Unique Regulation of Intestinal Villus Epithelial Cl−/HCO3− Exchange by Cyclooxygenase Pathway Metabolites of Arachidonic Acid in a Mouse Model of Spontaneous Ileitis
Abstract
1. Introduction
2. Results
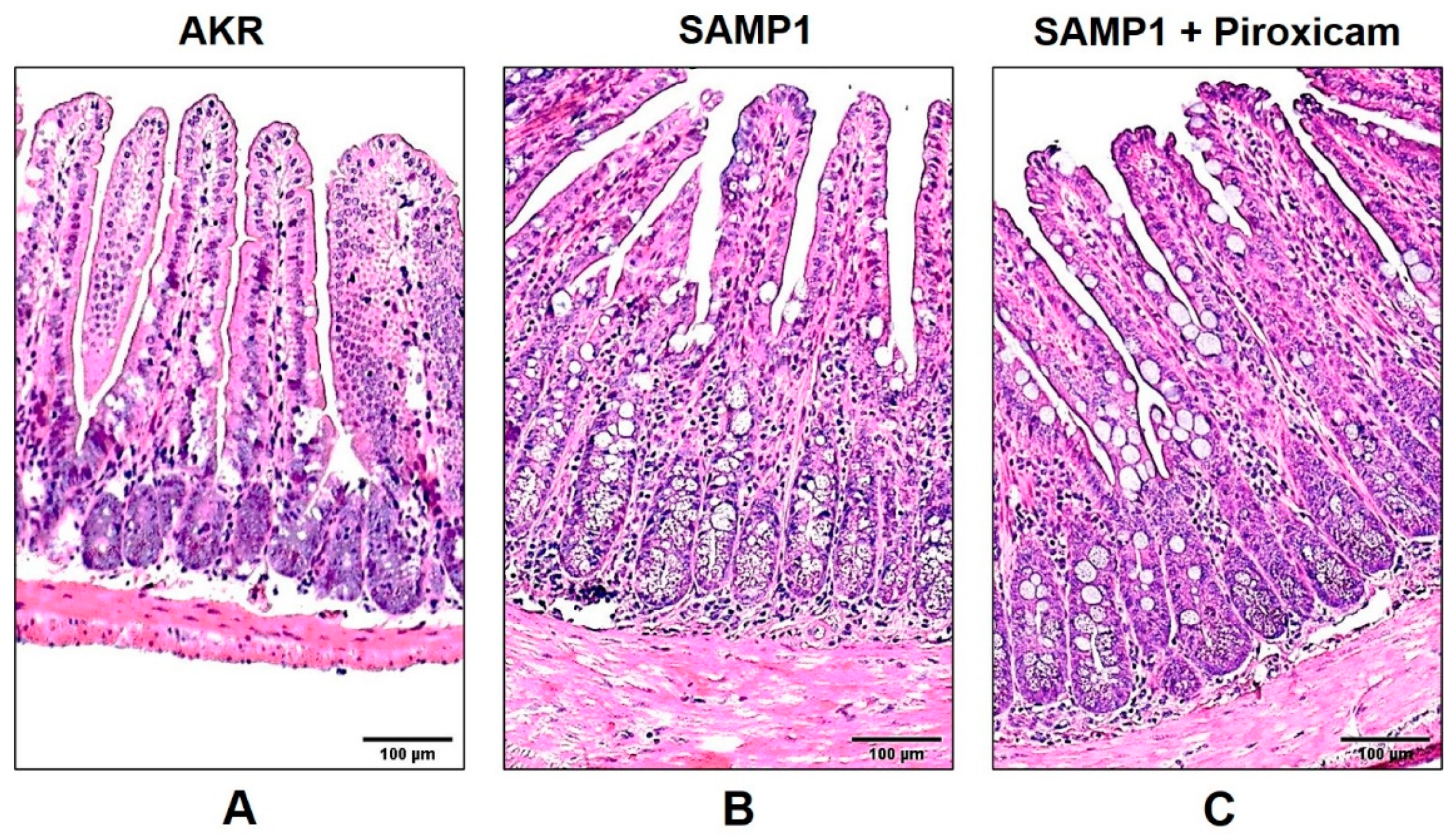
2.1. Histologic Illustrations of Chronically Inflamed SAMP1 Mice and AKR Control Mice Ileum
2.2. Inhibition of Cl−/HCO3− Exchange Activity in BBMV Prepared from SAMP1 Mice Ileum
2.3. Role of Arachidonic Acid Metabolites (AAMs) in Inhibiting Cl−/HCO3− Exchange in SAMP1 Mice
2.4. Cyclooxygenase (COX) but Not Lipoxygenase (LOX) Pathway Metabolites of AA Inhibit Cl−/HCO3− Exchange in SAMP1 Mice
2.5. Kinetic Analysis of AAM-Mediated Inhibition of Cl−/HCO3− Exchange in SAMP1 Mice
2.6. Protein Levels of the BBM Cl−/HCO3− Exchangers Are Not Altered in SAMP1 Mice
2.7. Immunostaining of Mucosal DRA and PAT1 in SAMP1 Small Intestine
3. Discussion
4. Materials and Methods
4.1. Chemicals and Antibodies
4.2. Mouse Model of Chronic Ileitis
4.3. Isolation of Villus Cells
4.4. Preparation of Brush Border Membrane Vesicles (BBMVs)
4.5. Measurement of Cl−/HCO3− Exchange Activity
4.6. Kinetic Studies
4.7. Western Blot
4.8. Histology and Immunohistochemistry
4.9. Statistical Analyses
Author Contributions
Funding
Institutional Review Board Statement
Informed Consent Statement
Data Availability Statement
Acknowledgments
Conflicts of Interest
References
- Cominelli, F.; Arseneau, K.O.; Rodriguez-Palacios, A.; Pizarro, T.T. Uncovering Pathogenic Mechanisms of Inflammatory Bowel Disease Using Mouse Models of Crohn’s Disease-Like Ileitis: What is the Right Model? Cell Mol. Gastroenterol. Hepatol. 2017, 4, 19–32. [Google Scholar] [CrossRef]
- Longo, S.; Chieppa, M.; Cossa, L.G.; Spinelli, C.C.; Greco, M.; Maffia, M.; Giudetti, A.M. New Insights into Inflammatory Bowel Diseases from Proteomic and Lipidomic Studies. Proteomes 2020, 8, 18. [Google Scholar] [CrossRef]
- Anbazhagan, A.N.; Priyamvada, S.; Alrefai, W.A.; Dudeja, P.K. Pathophysiology of IBD associated diarrhea. Tissue Barriers 2018, 6, e1463897. [Google Scholar] [CrossRef]
- Kaplan, G.G. The global burden of IBD: From 2015 to 2025. Nat. Rev. Gastroenterol. Hepatol. 2015, 12, 720–727. [Google Scholar] [CrossRef] [PubMed]
- Ananthakrishnan, A.N. Epidemiology and risk factors for IBD. Nat. Rev. Gastroenterol. Hepatol. 2015, 12, 205–217. [Google Scholar] [CrossRef]
