Prion Infectivity and PrPBSE in the Peripheral and Central Nervous System of Cattle 8 Months Post Oral BSE Challenge
Abstract
1. Introduction
2. Results
2.1. Peripheral Nervous Tissues in Vicinity to the Intestine
2.2. Peripheral Nervous Tissues in Vicinity to the Brain
2.3. Central Nervous System
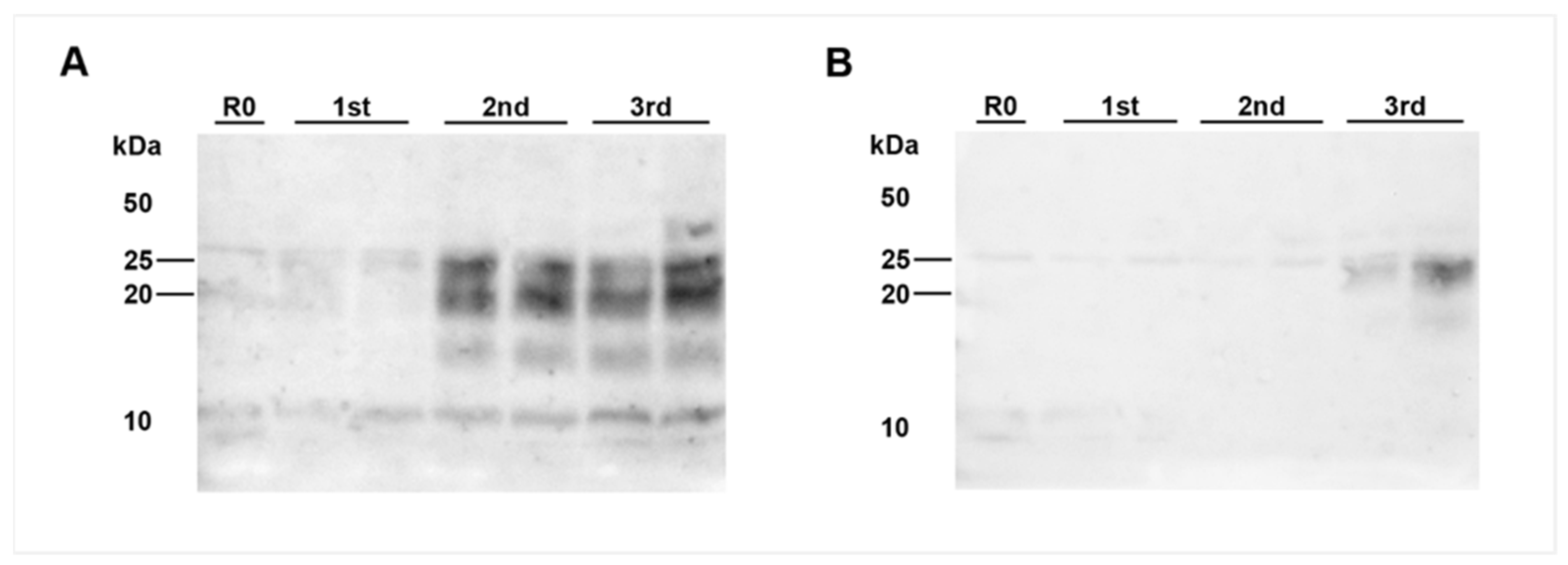
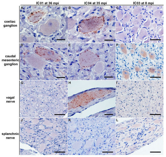
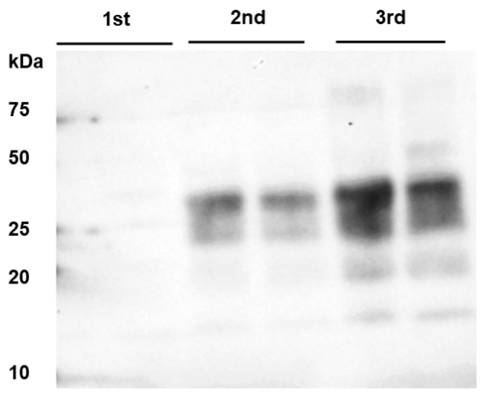
2.4. Positive Controls
3. Discussion
4. Materials and Methods
4.1. Animals
4.2. Tissue Samples
4.3. Comparative Analysis of Samples from Cattle Challenged 4–6 Months of Age
4.4. Immunohistochemistry (IHC) and Histopathological Examination
4.5. Tgbov XV Mouse Bioassay
4.6. Protein Misfolding Cyclic Amplification (PMCA)
4.7. Estimation of the Titer of Infectivity
5. Conclusions
Supplementary Materials
Author Contributions
Funding
Institutional Review Board Statement
Informed Consent Statement
Data Availability Statement
Acknowledgments
Conflicts of Interest
References
- Prusiner, S.B. Prions. Proc. Natl. Acad. Sci. USA 1998, 95, 13363–13383. [Google Scholar] [CrossRef]
- Bruce, M.E.; Will, R.G.; Ironside, J.; McConnell, I.; Drummond, D.; Suttie, A.; McCardle, L.; Chree, A.; Hope, J.; Birkett, C.; et al. Transmissions to mice indicate that ‘new variant’ CJD is caused by the BSE agent. Nat. Cell Biol. 1997, 389, 498–501. [Google Scholar] [CrossRef] [PubMed]
- Hill, A.; Desbruslais, M.; Joiner, S.; Sidle, K.C.L.; Gowland, I.; Collinge, J.; Doey, L.J.; Lantos, P. The same prion strain causes vCJD and BSE. Nature 1997, 389, 448–450. [Google Scholar] [CrossRef] [PubMed]
- Fast, C.; Keller, M.; Balkema-Buschmann, A.; Hills, B.; Groschup, M.H. Complementary studies detecting classical bovine spongiform encephalopathy infectivity in jejunum, ileum and ileocaecal junction in incubating cattle. Vet. Res. 2013, 44, 123. [Google Scholar] [CrossRef] [PubMed]
- Hoffmann, C.; Eiden, M.; Kaatz, M.; Keller, M.; Ziegler, U.; Rogers, R.; Hills, B.; Balkema-Buschmann, A.; van Keulen, L.; Jacobs, J.G.; et al. BSE infectivity in jejunum, ileum and ileocaecal junction of incubating cattle. Vet. Res. 2011, 42, 21. [Google Scholar] [CrossRef]
- Stack, M.; Moore, S.; Vidal-Diez, A.; Arnold, M.; Jones, E.; Spencer, Y.; Webb, P.; Spiropoulos, J.; Powell, L.; Bellerby, P.; et al. Experimental Bovine Spongiform Encephalopathy: Detection of PrPSc in the Small Intestine Relative to Exposure Dose and Age. J. Comp. Pathol. 2011, 145, 289–301. [Google Scholar] [CrossRef]
- Terry, L.A.; Marsh, S.; Ryder, S.J.; Hawkins, S.A.C.; Wells, G.A.H.; Spencer, Y.I. Detection of disease-specific PrP in the distal ileum of cattle exposed orally to the agent of bovine spongiform encephalopathy. Vet. Rec. 2003, 152, 387–392. [Google Scholar] [CrossRef]
