A Single-Institute Experience with C-ros Oncogene 1 Translocation in Non-Small Cell Lung Cancers in Taiwan
Abstract
:1. Introduction
2. Results
2.1. Retrospective Study on ROS1 Translocation in NSCLC
2.2. ROS1 Translocation Was Clustered in EGFR Wild-Type NSCLCs
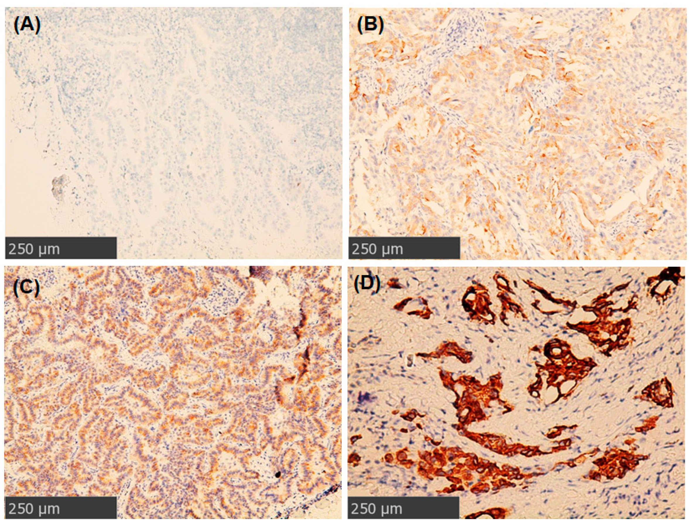
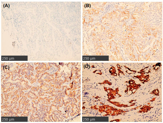
2.3. ROS1 Translocation Was Associated with ROS1 Expression in IHC
2.4. Testing Algorithm of ROS1 Tests Based on the Retrospective Study
2.5. ROS1 Translocation Was Detected Prospectively in NSCLCs
2.6. ROS1 Translocation Correlated with Responsiveness to Crizotinib
2.7. Prognosis of the ROS1 Translocated NSCLCs
3. Discussion
4. Materials and Methods
4.1. Tissue Specimens
4.2. Fluorescence in Situ Hybridization Assay
4.3. EGFR Mutational Analysis
4.4. Immunohistochemistry
4.5. Statistical Analysis
5. Conclusions
Supplementary Materials
Author Contributions
Funding
Institutional Review Board Statement
Informed Consent Statement
Data Availability Statement
Conflicts of Interest
Abbreviations
| ALK | Anaplastic lymphoma kinase |
| CD74 | Cluster of differentiation 74 |
| CI | Confidence interval |
| CR | Complete response |
| EGFR | Epidermal growth factor receptor |
| EZR | Ezrin |
| FGR pattern | Classic combination of fused, green, and red signals |
| FIG | Fused in glioblastoma |
| FISH | Fluorescent in situ hybridization |
| FR pattern | Loss of isolated green signal |
| HR | Hazard ratio |
| IHC | Immunohistochemical |
| NSCLC | Lung non-small cell lung cancer |
| ORR | Objective response rate |
| PD | Progressive disease |
| PR | Partial response |
| RET | Ret proto-oncogene |
| ROS1 | C-ros oncogene 1 |
| SD | Stable disease |
| SDC4 | Syndecan 4 |
| SLC34A2 | Solute carrier family 34 member 2 |
| TKI | Tyrosine kinase inhibitor |
References
- Batson, S.; Mitchell, S.A.; Windisch, R.; Damonte, E.; Munk, V.C.; Reguart, N. Tyrosine kinase inhibitor combination therapy in first-line treatment of non-small-cell lung cancer: Systematic review and network meta-analysis. OncoTargets Ther. 2017, 10, 2473. [Google Scholar] [CrossRef] [PubMed] [Green Version]
- Arbour, K.C.; Riely, G.J. Systemic therapy for locally advanced and metastatic non–small cell lung cancer: A review. JAMA 2019, 322, 764–774. [Google Scholar] [CrossRef] [PubMed]
- Lindeman, N.I.; Cagle, P.T.; Aisner, D.L.; Arcila, M.E.; Beasley, M.B.; Bernicker, E.H.; Colasacco, C.; Dacic, S.; Hirsch, F.R.; Kerr, K. Updated molecular testing guideline for the selection of lung cancer patients for treatment with targeted tyrosine kinase inhibitors: Guideline from the College of American Pathologists, the International Association for the Study of Lung Cancer, and the Association for Molecular Pathology. J. Thorac. Oncol. 2018, 13, 323–358. [Google Scholar] [PubMed] [Green Version]