- Wenzl, H.H. Diarrhea in chronic inflammatory bowel diseases. Gastroenterol. Clin. N. Am. 2012, 41, 651–675. [Google Scholar] [CrossRef]
- Magalhaes, D.; Cabral, J.M.; Soares-da-Silva, P.; Magro, F. Role of epithelial ion transports in inflammatory bowel disease. Am. J. Physiol. Gastrointest. Liver Physiol. 2016, 310, G460–G476. [Google Scholar] [CrossRef] [PubMed]
- Seidler, U.; Lenzen, H.; Cinar, A.; Tessema, T.; Bleich, A.; Riederer, B. Molecular mechanisms of disturbed electrolyte transport in intestinal inflammation. Ann. N. Y. Acad. Sci. 2006, 1072, 262–275. [Google Scholar] [CrossRef] [PubMed]
- Barkas, F.; Liberopoulos, E.; Kei, A.; Elisaf, M. Electrolyte and acid-base disorders in inflammatory bowel disease. Ann. Gastroenterol. 2013, 26, 23–28. [Google Scholar] [PubMed]
- Priyamvada, S.; Gomes, R.; Gill, R.K.; Saksena, S.; Alrefai, W.A.; Dudeja, P.K. Mechanisms Underlying Dysregulation of Electrolyte Absorption in Inflammatory Bowel Disease-Associated Diarrhea. Inflamm. Bowel Dis. 2015, 21, 2926–2935. [Google Scholar] [CrossRef] [PubMed]
- Sundaram, U.; Hassanain, H.; Suntres, Z.; Yu, J.G.; Cooke, H.J.; Guzman, J.; Christofi, F.L. Rabbit chronic ileitis leads to up-regulation of adenosine A1/A3 gene products, oxidative stress, and immune modulation. Biochem. Pharmacol. 2003, 65, 1529–1538. [Google Scholar] [CrossRef]
- Singh, S.; Arthur, S.; Sundaram, U. Unique regulation of Na-glutamine cotransporter SN2/SNAT5 in rabbit intestinal crypt cells during chronic enteritis. J. Cell Mol. Med. 2018, 22, 1443–1451. [Google Scholar] [CrossRef]
- Arthur, S.; Sundaram, U. Inducible nitric oxide regulates intestinal glutamine assimilation during chronic intestinal inflammation. Nitric Oxide 2015, 44, 98–104. [Google Scholar] [CrossRef]
- Arthur, S.; Singh, S.; Sundaram, U. Cyclooxygenase pathway mediates the inhibition of Na-glutamine co-transporter B0AT1 in rabbit villus cells during chronic intestinal inflammation. PLoS ONE 2018, 13, e0203552. [Google Scholar] [CrossRef]
- Sundaram, U.; Wisel, S.; Coon, S. Mechanism of inhibition of proton: Dipeptide co-transport during chronic enteritis in the mammalian small intestine. Biochim. Biophys. Acta 2005, 1714, 134–140. [Google Scholar] [CrossRef] [PubMed][Green Version]