- Ackermann, I.; Balkema-Buschmann, A.; Ulrich, R.; Tauscher, K.; Shawulu, J.C.; Keller, M.; Fatola, O.I.; Brown, P.; Groschup, M.H. Detection of PrPBSE and prion infectivity in the ileal Peyer’s patch of young calves as early as 2 months after oral challenge with classical bovine spongiform encephalopathy. Vet. Res. 2017, 48, 88. [Google Scholar] [CrossRef]
- Buschmann, A.; Groschup, M.H. Highly Bovine Spongiform Encephalopathy–Sensitive Transgenic Mice Confirm the Essential Restriction of Infectivity to the Nervous System in Clinically Diseased Cattle. J. Infect. Dis. 2005, 192, 934–942. [Google Scholar] [CrossRef]
- Wells, G.A.H.; Spiropoulos, J.; Hawkins, S.A.C.; Ryder, S.J. Pathogenesis of experimental bovine spongiform encephalopathy: Preclinical infectivity in tonsil and observations on the distribution of lingual tonsil in slaughtered cattle. Vet. Rec. 2005, 156, 401–407. [Google Scholar] [CrossRef]
- Espinosa, J.C.; Morales, M.; Castilla, J.; Rogers, M.; Torres, J.M. Progression of prion infectivity in asymptomatic cattle after oral bovine spongiform encephalopathy challenge. J. Gen. Virol. 2007, 88, 1379–1383. [Google Scholar] [CrossRef] [PubMed]
- Brown, K.L.; Stewart, K.; Ritchie, D.L.; Mabbott, N.A.; Williams, A.; Fraser, H.; Morrison, W.I.; Bruce, M.E. Scrapie replication in lymphoid tissues depends on prion protein-expressing follicular dendritic cells. Nat. Med. 1999, 5, 1308–1312. [Google Scholar] [CrossRef] [PubMed]
- Mabbott, N.A.; MacPherson, G.G. Prions and their lethal journey to the brain. Nat. Rev. Genet. 2006, 4, 201–211. [Google Scholar] [CrossRef]
- Glaysher, B.R.; Mabbott, N. Role of the GALT in Scrapie Agent Neuroinvasion from the Intestine. J. Immunol. 2007, 178, 3757–3766. [Google Scholar] [CrossRef]
- Heggebø, R.; González, L.; Press, C.M.; Gunnes, G.; Espenes, A.; Jeffrey, M. Disease-associated PrP in the enteric nervous system of scrapie-affected Suffolk sheep. J. Gen. Virol. 2003, 84, 1327–1338. [Google Scholar] [CrossRef]
- Van Keulen, L.J.M.; Schreuder, B.E.C.; Vromans, M.E.W.; Langeveld, J.P.M.; Smits, M. Pathogenesis of natural scrapie in sheep. Prion Dis. 2000, 16, 57–71. [Google Scholar] [CrossRef]
- Jeffrey, M.; González, L.; Espenes, A.; Press, C.M.; Martin, S.; Chaplin, M.; Davis, L.; Landsverk, T.; Macaldowie, C.; Eaton, S.; et al. Transportation of prion protein across the intestinal mucosa of scrapie-susceptible and scrapie-resistant sheep. J. Pathol. 2006, 209, 4–14. [Google Scholar] [CrossRef] [PubMed]
