Investigation of the Epithelial to Mesenchymal Transition (EMT) Process in Equine Papillomavirus-2 (EcPV-2)-Positive Penile Squamous Cell Carcinomas
Abstract
:1. Introduction
2. Results
2.1. Case Selection, EcPV2 Detection, and EcPV2 Oncogenes Expression
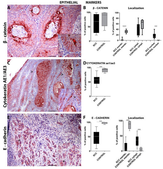
2.2. Intermediate Filaments Rearrangements and Cadherin Switching Suggest the Activation of the EMT Process in EcPV2-Associated Equine Penile Squamous Cell Carcinomas
2.3. TWIST-1 Nuclear Expression Is Found in EcPV2-Associated Equine Penile Squamous Cell Carcinomas Undergoing the EMT Process
2.4. The wnt/β-Catenin Pathway Is Activated in EcPV2-Associated Equine Penile Squamous Cell Carcinomas Undergoing the EMT Process
3. Discussion
4. Materials and Methods
4.1. Samples
4.2. Histopathological Diagnosis and Immunohistochemistry
4.3. DNA Extraction and EcPV2 Detection
4.4. RNA Extraction and EcPV2 Gene Expression
4.5. RT-qPCR for Host Gene Study
4.6. Statistical Analysis
Author Contributions
Funding
Institutional Review Board Statement
Informed Consent Statement
Data Availability Statement
Acknowledgments
Conflicts of Interest
References
- Van Den Top, J.G.; Ensink, J.M.; Gröne, A.; Klein, W.R.; Barneveld, A.; Van Weeren, P.R. Penile and preputial tumours in the horse: Literature review and proposal of a standardised approach. Equine Vet. J. 2010, 42, 746–757. [Google Scholar] [CrossRef]
- van den Top, J.G.; de Heer, N.; Klein, W.R.; Ensink, J.M. Penile and preputial squamous cell carcinoma in the horse: A retrospective study of treatment of 77 affected horses. Equine Vet. J. 2008, 40, 533–537. [Google Scholar] [CrossRef]
- Mair, T.S.; Walmsley, J.P.; Phillips, T.J. Surgical treatment of 45 horses affected by squamous cell carcinoma of the penis and prepuce. Equine Vet. J. 2000, 32, 406–410. [Google Scholar] [CrossRef]
- Scase, T.; Brandt, S.; Kainzbauer, C.; Sykora, S.; Bijmholt, S.; Hughes, K.; Sharpe, S.; Foote, A. Equus caballus papillomavirus-2 (EcPV-2): An infectious cause for equine genital cancer? Equine Vet. J. 2010, 42, 738–745. [Google Scholar] [CrossRef] [PubMed]
- Cervantes-Arias, A.; Pang, L.Y.; Argyle, D.J. Epithelial-mesenchymal transition as a fundamental mechanism underlying the cancer phenotype. Vet. Comp. Oncol. 2013, 11, 169–184. [Google Scholar] [CrossRef] [PubMed] [Green Version]
- Mecocci, S.; Porcellato, I.; Armando, F.; Mechelli, L.; Brachelente, C.; Pepe, M.; Gialletti, R.; Passeri, B.; Modesto, P.; Ghelardi, A.; et al. Equine Genital Squamous Cell Carcinoma Associated with EcPV2 Infection: RANKL Pathway Correlated to Inflammation and Wnt Signaling Activation. Biology 2021, 10, 244. [Google Scholar] [CrossRef] [PubMed]
- Porcellato, I.; Mecocci, S.; Mechelli, L.; Cappelli, K.; Brachelente, C.; Pepe, M.; Orlandi, M.; Gialletti, R.; Passeri, B.; Ferrari, A.; et al. Equine Penile Squamous Cell Carcinomas as a Model for Human Disease: A Preliminary Investigation on Tumor Immune Microenvironment. Cells 2020, 9, 2364. [Google Scholar] [CrossRef]
