Characterization and Function of the 1-Deoxy-D-xylose-5-Phosphate Synthase (DXS) Gene Related to Terpenoid Synthesis in Pinus massoniana
Abstract
1. Introduction
2. Materials and Methods
2.1. Plant Materials
2.2. Cloning of the mRNA Sequence of the PmDXS Gene
2.3. Bioinformatics Analysis of PmDXS
2.4. qRT-PCR
2.5. Construction and Transient Expression of Subcellular Localization Vector
2.6. Construction of the Prokaryotic Expression Vector
2.7. Production of the Target Protein and Stress Treatments
2.8. Promoter Cloning and Expression Analysis
2.9. Genetic Transformation and Pigment Content Determination of Overexpression Plants
3. Results
3.1. Molecular Cloning and Sequence Analysis of PmDXS
3.2. Tissue-Specific Expression Analysis of PmDXS
3.3. Analysis of PmDXS Expression Pattern under Abiotic Stress
3.4. Analysis of PmDXS Expression Pattern under Abiotic Stress
3.4.1. Induced Expression Analysis of Recombinant Protein
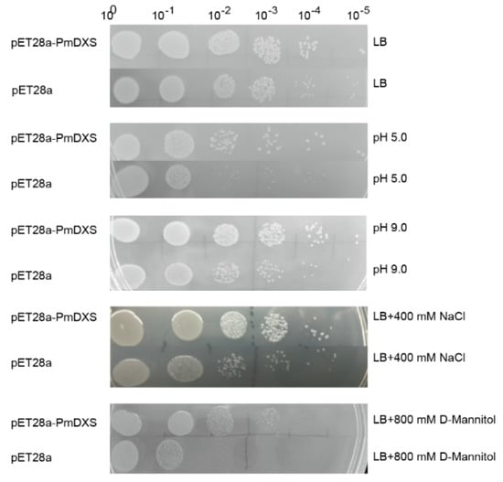
3.4.2. Experimental Analysis of Recombinant Protein under Different Stresses
3.5. Subcellular Localization of PmDXS
3.6. Function Analysis of PmDXS Promoter
3.7. Chlorophyll and Carotenoid Contents and DXS Enzyme Activity in Transformed and Wild-Type A. thaliana
4. Discussion
4.1. Characteristic Analysis of PmDXS
4.2. Analysis of PmDXS Organization and Induced Expression Pattern
4.3. Relationship between PmDXS Prokaryotic Expression and the Stress Response
4.4. Transient Expression of the PmDXS Promoter
4.5. Function Analysis of Overexpression Plants
5. Conclusions
Author Contributions
Funding
Institutional Review Board Statement
Informed Consent Statement
Data Availability Statement
Acknowledgments
Conflicts of Interest
References
- Saiman, M.Z.; Mustafa, N.R.; Pomahočová, B.; Verberne, M.; Verpoorte, R.; Choi, Y.H.; Schulte, A.E. Analysis of metabolites in the terpenoid pathway of Catharanthus roseus cell suspensions. Plant Cell Tissue Organ Cult. PCTOC 2014, 117, 225–239. [Google Scholar] [CrossRef]
- Liao, P.; Wang, H.; Hemmerlin, A.; Nagegowda, D.A.; Bach, T.J.; Wang, M.; Chye, M.-L. Past achievements, current status and future perspectives of studies on 3-hydroxy-3-methylglutaryl-CoA synthase (HMGS) in the mevalonate (MVA) pathway. Plant Cell Rep. 2014, 33, 1005–1022. [Google Scholar] [CrossRef] [PubMed]
- Vaccaro, M.; Malafronte, N.; Alfieri, M.; De Tommasi, N.; Leone, A. Enhanced biosynthesis of bioactive abietane diterpenes by overexpressing AtDXS or AtDXR genes in Salvia sclarea hairy roots. Plant Cell Tissue Organ Cult. PCTOC 2014, 119, 65–77. [Google Scholar] [CrossRef]
- Xiang, S.; Usunow, G.; Lange, G.; Busch, M.; Tong, L. 1-Deoxy-d-Xylulose 5-Phosphate Synthase (DXS), a Crucial Enzyme for Isoprenoids Biosynthesis. In Isoprenoid Synthesis in Plants and Microorganisms; Springer: New York, NY, USA, 2012; pp. 17–28. [Google Scholar]
- Wei, H.; Movahedi, A.; Xu, C.; Sun, W.; Yaghuti, A.A.Z.; Wang, P.; Li, D.; Zhuge, Q. Overexpression of PtDXS Enhances Stress Resistance in Poplars. Int. J. Mol. Sci. 2019, 20, 1669. [Google Scholar] [CrossRef] [PubMed]
