Hesperetin Inhibits Expression of Virulence Factors and Growth of Helicobacter pylori
Abstract
1. Introduction
2. Results
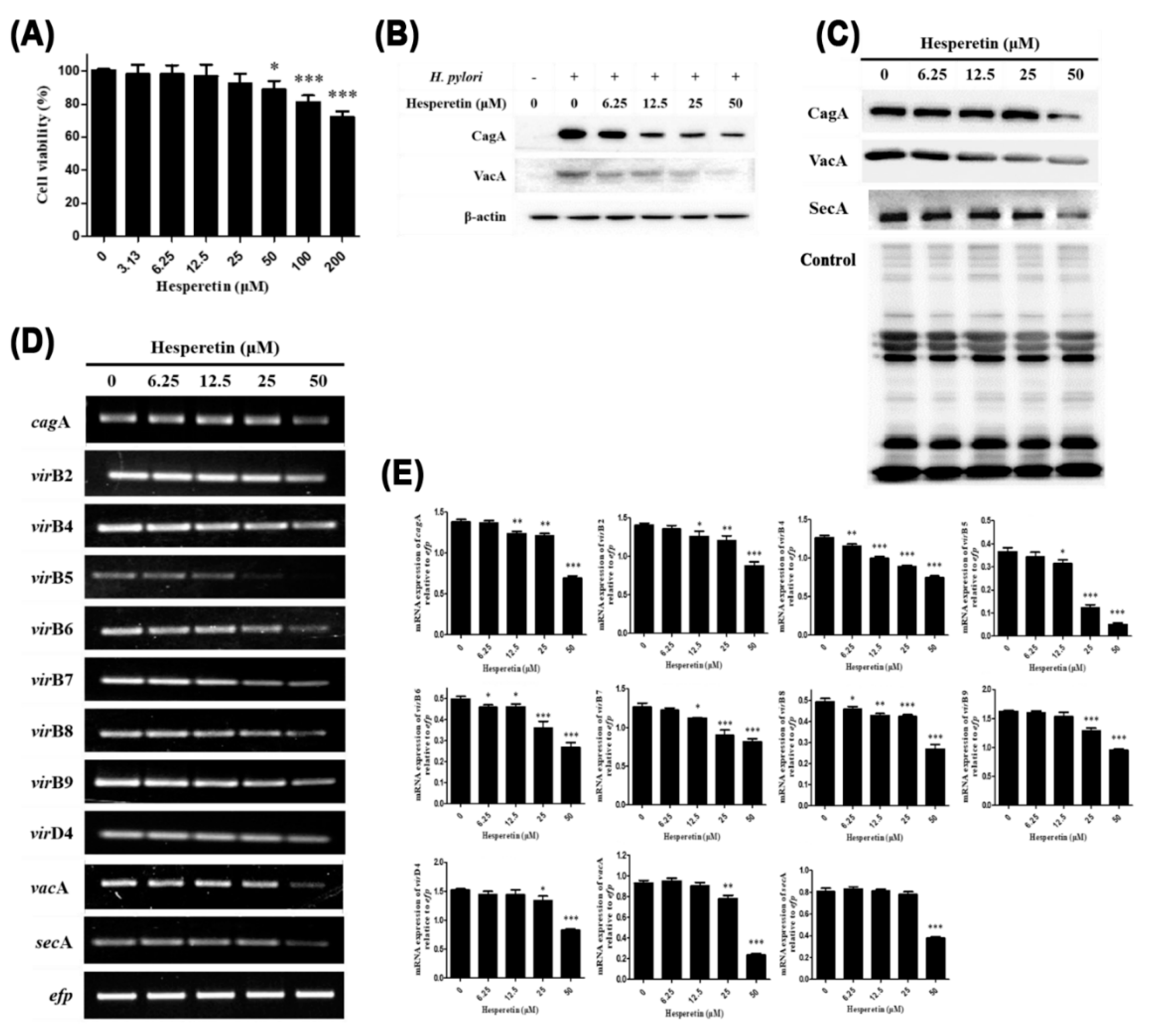
2.1. Inhibitory Effect of Hesperetin on the Growth of H. pylori by Downregulating Replication and Transcription Genes
2.2. Downregulation of Urease, Motility, and Adhesion of H. pylori Treated with Hesperetin
2.3. Hesperetin Reduces CagA and VacA Translocation to AGS Cells
3. Discussion
4. Materials and Methods
4.1. Bacterial Culture and Collection of H. pylori Clinical Isolates
4.2. Mammalian Cell Culture
4.3. Determination of MIC
4.4. Reverse Transcriptase–Polymerase Chain Reaction (RT-PCR)
4.5. Western Blotting
4.6. Urease Activity Test
4.7. Motility Test
4.8. Adhesion Activity Test
4.9. Statistical Analysis
Author Contributions
Funding
Institutional Review Board Statement
Informed Consent Statement
Data Availability Statement
Conflicts of Interest
References
- Zamani, M.; Ebrahimtabar, F.; Zamani, V.; Miller, W.H.; Alizadeh-Navaei, R.; Shokri-Shirvani, J.; Derakhshan, M.H. Systematic review with meta-analysis: The worldwide prevalence of Helicobacter pylori infection. Aliment. Pharmacol. Ther. 2018, 47, 868–876. [Google Scholar] [CrossRef] [PubMed]
- Kotilea, K.; Bontems, P.; Touati, E. epidemiology, diagnosis and risk factors of Helicobacter pylori infection. Adv. Exp. Med. Biol. 2019, 1149, 17–33. [Google Scholar] [CrossRef] [PubMed]
- Leja, M.; Grinberga-Derica, I.; Bilgilier, C.; Steininger, C. Review: Epidemiology of Helicobacter pylori infection. Helicobacter 2019, 24 (Suppl. S1), e12635. [Google Scholar] [CrossRef] [PubMed]
- Leipe, D.D.; Aravind, L.; Grishin, N.V.; Koonin, E.V. The bacterial replicative helicase DnaB evolved from a RecA duplication. Genome Res. 2000, 10, 5–16. [Google Scholar]
- Messer, W. The bacterial replication initiator DnaA. DnaA and OriC, the bacterial mode to initiate DNA replication. FEMS Microbiol. Rev. 2002, 26, 355–374. [Google Scholar] [CrossRef] [PubMed]
- Maciag, M.; Kochanowska, M.; Lyzen, R.; Wegrzyn, G.; Szalewska-Palasz, A. ppGpp inhibits the activity of Escherichia coli DnaG primase. Plasmid 2010, 63, 61–67. [Google Scholar] [CrossRef]
- Nitharwal, R.G.; Verma, V.; Dasgupta, S.; Dhar, S.K. Helicobacter pylori chromosomal DNA replication: Current status and future perspectives. FEBS Lett. 2011, 585, 7–17. [Google Scholar] [CrossRef][Green Version]
- Li, X.T.; Thomason, L.C.; Sawitzke, J.A.; Costantino, N.; Court, D.L. Bacterial DNA polymerases participate in oligonucleotide recombination. Mol. Microbiol. 2013, 88, 906–920. [Google Scholar] [CrossRef]
- Campbell, E.A.; Korzheva, N.; Mustaev, A.; Murakami, K.; Nair, S.; Goldfarb, A.; Darst, S.A. Structural mechanism for rifampicin inhibition of bacterial RNA polymerase. Cell 2001, 104, 901–912. [Google Scholar] [CrossRef]
- Aihara, E.; Closson, C.; Matthis, A.L.; Schumacher, M.A.; Engevik, A.C.; Zavros, Y.; Ottemann, K.M.; Montrose, M.H. Motility and chemotaxis mediate the preferential colonization of gastric injury sites by Helicobacter pylori. PLoS Pathog. 2014, 10, e1004275. [Google Scholar] [CrossRef]
