Post Zygotic, Somatic, Deletion in KERATIN 1 V1 Domain Generates Structural Alteration of the K1/K10 Dimer, Producing a Monolateral Palmar Epidermolytic Nevus
Abstract
:1. Introduction
2. Results
2.1. Patient Presentation
2.2. Histological Analysis
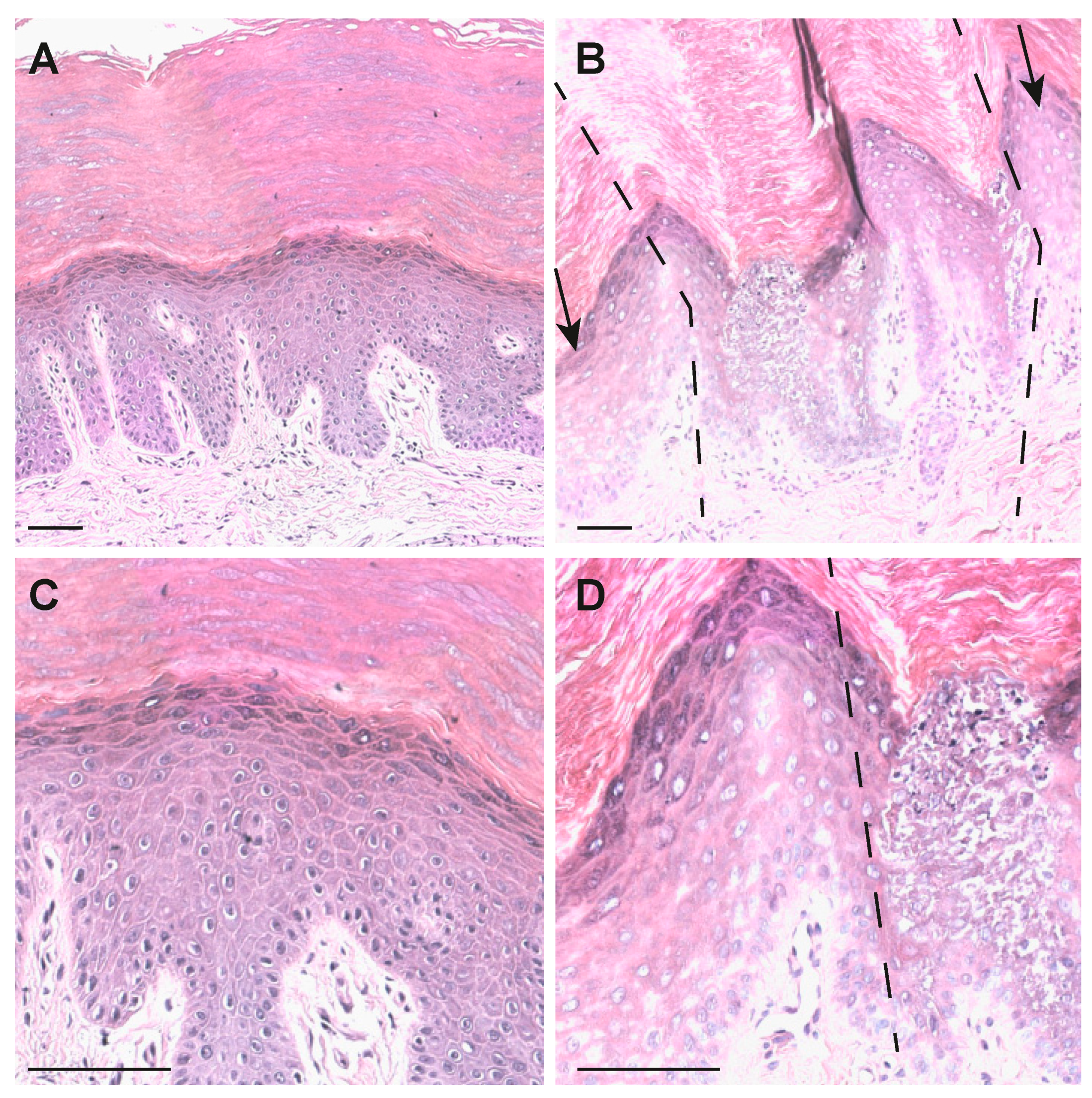
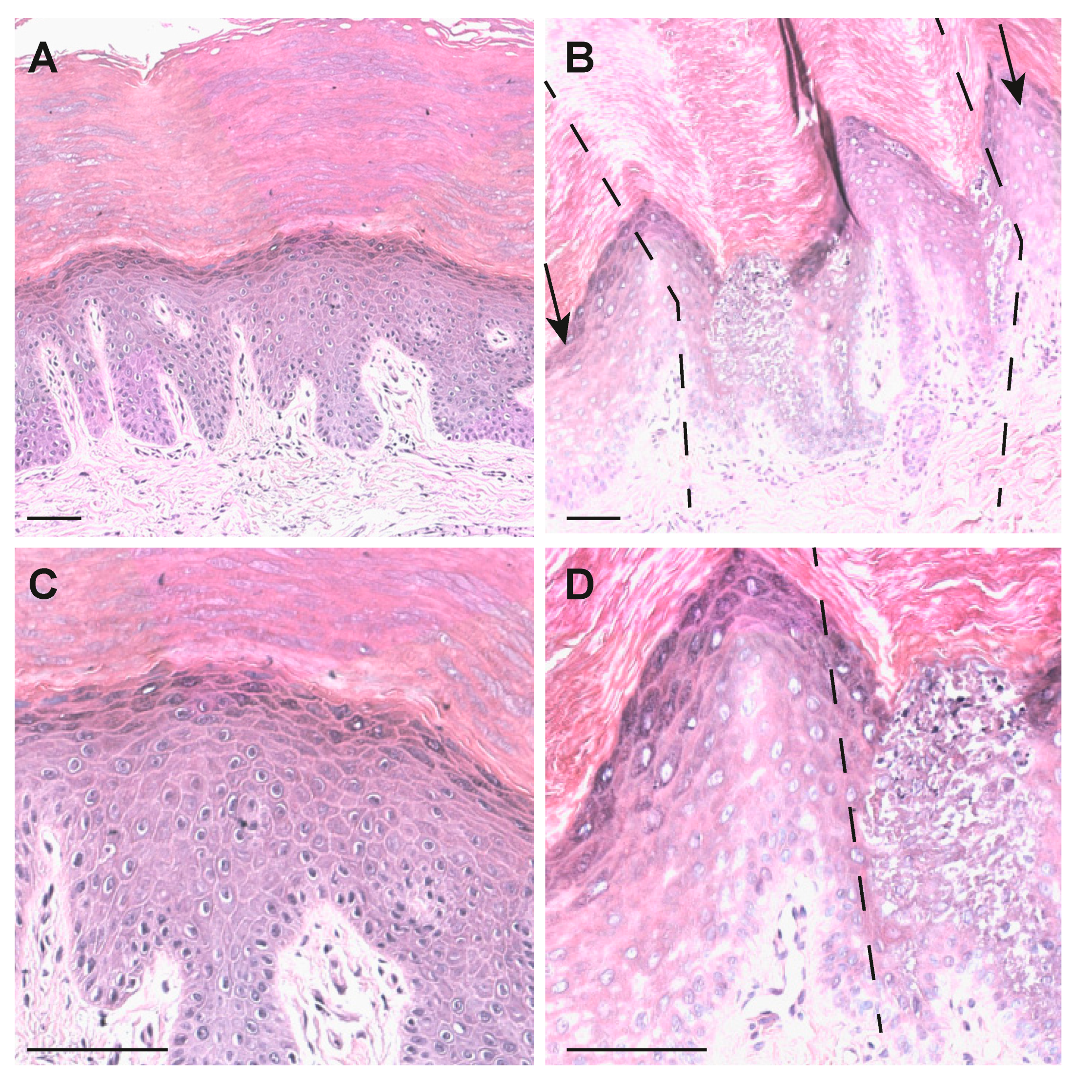
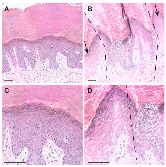
2.2.1. Light Microscopy
2.2.2. Confocal Microscopy
2.3. Molecular Analysis
2.4. Computational Model of Mutated K1 Interaction and Structure
3. Discussion
4. Materials and Methods
4.1. Genetic Analysis
4.2. Light Microscopy
4.3. Confocal Immunofluorescence Analysis
4.4. Computational Methods
4.4.1. Molecular Models of Wild-Type and V1-Deleted K1/K10 Dimers
4.4.2. Molecular Dynamics Simulations
4.4.3. Trajectory Analyses
4.4.4. Mutation Taster Is Silico Analysis
Supplementary Materials
Author Contributions
Funding
Institutional Review Board Statement
Informed Consent Statement
Data Availability Statement
Conflicts of Interest
References
- Corden, L.D.; McLean, W.H. Human keratin diseases: Hereditary fragility of specific epithelial tissues. Exp. Dermatol. 1996, 5, 297–307. [Google Scholar] [CrossRef] [PubMed]
- Irvine, A.D.; I McLean, W.H. Human keratin diseases: The increasing spectrum of disease and subtlety of the pheno-type-genotype correlation. Br. J. Dermatol. 1999, 140, 815–828. [Google Scholar] [CrossRef]
- Oji, V.; Tadini, G.; Akiyama, M.; Bardon, C.B.; Bodemer, C.; Bourrat, E.; Coudiere, P.; DiGiovanna, J.J.; Elias, P.; Fischer, J.; et al. Revised nomenclature and classification of inherited ichthyoses: Results of the First Ichthyosis Consensus Conference in Sorèze 2009. J. Am. Acad. Dermatol. 2010, 63, 607–641. [Google Scholar] [CrossRef] [PubMed] [Green Version]
- Sakiyama, T.; Kubo, A. Hereditary palmoplantar keratoderma “clinical and genetic differential diagnosis”. J. Dermatol. 2016, 43, 264–274. [Google Scholar] [CrossRef] [PubMed]
- Liu, X.; Qiu, C.; He, R.; Zhang, Y.; Zhao, Y. Keratin 9L164P mutation in a Chinese pedigree with epidermolytic palmoplantar keratoderma, cytokeratin analysis, and literature review. Mol. Genet. Genom. Med. 2019, 7, e977. [Google Scholar] [CrossRef] [Green Version]
