Oligodendrocyte-Specific Deletion of FGFR1 Reduces Cerebellar Inflammation and Neurodegeneration in MOG35-55-Induced EAE
Abstract
1. Introduction
2. Results
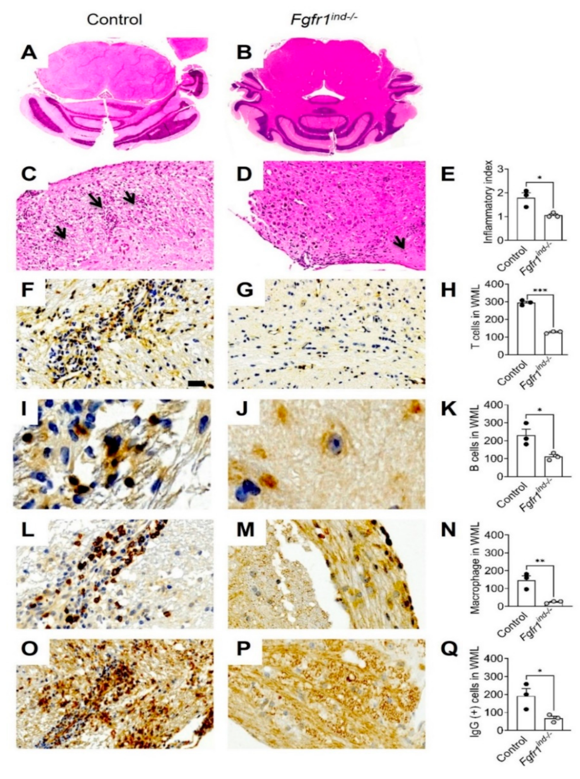
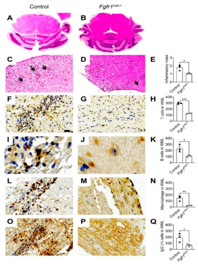
2.1. Reduced Inflammatory Infiltrates in WML of the Cerebellum in Fgfr1ind−/− Mice
2.2. Oligodendroglia-Specific Deletion of FGFR1 Is Associated with a Reduction in Inflammatory Mediators in the Cerebellum
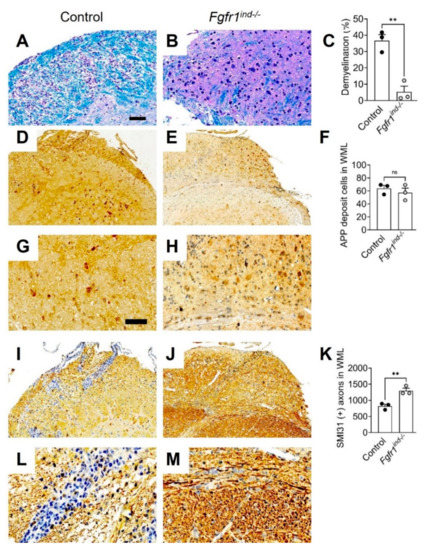
2.3. Oligodendroglia-Specific Deletion of FGFR1 Reduces Myelin Loss and Axonal Damage in the Cerebellum
2.4. Number of Oligodendrocytes in WML and Myelin Expression in the Cerebellum of Fgfr1ind−/− Mice
2.5. FGF/FGFR Signaling Proteins and TrkB/BDNF Protein Expression in the Cerebellum of Fgfr1ind−/− Mice
3. Discussion
4. Methods
4.1. Ethics Statement
4.2. Generation of Cell-Specific FGFR1 Knockout Mice
4.3. Induction and Clinical Assessment of MOG35-55-Induced EAE
4.4. Histology and Immunohistochemistry
4.5. Protein Extraction and Western Blot Analysis
4.6. Statistics
5. Conclusions
Author Contributions
Funding
Institutional Review Board Statement
Data Availability Statement
Acknowledgments
Conflicts of Interest
References
- Lassmann, H.; Bradl, M. Multiple sclerosis: Experimental models and reality. Acta Neuropathol. 2017, 133, 223–244. [Google Scholar] [CrossRef]
- Skaper, S.D. Oligodendrocyte precursor cells as a therapeutic target for demyelinating diseases. Prog. Brain Res. 2019, 245, 119–144. [Google Scholar]
- Tripathi, R.B.; Rivers, L.E.; Young, K.M.; Jamen, F.; Richardson, W.D. NG2 glia generate new oligodendrocytes but few astrocytes in a murine experimental autoimmune encephalomyelitis model of demyelinating disease. J. Neurosci. 2010, 30, 16383–16390. [Google Scholar] [CrossRef] [PubMed]
- Zawadzka, M.; Rivers, L.E.; Fancy, S.P.; Zhao, C.; Tripathi, R.; Jamen, F.; Young, K.; Goncharevich, A.; Pohl, H.; Rizzi, M.; et al. CNS-resident glial progenitor/stem cells produce Schwann cells as well as oligodendrocytes during repair of CNS demyelination. Cell Stem Cell 2010, 6, 578–590. [Google Scholar] [CrossRef]
- Boyd, A.; Zhang, H.; Williams, A. Insufficient OPC migration into demyelinated lesions is a cause of poor remyelination in MS and mouse models. Acta Neuropathol. 2013, 125, 841–859. [Google Scholar] [CrossRef]
- Dutta, R.; Trapp, B.D. Mechanisms of neuronal dysfunction and degeneration in multiple sclerosis. Prog. Neurobiol. 2011, 93, 1–12. [Google Scholar] [CrossRef]
- Goldschmidt, T.; Antel, J.; König, F.B.; Brück, W.; Kuhlmann, T. Remyelination capacity of the MS brain decreases with disease chronicity. Neurology 2009, 72, 1914–1921. [Google Scholar] [CrossRef]
