The Postnatal Offspring of Finasteride-Treated Male Rats Shows Hyperglycaemia, Elevated Hepatic Glycogen Storage and Altered GLUT2, IR, and AR Expression in the Liver
Abstract
1. Introduction
2. Results
2.1. Percentage of PAS-Positive Glycogen Area in the Liver
2.1.1. Glycogen Detection in Histological Section of the Liver Stained with PAS
2.1.2. Percentage of PAS-Positive Glycogen Area in Whole Hepatic Lobules, without Dividing the Liver Parenchyma into Zones
2.1.3. Percentage of PAS-Positive Glycogen Area in the Zones of the Hepatic Lobules
2.2. Relationship between Immunoexpression of GLUT-2 and Percentage of PAS-Positive Glycogen Area
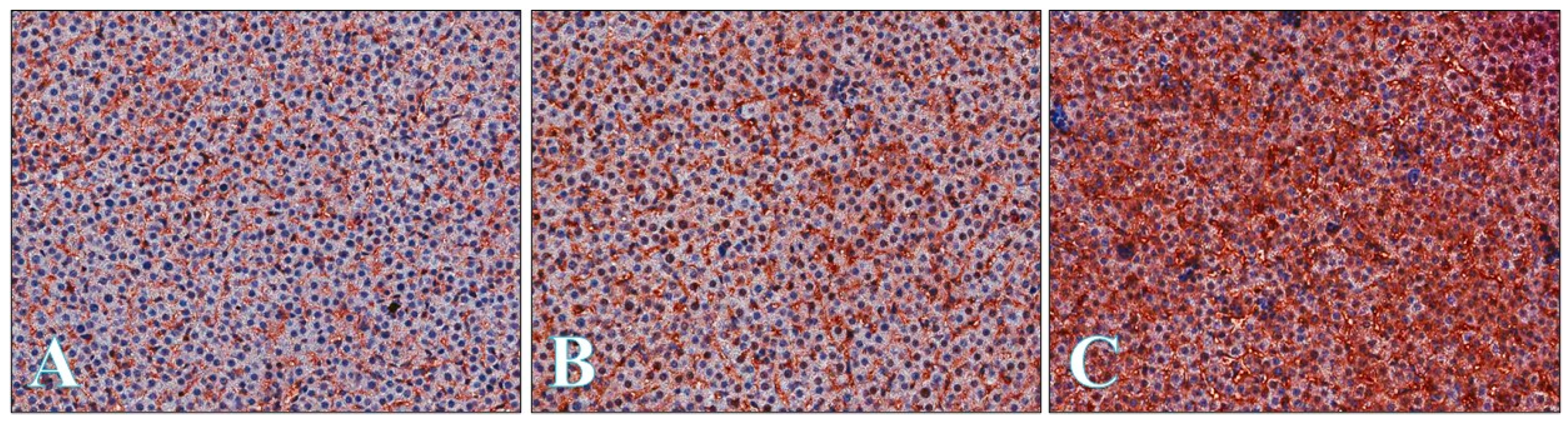
2.3. qRT-PCR and IHC Analysis of GLUT-2, IR, and AR Expression
2.3.1. GLUT-2, IR, and AR mRNA Expression without Dividing into Age Groups
2.3.2. GLUT-2, IR, and AR Expression with Dividing into Age Groups
2.4. Relationship between Serum Androgen Levels and GLUT-2, IR, and AR Transcripts
2.5. Serum Glucose Level and It Correlation with GLUT-2 mRNA
3. Discussion
4. Experimental Section
4.1. Animals
4.2. Generation of Filial Animals
4.3. Histological and Immunohistological Methods
4.4. Quantitative Computer Image Analysis Histological Slides
4.5. Quantitative Real-Time Reverse Transcription PCR (qRT-PCR) Analysis
4.6. Hormone Assays
4.7. Glucose Assesment in Blood
4.8. Statistical Analysis
5. Conclusions
Author Contributions
Funding
Institutional Review Board Statement
Data Availability Statement
Acknowledgments
Conflicts of Interest
Abbreviations
| 5αR1−/− | 5α-reductase type 1-knockout mice |
| 5αR2−/− | 5α-reductase type 2-knockout mice |
| ACACA | acetyl-CoA carboxylase alpha |
| AGA | androgenic alopecia |
| Ala | alanine |
| ALIOS | American lifestyle-induced obesity syndrome |
| AR | androgen receptors |
| ARE | androgen response elements |
| BPH | benign prostatic hyperplasia |
| DHT | dihydrotestosterone |
| E2 | estradiol |
| F1:Control | male rats born from females fertilized by untreated control male rats |
| F1:Fin | male rats born from females fertilized by finasteride-treated male rats |
| FASN | fatty acid synthase |
| GK | glucokinase |
| GLUT2 | glucose transporter 2 |
| HFD | high-fat diet |
| IR | insulin receptor |
| MetS | metabolic syndromes |
| PAS | Periodic Acid Schiff |
| PC | pyruvate carboxylase |
| PND | postnatal day |
| PPARG | peroxisome proliferator activated receptor gamma |
| PTP1B | protein-tyrosine phosphatase 1B |
| T | testosterone |
| T2D | type 2 diabetes |
Appendix A. Supplementary Data Concerning Lipid Metabolism within the Liver of F1:Fin Rats


| F1:Control | F1:Fin | |
|---|---|---|
| AR | AR | |
| ACACA | rs = −0.3423 p = 0.179 | rs = −0.2670 p = 0.284 |