- Terron-Kwiatkowski, A.; Terrinoni, A.; Didona, B.; Melino, G.; Atherton, D.; Irvine, A.; McLean, W.H.I. Atypical epidermolytic palmoplantar keratoderma presentation associated with a mutation in the keratin 1 gene. Br. J. Dermatol. 2004, 150, 1096–1103. [Google Scholar] [CrossRef] [PubMed]
- Kimonis, V.; Yang, J.-M.; Doyle, S.Z.; Bale, S.J.; Compton, J.G.; DiGiovanna, J.J. A Mutation in the V1 End Domain of Keratin 1 in Non-Epidermolytic Palmar-Plantar Keratoderma. J. Investig. Dermatol. 1994, 103, 764–769. [Google Scholar] [CrossRef] [Green Version]
- Zieman, A.G.; Poll, B.; Ma, J.; A Coulombe, P. Altered keratinocyte differentiation is an early driver of keratin mutation-based palmoplantar keratoderma. Hum. Mol. Genet. 2019, 28, 2255–2270. [Google Scholar] [CrossRef]
- Plassais, J.; Guaguère, E.; Lagoutte, L.; Guillory, A.-S.; de Citres, C.D.; Degorce-Rubiales, F.; Delverdier, M.; Vaysse, A.; Quignon, P.; Bleuart, C.; et al. A Spontaneous KRT16 Mutation in a Dog Breed: A Model for Human Focal Non-Epidermolytic Palmoplantar Keratoderma (FNEPPK). J. Investig. Dermatol. 2015, 135, 1187–1190. [Google Scholar] [CrossRef] [Green Version]
- Quinlan, R.; Hutchison, C.; Lane, B. Intermediate filament proteins. Protein Profile 1994, 1, 779–911. [Google Scholar]
- Steinert, P.M. Structure, Function, and Dynamics of Keratin Intermediate Filaments. J. Investig. Dermatol. 1993, 100, 729–734. [Google Scholar] [CrossRef] [PubMed] [Green Version]
- Hatzfeld, M.; Weber, K. The coiled coil of in vitro assembled keratin filaments is a heterodimer of type I and II keratins: Use of site-specific mutagenesis and recombinant protein expression. J. Cell Biol. 1990, 110, 1199–1210. [Google Scholar] [CrossRef] [PubMed]
- Coulombe, P.A.; Fuchs, E. Elucidating the early stages of keratin filament assembly. J. Cell Biol. 1990, 111, 153–169. [Google Scholar] [CrossRef]
- Osawa, R.; Akiyama, M.; Izumi, K.; Ujiie, H.; Sakai, K.; Nemoto-Hasebe, I.; Yanagi, T.; Koizumi, H.; Shimizu, H. Extremely severe palmoplantar hyperkeratosis in a generalized epidermolytic hyperkeratosis patient with a keratin 1 gene mutation. J. Am. Acad. Dermatol. 2011, 64, 991–993. [Google Scholar] [CrossRef]
- Palombo, R.; Giannella, E.; Didona, B.; Annicchiarico-Petruzzelli, M.; Melino, G.; Terrinoni, A. Cutaneous mosaicism, in KRT1 pI479T patient, caused by the somatic loss of the wild-type allele, leads to the increase in local severity of the disease. J. Eur. Acad. Dermatol. Venereol. 2015, 30, 847–851. [Google Scholar] [CrossRef]