- Hagemeier, J.; Heininen-Brown, M.; Poloni, G.U.; Bergsland, N.; Magnano, C.R.; Durfee, J.; Kennedy, C.; Carl, E.; Weinstock-Guttman, B.; Dwyer, M.G.; et al. Iron deposition in multiple sclerosis lesions measured by susceptibility-weighted imaging filtered phase: A case control study. J. Magn. Reson. Imaging 2012, 36, 73–83. [Google Scholar] [CrossRef]
- Hollingsworth, E.; Khouri, J.; Imitola, J. Endogenous repair and development inspired therapy of neurodegeneration in progressive multiple sclerosis. Expert Rev. Neurother. 2017, 17, 611–629. [Google Scholar] [CrossRef]
- Saraswat, D.; Shayya, H.J.; Polanco, J.J.; Tripathi, A.; Welliver, R.R.; Pol, S.U.; Seidman, R.A.; Broome, J.E.; O’Bara, M.A.; van Kuppervelt, T.H.; et al. Overcoming the inhibitory microenvironment surrounding oligodendrocyte progenitor cells following experimental demyelination. Nat. Commun. 2021, 12, 1923. [Google Scholar] [CrossRef]
- Koutsoudaki, P.N.; Papadopoulos, D.; Passias, P.G.; Koutsoudaki, P.; Gorgoulis, V.G. Cellular senescence and failure of myelin repair in multiple sclerosis. Mech. Ageing Dev. 2020, 192, 111366. [Google Scholar] [CrossRef] [PubMed]
- Clemente, D.; Ortega, M.C.; Arenzana, F.J.; de Castro, F. FGF-2 and Anosmin-1 are selectively expressed in different types of multiple sclerosis lesions. J. Neurosci. 2011, 31, 14899–14909. [Google Scholar] [CrossRef] [PubMed]
- Thummler, K.; Rom, E.; Zeis, T.; Lindner, M.; Brunner, S.; Cole, J.J.; Arseni, D.; Mucklisch, S.; Edgar, J.M.; Schaeren-Wiemers, N.; et al. Polarizing receptor activation dissociates fibroblast growth factor 2 mediated inhibition of myelination from its neuroprotective potential. Acta Neuropathol. Commun. 2019, 7, 212. [Google Scholar] [CrossRef] [PubMed]
- Sarchielli, P.; Di Filippo, M.; Ercolani, M.V.; Chiasserini, D.; Mattioni, A.; Bonucci, M.; Tenaglia, S.; Eusebi, P.; Calabresi, P. Fibroblast growth factor-2 levels are elevated in the cerebrospinal fluid of multiple sclerosis patients. Neurosci. Lett. 2008, 435, 223–228. [Google Scholar] [CrossRef]
- Kamali, S.; Rajendran, R.; Stadelmann, C.; Karnati, S.; Rajendran, V.; Giraldo-Velasquez, M.; Berghoff, M. Oligodendrocyte-specific deletion of FGFR2 ameliorates MOG35-55 -induced EAE through ERK and Akt signalling. Brain Pathol. 2021, 31, 297–311. [Google Scholar] [CrossRef]
- Rajendran, R.; Giraldo-Velasquez, M.; Stadelmann, C.; Berghoff, M. Oligodendroglial fibroblast growth factor receptor 1 gene targeting protects mice from experimental autoimmune encephalomyelitis through ERK/AKT phosphorylation. Brain Pathol. 2018, 28, 212–224. [Google Scholar] [CrossRef]
