Altered Distribution and Expression of Syndecan-1 and -4 as an Additional Hallmark in Psoriasis
Abstract
1. Introduction
2. Results
2.1. Altered Expression and Distribution of Syndecan-1 and -4 and FN in Plaque Psoriasis
2.2. Freshly Isolated Keratinocytes from Psoriatic Lesions Cultured In Vitro Present Differences Insyndecan-1 and -4 Expression at the Gene Transcription Level While Maintain an “Active” Phenotype
2.3. Psoriatic Keratinocytes Respond Differently Than Healthy Keratinocytes upon Attachment to FN
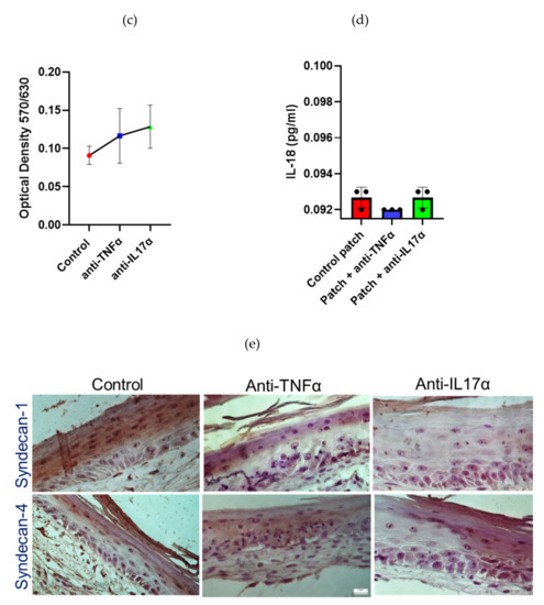
2.4. Characterization of Gelatin Patch
2.5. Data from a Reconstructed Skin Model Showing That Treatment with a Gelatin Patch as Carrier of TNFa and IL-17a Blockers Affect Epidermal Syndecan-1 but Not Syndecan-4 Expression
3. Discussion
4. Materials and Methods
4.1. Patients and Samples
4.2. Monolayer Cell Cultures and Co-Cultures
4.3. Cell Treatments
4.4. Immunohistochemistry
4.5. Enzyme-Linked Immunosorbent Assay (ELISA)
4.6. MTT (3-[4,5-Dimethylthiazole-2-yl]-2,5-diphenyltetrazolium Bromide) Proliferation Assay
4.7. Real-Time Reverse Transcription PCR
4.8. SE Model
4.9. Synthesis and Characterization of Gelatin Electrospun Patch
4.10. Testing of the Anti-TNFa or Anti-IL-17A Enriched Patches onto the SEs
4.11. Image Analysis
4.12. Statistical Analysis
5. Conclusions
Supplementary Materials
Author Contributions
Funding
Institutional Review Board Statement
Informed Consent Statement
Data Availability Statement
Acknowledgments
Conflicts of Interest
References
- Prinz, J.C. Autoimmune aspects of psoriasis: Heritability and autoantigens. Autoimmun. Rev. 2017, 16, 970–979. [Google Scholar] [CrossRef] [PubMed]
- Christophers, E.; Mrowietz, U. The Inflammatory Infiltrate in Psoriasis. Clin. Dermatol. 1995, 13, 131–135. [Google Scholar] [CrossRef]
- Ortonne, J.P. Recent developments in the understanding of the pathogenesis of psoriasis. Br. J. Dermatol. Suppl. 1999, 140, 1–7. [Google Scholar] [CrossRef] [PubMed]
- Kim, B.Y.; Choi, J.W.; Kim, B.R.; Youn, S.W. Histopathological findings are associated with the clinical types of psoriasis but not with the corresponding lesional psoriasis severity index. Ann. Dermatol. 2015, 27, 26–31. [Google Scholar] [CrossRef] [PubMed]
- Mommers, J.M.; Van Rossum, M.M.; Van Erp, P.E.J.; Van De Kerkhof, P.C.M. Changes in keratin 6 and keratin 10 (co-)expression in lesional and symptomless skin of spreading psoriasis. Dermatology 2000, 201, 15–20. [Google Scholar] [CrossRef]
- Komine, M.; Freedberg, I.M.; Blumenberg, M. Regulation of epidermal expression of keratin K17 in inflammatory skin diseases. J. Investig. Dermatol. 1996, 107, 569–575. [Google Scholar] [CrossRef]
- Albanesi, C.; De Pità, O.; Girolomoni, G. Resident skin cells in psoriasis: A special look at the pathogenetic functions of keratinocytes. Clin. Dermatol. 2007, 25, 581–588. [Google Scholar] [CrossRef]
