Constitutively Activated DAP12 Induces Functional Anti-Tumor Activation and Maturation of Human Monocyte-Derived DC
Abstract
1. Introduction
2. Results
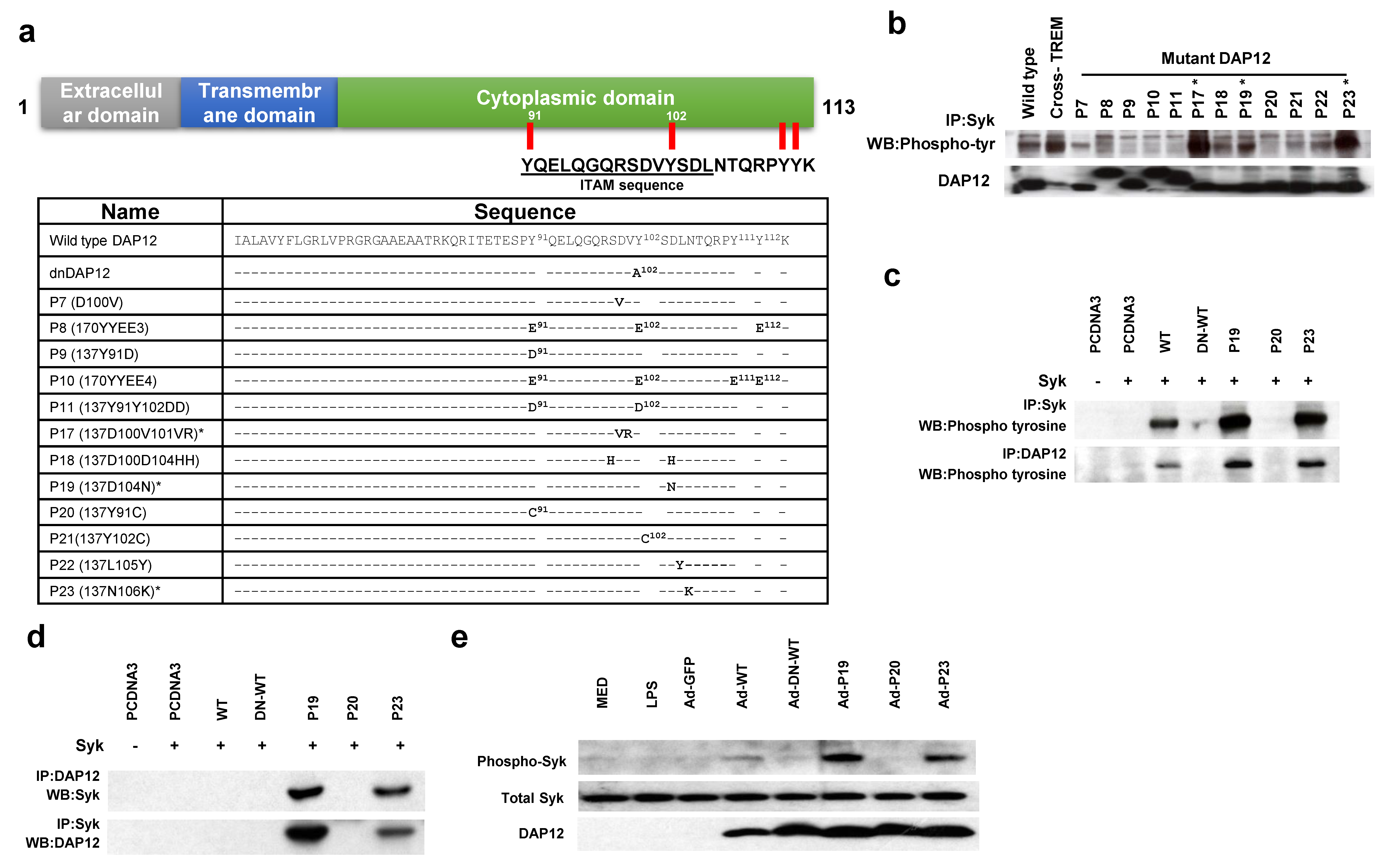
2.1. Constitutively Active DAP12-Mutants Induce Syk Activation in Human Mo-DC
2.2. Constitutively Active DAP12 Induces Phenotypical Maturation and Activation of Mo-DC
2.3. Constitutively Active DAP12 Induces Functional Activation of Mo-DC In Vitro
2.4. Intratumoral Injection of Constitutively Active DAP12 Transduced DC Induces Significant Antitumor Effects In Vivo
3. Discussion
4. Materials and Methods
4.1. Isolation of PBMCs and Human Monocyte-Derived DC (hMoDC) Preparation
4.2. Construction of DAP12 Mutants
4.3. Preparation of Adenoviral Vector
4.4. Crosslinking, Immunoprecipitation, and Western Analysis
4.5. Flow Cytometry
4.6. DC Migration Assay
4.7. Cytotoxicity Assays
4.8. T Cell Proliferation Assays
4.9. Antitumor Effects
4.10. ELISA and EliSpot Assays
4.11. Immunohistochemistry Staining
4.12. Generation of Murine Bone Marrow-Derived DC and Transduction with DAP12 Adenovirus
4.13. Immunizations
4.14. Statistical Analysis
Supplementary Materials
Author Contributions
Funding
Institutional Review Board Statement
Informed Consent Statement
Data Availability Statement
Conflicts of Interest
Abbreviations
| DC | Dendritic Cells |
| APC | Antigen presenting cells |
| ITAM | Immunoreceptor tyrosine-based activation motif |
| DAP12 | 12-kilodalton DNAX activating protein |
| NK | Natural killer cells |
| Mo-DC | Monocyte-derived DC |
| WT | Wild type |
| WB | Western blot |
| IP | Immunoprecipitation |
References
- Mildner, A.; Jung, S. Development and function of dendritic cell subsets. Immunity 2014, 40, 642–656. [Google Scholar] [CrossRef]
- Eksioglu, E.A.; Eisen, S.; Reddy, V. Dendritic cells as therapeutic agents against cancer. Front. Biosci. 2010, 15, 321–347. [Google Scholar] [CrossRef]
- Ardavin, C.; Martinez del Hoyo, G.; Martin, P.; Anjuere, F.; Arias, C.F.; Marin, A.R.; Ruiz, S.; Parrillas, V.; Hernandez, H. Origin and differentiation of dendritic cells. Trends Immunol. 2001, 22, 691–700. [Google Scholar] [CrossRef]
- Ribas, A.; Glaspy, J.A.; Lee, Y.; Dissette, V.B.; Seja, E.; Vu, H.T.; Tchekmedyian, N.S.; Oseguera, D.; Comin-Anduix, B.; Wargo, J.A.; et al. Role of dendritic cell phenotype, determinant spreading, and negative costimulatory blockade in dendritic cell-based melanoma immunotherapy. J. Immunother. 2004, 27, 354–367. [Google Scholar] [CrossRef]
- da Silva, P.F.; Aloulou, M.; Benhamou, M.; Monteiro, R.C. Inhibitory ITAMs: A matter of life and death. Trends Immunol. 2008, 29, 366–373. [Google Scholar] [CrossRef]
- Lanier, L.L. NK cell recognition. Annu. Rev. Immunol. 2005, 23, 225–274. [Google Scholar] [CrossRef]