- Ottemann, K.M.; Lowenthal, A.C. Helicobacter pylori uses motility for initial colonization and to attain robust infection. Infect. Immun. 2002, 70, 1984–1990. [Google Scholar] [CrossRef]
- Allan, E.; Dorrell, N.; Foynes, S.; Anyim, M.; Wren, B.W. Mutational analysis of genes encoding the early flagellar components of Helicobacter pylori: Evidence for transcriptional regulation of flagellin A biosynthesis. J. Bacteriol. 2000, 182, 5274–5277. [Google Scholar] [CrossRef][Green Version]
- Schirm, M.; Soo, E.C.; Aubry, A.J.; Austin, J.; Thibault, P.; Logan, S.M. Structural, genetic and functional characterization of the flagellin glycosylation process in Helicobacter pylori. Mol. Microbiol. 2003, 48, 1579–1592. [Google Scholar] [CrossRef] [PubMed]
- Loconte, V.; Kekez, I.; Matkovic-Calogovic, D.; Zanotti, G. Structural characterization of FlgE2 protein from Helicobacter pylori hook. FEBS J. 2017, 284, 4328–4342. [Google Scholar] [CrossRef]
- Tsang, J.; Hoover, T.R. Basal body structures differentially affect transcription of RpoN- and FliA-dependent flagellar genes in Helicobacter pylori. J. Bacteriol. 2015, 197, 1921–1930. [Google Scholar] [CrossRef] [PubMed][Green Version]
- Benktander, J.; Angstrom, J.; Breimer, M.E.; Teneberg, S. Redefinition of the carbohydrate binding specificity of Helicobacter pylori BabA adhesin. J. Biol. Chem. 2012, 287, 31712–31724. [Google Scholar] [CrossRef]
- Yamaoka, Y. Increasing evidence of the role of Helicobacter pylori SabA in the pathogenesis of gastroduodenal disease. J. Infect. Dev. Ctries. 2008, 2, 174–181. [Google Scholar] [CrossRef]
- Yamaoka, Y.; Kikuchi, S.; El-Zimaity, H.M.; Gutierrez, O.; Osato, M.S.; Graham, D.Y. Importance of Helicobacter pylori oipA in clinical presentation, gastric inflammation, and mucosal interleukin 8 production. Gastroenterology 2002, 123, 414–424. [Google Scholar] [CrossRef]
- Carlsohn, E.; Nystrom, J.; Bolin, I.; Nilsson, C.L.; Svennerholm, A.M. HpaA is essential for Helicobacter pylori colonization in mice. Infect. Immun. 2006, 74, 920–926. [Google Scholar] [CrossRef]
- de Jonge, R.; Durrani, Z.; Rijpkema, S.G.; Kuipers, E.J.; van Vliet, A.H.M.; Kusters, J.G. Role of the Helicobacter pylori outer-membrane proteins AlpA and AlpB in colonization of the guinea pig stomach. J. Med. Microbiol. 2004, 53, 375–379. [Google Scholar] [CrossRef] [PubMed]
- Lu, H.; Wu, J.Y.; Beswick, E.J.; Ohno, T.; Odenbreit, S.; Haas, R.; Reyes, V.E.; Kita, M.; Graham, D.Y.; Yamaoka, Y. Functional and intracellular signaling differences associated with the Helicobacter pylori AlpAB adhesin from Western and East Asian strains. J. Biol. Chem. 2007, 282, 6242–6254. [Google Scholar] [CrossRef] [PubMed]
- Voland, P.; Hafsi, N.; Zeitner, M.; Laforsch, S.; Wagner, H.; Prinz, C. Antigenic properties of HpaA and Omp18, two outer membrane proteins of Helicobacter pylori. Infect. Immun. 2003, 71, 3837–3843. [Google Scholar] [CrossRef]
- Kennemann, L.; Brenneke, B.; Andres, S.; Engstrand, L.; Meyer, T.F.; Aebischer, T.; Josenhans, C.; Suerbaum, S. In vivo sequence variation in HopZ, a phase-variable outer membrane protein of Helicobacter pylori. Infect. Immun. 2012, 80, 4364–4373. [Google Scholar] [CrossRef] [PubMed]