- Piskin, G.; Sylva-Steenland, R.M.R.; Bos, J.D.; Teunissen, M.B.M. In Vitro and In Situ Expression of IL-23 by Keratinocytes in Healthy Skin and Psoriasis Lesions: Enhanced Expression in Psoriatic Skin. J. Immunol. 2006, 176, 1908–1915. [Google Scholar] [CrossRef]
- Michopoulou, A.; Rousselle, P. How do epidermal matrix metalloproteinases support re-epithelialization during skin healing? Eur. J. Dermatology 2015, 25, 33–42. [Google Scholar] [CrossRef]
- Albanesi, C.; Madonna, S.; Gisondi, P.; Girolomoni, G. The interplay between keratinocytes and immune cells in the pathogenesis of psoriasis. Front. Immunol. 2018, 9, 1549. [Google Scholar] [CrossRef]
- Barker, J.; Baker, H.; Nadeem, A.; Gu, D.H.; Girolomoni, G. Health Economic Assessment of Optimal Biological Treatment for Moderate-to-Severe Psoriasis. Clin. Drug Investig. 2021, 41, 1011–1020. [Google Scholar] [CrossRef] [PubMed]
- Giannelli, G.; Savoia, P.; Schiraldi, O.; Lospalluti, M.; De Luca, M.; Marchisio, P.C.; Quaranta, V. Psoriatic lesions in patients with chronic liver disease are distinct from psoriasis vulgaris lesions, as judged on basis of integrin adhesion receptors. Hepatology 1994, 20, 56–65. [Google Scholar] [CrossRef] [PubMed]
- Hertle, M.D.; Kubler, M.-D.; Leigh, I.M.; Wattroup, F.M. Aberrant Integrin Expression during Epidermal Wound Healing and in Psoriatic Epidermis. J. Clin. Investig. 1992, 89, 1892–1901. [Google Scholar]
- Mondello, M.R.; Magaudda, L.; Pergolizzi, S.; Santoro, A.; Vaccaro, M.; Califano, L.; Cannavò, S.P.; Guarneri, B. Behaviour of laminin 1 and type IV collagen in uninvolved psoriatic skin. Immunohistochemical study using confocal laser scanning microscopy. Arch. Dermatol. Res. 1996, 288, 527–531. [Google Scholar] [CrossRef] [PubMed]
- Pellegrini, G.; De Luca, M.; Orecchia, G.; Balzac, F.; Cremona, O.; Savoia, P.; Cancedda, R.; Marchisio, P.C. Expression, topography, and function of integrin receptors are severely altered in keratinocytes from involved and uninvolved psoriatic skin. J. Clin. Investig. 1992, 89, 1783–1795. [Google Scholar] [CrossRef]
- Bata-Csorgo, Z.; Cooper, K.D.; Ting, K.M.; Voorhees, J.J.; Hammerberg, C. Fibronectin and alpha5 integrin regulate keratinocyte cell cycling. A mechanism for increased fibronectin potentiation of T cell lymphokine-driven keratinocyte hyperproliferation in psoriasis. J. Clin. Investig. 1998, 101, 1509–1518. [Google Scholar] [CrossRef]
- Savoia, P.; Trusolino, L.; Pepino, E.; Cremona, O.; Marchisio, P.C. Expression and topography of integrins and basement membrane proteins in epidermal carcinomas: Basal but not squamous cell carcinomas display loss of α6β4 and BM-600/nicein. J. Investig. Dermatol. 1993, 101, 352–358. [Google Scholar] [CrossRef]
- Rousselle, P.; Montmasson, M.; Garnier, C. Extracellular matrix contribution to skin wound re-epithelialization. Matrix Biol. 2019, 75–76, 12–26. [Google Scholar] [CrossRef]
