Changes in the Cell Wall Proteome of Leaves in Response to High Temperature Stress in Brachypodium distachyon
Abstract
:1. Introduction
2. Results
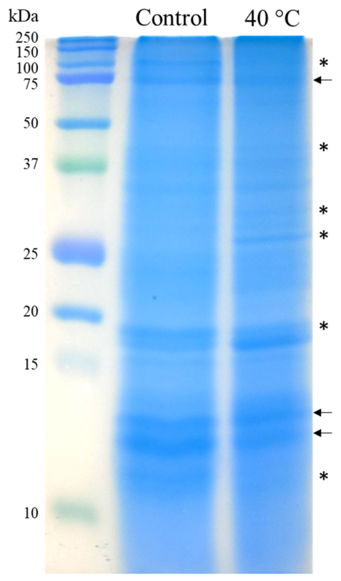
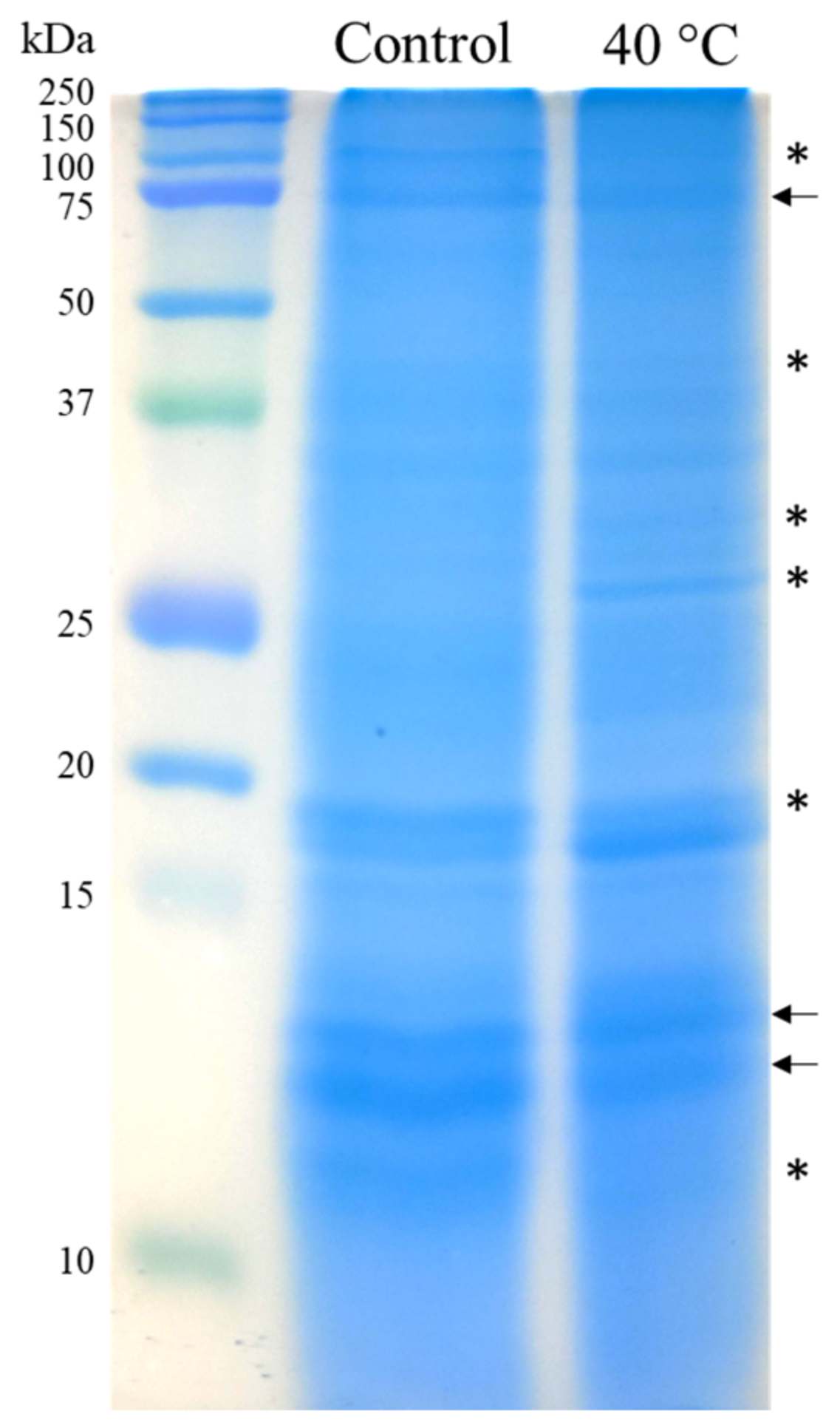
2.1. Isolating the Cell Wall Proteins
2.2. Overall Proteome Data Analysis
2.3. Qualitative Analysis
2.4. Quantitative Analysis
2.5. Expression of Six Genes Encoding the DAPs
3. Discussion
3.1. Proteins Acting on Cell Wall Polysaccharides
3.2. Proteases
3.3. Miscellaneous Proteins and Proteins of a Yet Unknown Function
3.4. Oxido-Reductases
3.5. Proteins Related to Lipid Metabolism
3.6. Proteins with Interaction Domains (with Proteins or Polysaccharides)
3.7. Cell Wall Response to Temperature Stress
4. Materials and Methods
4.1. Plant Material and Treatment
4.2. Cell Wall Proteins Isolation
4.3. Sodium Dodecyl Sulphate Polyacrylamide Gel Electrophoresis (SDS-PAGE)
4.4. Protein Tryptic Digestion and LC-MS/MS Analysis
4.5. Bioinformatic Analysis
4.6. RT-qPCR Analysis
5. Conclusions
Supplementary Materials
Author Contributions
Funding
Data Availability Statement
Acknowledgments
Conflicts of Interest
Appendix A

| Genes | Description of the Genes | Primer Sequences (5′→3′) |
|---|---|---|
| Bradi1g32860 | Ubiquitin | GAGGGTGGACTCCTTTTGGA |
| TCCACACTCCACTTGGTGCT | ||
| Bradi1g52050 | GH28 | CGACATGGTGGTCGAAATAC |
| GTGACGTTGGAGATGAAGATG | ||
| Bradi1g38780 | GDSL/lipase acylhydrolase | CCCTCTGTAAATCGGAGAAAG |
| CGGAGAACAATGGAGCATTA | ||
| Bradi1g25517 | GH17 | GCGAGTTCAAAGACGACAT |
| GTACGTGTAGTACGGGTAGAT | ||
| Bradi1g58997 | class III peroxidase (BdiPrx35) | GGTCCTTCGACAACCAGTA |
| TAGTCCTCGAGTCGGTGTA | ||
| Bradi4g09417 | GH18 | CTCCCTCATAGCTCTCCTATC |
| GAGCCTTCGTCCTTGTTC | ||
| Bradi4g09430 | GH18 | AGGTTCTACATCGGGCTTAC |
| GCCGTAGTTCTCCTTCTTCT |
References
- Debaeke, P.; Pellerin, S.; Scopel, E. Climate-smart cropping systems for temperate and tropical agriculture: Mitigation, adaptation and trade-offs. Cah. Agric. 2017, 26, 34002. [Google Scholar] [CrossRef]
- Zhao, C.; Liu, B.; Piao, S.; Wang, X.; Lobell, D.B.; Huang, Y.; Huang, M.; Yao, Y.; Bassu, S.; Ciais, P.; et al. Temperature increase reduces global yields of major crops in four independent estimates. Proc. Natl. Acad. Sci. USA 2017, 114, 9326–9331. [Google Scholar] [CrossRef] [Green Version]
- Jansson, C.; Vogel, J.; Hazen, S.; Brutnell, T.; Mockler, T. Climate-smart crops with enhanced photosynthesis. J. Exp. Bot. 2018, 69, 3801–3809. [Google Scholar] [CrossRef]
- De Pinto, A.; Cenacchi, N.; Kwon, H.Y.; Koo, J.; Dunston, S. Climate smart agriculture and global food-crop production. PLoS ONE 2020, 15, e0231764. [Google Scholar] [CrossRef]
- Taylor, M. Climate-smart agriculture: What is it good for? J. Peasant Stud. 2017, 45, 89–107. [Google Scholar] [CrossRef]
- Pushpalatha, R.; Gangadharan, B. Is cassava (Manihot esculenta Crantz) a climate “smart” crop? A review in the context of bridging future food demand gap. Trop. Plant. Biol. 2020, 13, 201–211. [Google Scholar] [CrossRef]
- Varotto, S.; Tani, E.; Abraham, E.; Krugman, T.; Kapazoglou, A.; Melzer, R.; Radanovic, A.; Miladinovic, D. Epigenetics: Possible applications in climate-smart crop breeding. J. Exp. Bot. 2020, 71, 5223–5236. [Google Scholar] [CrossRef] [PubMed]
- Yamauchi, T.; Noshita, K.; Tsutsumi, N. Climate-smart crops: Key root anatomical traits that confer flooding tolerance. Breed. Sci. 2021, 20119. [Google Scholar] [CrossRef]
- Le Gall, H.; Philippe, F.; Domon, J.M.; Gillet, F.; Pelloux, J.; Rayon, C. Cell wall metabolism in response to abiotic stress. Plants 2015, 4, 112–166. [Google Scholar] [CrossRef] [PubMed]