- Ravetch, J.V.; Lanier, L.L. Immune inhibitory receptors. Science 2000, 290, 84–89. [Google Scholar] [CrossRef]
- Lanier, L.L. DAP10- and DAP12-associated receptors in innate immunity. Immunol. Rev. 2009, 227, 150–160. [Google Scholar] [CrossRef]
- Barrow, A.D.; Trowsdale, J. You say ITAM and I say ITIM, let’s call the whole thing off: The ambiguity of immunoreceptor signalling. Eur. J. Immunol. 2006, 36, 1646–1653. [Google Scholar] [CrossRef]
- Lanier, L.L.; Corliss, B.C.; Wu, J.; Leong, C.; Phillips, J.H. Immunoreceptor DAP12 bearing a tyrosine-based activation motif is involved in activating NK cells. Nature 1998, 391, 703–707. [Google Scholar] [CrossRef]
- Underhill, D.M.; Goodridge, H.S. The many faces of ITAMs. Trends Immunol. 2007, 28, 66–73. [Google Scholar] [CrossRef]
- Lanier, L.L.; Bakker, A.B. The ITAM-bearing transmembrane adaptor DAP12 in lymphoid and myeloid cell function. Immunol. Today 2000, 21, 611–614. [Google Scholar] [CrossRef]
- Bouchon, A.; Facchetti, F.; Weigand, M.A.; Colonna, M. TREM-1 amplifies inflammation and is a crucial mediator of septic shock. Nature 2001, 410, 1103–1107. [Google Scholar] [CrossRef]
- Chen, X.; Eksioglu, E.A.; Carter, J.D.; Fortenbery, N.; Donatelli, S.S.; Zhou, J.; Liu, J.; Yang, L.; Gilvary, D.; Djeu, J.; et al. Inactivation of DAP12 in PMN inhibits TREM1-mediated activation in rheumatoid arthritis. PLoS ONE 2015, 10, e0115116. [Google Scholar] [CrossRef]
- Graham, D.B.; Stephenson, L.M.; Lam, S.K.; Brim, K.; Lee, H.M.; Bautista, J.; Gilfillan, S.; Akilesh, S.; Fujikawa, K.; Swat, W. An ITAM-signaling pathway controls cross-presentation of particulate but not soluble antigens in dendritic cells. J. Exp. Med. 2007, 204, 2889–2897. [Google Scholar] [CrossRef]
- Chen, X.; Eksioglu, E.A.; Zhou, J.; Zhang, L.; Djeu, J.; Fortenbery, N.; Epling-Burnette, P.; Van Bijnen, S.; Dolstra, H.; Cannon, J.; et al. Induction of myelodysplasia by myeloid-derived suppressor cells. J. Clin. Investig. 2013, 123, 4595–4611. [Google Scholar] [CrossRef]
- Hiscott, J.; Pitha, P.; Genin, P.; Nguyen, H.; Heylbroeck, C.; Mamane, Y.; Algarte, M.; Lin, R. Triggering the interferon response: The role of IRF-3 transcription factor. J. Interferon Cytokine Res. 1999, 19, 1–13. [Google Scholar] [CrossRef]
- Zhou, W.; Freed, C.R. Tyrosine-to-cysteine modification of human alpha-synuclein enhances protein aggregation and cellular toxicity. J. Biol. Chem. 2004, 279, 10128–10135. [Google Scholar] [CrossRef]
- Kilpelainen, P.T.; Hietala, O.A. Mutation of aspartate-233 to valine in mouse ornithine decarboxylase reduces enzyme activity. Int. J. Biochem. Cell Biol. 1998, 30, 803–809. [Google Scholar] [CrossRef]
