Next Article in Journal
Variation, Modification and Engineering of Lipid A in Endotoxin of Gram-Negative Bacteria
Next Article in Special Issue
A PPR Protein ACM1 Is Involved in Chloroplast Gene Expression and Early Plastid Development in Arabidopsis
Previous Article in Journal
Contribution of Particle-Induced Lysosomal Membrane Hyperpolarization to Lysosomal Membrane Permeabilization
 
 
Font Type:
Arial Georgia Verdana
Font Size:
Aa Aa Aa
Line Spacing:
Column Width:
Background:
Article

Clade-Specific Plastid Inheritance Patterns Including Frequent Biparental Inheritance in Passiflora Interspecific Crosses

by
Bikash Shrestha
1,*,
Lawrence E. Gilbert
1,
Tracey A. Ruhlman
1 and
Robert K. Jansen
1,2
1
Department of Integrative Biology, University of Texas at Austin, Austin, TX 78712, USA
2
Center of Excellence in Bionanoscience Research, Department of Biological Sciences, Faculty of Science, King Abdulaziz University, Jeddah 21589, Saudi Arabia
*
Author to whom correspondence should be addressed.
Int. J. Mol. Sci. 2021, 22(5), 2278; https://doi.org/10.3390/ijms22052278
Submission received: 1 February 2021 / Revised: 20 February 2021 / Accepted: 22 February 2021 / Published: 25 February 2021
(This article belongs to the Special Issue Organelle Genetics in Plants 2.0)

Abstract

Plastid inheritance in angiosperms is presumed to be largely maternal, with the potential to inherit plastids biparentally estimated for about 20% of species. In Passiflora, maternal, paternal and biparental inheritance has been reported; however, these studies were limited in the number of crosses and progeny examined. To improve the understanding of plastid transmission in Passiflora, the progeny of 45 interspecific crosses were analyzed in the three subgenera: Passiflora, Decaloba and Astrophea. Plastid types were assessed following restriction digestion of PCR amplified plastid DNA in hybrid embryos, cotyledons and leaves at different developmental stages. Clade-specific patterns of inheritance were detected such that hybrid progeny from subgenera Passiflora and Astrophea predominantly inherited paternal plastids with occasional incidences of maternal inheritance, whereas subgenus Decaloba showed predominantly maternal and biparental inheritance. Biparental plastid inheritance was also detected in some hybrids from subgenus Passiflora. Heteroplasmy due to biparental inheritance was restricted to hybrid cotyledons and first leaves with a single parental plastid type detectable in mature plants. This indicates that in Passiflora, plastid retention at later stages of plant development may not reflect the plastid inheritance patterns in embryos. Passiflora exhibits diverse patterns of plastid inheritance, providing an excellent system to investigate underlying mechanisms in angiosperms.

Graphical Abstract

1. Introduction

Plant cells house three genome-containing organelles: the nucleus, the mitochondrion and the plastid. Unlike the nuclear genome, both the mitochondrial and plastid genomes (plastomes) are inherited in a non-Mendelian fashion. Plastid inheritance is usually reported as uniparental, and mixed genotypes do not persist as plastids undergo vegetative segregation. The stochastic process of partitioning during plastid and cell division usually results in plastome homogeneity (homoplasmy) early in plant development [1,2,3,4]. Taken together, these genetic features suggest plastomes are generally homogenous despite the presence of many unit genomes per nucleoid, nucleoids per plastid and plastids per cell [5].
It is generally accepted that plastid inheritance is maternal among angiosperms, whereas paternal inheritance is common among gymnosperms, with exceptions in both groups [1,6,7,8,9]. Cytological screenings of pollen for plastid DNA (ptDNA) of nearly 300 angiosperm species reported that approximately 80% and 20% have the potential for maternal and biparental plastid transmission, respectively [7,8]. The bias toward maternal inheritance is attributed to the distribution of plastids during pollen development. During mitotic divisions of the microspore, the paternal plastid is excluded from the sperm cell [10,11]. Other mechanisms that have been described prevent paternal plastid transmission during and post fertilization, consequently reinforcing maternal plastid transmission [11,12,13].
The prevalence of maternal inheritance in angiosperms may be driven by constraints to intracellular conflict and the spread of selfish elements associated with paternal plastids [14,15,16]. However, uniparental inheritance systems can lead to the accumulation of deleterious mutations over evolutionary time. To overcome this, biparental inheritance may have evolved as a mechanism to rescue defective plastids and alleviate mutational load [15,16,17]. In the past few decades, plastid inheritance studies have expanded in many plant lineages, and evidence of paternal leakage and biparental inheritance has been reported in lineages that were thought to exhibit strictly maternal inheritance [18,19,20]. This could be taken as a support for the hypothesis that paternal transmission helps to prevent the perils of strictly maternal inheritance, but empirical evidence to support this is lacking. Nonetheless, these studies indicate that the underlying mechanisms that restrict paternal plastid transmission are not completely effective.
Initially described by Baur (1909) based on variegated phenotypes in Pelargonium [21], biparental plastid inheritance has been identified in a few other lineages, including Campanulastrum [17], Oenothera [22], Medicago [23,24,25], Turnera [26,27], Zantedeschia [28] and Passiflora [29]. Two lineages, Pelargonium and Oenothera, have been extensively studied, and variations in plastid transmission patterns were shown to be under the strong influence of nuclear or plastid genomes [1,22,30]. With an increasing number of progeny being assayed in inheritance studies, low frequency paternal transmission has been detected in lineages that were previously considered to utilize strict maternal inheritance [18,31,32,33]. Low frequency paternal inheritance is common in interspecific crosses and may result from a failure of mechanisms that evolved to prevent it [14,29,34,35]. Two lineages of rosids, Medicago and Turnera, exhibit rare predominant paternal inheritance even in intraspecific crosses, a pattern that is commonly observed among gymnosperms [24,26,27,36]. Predominant paternal plastid inheritance with occasional biparental and maternal inheritance noted in these two lineages is in contrast with general patterns documented among angiosperms.
The use of ptDNA has been critical in phylogenetic inference and has numerous applications in plant research, including biotechnology, breeding, conservation and biogeography [37,38]. However, exceptions in inheritance patterns that include biparental inheritance and occasional paternal leakage could be problematic for phylogenetic inference. When plastome variation exists between parents, paternal leakage or biparental transmission could result in heteroplasmy, a condition in which different plastome types are present in a cell or in an individual. In such cases, if the plastome variation is substantial, heteroplasmy could introduce complications of paralogy, thereby perturbing the inference of phylogenetic history [39]. The implications of heteroplasmy in phylogeny reconstruction have been documented in several lineages, including Hyobanche [39,40] and Passiflora [41]. In these cases, conflicting phylogenetic relationships were inferred based on the sampling of heterologous loci. It should be noted that several other processes, such as gene duplication and transfer, could also contribute to apparent heteroplasmy [39,42]. Nonetheless, recognizing patterns of plastid inheritance could help to achieve correct conclusions when using ptDNA to estimate phylogenetic relationships [39,43].
Plastid inheritance studies in Passiflora have reported uniparental (paternal or maternal) and biparental inheritance. Passiflora (P.) is the largest genus in Passifloraceae and includes about 560 species grouped into five subgenera, Astrophea, Decaloba, Deidamioides, Passiflora and Tetrapathea, with subgenera Passiflora and Decaloba each containing more than 200 species [44,45,46,47]. The cytological study by Corriveau and Coleman (1988) included a commonly cultivated species P. edulis (subgenus Passiflora) that exhibited the potential for biparental plastid transmission [7]. Based on three interspecific artificial crosses and one natural hybrid, Muschner et al. (2006) found that hybrids within subgenus Passiflora inherited paternal plastids, whereas those in subgenus Decaloba inherited maternal plastids, suggesting distinct inheritance patterns between the subgenera [48]. Hansen et al. (2007) expanded the number of interspecific hybrids from subgenus Passiflora and also included crosses between conspecifics from geographically isolated populations [29]. The expanded interspecific crosses and progeny supported paternal plastid inheritance in subgenus Passiflora (17 paternal), but occasional biparental inheritance with predominately maternal inheritance (12 maternal, 3 biparental) was detected in intraspecific hybrids. The authors suggested a dichotomy of paternal and maternal inheritance in Passiflora between inter- and intraspecific crosses, respectively. The correlation of maternal inheritance with intraspecific crosses was based on only two hybrid crosses from subgenera Passiflora and Decaloba, P. pseudo-oerstedii × P. oerstedii and P. costaricensis from two locations, respectively [29]. Passiflora pseudo-oerstedii is considered a distinct species P. dispar [49]; therefore, in Hansen et al., P. pseudo-oerstediiP. oerstedii was not an intraspecific hybrid cross. Thus, only a single intraspecific cross from subgenus Decaloba was performed and showed maternal plastid inheritance. The conclusion that maternal inheritance is correlated with intraspecific crosses in Passiflora is tenuous since it is based on a single observation.
Biparental inheritance in Passiflora has also been reported in interspecific hybrids from subgenus Passiflora in crosses involving P. menispermifolia and P. oerstedii, which displayed a hybrid-bleaching phenotype resulting in hybrid lethality likely due to plastome-genome incompatibility [50]. The remarkable difference in inheritance patterns observed in Passiflora suggests that multiple mechanisms may be involved in plastid inheritance. However, due to the limited number of crosses and progeny examined, the extent of variation in inheritance patterns remains uncertain. Considering the species diversity in the genus, comprehensive sampling would improve the understanding of the diversity of plastid inheritance patterns in Passiflora. In the present study, plastid inheritance was examined in 45 interspecific crosses in subgenera Passiflora, Decaloba and Astrophea. Polymerase chain reaction (PCR) amplification of ptDNA followed by restriction endonuclease (RE) digestion of amplicons was used to detect the plastid types in the hybrids. Plastid inheritance in Passiflora hybrids was examined in embryos and at different stages of plant development to better understand inheritance and retention of plastid types at different phases of the plant life cycle.