- Vaccaro, M.; Magaudda, L.; Cutroneo, G.; Trimarchi, F.; Barbuzza, O.; Guarneri, F.; Guarneri, B. Changes in the distribution of laminin α1 chain in psoriatic skin: Immunohistochemical study using confocal laser scanning microscopy. Br. J. Dermatol. 2002, 146, 392–398. [Google Scholar] [CrossRef]
- Ting, K.M.; Rothaupt, D.; McCormick, T.S.; Hammerberg, C.; Chen, G.; Gilliam, A.C.; Stevens, S.; Gulp, L.; Cooper, K.D. Overexpression of the oncofetal Fn variant containing the EDA splice-in segment in the dermal-epidermal junction of psoriatic uninvolved skin. J. Investig. Dermatol. 2000, 114, 706–711. [Google Scholar] [CrossRef]
- Gubán, B.; Vas, K.; Balog, Z.; Manczinger, M.; Bebes, A.; Groma, G.; Széll, M.; Kemény, L.; Bata-Csörgö, Z. Abnormal regulation of fibronectin production by fibroblasts in psoriasis. Br. J. Dermatol. 2016, 174, 533–541. [Google Scholar] [CrossRef] [PubMed]
- Gopal, S. Syndecans in Inflammation at a Glance. Front. Immunol. 2020, 11, 227. [Google Scholar] [CrossRef] [PubMed]
- Tomas, D.; Vučić, M.; Šitum, M.; Krušlin, B. The expression of syndecan-1 in psoriatic epidermis. Arch. Dermatol. Res. 2008, 300, 393–395. [Google Scholar] [CrossRef] [PubMed][Green Version]
- Patterson, A.M. Soluble Syndecan-1: Does This Biomarker Address a Seemingly Insoluble Problem in Inflammatory Bowel Disease? Dig. Dis. Sci. 2015, 60, 2222–2224. [Google Scholar] [CrossRef][Green Version]
- Patterson, A.M.; Cartwright, A.; David, G.; Fitzgerald, O.; Bresnihan, B.; Ashton, B.A.; Middleton, J. Differential expression of syndecans and glypicans in chronically inflamed synovium. Ann. Rheum. Dis. 2008, 67, 592–601. [Google Scholar] [CrossRef]
- Bayer-Garner, I.B.; Dilday, B.R.; Sanderson, R.D.; Smoller, B.R. Acantholysis and spongiosis are associated with loss of syndecan-1 expression. J. Cutan. Pathol. 2001, 28, 135–139. [Google Scholar] [CrossRef]
- Nakao, M.; Sugaya, M.; Takahashi, N.; Al, E. Increased syndecan-4 expression in sera and skin of patients with atopic dermatitis. Arch. Dermatol. Res. 2016, 308, 655–660. [Google Scholar] [CrossRef]
- Couchman, J.R. Syndecans: Proteoglycan regulators of cell-surface microdomains? Nat. Rev. Mol. Cell Biol. 2003, 4, 926–937. [Google Scholar] [CrossRef]
- Cheng, B.; Montmasson, M.; Terradot, L.; Rousselle, P. Syndecans as cell surface receptors in cancer biology. A focus on their interaction with PDZ domain proteins. Front. Pharmacol. 2016, 7, 10. [Google Scholar] [CrossRef]
- Xian, X.; Gopal, S.; Couchman, J.R. Syndecans as receptors and organizers of the extracellular matrix. Cell Tissue Res. 2010, 339, 31–46. [Google Scholar] [CrossRef]
- Bertrand, J.; Bollmann, M. Soluble syndecans: Biomarkers for diseases and therapeutic options. Br. J. Pharmacol. 2019, 176, 67–81. [Google Scholar] [CrossRef] [PubMed]