- Parmar, K.; Stadelmann, C.; Rocca, M.A.; Langdon, D.; D’Angelo, E.; D’Souza, M.; Burggraaff, J.; Wegner, C.; Sastre-Garriga, J.; Barrantes-Freer, A.; et al. The role of the cerebellum in multiple sclerosis-150 years after Charcot. Neurosci. Biobehav. Rev. 2018, 89, 85–98. [Google Scholar] [CrossRef] [PubMed]
- Kalron, A.; Givon, U.; Frid, L.; Dolev, M.; Achiron, A. Static Posturography and Falls According to Pyramidal, Sensory and Cerebellar Functional Systems in People with Multiple Sclerosis. PLoS ONE 2016, 11, e0164467. [Google Scholar] [CrossRef]
- Makhoul, K.; Ahdab, R.; Riachi, N.; Chalah, M.A.; Ayache, S.S. Tremor in Multiple Sclerosis-An Overview and Future Perspectives. Brain Sci. 2020, 10, 722. [Google Scholar] [CrossRef] [PubMed]
- Haines, J.D.; Inglese, M.; Casaccia, P. Axonal damage in multiple sclerosis. Mt. Sinai J. Med. 2011, 78, 231–243. [Google Scholar] [CrossRef] [PubMed]
- Mazumder, R.; Murchison, C.; Bourdette, D.; Cameron, M. Falls in people with multiple sclerosis compared with falls in healthy controls. PLoS ONE 2014, 9, e107620. [Google Scholar] [CrossRef]
- Amato, M.P.; Ponziani, G. A prospective study on the prognosis of multiple sclerosis. Neurol. Sci. 2000, 21 (Suppl. 2), S831–S838. [Google Scholar] [CrossRef]
- Scalfari, A.; Neuhaus, A.; Daumer, M.; Muraro, P.A.; Ebers, G.C. Onset of secondary progressive phase and long-term evolution of multiple sclerosis. J. Neurol. Neurosurg. Psychiatry 2014, 85, 67–75. [Google Scholar] [CrossRef]
- Mandolesi, G.; Gentile, A.; Musella, A.; Fresegna, D.; De Vito, F.; Bullitta, S.; Sepman, H.; Marfia, G.A. Synaptopathy connects inflammation and neurodegeneration in multiple sclerosis. Nat. Rev. Neurol. 2015, 11, 711–724. [Google Scholar] [CrossRef]
- Weier, K.; Banwell, B.; Cerasa, A.; Collins, D.L.; Dogonowski, A.M.; Lassmann, H.; Quattrone, A.; Sahraian, M.A.; Siebner, H.R.; Sprenger, T. The role of the cerebellum in multiple sclerosis. Cerebellum 2015, 14, 364–374. [Google Scholar] [CrossRef]
- Schreck, L.; Ryan, S.; Monaghan, P. Cerebellum and cognition in multiple sclerosis. J. Neurophysiol. 2018, 120, 2707–2709. [Google Scholar] [CrossRef]
- Wilkins, A. Cerebellar Dysfunction in Multiple Sclerosis. Front. Neurol. 2017, 8, 312. [Google Scholar] [CrossRef]
- Hamilton, A.M.; Forkert, N.D.; Yang, R.; Wu, Y.; Rogers, J.A.; Yong, V.W.; Dunn, J.F. Central nervous system targeted autoimmunity causes regional atrophy: A 9.4T MRI study of the EAE mouse model of Multiple Sclerosis. Sci. Rep. 2019, 9, 8488. [Google Scholar] [CrossRef]
- Muller, D.M.; Pender, M.P.; Greer, J.M. A neuropathological analysis of experimental autoimmune encephalomyelitis with predominant brain stem and cerebellar involvement and differences between active and passive induction. Acta Neuropathol. 2000, 100, 174–182. [Google Scholar] [CrossRef]
