Application of Immunohistochemistry in the Pathological Diagnosis of Liver Tumors
Abstract
1. Introduction
2. Immunohistochemical Markers of Liver Tumors
2.1. Immunohistochemical Markers of Hepatocellular Carcinoma
2.1.1. Markers of Hepatocellular Differentiation
Hepatocyte Paraffin 1
Arginase-1
Polyclonal Carcinoembryonic Antigen
CD10, Villin, and Bile Salt Export Protein
2.1.2. Markers of Malignant Hepatocytes
Glypican-3
Heat Shock Protein 70
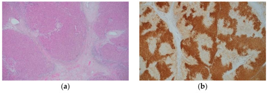
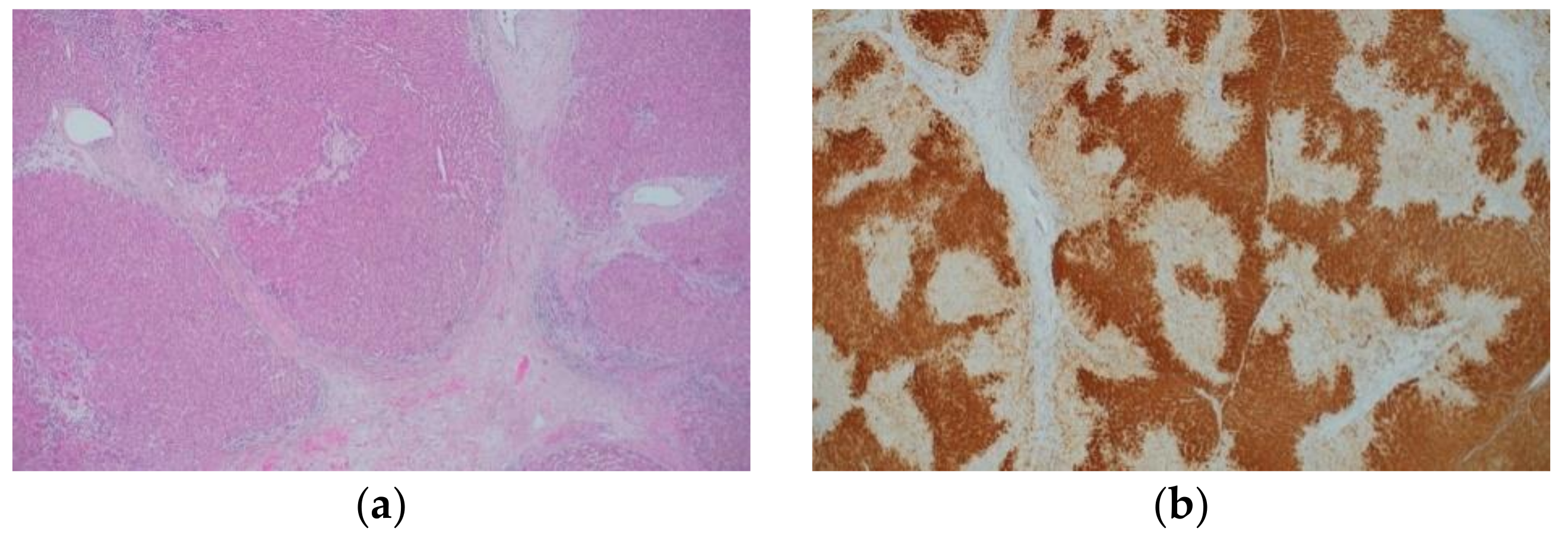
Glutamine Synthetase
α-Fetoprotein
CD34
2.1.3. Subtypes of Hepatocellular Carcinoma That Show Special Immunohistochemical Staining Patterns
Scirrhous Hepatocellular Carcinoma
Fibrolamellar Hepatocellular Carcinoma
2.2. Immunohistochemical Characteristics of Focal Nodular Hyperplasia
2.3. Immunohistochemical Characteristics of Hepatocellular Adenoma
2.3.1. Hepatocyte Nuclear Factor 1A-Inactivated Hepatocellular Adenoma
2.3.2. Inflammatory Hepatocellular Adenoma
2.3.3. β-Catenin-Activated Hepatocellular Adenoma
2.3.4. Other Types of Hepatocellular Adenoma
2.4. Immunohistochemical Characteristics of Intrahepatic Cholangiocarcinoma
3. Practical Points in the Differential Diagnosis of Liver Tumors by Immunohistochemical Staining
3.1. Early Hepatocellular Carcinoma vs. Dysplastic Nodule
3.2. Well Differentiated Hepatocellular Carcinoma vs. Hepatocellular Adenoma
3.3. Focal Nodular Hyperplasia vs. Hepatocellular Adenoma
3.4. Hepatocellular Carcinoma vs. Intrahepatic Cholangiocarcinoma
3.5. Intrahepatic Cholangiocarcinoma vs. Metastatic Adenocarcinoma in the Liver
4. Conclusions
Author Contributions
Funding
Conflicts of Interest
References
- Wennerberg, A.E.; Nalesnik, M.A.; Coleman, W.B. Hepatocyte paraffin 1: A monoclonal antibody that reacts with hepatocytes and can be used for differential diagnosis of hepatic tumors. Am. J. Pathol. 1993, 143, 1050–1054. [Google Scholar] [PubMed]
- Butler, S.L.; Dong, H.; Cardona, D.; Jia, M.; Zheng, R.; Zhu, H.; Crawford, J.M.; Liu, C. The antigen for Hep Par 1 antibody is the urea cycle enzyme carbamoyl phosphate synthetase 1. Lab. Investig. 2008, 88, 78–88. [Google Scholar] [CrossRef] [PubMed]
- Zimmerman, R.L.; Burke, M.A.; Young, N.A.; Solomides, C.C.; Bibbo, M. Diagnostic value of hepatocyte paraffin 1 antibody to discriminate hepatocellular carcinoma from metastatic carcinoma in fine-needle aspiration biopsies of the liver. Cancer 2001, 93, 288–291. [Google Scholar] [CrossRef]
- Lau, S.K.; Prakash, S.; Geller, S.A.; Alsabeh, R. Comparative immunohistochemical profile of hepatocellular carcinoma, cholangiocarcinoma, and metastatic adenocarcinoma. Hum. Pathol. 2002, 33, 1175–1181. [Google Scholar] [CrossRef]
- Morrison, C.; Marsh, W., Jr.; Frankel, W.L. A comparison of CD10 to pCEA, MOC-31, and hepatocyte for the distinction of malignant tumors in the liver. Mod. Pathol. 2002, 15, 1279–1287. [Google Scholar] [CrossRef] [PubMed]
