Tang, G.; Chen, S.S.; Miron, P.M.; Huh, Y.O.; Jones, D.M.; Bueso-Ramos, C.; Verstovsek, S.; Medeiros, L.J.; et al. Systemic mastocytosis with associated clonal hematological non-mast cell lineage disease: Clinical significance and comparison of chomosomal abnormalities in SM and AHNMD components. Am. J. Hematol. 2013, 88, 219–224. [Google Scholar] [CrossRef] [PubMed] [Green Version]
 - Damaj, G.; Joris, M.; Chandesris, O.; Hanssens, K.; Soucie, E.; Canioni, D.; Kolb, B.; Durieu, I.; Gyan, E.; Livideanu, C.; et al. ASXL1 but not TET2 mutations adversely impact overall survival of patients suffering systemic mastocytosis with associated clonal hematologic non-mast-cell diseases. PLoS ONE 2014, 9, e85362. [Google Scholar] [CrossRef] [PubMed]
 - Sotlar, K.; Colak, S.; Bache, A.; Berezowska, S.; Krokowski, M.; Bültmann, B.; Valent, P.; Horny, H.P. Variable presence of KITD816V in clonal haematological non-mast cell lineage diseases associated with systemic mastocytosis (SM-AHNMD). J. Pathol. 2010, 220, 586–595. [Google Scholar] [CrossRef] [PubMed]
 - Naumann, N.; Lübke, J.; Shomali, W.; Reiter, L.; Horny, H.P.; Jawhar, M.; Dangelo, V.; Fabarius, A.; Metzgeroth, G.; Kreil, S.; et al. Clinical and histopathological features of myeloid neoplasms with concurrent Janus kinase 2 (JAK2) V617F and KIT proto-oncogene, receptor tyrosine kinase (KIT) D816V mutations. Br. J. Haematol. 2021, 194, 344–354. [Google Scholar] [CrossRef] [PubMed]
 - Horny, H.P.; Sotlar, K.; Sperr, W.R.; Valent, P. Systemic mastocytosis with associated clonal haematological non-mast cell lineage diseases: A histopathological challenge. J. Clin. Pathol. 2004, 57, 604–608. [Google Scholar] [CrossRef] [PubMed] [Green Version]
 - Bernd, H.W.; Sotlar, K.; Lorenzen, J.; Osieka, R.; Fabry, U.; Valent, P.; Horny, H.P. Acute myeloid leukaemia with t (8;21) associated with “occult” mastocytosis. Report of an unusual case and review of the literature. J. Clin. Pathol. 2004, 57, 324–328. [Google Scholar] [CrossRef] [PubMed] [Green Version]
 - Pardanani, A.; Lim, K.H.; Lasho, T.L.; Finke, C.M.; McClure, R.F.; Li, C.Y.; Tefferi, A. WHO subvariants of indolent mastocytosis: Clinical details and prognostic evaluation in 159 consecutive adults. Blood 2010, 115, 150–151. [Google Scholar] [CrossRef] [Green Version]
 - Zanotti, R.; Bonifacio, M.; Lucchini, G.; Sperr, W.R.; Scaffidi, L.; van Anrooij, B.; Oude Elberink, H.N.; Rossignol, J.; Hermine, O.; Gorska, A.; et al. Refined diagnostic criteria for bone marrow mastocytosis: A proposal of the European competence network on mastocytosis. Leukemia 2022, 36, 516–524. [Google Scholar] [CrossRef]
 - Zanotti, R.; Bonadonna, P.; Bonifacio, M.; Artuso, A.; Schena, D.; Rossini, M.; Perbellini, O.; Colarossi, S.; Chilosi, M.; Pizzolo, G. Isolated bone marrow mastocytosis: An underestimated subvariant of indolent systemic mastocytosis. Haematologica 2011, 96, 482–484. [Google Scholar] [CrossRef] [Green Version]
 - Valent, P.; Akin, C.; Hartmann, K.; Alvarez-Twose, I.; Brockow, K.; Hermine, O.; Niedoszytko, M.; Schwaab, J.; Lyons, J.J.; Carter, M.C.; et al. Updated Diagnostic Criteria and Classification of Mast Cell Disorders: A Consensus Proposal. Hemasphere 2021, 5, e646. [Google Scholar] [CrossRef] [PubMed]
 - Lyons, J.J.; Yu, X.; Hughes, J.D.; Le, Q.T.; Jamil, A.; Bai, Y.; Ho, N.; Zhao, M.; Liu, Y.; O’Connell, M.P.; et al. Elevated basal serum tryptase identifies a multisystem disorder associated with increased TPSAB1 copy number. Nat. Genet. 2016, 48, 1564–1569. [Google Scholar] [CrossRef] [PubMed] [Green Version]