- Henriquez, M.A.; Soliman, A.; Li, G.; Hannoufa, A.; Ayele, B.T.; Daayf, F. Molecular cloning, functional characterization and expression of potato (Solanum tuberosum) 1-deoxy- d -xylulose 5-phosphate synthase 1 (StDXS1) in response to Phytophthora infestans. Plant Sci. 2016, 243, 71–83. [Google Scholar] [CrossRef] [PubMed]
- Morris, W.L.; Ducreux, L.J.M.; Hedden, P.; Millam, S.; Taylor, M.A. Overexpression of a bacterial 1-deoxy-D-xylulose 5-phosphate synthase gene in potato tubers perturbs the isoprenoid metabolic network: Implications for the control of the tuber life cycle. J. Exp. Bot. 2006, 57, 3007–3018. [Google Scholar] [CrossRef]
- Jadaun, J.S.; Sangwan, N.S.; Narnoliya, L.K.; Singh, N.; Bansal, S.; Mishra, B.; Sangwan, R.S. Over-expression of DXS gene enhances terpenoidal secondary metabolite accumulation in rose-scented geranium and Withania somnifera: Active involvement of plastid isoprenogenic pathway in their biosynthesis. Physiol. Plant. 2016, 159, 381–400. [Google Scholar] [CrossRef]
- Enfissi, E.M.A.; Fraser, P.; Lois, L.-M.; Boronat, A.; Schuch, W.; Bramley, P.M. Metabolic engineering of the mevalonate and non-mevalonate isopentenyl diphosphate-forming pathways for the production of health-promoting isoprenoids in tomato. Plant Biotechnol. J. 2004, 3, 17–27. [Google Scholar] [CrossRef]
- Shi, J.; Fei, X.; Hu, Y.; Liu, Y.-L.; Wei, A. Identification of Key Genes in the Synthesis Pathway of Volatile Terpenoids in Fruit of Zanthoxylum bungeanum Maxim. Forest 2019, 10, 328. [Google Scholar] [CrossRef]
- Wu, D.S.; Yang, Z.Q.; Huang, Y.L. Analysis and evaluation of resin productivity and resin component among different half sibling families of Pinus massoniana. J. Beijing For. Univ. 2019, 41, 53–61. [Google Scholar] [CrossRef]
- Gong, Z.; Li, D.M.; Zhang, Z. Research progress of terpene synthases in conifers. Sci. Silvae Sin. 2010, 46, 123–130. [Google Scholar] [CrossRef]
- Drozdetskiy, A.; Cole, C.; Procter, J.; Barton, G.J. JPred4: A protein secondary structure prediction server. Nucleic Acids Res. 2015, 43, W389–W394. [Google Scholar] [CrossRef] [PubMed]
- Kumar, S.; Stecher, G.; Li, M.; Knyaz, C.; Tamura, K. MEGA X: Molecular Evolutionary Genetics Analysis across Computing Platforms. Mol. Biol. Evol. 2018, 35, 1547–1549. [Google Scholar] [CrossRef] [PubMed]
- He, Z.L.; Zhan, H.K.; Gao, S.H.; Lercher, M.J.; Chen, W.-H.; Hu, S. Evolview v2: An online visualization and management tool for customized and an-notated phylogenetic trees. Nucleic Acids Res. 2016, 44, W236–W241. [Google Scholar] [CrossRef] [PubMed]
- Chen, K.C.; Shen, H.B. Cell-PLoc 2.0: An improved package of web-servers for predicting subcellular localization of proteins in various organisms. Nat. Sci. 2010, 2, 1090–1103. [Google Scholar]