- Gelatti, A.C.; Drilon, A.; Santini, F.C. Optimizing the sequencing of tyrosine kinase inhibitors (TKIs) in epidermal growth factor receptor (EGFR) mutation-positive non-small cell lung cancer (NSCLC). Lung Cancer 2019, 137, 113–122. [Google Scholar] [CrossRef] [PubMed] [Green Version]
- Cao, Z.; Gao, Q.; Fu, M.; Ni, N.; Pei, Y.; Ou, W.B. Anaplastic lymphoma kinase fusions: Roles in cancer and therapeutic perspectives. Oncol. Lett. 2019, 17, 2020–2030. [Google Scholar] [CrossRef] [Green Version]
- Golding, B.; Luu, A.; Jones, R.; Viloria-Petit, A.M. The function and therapeutic targeting of anaplastic lymphoma kinase (ALK) in non-small cell lung cancer (NSCLC). Mol. Cancer 2018, 17, 52. [Google Scholar] [CrossRef] [Green Version]
- Roskoski, R., Jr. ROS1 protein-tyrosine kinase inhibitors in the treatment of ROS1 fusion protein-driven non-small cell lung cancers. Pharmacol. Res. 2017, 121, 202–212. [Google Scholar] [CrossRef]
- Bergethon, K.; Shaw, A.T.; Ou, S.-H.I.; Katayama, R.; Lovly, C.M.; McDonald, N.T.; Massion, P.P.; Siwak-Tapp, C.; Gonzalez, A.; Fang, R. ROS1 rearrangements define a unique molecular class of lung cancers. J. Clin. Oncol. 2012, 30, 863. [Google Scholar] [CrossRef] [Green Version]
- Takeuchi, K. Discovery stories of RET fusions in lung cancer: A mini-review. Front. Physiol. 2019, 10, 216. [Google Scholar] [CrossRef]
- Cai, W.; Su, C.; Li, X.; Fan, L.; Zheng, L.; Fei, K.; Zhou, C. KIF5B-RET fusions in Chinese patients with non–small cell lung cancer. Cancer 2013, 119, 1486–1494. [Google Scholar] [CrossRef]
- Takeuchi, K.; Soda, M.; Togashi, Y.; Suzuki, R.; Sakata, S.; Hatano, S.; Asaka, R.; Hamanaka, W.; Ninomiya, H.; Uehara, H. RET, ROS1 and ALK fusions in lung cancer. Nat. Med. 2012, 18, 378–381. [Google Scholar] [CrossRef] [PubMed]
- Mazières, J.; Zalcman, G.; Crinò, L.; Biondani, P.; Barlesi, F.; Filleron, T.; Dingemans, A.-M.C.; Léna, H.; Monnet, I.; Rothschild, S.I. Crizotinib therapy for advanced lung adenocarcinoma and a ROS1 rearrangement: Results from the EUROS1 cohort. J. Clin. Oncol. 2015, 33, 992–999. [Google Scholar] [CrossRef] [PubMed]
- Shaw, A.T.; Kim, D.-W.; Nakagawa, K.; Seto, T.; Crinó, L.; Ahn, M.-J.; De Pas, T.; Besse, B.; Solomon, B.J.; Blackhall, F. Crizotinib versus chemotherapy in advanced ALK-positive lung cancer. N. Engl. J. Med. 2013, 368, 2385–2394. [Google Scholar] [CrossRef] [PubMed] [Green Version]
- Gainor, J.F.; Shaw, A.T. Novel targets in non-small cell lung cancer: ROS1 and RET fusions. Oncologist 2013, 18, 865. [Google Scholar] [CrossRef] [PubMed] [Green Version]
- Uguen, A.; De Braekeleer, M. ROS1 fusions in cancer: A review. Future Oncol. 2016, 12, 1911–1928. [Google Scholar] [CrossRef]