 - Robey, R.C.; Wilcock, A.; Bonin, H.; Beaman, G.; Myers, B.; Grattan, C.; Briggs, T.A.; Arkwright, P.D. Hereditary Alpha-Tryptasemia: UK Prevalence and Variability in Disease Expression. J. Allergy Clin. Immunol. Pract. 2020, 8, 3549–3556. [Google Scholar] [CrossRef]
 - Lyons, J.J.; Chovanec, J.; O’Connell, M.P.; Liu, Y.; Šelb, J.; Zanotti, R.; Bai, Y.; Kim, J.; Le, Q.T.; DiMaggio, T.; et al. Heritable risk for severe anaphylaxis associated with increased α-tryptase-encoding germline copy number at TPSAB1. J. Allergy Clin. Immunol. 2021, 147, 622–632. [Google Scholar] [CrossRef] [PubMed]
 - Greiner, G.; Sprinzl, B.; Górska, A.; Ratzinger, F.; Gurbisz, M.; Witzeneder, N.; Schmetterer, K.G.; Gisslinger, B.; Uyanik, G.; Hadzijusufovic, E.; et al. Hereditary α tryptasemia is a valid genetic biomarker for severe mediator-related symptoms in mastocytosis. Blood 2021, 137, 238–247. [Google Scholar] [CrossRef]
 - Lyons, J.J. Hereditary Alpha Tryptasemia: Genotyping and Associated Clinical Features. Immunol. Allergy Clin. N. Am. 2018, 38, 483–495. [Google Scholar] [CrossRef] [PubMed]
 - O’Connell, M.P.; Lyons, J.J. Hymenoptera venom-induced anaphylaxis and hereditary alpha-tryptasemia. Curr. Opin. Allergy Clin. Immunol. 2020, 20, 431–437. [Google Scholar] [CrossRef]
 - Wu, R.; Lyons, J.J. Hereditary Alpha-Tryptasemia: A Commonly Inherited Modifier of Anaphylaxis. Curr. Allergy Asthma Rep. 2021, 21, 33. [Google Scholar] [CrossRef]
 - Arock, M.; Sotlar, K.; Akin, C.; Broesby-Olsen, S.; Hoermann, G.; Escribano, L.; Kristensen, T.K.; Kluin-Nelemans, H.C.; Hermine, O.; Dubreuil, P.; et al. KIT mutation analysis in mast cell neoplasms: Recommendations of the European Competence Network on Mastocytosis. Leukemia 2015, 29, 1223–1232. [Google Scholar] [CrossRef] [Green Version]
 - Hoermann, G.; Gleixner, K.V.; Dinu, G.E.; Kundi, M.; Greiner, G.; Wimazal, F.; Hadzijusufovic, E.; Mitterbauer, G.; Mannhalter, C.; Valent, P.; et al. The KIT D816V allele burden predicts survival in patients with mastocytosis and correlates with the WHO type of the disease. Allergy 2014, 69, 810–813. [Google Scholar] [CrossRef] [Green Version]
 - Reiter, A.; George, T.I.; Gotlib, J. New developments in diagnosis, prognostication, and treatment of advanced systemic mastocytosis. Blood 2020, 135, 1365–1376. [Google Scholar] [CrossRef] [PubMed]
 - Longley, B.J.; Reguera, M.J.; Ma, Y. Classes of c-KIT activating mutations: Proposed mechanisms of action and implications for disease classification and therapy. Leuk. Res. 2001, 25, 571–576. [Google Scholar] [CrossRef]
 - Ustun, C.; Arock, M.; Kluin-Nelemans, H.C.; Reiter, A.; Sperr, W.R.; George, T.; Horny, H.P.; Hartmann, K.; Sotlar, K.; Damaj, G.; et al. Advanced systemic mastocytosis: From molecular and genetic progress to clinical practice. Haematologica 2016, 101, 1133–1143. [Google Scholar] [CrossRef] [PubMed]
 - Alvarez-Twose, I.; Matito, A.; Morgado, J.M.; Sánchez-Muñoz, L.; Jara-Acevedo, M.; García-Montero, A.; Mayado, A.; Caldas, C.; Teodósio, C.; Muñoz-González, J.I.; et al. Imatinib in systemic mastocytosis: A phase IV clinical trial in patients lacking exon 17 KIT mutations and review of the literature. Oncotarget 2016, 8, 68950–68963. [Google Scholar] [CrossRef] [PubMed] [Green Version]