- Muller, M.; Carter, S.L.; Hofer, M.J.; Manders, P.; Getts, D.R.; Getts, M.T.; Dreykluft, A.; Lu, B.; Gerard, C.; King, N.J.; et al. CXCR3 signaling reduces the severity of experimental autoimmune encephalomyelitis by controlling the parenchymal distribution of effector and regulatory T cells in the central nervous system. J. Immunol. 2007, 179, 2774–2786. [Google Scholar] [CrossRef]
- Nitsch, L.; Petzinna, S.; Zimmermann, J.; Schneider, L.; Krauthausen, M.; Heneka, M.T.; Getts, D.R.; Becker, A.; Muller, M. Astrocyte-specific expression of interleukin 23 leads to an aggravated phenotype and enhanced inflammatory response with B cell accumulation in the EAE model. J. Neuroinflammation 2021, 18, 101. [Google Scholar] [CrossRef]
- Quintana, A.; Muller, M.; Frausto, R.F.; Ramos, R.; Getts, D.R.; Sanz, E.; Hofer, M.J.; Krauthausen, M.; King, N.J.; Hidalgo, J.; et al. Site-specific production of IL-6 in the central nervous system retargets and enhances the inflammatory response in experimental autoimmune encephalomyelitis. J. Immunol. 2009, 183, 2079–2088. [Google Scholar] [CrossRef] [PubMed]
- Mills, J.H.; Alabanza, L.M.; Mahamed, D.A.; Bynoe, M.S. Extracellular adenosine signaling induces CX3CL1 expression in the brain to promote experimental autoimmune encephalomyelitis. J. Neuroinflammation 2012, 9, 193. [Google Scholar] [CrossRef]
- Yan, Z.; Yang, W.; Parkitny, L.; Gibson, S.A.; Lee, K.S.; Collins, F.; Deshane, J.S.; Cheng, W.; Weinmann, A.S.; Wei, H.; et al. Deficiency of Socs3 leads to brain-targeted EAE via enhanced neutrophil activation and ROS production. JCI Insight 2019, 5, e126520. [Google Scholar] [CrossRef] [PubMed]
- Johnson, T.W.; Wu, Y.; Nathoo, N.; Rogers, J.A.; Wee Yong, V.; Dunn, J.F. Gray Matter Hypoxia in the Brain of the Experimental Autoimmune Encephalomyelitis Model of Multiple Sclerosis. PLoS ONE 2016, 11, e0167196. [Google Scholar] [CrossRef]
- MacKenzie-Graham, A.; Rinek, G.A.; Avedisian, A.; Gold, S.M.; Frew, A.J.; Aguilar, C.; Lin, D.R.; Umeda, E.; Voskuhl, R.R.; Alger, J.R. Cortical atrophy in experimental autoimmune encephalomyelitis: In vivo imaging. Neuroimage 2012, 60, 95–104. [Google Scholar] [CrossRef][Green Version]
- Patel, J.; Balabanov, R. Molecular mechanisms of oligodendrocyte injury in multiple sclerosis and experimental autoimmune encephalomyelitis. Int. J. Mol. Sci. 2012, 13, 10647–10659. [Google Scholar] [CrossRef] [PubMed]
- Madsen, P.M.; Desu, H.L.; de Rivero Vaccari, J.P.; Florimon, Y.; Ellman, D.G.; Keane, R.W.; Clausen, B.H.; Lambertsen, K.L.; Brambilla, R. Oligodendrocytes modulate the immune-inflammatory response in EAE via TNFR2 signaling. Brain Behav. Immun. 2020, 84, 132–146. [Google Scholar] [CrossRef]