- Arthurs, C.; Suarez-Bonnet, A.; Willis, C.; Xie, B.; Machulla, N.; Mair, T.S.; Cao, K.; Millar, M.; Thrasivoulou, C.; Priestnall, S.L.; et al. Equine penile squamous cell carcinoma: Expression of biomarker proteins and EcPV2. Sci. Rep. 2020, 10, 7863. [Google Scholar] [CrossRef]
- Suárez-Bonnet, A.; Willis, C.; Pittaway, R.; Smith, K.; Mair, T.; Priestnall, S.L. Molecular carcinogenesis in equine penile cancer: A potential animal model for human penile cancer. Urol. Oncol. 2018, 36, 532.e9–532.e18. [Google Scholar] [CrossRef] [Green Version]
- Micalizzi, D.S.; Farabaugh, S.M.; Ford, H.L. Epithelial-mesenchymal transition in cancer: Parallels between normal development and tumor progression. J. Mammary Gland Biol. Neoplasia. 2010, 15, 117–134. [Google Scholar] [CrossRef] [Green Version]
- Thiery, J.P.; Acloque, H.; Huang, R.Y.; Nieto, M.A. Epithelial-mesenchymal transitions in development and disease. Cell 2009, 139, 871–890. [Google Scholar] [CrossRef] [PubMed]
- Lamouille, S.; Xu, J.; Derynck, R. Molecular mechanisms of epithelial-mesenchymal transition. Nat. Rev. Mol. Cell Biol. 2014, 15, 178–196. [Google Scholar] [CrossRef] [PubMed] [Green Version]
- Chang, H.; Liu, Y.; Xue, M.; Liu, H.; Du, S.; Zhang, L.; Wang, P. Synergistic action of master transcription factors controls epithelial-to-mesenchymal transition. Nucleic Acids Res. 2016, 44, 2514–2527. [Google Scholar] [CrossRef] [PubMed] [Green Version]
- Mani, S.A.; Guo, W.; Liao, M.J.; Eaton, E.N.; Ayyanan, A.; Zhou, A.Y.; Brooks, M.; Reinhard, F.; Zhang, C.C.; Shipitsin, M.; et al. The epithelial-mesenchymal transition generates cells with properties of stem cells. Cell 2008, 133, 704–715. [Google Scholar] [CrossRef] [Green Version]
- Wheelock, M.J.; Shintani, Y.; Maeda, M.; Fukumoto, Y.; Johnson, K.R. Cadherin switching. J. Cell Sci. 2008, 121, 727–735. [Google Scholar] [CrossRef] [Green Version]
- O’Connor, J.W.; Gomez, E.W. Biomechanics of TGFβ-induced epithelial-mesenchymal transition: Implications for fibrosis and cancer. Clin. Transl. Med. 2014, 3, 23. [Google Scholar] [CrossRef]
- Jung, Y.S.; Kato, I.; Kim, H.R. A novel function of HPV16-E6/E7 in epithelial-mesenchymal transition. Biochem. Biophys. Res. Commun. 2013, 435, 339–344. [Google Scholar] [CrossRef]
- Al Moustafa, A.E. E5 and E6/E7 of high-risk HPVs cooperate to enhance cancer progression through EMT initiation. Cell Adhes Migr. 2015, 9, 392–393. [Google Scholar] [CrossRef]
- Armando, F.; Godizzi, F.; Razzuoli, E.; Leonardi, F.; Angelone, M.; Corradi, A.; Meloni, D.; Ferrari, L.; Passeri, B. Epithelial to Mesenchymal Transition (EMT) in a Laryngeal Squamous Cell Carcinoma of a Horse: Future Perspectives. Animals 2020, 10, 2318. [Google Scholar] [CrossRef]