- Ris-Stalpers, C.; Trifiro, M.A.; Kuiper, G.G.; Jenster, G.; Romalo, G.; Sai, T.; van Rooij, H.C.; Kaufman, M.; Rosenfield, R.L.; Liao, S.; et al. Substitution of aspartic acid-686 by histidine or asparagine in the human androgen receptor leads to a functionally inactive protein with altered hormone-binding characteristics. Mol. Endocrinol. 1991, 5, 1562–1569. [Google Scholar] [CrossRef]
- Chen, X.; Bai, F.; Sokol, L.; Zhou, J.; Ren, A.; Painter, J.S.; Liu, J.; Sallman, D.A.; Chen, Y.A.; Yoder, J.A.; et al. A critical role for DAP10 and DAP12 in CD8+ T cell-mediated tissue damage in large granular lymphocyte leukemia. Blood 2008, 113, 3226–3234. [Google Scholar] [CrossRef]
- Jakus, Z.; Fodor, S.; Abram, C.L.; Lowell, C.A.; Mocsai, A. Immunoreceptor-like signaling by beta 2 and beta 3 integrins. Trends Cell Biol. 2007, 17, 493–501. [Google Scholar] [CrossRef]
- Sedlik, C.; Orbach, D.; Veron, P.; Schweighoffer, E.; Colucci, F.; Gamberale, R.; Ioan-Facsinay, A.; Verbeek, S.; Ricciardi-Castagnoli, P.; Bonnerot, C.; et al. A critical role for Syk protein tyrosine kinase in Fc receptor-mediated antigen presentation and induction of dendritic cell maturation. J. Immunol. 2003, 170, 846–852. [Google Scholar] [CrossRef]
- Reis e Sousa, C. Dendritic cells in a mature age. Nat. Rev. Immunol. 2006, 6, 476–483. [Google Scholar] [CrossRef]
- Ivanov, S.; Scallan, J.P.; Kim, K.W.; Werth, K.; Johnson, M.W.; Saunders, B.T.; Wang, P.L.; Kuan, E.L.; Straub, A.C.; Ouhachi, M.; et al. CCR7 and IRF4-dependent dendritic cells regulate lymphatic collecting vessel permeability. J. Clin. Investig. 2016, 126, 1581–1591. [Google Scholar] [CrossRef]
- Baggiolini, M.; Loetscher, P. Chemokines in inflammation and immunity. Immunol. Today 2000, 21, 418–420. [Google Scholar] [CrossRef]
- Giordano, D.; Magaletti, D.M.; Clark, E.A. Nitric oxide and cGMP protein kinase (cGK) regulate dendritic-cell migration toward the lymph-node-directing chemokine CCL19. Blood 2006, 107, 1537–1545. [Google Scholar] [CrossRef][Green Version]
- Hinshaw, D.C.; Shevde, L.A. The Tumor Microenvironment Innately Modulates Cancer Progression. Cancer Res. 2019, 79, 4557–4566. [Google Scholar] [CrossRef]
- Villadangos, J.A.; Schnorrer, P. Intrinsic and cooperative antigen-presenting functions of dendritic-cell subsets in vivo. Nat. Rev. Immunol. 2007, 7, 543–555. [Google Scholar] [CrossRef]
- Ma, Y.; Adjemian, S.; Mattarollo, S.R.; Yamazaki, T.; Aymeric, L.; Yang, H.; Portela Catani, J.P.; Hannani, D.; Duret, H.; Steegh, K.; et al. Anticancer chemotherapy-induced intratumoral recruitment and differentiation of antigen-presenting cells. Immunity 2013, 38, 729–741. [Google Scholar] [CrossRef]
- Palucka, K.; Banchereau, J. Dendritic-cell-based therapeutic cancer vaccines. Immunity 2013, 39, 38–48. [Google Scholar] [CrossRef]
- Turnis, M.E.; Rooney, C.M. Enhancement of dendritic cells as vaccines for cancer. Immunotherapy 2010, 2, 847–862. [Google Scholar] [CrossRef]