- Bray, D.; Walsh, T.R.; Noro, M.G.; Notman, R. Complete Structure of an Epithelial Keratin Dimer: Implications for Interme-diate Filament Assembly. PLoS ONE 2015, 10, e0132706. [Google Scholar] [CrossRef] [Green Version]
- Rothnagel, J.A.; Dominey, A.M.; Dempsey, L.D.; Longley, M.A.; Greenhalgh, D.A.; Gagne, T.A.; Huber, M.; Frenk, E.; Hohl, D.; Roop, D.R. Mutations in the Rod Domains of Keratins 1 and 10 in Epidermolytic Hyperkeratosis. Science 1992, 257, 1128–1130. [Google Scholar] [CrossRef]
- Ishida-Yamamoto, A.; Takahashi, H.; Iizuka, H.; Richard, G. In Vivo Studies of Mutant Keratin 1 in Ichthyosis Hystrix Curth–Macklin. J. Investig. Dermatol. 2003, 120, 498–500. [Google Scholar] [CrossRef] [PubMed] [Green Version]
- Terrinoni, A.; Smith, F.J.; Didona, B.; Canzona, F.; Paradisi, M.; Huber, M.; Hohl, D.; David, A.; Verloes, A.; Leigh, I.M.; et al. Novel and Recurrent Mutations in the Genes Encoding Keratins K6a, K16 and K17 in 13 Cases of Pachyonychia Congenita. J. Investig. Dermatol. 2001, 117, 1391–1396. [Google Scholar] [CrossRef] [PubMed] [Green Version]
- Terrinoni, A.; Didona, B.; Caporali, S.; Chillemi, G.; Surdo, A.L.; Paradisi, M.; Annichiarico-Petruzzelli, M.; Candi, E.; Ber-nardini, S.; Melino, G. Role of the keratin 1 and keratin 10 tails in the pathogenesis of ichthyosis hystrix of Curth Macklin. PLoS ONE 2018, 13, e0195792. [Google Scholar] [CrossRef] [Green Version]
- Terrinoni, A.; De Laurenzi, V.; Candi, E.; Melino, G.; Puddu, P.; Didona, B.; Smith, F.J.; McLean, W. A Mutation in the V1 Domain of K16 is Responsible for Unilateral Palmoplantar Verrucous Nevus. J. Investig. Dermatol. 2000, 114, 1136–1140. [Google Scholar] [CrossRef] [PubMed]
- Candi, E.; Tarcsa, E.; Digiovanna, J.J.; Compton, J.G.; Elias, P.M.; Marekov, L.N.; Steinert, P.M. A highly conserved lysine residue on the head domain of type II keratins is essential for the attachment of keratin intermediate filaments to the cornified cell envelope through isopeptide crosslinking by transglutaminases. Proc. Natl. Acad. Sci. 1998, 95, 2067–2072. [Google Scholar] [CrossRef] [PubMed] [Green Version]
- Anonymous. Die Nervenverteilung in der Haut in ihrer Beziehung zu den Erkrankungen der Haut. In Beilage zu den Ver-handlungen der Deutschen Dermatologischen Gesellschaft: VII. Congress zu Breslau; Braumfiller, Wien Leipzig: Vienna, Austria, 1901. [Google Scholar]