- Coon, S.; Sundaram, U. Mechanism of glucocorticoid-mediated reversal of inhibition of Cl(-)/HCO(-)(3) exchange during chronic ileitis. Am. J. Physiol. Gastrointest. Liver Physiol. 2000, 278, G570–G577. [Google Scholar] [CrossRef]
- Coon, S.; Sundaram, U. Unique regulation of anion/HCO3- exchangers by constitutive nitric oxide in rabbit small intestine. Am. J. Physiol. Gastrointest. Liver Physiol. 2003, 285, G1084–G1090. [Google Scholar] [CrossRef]
- Nielsen, O.H.; Ahnfelt-Ronne, I.; Elmgreen, J. Abnormal metabolism of arachidonic acid in chronic inflammatory bowel disease: Enhanced release of leucotriene B4 from activated neutrophils. Gut 1987, 28, 181–185. [Google Scholar] [CrossRef]
- Stenson, W.F. The universe of arachidonic acid metabolites in inflammatory bowel disease: Can we tell the good from the bad? Curr. Opin. Gastroenterol. 2014, 30, 347–351. [Google Scholar] [CrossRef] [PubMed]
- Manoharan, P.; Coon, S.; Baseler, W.; Sundaram, S.; Kekuda, R.; Sundaram, U. Prostaglandins, not the leukotrienes, regulate Cl(-)/HCO(3)(-) exchange (DRA, SLC26A3) in villus cells in the chronically inflamed rabbit ileum. Biochim. Biophys. Acta 2013, 1828, 179–186. [Google Scholar] [CrossRef] [PubMed]
- Olsen Hult, L.T.; Kleiveland, C.R.; Fosnes, K.; Jacobsen, M.; Lea, T. EP receptor expression in human intestinal epithelium and localization relative to the stem cell zone of the crypts. PLoS ONE 2011, 6, e26816. [Google Scholar] [CrossRef]
- Eberhart, C.E.; Dubois, R.N. Eicosanoids and the gastrointestinal tract. Gastroenterology 1995, 109, 285–301. [Google Scholar] [CrossRef]
- Hoque, K.M.; Chakraborty, S.; Sheikh, I.A.; Woodward, O.M. New advances in the pathophysiology of intestinal ion transport and barrier function in diarrhea and the impact on therapy. Expert Rev. Anti Infect. Ther. 2012, 10, 687–699. [Google Scholar] [CrossRef] [PubMed]
- Field, M. Intestinal ion transport and the pathophysiology of diarrhea. J. Clin. Investig. 2003, 111, 931–943. [Google Scholar] [CrossRef]
- Dudeja, P.K.; Gill, R.K.; Ramaswamy, K. Absorption, secretion and epithelial cell function. In Colonic Diseases; Koch, T.R., Ed.; Humana Press: Totowa, NJ, USA, 2003; pp. 3–24. [Google Scholar]
- Gill, R.K.; Alrefai, W.A.; Borthakur, A.; Dudeja, P.K. Intestinal anion absorption. In Physiology of the GI Tract, 5th ed.; Elsevier: Cambridge, MA, USA, 2012; pp. 1819–1848. [Google Scholar]