- Michielsen, A.J.; Hogan, A.E.; Marry, J.; Tosetto, M.; Cox, F.; Hyland, J.M.; Sheahan, K.D.; O’Donoghue, D.P.; Mulcahy, H.E.; Ryan, E.J.; et al. Tumour tissue microenvironment can inhibit dendritic cell maturation in colorectal cancer. PLoS ONE 2011, 6, e27944. [Google Scholar] [CrossRef]
- Billadeau, D.D.; Leibson, P.J. ITAMs versus ITIMs: Striking a balance during cell regulation. J. Clin. Investig. 2002, 109, 161–168. [Google Scholar] [CrossRef]
- Fasbender, F.; Claus, M.; Wingert, S.; Sandusky, M.; Watzl, C. Differential Requirements for Src-Family Kinases in SYK or ZAP70-Mediated SLP-76 Phosphorylation in Lymphocytes. Front. Immunol. 2017, 8, 789. [Google Scholar] [CrossRef]
- Davids, M.S.; Burger, J.A. Cell Trafficking in Chronic Lymphocytic Leukemia. Open J. Hematol. 2012, 3. [Google Scholar] [CrossRef]
- Laufer, J.M.; Kindinger, I.; Artinger, M.; Pauli, A.; Legler, D.F. CCR7 Is Recruited to the Immunological Synapse, Acts as Co-stimulatory Molecule and Drives LFA-1 Clustering for Efficient T Cell Adhesion Through ZAP70. Front. Immunol. 2019, 9. [Google Scholar] [CrossRef]
- Heizmann, B.; Reth, M.; Infantino, S. Syk is a dual-specificity kinase that self-regulates the signal output from the B-cell antigen receptor. Proc. Natl. Acad. Sci. USA 2010, 107, 18563–18568. [Google Scholar] [CrossRef]
- Tawab, A.; Fan, Y.; Read, E.J.; Kurlander, R.J. Effect of ex vivo culture duration on phenotype and cytokine production by mature dendritic cells derived from peripheral blood monocytes. Transfusion 2009, 49, 536–547. [Google Scholar] [CrossRef]
- Trakatelli, M.; Toungouz, M.; Blocklet, D.; Dodoo, Y.; Gordower, L.; Laporte, M.; Vereecken, P.; Sales, F.; Mortier, L.; Mazouz, N.; et al. A new dendritic cell vaccine generated with interleukin-3 and interferon-beta induces CD8+ T cell responses against NA17-A2 tumor peptide in melanoma patients. Cancer Immunol. Immunother. 2006, 55, 469–474. [Google Scholar] [CrossRef]
- Jonuleit, H.; Kuhn, U.; Muller, G.; Steinbrink, K.; Paragnik, L.; Schmitt, E.; Knop, J.; Enk, A.H. Pro-inflammatory cytokines and prostaglandins induce maturation of potent immunostimulatory dendritic cells under fetal calf serum-free conditions. Eur. J. Immunol. 1997, 27, 3135–3142. [Google Scholar] [CrossRef]
- Anguille, S.; Smits, E.L.; Cools, N.; Goossens, H.; Berneman, Z.N.; Van Tendeloo, V.F. Short-term cultured, interleukin-15 differentiated dendritic cells have potent immunostimulatory properties. J. Transl. Med. 2009, 7, 109. [Google Scholar] [CrossRef]
- Dhodapkar, M.V.; Steinman, R.M.; Krasovsky, J.; Munz, C.; Bhardwaj, N. Antigen-specific inhibition of effector T cell function in humans after injection of immature dendritic cells. J. Exp. Med. 2001, 193, 233–238. [Google Scholar] [CrossRef]