- Sun, X.B.; Chen, P.Z.; Wu, X.G.; Wu, F.; Ji, K. The cloning and expression analysis of PmAOX gene from Pinus massoniana under different stress. J. Nanjing For. Univ. 2020, 44, 70–78. [Google Scholar] [CrossRef]
- Zhu, P.; Ma, Y.; Zhu, L.; Chen, Y.; Li, R.; Ji, K.-S.; Ji, K.-S. Selection of Suitable Reference Genes in Pinus massoniana Lamb. Under Different Abiotic Stresses for qPCR Normalization. Forest 2019, 10, 632. [Google Scholar] [CrossRef]
- Wu, X.G. Cloning and Preliminary Analysis of PmCOMT Gene of Pinus Massonian; Nanjing Forestry University: Nanjing, China, 2018. [Google Scholar]
- Cheng, G.; Wang, L.; Lan, H. Cloning of PEPC-1 from a C4 halophyte Suaeda aralocaspica without Kranz anatomy and its recombinant enzymatic activity in responses to abiotic stresses. Enzym. Microb. Technol. 2016, 83, 57–67. [Google Scholar] [CrossRef]
- Gao, L.; Tian, Y.; Chen, M.-C.; Wei, L.; Gao, T.-G.; Yin, H.-J.; Zhang, J.-L.; Kumar, T.; Liu, L.-B.; Wang, S.-M.; et al. Cloning and functional characterization of epidermis-specific promoter MtML1 from Medicago truncatula. J. Biotechnol. 2019, 300, 32–39. [Google Scholar] [CrossRef]
- Dalton, C.C.; Iqbal, K.; Turner, D.A. Iron phosphate precipitation in murashige and skoog media. Physiol. Plant. 1983, 57, 472–476. [Google Scholar] [CrossRef]
- Clough, R.C.; Bent, A.F. Floral dip: A simplified method for Agrobacterium-mediated transformation of Arabidopsis thaliana. Plant J. 1998, 16, 735–743. [Google Scholar] [CrossRef] [PubMed]
- Wang, X.F.; He, W.L.; Cai, W.J. Analysis on transcriptome sequenced for Pinus massoniana. Mol. Plant Breed. 2013, 11, 385–392. [Google Scholar] [CrossRef]
- Zhang, J.J. Molecular Cloning and Expression Analysis of the Full-Length cDNA of 1-Deoxy-D-Xylulose-5-Phosphate Synthase (DXS) Gene from Cultivated Tobacco (Nicotiana tabacum L.). Bot. Res. 2018, 7, 367–374. [Google Scholar] [CrossRef]
- Phillips, M.A.; Walter, M.H.; Ralph, S.G.; Dabrowska, P.; Luck, K.; Urós, E.M.; Boland, W.; Strack, D.; Rodríguez-Concepción, M.; Bohlmann, J.; et al. Functional identification and differential expression of 1-deoxy-d-xylulose 5-phosphate synthase in induced terpenoid resin formation of Norway spruce (Picea abies). Plant Mol. Biol. 2007, 65, 243–257. [Google Scholar] [CrossRef] [PubMed]
- Zhou, W.; Huang, F.; Li, S.; Wang, Y.; Zhou, C.; Shi, M.; Wang, J.; Chen, Y.; Wang, Y.; Wang, H.; et al. Molecular Characterization of the 1-Deoxy-D-Xylulose 5-Phosphate Synthase Gene Family in Artemisia annua. Front. Plant Sci. 2018, 9, 952. [Google Scholar] [CrossRef]
- Wang, Y.; Yuan, X.L.; Li, S.G.; Chen, W.; Li, J. Gene cloning and functional characterization of three 1-deoxy-D-xylulose 5-phosphate synthases in Simao pine. BioResources 2018, 13, 6370–6382. [Google Scholar]
- Jing, R.; Zhu, C.Q.; Xu, C.J. 1-Deoxy-D-Xylulose 5-Phosphate Synthase (DXS) and its encoding gene. Chin. J. Cell Biol. 2007, 29, 706–712. [Google Scholar] [CrossRef]
