Cooperative Role of Thrombopoietin and Vascular Endothelial Growth Factor-A in the Progression of Liver Cirrhosis to Hepatocellular Carcinoma
Abstract
1. Introduction
2. Results
2.1. THPO and THPOR Transcript Expression in HCC and in Paired LC Tissues
2.2. THPO and THPOR Protein Expression in HCC and in Paired LC Tissues
2.3. VEGF-A, VEGFR-1, and VEGFR-2 Transcript Expression in HCC and Paired LC Tissues
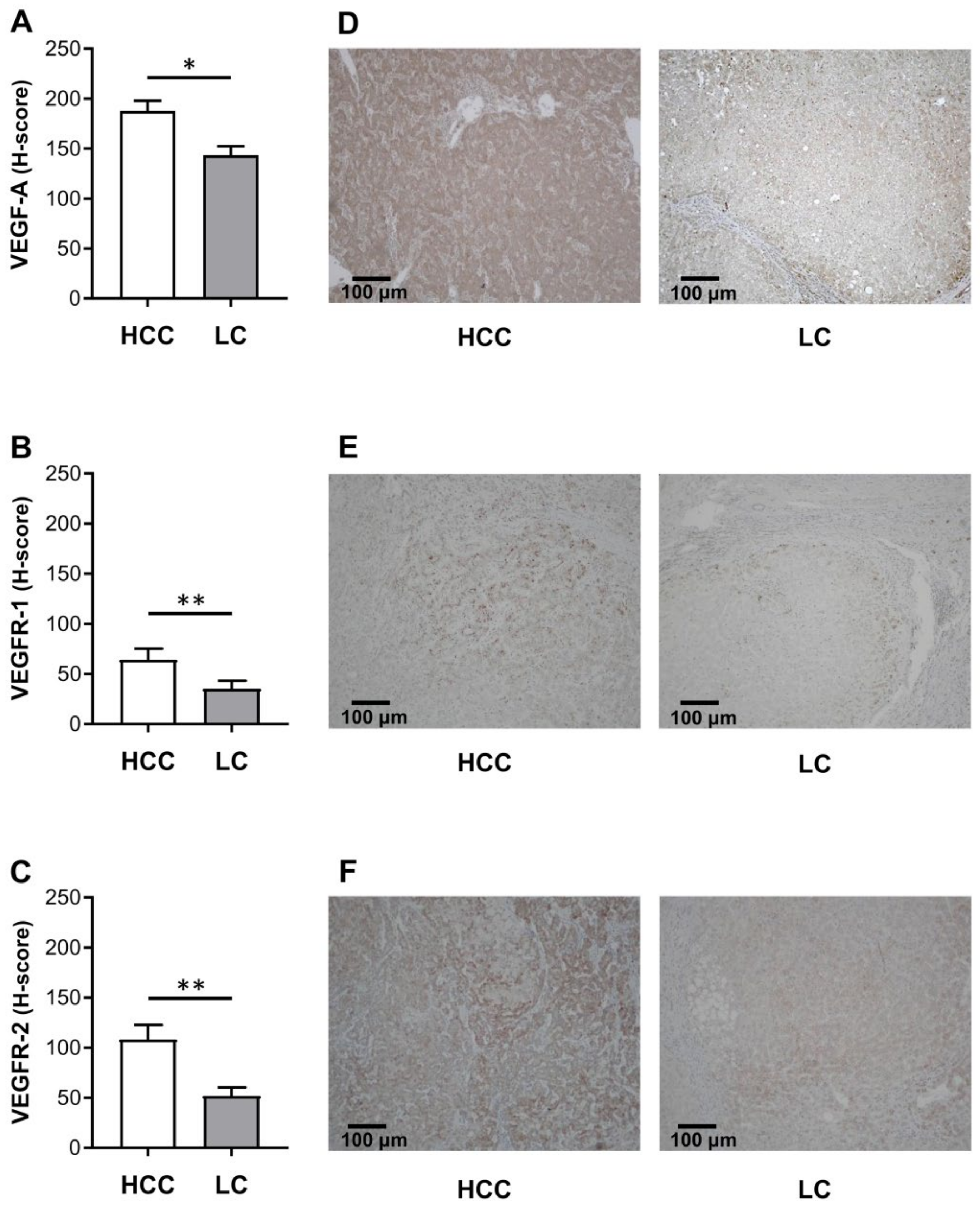
2.4. VEGF-A, VEGFR-1 and VEGFR-2 Protein Expression in HCC and in Paired LC Tissues
2.5. Interrelations between Expression of THPO, VEGF-A, and THPOR in HCC and LC
2.6. HIF-1α mRNA and Protein Expression in HCC and in Paired LC Tissues
2.7. THPO and VEGF-A Cross-Regulation in HCC Cell Lines Grown in Hypoxic Conditions
3. Discussion
4. Materials and Methods
4.1. Patients and Tissue Samples
4.2. Cell Line and Cell Culture
4.3. THPO and VEGF-A Silencing and Interaction under Hipoxic Conditions
4.4. Quantitative Reverse Transcription-Polymerase Chain Reaction (qRT-PCR)
4.5. Immunohistochemistry (IHC)
4.6. Evaluation of Staining
4.7. ELISA Assay
4.8. Western Blot Analysis
4.9. Statistical Analysis
Author Contributions
Funding
Institutional Review Board Statement
Informed Consent Statement
Data Availability Statement
Acknowledgments
Conflicts of Interest
Abbreviations
| CLD | Chronic liver diseases |
| HCC | Hepatocellular carcinoma |
| HIF | Hypoxia-inducible factor |
| HRP | Horseradish peroxidase |
| IHC | Immunohistochemistry |
| LC | Liver cirrhosis |
| qRT-PCR | Quantitative reverse transcription-polymerase chain reaction |
| R | Receptor |
| RIN | RNA integrity number |
| siRNA | Small interfering RNA |
| THPO | Thrombopoietin |
| VEGF | Vascular endothelial growth factor |
References
- Forner, A.; Reig, M.; Bruix, J. Hepatocellular carcinoma. Lancet 2018, 391, 1301–1314. [Google Scholar] [CrossRef]
- Desai, J.R.; Ochoa, S.; Prins, P.A.; He, A.R. Systemic therapy for advanced hepatocellular carcinoma: An update. J. Gastrointest. Oncol. 2017, 8, 243–255. [Google Scholar] [CrossRef] [PubMed]
- Yu, L.X.; Ling, Y.; Wang, H.Y. Role of nonresolving inflammation in hepatocellular carcinoma development and progression. NPJ Precis. Oncol. 2018, 2, 6. [Google Scholar] [CrossRef]
- Qian, S.; Fu, F.; Li, W.; Chen, Q.; de Sauvage, F.J. Primary role of the liver in thrombopoietin production shown by tissue-specific knockout. Blood 1998, 92, 2189–2191. [Google Scholar] [CrossRef]
- Kaushansky, K. Thrombopoietin: The primary regulator of platelet production. Blood 1995, 86, 419–431. [Google Scholar] [CrossRef] [PubMed]
- Montrucchio, G.; Brizzi, M.F.; Calosso, G.; Marengo, S.; Pegoraro, L.; Camussi, G. Effects of recombinant human megakaryocyte growth and development factor on platelet activation. Blood 1996, 87, 2762–2768. [Google Scholar] [CrossRef]