2. Results

Crosses were considered successful only when the pollen transfer onto the stigma produced a fruit that contained seeds with embryos (Figure 1). With this criterion, the number of successful crosses was substantially lower than the number of attempted crosses (>100). Passiflora hybrids were named following the standard nomenclature for hybrids (maternal species × paternal species). Forty-five crosses from the three subgenera, Passiflora, Decaloba and Astrophea, were examined. Most successful crosses (37) occurred within subgenus Passiflora and included four reciprocal crosses (Table 1). Seven successful crosses were examined in subgenus Decaloba, two of which were reciprocal crosses. Subgenus Decaloba includes hybrid crosses between two accessions of P. misera. Passiflora misera (9023) has notably flattened stems with flowers similar to those commonly described as P. misera, whereas P. misera (9335) has square stems and morphologically distinct flowers. Therefore, the two accessions of P. misera were considered separate species and, accordingly, their hybrids were considered interspecific. Plant vouchers for P. misera and their hybrids were deposited in the University of Texas herbarium (TEX-LL, Supplementary Table S1, see Supplementary Materials with this article). In subgenus Astrophea, a single interspecific cross was successful. Multiple attempts to generate hybrids between species in subgenus Deidamioides were unsuccessful.
Several ptDNA target regions were selected for PCR and RE analysis, with the rpl32-trnL region being the most useful for assessing plastid types. Detailed information on Passiflora species used to generate hybrids, the direction of crosses, ptDNA target regions, accession numbers for sequences, primers used to amplify target regions, REs and vouchers are provided in Supplementary Tables S1–S4.

2.1. Plastid Inheritance in Hybrid Embryos

Substantial differences in embryo size were noted between hybrids in different subgenera. The embryos in subgenus Decaloba hybrids were generally much smaller compared to hybrid embryos in subgenera Passiflora and Astrophea (Figure 1). Direct PCR using crude extract from hybrid embryos successfully amplified ptDNA target regions for most of the crosses except three, P. nephrodes × P. oerstedii, P. lancetillensis × P. microstipula and P. microstipula × P. lancetillensis. For the progeny of these three crosses, DNA was isolated from embryos prior to PCR amplification. No amplification products from embryos of the P. nephrodes × P. oerstedii were generated even after DNA isolation; therefore, the cross was excluded from further analyses.
Plastid inheritance in the Passiflora hybrid embryos may be classified as purely paternal, purely maternal, biparental or a combination of any of the three patterns (Table 1). In subgenus Passiflora, hybrid embryos exhibited uniparental (paternal or maternal) and biparental patterns of plastid inheritance (Table 1, Supplementary Figures S1 and S2). For the 37 interspecific crosses examined, hybrid progeny from 24 crosses displayed solely paternal inheritance, while progeny from six crosses showed maternal and/or biparental in addition to paternal inheritance (Table 1). The remaining seven crosses in subgenus Passiflora displayed maternal and/or biparental inheritance. Solely maternal transmission was found in two hybrid crosses, P. menispermifolia (9224) × P. oerstedii and P. nephrodes × P. choconiana; however, their reciprocal crosses had exclusively paternal inheritance (Table 1): plastids from P. menispermifolia and P. nephrodes were inherited regardless of the direction of the crosses. Solely biparental plastid inheritance was detected in two crosses, P. oerstedii × P. menispermifolia (8039) and P. hastifolia × P. menispermifolia (8039). Of the total 357 embryos examined from 37 interspecific crosses in subgenus Passiflora, the observed numbers and relative frequencies of paternal, maternal and biparental plastid inheritance were 266 (~75%), 43 (~12%) and 48 (~13%), respectively.
Based on six interspecific crosses in subgenus Decaloba, maternal and/or biparental inheritance predominated in most hybrid crosses, with rare paternal inheritance (Table 1). Two hybrid crosses, P. organensis × P. biflora and P. microstipula × P. lancetillensis, exhibited solely maternal inheritance in all the embryos examined, whereas maternal together with biparental inheritance was detected in three hybrid crosses, P. rufa × P. jatunsachensis, P. rufa × P. auriculata and P. misera (9023) × P. misera (9335). Within subgenus Decaloba, paternal inheritance was only detected in two of 10 progeny of the P. lancetillensis × P. microstipula cross, while the remaining eight displayed biparental inheritance. The observed numbers and relative frequencies of paternal, maternal and biparental plastid inheritance for the 59 embryos examined in subgenus Decaloba were 2 (~3%), 31 (~53%) and 26 (~44%), respectively. An interspecific cross, P. sphaerocarpa × P. pittieri from subgenus Astrophea, had predominantly paternal inheritance, with maternal inheritance detected in only a single embryo. A statistical test was performed to examine whether the patterns of inheritance were related to the subgenus that the parents belong to, Passiflora versus Decaloba. The estimated χ2 value (113.13) for the χ2 contingency test was substantially greater than the critical value (χ2 = 5.99) at a significance level of 0.05 with 2 degrees of freedom. Therefore, the null hypothesis that the pattern of plastid inheritance is independent of subgenera was rejected (P value = 2.2 × 10−16). Instead, subgenus dependent patterns of plastid inheritance were detected in subgenera Passiflora and Decaloba.
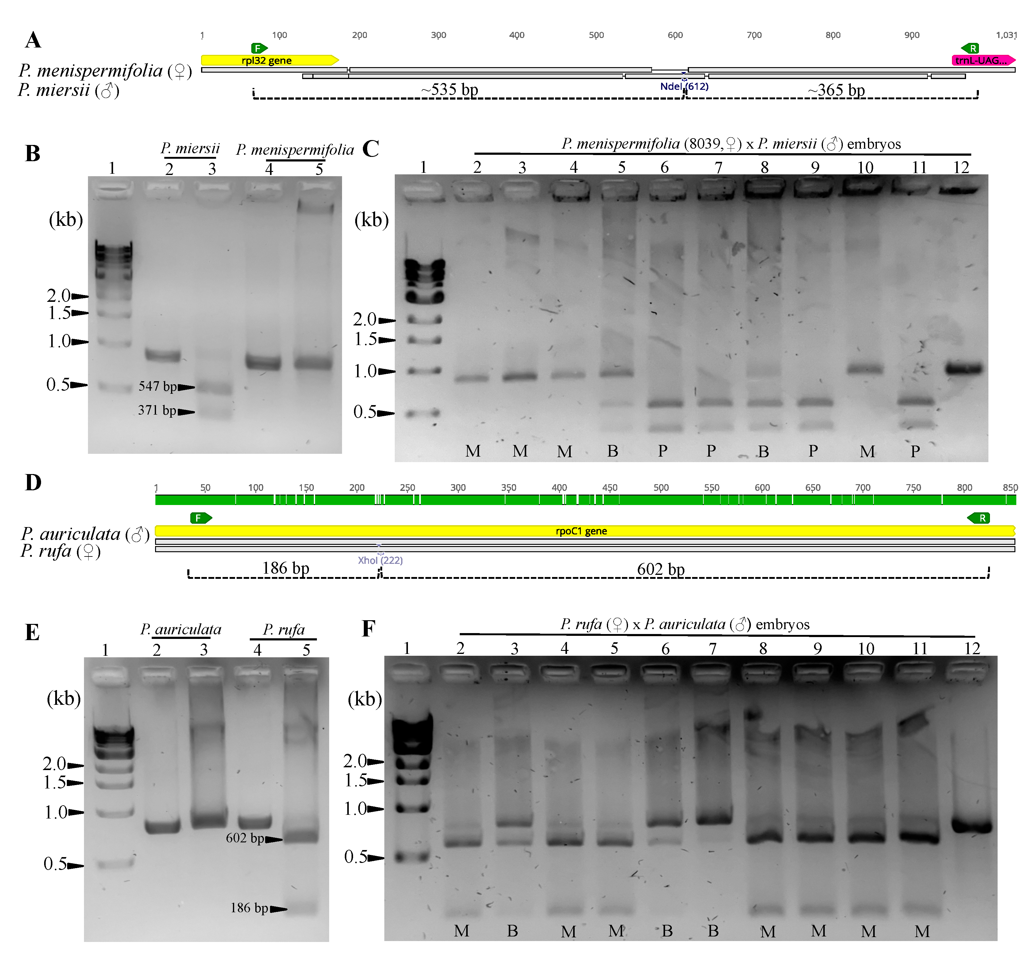
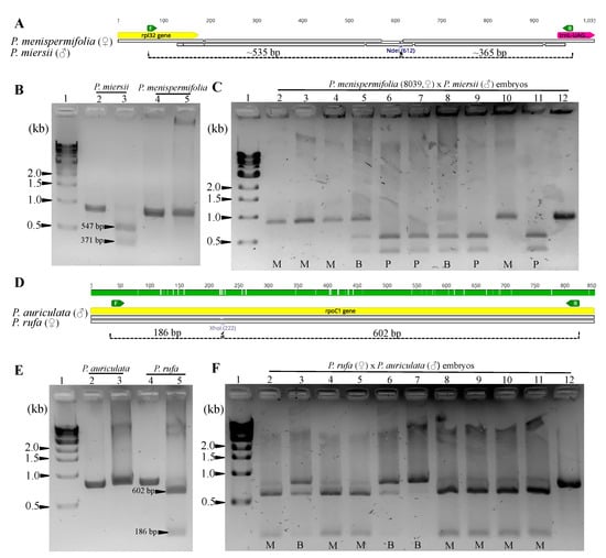
Agarose gels of RE digested amplicons representing examples of paternal, maternal and biparental inheritance detected in the hybrid embryos are shown in Figure 2, including hybrids of P. menispermifolia × P. miersii representing subgenus Passiflora (Figure 2A–C) and P. rufa × P. auriculata from subgenus Decaloba (Figure 2B,D–F). Gel images of RE digestion for all parent species and hybrid embryos are shown in Supplementary Figures S1 and S2, respectively.