 - Kristensen, T.; Vestergaard, H.; Møller, M.B. Improved detection of the KIT D816V mutation in patients with systemic mastocytosis using a quantitative and highly sensitive real-time qPCR assay. J. Mol. Diagn. 2011, 13, 180–188. [Google Scholar] [CrossRef] [PubMed]
 




| Antibody | Pattern of Staining | Sensitivity for Mast Cells *  | Specificity for Mast Cells *  | Specificity for Neoplastic Mast Cells *  | Comment | 
|---|---|---|---|---|---|
| CD117 (KIT) | Membrane | +++ | + | - | Proves MC lineage irrespective of normal/reactive or neoplastic status. Highly sensitive but not entirely specific for MCs since melanocytes, interstitial cells of Cajal, and hematopoietic stem cells also express CD117. | 
| Tryptase | Cytoplasm | +++ | ++ | - | Proves MC lineage irrespective of normal/reactive or neoplastic status. Highly specific for MCs. | 
| CD2 | Membrane | - | - | +++ | Aberrantly expressed in neoplastic MCs, but its use in routine practice is limited due to variability among different cases and even within individual cases. CD2 is not specific for MCs and also stains T lymphocytes and a subset of NK cells. | 
| CD25 | Membrane | - | - | +++ | Aberrantly expressed by neoplastic MCs. CD25 is not specific for MCs and also stains a subset of T lymphocytes. | 
| CD30 | Membrane | - | - | +++ | CD30 is detectable in activated/proliferating lymphoid cells and in a distinct subset of tumors, including embryonal carcinoma, Hodgkin lymphoma, anaplastic large cell lymphoma, and extramedullary myeloid sarcoma. CD30 has been accepted as a minor diagnostic criteria in the WHO classification and in the ICC. CD30 is of help in the diagnosis of well-differentiated SM, usually negative for CD2 and CD25. CD30 does not qualify as a reliable grading marker in SM. | 
Publisher’s Note: MDPI stays neutral with regard to jurisdictional claims in published maps and institutional affiliations.  | 
© 2022 by the authors. Licensee MDPI, Basel, Switzerland. This article is an open access article distributed under the terms and conditions of the Creative Commons Attribution (CC BY) license (https://creativecommons.org/licenses/by/4.0/).
Share and Cite
Crupi, F.; Sordi, B.; Vanderwert, F.; Gesullo, F.; Amorosi, A.; Mannelli, F.; Santi, R. Histopathology and Molecular Genetics in Systemic Mastocytosis: Implications for Clinical Management. Int. J. Mol. Sci. 2022, 23, 8772. https://doi.org/10.3390/ijms23158772
Crupi F, Sordi B, Vanderwert F, Gesullo F, Amorosi A, Mannelli F, Santi R. Histopathology and Molecular Genetics in Systemic Mastocytosis: Implications for Clinical Management. International Journal of Molecular Sciences. 2022; 23(15):8772. https://doi.org/10.3390/ijms23158772
Chicago/Turabian StyleCrupi, Francesca, Benedetta Sordi, Fiorenza Vanderwert, Francesca Gesullo, Andrea Amorosi, Francesco Mannelli, and Raffaella Santi. 2022. "Histopathology and Molecular Genetics in Systemic Mastocytosis: Implications for Clinical Management" International Journal of Molecular Sciences 23, no. 15: 8772. https://doi.org/10.3390/ijms23158772
APA StyleCrupi, F., Sordi, B., Vanderwert, F., Gesullo, F., Amorosi, A., Mannelli, F., & Santi, R. (2022). Histopathology and Molecular Genetics in Systemic Mastocytosis: Implications for Clinical Management. International Journal of Molecular Sciences, 23(15), 8772. https://doi.org/10.3390/ijms23158772
        
                                                
