Identification and Characterization of a Thermostable GH36 α-Galactosidase from Anoxybacillus vitaminiphilus WMF1 and Its Application in Synthesizing Isofloridoside by Reverse Hydrolysis
Abstract
:1. Introduction
2. Results and Discussion
2.1. Obtaining α-Galactosidase-Secreting Strains
2.2. Sequence and Structure Analysis
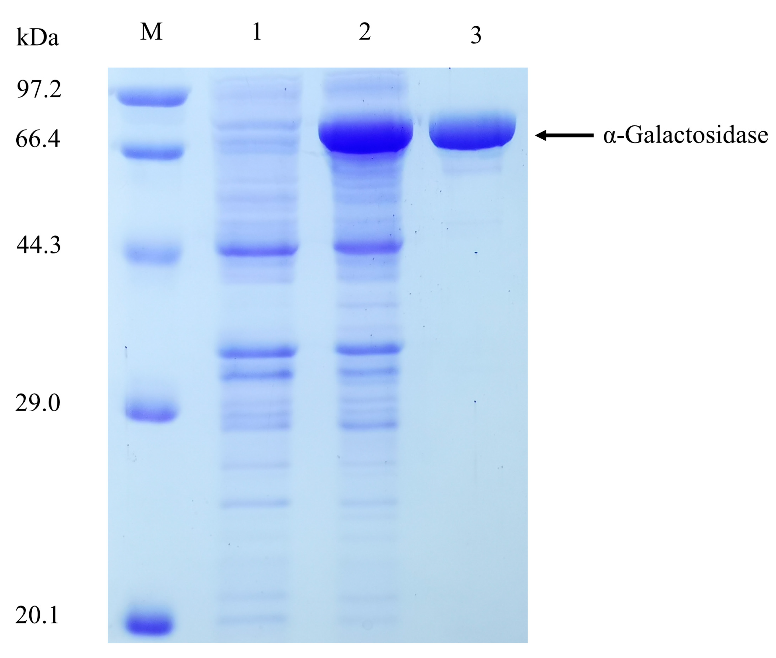
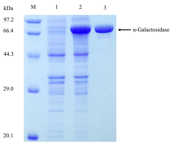
2.3. Expression and Purification of galV
2.4. Biochemical Characterization of galV
2.5. Substrate Specificity in the Hydrolysis Reaction
2.6. Reverse Hydrolysis of galV
2.7. Synthesis of Isofloridoside
3. Experimental Procedures
3.1. Materials
3.2. Microorganism Isolation and Identification
3.3. Cloning, Sequence and Structure Analysis of α-Galactosidase Gene
3.4. Expression and Purification of Enzymes
3.5. Enzyme Assay
3.6. Biochemical and Kinetic Properties of galV
3.7. Substrate Specificity in a Hydrolysis Reaction
3.8. Substrate Specificity in a Reverse Hydrolysis Reaction
3.9. Time-Course for Isofloridoside Synthesis
3.10. HPLC Analysis
4. Conclusions
Author Contributions
Funding
Data Availability Statement
Acknowledgments
Conflicts of Interest
References
- Kim, W.D.; Kaneko, S.; Park, G.G.; Tanaka, H.; Kusakabe, I.; Kobayashi, H. Purification and characterization of α-galactosidase from sunflower seeds. Biotechnol. Lett. 2003, 25, 353–358. [Google Scholar] [CrossRef] [PubMed]
- Weignerova, L.; Simerska, P.; Kren, V. α-Galactosidases and their applications in biotransformations. Biocatal. Biotransform. 2009, 27, 79–89. [Google Scholar] [CrossRef]
- Linares, N.C.; Dilokpimol, A.; Stalbrand, H.; Makela, M.R.; Vries, R.P.D. Recombinant production and characterization of six novel GH27 and GH36 alpha-galactosidases from Penicillium subrubescens and their synergism with a commercial mannanase during the hydrolysis of lignocellulosic biomass. Bioresour. Technol. 2020, 295, 122258. [Google Scholar] [CrossRef] [PubMed]
- Modrego, A.; Amaranto, M.; Godino, A.; Mendoza, R.; Barra, J.L.; Corchero, J.L. Human α-galactosidase a mutants: Priceless tools to develop novel therapies for fabry disease. Int. J. Mol. Sci. 2021, 22, 6518. [Google Scholar] [CrossRef]
- Linden, J.C. Immobilized α-d-galactosidase in the sugar beet industry. Enzym. Microb. Technol. 1982, 4, 130–136. [Google Scholar] [CrossRef]
- Panwar, D.; Shubhashini, A.; Chaudhari, S.R.; Prashanth, K.V.H.; Kapoor, M. GH36 alpha-galactosidase from Lactobacillus plantarum WCFS1 synthesize Gal-alpha-1,6 linked prebiotic alpha-galactooligosaccharide by transglycosylation. Int. J. Biol. Macromol. 2020, 144, 334–342. [Google Scholar] [CrossRef]