2.2. Plastid Inheritance in Seedlings and Maturing Leaves

Plastid inheritance was assessed using tissues from hybrids, including cotyledons, first leaves and subsequent leaves, to detect the plastid type at various stages of plant development. When biparental plastid inheritance was detected in the cotyledon and the first leaf, plastid assessment was continued using subsequent emerging leaves in surviving plants. Where uniparental plastid inheritance was detected in cotyledons and the first leaf, no further assessments were carried out.
Seed germination for most hybrid crosses was substantially lower relative to the number of seeds produced. As a consequence, the total number of interspecific crosses available for further analyses was limited to 10 in subgenus Passiflora and seven in subgenus Decaloba including a reciprocal cross (Table 2). Within subgenus Passiflora, paternal inheritance was detected in the green tissues of all hybrid progeny assessed (Supplementary Figure S3). The crosses that displayed paternal inheritance in the embryos also showed paternal inheritance in the cotyledons of siblings. The hybrid progeny of P. menispermifolia (8039) × P. hastifolia, P. nephrodes × P. sprucei and P. kermesina × P. miersii displayed solely paternal inheritance in the seedlings, although the progeny of these three crosses had maternal and biparental inheritance in addition to paternal inheritance in embryos.
Hybrid progeny from subgenus Decaloba crosses showed all three patterns of plastid inheritance. Most hybrids displayed predominantly maternal inheritance and biparental inheritance, with rarely paternal inheritance. Exclusive maternal inheritance was detected in all seedlings for two crosses, P. organensis × P. biflora and P. microstipula × P. lancetillensis, which was consistent with solely maternal inheritance detected in embryos (Figure S3). The hybrids P. rufa × P. auriculata and P. misera (9023) × P. misera (9335) displayed uniparental and biparental inheritance in the seedlings, again consistent with embryonic inheritance patterns. Biparental inheritance was detected in the cotyledons for all three hybrid seedlings analyzed for the cross P. lancetillensis × P. microstipula (Table 2, Figure 3). Among them, two seedlings retained plastids from both parents in the first leaf, while exclusively maternal plastids were detected in the first leaf of the third seedling (Figure 3B). The two seedlings that retained plastids from both parents died precluding plastid assessment in subsequent leaves. Therefore, plastid inheritance was assessed using the leaves of four one-year-old P. lancetillensis × P. microstipula hybrids that were generated from an independent cross. In these mature P. lancetillensis × P. microstipula hybrids, maternal plastids were detected in three individuals and paternal in one individual (Figure 3C).
An assessment of plastid inheritance across developmental stages was carried out for seven hybrid progeny of the cross P. misera (9023) × P. misera (9335) (designated seedlings 1 through 7; Figure 3E–H). Among the seedlings examined, five inherited plastids biparentally (seedlings 1, 4, 5, 6 and 7) and two inherited maternal plastids in their cotyledons (seedlings 2–3). When the first leaves were examined, two individuals (seedlings 1 and 5) appeared to have excluded paternal plastids, while plastids from both parents were detected in the remaining three seedlings (Table 2, Figure 3F,G). Among the three seedlings showing biparental inheritance (seedlings 4, 6 and 7), seedling 4 displayed strongly amplified bands for paternal plastids compared to the remaining two seedlings (Figure 3F). Subsequent examination of plastid types in the second and third leaves of seedling 4 showed the retention of only the paternal plastid type. In contrast, plastid types from both parents were detected up to the second leaf in seedling 6, but only the maternal plastid type was detected in leaf 3 and in leaves of mature plants (Figure 3H). Similar observations, the presence of plastids from both parents up to the second leaf and the retention of maternal plastids afterwards were also noted for seedling 7.
Hybrids that displayed incompatibility phenotypes were primarily restricted to subgenus Decaloba, with a single case observed in subgenus Passiflora. Hybrid progeny of P. menispermifolia (8039) × P. hastifolia from subgenus Passiflora exhibited a dwarf phenotype with severely reduced leaves and altered leaf morphology (Supplementary Figure S4. Within subgenus Decaloba, all progeny of P. organensis × P. biflora had normal green cotyledons but displayed white or pale green leaves that died within a few weeks (Figure 4A,B). Hybrid lethality was also observed in two hybrid crosses, P. rufa × P. auriculata and P. rufa × P. jatunsachensis. Both crosses produced albino seedlings that died without producing cotyledons in some progeny (Figure 4C,D). A variegated phenotype was observed for P. microstipula × P. lancetillensis only in the cotyledons (Figure 4E), whereas their reciprocal cross, P. lancetillensis × P. microstipula, displayed variegation in the cotyledons as well as in leaves, where white sectors gradually reduced as the plant developed (Figure 4F). Similarly, hybrid variegation was also observed in P. misera (9023) × P. misera (9335), mostly in the cotyledons and occasionally in the first leaf (Figure 4G,H).

3. Discussion

The widespread misconception that plastomes are strictly maternally inherited has major implications for several fields of study, including phylogenetic inference, population genetics, plastome genetic engineering and the consequences of cytonuclear incompatibilities [17,43,51,52]. The presence of ptDNA in generative or sperm cells indicates the potential for transmission of paternal plastids, and the staining of ptDNA in pollen grains has been used to examine plastid inheritance in a large group of angiosperms [7,8]. However, this method does not confirm that paternal plastids are transmitted into a zygote, as multiple mechanisms facilitate paternal plastid exclusion during gametogenesis, fertilization and post fertilization [3,4,11,12,13,53]. Low frequency transmission of paternal plastids is also susceptible to random drift, reducing heteroplasmy during embryo development [3,30]. Similarly, biparental plastid inheritance detectable as heteroplasmy during early plant development has been shown to sort-out, resulting in homoplasmy at later stages [3,4,25]. This suggests that the examination of plastid types in mature plants will likely detect retained plastids and may not reflect how plastids are initially transmitted.
In this study, plastid inheritance was investigated in Passiflora hybrids by assaying embryos, cotyledons and leaves to capture inheritance and retention of plastids at different developmental stages. To assess the plastid types in hybrids, RE digestion of PCR amplicons was performed, a method utilized in previous studies of other angiosperms [34,35,54]. While this approach may over-represent uniparental inheritance, it is unlikely to do so with respect to assignments of biparental inheritance. Trace amounts of ptDNA transmitted by one parent could fail to amplify, resulting in an incorrect characterization of plastid inheritance as uniparental. The incomplete digestion of amplicons could over-estimate biparental inheritance; however, incubation times for restriction digestion were extended for 12 h or longer in most cases. Extended incubation times resulted in complete digestion for most Passiflora parent species, with very faint undigested product noted in a few parents (Figure 2B,E, Supplementary Figures S1.2, S1.3 and S1.5). The faint undigested band, as noted in the parents, was taken into consideration while assigning the pattern of inheritance in their hybrid progeny. Therefore, in a few cases, despite the presence of faint undigested bands in the hybrids, the pattern of plastid inheritance was considered uniparental.

3.1. Clade-Specific Patterns of Inheritance

Based on available data, each subgenus within Passiflora displayed a distinct pattern of plastid inheritance, which can be roughly summarized as: (i) predominant paternal inheritance with occasional maternal and biparental inheritance in subgenus Passiflora, (ii) predominant maternal and biparental inheritance with rare solely paternal inheritance in subgenus Decaloba, and (iii) predominant paternal inheritance with rare maternal inheritance in subgenus Astrophea (Table 1 and Table 2). The single interspecific cross in subgenus Astrophea precludes the generalization of paternal plastid inheritance as a predominant pattern within the subgenus. The dichotomy of predominant paternal inheritance as a general pattern in subgenus Passiflora (~75% progeny) and maternal inheritance in subgenus Decaloba (~53% progeny) is in agreement with the previous observation based on a few interspecific hybrids [48]. Paternal transmissions are commonly observed in interspecific crosses or crosses that include divergent parents within a population or geographically isolated populations and may be attributed to failure in the mechanisms to prevent paternal leakage [14,17,34,35,53,55]. While paternal inheritance in subgenus Passiflora supports the correlation between paternal inheritance and interspecific crosses, the predominant maternal and biparental inheritance observed for the interspecific hybrids in subgenus Decaloba contradicts this phenomenon. In subgenus Decaloba, maternal inheritance was the predominant pattern (~53%) in interspecific hybrid embryos, as it was in a previously characterized intraspecific hybrid [29], suggesting that uniparental-maternal is the dominant pattern of inheritance in Decaloba in nature.
The crosses between P. misera (9023) and P. misera (9335) in this study were considered interspecific as the two P. misera are very distinct in morphology of flowers, leaves and stems (Supplementary Figure S4). Passiflora misera is known for its conspicuously flattened stems lacking showy flowers [56], but the species is highly variable and it was suggested that multiple species may be represented under the name P. misera [57]. Since the two accessions of P. misera were treated as distinct species, the present study did not consider intraspecific crosses in Passiflora.
Paternal inheritance is an anomaly among angiosperms, but cases have been reported in a few lineages including Actinidia, Turnera and Medicago [26,27,36,58]. The predominance of paternal plastid inheritance observed in hybrids of subgenus Passiflora is analogous to intraspecific crosses in Turnera [26,27], which is now classified in the Passifloraceae subfamily Turneroideae [59]. Intraspecific crosses in Turnera displayed predominant paternal with occasional maternal or biparental inheritance. It is possible that intraspecific crosses in subgenus Passiflora also follow paternally biased plastid inheritance, and thus represent one of the few angiosperm lineages with predominant paternal inheritance. Evaluating plastid inheritance in intraspecific crosses of subgenus Passiflora could help illuminate this hypothesis. The similarity in inheritance patterns in subgenus Passiflora and Turnera suggests that paternal inheritance may be the ancestral condition in Passifloraceae, regardless of whether the cross is within or between species. There may have been a shift towards predominantly maternal inheritance in the genus, specifically in subgenus Decaloba. A single interspecific hybrid from subgenus Astrophea also shows predominantly paternal inheritance similar to species in subgenus Passiflora. However, the result should be cautiously interpreted as a general pattern of inheritance for subgenus Astrophea because of the small sample size. The hypothesis of paternal and maternal inheritance associated with inter- and intraspecific crosses, respectively, in Passiflora requires evidence from intraspecific crosses. Interspecific crosses suggest that hybrids in subgenus Passiflora exhibit predominant paternal plastid inheritance, whereas hybrids in subgenus Decaloba predominantly inherit maternal plastids.