- Xie, Y.; Yang, J.; Tan, Q.; Huang, S.; Jin, M.; Ni, Z.; Zhang, B.; Zhang, D.; Luo, F.; Chen, H.; et al. FGF/FGFR signaling in health and disease. Signal Transduct. Target. Ther. 2020, 5, 181. [Google Scholar] [CrossRef]
- Bakhuraysah, M.M.; Theotokis, P.; Lee, J.Y.; Alrehaili, A.A.; Aui, P.M.; Figgett, W.A.; Azari, M.F.; Abou-Afech, J.P.; Mackay, F.; Siatskas, C.; et al. B-cells expressing NgR1 and NgR3 are localized to EAE-induced inflammatory infiltrates and are stimulated by BAFF. Sci. Rep. 2021, 11, 2890. [Google Scholar] [CrossRef]
- Filippi, M.; Bar-Or, A.; Piehl, F.; Preziosa, P.; Solari, A.; Vukusic, S.; Rocca, M.A. Multiple sclerosis. Nat. Rev. Dis. Primers 2018, 4, 43. [Google Scholar] [CrossRef]
- Sinha, S.; Boyden, A.W.; Itani, F.R.; Crawford, M.P.; Karandikar, N.J. CD8(+) T-Cells as Immune Regulators of Multiple Sclerosis. Front. Immunol. 2015, 6, 619. [Google Scholar] [CrossRef]
- Rossi, S.; Motta, C.; Studer, V.; Macchiarulo, G.; Volpe, E.; Barbieri, F.; Ruocco, G.; Buttari, F.; Finardi, A.; Mancino, R.; et al. Interleukin-1beta causes excitotoxic neurodegeneration and multiple sclerosis disease progression by activating the apoptotic protein p53. Mol. Neurodegener 2014, 9, 56. [Google Scholar] [CrossRef]
- Lin, C.C.; Edelson, B.T. New Insights into the Role of IL-1beta in Experimental Autoimmune Encephalomyelitis and Multiple Sclerosis. J. Immunol. 2017, 198, 4553–4560. [Google Scholar] [CrossRef] [PubMed]
- Rodgers, J.M.; Miller, S.D. Cytokine control of inflammation and repair in the pathology of multiple sclerosis. Yale J. Biol. Med. 2012, 85, 447–468. [Google Scholar]
- Gobel, K.; Ruck, T.; Meuth, S.G. Cytokine signaling in multiple sclerosis: Lost in translation. Mult. Scler. J. 2018, 24, 432–439. [Google Scholar] [CrossRef]
- Erta, M.; Giralt, M.; Jimenez, S.; Molinero, A.; Comes, G.; Hidalgo, J. Astrocytic IL-6 Influences the Clinical Symptoms of EAE in Mice. Brain Sci. 2016, 6, 15. [Google Scholar] [CrossRef]
- Fortin, D.; Rom, E.; Sun, H.; Yayon, A.; Bansal, R. Distinct fibroblast growth factor (FGF)/FGF receptor signaling pairs initiate diverse cellular responses in the oligodendrocyte lineage. J. Neurosci. 2005, 25, 7470–7479. [Google Scholar] [CrossRef]
- Rajendran, R.; Bottiger, G.; Stadelmann, C.; Karnati, S.; Berghoff, M. FGF/FGFR Pathways in Multiple Sclerosis and in Its Disease Models. Cells 2021, 10, 884. [Google Scholar] [CrossRef] [PubMed]
- Rajendran, R.; Bottiger, G.; Dentzien, N.; Rajendran, V.; Sharifi, B.; Ergun, S.; Stadelmann, C.; Karnati, S.; Berghoff, M. Effects of FGFR Tyrosine Kinase Inhibition in OLN-93 Oligodendrocytes. Cells 2021, 10, 1318. [Google Scholar] [CrossRef]