- Szatmári, T.; Mundt, F.; Kumar-Singh, A.; Möbus, L.; Ötvös, R.; Hjerpe, A.; Dobra, K. Molecular targets and signaling pathways regulated by nuclear translocation of syndecan-1. BMC Cell Biol. 2017, 18, 34. [Google Scholar] [CrossRef] [PubMed]
- Bitoux, M.-A.L.; Callejon, S.; Aller, M.R.; Denis, A.; Pernet, I.; Haftek, M. Syndecans and CD44 in Normal Human Keratinocyte Cultures: Modulation with Medium Composition and All-trans Retinoic Acid. Open Dermatol. J. 2009, 3, 32–41. [Google Scholar] [CrossRef]
- Michopoulou, A.; Montmasson, M.; Garnier, C.; Lambert, E.; Dayan, G.; Rousselle, P. A novel mechanism in wound healing: Laminin 332 drives MMP9/14 activity by recruiting syndecan-1 and CD44. Matrix Biol. 2020, 94, 1–17. [Google Scholar] [CrossRef] [PubMed]
- Eustace, A.D.; McNaughton, E.F.; King, S.; Kehoe, O.; Kungl, A.; Mattey, D.; Nobbs, A.H.; Williams, N.; Middleton, J. Soluble syndecan-3 binds chemokines, reduces leukocyte migration in vitro and ameliorates disease severity in models of rheumatoid arthritis. Arthritis Res. Ther. 2019, 21, 172. [Google Scholar] [CrossRef] [PubMed]
- Okutan, N.; Terzi, P.; Altay, F. Affecting parameters on electrospinning process and characterization of electrospun gelatin nanofibers. Food Hydrocoll. 2014, 39, 19–26. [Google Scholar] [CrossRef]
- Li, M.; Guo, Y.; Wei, Y.; MacDiarmid, A.G.; Lelkes, P.I. Electrospinning polyaniline-contained gelatin nanofibers for tissue engineering applications. Biomaterials 2006, 27, 2705–2715. [Google Scholar] [CrossRef]
- Ehrmann, A. Non-Toxic Crosslinking of Electrospun Gelatin Nanofibers for Tissue Engineering and Biomedicine—A Review. Polymers 2021, 13, 1973. [Google Scholar] [CrossRef]
- Samraj, S.M.D.; Vadodaria, K. Development and optimization of gelatin nanofibrous scaffold for tissue engineering applications. J. Drug Deliv. Sci. Technol. 2022, 71, 103283. [Google Scholar] [CrossRef]
- Li, T.; Sun, M.; Wu, S. State-of-the-Art Review of Electrospun Gelatin-Based Nanofiber Dressings for Wound Healing Applications. Nanomaterials 2022, 12, 784. [Google Scholar] [CrossRef]
- Arun, A.; Malrautu, P.; Laha, A.; Ramakrishna, S. Gelatin Nanofibers in Drug Delivery Systems and Tissue Engineering. Eng. Sci. 2021, 16, 71–81. [Google Scholar] [CrossRef]
- Ghasemi, M.; Turnbull, T.; Sebastian, S.; Kempson, I. The mtt assay: Utility, limitations, pitfalls, and interpretation in bulk and single-cell analysis. Int. J. Mol. Sci. 2021, 22, 2827. [Google Scholar] [CrossRef] [PubMed]
- Peng, J.; Wang, X.; Lou, T. Preparation of chitosan/gelatin composite foam with ternary solvents of dioxane/acetic acid/water and its water absorption capacity. Polym. Bull. 2020, 77, 5227–5244. [Google Scholar] [CrossRef]
- Ki, C.S.; Baek, D.H.; Gang, K.D.; Lee, K.H.; Um, I.C.; Park, Y.H. Characterization of gelatin nanofiber prepared from gelatin-formic acid solution. Polymer 2005, 46, 5094–5102. [Google Scholar] [CrossRef]