- da Cunha, I.W.; Souza, M.J.; da Costa, W.H.; Amâncio, A.M.; Fonseca, F.P.; Zequi, S.C.; Lopes, A.; Guimarães, G.C.; Soares, F. Epithelial-mesenchymal transition (EMT) phenotype at invasion front of squamous cell carcinoma of the penis influences oncological outcomes. Urol. Oncol. 2016, 34, 433.e19–433.e26. [Google Scholar] [CrossRef]
- Terry, S.; Savagner, P.; Ortiz-Cuaran, S.; Mahjoubi, L.; Saintigny, P.; Thiery, J.P.; Chouaib, S. New insights into the role of EMT in tumor immune escape. Mol. Oncol. 2017, 11, 824–846. [Google Scholar] [CrossRef] [PubMed] [Green Version]
- Savagner, P. The epithelial-mesenchymal transition (EMT) phenomenon. Ann. Oncol. 2010, 21, vii89–vii92. [Google Scholar] [CrossRef] [PubMed]
- Grzegrzolka, J.; Biala, M.; Wojtyra, P.; Kobierzycki, C.; Olbromski, M.; Gomulkiewicz, A.; Piotrowska, A.; Rys, J.; Podhorska-Okolow, M.; Dziegiel, P. Expression of EMT Markers SLUG and TWIST in Breast Cancer. Anticancer Res. 2015, 35, 3961–3968. [Google Scholar] [PubMed]
- Kalluri, R.; Neilson, E.G. Epithelial-mesenchymal transition and its implications for fibrosis. J. Clin. Investig. 2003, 112, 1776–1784. [Google Scholar] [CrossRef]
- Kalluri, R.; Weinberg, R.A. The basics of epithelial-mesenchymal transition. J. Clin. Investig. 2009, 119, 1420–1428. [Google Scholar] [CrossRef] [PubMed] [Green Version]
- Armando, F.; Ferrari, L.; Arcari, M.L.; Azzali, G.; Dallatana, D.; Ferrari, M.; Lombardi, G.; Zanfabro, M.; Di Lecce, R.; Lunghi, P.; et al. Endocanalicular transendothelial crossing (ETC): A novel intravasation mode used by HEK-EBNA293-VEGF-D cells during the metastatic process in a xenograft model. PLoS ONE 2020, 15, e0239932. [Google Scholar] [CrossRef] [PubMed]
- Rodriguez, F.J.; Lewis-Tuffin, L.J.; Anastasiadis, P.Z. E-cadherin’s dark side: Possible role in tumor progression. Biochim. Biophys. Acta 2012, 1826, 23–31. [Google Scholar] [CrossRef] [Green Version]
- Kourtidis, A.; Lu, R.; Pence, L.J.; Anastasiadis, P.Z. A central role for cadherin signaling in cancer. Exp. Cell Res. 2017, 358, 78–85. [Google Scholar] [CrossRef]
- Wang, W.; Wen, Q.; Luo, J.; Chu, S.; Chen, L.; Xu, L.; Zang, H.; Alnemah, M.M.; Li, J.; Zhou, J.; et al. Suppression Of β-catenin Nuclear Translocation By CGP57380 Decelerates Poor Progression And Potentiates Radiation-Induced Apoptosis in Nasopharyngeal Carcinoma. Theranostics 2017, 7, 2134–2149. [Google Scholar] [CrossRef]
- Arya, M.; Thrasivoulou, C.; Henrique, R.; Millar, M.; Hamblin, R.; Davda, R.; Aare, K.; Masters, J.R.; Thomson, C.; Muneer, A.; et al. Targets of Wnt/ß-catenin transcription in penile carcinoma. PLoS ONE 2015, 10, e0124395. [Google Scholar] [CrossRef]
- Bonilla-Delgado, J.; Bulut, G.; Liu, X.; Cortés-Malagón, E.M.; Schlegel, R.; Flores-Maldonado, C.; Contreras, R.G.; Chung, S.H.; Lambert, P.F.; Uren, A.; et al. The E6 oncoprotein from HPV16 enhances the canonical Wnt/β-catenin pathway in skin epidermis in vivo. Mol. Cancer Res. 2012, 10, 250–258. [Google Scholar] [CrossRef] [PubMed] [Green Version]