- Davies, K.D.; Doebele, R.C. Molecular pathways: ROS1 fusion proteins in cancer. Clin. Cancer Res. 2013, 19, 4040–4045. [Google Scholar] [CrossRef] [Green Version]
- Peraldo Neia, C.; Cavalloni, G.; Balsamo, A.; Venesio, T.; Napoli, F.; Sassi, F.; Martin, V.; Frattini, M.; Aglietta, M.; Leone, F. Screening for the FIG-ROS1 fusion in biliary tract carcinomas by nested PCR. Genes Chromosomes Cancer 2014, 53, 1033–1040. [Google Scholar] [CrossRef]
- Li, Z.; Shen, L.; Ding, D.; Huang, J.; Zhang, J.; Chen, Z.; Lu, S. Efficacy of crizotinib among different types of ROS1 fusion partners in patients with ROS1-rearranged non–small cell lung cancer. J. Thorac. Oncol. 2018, 13, 987–995. [Google Scholar] [CrossRef] [Green Version]
- Davies, K.D.; Le, A.T.; Theodoro, M.F.; Skokan, M.C.; Aisner, D.L.; Berge, E.M.; Terracciano, L.M.; Cappuzzo, F.; Incarbone, M.; Roncalli, M. Identifying and targeting ROS1 gene fusions in non–small cell lung cancer. Clin. Cancer Res. 2012, 18, 4570–4579. [Google Scholar] [CrossRef] [Green Version]
- Warth, A.; Muley, T.; Dienemann, H.; Goeppert, B.; Stenzinger, A.; Schnabel, P.A.; Schirmacher, P.; Penzel, R.; Weichert, W. ROS 1 expression and translocations in non-small-cell lung cancer: Clinicopathological analysis of 1478 cases. Histopathology 2014, 65, 187–194. [Google Scholar] [CrossRef]
- He, Y.; Sheng, W.; Hu, W.; Lin, J.; Liu, J.; Yu, B.; Mao, X.; Zhang, L.; Huang, J.; Wang, G. Different types of ROS1 fusion partners yield comparable efficacy to crizotinib. Oncol. Res. 2019, 27, 901. [Google Scholar] [CrossRef] [PubMed]
- Shan, L.; Lian, F.; Guo, L.; Qiu, T.; Ling, Y.; Ying, J.; Lin, D. Detection of ROS1 gene rearrangement in lung adenocarcinoma: Comparison of IHC, FISH and real-time RT-PCR. PLoS ONE 2015, 10, e0120422. [Google Scholar] [CrossRef] [PubMed]
- Zhang, Q.; Wu, C.; Ding, W.; Zhang, Z.; Qiu, X.; Mu, D.; Zhang, H.; Xi, Y.; Zhou, J.; Ma, L. Prevalence of ROS1 fusion in Chinese patients with non-small cell lung cancer. Thorac. Cancer 2019, 10, 47–53. [Google Scholar] [CrossRef] [PubMed] [Green Version]
- Zhu, Q.; Zhan, P.; Zhang, X.; Lv, T.; Song, Y. Clinicopathologic characteristics of patients with ROS1 fusion gene in non-small cell lung cancer: A meta-analysis. Transl. Lung Cancer Res. 2015, 4, 300. [Google Scholar]
- Arai, Y.; Totoki, Y.; Takahashi, H.; Nakamura, H.; Hama, N.; Kohno, T.; Tsuta, K.; Yoshida, A.; Asamura, H.; Mutoh, M. Mouse model for ROS1-rearranged lung cancer. PLoS ONE 2013, 8, e56010. [Google Scholar] [CrossRef]
- Go, H.; Kim, D.-W.; Kim, D.; Keam, B.; Kim, T.M.; Lee, S.-H.; Heo, D.S.; Bang, Y.-J.; Chung, D.H. Clinicopathologic analysis of ROS1-rearranged non–small-cell lung cancer and proposal of a diagnostic algorithm. J. Thorac. Oncol. 2013, 8, 1445–1450. [Google Scholar] [CrossRef] [Green Version]