- Määttä, A.; Jaakkola, P.; Jalkanen, M. Extracellular matrix-dependent activation of syndecan-1 expression in keratinocyte growth factor-treated keratinocytes. J. Biol. Chem. 1999, 274, 9891–9898. [Google Scholar] [CrossRef] [PubMed]
- Elenius, K.; Vainio, S.; Laato, M.; Salmivirta, M.; Thesleff, I.; Jalkanen, M. Induced expression of syndecan in healing wounds. J. Cell Biol. 1991, 114, 585–595. [Google Scholar] [CrossRef] [PubMed]
- Wang, J.P.; Hielscher, A. Fibronectin: How its aberrant expression in tumors may improve therapeutic targeting. J. Cancer 2017, 8, 674–682. [Google Scholar] [CrossRef]
- Huang, C.P.; Cheng, C.M.; Su, H.L.; Lin, Y.W. Syndecan-4 Promotes Epithelial Tumor Cells Spreading and Regulates the Turnover of PKCα Activity under Mechanical Stimulation on the Elastomeric Substrates. Cell. Physiol. Biochem. 2015, 36, 1291–1304. [Google Scholar] [CrossRef]
- Ishiguro, K.; Kadomatsu, K.; Kojima, T.; Muramatsu, H.; Tsuzuki, S.; Nakamura, E.; Kusugami, K.; Saito, H.; Muramatsu, T. Syndecan-4 deficiency impairs focal adhesion formation only under restricted conditions. J. Biol. Chem. 2000, 275, 5249–5252. [Google Scholar] [CrossRef]
- Jang, B.; Kim, A.; Hwang, J.; Song, H.K.; Kim, Y.; Oh, E.S. Emerging Role of Syndecans in Extracellular Matrix Remodeling in Cancer. J. Histochem. Cytochem. 2020, 68, 863–870. [Google Scholar] [CrossRef]
- Stepp, M.A. Defects in keratinocyte activation during wound healing in the syndecan-1-deficient mouse. J. Cell Sci. 2002, 115, 4517–4531. [Google Scholar] [CrossRef] [PubMed]
- Lockwood, S.J.; Prens, L.M.; Kimball, A.B. Adverse Reactions to Biologics in Psoriasis. Curr. Probl. Dermatology 2017, 53, 1–14. [Google Scholar] [CrossRef]
- Kim, S.E.; Heo, D.N.; Lee, J.B.; Kim, J.R.; Park, S.H.; Jeon, S.H.; Kwon, I.K. Electrospun gelatin/polyurethane blended nanofibers for wound healing. Biomed. Mater. 2009, 4, 044106. [Google Scholar] [CrossRef] [PubMed]
- Jalaja, K.; Naskar, D.; Kundu, S.C.; James, N.R. Potential of electrospun core-shell structured gelatin-chitosan nanofibers for biomedical applications. Carbohydr. Polym. 2016, 136, 1098–1107. [Google Scholar] [CrossRef]
- Li, H.; Wang, M.; Williams, G.R.; Wu, J.; Sun, X.; Lv, Y.; Zhu, L.M. Electrospun gelatin nanofibers loaded with vitamins A and e as antibacterial wound dressing materials. RSC Adv. 2016, 6, 50267–50277. [Google Scholar] [CrossRef]
- Laha, A.; Sharma, C.S.; Majumdar, S. Sustained drug release from multi-layered sequentially crosslinked electrospun gelatin nanofiber mesh. Mater. Sci. Eng. C 2017, 76, 782–786. [Google Scholar] [CrossRef]
- Laha, A.; Yadav, S.; Majumdar, S.; Sharma, C.S. In-vitro release study of hydrophobic drug using electrospun cross-linked gelatin nanofibers. Biochem. Eng. J. 2016, 105, 481–488. [Google Scholar] [CrossRef]
