Venetoclax Induces Cardiotoxicity through Modulation of Oxidative-Stress-Mediated Cardiac Inflammation and Apoptosis via NF-κB and BCL-2 Pathway
Abstract
:1. Introduction
2. Results
2.1. Effect of VTX Treatment on Cardiac Enzymes
2.2. VTX-Induced Cardiac Hypertrophy
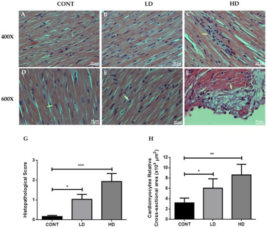
2.3. Effects of VTX on Cardiac Architecture
2.4. VTX-Induced Apoptosis in the Heart
2.5. VTX-Induced Oxidative Stress and Inflammation in the Heart
2.6. Effect of VTX on Oxidative Stress Status
3. Discussion
4. Materials and Methods
4.1. Animals
4.2. Study Design
4.3. Measuring the Cardiac Enzymes
4.4. Gene Expression Studies
4.5. Protein-Expression Studies
4.6. Measurement of Lipid Peroxidation
4.7. Measurement of Reduced Glutathione
4.8. Measurement of Catalase Activity
4.9. Histopathology
4.10. Statistical Analysis
5. Conclusions
Author Contributions
Funding
Institutional Review Board Statement
Informed Consent Statement
Data Availability Statement
Acknowledgments
Conflicts of Interest
References
- Laverty, H.G.; Benson, C.; Cartwright, E.J.; Cross, M.J.; Garland, C.; Hammond, T.; Holloway, C.; McMahon, N.; Milligan, J.; Park, B.K.; et al. How can we improve our understanding of cardiovascular safety liabilities to develop safer medicines? Br. J. Pharmacol. 2011, 163, 675–693. [Google Scholar] [CrossRef] [PubMed]
- Cardinale, D.M.; Zaninotto, M.; Cipolla, C.M.; Passino, C.; Plebani, M.; Clerico, A. Cardiotoxic effects and myocardial injury: The search for a more precise definition of drug cardiotoxicity. Clin. Chem. Lab. Med. 2020, 59, 51–57. [Google Scholar] [CrossRef] [PubMed]
- Shah, C.P.; Moreb, J.S. Cardiotoxicity due to targeted anticancer agents: A growing challenge. Ther. Adv. Cardiovasc. Dis. 2019, 13, 1753944719843435. [Google Scholar] [CrossRef] [PubMed] [Green Version]
- Kim, H.; Chung, W.B.; Im Cho, K.; Kim, B.J.; Seo, J.S.; Park, S.M.; Kim, H.J.; Lee, J.H.; Kim, E.K.; Youn, H.J. Diagnosis, Treatment, and Prevention of Cardiovascular Toxicity Related to Anti-Cancer Treatment in Clinical Practice: An Opinion Paper from the Working Group on Cardio-Oncology of the Korean Society of Echocardiography. J. Cardiovasc. Ultrasound 2018, 26, 1–25. [Google Scholar] [CrossRef] [Green Version]
- Dong, J.; Chen, H. Cardiotoxicity of Anticancer Therapeutics. Front. Cardiovasc. Med. 2018, 5, 9. [Google Scholar] [CrossRef] [Green Version]
- Curigliano, G.; Cardinale, D.; Dent, S.; Criscitiello, C.; Aseyev, O.; Lenihan, D.; Cipolla, C.M. Cardiotoxicity of anticancer treatments: Epidemiology, detection, and management. CA Cancer J. Clin. 2016, 66, 309–325. [Google Scholar] [CrossRef] [Green Version]
- Deng, S.; Wojnowski, L. Genotyping the risk of anthracycline-induced cardiotoxicity. Cardiovasc. Toxicol. 2007, 7, 129–134. [Google Scholar] [CrossRef]
- Mihalcea, D.J.; Florescu, M.; Vinereanu, D. Mechanisms and Genetic Susceptibility of Chemotherapy-Induced Cardiotoxicity in Patients with Breast Cancer. Am. J. Ther. 2017, 24, e3–e11. [Google Scholar] [CrossRef]
- Shaikh, Y.A.; Shih, J.A. Chemotherapy-induced cardiotoxicity. Curr. Heart Fail. Rep. 2012, 9, 117–127. [Google Scholar] [CrossRef]