- Zhong, S.; Zhang, H.; Bai, D.; Gao, D.; Zheng, J.; Ding, Y. Detection of ALK, ROS1 and RET fusion genes in non-small cell lung cancer patients and its clinicopathologic correlation. Chin. J. Pathol. 2015, 44, 639–643. [Google Scholar]
- Cai, W.; Li, X.; Su, C.; Fan, L.; Zheng, L.; Fei, K.; Zhou, C.; Manegold, C.; Schmid-Bindert, G. ROS1 fusions in Chinese patients with non-small-cell lung cancer. Ann. Oncol. 2013, 24, 1822–1827. [Google Scholar] [CrossRef]
- Marchetti, A.; Barberis, M.; Di Lorito, A.; Pace, M.V.; Di Lisio, C.; Felicioni, L.; Guerini-Rocco, E.; Vingiani, A.; D’Antuono, T.; Liberatore, M. ROS1 gene fusion in advanced lung cancer in women: A systematic analysis, review of the literature, and diagnostic algorithm. Precis. Oncol. 2017, 1, 1–9. [Google Scholar] [CrossRef]
- Fu, S.; Liang, Y.; Lin, Y.-B.; Wang, F.; Huang, M.-Y.; Zhang, Z.-C.; Wang, J.; Cen, W.-J.; Shao, J.-Y. The frequency and clinical implication of ROS1 and RET rearrangements in resected stage IIIA-N2 non-small cell lung cancer patients. PLoS ONE 2015, 10, e0124354. [Google Scholar] [CrossRef]
- Jin, Y.; Sun, P.-L.; Kim, H.; Park, E.; Shim, H.S.; Jheon, S.; Kim, K.; Lee, C.-T.; Chung, J.-H. ROS1 gene rearrangement and copy number gain in non-small cell lung cancer. Virchows Arch. 2015, 466, 45–52. [Google Scholar] [CrossRef] [PubMed]
- Yoshida, A.; Tsuta, K.; Wakai, S.; Arai, Y.; Asamura, H.; Shibata, T.; Furuta, K.; Kohno, T.; Kushima, R. Immunohistochemical detection of ROS1 is useful for identifying ROS1 rearrangements in lung cancers. Mod. Pathol. 2014, 27, 711–720. [Google Scholar] [CrossRef] [PubMed] [Green Version]
- Lee, H.J.; Seol, H.S.; Kim, J.Y.; Chun, S.-M.; Suh, Y.-A.; Park, Y.-S.; Kim, S.-W.; Choi, C.-M.; Park, S.-I.; Kim, D.K. ROS1 receptor tyrosine kinase, a druggable target, is frequently overexpressed in non-small cell lung carcinomas via genetic and epigenetic mechanisms. Ann. Surg. Oncol. 2013, 20, 200–208. [Google Scholar] [CrossRef] [PubMed]
- Bubendorf, L.; Büttner, R.; Al-Dayel, F.; Dietel, M.; Elmberger, G.; Kerr, K.; López-Ríos, F.; Marchetti, A.; Öz, B.; Pauwels, P. Testing for ROS1 in non-small cell lung cancer: A review with recommendations. Virchows Arch. 2016, 469, 489–503. [Google Scholar] [CrossRef] [PubMed]
- Lin, J.J.; Ritterhouse, L.L.; Ali, S.M.; Bailey, M.; Schrock, A.B.; Gainor, J.F.; Ferris, L.A.; Mino-Kenudson, M.; Miller, V.A.; Iafrate, A.J. ROS1 fusions rarely overlap with other oncogenic drivers in non–small cell lung cancer. J. Thorac. Oncol. 2017, 12, 872–877. [Google Scholar] [CrossRef] [Green Version]