| FASN | rs = −0.4243 p = 0.043 | rs = −0.4717 p = 0.031 |
| PPARG | rs = 0.890 p = 0.0000 | rs = 0.7397 p = 0.000024 |
References
- Kanungo, S.; Wells, K.; Tribett, T.; El-Gharbawy, A. Glycogen Metabolism and Glycogen Storage Disease. Ann. Transl. Med. 2018, 6, 474. [Google Scholar] [CrossRef] [PubMed]
- Chen, J.Q.; Terry, R.; Brown, T.R.; Russo, J. Regulation of Energy Metabolism Pathways by Estrogens and Estrogenic Chemicals and Potential Implications in Obesity Associated with Increased Exposure to Endocrine Disruptors. Biochim. Biophys. Acta 2009, 1793, 1128–1143. [Google Scholar] [CrossRef] [PubMed]
- Angielski, S.; Rogulski, J. Biochemia Kliniczna; 4.2.3. Kierunek transportu glukozy w tkankach; Państwowy Zakład Wydawnictw Lekarskich: Warszawa, Poland, 1991; pp. 243–244. [Google Scholar]
- Hijmans, B.S.; Grefhorst, A.; Oosterveer, M.H.; Groen, A.K. Zonation of Glucose and Fatty Acid Metabolism in the Liver: Mechanism and Metabolic Consequences. Biochemie 2014, 96, 121–129. [Google Scholar] [CrossRef] [PubMed]
- Kietzmann, T. Metabolic Zonation of the Liver: The Oxygen Gradient Revisited. Redox Biol. 2017, 11, 622–630. [Google Scholar] [CrossRef] [PubMed]
- Gumucio, J.J.; Miller, D.L. Functional Implications of Liver Cell Heterogeneity. Gastroenterology 1981, 80, 393–403. [Google Scholar] [CrossRef]
- Francini, F.; Castro, M.C.; Schinella, G.; García, M.E.; Maiztegui, B.; Raschia, M.A.; Gagliardino, J.J.; Massa, M.L. Changes Induced by a Fructose-Rich Diet on Hepatic Metabolism and the Antioxidant System. Life Sci. 2010, 86, 965–971. [Google Scholar] [CrossRef]
- Tappy, L.; Lê, K.A. Does Fructose Consumption Contribute to non-Alcoholic Fatty Liver Disease? Clin. Res. Hepatol. Gastroenterol. 2012, 36, 554–560. [Google Scholar] [CrossRef]
- Mendes de Castro, U.G.; Souza dos Santos, R.A.; Silva, M.E.; de Lima, W.G.; Campagnole-Santos, M.J.; Alzamora, A.C. Age-Dependent Effect of High-Fructose and High-Fat Diets on Lipid Metabolism and Lipid Accumulation in Liver and Kidney of Rats. Lipids Health Dis. 2013, 12, 136. [Google Scholar] [CrossRef]
- Salganik, S.V.; Weinstein, D.A.; Shupe, T.D.; Salganik, M.; Pintilie, D.G.; Petersen, B.E. A Detailed Characterization of the Adult Mouse Model of Glycogen Storage Disease Ia. Lab. Investig. 2009, 89, 1032–1042. [Google Scholar] [CrossRef]
- Park, E.Y.; Lee, C.H.; Lee, K.; Kim, J.H.; Cova, A.; Lee, S.K.; Cho, S.C.; Kwak, C.S.; Sang, Y.S.; Park, C.; et al. HNF4α Contributes to Glucose Formation in Aged Rat Hepatocytes. Exp. Gerontol. 2013, 48, 1518–1525. [Google Scholar] [CrossRef]
- Tarnopolsky, M.A.; Ruby, B.C. Sex Differences in Carbohydrate Metabolism. Curr. Opin. Clin. Nutr. Metab. Care 2001, 4, 521–526. [Google Scholar] [CrossRef] [PubMed]