- De Vries, I.J.; Krooshoop, D.J.; Scharenborg, N.M.; Lesterhuis, W.J.; Diepstra, J.H.; Van Muijen, G.N.; Strijk, S.P.; Ruers, T.J.; Boerman, O.C.; Oyen, W.J.; et al. Effective migration of antigen-pulsed dendritic cells to lymph nodes in melanoma patients is determined by their maturation state. Cancer Res. 2003, 63, 12–17. [Google Scholar]
- Bakker, A.B.; Hoek, R.M.; Cerwenka, A.; Blom, B.; Lucian, L.; McNeil, T.; Murray, R.; Phillips, L.H.; Sedgwick, J.D.; Lanier, L.L. DAP12-deficient mice fail to develop autoimmunity due to impaired antigen priming. Immunity 2000, 13, 345–353. [Google Scholar] [CrossRef]
- Bouchon, A.; Hernandez-Munain, C.; Cella, M.; Colonna, M. A DAP12-mediated pathway regulates expression of CC chemokine receptor 7 and maturation of human dendritic cells. J. Exp. Med. 2001, 194, 1111–1122. [Google Scholar] [CrossRef]
- Kluckova, K.; Kozak, J.; Szaboova, K.; Rychly, B.; Svajdler, M.; Suchankova, M.; Tibenska, E.; Filova, B.; Steno, J.; Matejcik, V.; et al. TREM-1 and TREM-2 Expression on Blood Monocytes Could Help Predict Survival in High-Grade Glioma Patients. Mediat. Inflamm. 2020, 2020, 1798147. [Google Scholar] [CrossRef]
- Turnbull, I.R.; McDunn, J.E.; Takai, T.; Townsend, R.R.; Cobb, J.P.; Colonna, M. DAP12 (KARAP) amplifies inflammation and increases mortality from endotoxemia and septic peritonitis. J. Exp. Med. 2005, 202, 363–369. [Google Scholar] [CrossRef]
- Sjolin, H.; Robbins, S.H.; Bessou, G.; Hidmark, A.; Tomasello, E.; Johansson, M.; Hall, H.; Charifi, F.; Karlsson Hedestam, G.B.; Biron, C.A.; et al. DAP12 signaling regulates plasmacytoid dendritic cell homeostasis and down-modulates their function during viral infection. J. Immunol. 2006, 177, 2908–2916. [Google Scholar] [CrossRef]
- Gmyrek, G.B.; Akilesh, H.M.; Graham, D.B.; Fuchs, A.; Yang, L.; Miller, M.J.; Sandoval, G.J.; Sheehan, K.C.; Schreiber, R.D.; Diamond, M.S.; et al. Loss of DAP12 and FcRgamma drives exaggerated IL-12 production and CD8(+) T cell response by CCR2(+) Mo-DCs. PLoS ONE 2013, 8, e76145. [Google Scholar] [CrossRef]
- Mocsai, A.; Humphrey, M.B.; Van Ziffle, J.A.; Hu, Y.; Burghardt, A.; Spusta, S.C.; Majumdar, S.; Lanier, L.L.; Lowell, C.A.; Nakamura, M.C. The immunomodulatory adapter proteins DAP12 and Fc receptor gamma-chain (FcRgamma) regulate development of functional osteoclasts through the Syk tyrosine kinase. Proc. Natl. Acad. Sci. USA 2004, 101, 6158–6163. [Google Scholar] [CrossRef]
- Eksioglu, E.A.; Kielbasa, J.; Eisen, S.; Reddy, V. Granulocyte-macrophage colony-stimulating factor increases the proportion of circulating dendritic cells after autologous but not after allogeneic hematopoietic stem cell transplantation. Cytotherapy 2011, 13, 888–896. [Google Scholar] [CrossRef]