- Jackson, S.P.; Bartek, J. The DNA-damage response in human biology and disease. Nat. Cell Biol. 2009, 461, 1071–1078. [Google Scholar] [CrossRef] [PubMed] [Green Version]
- Happle, R. The categories of cutaneous mosaicism: A proposed classification. Am. J. Med. Genet. Part A 2016, 170, 452–459. [Google Scholar] [CrossRef] [PubMed]
- Yang, Y.; Zhou, J.; Wu, H. Significance of Cytokeratin-1 Single-Nucleotide Polymorphism and Protein Level in Susceptibility to Vocal Leukoplakia and Laryngeal Squamous Cell Carcinoma. Orl. J. Otorhinolaryngol. Relat. Spec. 2019, 81, 121–129. [Google Scholar] [CrossRef]
- Candi, E.; Rufini, A.; Terrinoni, A.; Dinsdale, D.; Ranalli, M.; Paradisi, A.; De Laurenzi, V.; Spagnoli, L.G.; Catani, M.V.; Ramadan, S.; et al. Differential roles of p63 isoforms in epidermal development: Selective genetic complementation in p63 null mice. Cell Death Differ. 2006, 13, 1037–1047. [Google Scholar] [CrossRef] [Green Version]
- Serra, V.; Castori, M.; Paradisi, M.; Bui, L.; Melino, G.; Terrinoni, A. Functional characterization of a novel TP63 mutation in a family with overlapping features of Rapp-Hodgkin/AEC/ADULT syndromes. Am. J. Med. Genet. Part A 2011, 155, 3104–3109. [Google Scholar] [CrossRef] [Green Version]
- Candi, E.; Cipollone, R.; Rivetti di Val Cervo, P.; Gonfloni, S.; Melino, G.; Knight, R. p63 in epithelial development. Cell. Mol. Life Sci. 2008, 65, 3126–3133. [Google Scholar] [CrossRef] [Green Version]
- Pettersen, E.F.; Goddard, T.D.; Huang, C.C.; Couch, G.S.; Greenblatt, D.M.; Meng, E.C.; Ferrin, T.E. UCSF Chimera—A visu-alization system for exploratory research and analysis. J. Comput. Chem. 2004, 25, 1605–1612. [Google Scholar] [CrossRef] [PubMed] [Green Version]
- Tian, C.; Kasavajhala, K.; Belfon, K.A.A.; Raguette, L.; Huang, H.; Migues, A.N.; Bickel, J.; Wang, Y.; Pincay, J.; Wu, Q.; et al. ff19SB: Amino-Acid-Specific Protein Backbone Parameters Trained against Quantum Mechanics Energy Surfaces in Solution. J. Chem. Theory Comput. 2019, 16, 528–552. [Google Scholar] [CrossRef]
- Feller, S.E.; Zhang, Y.; Pastor, R.W.; Brooks, B.R. Constant pressure molecular dynamics simulation: The Langevin piston method. J. Chem. Phys. 1995, 103, 4613–4621. [Google Scholar] [CrossRef]