- Shen, M.; Shi, H. Sex Hormones and Their Receptors Regulate Liver Energy Homeostasis. Int. J. Endocrinol. 2015, 2015, 294278. [Google Scholar] [CrossRef] [PubMed]
- Kur, P.; Kolasa-Wołosiuk, A.; Misiakiewicz-Has, K.; Wiszniewska, B. Sex Hormone-Dependent Physiology and Diseases of Liver. Int. J. Environ. Res. Public Health 2020, 17, 2620. [Google Scholar] [CrossRef] [PubMed]
- Chrysohoou, C.; Panagiotakos, D.; Pitsavos, C.; Siasos, G.; Oikonomou, E.; Varlas, J.; Patialakas, A.; Lazaros, G.; Psaltopoulou, T.; Zaromitidou, M.; et al. Low Total Testosterone Levels Are Associated with the Metabolic Syndrome in Elderly Men: The Role of Body Weight, Lipids, Insulin Resistance, and Inflammation; the Ikaria Study. Rev. Diabet. Stud. 2013, 10, 27–38. [Google Scholar] [CrossRef]
- Laaksonen, D.E.; Niskanen, L.; Punnonen, K.; Nyyssönen, K.; Tuomainen, T.P.; Valkonen, V.P.; Salonen, R.; Salonen, J.T. Testosterone and Sex Hormone-Binding Globulin Predict the Metabolic Syndrome and Diabetes in Middle-Aged Men. Diabetes Care 2004, 27, 1036–1041. [Google Scholar] [CrossRef]
- Corona, G.; Monami, M.; Rastrelli, G.; Aversa, A.; Sforza, A.; Lenzi, A.; Forti, G.; Mannucci, E.; Maggi, M. Type 2 Diabetes mellitus and Testosterone: A Meta-Analysis Study. Int. J. Androl. 2011, 34, 528–540. [Google Scholar] [CrossRef]
- Ho, C.H.; Yu, H.J.; Wang, C.Y.; Jaw, F.S.; Hsieh, J.T.; Liao, W.C.; Pu, Y.S.; Liu, S.P. Prediabetes Is Associated with an Increased Risk of Testosterone Deficiency, Independent of Obesity and Metabolic Syndrome. PLoS ONE 2013, 8, e74173. [Google Scholar] [CrossRef]
- Bianchi, V.E.; Locatelli, V. Testosterone a Key Factor in Gender Related Metabolic Syndrome. Obes. Rev. 2018, 19, 557–575. [Google Scholar] [CrossRef]
- Muthusamy, T.; Murugesan, P.; Balasubramanian, K. Sex Steroids Deficiency Impairs Glucose Transporter 4 Expression and Its Translocation Through Defective Akt Phosphorylation in Target Tissues of Adult Male Rat. Metabolism 2009, 58, 1581–1592. [Google Scholar] [CrossRef]
- Kelly, D.M.; Jones, T.H. Testosterone: A Metabolic Hormone in Health and Disease. J. Endocrinol. 2013, 217, R25–R45. [Google Scholar] [CrossRef]
- Wild, S.; Roglic, G.; Green, A.; Sicree, R.; King, H. Global Prevalence of Diabetes: Estimates for the Year 2000 and Projections for 2030. Diabetes Care 2004, 27, 1047–1053. [Google Scholar] [CrossRef] [PubMed]
- Lin, H.Y.; Xu, Q.; Yeh, S.; Wang, R.S.; Sparks, J.D.; Chang, C. Insulin and Leptin Resistance with Hyperleptinemia in Mice Lacking Androgen Receptor. Diabetes 2005, 54, 1717–1725. [Google Scholar] [CrossRef] [PubMed]