3.2. Occurrence of Biparental Plastid Inheritance

Two separate studies presented molecular evidence of biparental inheritance in Passiflora. One study examined reciprocal interspecific crosses between P. menispermifolia and P. oerstedii (subgenus Passiflora) [50], and the other an intraspecific cross of P. costaricensis (subgenus Decaloba) from two geographical locations [29]. The hybrids of P. menispermifolia and P. oerstedii displayed a bleached phenotype with white and green sectors in leaves containing plastomes of P. menispermifolia and P. oerstedii, respectively, and non-differentiated plastids of P. menispermifolia indicated incompatibility with hybrid nuclear genotype [50]. In contrast, Hansen et al. (2007) [50] did not report biparental inheritance but instead found strictly paternal inheritance in P. menispermifolia x P. oerstedii hybrids as well as in backcross experiments. It is noteworthy that the P. oerstedii illustrated in Mráček (2005) [29] has deeply trilobed leaves that differ from commonly described P. oerstedii with oblong-ovate simple leaves included in Hansen et al. (2007). Ulmer and MacDougal (2004) suggested that two species, P. oerstedii var. choconiana (also known as P. choconiana) and P. purpusii with trilobed leaves are erroneously identified under the name P. oerstedii [49]. It is likely that the difference in plastid inheritance noted in these two studies is due to incorrect identification of the parent species.
In the present study, in crosses that employed P. menispermifolia and P. oerstedii as parents, the results depended on varieties being used. The hybrids between P. menispermifolia (9224) and P. oerstedii inherited plastids from P. menispermifolia (9224) regardless of the cross direction. However, when the cross included a different accession of P. menispermifolia (8039), biparental plastid inheritance was detected in all hybrid embryos (Table 1, Supplementary Figure S2). In general, the frequent inheritance of P. menispermifolia plastids was detected in crosses that included P. menispermifolia either as a paternal or maternal parent (Table 1). Plastome size variation may be worth considering as an explanation for this result. The P. menispermifolia plastome is substantially smaller (~13 kilobases) than other species in subgenus Passiflora [60] and this difference may play a role in efficient plastome replication, resulting in an advantage over the other species during plastid transmission. It has been proposed that the speed of plastid multiplication plays a role in the transmission of plastids in Oenothera [22].
Heteroplasmy due to biparental inheritance was detected in the embryos and seedlings of Passiflora hybrids but not in mature plants, which is a clear distinction from previous findings. During plant development, biparentally inherited plastids in Decaloba hybrids segregated to exclude either parental plastid type, resulting in homoplasmy. This observation is very similar to the segregation of biparentally inherited plastids in Medicago [25]. Vegetative segregation in Decaloba hybrids was complete in the F1 generation, similar to most Medicago hybrids. The sorting-out of plastid types observed in Passiflora and Medicago supports the prediction that the completion of vegetative segregation occurs within a generation [4]. In fact, homoplasmy in Decaloba hybrids was usually attained in the first leaf, but in some seedlings, the process was not complete until the second or third leaf, indicating that the rate of segregation differs among hybrid individuals (Figure 3F,H). Of seven progeny examined for P. misera (9023) × P. misera (9335), only one retained paternal ptDNA in the leaves of mature plants (Figure 3F,G), while the remaining resolved to maternal plastid types.
Vegetative segregation strongly favoring the maternal plastid type was reported in Medicago [25]. Mechanisms controlling plastome replication and partitioning within the plastid prior to organelle fission, and ultimately plastid partitioning at cell division, are not well understood. The relative abundance of parental plastids and their plastomes present early in the formation of hybrid progeny may favor vegetative segregation toward homoplasmy for one type or the other, in the absence of selection [2,3,4]. This suggests that the resolution to homoplasmy for the maternal type may be stochastic in Decaloba hybrids. It is possible that selection plays a role in the preference for the maternal plastid. However, the limited number of crosses and progeny considered here did not allow a conclusion regarding whether the preference for the maternal plastid type is due to selection or random processes. Nonetheless, the vegetative segregation of biparentally inherited plastids as observed in Decaloba seedlings mandates that the patterns of plastid inheritance be examined early in plant development, as the assignment using mature plants may not accurately reflect inheritance patterns.

3.3. Hybrid Incompatibility Phenotypes

Hybrid variegation in Passiflora seedlings was observed for three crosses, P. microstipula × P. lancetillensis, P. lancetillensis × P. microstipula and P. misera (9023) × P. misera (9335) (Figure 4E–H). Variegation in the cotyledons and leaves of P. misera (9023) × P. misera (9335) was often coincident with the segregation of biparentally inherited plastids (Figure 3F–H and Figure 4G,H, Table 2). Variegation was observed in the cotyledons of P. microstipula x P. lancetillensis, but heteroplasmy was not detected in the leaves (Figure 4E, Table 2). Similarly, the reciprocal cross P. lancetillensis × P. microstipula displayed variegation in cotyledons as well as leaves, and the white sectors gradually reduced as the plants developed (Figure 4F, Supplementary Figure S4). Heteroplasmy detected in P. lancetillensis × P. microstipula hybrids was mostly confined in cotyledons and not observed in the mature leaves (Figure 3B,C, Table 2). This suggests that the variegation observed in the leaves of P. lancetillensis and P. microstipula hybrids may not be associated with the segregation of plastids, but could be mediated by another mechanism under nuclear influence [1,61]. Many species from subgenus Decaloba are known for conspicuous leaf variegation in younger and/or mature plants [47,49]. Additional evidence is needed to confirm if hybrid variegation is associated with vegetative segregation in the genus.
Passiflora hybrids that displayed incompatibility phenotypes were mostly within subgenus Decaloba. Hybrid incompatibility resulted in inviable hybrids for three crosses, P. organensis × P. biflora, P. rufa × P. jatunsachensis and P. rufa × P. auriculata (Figure 4A–D, Supplementary Figure S4). Progeny of P. rufa × P. auriculata inherited uniparental (maternal or paternal) or biparental plastids, and regardless of the pattern of inheritance, all progeny displayed an albino phenotype and failed to produce leaves (Figure 4C,D, Supplementary Figure S4). The white/pale phenotypes in hybrids are generally associated with lower chlorophyll content, delayed thylakoid development and reduced photosynthesis [62]. In these hybrids, the inviability observed was most likely under the influence of the nuclear genome as the phenotype was consistent regardless of the plastid inheritance pattern. A similar phenotype with albino/pale green leaves was observed in P. organensis × P. biflora hybrids that inherited only maternal plastids in all progeny, although the hybrids produced green cotyledons. This suggests that the phenotype may have been associated with leaf development due to the improper assembly of photosynthetic components, possibly due to incompatible interactions between plastid and nuclear genomes [62]. It has been suggested that postzygotic reproductive barriers can be generally predicted from the observed phenotype [63]. Postzygotic barriers that lead to hybrid inviability usually arise when co-adapted loci accumulate mutations independently in their lineages and the subsequent reunion of the incompatible alleles in hybrids results in a negative interaction, as explained by the Dobzhansky-Muller model (reviewed in [63,64]). This model has been further extended for co-adapted loci in two cellular compartments, nucleus and plastid, which are disrupted in hybrids, leading to plastome-genome incompatibility [62]. The availability of complete plastomes for Passiflora hybrids that displayed the incompatibility phenotype could be used to identify underlying plastome regulatory elements associated with hybrid incompatibility.

4. Conclusions

Clade-specific plastid inheritance along with the occurrence of biparental inheritance makes Passiflora an intriguing system to study the underlying evolutionary mechanisms associated with plastid inheritance. The diverse inheritance patterns within a single genus suggest that multiple evolutionary forces are in play. Biparental inheritance is thought to be advantageous for rescuing defective plastids and slowing down the accumulation of mutations through strictly uniparental inheritance in angiosperms [15,16,17]. This may explain the instances of biparental inheritance and paternal/maternal leakage detected in Passiflora, but is not adequate to explain predominant paternal inheritance in subgenus Passiflora. The detection of paternally biased plastid transmission, also observed in the closely related subfamily Turneroideae, suggests that paternal inheritance may be the ancestral condition in these lineages.
Self-incompatibility is common in Passiflora and species can readily outcross, yielding viable hybrids that can be backcrossed to either parent [29,49] and also with other species generating viable new hybrids in greenhouse experiments (B.S. and L.E.G., personal observation). This shows the potential of Passiflora species to outcross and likely produce hybrids in the case of natural cross-pollination. The ability to hybridize, coupled with diverse plastid inheritance patterns, could be problematic for resolving phylogenetic relationships. In fact, a conflicting relationship was identified in Passiflora phylogenetic studies using heteroplasmic plastome loci, suggesting that researchers should be cautious in interpreting phylogenetic relationships in the genus with plastid data [41]. In the present study, although heteroplasmy was restricted to seedlings and vegetative segregation led to the retention of either maternal or paternal plastid types in later stages of development, this phenomenon could still contribute to conflicting phylogenetic relationships in Passiflora [29]. It is notable that the nuclear transfer of plastid genes in Passiflora is widespread, and duplicated plastid loci co-existing in two cellular compartments undergo different evolutionary constraints [65]. As a consequence, this may also introduce conflicts associated with paralogy when inferring phylogenetic relationships, another reason to be cautious using plastid loci for phylogeny reconstruction in Passiflora.
Multiple patterns of plastid inheritance in Passiflora could also play a role in plastome evolution in the genus. Passiflora plastomes are highly rearranged with extensive structural variation and highly accelerated substitution rates in certain genes and clades [60,66]. Although recombination between plastomes from different plastids is rare, empirical evidence of plastome recombination has been documented in protoplast fusion experiments [31,67]. Evidence of plastome structural rearrangements correlated with biparental inheritance has been recognized in angiosperms [51] and isogamous algae [68]. It will be interesting to examine whether plastid inheritance patterns have played a role in the unusual rearrangements in Passiflora plastomes.

5. Materials and Methods

5.1. Passiflora Hybrids and Seed Germination

Passiflora hybrids were generated from field-collected populations grown in greenhouses at The University of Texas at Austin. Interspecific hybrids were generated from self-incompatible Passiflora clones; self-compatible species were excluded from the study. Crosses were made by brushing pollen from flowers of paternal parents onto the stigma of flowers of maternal parents. The anthers of the maternal parents were removed prior to pollen maturation. Crosses were carried out between plants located in separate greenhouses to avoid uncontrolled pollination. Reciprocal crosses were attempted, dependent on the availability of flowers. Two approaches were used for seed germination. Seed coats were scarified and then seeds were soaked in water (25 °C) for 24 h and placed between moist paper towels inside a plastic bag in the dark until seed germination was observed. The germinated seedlings were transferred into Pro-Mix® (Premier Tech, Riviére-du-Loup, QC, Canada) growing medium and moved to the greenhouse. Alternatively, seeds were soaked in water (25 °C) without scarification for 24 h and directly transferred into Pro-Mix® growing medium in the greenhouse.

5.2. Amplification of Target Regions and RE Digestion to Assess Plastid Type

Complete plastomes available at The National Center for Biotechnology (NCBI) for 31 Passiflora species [60,69] were used to identify regions that contained suitable nucleotide variability. The variable regions were amplified and Sanger sequencing was carried out to determine the sequence for species that lack complete plastome sequences. Primer design for the PCR amplification and Sanger sequencing was carried out with Primer3 [70] in Geneious v. 11.0.5 (https://www.geneious.com (accessed on 20 November 2020)). The newly obtained sequences were aligned with available Passiflora plastome data using multiple alignment using fast Fourier transform (MAFFT) [71] in Geneious v.11.0.5. The ptDNA target regions were selected based on the presence of polymorphic restriction sites between the parents.
The target regions for the parents were amplified followed by restriction enzyme (RE) digestion, and were visualized in agarose gels. This process was repeated for hybrids. Banding patterns of digested amplicons from parents post digestion were used as references to assess plastid types in hybrids. Restriction digests of amplified ptDNA were performed for variable time periods at the optimal temperature recommended by the RE suppliers (New England Biolabs, Ipswich, MA, USA and Thermo Scientific, Waltham, MA, USA). The incubation time for digestion was held constant for parent species and their hybrids. Digests of amplicons were conducted without prior purification of the PCR products and visualized in 1–2% agarose gels stained with RedSafeTM (iNtRON Biotechnology, Seongnam). One kb DNA ladder (N3232L, New England Biolabs) was used as a marker to estimate amplicon and fragment sizes for the PCR products prior to and post digestion.