- Peck, B.; Ortkamp, M.; Diehl, K.D.; Hundt, E.; Knapp, B. Conservation, localization and expression of HopZ, a protein involved in adhesion of Helicobacter pylori. Nucleic Acids Res. 1999, 27, 3325–3333. [Google Scholar] [CrossRef]
- Backert, S.; Blaser, M.J. The role of CagA in the gastric biology of Helicobacter pylori. Cancer Res. 2016, 76, 4028–4031. [Google Scholar] [CrossRef]
- Merino, E.; Flores-Encarnacion, M.; Aguilar-Gutierrez, G.R. Functional interaction and structural characteristics of unique components of Helicobacter pylori T4SS. FEBS J. 2017, 284, 3540–3549. [Google Scholar] [CrossRef]
- Backert, S.; Tegtmeyer, N.; Fischer, W. Composition, structure and function of the Helicobacter pylori cag pathogenicity island encoded type IV secretion system. Future Microbiol. 2015, 10, 955–965. [Google Scholar] [CrossRef]
- Kutter, S.; Buhrdorf, R.; Haas, J.; Schneider-Brachert, W.; Haas, R.; Fischer, W. Protein subassemblies of the Helicobacter pylori Cag type IV secretion system revealed by localization and interaction studies. J. Bacteriol. 2008, 190, 2161–2171. [Google Scholar] [CrossRef]
- Tanaka, J.; Suzuki, T.; Mimuro, H.; Sasakawa, C. Structural definition on the surface of Helicobacter pylori type IV secretion apparatus. Cell Microbiol. 2003, 5, 395–404. [Google Scholar] [CrossRef]
- Jones, K.R.; Whitmire, J.M.; Merrell, D.S. A tale of two toxins: Helicobacter pylori CagA and VacA modulate host pathways that impact disease. Front. Microbiol. 2010, 1, 115. [Google Scholar] [CrossRef] [PubMed]
- Liechti, G.; Goldberg, J.B. Outer membrane biogenesis in Escherichia coli, Neisseria meningitidis, and Helicobacter pylori: Paradigm deviations in H. pylori. Front. Cell Infect. Microbiol. 2012, 2, 29. [Google Scholar] [CrossRef] [PubMed]
- Parhiz, H.; Roohbakhsh, A.; Soltani, F.; Rezaee, R.; Iranshahi, M. Antioxidant and anti-inflammatory properties of the citrus flavonoids hesperidin and hesperetin: An updated review of their molecular mechanisms and experimental models. Phytother. Res. 2015, 29, 323–331. [Google Scholar] [CrossRef] [PubMed]
- Khan, A.; Ikram, M.; Hahm, J.R.; Kim, M.O. Antioxidant and Anti-Inflammatory Effects of Citrus Flavonoid Hesperetin: Special Focus on Neurological Disorders. Antioxidants 2020, 9, 609. [Google Scholar] [CrossRef] [PubMed]
- Mandalari, G.; Bennett, R.N.; Bisignano, G.; Trombetta, D.; Saija, A.; Faulds, C.B.; Gasson, M.J.; Narbad, A. Antimicrobial activity of flavonoids extracted from bergamot (Citrus bergamia Risso) peel, a byproduct of the essential oil industry. J. Appl. Microbiol. 2007, 103, 2056–2064. [Google Scholar] [CrossRef]
- Iranshahi, M.; Rezaee, R.; Parhiz, H.; Roohbakhsh, A.; Soltani, F. Protective effects of flavonoids against microbes and toxins: The cases of hesperidin and hesperetin. Life Sci. 2015, 137, 125–132. [Google Scholar] [CrossRef] [PubMed]
- Lee, Y.H.; Lee, N.K.; Paik, H.D. Antimicrobial characterization of inula britannica against Helicobacter pylori on gastric condition. J. Microbiol. Biotechnol. 2016, 26, 1011–1017. [Google Scholar] [CrossRef]