- Sholl, L.M.; Sun, H.; Butaney, M.; Zhang, C.; Lee, C.; Jänne, P.A.; Rodig, S.J. ROS1 immunohistochemistry for detection of ROS1-rearranged lung adenocarcinomas. Am. J. Surg. Pathol. 2013, 37, 1441–1449. [Google Scholar] [CrossRef]
- Huang, R.S.; Smith, D.; Le, C.H.; Liu, W.-W.; Ordinario, E.; Manohar, C.; Lee, M.; Rajamani, J.; Truong, H.; Li, J. Correlation of ROS1 immunohistochemistry with ROS1 fusion status determined by fluorescence in situ hybridization. Arch. Pathol. Lab. Med. 2020, 144, 735–741. [Google Scholar] [CrossRef] [Green Version]
- Kim, M.H.; Shim, H.S.; Kang, D.R.; Jung, J.Y.; Lee, C.Y.; Kim, D.J.; Lee, J.G.; Bae, M.K.; Kim, H.R.; Lim, S.M. Clinical and prognostic implications of ALK and ROS1 rearrangements in never-smokers with surgically resected lung adenocarcinoma. Lung Cancer 2014, 83, 389–395. [Google Scholar] [CrossRef]
- Aljohani, H.; Koncar, R.F.; Zarzour, A.; Park, B.S.; Lee, S.H.; Bahassi, E.M. ROS1 amplification mediates resistance to gefitinib in glioblastoma cells. Oncotarget 2015, 6, 20388. [Google Scholar] [CrossRef] [Green Version]
- McCoach, C.E.; Le, A.T.; Gowan, K.; Jones, K.; Schubert, L.; Doak, A.; Estrada-Bernal, A.; Davies, K.D.; Merrick, D.T.; Bunn, P.A. Resistance mechanisms to targeted therapies in ROS1+ and ALK+ non–small cell lung cancer. Clin. Cancer Res. 2018, 24, 3334–3347. [Google Scholar] [CrossRef] [Green Version]
- Michels, S.; Sureda, B.M.; Schildhaus, H.-U.; Franklin, J.; Sebastian, M.; Felip, E.; Grohe, C.; Rodríguez-Abreu, D.; Bischoff, H.; Costa, E.C. Crizotinib in patients with advanced or metastatic ROS1-rearranged lung cancer (EUCROSS): A European phase II clinical trial—Updated progression-free survival, overall survival and mechanisms of resistance. Ann. Oncol. 2019, 30, v637–v638. [Google Scholar] [CrossRef]
- Moro-Sibilot, D.; Faivre, L.; Zalcman, G.; Pérol, M.; Barlesi, F.; Otto, J.; Monnet, I.; Cortot, A.B.; Wislez, M.; Lena, H. Crizotinib in patients with advanced ROS1-rearranged non-small cell lung cancer (NSCLC). Preliminary results of the ACSé phase II trial. J. Clin. Oncol. 2015, 33, 8065. [Google Scholar] [CrossRef]
- Shaw, A.T.; Riely, G.J.; Bang, Y.-J.; Kim, D.-W.; Camidge, D.R.; Solomon, B.J.; Varella-Garcia, M.; Iafrate, A.J.; Shapiro, G.I.; Usari, T. Crizotinib in ROS1-rearranged advanced non-small-cell lung cancer (NSCLC): Updated results, including overall survival, from PROFILE 1001. Ann. Oncol. 2019, 30, 1121–1126. [Google Scholar] [CrossRef] [PubMed]
- Wu, Y.-L.; Yang, J.C.-H.; Kim, D.-W.; Lu, S.; Zhou, J.; Seto, T.; Yang, J.-J.; Yamamoto, N.; Ahn, M.-J.; Takahashi, T. Phase II study of crizotinib in East Asian patients with ROS1-positive advanced non–small-cell lung cancer. J. Clin. Oncol. 2018, 36, 1405–1411. [Google Scholar] [CrossRef] [PubMed]