- Case, D.A.; Cheatham, T.E.; Darden, T.; Gohlke, H.; Luo, R.; Merz, K.M.; Onufriev, A.; Simmerling, C.; Wang, B.; Woods, R.J. The Amber biomolecular simulation programs. J. Comput. Chem. 2005, 26, 1668–1688. [Google Scholar] [CrossRef] [Green Version]
- Sun, H.; Duan, L.; Chen, F.; Liu, H.; Wang, Z.; Pan, P.; Zhu, F.; Zhang, J.Z.H.; Hou, T. Assessing the performance of MM/PBSA and MM/GBSA methods. 7. Entropy effects on the performance of end-point binding free energy calculation approaches. Phys. Chem. Chem. Phys. 2018, 20, 14450–14460. [Google Scholar] [CrossRef] [PubMed]
- Schwarz, J.M.; Cooper, D.N.; Schuelke, M.; Seelow, D. MutationTaster2: Mutation prediction for the deep-sequencing age. Nat. Methods 2014, 11, 361–362. [Google Scholar] [CrossRef]
- Kono, M.; Suga, Y.; Akashi, T.; Ito, Y.; Takeichi, T.; Muro, Y.; Akiyama, M. A Child with Epidermolytic Ichthyosis from a Parent with Epidermolytic Nevus: Risk Evaluation of Transmission from Mosaic to Germline. J. Investig. Dermatol. 2017, 137, 2024–2026. [Google Scholar] [CrossRef] [Green Version]
- Tsubota, A.; Akiyama, M.; Sakai, K.; Goto, M.; Nomura, Y.; Ando, S.; Abe, M.; Sawamura, D.; Shimizu, H. Keratin 1 Gene Mutation Detected in Epidermal Nevus with Epidermolytic Hyperkeratosis. J. Investig. Dermatol. 2007, 127, 1371–1374. [Google Scholar] [CrossRef] [Green Version]
- Samuelov, L.; Sarig, O.; Gat, A.; Halachmi, S.; Shalev, S.; Sprecher, E. Extensive lentigo simplex, linear epidermolytic naevus and epidermolytic naevus comedonicus caused by a somatic mutation in KRT10. Br. J. Dermatol. 2015, 173, 293–296. [Google Scholar] [CrossRef]
- Diociaiuti, A.; Castiglia, D.; Corbeddu, M.; Rotunno, R.; Rossi, S.; Pisaneschi, E.; Cesario, C.; Condorelli, A.G.; Zambruno, G.; El Hachem, M. First Case of KRT2 Epidermolytic Nevus and Novel Clinical and Genetic Findings in 26 Italian Patients with Keratinopathic Ichthyoses. Int. J. Mol. Sci. 2020, 21, 7707. [Google Scholar] [CrossRef] [PubMed]
- A Adya, K.; Inamadar, A.C.; Janagond, A.B.; Palit, A. Epidermolytic Nevus: An Instance of Mosaic Epidermolytic Ichthyosis. Indian Dermatol. Online J. 2020, 11, 272–273. [Google Scholar]
- Behera, B.; Chiramel, M.J.; Kumari, R.; Gochhait, D. Linear Comedonal Epidermolytic Nevus: A Rare Entity. Am. J. Dermato-Pathol. 2021, 43, 397–399. [Google Scholar] [CrossRef]