- Martinez-Garcia, M.; van der Maarel, M.J.E.C. Floridoside production by the red microalga Galdieria sulphuraria under different conditions of growth and osmotic stress. AMB Express 2016, 6, 71–78. [Google Scholar] [CrossRef]
- Li, Y.; Li, Y.X.; Lee, S.H.; Qian, Z.J.; Kim, S.K. Inhibitors of oxidation and matrix metalloproteinases, floridoside, and d-isofloridoside from marine red alga Laurencia undulata. J. Agric. Food Chem. 2010, 58, 578–586. [Google Scholar] [CrossRef]
- Cateni, F.; Bonivento, P.; Procida, G.; Zacchigna, M.; Scialino, G.; Banfi, E. Chemoenzymatic synthesis and in vitro studies on the hydrolysis of antimicrobial monoglycosyl diglycerides by pancreatic lipase. Bioorg. Med. Chem. Lett. 2007, 17, 1971–1978. [Google Scholar] [CrossRef]
- Rantwijk, F.V.; Oosterom, W.V.; Sheldon, R.A. Glycosidase-catalysed synthesis of alkyl glycosides. J. Mol. Catal. B Enzym. 1999, 6, 511–532. [Google Scholar] [CrossRef]
- Kurakake, M.; Moriyama, Y.; Sunouchi, R.; Nakatani, S. Enzymatic properties and transglycosylation of α-galactosidase from Penicillium oxalicum SO. Food Chem. 2011, 126, 177–182. [Google Scholar] [CrossRef]
- Kurakake, M.; Okumura, T.; Morimoto, Y. Synthesis of galactosyl glycerol from guar gum by transglycosylation of a-galactosidase from Aspergillus sp. MK14. Food Chem. 2015, 172, 150–154. [Google Scholar] [CrossRef]
- Wang, L.; Song, L.; He, X.; Teng, F.; Hu, M.; Tao, Y. Production of isofloridoside from galactose and glycerol using α-galactosidase from Alicyclobacillus hesperidum. Enzyme Microb. Technol. 2020, 134. [Google Scholar] [CrossRef]
- Wei, W.; Qi, D.; Zhao, H.; Lu, Z.; Lv, F.; Bie, X. Synthesis and characterisation of galactosyl glycerol by β-galactosidase catalysed reverse hydrolysis of galactose and glycerol. Food Chem. 2013, 141, 3085–3092. [Google Scholar] [CrossRef] [PubMed]
- Schwarz, A.; Thomsen, M.S.; Nidetzky, B. Enzymatic synthesis of beta-glucosylglycerol using a continuous-flow microreactor containing thermostable beta-glycoside hydrolase CelB immobilized on coated microchannel walls. Biotechnol. Bioeng. 2009, 103, 865–872. [Google Scholar] [CrossRef] [PubMed]
- Mi, S.; Meng, K.; Wang, Y.; Bai, Y.; Yuan, T.; Luo, H.; Yao, B. Molecular cloning and characterization of a novel α-galactosidase gene from Penicillium sp. F63 CGMCC 1669 and expression in Pichia pastoris. Enzyme Microb. Technol. 2007, 40, 1373–1380. [Google Scholar] [CrossRef]
- Merceron, R.; Foucault, M.; Haser, R.; Mattes, R.; Watzlawick, H.; Gouet, P. The molecular mechanism of the thermostable alpha-galactosidases AgaA and AgaB explained by X-ray crystallography and mutational studies. J. Biol. Chem. 2012, 287, 39642–39652. [Google Scholar] [CrossRef] [Green Version]