- Broudy, V.C.; Lin, N.L.; Kaushansky, K. Thrombopoietin (c-mpl ligand) acts synergistically with erythropoietin, stem cell factor, and interleukin-11 to enhance murine megakaryocyte colony growth and increases megakaryocyte ploidy in vitro. Blood 1995, 85, 1719–1726. [Google Scholar] [CrossRef] [PubMed]
- Kirito, K.; Fox, N.; Komatsu, N.; Kaushansky, K. Thrombopoietin enhances expression of vascular endothelial growth factor (VEGF) in primitive hematopoietic cells through induction of HIF-1alpha. Blood 2005, 105, 4258–4263. [Google Scholar] [CrossRef] [PubMed]
- Kaushansky, K. Thrombopoietin and its receptor in normal and neoplastic hematopoiesis. Thromb. J. 2016, 14, 40. [Google Scholar] [CrossRef]
- Brizzi, M.F.; Battaglia, E.; Montrucchio, G.; Dentelli, P.; Del Sorbo, L.; Garbarino, G.; Pegoraro, L.; Camussi, G. Thrombopoietin stimulates endothelial cell motility and neoangiogenesis by a platelet-activating factor-dependent mechanism. Circ. Res. 1999, 84, 785–796. [Google Scholar] [CrossRef] [PubMed]
- Cardier, J.E. Effects of megakaryocyte growth and development factor (thrombopoietin) on liver endothelial cells in vitro. Microvasc. Res. 1999, 58, 108–113. [Google Scholar] [CrossRef] [PubMed]
- Schmelzer, E.; Deiwick, A.; Bruns, H.; Fiegel, H.C.; Bader, A. Thrombopoietin is a growth factor for rat hepatic progenitors. Eur. J. Gastroenterol. Hepatol. 2008, 20, 209–216. [Google Scholar] [CrossRef]
- Sasaki, Y.; Takahashi, T.; Miyazaki, H.; Matsumoto, A.; Kato, T.; Nakamura, K.; Iho, S.; Okuno, Y.; Nakao, K. Production of thrombopoietin by human carcinomas and its novel isoforms. Blood 1999, 94, 1952–1960. [Google Scholar] [CrossRef]
- Yan, M.; Jurasz, P. The role of platelets in the tumor microenvironment: From solid tumors to leukemia. Biochim. Biophys. Acta 2016, 1863, 392–400. [Google Scholar] [CrossRef]
- Wendling, F.; Maraskovsky, E.; Debili, N.; Florindo, C.; Teepe, M.; Titeux, M.; Methia, N.; Breton-Gorius, J.; Cosman, D.; Vainchenker, W. cMpl ligand is a humoral regulator of megakaryocytopoiesis. Nature 1994, 369, 571–574. [Google Scholar] [CrossRef]
- Romanelli, R.G.; Petrai, I.; Robino, G.; Efsen, E.; Novo, E.; Bonacchi, A.; Pagliai, G.; Grossi, A.; Parola, M.; Navari, N.; et al. Thrombopoietin stimulates migration and activates multiple signaling pathways in hepatoblastoma cells. Am. J. Physiol. Gastrointest. Liver Physiol. 2006, 290, G120–G128. [Google Scholar] [CrossRef] [PubMed][Green Version]
- Ferrara, N.; Gerber, H.P.; LeCouter, J. The biology of VEGF and its receptors. Nat. Med. 2003, 9, 669–676. [Google Scholar] [CrossRef] [PubMed]
- Auguste, P.; Lemiere, S.; Larrieu-Lahargue, F.; Bikfalvi, A. Molecular mechanisms of tumor vascularization. Crit. Rev. Oncol. Hematol. 2005, 54, 53–61. [Google Scholar] [CrossRef] [PubMed]