- Xu, Y.; Liu, J.; Liang, L.; Yang, X.; Zhang, Z.; Gao, Z.; Sui, C.; Wei, J. Molecular cloning and characterization of three cDNAs encoding 1-deoxy-d-xylulose-5-phosphate synthase in Aquilaria sinensis (Lour.) Gilg. Plant Physiol. Biochem. 2014, 82, 133–141. [Google Scholar] [CrossRef]
- Estévez, J.M.; Cantero, A.; Reindl, A.; Reichler, S.; León, P. 1-Deoxy-d-xylulose-5-phosphate Synthase, a Limiting Enzyme for Plastidic Isoprenoid Biosynthesis in Plants. J. Biol. Chem. 2001, 276, 22901–22909. [Google Scholar] [CrossRef]
- Wang, H.; Feng, G.Q.; Li, Z.Y.; Qiu, F. Molecular cloning and characterization of 1-deoxy-D-xylulose 5-phosphate synthase gene from Taxus chinensis. Chin. Tradit. Herb. Drugs 2018, 49, 4636–4643. [Google Scholar] [CrossRef]
- Deng, J.; Wan, Q.Y.; Gong, L.; Liu, H.; Yu, K. Cloning and analysis of DXS gene from Atractylodes lancea. Chin. J. Exp. Tradit. Med. Formulae 2017, 23, 39–44. [Google Scholar]
- Walter, M.H.; Hans, J.; Strack, D. Two distantly related genes encoding 1-deoxy-d-xylulose 5-phosphate synthases: Differential regulation in shoots and apocarotenoid-accumulating mycorrhizal roots. Plant J. 2002, 31, 243–254. [Google Scholar] [CrossRef] [PubMed]
- Fan, H.; Wu, Q.; Wang, X.; Wu, L.; Cai, Y.; Lin, Y. Molecular cloning and expression of 1-deoxy-d-xylulose-5-phosphate synthase and 1-deoxy-d-xylulose-5-phosphate reductoisomerase in Dendrobium officinale. Plant Cell Tissue Organ Cult. PCTOC 2016, 125, 381–385. [Google Scholar] [CrossRef]
- Kim, Y.-B.; Kim, S.-M.; Kang, M.-K.; Kuzuyama, T.; Lee, J.K.; Park, S.-C.; Shin, S.-C.; Kim, S.-U. Regulation of resin acid synthesis in Pinus densiflora by differential transcription of genes encoding multiple 1-deoxy-d-xylulose 5-phosphate synthase and 1-hydroxy-2-methyl-2-(E)-butenyl 4-diphosphate reductase genes. Tree Physiol. 2009, 29, 737–749. [Google Scholar] [CrossRef] [PubMed]
- Xu, Y.; Wang, H.L.; Wang, G.B. Effects of temperature and light intensity on flavonoid biosynthesis of ginkgo (Gink-go biloba L.) leaves. J. Cent. South Univ. For. Technol. 2016, 36, 30–34. [Google Scholar] [CrossRef]
- Gong, L.T.; Su, X.J.; Yin, S.S. Cloning, expression analysis and prokaryotic expression of DXS gene of lavender. Xinjiang Agric. Sci. 2020, 57, 1233–1242. [Google Scholar] [CrossRef]
- Feng, G.Q. Cloning, Identification and Characterzation of TcDXS and TcDXR Involved in the MEP Biosynthetic Pathway of Taxus Chinensis; Southwest University: Chongqing, China, 2010. [Google Scholar]
- Zhu, Y.X.; Li, Y.; Zheng, X.F.; Guo, H.W. The transfer of biological information: From DNA to RNA. In Modern Molecular Biology, 4th ed.; Higher Education Press: Beijing, China, 2015; pp. 85–96. [Google Scholar]
- Yang, J.T.; Wang, X.J.; Hai, G. Cloning and functional analysis of Ghuhrf1 gene and promoter from Gossypium hirsutum. J. Agric. Sci. Technol. 2020, 22, 17–25. [Google Scholar]
- Li, S.Y.; Yuan, Y.J.; Zheng, Y.S. Cloning and tissue-specific expression analysis of type2 diacylglycerol acyltransfer-ase gene (DGAT2) promoter in Elaeis guineensis. Plant Sci. J. 2018, 36, 835–841. [Google Scholar] [CrossRef]