5.3. Direct PCR Amplification Using Crude Embryo Extract

Passiflora hybrid seeds were soaked in water for 24 h and embryos were excised by removing the seed coat and endosperm under a dissecting microscope. The excised embryos were rinsed in sterile water and stored dry at −80 °C until further use. Stored embryos were suspended in 88 μL of 50 mM NaOH and homogenized for 1 min in the presence of five to six 1 mm glass beads (BioSpec Inc., Bartlesville, OK, USA) using Mini-BeadBeater-96 (Glen Mills Inc., Clifton, NJ, USA). The disrupted embryos were incubated at 95 °C for 10 min and neutralized by adding 12 μL of 1 M Tris-HCl (pH 8.0). The crude extract was vortexed, briefly centrifuged and 5 μL of supernatant was used for PCR.
Plastid inheritance in hybrid embryos was assessed by sampling 10 seeds per cross for 44 interspecific crosses. The PCR amplification of crude embryo extract was carried out using Seed-DirectTM PCR mix (D300, Lamda Biotech, St. Louis, MO, USA). The PCR reaction contained 5 μL of crude extract, 10 μL of 2× Seed-DirectTM PCR mix, 1 μL of 10 μM forward and reverse primers and 7 μL of H2O. The PCR program included 5 min at 95 °C, followed by 34 cycles of 30 s at 95 °C, 30 s at 52–56 °C, and 1 min at 72 °C with final extension of 5 min at 72 °C. Annealing temperatures were adjusted according to the melting temperature of the different primer sets.

5.4. DNA Isolation and PCR Amplification

Total genomic DNA was isolated from young leaves of parents, cotyledons and leaves of hybrid seedlings, and also from hybrid embryos that failed in the direct PCR amplification. Hybrid cotyledons were collected at first leaf emergence, and subsequently, the first leaf was collected after second leaf emergence. This process continued as long as hybrids survived and produced new leaves. For some hybrids, tissues were not collected at the seedling stage and plastid inheritance was assessed exclusively using leaves from one-year old plants, hereafter referred to as mature plants. The tissues were flash frozen in liquid nitrogen and homogenized using Geno Grinder TM (SPEX, Metuchen, NJ, USA) in the presence of 2–3 metallic beads at 1200 rpm for 15 s. Total genomic DNA was isolated using NucleoSpin® plant II DNA extraction kit (MACHEREY-NAGEL, Düren, Germany). Except for the embryos, qualitative and quantitative assessments of isolated DNA were carried out using agarose gel electrophoresis and NanoDrop® (ND-1000, Thermo Scientific, Waltham, MA, USA).
Isolated DNA was used for PCR amplification in a final reaction volume of 25 μL that contained approximately 200 ng of DNA, 10 μL of FailSafeTM PCR PreMix D (FSP995D, Lucigen, Middleton, WI, USA), 1 μL of 10 μM forward and reverse primers, 0.5 μL of Taq polymerase and 5–10 μL of H2O. The PCR program included 5 min at 95 °C, followed by 34 cycles of 30 s at 95 °C, 30 s at 52–56 °C, and 1 min at 72 °C with final extension of 5 min at 72 °C. The annealing temperature of the PCR cycle was adjusted according to the melting temperature of the different primer sets.

5.5. Statistical Analyses

To test the statistical difference in the patterns of plastid inheritance between the groups (subgenera Passiflora and Decaloba), Chi-square (χ2) test statistic was calculated using embryo plastid inheritance data in R v3.5.1 (R Core Team, 2013). The χ2 contingency test was carried out to test the null hypothesis that the patterns of inheritance (paternal, maternal and biparental) are independent of the subgenera.

Supplementary Materials

The following are available online at https://www.mdpi.com/1422-0067/22/5/2278/s1. Table S1. List of Passiflora species included in the study with original collection location, voucher ID and GenBank accession number. Table S2. List of Passiflora crosses included in the study with the information regarding the ptDNA target regions, restriction enzymes, amplicon size prior to and post digestion, and voucher ID. Table S3. Oligonucleotide primers used for PCR amplification and Sanger sequencing of the target regions. Table S4. GenBank accession numbers (GBN) for the target region sequences generated with Sanger sequencing for Passiflora species and their hybrids. Figure S1. Agarose gels of PCR amplified ptDNA regions following restriction digestion from Passiflora parents. Figure S2. Agarose gels of PCR amplified ptDNA regions following restriction digestion from Passiflora hybrid embryos. Figure S3. Agarose gels of PCR amplified ptDNA regions following restriction digestion from Passiflora hybrid seedlings. Figure S4. Passiflora hybrid seedlings and their parents.

Author Contributions

Conceptualization, B.S., and R.K.J.; methodology, B.S., R.K.J., and L.E.G.; validation, B.S., T.A.R., L.E.G., and R.K.J.; writing—original draft preparation, B.S.; writing—review and editing, B.S., T.A.R., R.K.J., and L.E.G.; supervision, R.K.J. All authors have read and agreed to the published version of the manuscript.

Funding

This research received no external funding.

Institutional Review Board Statement

Not applicable.

Informed Consent Statement

Not applicable.

Data Availability Statement

Data available in a publicly accessible repository. GenBank accession numbers for the new sequences are found in Supplementary Table S4.

Acknowledgments

This work was supported by funding from the Texas Ecolab program to B.S. and the S.F. Blake Centennial Professorship to R.K.J. Living Passiflora collections used in the study were developed over decades through grants from NSF for field research to LEG, housed in facilities provided by UT Austin and grants from NSF, and maintained through an endowment from the Roger Worthington Foundation. We thank greenhouse managers Theresa Freiburger Lancaster, Nina Fogel and Emily Rees for their work in caring for the plants and TEX-LL for serving as a repository for voucher specimens.

Conflicts of Interest

The authors declare no conflict of interest.