- Huang, Y.; Zhang, H.; Ben, P.; Duan, Y.; Lu, M.; Li, Z.; Cui, Z. Characterization of a novel GH36 alpha-galactosidase from Bacillus megaterium and its application in degradation of raffinose family oligosaccharides. Int. J. Biol. Macromol. 2018, 108, 98–104. [Google Scholar] [CrossRef]
- Liu, Y.; Yan, Q.; Guan, L.; Jiang, Z.; Yang, S. Biochemical characterization of a novel protease-resistant α-galactosidase from Paecilomyces thermophila suitable for raffinose family oligosaccharides degradation. Process. Biochem. 2020, 94, 370–379. [Google Scholar] [CrossRef]
- Li, S.; Zhu, M.; Li, T. Classification, substrate specificity and application of α-galactosidases. Adv. Mater. Res. 2011, 343-344, 1222–1228. [Google Scholar] [CrossRef]
- Xiao, M.; Tanaka, K.; Qian, X.M.; Yamamoto, K.; Kumagai, H. High-yield production and characterization of α-galactosidase from Bifidobacterium breve grown on raffinose. Biotechnol. Lett. 2000, 22, 747–751. [Google Scholar] [CrossRef]
- Wang, J.; Yang, X.; Yang, Y.; Liu, Y.; Piao, X.; Cao, Y. Characterization of a protease-resistant alpha-galactosidase from Aspergillus oryzae YZ1 and its application in hydrolysis of raffinose family oligosaccharides from soymilk. Int. J. Biol. Macromol. 2020, 158, 708–720. [Google Scholar] [CrossRef]
- Coombs, J.; Brenchley, J.E. Characterization of two new glycosyl hydrolases from the lactic acid bacterium Carnobacterium piscicola strain BA. Appl. Environ. Microbiol. 2001, 67, 5094–5099. [Google Scholar] [CrossRef] [PubMed] [Green Version]
- Schuler, R. Kinetic properties of α-d-galactosidase from Lactobacillus fermenti. Enzyme Microb. Technol. 1985, 7, 207–211. [Google Scholar] [CrossRef]
- Chen, Y.; Zhang, B.; Pei, H.; Lv, J.; Yang, W.; Cao, Y.; Dong, B. Directed evolution of Penicillium janczewskii zalesk alpha-galactosidase toward enhanced activity and expression in Pichia pastoris. Appl. Biochem. Biotechnol. 2012, 168, 638–650. [Google Scholar] [CrossRef]
- Gote, M.; Umalkar, H.; Khan, I.; Khire, J. Thermostable α-galactosidase from Bacillus stearothermophilus (NCIM 5146) and its application in the removal of flatulence causing factors from soymilk. Process Biochem. 2004, 39, 1723–1729. [Google Scholar] [CrossRef]
- Zhang, B.; Chen, Y.; Li, Z.; Lu, W.; Cao, Y. Cloning and functional expression of α-galactosidase cDNA from Penicillium janczewskii zaleski. Biologia 2011, 66, 205–212. [Google Scholar] [CrossRef]
- Katrolia, P.; Jia, H.; Yan, Q.; Song, S.; Jiang, Z.; Xu, H. Characterization of a protease-resistant alpha-galactosidase from the thermophilic fungus Rhizomucor miehei and its application in removal of raffinose family oligosaccharides. Bioresour. Technol. 2012, 110, 578–586. [Google Scholar] [CrossRef]