- Acosta-Motos, J.; Ortuño, M.; Bernal-Vicente, A.; Diaz-Vivancos, P.; Sanchez-Blanco, M.; Hernandez, J. Plant responses to salt stress: Adaptive mechanisms. Agronomy 2017, 7, 18. [Google Scholar] [CrossRef] [Green Version]
- Niu, Y.; Xiang, Y. An overview of biomembrane functions in plant responses to high-temperature stress. Front. Plant. Sci. 2018, 9, 915. [Google Scholar] [CrossRef] [Green Version]
- Fahad, S.; Bajwa, A.A.; Nazir, U.; Anjum, S.A.; Farooq, A.; Zohaib, A.; Sadia, S.; Nasim, W.; Adkins, S.; Saud, S.; et al. Crop production under drought and heat stress: Plant responses and management options. Front. Plant. Sci. 2017, 8, 1147. [Google Scholar] [CrossRef] [PubMed] [Green Version]
- Mur, L.A.J.; Corke, F.M.K.; Doonan, J.H. Brachypodium: A model temperate grass. eLS 2015. [Google Scholar] [CrossRef]
- Vogel, J. Unique aspects of the grass cell wall. Curr. Opin. Plant. Biol. 2008, 11, 301–307. [Google Scholar] [CrossRef] [PubMed]
- Hus, K.; Betekhtin, A.; Pinski, A.; Rojek-Jelonek, M.; Grzebelus, E.; Nibau, C.; Gao, M.; Jaeger, K.E.; Jenkins, G.; Doonan, J.H.; et al. A CRISPR/Cas9-Based mutagenesis protocol for Brachypodium distachyon and its allopolyploid relative, Brachypodium hybridum. Front. Plant. Sci. 2020, 11, 614. [Google Scholar] [CrossRef] [PubMed]
- Coomey, J.H.; Sibout, R.; Hazen, S.P. Grass secondary cell walls, Brachypodium distachyon as a model for discovery. N. Phytol. 2020, 227, 1649–1667. [Google Scholar] [CrossRef] [Green Version]
- Alves, S.C.; Worland, B.; Thole, V.; Snape, J.W.; Bevan, M.W.; Vain, P. A protocol for Agrobacterium-mediated transformation of Brachypodium distachyon community standard line Bd21. Nat. Protoc. 2009, 4, 638–649. [Google Scholar] [CrossRef]
- International_Brachypodium_Initiative. Genome sequencing and analysis of the model grass Brachypodium distachyon. Nature 2010, 463, 763–768. [Google Scholar] [CrossRef]
- Gordon, S.P.; Contreras-Moreira, B.; Woods, D.P.; Des Marais, D.L.; Burgess, D.; Shu, S.; Stritt, C.; Roulin, A.C.; Schackwitz, W.; Tyler, L.; et al. Extensive gene content variation in the Brachypodium distachyon pan-genome correlates with population structure. Nat. Commun. 2017, 8, 2184. [Google Scholar] [CrossRef]
- Skalska, A.; Stritt, C.; Wyler, M.; Williams, H.W.; Vickers, M.; Han, J.; Tuna, M.; Savas Tuna, G.; Susek, K.; Swain, M.; et al. Genetic and methylome variation in Turkish Brachypodium distachyon accessions differentiate two geographically distinct subpopulations. Int. J. Mol. Sci. 2020, 21, 6700. [Google Scholar] [CrossRef]
- Rancour, D.M.; Marita, J.M.; Hatfield, R.D. Cell wall composition throughout development for the model grass Brachypodium distachyon. Front. Plant. Sci. 2012, 3, 266. [Google Scholar] [CrossRef] [Green Version]
- Bita, C.E.; Gerats, T. Plant tolerance to high temperature in a changing environment: Scientific fundamentals and production of heat stress-tolerant crops. Front. Plant. Sci. 2013, 4, 273. [Google Scholar] [CrossRef] [Green Version]
- Janmohammadi, M.; Zolla, L.; Rinalducci, S. Low temperature tolerance in plants: Changes at the protein level. Phytochemistry 2015, 117, 76–89. [Google Scholar] [CrossRef]
- Albenne, C.; Canut, H.; Boudart, G.; Zhang, Y.; San Clemente, H.; Pont-Lezica, R.; Jamet, E. Plant cell wall proteomics: Mass spectrometry data, a trove for research on protein structure/function relationships. Mol. Plant. 2009, 2, 977–989. [Google Scholar] [CrossRef] [Green Version]
- Albenne, C.; Canut, H.; Hoffmann, L.; Jamet, E. Plant cell wall proteins: A large body of data, but what about runaways? Proteomes 2014, 2, 224–242. [Google Scholar] [CrossRef] [PubMed] [Green Version]