References

  1. Kirk, J.T.O.; Tilney-Bassett, R.A.E. The Plastids, Their Chemistry, Structure, Growth, and Inheritance; Elsevier/North Holland Biomedical Press: Amsterdam, The Netherlands, 1978. [Google Scholar]
  2. Birky, C. Relaxed cellular controls and organelle heredity. Science 1983, 222, 468–475. [Google Scholar] [CrossRef]
  3. Birky, C.W. Relaxed and stringent genomes: Why cytoplasmic genes don’t obey Mendel’s laws. J. Hered. 1994, 85, 355–365. [Google Scholar] [CrossRef]
  4. Birky, C.W. The inheritance of genes in mitochondria and chloroplasts: Laws, mechanisms, and models. Annu. Rev. Genet. 2001, 35, 125–148. [Google Scholar] [CrossRef]
  5. Greiner, S.; Golczyk, H.; Malinova, I.; Pellizzer, T.; Bock, R.; Börner, T.; Herrmann, R.G. Chloroplast nucleoids are highly dynamic in ploidy, number, and structure during angiosperm leaf development. Plant J. 2019, 102, 730–746. [Google Scholar] [CrossRef]
  6. Szmidt, A.E.; Aldén, T.; Hällgren, J.-E. Paternal inheritance of chloroplast DNA in Larix. Plant Mol. Biol. 1987, 9, 59–64. [Google Scholar] [CrossRef] [PubMed]
  7. Corriveau, J.L.; Coleman, A.W. Rapid screening method to detect potential biparental inheritance of plastid DNA and results for over 200 angiosperm species. Am. J. Bot. 1988, 75, 1443–1458. [Google Scholar] [CrossRef]
  8. Zhang, Q.; Liu, Y. Examination of the cytoplasmic DNA in male reproductive cells to determine the potential for cytoplasmic inheritance in 295 angiosperm species. Plant Cell Physiol. 2003, 44, 941–951. [Google Scholar] [CrossRef] [PubMed]
  9. Neale, D.B.; Sederoff, R.R. Paternal inheritance of chloroplast DNA and maternal inheritance of mitochondrial DNA in loblolly pine. Theor. Appl. Genet. 1989, 77, 212–216. [Google Scholar] [CrossRef] [PubMed]
  10. Hagemann, R. Genetics and Molecular Biology of Plastids of Higher Plants: Plastids in Male Gametes, Mutation Induction, Nitroso—Urea, Plastid Mutants, Thylakoid Proteins, Plastid Ribosome Deficiency, Pollen, Chloroplast, Photosynthesis, Mitochondria. 1979. Available online: https://mospace.umsystem.edu/xmlui/handle/10355/67177 (accessed on 28 March 2020).
  11. Hagemann, R.; Schröder, M.-B. The cytological basis of the plastid inheritance in angiosperms. Protoplasma 1989, 152, 57–64. [Google Scholar] [CrossRef]
  12. Sears, B.B. Elimination of plastids during spermatogenesis and fertilization in the plant kingdom. Plasmid 1980, 4, 233–255. [Google Scholar] [CrossRef]
  13. Mogensen, H.L. Invited special paper: The hows and whys of cytoplasmic inheritance in seed plants. Am. J. Bot. 1996, 83, 383–404. [Google Scholar] [CrossRef]
  14. Reboud, X.; Zeyl, C. Organelle inheritance in plants. Heredity 1994, 72, 132–140. [Google Scholar] [CrossRef]
  15. Zhang, Q. Why does biparental plastid inheritance revive in Angiosperms? J. Plant Res. 2010, 123, 201–206. [Google Scholar] [CrossRef] [PubMed]
  16. Greiner, S.; Sobanski, J.; Bock, R. Why are most organelle genomes transmitted maternally? BioEssays 2015, 37, 80–94. [Google Scholar] [CrossRef] [PubMed]
  17. Barnard-Kubow, K.B.; McCoy, M.A.; Galloway, L.F. Biparental chloroplast inheritance leads to rescue from cytonuclear incompatibility. New Phytol. 2017, 213, 1466–1476. [Google Scholar] [CrossRef]
  18. Azhagiri, A.K.; Maliga, P. Exceptional paternal inheritance of plastids in Arabidopsis suggests that low-frequency leakage of plastids via pollen may be universal in plants. Plant J. 2007, 52, 817–823. [Google Scholar] [CrossRef]
  19. McCauley, D.E.; Sundby, A.K.; Bailey, M.F.; Welch, M.E. Inheritance of chloroplast DNA is not strictly maternal in Silene vulgaris (Caryophyllaceae): Evidence from experimental crosses and natural populations. Am. J. Bot. 2007, 94, 1333–1337. [Google Scholar] [CrossRef]
  20. Thyssen, G.; Svab, Z.; Maliga, P. Exceptional inheritance of plastids via pollen in Nicotiana sylvestris with no detectable paternal mitochondrial DNA in the progeny. Plant J. 2012, 72, 84–88. [Google Scholar] [CrossRef] [PubMed]
  21. Baur, E. Wesen und die Erblichkeitsverhaltnisse der “Varietates albomarginatae hort.” von Pelargonium zonale. Zeitschrift für Induktive Abstammungsund Vererbungslehre. Z. Vererb. Lehre 1909, 1, 330–351. [Google Scholar]
  22. Chiu, W.-L.; Stubbe, W.; Sears, B.B. Plastid inheritance in Oenothera: Organelle genome modifies the extent of biparental plastid transmission. Curr. Genet. 1988, 13, 181–189. [Google Scholar] [CrossRef]
  23. Smith, S.E.; Bingham, E.T.; Fulton, R.W. Transmission of chlorophyll deficiencies in Medicago sativa. J. Hered. 1986, 77, 35–38. [Google Scholar] [CrossRef]
  24. Smith, S.E. Influence of parental genotype on plastid inheritance in Medicago sativa. J. Hered. 1989, 80, 214–217. [Google Scholar] [CrossRef]
  25. Matsushima, R.; Hu, Y.; Toyoda, K.; Sakamoto, W. The model plant Medicago truncatula exhibits biparental plastid inheritance. Plant Cell Physiol. 2008, 49, 81–91. [Google Scholar] [CrossRef] [PubMed]
  26. Shore, J.S.; McQueen, K.L.; Little, S.H. Inheritance of plastid DNA in the Turnera ulmifolia complex (Turneraceae). Am. J. Bot. 1994, 81, 1636–1639. [Google Scholar] [CrossRef]
  27. Shore, J.S.; Triassi, M. Paternally biased CpDNA inheritance in Turnera ulmifolia (Turneraceae). Am. J. Bot. 1998, 85, 328–332. [Google Scholar] [CrossRef]
  28. Brown, F.S.; Snijder, R.C.; Van Tuyl, J.M. Biparental plastid inheritance in Zantedeschia Albomaculata (Araceae). Acta Hortic. 2004, 673, 463–468. [Google Scholar] [CrossRef]
  29. Hansen, A.K.; Escobar, L.K.; Gilbert, L.E.; Jansen, R.K. Paternal, maternal, and biparental inheritance of the chloroplast genome in Passiflora (Passifloraceae): Implications for phylogenetic studies. Am. J. Bot. 2007, 94, 42–46. [Google Scholar] [CrossRef]
  30. Tilney-Bassett, R.A.E.; Birky, C.W. The mechanism of the mixed inheritance of chloroplast genes in Pelargonium: Evidence from gene frequency distributions among the progeny of crosses. Theor. Appl. Genet. 1981, 60, 43–53. [Google Scholar] [CrossRef] [PubMed]
  31. Medgyesy, P.; Páy, A.; Márton, L. Transmission of paternal chloroplasts in Nicotiana. Mol. Gen. Genet. 1986, 204, 195–198. [Google Scholar] [CrossRef]
  32. Ruf, S.; Karcher, D.; Bock, R. Determining the transgene containment level provided by chloroplast transformation. Proc. Natl. Acad. Sci. USA 2007, 104, 6998–7002. [Google Scholar] [CrossRef] [PubMed]
  33. Ellis, J.R.; Bentley, K.E.; McCauley, D.E. Detection of rare paternal chloroplast inheritance in controlled crosses of the endangered sunflower Helianthus verticillatus. Heredity 2008, 100, 574–580. [Google Scholar] [CrossRef][Green Version]
  34. Cruzan, M.B.; Arnold, M.L.; Carney, S.E.; Wollenberg, K.R. CpDNA inheritance in interspecific crosses and evolutionary inference in Louisiana Irises. Am. J. Bot. 1993, 80, 344–350. [Google Scholar] [CrossRef]
  35. Yang, T.W.; Yang, Y.A.; Xiong, Z. Paternal inheritance of chloroplast DNA in interspecific hybrids in the genus Larrea (Zygophyllaceae). Am. J. Bot. 2000, 87, 1452–1458. [Google Scholar] [CrossRef]
  36. Schumann, C.M.; Hancock, J.F. Paternal inheritance of plastids in Medicago sativa. Theor. Appl. Genet. 1989, 78, 863–866. [Google Scholar] [CrossRef]
  37. Daniell, H.; Lin, C.-S.; Yu, M.; Chang, W.-J. Chloroplast genomes: Diversity, evolution, and applications in genetic engineering. Genome Biol. 2016, 17, 134. [Google Scholar] [CrossRef]
  38. Ronquist, F.; Sanmartín, I. Phylogenetic Methods in Biogeography. Annu. Rev. Ecol. Evol. Syst. 2011, 42, 441–464. [Google Scholar] [CrossRef]
  39. Wolfe, A.D.; Randle, C.P. Recombination, heteroplasmy, haplotype polymorphism, and paralogy in plastid genes: Implications for plant molecular systematics. Syst. Bot. 2004, 29, 1011–1020. [Google Scholar] [CrossRef]
  40. Wolfe, A.D.; Randle, C.P. Relationships within and among species of the holoparasitic Genus Hyobanche (Orobanchaceae) inferred from ISSR banding patterns and nucleotide sequences. Syst. Bot. 2001, 26, 120–130. [Google Scholar]
  41. Hansen, A.K.; Gilbert, L.E.; Simpson, B.B.; Downie, S.R.; Cervi, A.C.; Jansen, R.K. Phylogenetic relationships and chromosome number evolution in Passiflora. Syst. Bot. 2006, 31, 138–150. [Google Scholar] [CrossRef]
  42. Ramsey, A.J.; Mandel, J.R. When one genome is not enough: Organellar heteroplasmy in plants. In Annual Plant Reviews Online; John Wiley & Sons, Ltd.: Hoboken, NJ, USA, 2019; pp. 619–658. [Google Scholar] [CrossRef]
  43. Gonçalves, D.J.P.; Jansen, R.K.; Ruhlman, T.A.; Mandel, J.R. Under the rug: Abandoning persistent misconceptions that obfuscate organelle evolution. Mol. Phylogenet. Evol. 2020, 151, 106903. [Google Scholar] [CrossRef] [PubMed]
  44. Feuillet, C.; MacDougal, J.M. A new infrageneric classification of Passiflora L. (Passifloraceae). Passiflora 2003, 13, 34–38. [Google Scholar]
  45. Krosnick, S.E.; Ford, A.J.; Freudenstein, J.V. Taxonomic revision of Passiflora Subgenus Tetrapathea including the monotypic genera Hollrungia and Tetrapathea (Passifloraceae), and a new species of Passiflora. Syst. Bot. 2009, 34, 375–385. [Google Scholar] [CrossRef]
  46. Muschner, V.C.; Zamberlan, P.M.; Bonatto, S.L.; Freitas, L.B. Phylogeny, biogeography and divergence times in Passiflora (Passifloraceae). Genet. Mol. Biol. 2012, 35, 1036–1043. [Google Scholar] [CrossRef]
  47. Krosnick, S.E.; Porter-Utley, K.E.; MacDougal, J.M.; Jørgensen, P.M.; McDade, L.A. New insights into the evolution of Passiflora subgenus Decaloba (Passifloraceae): Phylogenetic relationships and morphological synapomorphies. Syst. Bot. 2013, 38, 692–713. [Google Scholar] [CrossRef]
  48. Muschner, V.C.; Lorenz-Lemke, A.P.; Vecchia, M.; Bonatto, S.L.; Salzano, F.M.; Freitas, L.B. Differential organellar inheritance in Passiflora’s (Passifloraceae) subgenera. Genetica 2006, 128, 449–453. [Google Scholar] [CrossRef] [PubMed]
  49. Ulmer, T.; MacDougal, J.M. Passiflora: Passionflowers of the World, 1st ed.; Timber Press: Portland, OR, USA, 2004; p. 306. [Google Scholar]
  50. Mráček, J. Investigation of Interspecific Genome-Plastome Incompatibility in Oenothera and Passiflora. Ph.D. Thesis, Ludwig-Maximilians-Universität München, Munich, Germany, 2005. [Google Scholar]
  51. Jansen, R.K.; Ruhlman, T.A. Plastid genomes of seed plants. In Genomics of Chloroplasts and Mitochondria; Springer: Dordrecht, The Netherlands, 2012; pp. 103–126. [Google Scholar] [CrossRef]
  52. Rogalski, M.; Do Nascimento Vieira, L.; Fraga, H.P.; Guerra, M.P. Plastid genomics in horticultural species: Importance and applications for plant population genetics, evolution, and biotechnology. Front. Plant Sci. 2015, 6. [Google Scholar] [CrossRef] [PubMed]
  53. Nagata, N. Mechanisms for independent cytoplasmic inheritance of mitochondria and plastids in angiosperms. J. Plant Res. 2010, 123, 193–199. [Google Scholar] [CrossRef]
  54. Trusty, J.L.; Johnson, K.J.; Lockaby, B.G.; Goertzen, L.R. Bi-Parental cytoplasmic DNA inheritance in Wisteria (Fabaceae): Evidence from a natural experiment. Plant Cell Physiol. 2007, 48, 662–665. [Google Scholar] [CrossRef] [PubMed][Green Version]
  55. Xu, J. The inheritance of organelle genes and genomes: Patterns and mechanisms. Genome 2005, 48, 951–958. [Google Scholar] [CrossRef] [PubMed]
  56. Vanderplank, J. Passion Flowers, 2nd ed.; The MIT Press: Cambridge, MA, USA, 1996; p. 23. [Google Scholar]
  57. Boender, R. Passionflowers: A Pictorial Guide, 1st ed.; Gardners Books: Eastbourne, UK, 2019; p. 154. [Google Scholar]
  58. Chat, J.; Chalak, L.; Petit, R.J. Strict paternal inheritance of chloroplast DNA and maternal inheritance of mitochondrial DNA in intraspecific crosses of kiwifruit: Theor. Appl. Genet. 1999, 99, 314–322. [Google Scholar] [CrossRef]
  59. The Angiosperm Phylogeny Group. An update of the Angiosperm Phylogeny Group classification for the orders and families of flowering plants: APG IV. Bot. J. Linn. Soc. 2016, 18, 1–20. [Google Scholar] [CrossRef]
  60. Shrestha, B.; Weng, M.-L.; Theriot, E.C.; Gilbert, L.E.; Ruhlman, T.A.; Krosnick, S.E.; Jansen, R.K. Highly accelerated rates of genomic rearrangements and nucleotide substitutions in plastid genomes of Passiflora Subgenus Decaloba. Mol. Phylogenet. Evol. 2019, 138, 53–64. [Google Scholar] [CrossRef] [PubMed]
  61. Rodermel, S. Arabidopsis Variegation Mutants. Arab. Book 2002, 1. [Google Scholar] [CrossRef]
  62. Greiner, S.; Rauwolf, U.W.E.; Meurer, J.; Herrmann, R.G. The role of plastids in plant speciation. Mol. Ecol. 2011, 20, 671–691. [Google Scholar] [CrossRef] [PubMed]
  63. Rieseberg, L.H.; Blackman, B.K. Speciation genes in plants. Ann. Bot. 2010, 106, 439–455. [Google Scholar] [CrossRef]
  64. Bomblies, K.; Weigel, D. Hybrid necrosis: Autoimmunity as a potential gene-flow barrier in plant species. Nat. Rev. Genet. 2007, 8, 382–393. [Google Scholar] [CrossRef]
  65. Shrestha, B.; Gilbert, L.E.; Ruhlman, T.A.; Jansen, R.K. Rampant nuclear transfer and substitutions of plastid genes in Passiflora. Genome Biol. Evol. 2020, 12, 1313–1329. [Google Scholar] [CrossRef] [PubMed]
  66. Cauz-Santos, L.A.; Da Costa, Z.P.; Callot, C.; Cauet, S.; Zucchi, M.I.; Bergès, H.; Van den Berg, C.; Vieira, M.L.C. A repertory of rearrangements and the loss of an inverted repeat region in Passiflora chloroplast genomes. Genome Biol. Evol. 2020, 12, 1841–1857. [Google Scholar] [CrossRef]
  67. Thanh, N.D.; Medgyesy, P. Limited chloroplast gene transfer via recombination overcomes plastomegenome incompatibility between Nicotiana tabacum and Solanum tuberosum. Plant Mol. Biol. 1989, 12, 87–93. [Google Scholar] [CrossRef] [PubMed]
  68. Choi, J.W.; Graf, L.; Peters, A.F.; Cock, J.M.; Nishitsuji, K.; Arimoto, A.; Shoguchi, E.; Nagasato, C.; Choi, C.G.; Yoon, H.S. Organelle inheritance and genome architecture variation in isogamous brown algae. Sci. Rep. 2020, 10, 2048. [Google Scholar] [CrossRef]
  69. Rabah, S.O.; Shrestha, B.; Hajrah, N.H.; Sabir, M.J.; Alharby, H.F.; Sabir, M.J.; Alhebshi, A.M.; Sabir, J.S.M.; Gilbert, L.E.; Ruhlman, T.A.; et al. Passiflora plastome sequencing reveals widespread genomic rearrangements. J. Syst. Evol. 2019, 57, 1–14. [Google Scholar] [CrossRef]
  70. Untergasser, A.; Cutcutache, I.; Koressaar, T.; Ye, J.; Faircloth, B.C.; Remm, M.; Rozen, S.G. Primer3—New capabilities and interfaces. Nucleic Acids Res. 2012, 40, e115. [Google Scholar] [CrossRef] [PubMed]