- Gonzalez, A.; Salillas, S.; Velazquez-Campoy, A.; Espinosa Angarica, V.; Fillat, M.F.; Sancho, J.; Lanas, A. Identifying potential novel drugs against Helicobacter pylori by targeting the essential response regulator HsrA. Sci. Rep. 2019, 9, 11294. [Google Scholar] [CrossRef]
- Krzyżek, P.; Migdał, P.; Paluch, E.; Karwańska, M.; Wieliczko, A.; Gościniak, G. Myricetin as an Antivirulence Compound Interfering with a Morphological Transformation into Coccoid Forms and Potentiating Activity of Antibiotics against Helicobacter pylori. Int. J. Mol. Sci. 2021, 22, 2695. [Google Scholar] [CrossRef]
- Yeon, M.J.; Lee, M.H.; Kim, D.H.; Yang, J.Y.; Woo, H.J.; Kwon, H.J.; Moon, C.; Kim, S.H.; Kim, J.B. Anti-inflammatory effects of Kaempferol on Helicobacter pylori—Induced inflammation. Biosci. Biotechnol. Biochem. 2019, 83, 166–173. [Google Scholar] [CrossRef]
- Kusters, J.G.; van Vliet, A.H.; Kuipers, E.J. Pathogenesis of Helicobacter pylori infection. Clin. Microbiol. Rev. 2006, 19, 449–490. [Google Scholar] [CrossRef]
- Nakamura, H.; Yoshiyama, H.; Takeuchi, H.; Mizote, T.; Okita, K.; Nakazawa, T. Urease plays an important role in the chemotactic motility of Helicobacter pylori in a viscous environment. Infect. Immun. 1998, 66, 4832–4837. [Google Scholar] [CrossRef]
- Yoshiyama, H.; Nakazawa, T. Unique mechanism of Helicobacter pylori for colonizing the gastric mucus. Microbes Infect. 2000, 2, 55–60. [Google Scholar] [CrossRef]
- Chang, C.C.; Kuo, W.S.; Chen, Y.C.; Perng, C.L.; Lin, H.J.; Ou, Y.H. Fragmentation of CagA reduces hummingbird phenotype induction by Helicobactor pylori. PLoS ONE 2016, 11, e0150061. [Google Scholar] [CrossRef] [PubMed]
- Rassow, J. Helicobacter pylori vacuolating toxin A and apoptosis. Cell Commun. Signal. 2011, 9, 26. [Google Scholar] [CrossRef]
- Zou, Y.; Qian, X.; Liu, X.; Song, Y.; Song, C.; Wu, S.; An, Y.; Yuan, R.; Wang, Y.; Xie, Y. The effect of antibiotic resistance on Helicobacter pylori eradication efficacy: A systematic review and meta-analysis. Helicobacter 2020, 25, e12714. [Google Scholar] [CrossRef] [PubMed]
- Dang, B.N.; Graham, D.Y. Helicobacter pylori infection and antibiotic resistance: A WHO high priority? Nat. Rev. Gastroenterol. Hepatol. 2017, 14, 383–384. [Google Scholar] [CrossRef]
- Shirai, N.; Furuta, T.; Sugimoto, M.; Nakamura, A. High dose dual PPI/AMPC therapy for the treatment of Helicobacter pylori infection after failure of usual standard triple PPI/AMPC/CAM therapy. Nihon Rinsho 2005, 63 (Suppl. S11), 438–441. [Google Scholar]
- Bae, E.A.; Han, M.J.; Kim, D.H. In vitro anti-Helicobacter pylori activity of some flavonoids and their metabolites. Planta Med. 1999, 65, 442–443. [Google Scholar] [CrossRef]
- Lee, M.H.; Kwon, H.J.; Kim, D.H.; Yang, J.Y.; Cho, Y.; Woo, H.J.; Yeon, M.J.; Park, M.; Moon, C.; Kim, S.-H.; et al. Kinetin inhibits growth of Helicobacter pylori by down-regulation of replication genes. Int. J. Clin. Exp. Med. 2017, 10, 795–801. [Google Scholar]
- Tharmalingam, N.; Kim, S.H.; Park, M.; Woo, H.J.; Kim, H.W.; Yang, J.Y.; Rhee, K.J.; Kim, J.B. Inhibitory effect of piperine on Helicobacter pylori growth and adhesion to gastric adenocarcinoma cells. Infect. Agent Cancer 2014, 9, 43. [Google Scholar] [CrossRef]