- Kuhlmann, T.; Lingfeld, G.; Bitsch, A.; Schuchardt, J.; Bruck, W. Acute axonal damage in multiple sclerosis is most extensive in early disease stages and decreases over time. Brain 2002, 125 Pt 10, 2202–2212. [Google Scholar] [CrossRef]
- Pierce, J.E.; Trojanowski, J.Q.; Graham, D.I.; Smith, D.H.; McIntosh, T.K. Immunohistochemical characterization of alterations in the distribution of amyloid precursor proteins and beta-amyloid peptide after experimental brain injury in the rat. J. Neurosci. 1996, 16, 1083–1090. [Google Scholar] [CrossRef]
- Furusho, M.; Roulois, A.J.; Franklin, R.J.; Bansal, R. Fibroblast growth factor signaling in oligodendrocyte-lineage cells facilitates recovery of chronically demyelinated lesions but is redundant in acute lesions. Glia 2015, 63, 1714–1728. [Google Scholar] [CrossRef] [PubMed]
- Tsiperson, V.; Gruber, R.C.; Goldberg, M.F.; Jordan, A.; Weinger, J.G.; Macian, F.; Shafit-Zagardo, B. Suppression of inflammatory responses during myelin oligodendrocyte glycoprotein-induced experimental autoimmune encephalomyelitis is regulated by AKT3 signaling. J. Immunol. 2013, 190, 1528–1539. [Google Scholar] [CrossRef]
- Flores, A.I.; Narayanan, S.P.; Morse, E.N.; Shick, H.E.; Yin, X.; Kidd, G.; Avila, R.L.; Kirschner, D.A.; Macklin, W.B. Constitutively active Akt induces enhanced myelination in the CNS. J. Neurosci. 2008, 28, 7174–7183. [Google Scholar] [CrossRef] [PubMed]
- Hou, Y.; Wang, K.; Wan, W.; Cheng, Y.; Pu, X.; Ye, X. Resveratrol provides neuroprotection by regulating the JAK2/STAT3/PI3K/AKT/mTOR pathway after stroke in rats. Genes Dis. 2018, 5, 245–255. [Google Scholar] [CrossRef]
- Ouyang, S.; Zeng, Q.; Tang, N.; Guo, H.; Tang, R.; Yin, W.; Wang, A.; Tang, H.; Zhou, J.; Xie, H. Akt-1 and Akt-2 Differentially Regulate the Development of Experimental Autoimmune Encephalomyelitis by Controlling Proliferation of Thymus-Derived Regulatory T Cells. J. Immunol. 2019, 202, 1441–1452. [Google Scholar] [CrossRef] [PubMed]
- DuBois, J.C.; Ray, A.K.; Gruber, R.C.; Zhang, Y.; Aflakpui, R.; Macian-Juan, F.; Shafit-Zagardo, B. Akt3-Mediated Protection Against Inflammatory Demyelinating Disease. Front. Immunol. 2019, 10, 1738. [Google Scholar] [CrossRef]
- Ishii, A.; Furusho, M.; Dupree, J.L.; Bansal, R. Role of ERK1/2 MAPK signaling in the maintenance of myelin and axonal integrity in the adult CNS. J. Neurosci. 2014, 34, 16031–16045. [Google Scholar] [CrossRef]
- Murcia-Belmonte, V.; Medina-Rodriguez, E.M.; Bribian, A.; de Castro, F.; Esteban, P.F. ERK1/2 signaling is essential for the chemoattraction exerted by human FGF2 and human anosmin-1 on newborn rat and mouse OPCs via FGFR1. Glia 2014, 62, 374–386. [Google Scholar] [CrossRef]