- Rittmaster, R.S. 5-Reductase Inhibitors. J. Androl. 1997, 18, 582–587. [Google Scholar] [CrossRef] [PubMed]
- Russell, D.W.; Wilson, J.D. Steroid 5 Alpha-Reductase: Two Genes/Two Enzymes. Annu. Rev. Biochem. 1994, 63, 25–61. [Google Scholar] [CrossRef]
- Dowman, J.K.; Hopkins, L.J.; Reynolds, G.M.; Armstrong, M.J.; Nasiri, M.; Nikolaou, N.; van Houten, E.L.; Visser, J.A.; Morgan, S.A.; Lavery, G.G.; et al. Loss of 5alpha-Reductase Type 1 Accelerates the Development of Hepatic Steatosis but Protects against Hepatocellular Carcinoma in Male Mice. Endocrinology 2013, 154, 4536–4547. [Google Scholar] [CrossRef] [PubMed]
- Gormley, G.J.; Stoner, E.; Bruskewitz, R.C.; Imperato-McGinley, J.; Walsh, P.C.; McConnell, J.D.; Andriole, G.L.; Geller, J.; Bracken, B.R.; Tenover, J.S. The Effect of Finasteride in Men with Benign Prostatic Hyperplasia. The Finasteride Study Group. N. Engl. J. Med. 1992, 327, 1185–1191. [Google Scholar] [CrossRef]
- The Finasteride Male Pattern Hair Loss Group Study. Long-Term (5-Year) Multinational Experience with Finasteride 1 mg in the Treatment of Men with Androgenic Alopecia. Eur. J. Dermatol. 2002, 12, 38–49. [Google Scholar]
- Starka, L.; Duskova, M.; Cermakova, L.; Vrbikova, J.; Hill, M. Premature Androgenic Alopecia and Insulin Resistance. Male Equivalent of Polycystic Ovary Syndrome? Endocr. Regul. 2005, 39, 127–131. [Google Scholar]
- Livingstone, D.E.; Barat, P.; Di Rollo, E.M.; Rees, G.A.; Weldin, B.A.; Rog-Zielinska, E.A.; MacFarlane, D.P.; Walker, B.R.; Andrew, R. 5α-Reductase Type 1 Deficiency or Inhibition Predisposes to Insulin Resistance, Hepatic Steatosis, and Liver Fibrosis in Rodents. Diabetes 2015, 64, 447–458. [Google Scholar] [CrossRef]
- Lin, H.Y.; Yu, I.C.; Wang, R.S.; Chen, Y.T.; Liu, N.C.; Altuwaijri, S.; Hsu, C.L.; Ma, W.L.; Jokinen, J.; Sparks, J.D.; et al. Increased Hepatic Steatosis and Insulin Resistance in Mice Lacking Hepatic Androgen Receptor. Hepatology 2008, 47, 1924–1935. [Google Scholar] [CrossRef]
- Kolasa-Wołosiuk, A.; Misiakiewicz-Has, K.; Baranowska-Bosiacka, I.; Gutowska, I.; Wiszniewska, B. Androgen Levels and Apoptosis in the Testis during Postnatal Development of Finasteride-Treated Male Rat Offspring. Folia Histochem. Cytobiol. 2015, 52, 236–248. [Google Scholar] [CrossRef]
- Kolasa-Wołosiuk, A.; Tarnowski, M.; Baranowska-Bosiacka, I.; Chlubek, D.; Wiszniewska, B. Antioxidant Enzyme Expression of mRNA and Protein in the Epididymis of Finasteride-Treated Male Rat Offspring during Postnatal Development. Arch. Med. Sci. 2019, 15, 797–810. [Google Scholar] [CrossRef] [PubMed]
- Thorens, B. GLUT2, Glucose Sensing and Glucose Homeostasis. Diabetologia 2015, 58, 221–232. [Google Scholar] [CrossRef] [PubMed]