- Huang, S.-F.; Liu, H.-P.; Li, L.-H.; Ku, Y.-C.; Fu, Y.-N.; Tsai, H.-Y.; Chen, Y.-T.; Lin, Y.-F.; Chang, W.-C.; Kuo, H.-P. High frequency of epidermal growth factor receptor mutations with complex patterns in non–small cell lung cancers related to gefitinib responsiveness in Taiwan. Clin. Cancer Res. 2004, 10, 8195–8203. [Google Scholar] [CrossRef] [PubMed] [Green Version]
- Cao, B.; Wei, P.; Liu, Z.; Bi, R.; Lu, Y.; Zhang, L.; Zhang, J.; Yang, Y.; Shen, C.; Du, X. Detection of lung adenocarcinoma with ROS1 rearrangement by IHC, FISH, and RT-PCR and analysis of its clinicopathologic features. OncoTargets Ther. 2016, 9, 131. [Google Scholar] [CrossRef] [PubMed] [Green Version]






| ROS1 Translocated, n = 4 | ROS1 Non-Translocated, n = 96 | p Value | ||
|---|---|---|---|---|
| Gender, n (%) | Male | 2 (50) | 48 (50) | |
| Female | 2 (50) | 48 (50) | 1.000 | |
| Age, n (%) | ≥65 | 0 (0) | 44 (46) | |
| <65 | 4 (100) | 52 (54) | 0.1283 | |
| Smoking, n (%) | Yes | 1 (25) | 32 (34) | |
| No | 3 (75) | 64 (70) | 1.000 | |
| Clinical Stage, n (%) | 1 | 0 (0) | 14 (15) | |
| 2 | 0 (0) | 5 (5) | ||
| 3 | 0 (0) | 15 (16) | ||
| 4 | 4 (100) | 62 (65) | 0.5426 | |
| Tumor grade, n (%) | Well differentiated | 0 (0) | 28 (29) | |
| Moderate differentiated | 3 (75) | 47 (49) | ||
| Poorly differentiated | 1 (25) | 20 (21) | ||
| Undifferentiated | 0 (0) | 1 (1) | 0.6235 |
| ROS1 Translocated, n = 4 | ROS1 Non-Translocated, n = 96 | p Value | ||
|---|---|---|---|---|
| EGFR, n (%) | Wild type | 4 (100) | 40 (42) | |
| Mutant | 0 (0) | 56 (58) | 0.0346 |
| IHC ROS1 Expression | |||||
|---|---|---|---|---|---|
| FISH ROS1 Pattern | 0 n = 86 | 1+ n = 6 | 2+ n = 4 | 3+ n = 4 | p Value |
| Rearrangement, n (%) | 0 (0) | 0 (0) | 0 (0) | 4 (100) | |
| Non-rearrangement, n (%) | 86 (100) | 6 (100) | 4 (100) | 0 (0) | <0.0001 |
| EGFR Wild Type | p Value | ||||
|---|---|---|---|---|---|
| FISH(+)/IHC(3+), n = 20 | FISH(-)/IHC(3+), n = 25 | IHC(0,1+,2+), n = 434 | |||
| Gender, n (%) | Male | 3 (15) | 9 (36) | 231 (53) | |
| Female | 17 (85) | 16 (64) | 203 (47) | 0.0012 | |
| Age, n (%) | ≥65 | 9 (45) | 12 (48) | 178 (41) | |
| <65 | 11 (55) | 13 (52) | 256 (59) | 0.7491 | |
| Smoking, n (%) | Yes | 5 (25) | 8 (32) | 113 (26) | |
| No | 15 (75) | 17 (68) | 321 (74) | 0.7977 | |
| Stage, n (%) | 1 | 0 (0) | 0 (0) | 113 (26) | |
| 2 | 0 (0) | 2 (8) | 79 (18) | ||
| 3 | 0 (0) | 2 (8) | 64 (15) | ||
| 4 | 20 (100) | 21 (84) | 178 (41) | <0.0001 | |
| Tumor grade, n (%) | Well differentiated | 0 (0) | 5 (20) | 149 (34) | |
| Moderate differentiated | 6 (30) | 8 (32) | 225 (52) | ||
| Poorly differentiated | 14 (70) | 11 (44) | 57 (13) | ||
| Undifferentiated | 0 (0) | 1 (4) | 3 (1) | <0.0001 | |
| ROS1 IHC 3+, n = 45 | ||||||
|---|---|---|---|---|---|---|
| ROS1 FISH Translocation, n = 20 | ROS1 FISH Non-Translocation, n = 25 | |||||