- Kopec, B.M.; Zhao, L.; Rosa-Molinar, E.; Siahaan, T.J. Non-invasive Brain Delivery and Efficacy of BDNF in APP/PS1 Transgenic Mice as a Model of Alzheimer’s Disease. Med. Res. Arch. 2020, 8, 2043. [Google Scholar] [CrossRef] [PubMed]








| Primary Antibodies | Host | Mol. Weight | Method | Art. No | Manufacturer |
|---|---|---|---|---|---|
| Anti-FGF2 (G2) | Mouse | 18, 21, 24 kDa | WB | sc-365106 | Santa Cruz Biotech, CA, USA |
| Anti-FGF9 (D8) | Mouse | 30 kDa | WB | sc-8413 | Santa Cruz Biotech, CA, USA |
| Anti-CNPase (B1) | Mouse | 46 kDa | WB | sc-166019 | Santa Cruz Biotech, CA, USA |
| Anti-MBP | Mouse | 12, 18 kDa | WB | 78896S | Cell Signaling Tech, MA, USA |
| Anti-PLP | Rabbit | 30 kDa | WB | 85971 | Cell Signaling Tech, MA, USA |
| Anti-pERK p-44/42 | Rabbit | 44, 42 kDa | WB | 4370s | Cell Signaling Tech, MA, USA |
| Anti-pAkt (Ser473) | Rabbit | 60 kDa | WB | 4060s | Cell Signaling Tech, MA, USA |
| Anti-Flg (M2F12) (FGFR1) | Rabbit | 110 kDa | WB | sc-57132 | Santa Cruz Biotech, CA, USA |
| Anti-Bek (C-8) (FGFR2) | Rabbit | 120 kDa | WB | sc-6930 | Santa Cruz Biotech, CA, USA |
| Anti-GAPDH | Mouse | 37 kDa | WB | sc-365062 | Santa Cruz Biotech, CA, USA |
| Anti-Trk B (794):sc12 | Rabbit | 145 kDa | WB | sc-377218 | Santa Cruz Biotech, CA, USA |
| Anti-pro BDNF | Rabbit | 14 kDa | WB | sc-65514 | Santa Cruz Biotech, CA, USA |
| Anti-IL-1β | Mouse | 17, 31 kDa | WB | 12242 | Cell Signaling Tech, MA, USA |
| Anti-IL-4 | Mouse | 18 kDa | WB | sc-53084 | Santa Cruz Biotech, CA, USA |
| Anti-IL-6 | Rabbit | 24 kDa | WB | 12912 | Cell Signaling Tech, MA, USA |
| Anti-IL-12 | Rat | 70 kDa | WB | sc-65355 | Santa Cruz Biotech, CA, USA |
| Anti-IL-17 | Mouse | 15 kDa | WB | sc-374218 | Santa Cruz Biotech, CA, USA |
| Anti-TNFα | Rabbit | 17, 25, 28 kDa | WB | 11948 | Cell Signaling Tech, MA, USA |
| Anti-IFNγ | Rat | 16 kDa | WB | MM700 | Thermo Fisher Scientific, Waltham, MA, USA |
| Anti-Lingo-1 | Rabbit | 98 kDa | WB | 49389 | Cell Signaling Tech, MA, USA |
| Anti-TGF-β | Rabbit | 12, 25, 45–65 kDa | WB | 3711 | Cell Signaling Tech, MA, USA |
| Anti-SEMA3A | Rabbit | 89 kDa | WB | Ab23393 | Abcam, Cambridge, UK |
| Anti-CD200 | Goat | 42 kDa | WB | AF2724 | R&D Systems, MN, USA |
| Anti-pP38 | Rabbit | 43 kDa | WB | 9215 | Cell Signaling Tech, MA, USA |
| Anti-pJNK | Rabbit | 46, 54 kDa | WB | 4668 | Cell Signaling Tech, MA, USA |
| Mac 3 Clone M3/84 | Rat | staining | IHC | 553322 | Pharmingen, USA |
| B220 clone RA3-6B2 | Rat | staining | IHC | 557390 | Pharmingen, USA |
| CD3, clone CD3-12 | Rat | staining | IHC | MCA 1477 | Serotec, UK |