- Beekes, M.; A McBride, P. Early accumulation of pathological PrP in the enteric nervous system and gut-associated lymphoid tissue of hamsters orally infected with scrapie. Neurosci. Lett. 2000, 278, 181–184. [Google Scholar] [CrossRef]
- Kaatz, M.; Fast, C.; Ziegler, U.; Balkema-Buschmann, A.; Hammerschmidt, B.; Keller, M.; Oelschlegel, A.; McIntyre, L.; Groschup, M.H. Spread of Classic BSE Prions from the Gut via the Peripheral Nervous System to the Brain. Am. J. Pathol. 2012, 181, 515–524. [Google Scholar] [CrossRef]
- Hoffmann, C.; Ziegler, U.; Buschmann, A.; Weber, A.; Kupfer, L.; Oelschlegel, A.; Hammerschmidt, B.; Groschup, M.H. Prions spread via the autonomic nervous system from the gut to the central nervous system in cattle incubating bovine spongiform encephalopathy. J. Gen. Virol. 2007, 88, 1048–1055. [Google Scholar] [CrossRef]
- McBride, P.A.; Schulz-Schaeffer, W.J.; Donaldson, M.; Bruce, M.; Diringer, H.; Kretzschmar, H.A.; Beekes, M. Early Spread of Scrapie from the Gastrointestinal Tract to the Central Nervous System Involves Autonomic Fibers of the Splanchnic and Vagus Nerves. J. Virol. 2001, 75, 9320–9327. [Google Scholar] [CrossRef] [PubMed]
- Arnold, M.E.; Ryan, J.B.M.; Konold, T.; Simmons, M.M.; Spencer, Y.I.; Wear, A.; Chaplin, M.; Stack, M.; Czub, S.; Mueller, R.; et al. Estimating the temporal relationship between PrPSc detection and incubation period in experimental bovine spongiform encephalopathy of cattle. J. Gen. Virol. 2007, 88, 3198–3208. [Google Scholar] [CrossRef] [PubMed]
- Simmons, M.M.; Spiropoulos, J.; Webb, P.R.; Spencer, Y.I.; Czub, S.; Mueller, R.; Davis, A.; Arnold, M.E.; Marsh, S.; Hawkins, S.A.; et al. Experimental classical bovine spongiform encephalopathy: Definition and progression of neural PrP immunolabeling in relation to diagnosis and disease controls. Vet. Pathol. 2011, 48, 948–963. [Google Scholar] [CrossRef] [PubMed]
- Arnold, M.E.; Hawkins, S.A.C.; Green, R.; Dexter, I.; Wells, G.A.H. Pathogenesis of experimental bovine spongiform encephalopathy (BSE): Estimation of tissue infectivity according to incubation period. Vet. Res. 2008, 40, 8. [Google Scholar] [CrossRef]
- Wells, G.A.H.; Dawson, M.; Hawkins, S.A.C.; Austin, A.R.; Green, R.B.; Dexter, I.; Horigan, M.W.; Simmons, M.M. Preliminary Observations on the Pathogenesis of Experimental Bovine Spongiform Encephalopathy. In Bovine Spongiform Encephalopathy: The BSE Dilemma; Gibbs, C.J., Ed.; Springer: New York, NY, USA, 1996; pp. 28–44. [Google Scholar]
- Balkema-Buschmann, A.; Eiden, M.; Hoffmann, C.; Kaatz, M.; Ziegler, U.; Keller, M.; Groschup, M.H. BSE infectivity in the absence of detectable PrPSc accumulation in the tongue and nasal mucosa of terminally diseased cattle. J. Gen. Virol. 2010, 92, 467–476. [Google Scholar] [CrossRef]