  71. Katoh, K.; Standley, D.M. MAFFT Multiple Sequence Alignment Software Version 7: Improvements in Performance and Usability. Mol. Biol. Evol. 2013, 30, 772–780. [Google Scholar] [CrossRef] [PubMed]
Figure 1. Passiflora hybrid seeds under dissecting microscope at 10× magnification. (A) P. menispermifolia (8039) × P. menispermifolia (Sirena) progeny for comparison with interspecific hybrid in B that includes same maternal parent. (B) P. menispermifolia (8039) × P. miersii from subgenus Passiflora. (C). P. rufa × P. auriculata from subgenus Decaloba. (D) P. sphaerocarpa × P. pittieri from subgenus Astrophea. Left to right, seeds soaked in water for 24 h, seed without seed coat and embryo only.
Figure 1. Passiflora hybrid seeds under dissecting microscope at 10× magnification. (A) P. menispermifolia (8039) × P. menispermifolia (Sirena) progeny for comparison with interspecific hybrid in B that includes same maternal parent. (B) P. menispermifolia (8039) × P. miersii from subgenus Passiflora. (C). P. rufa × P. auriculata from subgenus Decaloba. (D) P. sphaerocarpa × P. pittieri from subgenus Astrophea. Left to right, seeds soaked in water for 24 h, seed without seed coat and embryo only.
Ijms 22 02278 g001
Figure 2. Agarose gels of PCR amplified target regions following digestion with restriction endonucleases from Passiflora hybrid embryos. (A) The intergenic region (rpl32-trnL) amplified from P. menispermifolia and P. miersii and their hybrid (1044) with estimated fragment sizes after NdeI digestion. (B) Lanes 2 and 4 are amplicons of rpl32-trnL for P. miersii and P. menispermifolia and lanes 3 and 5 are products after digestion with NdeI at 37 °C for 12 h. (C). Lanes 2–11 are NdeI digestion (at 37 °C for 12 h) products of amplified rpl32-trnL for 10 embryos of hybrid 1044. Lane 12 is undigested PCR product for embryo 1 of hybrid 1044 as a reference. (D) The partial coding region within rpoC1 amplified from P. rufa and P. auriculata and their hybrid progeny (2005) with estimated fragment sizes after XhoI digestion. (E) Lanes 2 and 4 are amplicons of rpoC1 for P. auriculata and P. rufa and lanes 3 and 5 are products after digestion with XhoI at 37 °C for 12 h. (F) Lanes 2–11 are XhoI digestion (at 37 °C for 12 h) products of amplified rpoC1 for 10 embryos of 2005. Lane 12 is undigested PCR product for embryo 1 of hybrid 2005 as a reference. Lane 1 in all gel images (B,C,E,F) contains one kb DNA ladder (NEB). DNA bands were separated in 1.5% agarose gel stained with RedSafeTM (INtRON Biotechnology). Abbreviations: P—Paternal, M—Maternal and B—Biparental.
Figure 2. Agarose gels of PCR amplified target regions following digestion with restriction endonucleases from Passiflora hybrid embryos. (A) The intergenic region (rpl32-trnL) amplified from P. menispermifolia and P. miersii and their hybrid (1044) with estimated fragment sizes after NdeI digestion. (B) Lanes 2 and 4 are amplicons of rpl32-trnL for P. miersii and P. menispermifolia and lanes 3 and 5 are products after digestion with NdeI at 37 °C for 12 h. (C). Lanes 2–11 are NdeI digestion (at 37 °C for 12 h) products of amplified rpl32-trnL for 10 embryos of hybrid 1044. Lane 12 is undigested PCR product for embryo 1 of hybrid 1044 as a reference. (D) The partial coding region within rpoC1 amplified from P. rufa and P. auriculata and their hybrid progeny (2005) with estimated fragment sizes after XhoI digestion. (E) Lanes 2 and 4 are amplicons of rpoC1 for P. auriculata and P. rufa and lanes 3 and 5 are products after digestion with XhoI at 37 °C for 12 h. (F) Lanes 2–11 are XhoI digestion (at 37 °C for 12 h) products of amplified rpoC1 for 10 embryos of 2005. Lane 12 is undigested PCR product for embryo 1 of hybrid 2005 as a reference. Lane 1 in all gel images (B,C,E,F) contains one kb DNA ladder (NEB). DNA bands were separated in 1.5% agarose gel stained with RedSafeTM (INtRON Biotechnology). Abbreviations: P—Paternal, M—Maternal and B—Biparental.
Ijms 22 02278 g002
Figure 3. Agarose gels of PCR amplified target regions following digestion with restriction endonucleases from Passiflora hybrid seedlings and older leaves. (A) The intergenic region (psbA-matK) amplified from P. lancetillensis and P. microstipula and their hybrids (2031) with estimated fragment sizes after SpeI digestion. (B) Lanes 2 and 4 are amplicons of psbA-matK from P. microstipula and P. lancetillensis and lanes 3 and 5 are products after SpeI digestion at 37 °C for 12 h. Lanes 6–11 are SpeI digested (37 °C for 12 h) PCR products amplified from hybrid seedlings (2031). For each seedling, the digested PCR products are shown for cotyledon (coty) and the first leaf (1st). Lane 12, undigested PCR product of 2031 seedling 1 (cotyledon) as a reference. (C) Lanes 2–5, SpeI digestion products using mature leaves for four hybrid (2031) individuals (Ind.) that were not included in the seedlings analyses. Lane 6, undigested PCR product for 2031 Ind.1. (D) The partial coding region within rpoB amplified from P. misera 9023 and P. misera 9355 and their hybrid progeny (2027) with estimated fragment sizes after EarI digestion. (E) Lanes 2 and 4 are amplicons of the rpoB fragment for P. misera 9355 and P. misera 9023 and lanes 3 and 5 are products after EarI digestion at 37 °C for 12 h. (F) Lanes 2–11, EarI digested (37 °C for 12 h) PCR product for five hybrid seedlings (2027) of P. misera 9023 × P. misera 9355. For each seedling, the digested products are shown for cotyledon (coty) and the first leaf (1st). Lane 12, undigested PCR product amplified from 2027 seedling 1 (cotyledon). (G) Lanes 2–5, EarI digested PCR products for two additional hybrid seedlings of 2027, in the same order as F. (H) Lanes 2–8, EarI digested PCR products for seedling 6 of 2027 at different developmental stages, coty—cotyledons, 1st—first leaf, 2nd—second leaf, 3rd—third leaf, 4th—fourth leaf, 5th—fifth leaf, 20th—20th leaf. Lane 9, undigested PCR product of 2027 seedling 6 (20th leaf) as a reference. Lane 1 in all gel images (B,C,E,H) contains one kb DNA ladder (NEB). DNA bands were separated in 2% agarose gel and visualized with RedSafeTM (INtRON Biotechnology). Abbreviations: P—Paternal, M—Maternal and B—Biparental.
Figure 3. Agarose gels of PCR amplified target regions following digestion with restriction endonucleases from Passiflora hybrid seedlings and older leaves. (A) The intergenic region (psbA-matK) amplified from P. lancetillensis and P. microstipula and their hybrids (2031) with estimated fragment sizes after SpeI digestion. (B) Lanes 2 and 4 are amplicons of psbA-matK from P. microstipula and P. lancetillensis and lanes 3 and 5 are products after SpeI digestion at 37 °C for 12 h. Lanes 6–11 are SpeI digested (37 °C for 12 h) PCR products amplified from hybrid seedlings (2031). For each seedling, the digested PCR products are shown for cotyledon (coty) and the first leaf (1st). Lane 12, undigested PCR product of 2031 seedling 1 (cotyledon) as a reference. (C) Lanes 2–5, SpeI digestion products using mature leaves for four hybrid (2031) individuals (Ind.) that were not included in the seedlings analyses. Lane 6, undigested PCR product for 2031 Ind.1. (D) The partial coding region within rpoB amplified from P. misera 9023 and P. misera 9355 and their hybrid progeny (2027) with estimated fragment sizes after EarI digestion. (E) Lanes 2 and 4 are amplicons of the rpoB fragment for P. misera 9355 and P. misera 9023 and lanes 3 and 5 are products after EarI digestion at 37 °C for 12 h. (F) Lanes 2–11, EarI digested (37 °C for 12 h) PCR product for five hybrid seedlings (2027) of P. misera 9023 × P. misera 9355. For each seedling, the digested products are shown for cotyledon (coty) and the first leaf (1st). Lane 12, undigested PCR product amplified from 2027 seedling 1 (cotyledon). (G) Lanes 2–5, EarI digested PCR products for two additional hybrid seedlings of 2027, in the same order as F. (H) Lanes 2–8, EarI digested PCR products for seedling 6 of 2027 at different developmental stages, coty—cotyledons, 1st—first leaf, 2nd—second leaf, 3rd—third leaf, 4th—fourth leaf, 5th—fifth leaf, 20th—20th leaf. Lane 9, undigested PCR product of 2027 seedling 6 (20th leaf) as a reference. Lane 1 in all gel images (B,C,E,H) contains one kb DNA ladder (NEB). DNA bands were separated in 2% agarose gel and visualized with RedSafeTM (INtRON Biotechnology). Abbreviations: P—Paternal, M—Maternal and B—Biparental.
Ijms 22 02278 g003
Figure 4. Passiflora hybrid seedling phenotypes. (A,B) P. organensis x P. biflora hybrids. The hybrids displayed green cotyledons with white (A) or pale green (B) leaves; all hybrids died within a few weeks. (C,D) P. rufa × P. auriculata hybrids. The hybrids produce white/pale cotyledons (C) or hypocotyl (D) and die before developing leaves. (E) P. microstipula × P. lancetillensis hybrid. Variegation was observed in cotyledons. (F) P. lancetillensis × P. microstipula. Variegation was observed in cotyledons as well as few early leaves in the seedling. (G,H) P. misera (9023) × P. misera (9335) hybrids. Variegation was noted in cotyledons and occasionally in first leaf in some seedlings. The variegation phenotype often coordinates with vegetative segregation of biparentally inherited plastids detected through molecular analysis. Agarose gel images for seedlings 1 and 6 in Figure 3F,H are associated with seedling images G and H in this figure, respectively.
Figure 4. Passiflora hybrid seedling phenotypes. (A,B) P. organensis x P. biflora hybrids. The hybrids displayed green cotyledons with white (A) or pale green (B) leaves; all hybrids died within a few weeks. (C,D) P. rufa × P. auriculata hybrids. The hybrids produce white/pale cotyledons (C) or hypocotyl (D) and die before developing leaves. (E) P. microstipula × P. lancetillensis hybrid. Variegation was observed in cotyledons. (F) P. lancetillensis × P. microstipula. Variegation was observed in cotyledons as well as few early leaves in the seedling. (G,H) P. misera (9023) × P. misera (9335) hybrids. Variegation was noted in cotyledons and occasionally in first leaf in some seedlings. The variegation phenotype often coordinates with vegetative segregation of biparentally inherited plastids detected through molecular analysis. Agarose gel images for seedlings 1 and 6 in Figure 3F,H are associated with seedling images G and H in this figure, respectively.
Ijms 22 02278 g004
Table 1. Plastid inheritance in embryos of Passiflora hybrids. Grey highlight indicates reciprocal crosses.
Table 1. Plastid inheritance in embryos of Passiflora hybrids. Grey highlight indicates reciprocal crosses.
SubgenusCross (♀ × ♂)AccessionInheritance
PaternalMaternalBiparental
PassifloraP. retipetala × P. oerstedii101510--
P. racemosa × P. oerstedii107410--
P. quadrangularis × P. oerstedii107510--
P. sprucei × P. oerstedii10148--
P. oerstedii × P. sprucei106310--
P. nephrodes × P. sprucei106191-
P. choconiana × P. sprucei1062-55
P. speciosa × P. sprucei106010--
P. hastifolia × P. miersii100310--
P. oerstedii × P. miersii104110--
P. menispermifolia (8039) × P. miersii1044442
P. garckei × P. choconiana101910--
P. quadrangularis × P. garckei10541--
P. oerstedii × P. nephrodes100210--
P. menispermifolia (9224) × P. oerstedii1004 10-
P. oerstedii × P. menispermifolia (9244)100610--
P. oerstedii × P. menispermifolia (8039)1031--10
P. vitifolia × P. hastifolia103210--
P. vitifolia × P. quadrangularis107810--
P. vitifolia × P. edulis107710--
P. vitifolia × P. speciosa105310--
P. menispermifolia (8039) × P. hastifolia10284-6
P. hastifolia × P. menispermifolia (8039)1030--10
P. retipetala × P. amethystina107210--
P. retipetala × P. menispermifolia (Sirena)10369--
P. nephrodes × P. choconiana1012-9-
P. choconiana × P. nephrodes101310--
P. menispermifolia (8039) × P. nephrodes1059-37
P. choconiana × P. menispermifolia (9244)10089-1
P. choconiana × P. menispermifolia (Sirena)103310--
P. kermesina × P. miersii104091-
P. kermesina × P. hastifolia102310--
P. sprucei × P. retipetala104610--
P. menispermifolia (8039) × P. resticulata1068-37
P. nitida × P. quadrangularis108037-
P. speciosa × P. polsea107310--
P. miersii × P. amethystina107110--
DecalobaP. rufra × P. jatunsachensis2001-19
P. rufra × P. auriculata2005-73
P. organensis × P. biflora2014-10-
P. misera (9023) × P. misera (9335)2027-36
P. microstipula × P. lancetillensis2028-10-
P. lancetillensis × P. microstipula20312-8
AstropheaP. sphaerocarpa × P. pittieri300281-
Table 2. Plastid inheritance in seedlings and/or mature plants of Passiflora hybrids. Asterisk denotes seedlings that occasionally produced cotyledons and died. Sampling from mature plant is highlighted in grey. Dash indicates the tissues were not sampled for plastid assessment. Abbreviations: P—Paternal, M—Maternal, B—Biparental and NA—tissues not available.
Table 2. Plastid inheritance in seedlings and/or mature plants of Passiflora hybrids. Asterisk denotes seedlings that occasionally produced cotyledons and died. Sampling from mature plant is highlighted in grey. Dash indicates the tissues were not sampled for plastid assessment. Abbreviations: P—Paternal, M—Maternal, B—Biparental and NA—tissues not available.
SubgenusCross (♀ × ♂)AccessionTissues
EmbryosSeedlingsMature Plant Leaf
Cotyledons1st Leaf
PassifloraP. vitifolia × P. speciosa105310P5P5P-
P. vitifolia × P. edulis107710P5P5P-
P. retipetala × P. amethystina107210P4P4P-
P. miersii × P. amethystina107110P2P2P-
P. vitifolia × P. quadrangularis107810P2P2P-
P. menispermifolia (8039) × P. hastifolia10284P/6B3P-3P
P. speciosa × P. sprucei106010P3P3P-
P. nephrodes × P. sprucei10619P/1M1P1P-
P. oerstedii × P. sprucei106310PNANA2P
P. kermesina × P. miersii10409P/1MNANA2P
DecalobaP. organensis × P. biflora201410M6M6M-
P. rufra × P. auriculata *20057M/3B1M/1P/1BNANA
P. microstipula × P. lancetillensis202810M5M5M-
P. lancetillensis × P. microstipula20312P/8B3B2B/1M1M
P. lancetillensis × P. microstipula2031NANANA3M/1P
P. misera (9335) × P. misera (9023)2018NANANA3M
P. misera (9023) × P. misera (9335)20273M/6B2M/5B4M/3B6M/1P
Publisher’s Note: MDPI stays neutral with regard to jurisdictional claims in published maps and institutional affiliations.