- Huang, T.; Cheng, X.; Chahoud, J.; Sarhan, A.; Tamboli, P.; Rao, P.; Guo, M.; Manyam, G.; Zhang, L.; Xiang, Y.; et al. Effective combinatorial immunotherapy for penile squamous cell carcinoma. Nat. Commun. 2020, 11, 2124. [Google Scholar] [CrossRef] [PubMed]
- Santiago, L.; Daniels, G.; Wang, D.; Deng, F.M.; Lee, P. Wnt signaling pathway protein LEF1 in cancer, as a biomarker for prognosis and a target for treatment. Am. J. Cancer Res. 2017, 7, 1389–1406. [Google Scholar] [PubMed]
- Polyak, K.; Weinberg, R.A. Transitions between epithelial and mesenchymal states: Acquisition of malignant and stem cell traits. Nat. Rev. Cancer 2009, 9, 265–273. [Google Scholar] [CrossRef] [PubMed]
- Liang, J.; Li, X.; Li, Y.; Wei, J.; Daniels, G.; Zhong, X.; Wang, J.; Sfanos, K.; Melamed, J.; Zhao, J.; et al. LEF1 targeting EMT in prostate cancer invasion is mediated by miR-181a. Am. J. Cancer Res. 2015, 5, 1124–1132. [Google Scholar]
- Zirkel, A.; Lederer, M.; Stöhr, N.; Pazaitis, N.; Hüttelmaier, S. IGF2BP1 promotes mesenchymal cell properties and migration of tumor-derived cells by enhancing the expression of LEF1 and SNAI2 (SLUG). Nucleic Acids Res. 2013, 41, 6618–6636. [Google Scholar] [CrossRef] [Green Version]
- Kobayashi, W.; Ozawa, M. The transcription factor LEF-1 induces an epithelial-mesenchymal transition in MDCK cells independent of β-catenin. Biochem. Biophys. Res. Commun. 2013, 442, 133–138. [Google Scholar] [CrossRef]
- Yang, S.Z.; Kohno, N.; Yokoyama, A.; Kondo, K.; Hamada, H.; Hiwada, K. Decreased E-cadherin augments beta-catenin nuclear localization: Studies in breast cancer cell lines. Int. J. Oncol. 2001, 18, 541–548. [Google Scholar]
- Orsulic, S.; Huber, O.; Aberle, H.; Arnold, S.; Kemler, R. E-cadherin binding prevents beta-catenin nuclear localization and beta-catenin/LEF-1-mediated transactivation. J. Cell Sci. 1999, 112, 1237–1245. [Google Scholar] [CrossRef]
- Chaw, S.Y.; Abdul Majeed, A.; Dalley, A.J.; Chan, A.; Stein, S.; Farah, C.S. Epithelial to mesenchymal transition (EMT) biomarkers—E-cadherin, beta-catenin, APC and Vimentin—In oral squamous cell carcinogenesis and transformation. Oral Oncol. 2012, 48, 997–1006. [Google Scholar] [CrossRef]
- Liu, L.K.; Jiang, X.Y.; Zhou, X.X.; Wang, D.M.; Song, X.L.; Jiang, H.B. Upregulation of vimentin and aberrant expression of E-cadherin/beta-catenin complex in oral squamous cell carcinomas: Correlation with the clinicopathological features and patient outcome. Mod. Pathol. 2010, 23, 213–224. [Google Scholar] [CrossRef] [Green Version]
- Ahern, E.; Smyth, M.J.; Dougall, W.C.; Teng, M.W.L. Roles of the RANKL-RANK axis in antitumour immunity—Implications for therapy. Nat. Rev. Clin. Oncol. 2018, 15, 676–693. [Google Scholar] [CrossRef]