- Barron, R.M.; Campbell, S.L.; King, D.; Bellon, A.; Chapman, K.; Williamson, R.A.; Manson, J. High Titers of Transmissible Spongiform Encephalopathy Infectivity Associated with Extremely Low Levels of PrPSc in Vivo. J. Biol. Chem. 2007, 282, 35878–35886. [Google Scholar] [CrossRef]
- González, L.; Thorne, L.; Jeffrey, M.; Martin, S.; Spiropoulos, J.; Beck, K.E.; Lockey, R.W.; Vickery, C.M.; Holder, T.; Terry, L. Infectious titres of sheep scrapie and bovine spongiform encephalopathy agents cannot be accurately predicted from quantitative laboratory test results. J. Gen. Virol. 2012, 93, 2518–2527. [Google Scholar] [CrossRef][Green Version]
- Ackermann, I.; Shawulu, J.C.; Keller, M.; Fatola, O.I.; Groschup, M.; Balkema-Buschmann, A. Exploring PMCA as a potential in-vitro alternative method to mouse bioassays for the highly sensitive detection of BSE prions. Berl. Münch Tierärztl. Wochenschr. 2018, 131, 368–374. [Google Scholar]
- Franz, M.; Eiden, M.; Balkema-Buschmann, A.; Greenlee, J.; Schatzl, H.; Fast, C.; Richt, J.; Hildebrandt, J.-P.; Groschup, M.H. Detection of PrPSc in peripheral tissues of clinically affected cattle after oral challenge with bovine spongiform encephalopathy. J. Gen. Virol. 2012, 93, 2740–2748. [Google Scholar] [CrossRef] [PubMed]
- Wells, G.A.H.; Konold, T.; Arnold, M.E.; Austin, A.R.; Hawkins, S.A.C.; Stack, M.; Simmons, M.M.; Lee, Y.H.; Gavier-Widén, D.; Dawson, M.; et al. Bovine spongiform encephalopathy: The effect of oral exposure dose on attack rate and incubation period in cattle. J. Gen. Virol. 2007, 88, 1363–1373. [Google Scholar] [CrossRef] [PubMed]
- Arnold, M.; Wilesmith, J. Estimation of the age-dependent risk of infection to BSE of dairy cattle in Great Britain. Prev. Vet. Med. 2004, 66, 35–47. [Google Scholar] [CrossRef]
- World Health Organisation (WHO). WHO Tables on Tissue Infectivity Distribution in Transmissible Spongiform Encephalopathies (Updated 2010); WHO Press: Geneva, Switzerland, 2010; Volume WHO/EMP/QSM/2010.1, Available online: https://www.who.int/bloodproducts/tablestissueinfectivity (accessed on 16 October 2021).
- European Commission. Note for guidance on Minimising the Risk of Transmitting Animal Spongiform Encephalopathy Agents Via Human and Veterinary Medicinal Products (EMA/410/01 rev.3). Official Journal of the European Union C 73/1. 2011. Available online: https://www.ema.europa.eu/en/documents/scientific-guideline/minimising-risk-transmitting-animal-spongiform-encephalopathy-agents-human-veterinary-medicinal_en.pdf (accessed on 16 October 2021).