- Schecter, A.K.; Lester, B.; Pan, T.D.; Robinson-Bostom, L. Linear nevus comedonicus with epidermolytic hyperkeratosis. J. Cutan. Pathol. 2004, 31, 502–505. [Google Scholar] [CrossRef] [PubMed]
- Codispoti, A.; Colombo, E.; Zocchi, L.; Serra, V.; Pertusi, G.; Leigheb, G.; Tiberio, R.; Bornacina, G.; Zuccoli, R.; Ramponi, A.; et al. Knuckle pads, in an epidermal palmoplantar keratoderma patient with Keratin 9 R163W transgrediens expression. Eur. J. Dermatol. 2009, 19, 114–118. [Google Scholar] [CrossRef] [PubMed]
- Terrinoni, A.; Cocuroccia, B.; Gubinelli, E.; Zambruno, G.; Candi, E.; Melino, G.; Girolomoni, G. Identification of the keratin K9 R162W mutation in patients of Italian origin with epidermolytic palmoplantar keratoderma. Eur. J. Dermatol. 2004, 14, 375–378. [Google Scholar] [PubMed]
- Aoki, K.M.; Yoneya, M.; Yokoyama, H. CONSTANT PRESSURE MD SIMULATION METHOD. Mol. Cryst. Liq. Cryst. 2004, 413, 109–116. [Google Scholar] [CrossRef]
- De Lano, W.L. The PyMOL Molecular Graphics System; DeLano Scientific: San Carlos, CA, USA, 2002. [Google Scholar]
- Ryckaert, J.-P.; Ciccotti, G.; Berendsen, H.J.C. Numerical integration of the cartesian equations of motion of a system with constraints: Molecular dynamics of n-alkanes. J. Comput. Phys. 1977, 23, 327–341. [Google Scholar] [CrossRef] [Green Version]
- Toukmaji, A.Y.; Sagui, C.; A Board, J.; A Darden, T. Efficient particle-mesh Ewald based approach to fixed and induced dipolar interactions. J. Chem. Phys. 2000, 113, 10913–10927. [Google Scholar] [CrossRef]
- Abraham, M.J.; Murtola, T.; Schulz, R.; Páll, S.; Smith, J.C.; Hess, B.; Lindahl, E. GROMACS: High performance molecular simulations through multi-level parallelism from laptops to supercomputers. SoftwareX 2015, 1–2, 19–25. [Google Scholar] [CrossRef] [Green Version]
- Genheden, S.; Ryde, U. The MM/PBSA and MM/GBSA methods to estimate ligand-binding affinities. Expert Opin. Drug Discov. 2015, 10, 449–461. [Google Scholar] [CrossRef]
- Iannone, F.; Ambrosino, F.; Bracco, G.; De Rosa, M.; Funel, A.; Guarnieri, G.; Migliori, S.; Palombi, F.; Ponti, G.; Santomauro, G.; et al. CRESCO ENEA HPC clusters: A working example of a multifabric GPFS Spectrum Scale layout. In Proceedings of the 2019 International Conference on High Performance Computing & Simulation (HPCS), Dublin, Ireland, 15–19 July 2019; pp. 1051–1052. [Google Scholar]