- San Clemente, H.; Jamet, E. WallProtDB, a database resource for plant cell wall proteomics. Plant. Methods 2015, 11, 2. [Google Scholar] [CrossRef] [PubMed] [Green Version]
- Pinski, A.; Betekhtin, A.; Sala, K.; Godel-Jedrychowska, K.; Kurczynska, E.; Hasterok, R. Hydroxyproline-rich glycoproteins as markers of temperature stress in the leaves of Brachypodium distachyon. Int. J. Mol. Sci. 2019, 20, 2571. [Google Scholar] [CrossRef] [Green Version]
- Liu, J.; Pang, C.; Wei, H.; Song, M.; Meng, Y.; Ma, J.; Fan, S.; Yu, S. iTRAQ-facilitated proteomic profiling of anthers from a photosensitive male sterile mutant and wild-type cotton (Gossypium hirsutum L.). J. Proteomics 2015, 126, 68–81. [Google Scholar] [CrossRef]
- Chen, S.; Li, H. Heat stress regulates the expression of genes at transcriptional and post-transcriptional levels, revealed by RNA-seq in Brachypodium distachyon. Front. Plant. Sci. 2016, 7, 2067. [Google Scholar] [CrossRef] [PubMed] [Green Version]
- Xu, J.; Belanger, F.; Huang, B. Differential gene expression in shoots and roots under heat stress for a geothermal and non-thermal Agrostis grass species contrasting in heat tolerance. Environ. Exp. Bot. 2008, 63, 240–247. [Google Scholar] [CrossRef]
- Xu, G.; Wang, S.; Han, S.; Xie, K.; Wang, Y.; Li, J.; Liu, Y. Plant Bax Inhibitor-1 interacts with ATG6 to regulate autophagy and programmed cell death. Autophagy 2017, 13, 1161–1175. [Google Scholar] [CrossRef] [Green Version]
- Minina, E.A.; Filonova, L.H.; Fukada, K.; Savenkov, E.I.; Gogvadze, V.; Clapham, D.; Sanchez-Vera, V.; Suarez, M.F.; Zhivotovsky, B.; Daniel, G. Autophagy and metacaspase determine the mode of cell death in plants. J. Cell Biol. Biol. 2013, 203, 917–927. [Google Scholar] [CrossRef] [PubMed] [Green Version]
- Wang, X.; Liang, H.; Guo, D.; Guo, L.; Duan, X.; Jia, Q.; Hou, X. Integrated analysis of transcriptomic and proteomic data from tree peony (P. ostii) seeds reveals key developmental stages and candidate genes related to oil biosynthesis and fatty acid metabolism. Hortic. Res. 2019, 6, 111. [Google Scholar] [CrossRef] [PubMed] [Green Version]
- Haider, S.; Pal, R. Integrated analysis of transcriptomic and proteomic data. Curr. Genom. 2013, 14, 91–110. [Google Scholar] [CrossRef]
- Calderan-Rodrigues, M.J.; Fonseca, J.G.; San Clemente, H.; Labate, C.A.; Jamet, E. Glycoside hydrolases in plant cell wall proteomes: Predicting functions that could be relevant for improving biomass transformation processes. In Advances in Biofuels and Bioenergy; Nageswara-Rao, M., Soneji, J.R., Eds.; IntechOpen: London, UK, 2018. [Google Scholar] [CrossRef] [Green Version]
- Calderan-Rodrigues, M.J.; Guimarães Fonseca, J.; de Moraes, F.E.; Vaz Setem, L.; Carmanhanis Begossi, A.; Labate, C.A. Plant cell wall proteomics: A focus on monocot species, Brachypodium distachyon, Saccharum spp. and Oryza sativa. Int. J. Mol. Sci. 2019, 20, 1975. [Google Scholar] [CrossRef] [PubMed] [Green Version]
- Sonah, H.; Chavan, S.; Katara, J.; Chaudhary, J.; Kadam, S.; Patil, G.; Deshmukh, R. Genome-wide identification and characterization of Xylanase Inhibitor Protein (XIP) genes in cereals. Indian J. Genet. 2016, 76, 159–166. [Google Scholar] [CrossRef]
- Durand, A.; Hughes, R.; Roussel, A.; Flatman, R.; Henrissat, B.; Juge, N. Emergence of a subfamily of xylanase inhibitors within glycoside hydrolase family 18. FEBS J. 2005, 272, 1745–1755. [Google Scholar] [CrossRef] [PubMed]
- Minic, Z. Physiological roles of plant glycoside hydrolases. Planta 2008, 227, 723–740. [Google Scholar] [CrossRef]