- Tocchetti, C.G.; Cadeddu, C.; Di Lisi, D.; Femminò, S.; Madonna, R.; Mele, D.; Monte, I.; Novo, G.; Penna, C.; Pepe, A.; et al. From Molecular Mechanisms to Clinical Management of Antineoplastic Drug-Induced Cardiovascular Toxicity: A Translational Overview. Antioxid. Redox Signal. 2019, 30, 2110–2153. [Google Scholar] [CrossRef]
- Ewer, M.S.; Ewer, S.M. Cardiotoxicity of anticancer treatments: What the cardiologist needs to know. Nat. Rev. Cardiol. 2010, 7, 564–575. [Google Scholar] [CrossRef] [PubMed]
- Juárez-Salcedo, L.M.; Desai, V.; Dalia, S. Venetoclax: Evidence to date and clinical potential. Drugs Context 2019, 8, 1–13. [Google Scholar] [CrossRef] [PubMed]
- Huang, Y.; Wu, J.-Z.; Li, J.-Y.; Xu, W. Know the enemy as well as the weapons in hand: The aberrant death pathways and therapeutic agents in chronic lymphocytic leukemia. Am. J. Cancer Res. 2015, 5, 2361–2375. [Google Scholar] [PubMed]
- Roberts, A.W.; Stilgenbauer, S.; Seymour, J.F.; Huang, D.C. Venetoclax in Patients with Previously Treated Chronic Lymphocytic Leukemia. Clin. Cancer Res. 2017, 23, 4527–4533. [Google Scholar] [CrossRef] [PubMed] [Green Version]
- Schmitt, A.C.; Lowe, S.W. Bcl-2 mediates chemoresistance in matched pairs of primary E(mu)-myc lymphomas in vivo. Blood Cells Mol. Dis. 2001, 27, 206–216. [Google Scholar] [CrossRef]
- Itchaki, G.; Brown, J.R. The potential of venetoclax (ABT-199) in chronic lymphocytic leukemia. Ther. Adv. Hematol. 2016, 7, 270–287. [Google Scholar] [CrossRef] [Green Version]
- Deeks, E.D. Venetoclax: First Global Approval. Drugs 2016, 76, 979–987. [Google Scholar] [CrossRef]
- Mihalyova, J.; Jelinek, T.; Growkova, K.; Hrdinka, M.; Simicek, M.; Hajek, R. Venetoclax: A new wave in hematooncology. Exp. Hematol. 2018, 61, 10–25. [Google Scholar] [CrossRef]
- Davids, M.S.; Hallek, M.; Wierda, W.; Roberts, A.W.; Stilgenbauer, S.; Jones, J.A.; Gerecitano, J.F.; Kim, S.Y.; Potluri, J.; Busman, T.; et al. Comprehensive Safety Analysis of Venetoclax Monotherapy for Patients with Relapsed/Refractory Chronic Lymphocytic Leukemia. Clin. Cancer Res. 2018, 24, 4371–4379. [Google Scholar] [CrossRef] [Green Version]
- Mahida, H.; Gharia, B.; Ugoeke, N.; Maludum, O.; Asif, A.; Calderon, D. Abstract 11835: Evaluation of Cardiovascular Adverse Events Associated With Ibrutinib, Venetoclax and Idelalisib Used in Treatment of Chronic Lymphocytic Leukemia. Circulation 2018, 138 (Suppl. S1), A11835. [Google Scholar]
- Wanchoo, R.; Ramirez, C.B.; Barrientos, J.; Jhaveri, K.D. Renal involvement in chronic lymphocytic leukemia. Clin. Kidney J. 2018, 11, 670–680. [Google Scholar] [CrossRef] [PubMed] [Green Version]
- Gustafsson, B.; Gottlieb, R.A. Bcl-2 family members and apoptosis, taken to heart. Am. J. Physiol. 2007, 292, C45–C51. [Google Scholar] [CrossRef] [PubMed] [Green Version]
- Cang, S.; Iragavarapu, C.; Savooji, J.; Song, Y.; Liu, D. ABT-199 (venetoclax) and BCL-2 inhibitors in clinical development. J. Hematol. Oncol. 2015, 8, 129. [Google Scholar] [CrossRef] [PubMed]
- Takemura, G.; Fujiwara, H. Doxorubicin-Induced Cardiomyopathy: From the Cardiotoxic Mechanisms to Management. Prog. Cardiovasc. Dis. 2007, 49, 330–352. [Google Scholar] [CrossRef]