- Clayton, C.; Kleanthous, K.; Tabaqchali, S. Detection and identification of Helicobacter pylori by the polymerase chain reaction. J. Clin. Pathol. 1991, 44, 515–516. [Google Scholar] [CrossRef]
- Shen, F.; Hobley, L.; Doherty, N.; Loh, J.T.; Cover, T.L.; Sockett, R.E.; Hardie, K.R.; Atherton, J.C. In Helicobacter pylori auto-inducer-2, but not LuxS/MccAB catalysed reverse transsulphuration, regulates motility through modulation of flagellar gene transcription. BMC Microbiol. 2010, 10, 210. [Google Scholar] [CrossRef]
- Wang, J.; Wang, W.H.; Li, J.; Liu, F.X. Celecoxib inhibits Helicobacter pylori colonization-related factors. World J. Gastroenterol. 2010, 16, 846–853. [Google Scholar] [CrossRef] [PubMed]
- Boonjakuakul, J.K.; Canfield, D.R.; Solnick, J.V. Comparison of Helicobacter pylori virulence gene expression in vitro and in the rhesus macaque. Infect. Immun. 2005, 73, 4895–4904. [Google Scholar] [CrossRef]
- Jolley, K.A.; Maiden, M.C. BIGSdb: Scalable analysis of bacterial genome variation at the population level. BMC Bioinform. 2010, 11, 595. [Google Scholar] [CrossRef]
- Paschalis, V.; Le Chatelier, E.; Green, M.; Nouri, H.; Kepes, F.; Soultanas, P.; Janniere, L. Interactions of the Bacillus subtilis DnaE polymerase with replisomal proteins modulate its activity and fidelity. Open Biol. 2017, 7, 170146. [Google Scholar] [CrossRef] [PubMed]
- Trojanowski, D.; Kolodziej, M.; Holowka, J.; Muller, R.; Zakrzewska-Czerwinska, J. Watching DNA replication inhibitors in action: Exploiting time-lapse microfluidic microscopy as a tool for target-drug interaction studies in Mycobacterium. Antimicrob. Agents Chemother. 2019, 63, e00739-19. [Google Scholar] [CrossRef] [PubMed]
- Yin, Z.; Wang, Y.; Whittell, L.R.; Jergic, S.; Liu, M.; Harry, E.; Dixon, N.E.; Kelso, M.J.; Beck, J.L.; Oakley, A.J. DNA replication is the target for the antibacterial effects of nonsteroidal anti-inflammatory drugs. Chem. Biol. 2014, 21, 481–487. [Google Scholar] [CrossRef] [PubMed]
- Machaba, K.E.; Cele, F.N.; Mhlongo, N.N.; Soliman, M.E. Sliding clamp of DNA polymerase III as a drug target for TB therapy: Comprehensive conformational and binding analysis from molecular dynamic simulations. Cell Biochem. Biophys. 2016, 74, 473–481. [Google Scholar] [CrossRef]
- Dong, Z.; Onrust, R.; Skangalis, M.; O’Donnell, M. DNA polymerase III accessory proteins. I. holA and holB encoding delta and delta’. J. Biol. Chem. 1993, 268, 11758–11765. [Google Scholar] [CrossRef]
- Borin, B.N.; Tang, W.; Krezel, A.M. Helicobacter pylori RNA polymerase alpha-subunit C-terminal domain shows features unique to epsilon-proteobacteria and binds NikR/DNA complexes. Protein Sci. 2014, 23, 454–463. [Google Scholar] [CrossRef] [PubMed]
- Dailidiene, D.; Tan, S.; Ogura, K.; Zhang, M.; Lee, A.H.; Severinov, K.; Berg, D.E. Urea sensitization caused by separation of Helicobacter pylori RNA polymerase beta and beta’ subunits. Helicobacter 2007, 12, 103–111. [Google Scholar] [CrossRef]