- Francin-Allami, M.; Merah, K.; Albenne, C.; Rogniaux, H.; Pavlovic, M.; Lollier, V.; Sibout, R.; Guillon, F.; Jamet, E.; Larré, C. Cell wall proteomic of Brachypodium distachyon grains: A focus on cell wall remodeling proteins. Proteomics 2015, 15, 2296–2306. [Google Scholar] [CrossRef]
- Cosgrove, D.J. Catalysts of plant cell wall loosening. F1000Res. 2016, 5, 119. [Google Scholar] [CrossRef] [Green Version]
- Xu, Z.; Escamilla-Trevino, L.L.; Zeng, L.; Lalgondar, M.; Bevan, D.R.; Winkel, B.S.J.; Mohamed, A.; Cheng, C.-L.; Shih, M.-C.; Poulton, J.E.; et al. Functional genomic analysis of Arabidopsis thaliana glycoside hydrolase family 1. Plant. Mol. Biol. 2004, 55, 343–367. [Google Scholar] [CrossRef]
- Song, Y.; Ci, D.; Tian, M.; Zhang, D. Comparison of the physiological effects and transcriptome responses of Populus simonii under different abiotic stresses. Plant. Mol. Biol. 2014, 86, 139–156. [Google Scholar] [CrossRef] [PubMed]
- Yu, E.; Fan, C.; Yang, Q.; Li, X.; Wan, B.; Dong, Y.; Wang, X.; Zhou, Y. Identification of heat responsive genes in Brassica napus siliques at the seed-filling stage through transcriptional profiling. PLoS ONE 2014, 9, e101914. [Google Scholar] [CrossRef] [PubMed]
- Xu, J.; Tian, J.; Belanger, F.C.; Huang, B. Identification and characterization of an expansin gene AsEXP1 associated with heat tolerance in C3 Agrostis grass species. J. Exp. Bot. 2007, 58, 3789–3796. [Google Scholar] [CrossRef] [PubMed] [Green Version]
- Tan, J.; Wang, M.; Shi, Z.; Miao, X. OsEXPA10 mediates the balance between growth and resistance to biotic stress in rice. Plant. Cell Rep. 2018, 37, 993–1002. [Google Scholar] [CrossRef]
- Ding, X.; Cao, Y.; Huang, L.; Zhao, J.; Xu, C.; Li, X.; Wang, S. Activation of the indole-3-acetic acid-amido synthetase GH3-8 suppresses expansin expression and promotes salicylate- and jasmonate-independent basal immunity in rice. Plant. Cell 2008, 20, 228–240. [Google Scholar] [CrossRef] [Green Version]
- Zhu, X.F.; Sun, Y.; Zhang, B.C.; Mansoori, N.; Wan, J.X.; Liu, Y.; Wang, Z.W.; Shi, Y.Z.; Zhou, Y.H.; Zheng, S.J. Trichome Birefringence-Like27 affects aluminum sensitivity by modulating the O-acetylation of xyloglucan and aluminum-binding capacity in Arabidopsis. Plant. Physiol. 2014, 166, 181–189. [Google Scholar] [CrossRef] [Green Version]
- Nafisi, M.; Stranne, M.; Fimognari, L.; Atwell, S.; Martens, H.J.; Pedas, P.R.; Hansen, S.F.; Nawrath, C.; Scheller, H.V.; Kliebenstein, D.J.; et al. Acetylation of cell wall is required for structural integrity of the leaf surface and exerts a global impact on plant stress responses. Front. Plant. Sci. 2015, 6, 550. [Google Scholar] [CrossRef]
- Gao, Y.; He, C.; Zhang, D.; Liu, X.; Xu, Z.; Tian, Y.; Liu, X.H.; Zang, S.; Pauly, M.; Zhou, Y.; et al. Two trichome birefringence-like proteins mediate xylan acetylation, which is essential for leaf blight resistance in rice. Plant. Physiol. 2017, 173, 470–481. [Google Scholar] [CrossRef] [Green Version]
- Chen, J.; Liu, W.; Liu, C.M.; Li, T.; Liang, R.H.; Luo, S.J. Pectin modifications: A review. Crit. Rev. Food Sci. Nutr. 2015, 55, 1684–1698. [Google Scholar] [CrossRef]
- Tenhaken, R. Cell wall remodeling under abiotic stress. Front. Plant. Sci. 2014, 5, 771. [Google Scholar] [CrossRef] [PubMed] [Green Version]
- Wu, H.C.; Bulgakov, V.P.; Jinn, T.L. Pectin methylesterases: Cell wall remodeling proteins are required for plant response to heat stress. Front. Plant. Sci. 2018, 9, 1612. [Google Scholar] [CrossRef] [PubMed] [Green Version]
- Saada, S.; Solomon, C.U.; Drea, S. Programmed cell death in the developing Brachypodium distachyon grain. bioRxiv 2019. [Google Scholar] [CrossRef] [Green Version]