- Hunter, N.; Houston, F.; Foster, J.; Goldmann, W.; Drummond, D.; Parnham, D.; Kennedy, I.; Green, A.; Stewart, P.; Chong, A. Susceptibility of Young Sheep to Oral Infection with Bovine Spongiform Encephalopathy Decreases Significantly after Weaning. J. Virol. 2012, 86, 11856–11862. [Google Scholar] [CrossRef]
- Brown, K.L.; Wathne, G.J.; Sales, J.; Bruce, M.E.; Mabbott, N. The Effects of Host Age on Follicular Dendritic Cell Status Dramatically Impair Scrapie Agent Neuroinvasion in Aged Mice. J. Immunol. 2009, 183, 5199–5207. [Google Scholar] [CrossRef]
- Brown, K.L.; Mabbott, N.A. Evidence of subclinical prion disease in aged mice following exposure to bovine spongiform encephalopathy. J. Gen. Virol. 2014, 95, 231–243. [Google Scholar] [CrossRef]
- Marruchella, G.; Ligios, C.; Di Guardo, G. Age, scrapie status, PrP genotype and follicular dendritic cells in ovine ileal Peyer’s patches. Res. Vet. Sci. 2012, 93, 853–856. [Google Scholar] [CrossRef]
- Mabbott, N.; Young, J.; McConnell, I.; Bruce, M.E. Follicular Dendritic Cell Dedifferentiation by Treatment with an Inhibitor of the Lymphotoxin Pathway Dramatically Reduces Scrapie Susceptibility. J. Virol. 2003, 77, 6845–6854. [Google Scholar] [CrossRef]
- McCulloch, L.; Brown, K.L.; Bradford, B.M.; Hopkins, J.; Bailey, M.; Rajewsky, K.; Manson, J.C.; Mabbott, N.A. Follicular dendritic cell-specific prion protein (PrP) expression alone is sufficient to sustain prion infection in the spleen. PLoS Pathog. 2011, 7, e1002402. [Google Scholar] [CrossRef]
- Hardt, M.; Baron, T.; Groschup, M. A Comparative Study of Immunohistochemical Methods for Detecting Abnormal Prion Protein with Monoclonal and Polyclonal Antibodies. J. Comp. Pathol. 2000, 122, 43–53. [Google Scholar] [CrossRef] [PubMed]
- Gretzschel, A.; Buschmann, A.; Eiden, M.; Ziegler, U.; Luhken, G.; Erhardt, G.; Groschup, M.H. Strain Typing of German Transmissible Spongiform Encephalopathies Field Cases in Small Ruminants by Biochemical Methods. J. Vet. Med. Ser. B 2005, 52, 55–63. [Google Scholar] [CrossRef] [PubMed]
- Buschmann, A.; Pfaff, E.; Reifenberg, K.; Muller, H.M.; Groschup, M.H. Detection of cattle-derived BSE prions using transgenic mice overexpressing bovine PrPc. Prion Dis. 2000, 16, 75–86. [Google Scholar] [CrossRef]





| Time Point Post Inocu-lation | Animal ID | Ganglion Coeliacum | Ganglion Mesenteriale Caudale | Nervus Splanchnicus Major | Truncus Sympathicus (incl. Paravertebral Ganglia) | Nervus Vagus (Thoracic Part) | ||||||||||
|---|---|---|---|---|---|---|---|---|---|---|---|---|---|---|---|---|
| IHC | PMCA | BA | IHC | PMCA | BA | IHC | PMCA | BA | IHC | PMCA | BA | IHC | PMCA | BA | ||
| 1 week | IC 17 | neg. | neg. | 0/20 >732 | neg. † | neg. | n. d. | neg. | neg. | 0/20 >733 | neg. | neg. | n. d. | neg. | neg. | 0/20 >734 | 
| IC 18 | neg. | neg. | 0/20 >731 | neg. | neg. | n. d. | neg. | neg. | 0/20 >731 | neg. | neg. | n. d. | neg. | neg. | 0/19 >734 | |