- Chu, P.G.; Ishizawa, S.; Wu, E.; Weiss, L.M. Hepatocyte antigen as a marker of hepatocellular carcinoma: An immunohistochemical comparison to carcinoembryonic antigen, CD10, and alpha-fetoprotein. Am. J. Surg. Pathol. 2002, 26, 978–988. [Google Scholar] [CrossRef] [PubMed]
- Lugli, A.; Tornillo, L.; Mirlacher, M.; Bundi, M.; Sauter, G.; Terracciano, L.M. Hepatocyte paraffin 1 expression in human normal and neoplastic tissues: Tissue microarray analysis on 3,940 tissue samples. Am. J. Clin. Pathol. 2004, 122, 721–727. [Google Scholar] [CrossRef]
- Nguyen, T.; Phillips, D.; Jain, D.; Torbenson, M.; Wu, T.T.; Yeh, M.M.; Kakar, S. Comparison of 5 immunohistochemical markers of hepatocellular differentiation for the diagnosis of hepatocellular carcinoma. Arch. Pathol. Lab. Med. 2015, 139, 1028–1034. [Google Scholar] [CrossRef]
- Krings, G.; Ramachandran, R.; Jain, D.; Wu, T.T.; Yeh, M.M.; Torbenson, M.; Kakar, S. Immunohistochemical pitfalls and the importance of glypican 3 and arginase in the diagnosis of scirrhous hepatocellular carcinoma. Mod. Pathol. 2013, 26, 782–791. [Google Scholar] [CrossRef]
- Mac, M.T.; Chung, F.; Lin, F.; Hui, P.; Balzer, B.L.; Wang, H.L. Expression of hepatocyte antigen in small intestinal epithelium and adenocarcinoma. Am. J. Clin. Pathol. 2009, 132, 80–85. [Google Scholar] [CrossRef]
- Maitra, A.; Murakata, L.A.; Albores-Saavedra, J. Immunoreactivity for hepatocyte paraffin 1 antibody in hepatoid adenocarcinomas of the gastrointestinal tract. Am. J. Clin. Pathol. 2001, 115, 689–694. [Google Scholar] [CrossRef]
- Fujikura, K.; Yamasaki, T.; Otani, K.; Kanzawa, M.; Fukumoto, T.; Ku, Y.; Hirose, T.; Itoh, T.; Zen, Y. BSEP and MDR3: Useful immunohistochemical markers to discriminate hepatocellular carcinomas from intrahepatic cholangiocarcinomas and hepatoid carcinomas. Am. J. Surg. Pathol. 2016, 40, 689–696. [Google Scholar] [CrossRef]
- Yan, B.C.; Gong, C.; Song, J.; Krausz, T.; Tretiakova, M.; Hyjek, E.; Al-Ahmadie, H.; Alves, V.; Xiao, S.Y.; Anders, R.A.; et al. Arginase-1: A new immunohistochemical marker of hepatocytes and hepatocellular neoplasms. Am. J. Surg. Pathol. 2010, 34, 1147–1154. [Google Scholar] [CrossRef] [PubMed]
- Timek, D.T.; Shi, J.; Liu, H.; Lin, F. Arginase-1, HepPar-1, and Glypican-3 are the most effective panel of markers in distinguishing hepatocellular carcinoma from metastatic tumor on fine-needle aspiration specimens. Am. J. Clin. Pathol. 2012, 138, 203–210. [Google Scholar] [CrossRef] [PubMed]
- Chen, Z.E.; Lin, F. Application of immunohistochemistry in gastrointestinal and liver neoplasms: New markers and evolving practice. Arch. Pathol. Lab. Med. 2015, 139, 14–23. [Google Scholar] [CrossRef]