- Paniagua, C.; Bilkova, A.; Jackson, P.; Dabravolski, S.; Riber, W.; Didi, V.; Houser, J.; Gigli-Bisceglia, N.; Wimmerova, M.; Budinska, E.; et al. Dirigent proteins in plants: Modulating cell wall metabolism during abiotic and biotic stress exposure. J. Exp. Bot. 2017, 68, 3287–3301. [Google Scholar] [CrossRef] [PubMed] [Green Version]
- Guo, X.; Wang, Q.; Liu, Y.; Zhang, X.; Zhang, L.; Fan, S. Screening of salt stress responsive genes in Brachypodium distachyon (L.) Beauv. by transcriptome analysis. Plants 2020, 9, 1622. [Google Scholar] [CrossRef] [PubMed]
- Behr, M.; Legay, S.; Hausman, J.F.; Guerriero, G. Analysis of cell wall-related genes in organs of Medicago sativa l. under different abiotic stresses. Int. J. Mol. Sci. 2015, 16, 16104–16124. [Google Scholar] [CrossRef] [Green Version]
- Li, L.; Xu, X.; Chen, C.; Shen, Z. Genome-wide characterization and expression analysis of the germin-like protein family in rice and Arabidopsis. Int. J. Mol. Sci. 2016, 17, 1622. [Google Scholar] [CrossRef] [Green Version]
- Sobhanian, H.; Razavizadeh, R.; Nanjo, Y.; Ehsanpour, A.A.; Jazii, F.R.; Motamed, N.; Komatsu, S. Proteome analysis of soybean leaves, hypocotyls and roots under salt stress. Proteome Sci. 2010, 8, 19. [Google Scholar] [CrossRef] [Green Version]
- Cruz-Valderrama, J.E.; Gomez-Maqueo, X.; Salazar-Iribe, A.; Zuniga-Sanchez, E.; Hernandez-Barrera, A.; Quezada-Rodriguez, E.; Gamboa-deBuen, A. Overview of the role of cell wall DUF642 proteins in plant development. Int. J. Mol. Sci. 2019, 20, 3333. [Google Scholar] [CrossRef] [Green Version]
- Bustamante, C.A.; Budde, C.O.; Borsani, J.; Lombardo, V.A.; Lauxmann, M.A.; Andreo, C.S.; Lara, M.V.; Drincovich, M.F. Heat treatment of peach fruit: Modifications in the extracellular compartment and identification of novel extracellular proteins. Plant. Physiol. Biochem. 2012, 60, 35–45. [Google Scholar] [CrossRef]
- Gholizadeh, A. Pectin methylesterase activity of plant DUF538 protein superfamily. Physiol. Mol. Biol. Plants 2020, 26, 829–839. [Google Scholar] [CrossRef] [PubMed]
- Francoz, E.; Ranocha, P.; Nguyen-Kim, H.; Jamet, E.; Burlat, V.; Dunand, C. Roles of cell wall peroxidases in plant development. Phytochemistry 2015, 112, 15–21. [Google Scholar] [CrossRef]
- Fawal, N.; Li, Q.; Savelli, B.; Brette, M.; Passaia, G.; Fabre, M.; Mathé, C.; Dunand, C. PeroxiBase: A database for large-scale evolutionary analysis of peroxidases. Nucleic Acids Res. 2013, 41, D441–D444. [Google Scholar] [CrossRef] [PubMed] [Green Version]
- Ding, L.-N.; Li, M.; Wang, W.-J.; Cao, J.; Wang, Z.; Zhu, K.-M.; Yang, Y.-H.; Li, Y.-L.; Tan, X.-L. Advances in plant GDSL lipases: From sequences to functional mechanisms. Acta Physiol. Plant. 2019, 41, 151. [Google Scholar] [CrossRef]
- Naranjo, M.A.; Forment, J.; Roldan, M.; Serrano, R.; Vicente, O. Overexpression of Arabidopsis thaliana LTL1, a salt-induced gene encoding a GDSL-motif lipase, increases salt tolerance in yeast and transgenic plants. Plant. Cell Environ. 2006, 29, 1890–1900. [Google Scholar] [CrossRef] [PubMed]
- Hayashi, S.; Ishii, T.; Matsunaga, T.; Tominaga, R.; Kuromori, T.; Wada, T.; Shinozaki, K.; Hirayama, T. The glycerophosphoryl diester phosphodiesterase-like proteins SHV3 and its homologs play important roles in cell wall organization. Plant. Cell Physiol. 2008, 49, 1522–1535. [Google Scholar] [CrossRef] [Green Version]
- Gust, A.A.; Willmann, R.; Desaki, Y.; Grabherr, H.M.; Nurnberger, T. Plant LysM proteins: Modules mediating symbiosis and immunity. Trends Plant. Sci. 2012, 17, 495–502. [Google Scholar] [CrossRef]
- Dabravolski, S.A.; Frenkel, Z. Diversity and evolution of pathogenesis-related proteins family 4 beyond plant kingdom. Plant. Gene 2021, 26, 100279. [Google Scholar] [CrossRef]