- Tian, S.; Hirshfield, K.M.; Jabbour, S.K.; Toppmeyer, D.; Haffty, B.G.; Khan, A.J.; Goyal, S. Serum Biomarkers for the Detection of Cardiac Toxicity after Chemotherapy and Radiation Therapy in Breast Cancer Patients. Front. Oncol. 2014, 4, 277. [Google Scholar] [CrossRef] [Green Version]
- Kang, Y.J. Molecular and cellular mechanisms of cardiotoxicity. Environ. Health Perspect. 2001, 109 (Suppl. S1), 27–34. [Google Scholar]
- Empel, P.V.; de Windt, L.J. Myocyte hypertrophy and apoptosis: A balancing act. Cardiovasc. Res. 2004, 63, 487–499. [Google Scholar] [CrossRef] [Green Version]
- Zordoky, B.; El-Kadi, A.O. Induction of several cytochrome P450 genes by doxorubicin in H9c2 cells. Vasc. Pharmacol. 2008, 49, 166–172. [Google Scholar] [CrossRef]
- Korashy, H.M.; Al-Suwayeh, H.A.; Maayah, Z.H.; Ansari, M.A.; Ahmad, S.F.; Bakheet, S.A. Mitogen-Activated Protein Kinases Pathways Mediate the Sunitinib-Induced Hypertrophy in Rat Cardiomyocyte H9c2 Cells. Cardiovasc. Toxicol. 2015, 15, 41–51. [Google Scholar] [CrossRef]
- Ma, W.; Wei, S.; Zhang, B.; Li, W. Molecular Mechanisms of Cardiomyocyte Death in Drug-Induced Cardiotoxicity. Front. Cell Dev. Biol. 2020, 8, 434. [Google Scholar] [CrossRef]
- Galluzzi, L.; Vitale, I.; Aaronson, S.A.; Abrams, J.M.; Adam, D.; Agostinis, P.; Alnemri, E.S.; Altucci, L.; Amelio, I.; Andrews, D.W.; et al. Molecular mechanisms of cell death: Recommendations of the Nomenclature Committee on Cell Death 2018. Cell Death Differ. 2018, 25, 486–541. [Google Scholar] [CrossRef] [PubMed]
- Czabotar, P.E.; Lessene, G.; Strasser, A.; Adams, J.M. Control of apoptosis by the BCL-2 protein family: Implications for physiology and therapy. Nat. Rev. Mol. Cell Biol. 2014, 15, 49–63. [Google Scholar] [CrossRef] [PubMed]
- Roos, W.P.; Thomas, A.D.; Kaina, B. DNA damage and the balance between survival and death in cancer biology. Nat. Rev. Cancer 2016, 16, 20–33. [Google Scholar] [CrossRef] [PubMed]
- Wu, C.-C.; Bratton, S.B. Regulation of the Intrinsic Apoptosis Pathway by Reactive Oxygen Species. Antioxidants Redox Signal. 2013, 19, 546–558. [Google Scholar] [CrossRef] [Green Version]
- Liu, Q.; Wang, S.; Cai, L. Diabetic cardiomyopathy and its mechanisms: Role of oxidative stress and damage. J. Diabetes Investig. 2014, 5, 623–634. [Google Scholar] [CrossRef]
- Xu, T.; Ding, W.; Ji, X.; Ao, X.; Liu, Y.; Yu, W.; Wang, J. Oxidative Stress in Cell Death and Cardiovascular Diseases. Oxidative Med. Cell. Longev. 2019, 2019, 9030563. [Google Scholar] [CrossRef] [Green Version]
- Khullar, M.; Al-Shudiefat, A.A.-R.S.; Ludke, A.; Binepal, G.; Singal, P.K. Oxidative stress: A key contributor to diabetic cardiomyopathy. Can. J. Physiol. Pharmacol. 2010, 88, 233–240. [Google Scholar] [CrossRef]
- Vlantis, K.; Pasparakis, M. Role of TNF in pathologies induced by nuclear factor kappaB deficiency. Curr. Dir. Autoimmun. 2010, 11, 80–93. [Google Scholar]
- Prud’homme, G.J. Pathobiology of transforming growth factor beta in cancer, fibrosis and immunologic disease, and therapeutic considerations. Lab. Investig. 2007, 87, 1077–1091. [Google Scholar] [CrossRef] [Green Version]
- Dobaczewski, M.; Chen, W.; Frangogiannis, N.G. Transforming growth factor (TGF)-beta signaling in cardiac remodeling. J. Mol. Cell Cardiol. 2011, 51, 600–606. [Google Scholar] [CrossRef] [Green Version]