- Gan, L.; Di, R.; Chao, Y.; Han, L.; Chen, X.; Wu, C.; Yin, S. De Novo Transcriptome Analysis for Kentucky Bluegrass Dwarf Mutants Induced by Space Mutation. PLoS ONE 2016, 11, e0151768. [Google Scholar] [CrossRef]








| Primer Name | Forward Sequence (5′–3′) | Reverse Sequence (5′–3′) |
|---|---|---|
| PmDXS-Mid | CCTCTGGTTTGGCTGGATTTCCC | CGGTGCTTCAGAAGAGCATCATG |
| PmDXS 5′ RACE | CCCGTTCAAAGCCAGGAAATGGGAGAC | ACCCTTGGCGGCTTCTCTGAGTTTGCG |
| PmDXS 3′ RACE | GGTTGGGGCAGACGGTCCTACTCATTG | TGGCTTTGAACGGGCTACTTGATGGAA |
| DXS-ORF | ATGGCAATTGCAAGCAGGGCAGGAG | TTATCGGTGCTTCAGAAGAGCATC |
| Actin2 | CACGGAATAGGCAGAAGTTGG | TGGGCATAAAGTGTTAGAATAGC |
| Q-DXS | CAGTCTGCAATACCCTGCTCAT | CTGCTTTCACATTTTTCCCCTT |
| 28a-DXS | gggtcgcggatccgaattcGCAATTGCAAGCAGGGCAGGAGT 1 | caagcttgtcgacggagctcTCGGTGCTTCAGAAGAGCATCA 1 |
| DXS-GFP | gagaacacgggggactctagaATGGCAATTGCAAGCAGGG 1 | gcccttgctcaccatggatccTCGGTGCTTCAGAAGAGCATC 1 |
| GSP1 | TAATGGTCGCCCTAATCTGTCG | |
| GSP2 | CGCTAATGTGTTGGCTCAATCTCA | |
| 1302-DXS | acgggggactcttgaccatggATGGCAATTGCAAGCAGGG 1 | aagttcttctcctttactagttTATCGGTGCTTCAGAAGAG1 |
| PmDXS-Pro | GCAACAAATAATCAATCTGCCCATAG | GAAATGAGCAGGGAATTGCAGATT |
| pBI121-DXS | caaagggcaatcgggggactGCAACAAATAATCAATCTGCCCATAG 1 | cgtaacataagggactgaccacGAAATGAGCAGGGAATTGCAGATT 1 |
| pBI121 | GGTGCTACTGGTGATTTTGCTG | CTGATGCTCCATCACTTCCTG |
Publisher’s Note: MDPI stays neutral with regard to jurisdictional claims in published maps and institutional affiliations. |
© 2021 by the authors. Licensee MDPI, Basel, Switzerland. This article is an open access article distributed under the terms and conditions of the Creative Commons Attribution (CC BY) license (http://creativecommons.org/licenses/by/4.0/).
Share and Cite
Li, R.; Chen, P.; Zhu, L.; Wu, F.; Chen, Y.; Zhu, P.; Ji, K. Characterization and Function of the 1-Deoxy-D-xylose-5-Phosphate Synthase (DXS) Gene Related to Terpenoid Synthesis in Pinus massoniana. Int. J. Mol. Sci. 2021, 22, 848. https://doi.org/10.3390/ijms22020848
Li R, Chen P, Zhu L, Wu F, Chen Y, Zhu P, Ji K. Characterization and Function of the 1-Deoxy-D-xylose-5-Phosphate Synthase (DXS) Gene Related to Terpenoid Synthesis in Pinus massoniana. International Journal of Molecular Sciences. 2021; 22(2):848. https://doi.org/10.3390/ijms22020848
Chicago/Turabian StyleLi, Rong, Peizhen Chen, Lingzhi Zhu, Fan Wu, Yu Chen, Peihuang Zhu, and Kongshu Ji. 2021. "Characterization and Function of the 1-Deoxy-D-xylose-5-Phosphate Synthase (DXS) Gene Related to Terpenoid Synthesis in Pinus massoniana" International Journal of Molecular Sciences 22, no. 2: 848. https://doi.org/10.3390/ijms22020848
APA StyleLi, R., Chen, P., Zhu, L., Wu, F., Chen, Y., Zhu, P., & Ji, K. (2021). Characterization and Function of the 1-Deoxy-D-xylose-5-Phosphate Synthase (DXS) Gene Related to Terpenoid Synthesis in Pinus massoniana. International Journal of Molecular Sciences, 22(2), 848. https://doi.org/10.3390/ijms22020848