- Palafox, M.; Ferrer, I.; Pellegrini, P.; Vila, S.; Hernandez-Ortega, S.; Urruticoechea, A.; Climent, F.; Soler, M.T.; Muñoz, P.; Viñals, F.; et al. RANK induces epithelial-mesenchymal transition and stemness in human mammary epithelial cells and promotes tumorigenesis and metastasis. Cancer Res. 2012, 72, 2879–2888. [Google Scholar] [CrossRef] [Green Version]
- Feng, X.; Shi, Y.; Xu, L.; Peng, Q.; Wang, F.; Wang, X.; Sun, W.; Lu, Y.; Tsao, B.P.; Zhang, M.; et al. Modulation of IL-6 induced RANKL expression in arthritic synovium by a transcription factor SOX5. Sci. Rep. 2016, 6, 32001. [Google Scholar] [CrossRef] [Green Version]
- van Dam, P.A.; Verhoeven, Y.; Jacobs, J.; Wouters, A.; Tjalma, W.; Lardon, F.; Van den Wyngaert, T.; Dewulf, J.; Smits, E.; Colpaert, C.; et al. RANK-RANKL Signaling in Cancer of the Uterine Cervix: A Review. Int. J. Mol. Sci. 2019, 20, 2183. [Google Scholar] [CrossRef] [Green Version]
- Rezaei, M.; Mostafaei, S.; Aghaei, A.; Hosseini, N.; Darabi, H.; Nouri, M.; Etemadi, A.; Neill, A.O.; Nahand, J.S.; Mirzaei, H.; et al. The association between HPV gene expression, inflammatory agents and cellular genes involved in EMT in lung cancer tissue. BMC Cancer 2020, 20, 916. [Google Scholar] [CrossRef] [PubMed]
- Liu, J.; Huang, B.; Xiu, Z.; Zhou, Z.; Liu, J.; Li, X.; Tang, X. PI3K/Akt/HIF-1α signaling pathway mediates HPV-16 oncoprotein-induced expression of EMT-related transcription factors in non-small cell lung cancer cells. J. Cancer 2018, 9, 3456–3466. [Google Scholar] [CrossRef] [PubMed] [Green Version]
- May, M.; Brookman-May, S.; Burger, M.; Koch, S.; Otto, W.; Bründl, J.; Albrecht, K.; Denzinger, S. A switch from epithelial to mesenchymal properties correlates with lymphovascular invasion in squamous cell carcinoma of the penis. Pathol. Res. Pract. 2015, 211, 641–645. [Google Scholar] [CrossRef] [PubMed]
- Masferrer, E.; Ferrándiz-Pulido, C.; Masferrer-Niubò, M.; Rodríguez-Rodríguez, A.; Gil, I.; Pont, A.; Servitje, O.; de Herreros, A.G.; Lloveras, B.; García-Patos, V.; et al. Epithelial-to-mesenchymal transition in penile squamous cell carcinoma. J. Urol. 2015, 193, 699–705. [Google Scholar] [CrossRef] [PubMed]
- Vichi, G.; Porcellato, I.; Mechelli, L.; Fantauzzo, G.; Razzuoli, E.; Modesto, P.; Mecocci, S.; Brachelente, C. Co-occurrence of papillomas related to Equus caballus papillomavirus type 2 and cutaneous habronemiasis. Equine Vet. Educ. 2021. [Google Scholar] [CrossRef]
- Cappelli, K.; Amadori, M.; Mecocci, S.; Miglio, A.; Antognoni, M.T.; Razzuoli, E. Immune Response in Young Thoroughbred Racehorses under Training. Animals 2020, 10, 1809. [Google Scholar] [CrossRef] [PubMed]




| Case ID | Histological Diagnosis | Koilocytosis | DNA | cDNA | Grouping on the Expression of Viral Genes | ||
|---|---|---|---|---|---|---|---|
| E7 | E6 | E6 | E7 | E6/E7 | |||
| 1 | SCC | N | + | + | 30.4 ± 0.2 | 30.4 ± 0.3 | E6/E7+ |
| 2 | SCC | N | + | + | 36.2 ± 0.6 | 35.8 ± 0.5 | E6/E7+ |
| 3 | SCC | N | + | + | >48 | >48 | E6/E7− |
| 4 | SCC | N | + | + | 33.5 ± 0.4 | 37.2 ± 0.6 | E6/E7+ |