- Li, J.; Xin, J.; Zhang, L.; Jiang, L.; Cao, H.; Li, L. Rapid detection of rpoB mutations in rifampin resistant M. tuberculosis from sputum samples by denaturing gradient gel electrophoresis. Int. J. Med. Sci. 2012, 9, 148–156. [Google Scholar] [CrossRef]
- Jamieson, F.B.; Guthrie, J.L.; Neemuchwala, A.; Lastovetska, O.; Melano, R.G.; Mehaffy, C. Profiling of rpoB mutations and MICs for rifampin and rifabutin in Mycobacterium tuberculosis. J. Clin. Microbiol. 2014, 52, 2157–2162. [Google Scholar] [CrossRef]
- Schulz, S.; Eckweiler, D.; Bielecka, A.; Nicolai, T.; Franke, R.; Dotsch, A.; Hornischer, K.; Bruchmann, S.; Duvel, J.; Haussler, S. Elucidation of sigma factor-associated networks in Pseudomonas aeruginosa reveals a modular architecture with limited and function-specific crosstalk. PLoS Pathog. 2015, 11, e1004744. [Google Scholar] [CrossRef]
- Tsuda, M.; Karita, M.; Morshed, M.G.; Okita, K.; Nakazawa, T. A urease-negative mutant of Helicobacter pylori constructed by allelic exchange mutagenesis lacks the ability to colonize the nude mouse stomach. Infect. Immun. 1994, 62, 3586–3589. [Google Scholar] [CrossRef] [PubMed]
- Karita, M.; Tsuda, M.; Nakazawa, T. Essential role of urease in vitro and in vivo Helicobacter pylori colonization study using a wild-type and isogenic urease mutant strain. J. Clin. Gastroenterol. 1995, 21 (Suppl. S1), S160–S163. [Google Scholar]
- Smoot, D.T.; Mobley, H.L.T.; Chippendale, G.R.; Lewison, J.F.; Resau, J.H. Helicobacter pylori urease activity is toxic to human gastric epithelial-cells. Infect. Immun. 1990, 58, 1992–1994. [Google Scholar] [CrossRef]
- de Jesus Souza, M.; de Moraes, J.A.; Da Silva, V.N.; Helal-Neto, E.; Uberti, A.F.; Scopel-Guerra, A.; Olivera-Severo, D.; Carlini, C.R.; Barja-Fidalgo, C. Helicobacter pylori urease induces pro-inflammatory effects and differentiation of human endothelial cells: Cellular and molecular mechanism. Helicobacter 2019, 24, e12573. [Google Scholar] [CrossRef] [PubMed]
- Schmalstig, A.A.; Benoit, S.L.; Misra, S.K.; Sharp, J.S.; Maier, R.J. Noncatalytic antioxidant role for Helicobacter pylori urease. J. Bacteriol. 2018, 200, e00124-18. [Google Scholar] [CrossRef] [PubMed]
- Bryk, R.; Griffin, P.; Nathan, C. Peroxynitrite reductase activity of bacterial peroxiredoxins. Nature 2000, 407, 211–215. [Google Scholar] [CrossRef] [PubMed]
- Carrillo, C.D.; Taboada, E.; Nash, J.H.; Lanthier, P.; Kelly, J.; Lau, P.C.; Verhulp, R.; Mykytczuk, O.; Sy, J.; Findlay, W.A.; et al. Genome-wide expression analyses of Campylobacter jejuni NCTC11168 reveals coordinate regulation of motility and virulence by flhA. J. Biol. Chem. 2004, 279, 20327–20338. [Google Scholar] [CrossRef]
- Kao, C.Y.; Chen, J.W.; Wang, S.; Sheu, B.S.; Wu, J.J. The Helicobacter pylori J99 jhp0106 gene, under the control of the CsrA/RpoN regulatory system, modulates flagella formation and motility. Front. Microbiol. 2017, 8, 483. [Google Scholar] [CrossRef]
- O’Toole, P.W.; Kostrzynska, M.; Trust, T.J. Non-motile mutants of Helicobacter pylori and Helicobacter mustelae defective in flagellar hook production. Mol. Microbiol. 1994, 14, 691–703. [Google Scholar] [CrossRef] [PubMed]