- Donatelli, S.S.; Zhou, J.M.; Gilvary, D.L.; Eksioglu, E.A.; Chen, X.; Cress, W.D.; Haura, E.B.; Schabath, M.B.; Coppola, D.; Wei, S.; et al. TGF-beta-inducible microRNA-183 silences tumor-associated natural killer cells. Proc. Natl. Acad. Sci. USA 2014, 111, 4203–4208. [Google Scholar] [CrossRef]
- Chen, B.; Zhou, M.; Zhang, H.; Wang, C.; Hu, X.; Wang, B.; Wang, E. TREM1/Dap12-based CAR-T cells show potent antitumor activity. Immunotherapy 2019, 11, 1043–1055. [Google Scholar] [CrossRef]
- Berk, E.; Xu, S.; Czerniecki, B.J. Dendritic cells matured in the presence of TLR ligands overcome the immunosuppressive functions of regulatory T cells. Oncoimmunology 2014, 3, e27617. [Google Scholar] [CrossRef]
- Fontes, J.A.; Barin, J.G.; Talor, M.V.; Stickel, N.; Schaub, J.; Rose, N.R.; Cihakova, D. Complete Freund’s adjuvant induces experimental autoimmune myocarditis by enhancing IL-6 production during initiation of the immune response. Immun. Inflamm. Dis. 2017, 5, 163–176. [Google Scholar] [CrossRef]




Publisher’s Note: MDPI stays neutral with regard to jurisdictional claims in published maps and institutional affiliations. |
© 2021 by the authors. Licensee MDPI, Basel, Switzerland. This article is an open access article distributed under the terms and conditions of the Creative Commons Attribution (CC BY) license (http://creativecommons.org/licenses/by/4.0/).
Share and Cite
Dalton, R.; Calescibetta, A.; Zhou, J.M.; Maurin, M.; Ward, G.; Trinh, T.L.; Tu, N.; Gilvary, D.; Chen, X.; Cheng, P.; et al. Constitutively Activated DAP12 Induces Functional Anti-Tumor Activation and Maturation of Human Monocyte-Derived DC. Int. J. Mol. Sci. 2021, 22, 1241. https://doi.org/10.3390/ijms22031241
Dalton R, Calescibetta A, Zhou JM, Maurin M, Ward G, Trinh TL, Tu N, Gilvary D, Chen X, Cheng P, et al. Constitutively Activated DAP12 Induces Functional Anti-Tumor Activation and Maturation of Human Monocyte-Derived DC. International Journal of Molecular Sciences. 2021; 22(3):1241. https://doi.org/10.3390/ijms22031241
Chicago/Turabian StyleDalton, Robert, Alexandra Calescibetta, Jun Min Zhou, Michelle Maurin, Grace Ward, Thu Le Trinh, Nhan Tu, Danielle Gilvary, Xianghong Chen, Pingyan Cheng, and et al. 2021. "Constitutively Activated DAP12 Induces Functional Anti-Tumor Activation and Maturation of Human Monocyte-Derived DC" International Journal of Molecular Sciences 22, no. 3: 1241. https://doi.org/10.3390/ijms22031241
APA StyleDalton, R., Calescibetta, A., Zhou, J. M., Maurin, M., Ward, G., Trinh, T. L., Tu, N., Gilvary, D., Chen, X., Cheng, P., Kostenko, E., Wei, S., Wright, K. L., & Eksioglu, E. A. (2021). Constitutively Activated DAP12 Induces Functional Anti-Tumor Activation and Maturation of Human Monocyte-Derived DC. International Journal of Molecular Sciences, 22(3), 1241. https://doi.org/10.3390/ijms22031241