- Wang, N.; Xiao, B.; Xiong, L. Identification of a cluster of PR4-like genes involved in stress responses in rice. J. Plant. Physiol. 2011, 168, 2212–2224. [Google Scholar] [CrossRef]
- Boiteau, R.M.; Markillie, L.M.; Hoyt, D.W.; Hu, D.; Chu, R.K.; Mitchell, H.D.; Pasa-Tolic, L.; Jansson, J.K.; Jansson, C. Metabolic interactions between Brachypodium and Pseudomonas fluorescens under controlled iron-limited conditions. mSystems 2021, 6, e00580-20. [Google Scholar] [CrossRef]
- Fraire-Velázquez, S.; Rodríguez-Guerra, R.; Sánchez-Calderón, L. Abiotic and biotic stress response crosstalk in plants. In Abiotic Stress Response in Plants—Physiological, Biochemical and Genetic Perspectives; Shanker, A., Venkateswarlu, B., Eds.; IntechOpen: London, UK, 2011; pp. 3–26. [Google Scholar] [CrossRef] [Green Version]
- Suzuki, N.; Rivero, R.M.; Shulaev, V.; Blumwald, E.; Mittler, R. Abiotic and biotic stress combinations. N. Phytol. 2014, 203, 32–43. [Google Scholar] [CrossRef]
- Schultz, C.J.; Ferguson, K.L.; Lahnstein, J.; Bacic, A. Post-translational modifications of arabinogalactan-peptides of Arabidopsis thaliana. Endoplasmic reticulum and glycosylphosphatidylinositol-anchor signal cleavage sites and hydroxylation of proline. J. Biol. Chem. 2004, 279, 45503–45511. [Google Scholar] [CrossRef] [PubMed] [Green Version]
- Albenne, C.; Canut, H.; Jamet, E. Plant cell wall proteomics: The leadership of Arabidopsis thaliana. Front. Plant. Sci. 2013, 4, 111. [Google Scholar] [CrossRef] [Green Version]
- Feiz, L.; Irshad, M.; Pont-Lezica, R.F.; Canut, H.; Jamet, E. Evaluation of cell wall preparations for proteomics: A new procedure for purifying cell walls from Arabidopsis hypocotyls. Plant. Methods 2006, 2, 10. [Google Scholar] [CrossRef] [PubMed] [Green Version]
- Douché, T.; San Clemente, H.; Burlat, V.; Roujol, D.; Valot, B.; Zivy, M.; Pont-Lezica, R.; Jamet, E. Brachypodium distachyon as a model plant toward improved biofuel crops: Search for secreted proteins involved in biogenesis and disassembly of cell wall polymers. Proteomics 2013, 13, 2438–2454. [Google Scholar] [CrossRef]
- Laemmli, U. Denaturing (SDS) discontinuous gel electrophoresis. Nature 1970, 277, 680–685. [Google Scholar] [CrossRef] [PubMed]
- Wisniewski, J.R.; Zougman, A.; Nagaraj, N.; Mann, M. Universal sample preparation method for proteome analysis. Nat. Methods 2009, 6, 359–362. [Google Scholar] [CrossRef]
- Wisniewski, J.R.; Zougman, A.; Mann, M. Combination of FASP and StageTip-based fractionation allows in-depth analysis of the hippocampal membrane proteome. J. Prot. Res. 2009, 8, 5674–5678. [Google Scholar] [CrossRef]
- Chiva, C.; Olivella, R.; Borras, E.; Espadas, G.; Pastor, O.; Sole, A.; Sabido, E. QCloud: A cloud-based quality control system for mass spectrometry-based proteomics laboratories. PLoS ONE 2018, 13, e0189209. [Google Scholar] [CrossRef] [Green Version]
- Tyanova, S.; Temu, T.; Cox, J. The MaxQuant computational platform for mass spectrometry-based shotgun proteomics. Nat. Protoc. 2016, 11, 2301–2319. [Google Scholar] [CrossRef]
- Cox, J.; Neuhauser, N.; Michalski, A.; Scheltema, R.A.; Olsen, J.V.; Mann, M. Andromeda: A peptide search engine integrated into the MaxQuant environment. J. Proteome Res. 2011, 10, 1794–1805. [Google Scholar] [CrossRef] [PubMed]
- Tyanova, S.; Temu, T.; Sinitcyn, P.; Carlson, A.; Hein, M.Y.; Geiger, T.; Mann, M.; Cox, J. The Perseus computational platform for comprehensive analysis of (prote)omics data. Nat. Methods 2016, 13, 731–740. [Google Scholar] [CrossRef] [PubMed]