- Schroder, C.; Janzer, V.A.; Schirrmacher, G.; Claren, J.; Antranikian, G. Characterization of two novel heat-active alpha-galactosidases from thermophilic bacteria. Extremophiles 2016, 21, 85–94. [Google Scholar] [CrossRef]
- Cao, Y.; Huang, H.; Meng, K.; Yang, P.; Shi, P.; Wang, Y.; Luo, H.; Zhang, Z.; Wu, N.; Yao, B. Cloning and functional expression of an alpha-galactosidase from Yersinia pestis biovar Microtus str. 91001. Biosci. Biotechnol. Biochem. 2008, 72, 2203–2205. [Google Scholar] [CrossRef]
- Shankar, S.K.; Dhananjay, S.K.; Mulimani, V.H. Purification and characterization of thermostable alpha-galactosidase from Aspergillus terreusGR. Appl. Biochem. Biotechnol. 2009, 152, 275–285. [Google Scholar] [CrossRef]
- Kotwal, S.M.; Khan, M.I.; Khire, J.M. Production of thermostable e-galactosidase from thermophilic fungus Humicola sp. J. Ind. Microbiol. 1995, 15, 116–120. [Google Scholar] [CrossRef]
- Wang, H.; Ma, R.; Shi, P.J.; Xue, X.; Luo, H.; Huang, H.; Bai, Y.; Yang, P.; Yao, B. A new alpha-galactosidase from thermoacidophilic Alicyclobacillus sp. A4 with wide acceptor specificity for transglycosylation. Appl. Biochem. Biotechnol. 2014, 174, 328–338. [Google Scholar] [CrossRef] [PubMed]
- Singh, N.; Kayastha, A.M. Purification and characterization of alpha-galactosidase from white chickpea (Cicer arietinum). J. Agric. Food Chem. 2012, 60, 3253–3259. [Google Scholar] [CrossRef]
- Zhou, J.; Dong, Y.; Li, J.; Zhang, R.; Tang, X.; Mu, Y.; Xu, B.; Wu, Q.; Huang, Z. Cloning, heterologous expression, and characterization of novel protease-resistant alpha-galactosidase from new Sphingomonas strain. J. Microbiol. Biotechnol. 2012, 22, 1532–1539. [Google Scholar] [CrossRef] [PubMed] [Green Version]
- Jang, J.M.; Yang, Y.; Wang, R.; Bao, H.; Yuan, H.; Yang, J. Characterization of a high performance alpha-galactosidase from Irpex lacteus and its usage in removal of raffinose family oligosaccharides from soymilk. Int. J. Biol. Macromol. 2019, 131, 1138–1146. [Google Scholar] [CrossRef]
- Ferreira, J.G.; Reis, A.P.; Guimaraes, V.M.; Falkoski, D.L.; Fialho, L.D.S.; Rezende, S.T.D. Purification and characterization of Aspergillus terreus alpha-galactosidases and their use for hydrolysis of soymilk oligosaccharides. Appl. Biochem. Biotechnol. 2011, 164, 1111–1125. [Google Scholar] [CrossRef] [PubMed]
- Morales-Quintana, L.; Faúndez, C.; Herrera, R.; Zavaleta, V.; Ravanal, M.C.; Eyzaguirre, J.; Moya-León, M.A. Biochemical and structural characterization of Penicillium purpurogenum α-D galactosidase: Binding of galactose to an alternative pocket may explain enzyme inhibition. Carbohydr. Res. 2017, 448, 57–66. [Google Scholar] [CrossRef]
- Xie, J.; Wang, B.; He, Z.; Pan, L. A thermophilic fungal GH36 alpha-galactosidase from Lichtheimia ramosa and its synergistic hydrolysis of locust bean gum. Carbohydr. Res. 2020, 491, 107911. [Google Scholar] [CrossRef]