- Seyer, P.; Vallois, D.; Poitry-Yamate, C.; Schutz, F.; Metref, S.; Tarussio, D.; Maechler, P.; Staels, B.; Lanz, B.; Grueter, R.; et al. Hepatic Glucose Sensing Is Required to Preserve β Cell Glucose Competence. J. Clin. Investig. 2013, 123, 1662–1676. [Google Scholar] [CrossRef]
- Sansbury, F.H.; Flanagan, S.E.; Houghton, J.A.; Houghton, J.A.L.; Shuixian Shen, F.L.; Al-Senani, A.M.S.; Habeb, A.M.; Abdullah, M.; Kariminejad, A.; Ellard, S.; et al. SLC2A2 Mutations Can Cause Neonatal Diabetes, Suggesting GLUT2 May Have a Role in Human Insulin Secretion. Diabetologia 2012, 55, 2381–2385. [Google Scholar] [CrossRef]
- Fanconi, G.; Bickel, H. Die Chronische Aminoacidurie Bei der Glykogenose und der Cystinkrankheit. Helv. Paediatr. Acta 1949, 4, 359–396. (In German) [Google Scholar]
- Santer, R.; Schneppenheim, R.; Suter, D.; Schaub, J.; Steinmann, B. Fanconi-Bickel Syndrome—The Original Patient and His Natural History, Historical Steps Leading to the Primary Defect, and a Review of the Literature. Eur. J. Pediatr. 1998, 157, 783–797. [Google Scholar] [CrossRef] [PubMed]
- Chatterjee, B.; Song, C.S.; Jung, M.H.; Chen, S.; Walter, C.A.; Herbert, D.C.; Weaker, F.J.; Mancini, M.A.; Roy, A.K. Targeted Overexpression of Androgen Receptor with a Liver-Specific Promoter in Transgenic Mice. Proc. Natl. Acad. Sci. USA 1996, 93, 728–733. [Google Scholar] [CrossRef]
- Supakar, P.C.; Roy, A.K. Role of Transcription Factors in the Age-Dependent Regulation of the Androgen Receptor Gene in Rat Liver. Biol. Signals 1996, 5, 170–179. [Google Scholar] [CrossRef]
- Beato, M. Gene Regulation by Steroid Hormones. Cell 1989, 56, 335–344. [Google Scholar] [CrossRef]
- McEwan, I.J.; Gustafsson, J. Interaction of the Human Androgen Receptor Transactivation Function with the General Transcription Factor TFIIF. Proc. Natl. Acad. Sci. USA 1997, 94, 8485–8490. [Google Scholar] [CrossRef] [PubMed]
- Yeh, S.; Chang, C. Cloning and Characterization of a Specific Coactivator, ARA70, for the Androgen Receptor in Human Prostate Cells. Proc. Natl. Acad. Sci. USA 1996, 93, 5517–5521. [Google Scholar] [CrossRef] [PubMed]
- Aarnisalo, P.; Palvimo, J.J.; Jänne, O.A. CREB-Binding Protein in Androgen Receptor-Mediated Signaling. Proc. Natl. Acad. Sci. USA 1998, 95, 2122–2127. [Google Scholar] [CrossRef] [PubMed]
- Zhang, Y.; Calvo, E.; Martel, C.; Luu-The, V.; Labrie, F.; Tchernof, A. Response of the Adipose Tissue Transcriptome to Dihydrotestosterone in Mice. Physiol. Genom. 2008, 35, 254–261. [Google Scholar] [CrossRef][Green Version]
- Kolasa, A.; Marchlewicz, M.; Wenda-Rozewicka, L.; Wiszniewska, B. Morphology of the Testis and the Epididymis in Rats with Dihydrotestosterone (DHT) Deficiency. Rocz. Akad. Med. Bialymst. 2004, 1, 117–119. [Google Scholar]