- Vizcaino, J.A.; Deutsch, E.W.; Wang, R.; Csordas, A.; Reisinger, F.; Rios, D.; Dianes, J.A.; Sun, Z.; Farrah, T.; Bandeira, N.; et al. ProteomeXchange provides globally coordinated proteomics data submission and dissemination. Nat. Biotechnol. 2014, 32, 223–236. [Google Scholar] [CrossRef] [PubMed]


| Functional Class | Control | 40 °C |
|---|---|---|
| Proteins acting on cell wall polysaccharides | 87 (28%) | 65 (25.7%) |
| Proteases | 57 (18.3%) | 48 (19%) |
| Oxido-reductases | 52 (16.7%) | 39 (15.4%) |
| Proteins related to lipid metabolism | 38 (12.2%) | 32 (12.6%) |
| Proteins with interaction domains (with proteins or polysaccharides) | 9 (2.9%) | 9 (3.6%) |
| Proteins possibly involved in signalling | 7 (2.3%) | 5 (2%) |
| Structural proteins | 3 (1%) | 3 (1.2%) |
| Miscellaneous | 35 (11.3%) | 33 (13%) |
| Unknown function | 23 (7.4%) | 19 (7.5%) |
| Total number of CWPs | 311 | 253 |
| Total number of unique proteins | 1423 | 1505 |
| Functional Class | Over-Accumulated DAPs | Under-Accumulated DAPs |
|---|---|---|
| Proteins acting on cell wall polysaccharides | 2 | 12 |
| Proteases | 1 | 11 |
| Miscellaneous | 1 | 4 |
| Unknown function | - | 2 |
| Oxido-reductases | - | 6 |
| Proteins related to lipid metabolism | - | 6 |
| Proteins with interaction domains (with proteins or polysaccharides) | - | 1 |
| Total number | 4 | 42 |
| Protein | Fold Change | q-Value | Functional Class | (Putative) Function |
|---|---|---|---|---|
| Over-Accumulated DAPs at 40 °C | ||||
| Bradi1g20950 | 1.8 | 0.00518 | Miscellaneous | dirigent protein |
| Bradi4g02700 | 2.9 | 0 | Proteases | peptidase M20 |
| Bradi4g09430 | 23.2 | 0.00190 | Proteins acting on cell wall polysaccharides | GH18 (xylanase inhibitor/class II chitinase) |
| Bradi4g09417 | 5.9 | 0 | Proteins acting on cell wall polysaccharides | GH18 (xylanase inhibitor/class II chitinase) |
| Under-Accumulated DAPs at 40 °C | ||||
| Bradi3g18680 | −7.9 | 0.00229 | Miscellaneous | dienelactone hydrolase |
| Bradi4g41300 | −3.3 | 0.00285 | Miscellaneous | dirigent protein |
| Bradi3g37670 | −1.7 | 0.00407 | Miscellaneous | germin (cupin domain) |
| Bradi1g57590 | −5.6 | 0.00405 | Miscellaneous | SCP-like extracellular protein (PR-1) |
| Bradi3g59210 | −5.6 | 0.00133 | Oxido-reductases | laccase |
| Bradi4g05980 | −2.7 | 0.00139 | Oxido-reductases | CIII Prx (BdiPrx117) |
| Bradi1g58997 | −2.8 | 0 | Oxido-reductases | CIII Prx (BdiPrx35) |
| Bradi2g12170 | −2.5 | 0.00115 | Oxido-reductases | CIII Prx (BdiPrx62) |
| Bradi3g09080 | −1.7 | 0.00409 | Oxido-reductases | CIII Prx (BdiPrx96) |
| Bradi1g77560 | −2.4 | 0.00326 | Oxido-reductases | plastocyanin (blue copper-binding protein) |
| Bradi1g36160 | −1.7 | 0.00876 | Proteases | Asp protease (Peptidase family A1) |
| Bradi3g61060 | −2.6 | 0.00393 | Proteases | Asp protease (Peptidase family A1) |
| Bradi4g12160 | −2.7 | 0.00282 | Proteases | Asp protease (Peptidase family A1) |
| Bradi1g19070 | −3.1 | 0 | Proteases | Asp protease (Peptidase family A1) |
| Bradi2g25850 | −3.8 | 0.00567 | Proteases | Asp protease (Peptidase family A1) |
| Bradi3g56660 | −8 | 0 | Proteases | Asp protease (Peptidase family A1) |
| Bradi1g09729 | −1.9 | 0.00348 | Proteases | Cys protease (papain family) (Peptidase family C1A) |
| Bradi1g09737 | −2.2 | 0.00266 | Proteases | Cys protease (papain family) (Peptidase family C1A) |
| Bradi3g01320 | −1.5 | 0.00198 | Proteases | Ser carboxypeptidase (Peptidase family S10) |
| Bradi1g60600 | −1.7 | 0.00998 | Proteases | Ser carboxypeptidase (Peptidase family S10) |
| Bradi3g57140 | −3.1 | 0.00123 | Proteases | Ser protease (subtilisin) (Peptidase family S8) |
| Bradi2g45320 | −4.2 | 0.00155 | Proteins acting on cell wall polysaccharides | expressed protein (Trichome Birefringence-like domain) |