- Wang, H.; Luo, H.; Li, J.; Bai, Y.; Huang, H.; Shi, P.; Fan, Y.; Yao, B. An alpha-galactosidase from an acidophilic Bispora sp. MEY-1 strain acts synergistically with beta-mannanase. Bioresour. Technol. 2010, 101, 8376–8382. [Google Scholar] [CrossRef]
- Sasaki, Y.; Uchimura, Y.; Kitahara, K.; Fujita, K. Characterization of a GH36 α-d-Galactosidase associated with assimilation of gum arabic in Bifidobacterium longum subsp. longum JCM7052. J. Appl. Glycosci. 2021, 68, 47–52. [Google Scholar] [CrossRef] [PubMed]
- Wackett, L.P. Broad specificity microbial enzymes. Microb. Biotechnol. 2015, 8, 188–189. [Google Scholar] [CrossRef] [Green Version]
- Spangenberg, P.; Andre, C.; Dion, M.; Rabiller, C.; Mattes, R. Comparative study of new alpha-galactosidases in transglycosylation reactions. Carbohydr. Res. 2000, 329, 65–73. [Google Scholar] [CrossRef]
- Miller, G.L. Use of dinitrosalicylic acid reagent for determination of reducing sugar. Anal. Biochem. 1959, 31, 426–428. [Google Scholar] [CrossRef]








| Supplement | Relative Activity (%) | Supplement | Relative Activity (%) |
|---|---|---|---|
| None | 100 ± 0.03 | Mn2+ | 55.13 ± 0.21 |
| K+ | 104.45 ± 0.01 | Zn2+ | 15.38 ± 0.08 |
| Li+ | 101.07 ± 0.03 | Fe3+ | 3.93 ± 0.07 |
| Na+ | 99.86 ± 0.36 | CTAB | 8.98 ± 0.14 |
| Ni2+ | 4.86 ± 0.05 | SDS | 4.43 ± 0.02 |
| Ba2+ | 100 ± 0.07 | Triton X-100 | 100 ± 0.09 |
| Ca2+ | 28.47 ± 0.01 | Tween-80 | 100 ± 0.07 |
| Cu2+ | 0.16 ± 0.00 | DMSO | 100 ± 0.07 |
| Fe2+ | 2.37 ± 0.08 | Methanol | 100 ± 0.09 |
| Mg2+ | 99.64 ± 0.06 | Acetonitrile | 3.43 ± 0.00 |
| Substrate | Relative Activity (%) |
|---|---|
| pNP-α-d-galactopyranoside | 100 ± 0.08 |
| pNP-β-d-galactopyranoside | <0.001 |
| Melibiose | <0.001 |
| Raffinose | 2.75 ± 0.01 |
| Stachyose | 1.50 ± 0.00 |
| Lactose | <0.001 |
| D(+)-cellobiose | <0.001 |
| Guar gum | <0.001 |
| Organism | pH Stability | Thermostability | Substrate Specificity | Ref |
|---|---|---|---|---|
| Anoxybacillus vitaminiphilus WMF1 | >80%, 6.0–9.0 | 78%, 60 °C, 2 h | pNPG > raffinose > stachyose > melibiose | This study |
| Rhizomucor miehei | >80%, 4.5–10 | 70%, 60 °C, 30 min | pNPG > stachyose > raffinose > melibiose | [28] |
| Bacillus megaterium | >70%, 6.0–7.4 | 80%, 45 °C, 2 h | pNPG > melibiose > raffinose > stachyose | [18] |
| Yersinia pestisbiovar Microtus str. 91001 | >60%, 6.5–7.5 | 63%, 50 °C, 30 min | NR | [30] |
| Lichtheimia ramosa | >65%, 3.0–9.0 | 90%, 60 °C, 10 min | pNPG > melibiose > raffinose > stachyose | [39] |
| Penicillium sp. F63 CGMCC 1669 | 5.5–6.5 | stable below 40 °C | melibiose > raffinose > stachyose | [16] |