- Arthur, S.; Palaniappan, B.; Mani, K.; Sundaram, U. Inducible Nitric Oxide Mediates the Inhibitiion of Coupled Nacl Abosorption in a Mouse Model of Spontaneous Ileitis. Gastroenterology 2018, 154, S-193. [Google Scholar] [CrossRef]
- Czuba, L.C.; Hillgren, K.M.; Swaan, P.W. Post-translational modifications of transporters. Pharmacol. Ther. 2018, 192, 88–99. [Google Scholar] [CrossRef]
- Loo, D.D.; Zeuthen, T.; Chandy, G.; Wright, E.M. Cotransport of water by the Na+/glucose cotransporter. Proc. Natl. Acad. Sci. USA 1996, 93, 13367–13370. [Google Scholar] [CrossRef]
- Binder, H.J.; Brown, I.; Ramakrishna, B.S.; Young, G.P. Oral rehydration therapy in the second decade of the twenty-first century. Curr. Gastroenterol. Rep. 2014, 16, 376. [Google Scholar] [CrossRef]
- Nalin, D.R.; Levine, M.M.; Mata, L.; de Cespedes, C.; Vargas, W.; Lizano, C.; Loria, A.R.; Simhon, A.; Mohs, E. Comparison of sucrose with glucose in oral therapy of infant diarrhoea. Lancet 1978, 2, 277–279. [Google Scholar] [CrossRef]
- Buccigrossi, V.; Lo Vecchio, A.; Bruzzese, E.; Russo, C.; Marano, A.; Terranova, S.; Cioffi, V.; Guarino, A. Potency of Oral Rehydration Solution in Inducing Fluid Absorption is Related to Glucose Concentration. Sci. Rep. 2020, 10, 7803. [Google Scholar] [CrossRef] [PubMed]
- Donnellan, C.F.; Yann, L.H.; Lal, S. Nutritional management of Crohn’s disease. Therap. Adv. Gastroenterol. 2013, 6, 231–242. [Google Scholar] [CrossRef]
- Sundaram, U.; Knickelbein, R.G.; Dobbins, J.W. pH regulation in ileum: Na(+)-H+ and Cl(-)-HCO3- exchange in isolated crypt and villus cells. Am. J. Physiol. 1991, 260 Pt 1, G440–G449. [Google Scholar] [CrossRef]
- Sundaram, U.; Coon, S.; Wisel, S.; West, A.B. Corticosteroids reverse the inhibition of Na-glucose cotransport in the chronically inflamed rabbit ileum. Am. J. Physiol. 1999, 276, G211–G218. [Google Scholar] [CrossRef] [PubMed]
- Sundaram, U.; Wisel, S.; Rajendren, V.M.; West, A.B. Mechanism of inhibition of Na+-glucose cotransport in the chronically inflamed rabbit ileum. Am. J. Physiol. 1997, 273, G913–G919. [Google Scholar] [CrossRef] [PubMed]
- Sundaram, U.; West, A.B. Effect of chronic inflammation on electrolyte transport in rabbit ileal villus and crypt cells. Am. J. Physiol 1997, 272 Pt 1, G732–G741. [Google Scholar] [CrossRef]