- Huang, Y.; Wang, Q.L.; Cheng, D.D.; Xu, W.T.; Lu, N.H. Adhesion and invasion of gastric mucosa epithelial cells by Helicobacter pylori. Front. Cell. Infect. Microbiol. 2016, 6, 159. [Google Scholar] [CrossRef] [PubMed]
- Aspholm, M.; Olfat, F.O.; Norden, J.; Sonden, B.; Lundberg, C.; Sjostrom, R.; Altraja, S.; Odenbreit, S.; Haas, R.; Wadstrom, T.; et al. SabA is the H. pylori hemagglutinin and is polymorphic in binding to sialylated glycans. PLoS Pathog. 2006, 2, e110. [Google Scholar] [CrossRef]
- Magalhaes, A.; Reis, C.A. Helicobacter pylori adhesion to gastric epithelial cells is mediated by glycan receptors. Braz. J. Med. Biol. Res. 2010, 43, 611–618. [Google Scholar] [CrossRef]
- Hatakeyama, M. Helicobacter pylori CagA and gastric cancer: A paradigm for hit-and-run carcinogenesis. Cell Host Microbe 2014, 15, 306–316. [Google Scholar] [CrossRef]
- Shariq, M.; Kumar, N.; Kumari, R.; Kumar, A.; Subbarao, N.; Mukhopadhyay, G. Biochemical analysis of CagE: A virB4 homologue of Helicobacter pylori Cag-T4SS. PLoS ONE 2015, 10, e0142606. [Google Scholar] [CrossRef]
- Olbermann, P.; Josenhans, C.; Moodley, Y.; Uhr, M.; Stamer, C.; Vauterin, M.; Suerbaum, S.; Achtman, M.; Linz, B. A global overview of the genetic and functional diversity in the Helicobacter pylori cag pathogenicity island. PLoS Genet. 2010, 6, e1001069. [Google Scholar] [CrossRef]
- Tafreshi, M.; Guan, J.; Gorrell, R.J.; Chew, N.; Xin, Y.; Deswaerte, V.; Rohde, M.; Daly, R.J.; Peek, R.M., Jr.; Jenkins, B.J.; et al. Helicobacter pylori type IV secretion system and its adhesin subunit, CagL, mediate potent inflammatory responses in primary human endothelial cells. Front. Cell. Infect. Microbiol. 2018, 8, 22. [Google Scholar] [CrossRef] [PubMed]
- Sharma, S.A.; Tummuru, M.K.; Blaser, M.J.; Kerr, L.D. Activation of IL-8 gene expression by Helicobacter pylori is regulated by transcription factor nuclear factor-κB in gastric epithelial cells. J. Immunol. 1998, 160, 2401–2407. [Google Scholar] [PubMed]






| Hesperetin Concentration (μM) | Number of Strains (%) | |
|---|---|---|
| 6.25 | 4 | (8.7%) |
| 12.5 | 3 | (6.5%) |
| 25 | 3 | (6.5%) |
| 50 | 32 | (69.6%) |
| 100 | 4 | (8.7%) |
| Total | 46 | (100%) |
| Primers | Sequences (5′–3′) | Product Length (bp) | Annealing Temperature (°C) | Cycles | Reference | |
|---|---|---|---|---|---|---|
| Forward | Reverse | |||||
| DnaA | GGGCATGACTTAGCGGTTA | TTAACGAATTGCACGCCAAC | 128 | 55 | 27 | [49] |
| DnaB | AATGGGCCGTTTATCGTCTC | CAAATCCGCTTGCAACTACG | 231 | 55 | 27 | |
| DnaE | AATCCACCGGCTCCAAATAC | GCCAAACAAGTGTGGGAGTA | 184 | 55 | 27 | |
| DnaN | GTTAGCGGTGGTTGAAAACG | CGGTTTCGCTATGCTCAGAA | 233 | 55 | 27 | |
| DnaQ | CGCATGAAGCTTTGCAAGAA | GCATAGGCTCTATGGCTGAC | 244 | 55 | 27 | |
| HolB | TGCAAGCCTTTTTGAACACC | CGCGTTTTGGGCTTCTATAC | 196 | 55 | 22 | |
| RpoA | AGCGACACGTCTTCAGTAAC | ACAGCACCTTTGATCCCATC | 224 | 55 | 22 | [50] |
| RpoB | TTTAGGTAAGCGCGTGGATT | AATCAGCTTTGGATGGAACG | 301 | 59 | 24 | |
| RpoD | TCATCATCATTGCCGACTGG | GTCATGCGCAAACACATTCA | 152 | 55 | 26 | |
| RpoN | GCCCTTGAAATCGTGCTTAC | ATGATGAGAGCTACCCGACA | 250 | 55 | 27 | |
| UreA | GCCAATGGTAAATTAGTT | CTCCTTAATTGTTTTTAC | 411 | 40 | 20 | [51] |