- Liu, L.-L.; Li, Q.-X.; Xia, L.; Li, J.; Shao, L. Differential effects of dihydropyridine calcium antagonists on doxorubicin-induced nephrotoxicity in rats. Toxicology 2007, 231, 81–90. [Google Scholar] [CrossRef] [PubMed]
- Mohan, M.; Kamble, S.; Gadhi, P.; Kasture, S. Protective effect of Solanum torvum on doxorubicin-induced nephrotoxicity in rats. Food Chem. Toxicol. 2010, 48, 436–440. [Google Scholar] [CrossRef] [PubMed]
- Debrincat, M.; Pleines, I.; Lebois, M.; Lane, R.M.; Holmes, M.L.; Corbin, J.; Vandenberg, C.J.; Alexander, W.S.; Ng, A.P.; Strasser, A.; et al. BCL-2 is dispensable for thrombopoiesis and platelet survival. Cell Death Dis. 2015, 6, e1721. [Google Scholar] [CrossRef] [PubMed] [Green Version]
- Souers, A.J.; Leverson, J.D.; Boghaert, E.R.; Ackler, S.L.; Catron, N.D.; Chen, J.; Dayton, B.D.; Ding, H.; Enschede, S.H.; Fairbrother, W.J.; et al. ABT-199, a potent and selective BCL-2 inhibitor, achieves antitumor activity while sparing platelets. Nat. Med. 2013, 19, 202–208. [Google Scholar] [CrossRef]
- Nair, A.B.; Jacob, S. A simple practice guide for dose conversion between animals and human. J. Basic Clin. Pharm. 2016, 7, 27–31. [Google Scholar] [CrossRef] [Green Version]
- Peirs, S.; Matthijssens, F.; Goossens, S.; Van de Walle, I.; Ruggero, K.; de Bock, C.; Degryse, S.; Canté-Barrett, K.; Briot, D.; Clappier, E.; et al. ABT-199 mediated inhibition of BCL-2 as a novel therapeutic strategy in T-cell acute lymphoblastic leukemia. Blood 2014, 124, 3738–3747. [Google Scholar] [CrossRef]
- Pan, R.; Hogdal, L.J.; Benito, J.M.; Bucci, D.; Han, L.; Borthakur, G.; Cortes, J.; DeAngelo, D.J.; DeBose, L.; Mu, H.; et al. Selective BCL-2 Inhibition by ABT-199 Causes On-Target Cell Death in Acute Myeloid Leukemia. Cancer Discov. 2013, 4, 362–375. [Google Scholar] [CrossRef] [Green Version]
- Wellington, D.; Mikaelian, I.; Singer, L. Comparison of ketamine-xylazine and ketamine-dexmedetomidine anesthesia and intraperitoneal tolerance in rats. J. Am. Assoc. Lab. Anim. Sci. 2013, 52, 481–487. [Google Scholar]
- Katare, P.B.; Bagul, P.K.; Dinda, A.K.; Banerjee, S.K. Toll-Like Receptor 4 Inhibition Improves Oxidative Stress and Mitochondrial Health in Isoproterenol-Induced Cardiac Hypertrophy in Rats. Front. Immunol. 2017, 8, 719. [Google Scholar] [CrossRef]
- Tracy, R.E.; Sander, G.E. Histologically Measured Cardiomyocyte Hypertrophy Correlates with Body Height as Strongly as with Body Mass Index. Cardiol. Res. Pract. 2011, 2011, 658958. [Google Scholar] [CrossRef] [Green Version]
- Livak, J.K.; Schmittgen, T.D. Analysis of relative gene expression data using real-time quantitative PCR and the 2(-Delta Delta C(T)) Method. Methods 2001, 25, 402–408. [Google Scholar] [CrossRef] [PubMed]
- Ohkawa, H.; Ohishi, N.; Yagi, K. Assay for lipid peroxides in animal tissues by thiobarbituric acid reaction. Anal. Biochem. 1979, 95, 351–358. [Google Scholar] [CrossRef]
- Sedlak, J.; Lindsay, R.H. Estimation of total, protein-bound, and nonprotein sulfhydryl groups in tissue with Ellman’s reagent. Anal. Biochem. 1968, 25, 192–205. [Google Scholar] [CrossRef]
- Claiborne, A.J.F.C.P. Handbook of Methods for Oxygen Radical Research; CRC Press: Boca Raton, FL, USA, 1985; pp. 283–284. [Google Scholar]