- Michopoulou, A.; Koliakou, E.; Terzopoulou, Z.; Rousselle, P.; Palamidi, A.; Doxakis, A.; Konstantinidou, P.; Roig-Rosello, E.; Demiri, E.; Bikiaris, D. Benefit of coupling heparin to crosslinked collagen I/III scaffolds for human dermal fibroblast subpopulations’ tissue growth No Title. J. Biomed. Mater. Res. Part A 2022, 110, 797–811. [Google Scholar] [CrossRef]
- Kenneth, J.L.; Thomas, D. Schmittgen Analysis of Relative Gene Expression Data Using Real- Time Quantitative PCR and the 22DDCT Method. Methods 2001, 25, 402–408. [Google Scholar]








| Syndecan-1 | Syndecan-4 | Plasma Fibronectin (FN-III-10) | Cellular Fibronectin (FN-ED-A) | |
|---|---|---|---|---|
| Healthy skin | ||||
| Basal layer | − | ++ | + | + | 
| Spinous layer | + | + | − | − | 
| Granular layer | ++ | − | − | − | 
| Psoriasis lesional skin | ||||
| Basal layer | + | − | − | − | 
| Spinous layer | − | − | − | − | 
| Granular layer | − | − | − | − | 
| Syndecan-1 | Syndecan-4 | Plasma Fibronectin (FN-III-10) | Cellular Fibronectin (FN-ED-A) | |
| Healthy skin | ||||
| Basal layer | − | ++ | + | + | 
| Publisher’s Note: MDPI stays neutral with regard to jurisdictional claims in published maps and institutional affiliations. | 
© 2022 by the authors. Licensee MDPI, Basel, Switzerland. This article is an open access article distributed under the terms and conditions of the Creative Commons Attribution (CC BY) license (https://creativecommons.org/licenses/by/4.0/).
Share and Cite
Koliakou, E.; Eleni, M.M.; Koumentakou, I.; Bikiaris, N.; Konstantinidou, P.; Rousselle, P.; Anestakis, D.; Lazaridou, E.; Kalloniati, E.; Miliaras, D.; et al. Altered Distribution and Expression of Syndecan-1 and -4 as an Additional Hallmark in Psoriasis. Int. J. Mol. Sci. 2022, 23, 6511. https://doi.org/10.3390/ijms23126511
Koliakou E, Eleni MM, Koumentakou I, Bikiaris N, Konstantinidou P, Rousselle P, Anestakis D, Lazaridou E, Kalloniati E, Miliaras D, et al. Altered Distribution and Expression of Syndecan-1 and -4 as an Additional Hallmark in Psoriasis. International Journal of Molecular Sciences. 2022; 23(12):6511. https://doi.org/10.3390/ijms23126511
Chicago/Turabian StyleKoliakou, Eleni, Manthou Maria Eleni, Ioanna Koumentakou, Nikolaos Bikiaris, Polyanthi Konstantinidou, Patricia Rousselle, Doxakis Anestakis, Elisabeth Lazaridou, Evangelia Kalloniati, Dimosthenis Miliaras, and et al. 2022. "Altered Distribution and Expression of Syndecan-1 and -4 as an Additional Hallmark in Psoriasis" International Journal of Molecular Sciences 23, no. 12: 6511. https://doi.org/10.3390/ijms23126511
APA StyleKoliakou, E., Eleni, M. M., Koumentakou, I., Bikiaris, N., Konstantinidou, P., Rousselle, P., Anestakis, D., Lazaridou, E., Kalloniati, E., Miliaras, D., & Michopoulou, A. (2022). Altered Distribution and Expression of Syndecan-1 and -4 as an Additional Hallmark in Psoriasis. International Journal of Molecular Sciences, 23(12), 6511. https://doi.org/10.3390/ijms23126511
 
        




 
       