| 2 m | IC 15 | neg. | neg. | 0/9 >734 | neg. | neg. | n. d. | neg. | neg. | 0/20 >733 | neg. | neg. | n. d. | neg. | neg. | 0/20 >731 | 
| IC 16 | neg. | neg. | 0/18 >734 | neg. | neg. | n. d. | neg. | neg. | 0/20 >733 | neg. | neg. | n. d. | neg. | neg. | 0/20 >732 | |
| 4 m | IC 11 | neg. | neg. | 0/20 >734 | neg. † | neg. | n. d. | neg. | neg. | 0/22 >733 | neg. | neg. | n. d. | neg. | neg. | 0/20 >731 | 
| IC 12 | neg. | neg. | 0/20 >743 | neg. | neg. | n. d. | neg. | neg. | 0/19 >743 | neg. | neg. | n. d. | neg. | neg. | 0/20 >740 | |
| IC 13 | neg. | neg. | 0/20 >731 | neg. | neg. | n. d. | neg. | neg. | 0/20 >731 | neg. | neg. | n. d. | neg. | neg. | 0/20 >731 | |
| IC 14 | neg. | neg. | 0/20 >693 | neg. | neg. | n. d. | neg. | neg. | 0/21 >764 | neg. | neg. | n. d. | neg. | neg. | 0/20 >731 | |
| IC 19 | neg. | neg. | 0/20 >734 | neg. | neg. | n. d. | neg. | neg. | 0/20 >731 | neg. | neg. | n. d. | neg. | neg. | 0/20 >731 | |
| IC 20 | neg. | neg. | 0/19 >750 | neg. | neg. | n. d. | neg. | neg. | 0/20 >741 | neg. | neg. | n. d. | neg. | neg. | 0/20 >745 | |
| 6 m | IC 05 | neg. | neg. | 0/20 >732 | neg. † | neg. | 0/39 >726 | neg. | neg. | 0/20 >732 | neg. | neg. | 0/40 >728 | neg. | neg. | 0/19 >732 | 
| IC 06 | neg. | neg. | 0/19 >743 | neg. | neg. # | 0/40 >733 | neg. | neg. | 0/19 >750 | neg. | neg. | 0/40 >732 | neg. | neg. | 0/20 >733 | |
| IC 07 | neg. | neg. | 0/20 >732 | neg. | neg. | 0/38 >734 | neg. | neg. | 0/20 >732 | neg. | neg. | 0/40 >731 | neg. | neg. | 0/20 >735 | |
| IC 08 | neg. | neg. | 0/20 >733 | neg. | neg. | 0/38 >754 | neg. | neg. | 0/19 >734 | neg. | neg. | 0/40 >740 | neg. | neg. | 0/18 >730 | |
| IC 09 | neg. | neg. | 0/20 >734 | neg. | neg. | 0/39 >728 | neg. | neg. | 0/20 >734 | neg. | neg. | 0/39 >731 | neg. | neg. | 0/20 >732 | |
| IC 10 | neg. | neg. | 0/20 >731 | neg. | neg. # | 0/40 >733 | neg. | neg. | 0/20 >732 | neg. | neg. | 0/39 >731 | neg. | neg. | 0/20 >731 | |
| 8 m | IC 02 | neg. | neg. | 0/20 >734 | neg. | neg. | 0/40 >734 | neg. | neg. | 0/20 >730 | neg. | neg. | 0/43 >731 | neg. | neg. | 0/20 >734 | 
| IC 03 | neg. | neg. | 0/20 >734 | neg. | neg. | 0/39 >737 | neg. | neg. | 0/19 >764 | neg. | neg. | 0/38 >728 | neg. | neg. | 0/20 >733 | |
| 35 m | IC 04 | + * | ++ | n. d. | (+) * | neg. | n. d. | inc. | + | n. d. | neg. | neg. | n. d. | + | (+) | n. d. | 
| 36 m | IC 01 | + * | + | n. d. | (+) * | neg. | n. d. | inc. | (+) | n. d. | neg. | neg. | n. d. | inc. | (+) | n. d. | 
| Time Point Post Inoculation | Animal ID | Ganglion Cervicale Craniale | Ganglion Stellatum | Ganglion Nodosum | Ganglion Trigeminale | ||||
|---|---|---|---|---|---|---|---|---|---|
| PMCA | BA | PMCA | BA | PMCA | BA | PMCA | BA | ||
| 1 week | IC 17 | neg. | n. d. | neg. | n. d. | neg. | n. d. | neg. | n. d. | 
| IC 18 | neg. | n. d. | neg. | n. d. | neg. | n. d. | neg. | n. d. | |