| 5 | SCC | N | + | + | 32.7 ± 0.9 | 32.2 ± 0.3 | E6/E7+ |
| 6 | SCC | N | + | + | 33.5 ± 0.3 | 37.8 ± 0.5 | E6/E7+ |
| 7 | SCC | N | + | + | >48 | >48 | E6/E7− |
| 8 | SCC | N | + | + | 33.7 ± 0.4 | 32.6 ± 0.2 | E6/E7+ |
| 9 | SCC | N | + | + | >48 | >48 | E6/E7− |
| 10 | SCC | N | + | + | >48 | >48 | E6/E7− |
| 11 | SCC | N | + | + | 33.9 ± 1.9 | 32.6 ± 0.3 | E6/E7+ |
| 12 | SCC | N | - | - | ND | ND | E6/E7− |
| 13 | CIS | N | + | + | 30.4 ± 0.6 | 29.4 ± 0.5 | E6/E7+ |
| 14 | SCC | N | + | + | 32.3 ± 0.1 | >48 | E6/E7+ |
| 15 | SCC | N | - | - | ND | ND | E6/E7− |
| 16 | SCC | Y | + | + | 23.4 ± 0.1 | 21.6 ± 0.4 | E6/E7+ |
| 17 | SCC | N | + | + | 21.2 ± 0.6 | 22.4 ± 0.7 | E6/E7+ |
| 18 | SCC | N | + | + | 22.9 ± 0.2 | 21.4 ± 0.3 | E6/E7+ |
| Target Antigen | Antibody Details/Clone | Heat Induced Epitope Retrieval (HIER) | Primary Antibody Dilution | Secondary Antibody (1:200) | Positive Control |
|---|---|---|---|---|---|
| E-cadherin | Monoclonal mouse anti-human, IgG2a, clone 36/E-Cadherin BD 610181 (BD transduction laboratories, Franklin lakes, NJ, USA) | Microwave 400 W, 3 cycles, 5 min. each, sodium citrate buffer, pH 6.0 | 1:100 | Biotinylated goat anti-mouse IgG (BA-100—Vector Labs) | Horse, skin |
| Pan- cytokeratin AE1/AE3 | Monoclonal mouse anti-human IgG1, SC-81714 (Santa Cruz Biotechnology, Dallas, TX, USA) | Microwave 400 W, 3 cycles, 5 min. each, sodium citrate buffer, pH 6.0 | 1:100 | Biotinylated goat anti-mouse IgG (BA-100—Vector Labs) | Horse, skin |
| β-catenin | Polyclonal goat anti-human IgG, AB0095-200 (Sicgen, Coimbra, Portugal) | Microwave 400 W, 3 cycles, 5 min. each, sodium citrate buffer, pH 6.0 | 1:3000 | Biotinylated rabbit anti-goat IgG (BA-100—Vector Labs) | Horse, intestine |
| N-cadherin | Polyclonal rabbit anti-human IgG, 22018-1-AP (proteintech, Rosemont, IL, USA) | Microwave 400 W, 3 cycles, 5 min. each, sodium citrate buffer, pH 6.0 | 1:3000 | Biotinylated goat anti-rabbit IgG (BA-100—Vector Labs) | Horse, heart |
| Vimentin | Monoclonal mouse anti-human IgG1, Clone RV202 SC-32322 (Santa Cruz Biotechnology, Dallas, TX, USA) | Microwave 400 W, 3 cycles, 5 min. each, sodium citrate buffer, pH 6.0 | 1:100 | Biotinylated goat anti-mouse IgG (BA-100—Vector Labs) | Horse, heart (endothelial cells) |
| ZEB-1 | Polyclonal rabbit anti-human IgG, LS-C31478 (LSBio, Seattle, WA, USA) | Microwave 400 W, 3 cycles, 5 min. each, sodium citrate buffer, pH 6.0 | 1:200 | Biotinylated goat anti-rabbit IgG (BA-100—Vector Labs) | Horse, kidney |
| TWIST-1 | Polyclonal rabbit anti-human IgG, orb-329955 (biorbyt, Cambridge, UK) | Microwave 400 W, 3 cycles, 5 min. each, sodium citrate buffer, pH 6.0 | 1:800 | Biotinylated goat anti-rabbit IgG (BA-100—Vector Labs) | Horse, kidney |
| Gene | Sequences | Reference/Accession |
|---|---|---|
| EcPV2-E7 | F-5′-CTCTGAGCAGCATCACCCTT-3′ R-5′-TCTTCCTCGTCTTCTGTGTCC-3′ | NC_012123 |