- Carmeliet, P. Angiogenesis in health and disease. Nat. Med. 2003, 9, 653–660. [Google Scholar] [CrossRef] [PubMed]
- Goel, H.L.; Mercurio, A.M. VEGF targets the tumour cell. Nat. Rev. Cancer 2013, 13, 871–882. [Google Scholar] [CrossRef] [PubMed]
- Guo, Y.; Xiao, Z.; Yang, L.; Gao, Y.; Zhu, Q.; Hu, L.; Huang, D.; Xu, Q. Hypoxia-inducible factors in hepatocellular carcinoma (Review). Oncol. Rep. 2020, 43, 3–15. [Google Scholar] [CrossRef] [PubMed]
- Columbyova, L.; Loda, M.; Scadden, D.T. Thrombopoietin receptor expression in human cancer cell lines and primary tissues. Cancer Res. 1995, 55, 3509–3512. [Google Scholar] [PubMed]
- Bobik, R.; Hong, Y.; Breier, G.; Martin, J.F.; Erusalimsky, J.D. Thrombopoietin stimulates VEGF release from c-Mpl-expressing cell lines and haematopoietic progenitors. FEBS Lett. 1998, 423, 10–14. [Google Scholar] [CrossRef]
- Shibuya, M. Vascular Endothelial Growth Factor (VEGF) and Its Receptor (VEGFR) Signaling in Angiogenesis: A Crucial Target for Anti- and Pro-Angiogenic Therapies. Genes Cancer 2011, 2, 1097–1105. [Google Scholar] [CrossRef]
- Cardier, J.E.; Dempsey, J. Thrombopoietin and its receptor, c-mpl, are constitutively expressed by mouse liver endothelial cells: Evidence of thrombopoietin as a growth factor for liver endothelial cells. Blood 1998, 91, 923–929. [Google Scholar] [CrossRef] [PubMed]
- Riehle, K.J.; Dan, Y.Y.; Campbell, J.S.; Fausto, N. New concepts in liver regeneration. J. Gastroenterol. Hepatol. 2011, 26 (Suppl. 1), 203–212. [Google Scholar] [CrossRef]
- Campagnolo, L.; Telesca, C.; Massimiani, M.; Stuhlmann, H.; Angelico, M.; Lenci, I.; Manzia, T.M.; Tariciotti, L.; Lehmann, G.; Baiocchi, L. Different expression of VEGF and EGFL7 in human hepatocellular carcinoma. Dig. Liver Dis. 2016, 48, 76–80. [Google Scholar] [CrossRef]
- Amarapurkar, A.D.; Amarapurkar, D.N.; Vibhav, S.; Patel, N.D. Angiogenesis in chronic liver disease. Ann. Hepatol. 2007, 6, 170–173. [Google Scholar] [CrossRef]
- Lichtenberger, B.M.; Tan, P.K.; Niederleithner, H.; Ferrara, N.; Petzelbauer, P.; Sibilia, M. Autocrine VEGF signaling synergizes with EGFR in tumor cells to promote epithelial cancer development. Cell 2010, 140, 268–279. [Google Scholar] [CrossRef]
- Li, T.; Zhu, Y.; Qin, C.Y.; Yang, Z.; Fang, A.; Xu, S.; Ren, W. Expression and prognostic significance of vascular endothelial growth factor receptor 1 in hepatocellular carcinoma. J. Clin. Pathol. 2012, 65, 808–814. [Google Scholar] [CrossRef]
- Schwartz, J.D.; Rowinsky, E.K.; Youssoufian, H.; Pytowski, B.; Wu, Y. Vascular endothelial growth factor receptor-1 in human cancer: Concise review and rationale for development of IMC-18F1 (Human antibody targeting vascular endothelial growth factor receptor-1). Cancer 2010, 116, 1027–1032. [Google Scholar] [CrossRef] [PubMed]