| MBP | Rabbit | staining | IHC | 62301 | Dako, Germany |
| Olig2 | Mouse | staining | IHC | MABN50 | MerckMillipore, Germany |
| Nogo-A | Rabbit | staining | IHC | sc-25660 | Santa Cruz Biotech, CA, USA |
| MBP | Rabbit | staining | IHC | 62301 | Dako, Germany |
| CNPase | Mouse | staining | IHC | SMI-91R | Covance Inc., NJ, USA |
| APP | Mouse | staining | IHC | MAB348 | Merck KGaA, Darmstadt, Germany |
| SMI31 | Mouse | staining | IHC | SMI-31R | Covance Inc., NJ, USA |
| Secondary Antibodies | Host | Method | Art. No | Manufacturer | |
| Anti-Rabbit-HRP | Goat | WB | 7074 | Cell Signaling Tech, MA, USA | |
| Anti-mouse-HRP | Horse | WB | 7076 | Cell Signaling Tech, MA, USA | |
| Mouse anti-goat | Mouse | WB | SC-2354 | Santa Cruz Biotech, CA, USA | |
| Goat anti-rat | Goat | WB | 7077 | Cell Signaling Tech, MA, USA | |
Publisher’s Note: MDPI stays neutral with regard to jurisdictional claims in published maps and institutional affiliations. |
© 2021 by the authors. Licensee MDPI, Basel, Switzerland. This article is an open access article distributed under the terms and conditions of the Creative Commons Attribution (CC BY) license (https://creativecommons.org/licenses/by/4.0/).
Share and Cite
Rajendran, R.; Rajendran, V.; Giraldo-Velasquez, M.; Megalofonou, F.-F.; Gurski, F.; Stadelmann, C.; Karnati, S.; Berghoff, M. Oligodendrocyte-Specific Deletion of FGFR1 Reduces Cerebellar Inflammation and Neurodegeneration in MOG35-55-Induced EAE. Int. J. Mol. Sci. 2021, 22, 9495. https://doi.org/10.3390/ijms22179495
Rajendran R, Rajendran V, Giraldo-Velasquez M, Megalofonou F-F, Gurski F, Stadelmann C, Karnati S, Berghoff M. Oligodendrocyte-Specific Deletion of FGFR1 Reduces Cerebellar Inflammation and Neurodegeneration in MOG35-55-Induced EAE. International Journal of Molecular Sciences. 2021; 22(17):9495. https://doi.org/10.3390/ijms22179495
Chicago/Turabian StyleRajendran, Ranjithkumar, Vinothkumar Rajendran, Mario Giraldo-Velasquez, Fevronia-Foivi Megalofonou, Fynn Gurski, Christine Stadelmann, Srikanth Karnati, and Martin Berghoff. 2021. "Oligodendrocyte-Specific Deletion of FGFR1 Reduces Cerebellar Inflammation and Neurodegeneration in MOG35-55-Induced EAE" International Journal of Molecular Sciences 22, no. 17: 9495. https://doi.org/10.3390/ijms22179495
APA StyleRajendran, R., Rajendran, V., Giraldo-Velasquez, M., Megalofonou, F.-F., Gurski, F., Stadelmann, C., Karnati, S., & Berghoff, M. (2021). Oligodendrocyte-Specific Deletion of FGFR1 Reduces Cerebellar Inflammation and Neurodegeneration in MOG35-55-Induced EAE. International Journal of Molecular Sciences, 22(17), 9495. https://doi.org/10.3390/ijms22179495