- Kolasa, A.; Marchlewicz, M.; Kurzawa, R.; Głąbowski, W.; Trybek, G.; Wenda-Różewicka, L.; Wiszniewska, B. The Expression of Inducible Nitric Oxide Synthase (iNOS) in the Testis and Epididymis of Rats with a Dihydrotestosterone (DHT) Deficiency. Cell. Mol. Biol. Lett. 2009, 14, 511–527. [Google Scholar] [CrossRef]
- Kolasa, A.; Marchlewicz, M.; Wenda-Rożewicka, L.; Wiszniewska, B. DHT Deficiency Perturbs the Integrity of the Rat Seminiferous Epithelium by Disrupting Tight and Adherens Junctions. Folia Histochem. Cytobiol. 2011, 49, 62–71. [Google Scholar] [CrossRef]
- Ashby, J.; Tinwell, H.; Odum, J.; Lefevre, P. Natural Variability and the Influence of Concurrent Control Values on the Detection and Interpretation of Low-Dose or Weak Endocrine Toxicities. Environ. Health Perspect. 2004, 112, 847–853. [Google Scholar] [CrossRef]
- Gao, W.; Kearbey, J.D.; Nair, V.A.; Chung, K.; Parlow, A.F.; Miller, D.D.; Dalton, J.T. Comparison of the Pharmacological Effects of a Novel Selective Androgen Receptor Modulator, the 5alpha-Reductase Inhibitor Finasteride, and the Antiandrogen Hydroxyl Flutamide in Intact Rats: New Approach for Benign Prostate Hyperplasia. Endocrynology 2004, 145, 5420–5428. [Google Scholar] [CrossRef]
- Miller, M.A.; Zachary, J.F. Pathologic Basis of Veterinary Disease. In Mechanisms and Morphology of Cellular Injury, Adaptation, and Death, 6th ed.; Elsevier: Amsterdam, The Netherlands, 2017; pp. 2–43. ISBN 978-0-323-35775-3. [Google Scholar]
- Angielski, S.; Rogulski, J. Biochemia Kliniczna; 4.3. Metabolizm glukozy; Państwowy Zakład Wydawnictw Lekarskich: Warszawa, Poland, 1991; pp. 244–266. [Google Scholar]
- Segawa, T.; Nau, M.E.; Xu, L.L.; Chilukuri, R.N.; Makarem, M.; Zhang, W.; Petrovics, G.; Sesterhenn, I.A.; McLeod, D.G.; Moul, J.W.; et al. Androgen-Induced Expression of Endoplasmic Reticulum (ER) Stress Response Genes in Prostate Cancer Cells. Oncogene 2002, 21, 8749–8758. [Google Scholar] [CrossRef]
- Swinnen, J.V.; Ulrix, W.; Heyns, W.; Verhoeven, G. Coordinate Regulation of Lipogenic Gene Expression by Androgens: Evidence for a Cascade Mechanism Involving Sterol Regulatory Element Binding Proteins. Proc. Natl. Acad. Sci. USA 1997, 94, 12975–12980. [Google Scholar] [CrossRef] [PubMed]
- Heemers, H.; Maes, B.; Foufelle, F.; Heyns, W.; Verhoeven, G.; Swinnen, J.V. Androgens Stimulate Lipogenic Gene Expression in Prostate Cancer Cells by Activation of the Sterol Regulatory Element-Binding Protein Cleavage Activating Protein/Sterol Regulatory Element-Binding Protein Pathway. Mol. Endocrinol. 2001, 10, 1817–1828. [Google Scholar] [CrossRef] [PubMed]