| Gene | Primer Sequence (5′-3′) | Product Length (bp) | Accession Number |
|---|---|---|---|
| Bcl-2 | Forward: CATGCGACCTCTGTTTGA Reverse: GTTTCATGGTCCATCCTTG | 193 | NM_016993.2 |
| Bnp | Forward: CAGAAGCTGCTGGAGCTGATAAG Reverse: TGTAGGGCCTTGGTCCTTTG | 78 | NM_031545.1 |
| Tnf-α | Forward: CACGCTCTTCTGTCTACTGA Reverse: GTACCACCAGTTGGTTGTCT | 254 | NM_012675.3 |
| Il-6 | Forward: GCCCTTCAGGAACAGCTATGA Reverse: TGTCAACAACATCAGTCCCAAGA | 80 | NM_012589.2 |
| α -Mhc | Forward: TGAAGAGCGCAGAGACAGAGAA Reverse: TTCTCCTCTGCGTTCCTACACT | 2743 | NM_017239.2 |
| β -Mhc | Forward: GAACCCTCCCAAGTTCGACAAGATCG Reverse: TGTTTCAAAGGCTCCAGGTCTCAGG | 5635 | NM_017240.2 |
| Nf-κb-p-65 | Forward: CATGCGTTTCCGTTACAAGTGCGA Reverse: TGGGTGCGTCTTAGTGGTATCTGT | 85 | NM_199267.2 |
| Tgf-β | Forward: GCCTCCGCATCCCACCTTTG Reverse: GCGGGTGACTTCTTTGGCGT | 396 | NM_021578.2 |
| Inf-γ | Forward: ATGAGTGCTACACGCCGCGTCTTGG Reverse: GAGTTCATTGACAGCTTTGTGCTGG | 405 | NM_138880.3 |
| Bax | Forward: TAGCAAACTGGTGCTCAAGG Reverse: TCTTGGATCCAGACAAGCAG | 111 | NM_017059.2 |
| β-Actin | Forward: AGTTCGCCATGGATGACGATATCGC Reverse: TGTAAAACGCAGCTCAGTAACAGTCCG | 1164 | NM_031144.3 |
Publisher’s Note: MDPI stays neutral with regard to jurisdictional claims in published maps and institutional affiliations. |
© 2022 by the authors. Licensee MDPI, Basel, Switzerland. This article is an open access article distributed under the terms and conditions of the Creative Commons Attribution (CC BY) license (https://creativecommons.org/licenses/by/4.0/).
Share and Cite
AlAsmari, A.F.; Alghamdi, A.; Ali, N.; Almeaikl, M.A.; Hakami, H.M.; Alyousef, M.K.; AlSwayyed, M.; Alharbi, M.; Alqahtani, F.; Alasmari, F.; et al. Venetoclax Induces Cardiotoxicity through Modulation of Oxidative-Stress-Mediated Cardiac Inflammation and Apoptosis via NF-κB and BCL-2 Pathway. Int. J. Mol. Sci. 2022, 23, 6260. https://doi.org/10.3390/ijms23116260
AlAsmari AF, Alghamdi A, Ali N, Almeaikl MA, Hakami HM, Alyousef MK, AlSwayyed M, Alharbi M, Alqahtani F, Alasmari F, et al. Venetoclax Induces Cardiotoxicity through Modulation of Oxidative-Stress-Mediated Cardiac Inflammation and Apoptosis via NF-κB and BCL-2 Pathway. International Journal of Molecular Sciences. 2022; 23(11):6260. https://doi.org/10.3390/ijms23116260
Chicago/Turabian StyleAlAsmari, Abdullah F., Adel Alghamdi, Nemat Ali, Muath A. Almeaikl, Hassan M. Hakami, Meshal K. Alyousef, Mohammed AlSwayyed, Metab Alharbi, Faleh Alqahtani, Fawaz Alasmari, and et al. 2022. "Venetoclax Induces Cardiotoxicity through Modulation of Oxidative-Stress-Mediated Cardiac Inflammation and Apoptosis via NF-κB and BCL-2 Pathway" International Journal of Molecular Sciences 23, no. 11: 6260. https://doi.org/10.3390/ijms23116260
APA StyleAlAsmari, A. F., Alghamdi, A., Ali, N., Almeaikl, M. A., Hakami, H. M., Alyousef, M. K., AlSwayyed, M., Alharbi, M., Alqahtani, F., Alasmari, F., & Alsaleh, N. (2022). Venetoclax Induces Cardiotoxicity through Modulation of Oxidative-Stress-Mediated Cardiac Inflammation and Apoptosis via NF-κB and BCL-2 Pathway. International Journal of Molecular Sciences, 23(11), 6260. https://doi.org/10.3390/ijms23116260