| Bradi1g10940 | −3.9 | 0.00301 | Proteins acting on cell wall polysaccharides | GH1 (β-glucosidase) |
| Bradi1g10930 | −4.3 | 0.00165 | Proteins acting on cell wall polysaccharides | GH1 (β-glucosidase) |
| Bradi3g18590 | −5.5 | 0 | Proteins acting on cell wall polysaccharides | GH16 (endoxyloglucan transferase) |
| Bradi1g25517 | −3.8 | 0.00279 | Proteins acting on cell wall polysaccharides | GH17 (β-1,3-glucosidase) |
| Bradi2g60441 | −5.8 | 0.00131 | Proteins acting on cell wall polysaccharides | GH17 (β-1,3-glucosidase) |
| Bradi2g47210 | −1.9 | 0 | Proteins acting on cell wall polysaccharides | GH19 |
| Bradi1g52050 | −15.8 | 0 | Proteins acting on cell wall polysaccharides | GH28 (polygalacturonase) |
| Bradi1g08570 | −2 | 0.00902 | Proteins acting on cell wall polysaccharides | GH3 |
| Bradi1g08550 | −7.1 | 0 | Proteins acting on cell wall polysaccharides | GH3 |
| Bradi1g67760 | −1.6 | 0.00346 | Proteins acting on cell wall polysaccharides | GH35 (β-galactosidase) |
| Bradi2g31690 | −2.5 | 0.00116 | Proteins acting on cell wall polysaccharides | GH5 (cellulase) |
| Bradi1g14983 | −1.5 | 0.00398 | Proteins related to lipid metabolism | glycerophosphoryl diester phosphodiesterase |
| Bradi1g49010 | −2.4 | 0.00149 | Proteins related to lipid metabolism | GDSL-lipase/acylhydrolase |
| Bradi1g23120 | −3.5 | 0.00962 | Proteins related to lipid metabolism | GDSL-lipase/acylhydrolase |
| Bradi1g38780 | −3.8 | 0.00161 | Proteins related to lipid metabolism | GDSL-lipase/acylhydrolase |
| Bradi1g50897 | −7.4 | 0.00117 | Proteins related to lipid metabolism | GDSL-lipase/acylhydrolase |
| Bradi1g21870 | −6.3 | 0 | Proteins related to lipid metabolism | lipid transfer protein/trypsin-alpha amylase inhibitor |
| Bradi4g37090 | −3.5 | 0.00113 | Proteins with interaction domains (with proteins or polysaccharides) | expressed protein (LysM domain) |
| Bradi2g43230 | −2.2 | 0.00728 | Unknown function | expressed protein (DUF642) |
| Bradi3g29710 | −1.6 | 0.00943 | Unknown function | Plant Basic Secreted Protein (BSP) |
Publisher’s Note: MDPI stays neutral with regard to jurisdictional claims in published maps and institutional affiliations. |
© 2021 by the authors. Licensee MDPI, Basel, Switzerland. This article is an open access article distributed under the terms and conditions of the Creative Commons Attribution (CC BY) license (https://creativecommons.org/licenses/by/4.0/).
Share and Cite
Pinski, A.; Betekhtin, A.; Skupien-Rabian, B.; Jankowska, U.; Jamet, E.; Hasterok, R. Changes in the Cell Wall Proteome of Leaves in Response to High Temperature Stress in Brachypodium distachyon. Int. J. Mol. Sci. 2021, 22, 6750. https://doi.org/10.3390/ijms22136750
Pinski A, Betekhtin A, Skupien-Rabian B, Jankowska U, Jamet E, Hasterok R. Changes in the Cell Wall Proteome of Leaves in Response to High Temperature Stress in Brachypodium distachyon. International Journal of Molecular Sciences. 2021; 22(13):6750. https://doi.org/10.3390/ijms22136750
Chicago/Turabian StylePinski, Artur, Alexander Betekhtin, Bozena Skupien-Rabian, Urszula Jankowska, Elisabeth Jamet, and Robert Hasterok. 2021. "Changes in the Cell Wall Proteome of Leaves in Response to High Temperature Stress in Brachypodium distachyon" International Journal of Molecular Sciences 22, no. 13: 6750. https://doi.org/10.3390/ijms22136750
APA StylePinski, A., Betekhtin, A., Skupien-Rabian, B., Jankowska, U., Jamet, E., & Hasterok, R. (2021). Changes in the Cell Wall Proteome of Leaves in Response to High Temperature Stress in Brachypodium distachyon. International Journal of Molecular Sciences, 22(13), 6750. https://doi.org/10.3390/ijms22136750