- Palaniappan, B.; Arthur, S.; Sundaram, V.L.; Butts, M.; Sundaram, S.; Mani, K.; Singh, S.; Nepal, N.; Sundaram, U. Inhibition of intestinal villus cell Na/K-ATPase mediates altered glucose and NaCl absorption in obesity-associated diabetes and hypertension. FASEB J. 2019, 33, 9323–9333. [Google Scholar] [CrossRef] [PubMed]









| Vmax (nmol/mg Protein/min) | Km (mM) | |
|---|---|---|
| AKR | 1.60 ± 0.02 | 10.81 ± 0.26 |
| SAMP1 | 1.65 ± 0.05 | 18.84 ± 0.76 |
| SAMP1 + Piroxicam | 1.66 ± 0.04 | 11.83 ± 0.48 |
Publisher’s Note: MDPI stays neutral with regard to jurisdictional claims in published maps and institutional affiliations. |
© 2021 by the authors. Licensee MDPI, Basel, Switzerland. This article is an open access article distributed under the terms and conditions of the Creative Commons Attribution (CC BY) license (https://creativecommons.org/licenses/by/4.0/).
Share and Cite
Rahman, M.M.; Borthakur, A.; Afroz, S.; Arthur, S.; Sundaram, U. Unique Regulation of Intestinal Villus Epithelial Cl−/HCO3− Exchange by Cyclooxygenase Pathway Metabolites of Arachidonic Acid in a Mouse Model of Spontaneous Ileitis. Int. J. Mol. Sci. 2021, 22, 4171. https://doi.org/10.3390/ijms22084171
Rahman MM, Borthakur A, Afroz S, Arthur S, Sundaram U. Unique Regulation of Intestinal Villus Epithelial Cl−/HCO3− Exchange by Cyclooxygenase Pathway Metabolites of Arachidonic Acid in a Mouse Model of Spontaneous Ileitis. International Journal of Molecular Sciences. 2021; 22(8):4171. https://doi.org/10.3390/ijms22084171
Chicago/Turabian StyleRahman, M Motiur, Alip Borthakur, Sheuli Afroz, Subha Arthur, and Uma Sundaram. 2021. "Unique Regulation of Intestinal Villus Epithelial Cl−/HCO3− Exchange by Cyclooxygenase Pathway Metabolites of Arachidonic Acid in a Mouse Model of Spontaneous Ileitis" International Journal of Molecular Sciences 22, no. 8: 4171. https://doi.org/10.3390/ijms22084171
APA StyleRahman, M. M., Borthakur, A., Afroz, S., Arthur, S., & Sundaram, U. (2021). Unique Regulation of Intestinal Villus Epithelial Cl−/HCO3− Exchange by Cyclooxygenase Pathway Metabolites of Arachidonic Acid in a Mouse Model of Spontaneous Ileitis. International Journal of Molecular Sciences, 22(8), 4171. https://doi.org/10.3390/ijms22084171