| F1:Control | F1:Fin | |||
|---|---|---|---|---|
| T | DHT | T | DHT | |
| GLUT2 | rs = −0,000 p = 1.000 | rs = −0.096 p = 0.655 | rs = 0.009 p = 0.974 | rs = −0.088 p = 0.689 |
| IR | rs = 0.449 p = 0.081 | rs = 0.012 p = 0.951 | rs = −0.353 p = 0.235 | rs = 0.067 p = 0.761 |
| AR | rs = 0.143 p = 0.583 | rs = 0.342 p = 0.102 | rs = −0.762 p = 0.000375 | rs = −0.562 p = 0.005253 |
| Age | Glucose [mg/dL] | |
|---|---|---|
| PND | F1:Control | F1:Fin |
| 14 | 118.0 ± 8.6 | 162 ± 29.3 ** vs. F1:Control |
| 21 | 138.2 ± 72.0 | 177.9 ± 17.3 * vs. F1:Control |
| 28 | 187.9 ± 19.1 | 200.6 ± 19.8 * vs. F1:Control |
| 90 | 189.3 ± 13.3 | 190.0 ± 27.3 |
Publisher’s Note: MDPI stays neutral with regard to jurisdictional claims in published maps and institutional affiliations. |
© 2021 by the authors. Licensee MDPI, Basel, Switzerland. This article is an open access article distributed under the terms and conditions of the Creative Commons Attribution (CC BY) license (http://creativecommons.org/licenses/by/4.0/).
Share and Cite
Kur, P.; Kolasa-Wołosiuk, A.; Grabowska, M.; Kram, A.; Tarnowski, M.; Baranowska-Bosiacka, I.; Rzeszotek, S.; Piasecka, M.; Wiszniewska, B. The Postnatal Offspring of Finasteride-Treated Male Rats Shows Hyperglycaemia, Elevated Hepatic Glycogen Storage and Altered GLUT2, IR, and AR Expression in the Liver. Int. J. Mol. Sci. 2021, 22, 1242. https://doi.org/10.3390/ijms22031242
Kur P, Kolasa-Wołosiuk A, Grabowska M, Kram A, Tarnowski M, Baranowska-Bosiacka I, Rzeszotek S, Piasecka M, Wiszniewska B. The Postnatal Offspring of Finasteride-Treated Male Rats Shows Hyperglycaemia, Elevated Hepatic Glycogen Storage and Altered GLUT2, IR, and AR Expression in the Liver. International Journal of Molecular Sciences. 2021; 22(3):1242. https://doi.org/10.3390/ijms22031242
Chicago/Turabian StyleKur, Paulina, Agnieszka Kolasa-Wołosiuk, Marta Grabowska, Andrzej Kram, Maciej Tarnowski, Irena Baranowska-Bosiacka, Sylwia Rzeszotek, Małgorzata Piasecka, and Barbara Wiszniewska. 2021. "The Postnatal Offspring of Finasteride-Treated Male Rats Shows Hyperglycaemia, Elevated Hepatic Glycogen Storage and Altered GLUT2, IR, and AR Expression in the Liver" International Journal of Molecular Sciences 22, no. 3: 1242. https://doi.org/10.3390/ijms22031242
APA StyleKur, P., Kolasa-Wołosiuk, A., Grabowska, M., Kram, A., Tarnowski, M., Baranowska-Bosiacka, I., Rzeszotek, S., Piasecka, M., & Wiszniewska, B. (2021). The Postnatal Offspring of Finasteride-Treated Male Rats Shows Hyperglycaemia, Elevated Hepatic Glycogen Storage and Altered GLUT2, IR, and AR Expression in the Liver. International Journal of Molecular Sciences, 22(3), 1242. https://doi.org/10.3390/ijms22031242