| Dimer | VdW (kcal/mol) | Electrostatic (kcal/mol) | Nonpolar Solvation (kcal/mol) | Polar Solvation (kcal/mol) | Binding Energy (kcal/mol) |
|---|---|---|---|---|---|
| WT K1/K10 | −1489.2 | −450.7 | 1100.2 | −203.4 | −1043.2 |
| ΔK1/K10 | −1218.8 | −313.9 | 1007.1 | −180.8 | −906.5 |
Publisher’s Note: MDPI stays neutral with regard to jurisdictional claims in published maps and institutional affiliations. |
© 2021 by the authors. Licensee MDPI, Basel, Switzerland. This article is an open access article distributed under the terms and conditions of the Creative Commons Attribution (CC BY) license (https://creativecommons.org/licenses/by/4.0/).
Share and Cite
Caporali, S.; Didona, B.; Paradisi, M.; Mauriello, A.; Campione, E.; Falconi, M.; Iacovelli, F.; Minieri, M.; Pieri, M.; Bernardini, S.; et al. Post Zygotic, Somatic, Deletion in KERATIN 1 V1 Domain Generates Structural Alteration of the K1/K10 Dimer, Producing a Monolateral Palmar Epidermolytic Nevus. Int. J. Mol. Sci. 2021, 22, 6901. https://doi.org/10.3390/ijms22136901
Caporali S, Didona B, Paradisi M, Mauriello A, Campione E, Falconi M, Iacovelli F, Minieri M, Pieri M, Bernardini S, et al. Post Zygotic, Somatic, Deletion in KERATIN 1 V1 Domain Generates Structural Alteration of the K1/K10 Dimer, Producing a Monolateral Palmar Epidermolytic Nevus. International Journal of Molecular Sciences. 2021; 22(13):6901. https://doi.org/10.3390/ijms22136901
Chicago/Turabian StyleCaporali, Sabrina, Biagio Didona, Mauro Paradisi, Alessandro Mauriello, Elena Campione, Mattia Falconi, Federico Iacovelli, Marilena Minieri, Massimo Pieri, Sergio Bernardini, and et al. 2021. "Post Zygotic, Somatic, Deletion in KERATIN 1 V1 Domain Generates Structural Alteration of the K1/K10 Dimer, Producing a Monolateral Palmar Epidermolytic Nevus" International Journal of Molecular Sciences 22, no. 13: 6901. https://doi.org/10.3390/ijms22136901
APA StyleCaporali, S., Didona, B., Paradisi, M., Mauriello, A., Campione, E., Falconi, M., Iacovelli, F., Minieri, M., Pieri, M., Bernardini, S., & Terrinoni, A. (2021). Post Zygotic, Somatic, Deletion in KERATIN 1 V1 Domain Generates Structural Alteration of the K1/K10 Dimer, Producing a Monolateral Palmar Epidermolytic Nevus. International Journal of Molecular Sciences, 22(13), 6901. https://doi.org/10.3390/ijms22136901