Share and Cite

MDPI and ACS Style

Shrestha, B.; Gilbert, L.E.; Ruhlman, T.A.; Jansen, R.K. Clade-Specific Plastid Inheritance Patterns Including Frequent Biparental Inheritance in Passiflora Interspecific Crosses. Int. J. Mol. Sci. 2021, 22, 2278. https://doi.org/10.3390/ijms22052278

AMA Style

Shrestha B, Gilbert LE, Ruhlman TA, Jansen RK. Clade-Specific Plastid Inheritance Patterns Including Frequent Biparental Inheritance in Passiflora Interspecific Crosses. International Journal of Molecular Sciences. 2021; 22(5):2278. https://doi.org/10.3390/ijms22052278

Chicago/Turabian Style

Shrestha, Bikash, Lawrence E. Gilbert, Tracey A. Ruhlman, and Robert K. Jansen. 2021. "Clade-Specific Plastid Inheritance Patterns Including Frequent Biparental Inheritance in Passiflora Interspecific Crosses" International Journal of Molecular Sciences 22, no. 5: 2278. https://doi.org/10.3390/ijms22052278

APA Style

Shrestha, B., Gilbert, L. E., Ruhlman, T. A., & Jansen, R. K. (2021). Clade-Specific Plastid Inheritance Patterns Including Frequent Biparental Inheritance in Passiflora Interspecific Crosses. International Journal of Molecular Sciences, 22(5), 2278. https://doi.org/10.3390/ijms22052278

Note that from the first issue of 2016, this journal uses article numbers instead of page numbers. See further details here.

Article Metrics

Back to TopTop