| UreB | TCTATCCCTACCCCACAACC | CCATCCACGAACACATGGTA | 252 | 50 | 21 | |
| FlhA | TCATTGGAGGGTTTTTAGTGG | GGTGCGAGTGGCGACAAT | 155 | 60 | 28 | [52] |
| FlaA | TAGACACCACCAACGCTAAA | TGCATTCTAGGGGGTTGTAT | 239 | 62 | 30 | [50] |
| FlaB | GTCAATGGCGTGAATGATTA | ATTCACGGTCCCAATTTCTA | 213 | 60 | 30 | |
| FlgE | CCGATCAAATCCTTAACACC | AGGCTTAAAAACATGCGAAC | 381 | 52 | 30 | |
| SabA | AAAGCATTCAAAACGCCAAC | CCCGCATAAAGACTCCAAAA | 163 | 60 | 26 | [50] |
| HopZ | GCGCCGTTACTAGCATGATCA | GAAATCTTTCGGCGCGTTT | 101 | 60 | 26 | [53] |
| HpaA | GAGCGTGGTGGCTTTGTTAGT | TCGCTAGCTGGATGGTAATTCA | 90 | 60 | 26 | |
| AlpA | GCACGATCGGTAGCCAGACT | ACACATTCCCCGCATTCAAG | 90 | 60 | 24 | |
| AlpB | ACGCTAAGAAACAGCCCTCAAC | TCATGCGTAACCCCACATCA | 82 | 60 | 26 | |
| BabA | ATCGATCCACTTCCATCACT | GTTACGCTTTTGCCGTCTAT | 292 | 48 | 40 | |
| CagA | GTCATAATGGCATAGAACCTGAA | ATTCCCTAGGGCGTCTAAATAA | 407 | 59 | 21 | [39] |
| VirB2 | CAGTCGCCTGACCTCTTTTGA | CGGTCACCAGTCCTGCAAC | 156 | 62 | 25 | |
| VirB4 | GTTATAGGGGCAACCGGAAG | TTGAACGCGTCATTCAAAGC | 449 | 62 | 37 | |
| VirB5 | TACAAGCGTCTGTGAAGCAG | GACCAACCAACAAGTGCTCA | 436 | 62 | 30 | |
| VirB6 | CCTCAACACCGCCTTTGGTA | TAGCCGCTAGCAATCTGGTG | 225 | 62 | 25 | |
| VirB7 | GATTACGCTCATAGGCGATGC | TGGCTGACTTCCTTGCAACA | 202 | 62 | 25 | |
| VirB8 | GTTGATCCTTGCGATCCCTCA | CGCCGCTGTAACGAGTATTG | 218 | 62 | 25 | |
| VirB9 | GCATGTCCTCTAGTCGTTCCA | TATCGTAGATGCGCCTGACC | 269 | 62 | 25 | |
| VirD4 | CCGCAAGTTTCCATAGTGTC | GCGAGTTGGGAAACTGAAGA | 263 | 62 | 25 | |
| SecA | AAAAATTTGACGCTGTGATCC | CCCCCAAGCTCCTTAATTTC | 274 | 47 | 27 | |
| VacA | AAACGACAAGAAAGAGATCAGT | CCAGCAAAAGGCCCATCAA | 291 | 57 | 22 | [54] |
| Efp | GGCAATTTGGATGAGCGAGCTC | CTTCACCTTTTCAAGATACTC | 559 | 59 | 23 | [55] |
Publisher’s Note: MDPI stays neutral with regard to jurisdictional claims in published maps and institutional affiliations. |
© 2021 by the authors. Licensee MDPI, Basel, Switzerland. This article is an open access article distributed under the terms and conditions of the Creative Commons Attribution (CC BY) license (https://creativecommons.org/licenses/by/4.0/).
Share and Cite
Kim, H.W.; Woo, H.J.; Yang, J.Y.; Kim, J.-B.; Kim, S.-H. Hesperetin Inhibits Expression of Virulence Factors and Growth of Helicobacter pylori. Int. J. Mol. Sci. 2021, 22, 10035. https://doi.org/10.3390/ijms221810035
Kim HW, Woo HJ, Yang JY, Kim J-B, Kim S-H. Hesperetin Inhibits Expression of Virulence Factors and Growth of Helicobacter pylori. International Journal of Molecular Sciences. 2021; 22(18):10035. https://doi.org/10.3390/ijms221810035
Chicago/Turabian StyleKim, Hyun Woo, Hyun Jun Woo, Ji Yeong Yang, Jong-Bae Kim, and Sa-Hyun Kim. 2021. "Hesperetin Inhibits Expression of Virulence Factors and Growth of Helicobacter pylori" International Journal of Molecular Sciences 22, no. 18: 10035. https://doi.org/10.3390/ijms221810035
APA StyleKim, H. W., Woo, H. J., Yang, J. Y., Kim, J.-B., & Kim, S.-H. (2021). Hesperetin Inhibits Expression of Virulence Factors and Growth of Helicobacter pylori. International Journal of Molecular Sciences, 22(18), 10035. https://doi.org/10.3390/ijms221810035