- Peng, S.; Wang, Y.; Peng, H.; Chen, D.; Shen, S.; Peng, B.; Chen, M.; Lencioni, R.; Kuang, M. Autocrine vascular endothelial growth factor signaling promotes cell proliferation and modulates sorafenib treatment efficacy in hepatocellular carcinoma. Hepatology 2014, 60, 1264–1277. [Google Scholar] [CrossRef] [PubMed]
- Yoshida, K.; Kirito, K.; Yongzhen, H.; Ozawa, K.; Kaushansky, K.; Komatsu, N. Thrombopoietin (TPO) regulates HIF-1alpha levels through generation of mitochondrial reactive oxygen species. Int. J. Hematol. 2008, 88, 43–51. [Google Scholar] [CrossRef]
- Zimna, A.; Kurpisz, M. Hypoxia-Inducible Factor-1 in Physiological and Pathophysiological Angiogenesis: Applications and Therapies. Biomed. Res. Int. 2015, 2015, 549412. [Google Scholar] [CrossRef] [PubMed]
- Tordjman, R.; Ortéga, N.; Coulombel, L.; Plouët, J.; Roméo, P.H.; Lemarchandel, V. Neuropilin-1 is expressed on bone marrow stromal cells: A novel interaction with hematopoietic cells? Blood 1999, 94, 2301–2309. [Google Scholar] [CrossRef]
- Ramakrishna, G.; Rastogi, A.; Trehanpati, N.; Sen, B.; Khosla, R.; Sarin, S.K. From cirrhosis to hepatocellular carcinoma: New molecular insights on inflammation and cellular senescence. Liver Cancer 2013, 2, 367–383. [Google Scholar] [CrossRef]
- Mossenta, M.; Busato, D.; Baboci, L.; Cintio, F.D.; Toffoli, G.; Bo, M.D. New Insight into Therapies Targeting Angiogenesis in Hepatocellular Carcinoma. Cancers 2019, 11, 1086. [Google Scholar] [CrossRef]
- Demetri, G.D. Targeted approaches for the treatment of thrombocytopenia. Oncologist 2001, 6 (Suppl. 5), 15–23. [Google Scholar] [CrossRef]
- Qureshi, K.; Patel, S.; Meillier, A. The Use of Thrombopoietin Receptor Agonists for Correction of Thrombocytopenia prior to Elective Procedures in Chronic Liver Diseases: Review of Current Evidence. Int. J. Hepatol. 2016, 2016, 1802932. [Google Scholar] [CrossRef]
- Wang, X.; Haylock, D.; Hu, C.S.; Kowalczyk, W.; Jiang, T.; Qiu, J.; Mosoyan, G.; He, W.; Marshall, N.; Mascarenhas, J.; et al. A thrombopoietin receptor antagonist is capable of depleting myelofibrosis hematopoietic stem and progenitor cells. Blood 2016, 127, 3398–3409. [Google Scholar] [CrossRef] [PubMed]
- Vandesompele, J.; De Preter, K.; Pattyn, F.; Poppe, B.; Van Roy, N.; De Paepe, A.; Speleman, F. Accurate normalization of real-time quantitative RT-PCR data by geometric averaging of multiple internal control genes. Genome Biol. 2002, 3, 1–12. [Google Scholar] [CrossRef] [PubMed]










| Characteristics | All Patients (n = 26) |
|---|---|
| Gender, male/female, n | 22/4 |
| Age (years), mean ± SD | 61.8 ± 7.8 |