| Bacillus stearothermophilus NCIM 5146 | >60%, 6.0–9.0 | 80%, 65 °C, 2 h | pNPG > melibiose > raffinose > stachyose | [26] |
| Bifidobacterium longum JCM7052 | NR | NR | pNPG > raffinose > melibiose > stachyose | [41] |
| Dictyoglomus thermophilum sp | >83%, 7.0–10.0 | 50%, 60 °C, 12 h | pNPG, melibiose, raffinose, stachyose | [29] |
| Meiothermus ruber | 3.0–10.0 | 50%, 60 °C, 12 h | pNPG, melibiose, raffinose, stachyose | [29] |
| Penicillium janczewskii zaleski | >50%, 4.0–6.8 | 60%, 35 °C, 2 h | pNPG > melibiose > raffinose > stachyose | [27] |
| Aspergillus oryzae YZ1 | >90%, 3.0–8.0 | 60%, 45 °C, 40 min | pNPG > stachyose > raffinose | [22] |
| Paceilomyces thermophila | >90%, 4.0–11.5 | 90%, 50 °C, 30 min | pNPG > stachyose > melibiose > raffinose | [19] |
| Acceptor | Relative Activity (%) |
|---|---|
| Glycerol | 100 ± 0.27 |
| Methanol | <0.001 |
| Ethanol | 85.2 ± 0.48 |
| Ethylene glycol | 88.6 ± 0.70 |
| 1-Butanol | <0.001 |
| Xylitol | <0.001 |
| Inositol | <0.001 |
| D-sorbitol | <0.001 |
| Mannitol | <0.001 |
Publisher’s Note: MDPI stays neutral with regard to jurisdictional claims in published maps and institutional affiliations. |
© 2021 by the authors. Licensee MDPI, Basel, Switzerland. This article is an open access article distributed under the terms and conditions of the Creative Commons Attribution (CC BY) license (https://creativecommons.org/licenses/by/4.0/).
Share and Cite
Wang, J.; Cao, X.; Chen, W.; Xu, J.; Wu, B. Identification and Characterization of a Thermostable GH36 α-Galactosidase from Anoxybacillus vitaminiphilus WMF1 and Its Application in Synthesizing Isofloridoside by Reverse Hydrolysis. Int. J. Mol. Sci. 2021, 22, 10778. https://doi.org/10.3390/ijms221910778
Wang J, Cao X, Chen W, Xu J, Wu B. Identification and Characterization of a Thermostable GH36 α-Galactosidase from Anoxybacillus vitaminiphilus WMF1 and Its Application in Synthesizing Isofloridoside by Reverse Hydrolysis. International Journal of Molecular Sciences. 2021; 22(19):10778. https://doi.org/10.3390/ijms221910778
Chicago/Turabian StyleWang, Jialing, Xuefei Cao, Weihao Chen, Jiaxing Xu, and Bin Wu. 2021. "Identification and Characterization of a Thermostable GH36 α-Galactosidase from Anoxybacillus vitaminiphilus WMF1 and Its Application in Synthesizing Isofloridoside by Reverse Hydrolysis" International Journal of Molecular Sciences 22, no. 19: 10778. https://doi.org/10.3390/ijms221910778
APA StyleWang, J., Cao, X., Chen, W., Xu, J., & Wu, B. (2021). Identification and Characterization of a Thermostable GH36 α-Galactosidase from Anoxybacillus vitaminiphilus WMF1 and Its Application in Synthesizing Isofloridoside by Reverse Hydrolysis. International Journal of Molecular Sciences, 22(19), 10778. https://doi.org/10.3390/ijms221910778