| 2 m | IC 15 | neg. | n. d. | neg. | n. d. | neg. | n. d. | neg. | n. d. | 
| IC 16 | neg. | n. d. | neg. | n. d. | neg. | n. d. | neg. | n. d. | |
| 4 m | IC 11 | neg. | n. d. | neg. | n. d. | neg. | n. d. | neg. | n. d. | 
| IC 12 | neg. | n. d. | neg. | n. d. | neg. | n. d. | neg. | n. d. | |
| IC 13 | neg. | n. d. | neg. | n. d. | neg. | n. d. | neg. | n. d. | |
| IC 14 | neg. | n. d. | neg. | n. d. | neg. | n. d. | neg. | n. d. | |
| IC 19 | neg. | n. d. | neg. | n. d. | neg. | n. d. | neg. | n. d. | |
| IC 20 | neg. | n. d. | neg. | n. d. | neg. | n. d. | neg. | n. d. | |
| 6 m | IC 05 | neg. | 0/40, >731 | neg. | n. d. | neg. | 0/39, >735 | neg. | 0/39, >730 | 
| IC 06 | neg. | 0/38, >731 | neg. | n. d. | neg. | 0/40, >731 | neg. | 0/39, >730 | |
| IC 07 | neg. | 0/39, >731 | neg. | n. d. | neg. | 0/39, >732 | neg. | 0/39, 730 | |
| IC 08 | neg. | 0/40, >743 | neg. | n. d. | neg. | 0/30, >757 | neg. | 0/39, >731 | |
| IC 09 | neg. | 0/39, >731 | neg. | n. d. | neg. # | 0/39, >733 | neg. | 0/40, >731 | |
| IC 10 | neg. # | 0/38, >733 | neg. | n. d. | neg. | 0/38, >732 | neg. | 0/39, >731 | |
| 8 m | IC 02 | neg. | 0/39, >736 | neg. | n. d. | + | 2/34, 490 ± 66 (47) | neg. | 0/40, >733 | 
| IC 03 | neg. | 0/40, >731 | neg. | n. d. | neg. | 0/39, >732 | neg. | 0/40, >735 | |
| 35 m | IC 04 | neg | n. d. | ++ | n. d. | neg | n. d. | +++ | n. d. | 
| 36 m | IC 01 | neg | n. d. | + | n. d. | neg | n. d. | + | n. d. | 
| Time Point Post Inoculation | Animal ID | Infection Status | Obex | Cranial Medulla | Frontal Cortex | Cerebellum | Thoracic Spinal Cord T7 | |||||
|---|---|---|---|---|---|---|---|---|---|---|---|---|
| IHC | PMCA | BA | PMCA | BA | PMCA | BA | IHC | PMCA | BA | |||
| 1 week | IC 17 | Preclinical | neg. | neg. | n. d. | neg. | n. d. | neg. | n. d. | neg. | neg. | n. d. | 
| IC 18 | Preclinical | neg. | neg. | n. d. | neg. | n. d. | neg. | n. d. | neg. | neg. | n. d. | |
| 2 m | IC 15 | Preclinical | neg. | neg. | n. d. | neg. | n. d. | neg. | n. d. | neg. | neg. | n. d. | 
| IC 16 | Preclinical | neg. | neg. | n. d. | neg. | n. d. | neg. | n. d. | neg. | neg. | n. d. | |
| 4 m | IC 11 | Preclinical | neg. | neg. | n. d. | neg. | n. d. | neg. | n. d. | neg. | neg. | n. d. | 
| IC 12 | Preclinical | neg. | neg. | n. d. | neg. | n. d. | neg. | n. d. | neg. | neg. | n. d. | |
| IC 13 | Preclinical | neg. | neg. | n. d. | neg. | n. d. | neg. | n. d. | neg. | neg. | n. d. | |
| IC 14 | Preclinical | neg. | neg. | n. d. | neg. | n. d. | neg. | n. d. | neg. | neg. | n. d. | |
| IC 19 | Preclinical | neg. | neg. | n. d. | neg. | n. d. | neg. | n. d. | neg. | neg. | n. d. | |
| IC 20 | Preclinical | neg. | neg. | n. d. | neg. | n. d. | neg. | n. d. | neg. | neg. | n. d. | |
| 6 m | IC 05 | Preclinical | neg. | neg. | 0/40, >735 | neg. | n. d. | neg. | 0/39, >732 | neg. | neg. | 0/40; >732 | 