| Crizotinib, n = 19 | Chemotherapy, n = 1 | Crizotinib, n = 5 | CHEMOTHERAPY, n = 18 | TKI, n = 2 | ||
| Response | CR, n (%) | 1 (5) | 0 (0) | 0 (0) | 0 (0) | 0 (0) |
| PR, n (%) | 14 (74) | 0 (0) | 2 (40) | 5 (28) | 1 (50) | |
| SD, n (%) | 3 (16) | 1 (100) | 1 (20) | 9 (50) | 1 (50) | |
| PD, n (%) | 1 (5) | 0 (0) | 2 (40) | 4 (22) | 0 (0) | |
| ORR, n (%) | 15 (79) | 0 (0) | 2 (40) | 5 (28) | 1 (50) | |
| Median progression free survival, month (95% CI) | 9.22 (8.82–9.62) | 2.74 (2.74–2.74) | 8.06 (5.25–10.88) | 5.47 (4.52–6.41) | 9.53 (0–19.65) | |
![]() | ||||||
| Univariate Analysis | Multivariate Analysis | |||||
|---|---|---|---|---|---|---|
| HR | 95% CI | p Value | HR | 95% CI | p Value | |
| Age (≥65) | 1.1 | 0.54–2.2 | 0.817 | 1.2 | 0.54–2.5 | 0.699 |
| Gender (Male) | 1.3 | 0.65–2.6 | 0.457 | 1.1 | 0.36–3.4 | 0.865 |
| Smoking (Yes) | 1.6 | 0.75–3.4 | 0.224 | 1.4 | 0.40–4.7 | 0.615 |
| ROS1 (Translocation) | 11 | 2.1–54 | 0.004 | 12.9 | 2.22–74.3 | 0.004 |
| Tumor grade (High) | 3.4 | 1.5–7.5 | 0.003 | 3 | 1.33–6.8 | 0.008 |
| Advanced stage (stage 3 or 4) | 3.3 | 1.1–9.3 | 0.028 | 2.9 | 0.98–8.5 | 0.055 |
Publisher’s Note: MDPI stays neutral with regard to jurisdictional claims in published maps and institutional affiliations. |
© 2022 by the authors. Licensee MDPI, Basel, Switzerland. This article is an open access article distributed under the terms and conditions of the Creative Commons Attribution (CC BY) license (https://creativecommons.org/licenses/by/4.0/).
Share and Cite
Wang, H.-S.; Liu, C.-Y.; Hsu, S.-C.; Huang, S.-C.; Hung, T.-H.; Ng, K.-F.; Chen, T.-C. A Single-Institute Experience with C-ros Oncogene 1 Translocation in Non-Small Cell Lung Cancers in Taiwan. Int. J. Mol. Sci. 2022, 23, 5789. https://doi.org/10.3390/ijms23105789
Wang H-S, Liu C-Y, Hsu S-C, Huang S-C, Hung T-H, Ng K-F, Chen T-C. A Single-Institute Experience with C-ros Oncogene 1 Translocation in Non-Small Cell Lung Cancers in Taiwan. International Journal of Molecular Sciences. 2022; 23(10):5789. https://doi.org/10.3390/ijms23105789
Chicago/Turabian StyleWang, Hsiang-Sheng, Chien-Ying Liu, Sheng-Chi Hsu, Shih-Chiang Huang, Tsai-Hsien Hung, Kwai-Fong Ng, and Tse-Ching Chen. 2022. "A Single-Institute Experience with C-ros Oncogene 1 Translocation in Non-Small Cell Lung Cancers in Taiwan" International Journal of Molecular Sciences 23, no. 10: 5789. https://doi.org/10.3390/ijms23105789
APA StyleWang, H.-S., Liu, C.-Y., Hsu, S.-C., Huang, S.-C., Hung, T.-H., Ng, K.-F., & Chen, T.-C. (2022). A Single-Institute Experience with C-ros Oncogene 1 Translocation in Non-Small Cell Lung Cancers in Taiwan. International Journal of Molecular Sciences, 23(10), 5789. https://doi.org/10.3390/ijms23105789