| p-EcPV2-E7 | FAM-AGAGCGCTCCCCCTCAGTCA-TAMRA | NC_012123 |
| EcPV2-E6 | F-5′-CGTTGGCCTTCTTTGCATCT-3′ R-5′-AGGTTCAGGTCTGCTGTGTT-3′ | [7] |
| p-EcPV2-E6 | FAM-CCGTGTGGCTATGCTGATGACATTTGG-TAMRA | [7] |
| B2M DNA detection | F-5′-CTGATGTTCTCCAGGTGTTCC-3′ R-5′-TCAATCTCAGGCGGATGGAA-3′ | [50] |
| B2M cDNA expression | F-5′-GGCTACTCTCCCTGACTGG-3′ R-5′-TCAATCTCAGGCGGATGGAA-3′ | [50] |
| p-B2M | FAM-ACTCACGTCACCCAGCAGAGA-TAMRA | [50] |
| Gene | Primer Pairs Sequences | Reference |
|---|---|---|
| B2M | F-5′-GGCTACTCTCCCTGACTGG-3′ R-5′-TCAATCTCAGGCGGATGGAA-3′ | [50] |
| RANKL | F-5′-AGCCTGACACTCAACCTTTTG-3′ R-5′-CCAGGAAGACAGACTCACTTTG-3′ | [6] |
| BCATN1 | F-5′-CCTCTTCAGAACGGAGCCAA-3′ R-5′-CTGGCGATATCCAAGGGGTT-3′ | [6] |
| FOSL1 | F-5′-TACCGAGACTTCGGGGAAC-3′ R-5′-GCGTTGATACTTGGCACGAG-3′ | [6] |
| LEF1 | F-5′-GCCAGACAAGCACAAACCTC-3′ R-5′-GGGTCCCTTGCTGTAGAGG-3′ | [6] |
Publisher’s Note: MDPI stays neutral with regard to jurisdictional claims in published maps and institutional affiliations. |
© 2021 by the authors. Licensee MDPI, Basel, Switzerland. This article is an open access article distributed under the terms and conditions of the Creative Commons Attribution (CC BY) license (https://creativecommons.org/licenses/by/4.0/).
Share and Cite
Armando, F.; Mecocci, S.; Orlandi, V.; Porcellato, I.; Cappelli, K.; Mechelli, L.; Brachelente, C.; Pepe, M.; Gialletti, R.; Ghelardi, A.; et al. Investigation of the Epithelial to Mesenchymal Transition (EMT) Process in Equine Papillomavirus-2 (EcPV-2)-Positive Penile Squamous Cell Carcinomas. Int. J. Mol. Sci. 2021, 22, 10588. https://doi.org/10.3390/ijms221910588
Armando F, Mecocci S, Orlandi V, Porcellato I, Cappelli K, Mechelli L, Brachelente C, Pepe M, Gialletti R, Ghelardi A, et al. Investigation of the Epithelial to Mesenchymal Transition (EMT) Process in Equine Papillomavirus-2 (EcPV-2)-Positive Penile Squamous Cell Carcinomas. International Journal of Molecular Sciences. 2021; 22(19):10588. https://doi.org/10.3390/ijms221910588
Chicago/Turabian StyleArmando, Federico, Samanta Mecocci, Virginia Orlandi, Ilaria Porcellato, Katia Cappelli, Luca Mechelli, Chiara Brachelente, Marco Pepe, Rodolfo Gialletti, Alessandro Ghelardi, and et al. 2021. "Investigation of the Epithelial to Mesenchymal Transition (EMT) Process in Equine Papillomavirus-2 (EcPV-2)-Positive Penile Squamous Cell Carcinomas" International Journal of Molecular Sciences 22, no. 19: 10588. https://doi.org/10.3390/ijms221910588
APA StyleArmando, F., Mecocci, S., Orlandi, V., Porcellato, I., Cappelli, K., Mechelli, L., Brachelente, C., Pepe, M., Gialletti, R., Ghelardi, A., Passeri, B., & Razzuoli, E. (2021). Investigation of the Epithelial to Mesenchymal Transition (EMT) Process in Equine Papillomavirus-2 (EcPV-2)-Positive Penile Squamous Cell Carcinomas. International Journal of Molecular Sciences, 22(19), 10588. https://doi.org/10.3390/ijms221910588