| IC 06 | Preclinical | neg. | neg. | 0/40, >735 | neg. | n. d. | neg. | 0/43, >735 | neg. | neg. | 0/37; >732 | |
| IC 07 | Preclinical | neg. | neg. | 0/40, >733 | neg. | n. d. | neg. | 0/40, >732 | neg. | neg. | 0/38; >735 | |
| IC 08 | Preclinical | neg. | neg. | 0/38, >735 | neg. | n. d. | neg. | 0/39, >748 | neg. | neg. | 0/39; >731 | |
| IC 09 | Preclinical | neg. | neg. | 0/40, >735 | neg. | n. d. | neg. | 0/36, >732 | neg. | neg. | 0/40, >732 | |
| IC 10 | Preclinical | neg. | neg. | 0/39, >735 | neg. | n. d. | neg. | 0/41, >731 | neg. | neg. | 0/39, >732 | |
| 8 m | IC 02 | Preclinical | neg. | neg. | 0/38, >733 | neg. | n. d. | neg. | 0/37, >733 | neg. | ++ | 8/39, 498 ± 24 (22) | 
| IC 03 | Preclinical | neg. | neg. | 0/40, >735 | neg. | n. d. | neg. | 0/38, >735 | neg. | neg. | 0/39, >732 | |
| 35 m | IC 04 | pos.control | + | +++ | n. d. | + | n. d. | +++ | n. d. | +(+) | +++ | n. d. | 
| 36 m | IC 01 | pos. control | ++ | +++ | n. d. | +++ | n. d. | +++ | n. d. | +++ | ++ | n. d. | 
| Publisher’s Note: MDPI stays neutral with regard to jurisdictional claims in published maps and institutional affiliations. | 
© 2021 by the authors. Licensee MDPI, Basel, Switzerland. This article is an open access article distributed under the terms and conditions of the Creative Commons Attribution (CC BY) license (https://creativecommons.org/licenses/by/4.0/).
Share and Cite
Ackermann, I.; Ulrich, R.; Tauscher, K.; Fatola, O.I.; Keller, M.; Shawulu, J.C.; Arnold, M.; Czub, S.; Groschup, M.H.; Balkema-Buschmann, A. Prion Infectivity and PrPBSE in the Peripheral and Central Nervous System of Cattle 8 Months Post Oral BSE Challenge. Int. J. Mol. Sci. 2021, 22, 11310. https://doi.org/10.3390/ijms222111310
Ackermann I, Ulrich R, Tauscher K, Fatola OI, Keller M, Shawulu JC, Arnold M, Czub S, Groschup MH, Balkema-Buschmann A. Prion Infectivity and PrPBSE in the Peripheral and Central Nervous System of Cattle 8 Months Post Oral BSE Challenge. International Journal of Molecular Sciences. 2021; 22(21):11310. https://doi.org/10.3390/ijms222111310
Chicago/Turabian StyleAckermann, Ivett, Reiner Ulrich, Kerstin Tauscher, Olanrewaju I. Fatola, Markus Keller, James C. Shawulu, Mark Arnold, Stefanie Czub, Martin H. Groschup, and Anne Balkema-Buschmann. 2021. "Prion Infectivity and PrPBSE in the Peripheral and Central Nervous System of Cattle 8 Months Post Oral BSE Challenge" International Journal of Molecular Sciences 22, no. 21: 11310. https://doi.org/10.3390/ijms222111310
APA StyleAckermann, I., Ulrich, R., Tauscher, K., Fatola, O. I., Keller, M., Shawulu, J. C., Arnold, M., Czub, S., Groschup, M. H., & Balkema-Buschmann, A. (2021). Prion Infectivity and PrPBSE in the Peripheral and Central Nervous System of Cattle 8 Months Post Oral BSE Challenge. International Journal of Molecular Sciences, 22(21), 11310. https://doi.org/10.3390/ijms222111310
 
         
                                                


 
       