| Platelet count (109/L), mean ± SD | 118 ± 76 |
| Albumin (g/dL), mean ± SD | 3.45 ± 0.61 |
| Bilirubin (mg/dL), mean ± SD | 2.24 ± 2.81 |
| Creatinine (mg/dL), mean ± SD | 0.91 ± 0.21 |
| INR, mean ± SD | 1.24 ± 1.27 |
| AST (UI/mL), mean ± SD | 73 ± 58 |
| ALT (UI/mL), mean ± SD | 52 ± 36 |
| Child–Turcotte–Pugh score | n |
| A | 14 |
| B | 9 |
| C | 3 |
| MELD, mean ± SD | 11 ± 5 |
| Etiology | n |
| Viral hepatitis (HBV, HCV) | 15 |
| Alcohol-toxic | 9 |
| Cryptogenic | 2 |
| Surgical data | n |
| Partial hepatectomy | 11 |
| Liver transplantation | 15 |
| Tumor size and vascular invasion (T) | n |
| T1 | 6 |
| T2 | 15 |
| T3 | 5 |
| Grading (G) | n |
| G1 | 1 |
| G1/G2 | 2 |
| G2 | 17 |
| G2/G3 | 1 |
| G3 | 4 |
| G4 | 1 |
| BCLC stage | n |
| A | 9 |
| B | 4 |
| C | 9 |
| D | 4 |
Publisher’s Note: MDPI stays neutral with regard to jurisdictional claims in published maps and institutional affiliations. |
© 2021 by the authors. Licensee MDPI, Basel, Switzerland. This article is an open access article distributed under the terms and conditions of the Creative Commons Attribution (CC BY) license (http://creativecommons.org/licenses/by/4.0/).
Share and Cite
Vizio, B.; Bosco, O.; David, E.; Caviglia, G.P.; Abate, M.L.; Schiavello, M.; Pucci, A.; Smedile, A.; Paraluppi, G.; Romagnoli, R.; et al. Cooperative Role of Thrombopoietin and Vascular Endothelial Growth Factor-A in the Progression of Liver Cirrhosis to Hepatocellular Carcinoma. Int. J. Mol. Sci. 2021, 22, 1818. https://doi.org/10.3390/ijms22041818
Vizio B, Bosco O, David E, Caviglia GP, Abate ML, Schiavello M, Pucci A, Smedile A, Paraluppi G, Romagnoli R, et al. Cooperative Role of Thrombopoietin and Vascular Endothelial Growth Factor-A in the Progression of Liver Cirrhosis to Hepatocellular Carcinoma. International Journal of Molecular Sciences. 2021; 22(4):1818. https://doi.org/10.3390/ijms22041818
Chicago/Turabian StyleVizio, Barbara, Ornella Bosco, Ezio David, Gian Paolo Caviglia, Maria Lorena Abate, Martina Schiavello, Angela Pucci, Antonina Smedile, Gianluca Paraluppi, Renato Romagnoli, and et al. 2021. "Cooperative Role of Thrombopoietin and Vascular Endothelial Growth Factor-A in the Progression of Liver Cirrhosis to Hepatocellular Carcinoma" International Journal of Molecular Sciences 22, no. 4: 1818. https://doi.org/10.3390/ijms22041818
APA StyleVizio, B., Bosco, O., David, E., Caviglia, G. P., Abate, M. L., Schiavello, M., Pucci, A., Smedile, A., Paraluppi, G., Romagnoli, R., Lupia, E., Bellone, G., & Montrucchio, G. (2021). Cooperative Role of Thrombopoietin and Vascular Endothelial Growth Factor-A in the Progression of Liver Cirrhosis to Hepatocellular Carcinoma. International Journal of Molecular Sciences, 22(4), 1818. https://doi.org/10.3390/ijms22041818