- Fujiwara, M.; Kwok, S.; Yano, H.; Pai, R.K. Arginase-1 is a more sensitive marker of hepatic differentiation than HepPar-1 and glypican-3 in fine-needle aspiration biopsies. Cancer Cytopathol. 2012, 120, 230–237. [Google Scholar] [CrossRef] [PubMed]
- Choi, W.T.; Ramachandran, R.; Kakar, S. Immunohistochemical approach for the diagnosis of a liver mass on small biopsy specimens. Hum. Pathol. 2017, 63, 1–13. [Google Scholar] [CrossRef] [PubMed]
- Wang, H.L.; Kim, C.J.; Koo, J.; Zhou, W.; Choi, E.K.; Arcega, R.; Chen, Z.E.; Wang, H.; Zhang, L.; Lin, F. Practical immunohistochemistry in neoplastic pathology of the gastrointestinal tract, liver, biliary tract, and pancreas. Arch. Pathol. Lab. Med. 2017, 141, 1155–1180. [Google Scholar] [CrossRef] [PubMed]
- Ma, C.K.; Zarbo, R.J.; Frierson, H.F., Jr.; Lee, M.W. Comparative immunohistochemical study of primary and metastatic carcinomas of the liver. Am. J. Clin. Pathol. 1993, 99, 551–557. [Google Scholar] [CrossRef]
- Kakar, S. Gown, A.M.; Goodman, Z.D.; Ferrell, L.D. Best practices in diagnostic immunohistochemistry: Hepatocellular carcinoma versus metastatic neoplasms. Arch. Pathol. Lab. Med. 2007, 131, 1648–1654. [Google Scholar] [CrossRef]
- Borscheri, N.; Roessner, A.; Röcken, C. Canalicular immunostaining of neprilysin (CD10) as a diagnostic marker for hepatocellular carcinomas. Am. J. Surg. Pathol. 2001, 25, 1297–1303. [Google Scholar] [CrossRef]
- Xiao, S.Y.; Wang, H.L.; Hart, J.; Fleming, D.; Beard, M.R. cDNA arrays and immunohistochemistry identification of CD10/CALLA expression in hepatocellular carcinoma. Am. J. Pathol. 2001, 159, 1415–1421. [Google Scholar] [CrossRef]
- Chan, E.S.; Yeh, M.M. The use of immunohistochemistry in liver tumors. Clin. Liver Dis. 2010, 14, 687–703. [Google Scholar] [CrossRef]
- Wang, H.L.; Anatelli, F.; Zhai, Q.J.; Adley, B.; Chuang, S.T.; Yang, X.J. Glypican-3 as a useful diagnostic marker that distinguishes hepatocellular carcinoma from benign hepatocellular mass lesions. Arch. Pathol. Lab. Med. 2008, 132, 1723–1728. [Google Scholar] [CrossRef]
- Shafizadeh, N.; Ferrell, L.D.; Kakar, S. Utility and limitations of glypican-3 expression for the diagnosis of hepatocellular carcinoma at both ends of the differentiation spectrum. Mod. Pathol. 2008, 21, 1011–1018. [Google Scholar] [CrossRef]
- Coston, W.M.P.; Loera, S.; Lau, S.K.; Ishizawa, S.; Jiang, Z.; Wu, C.L.; Yen, Y.; Weiss, L.M.; Chu, P.G. Distinction of hepatocellular carcinoma from benign hepatic mimickers using Glypican-3 and CD34 immunohistochemistry. Am. J. Surg. Pathol. 2008, 32, 433–444. [Google Scholar] [CrossRef]
- Anatelli, F.; Chuang, S.T.; Yang, X.J.; Wang, H.L. Value of glypican 3 immunostaining in the diagnosis of hepatocellular carcinoma on needle biopsy. Am. J. Clin. Pathol. 2008, 130, 219–223. [Google Scholar] [CrossRef]
- Liu, X.; Wang, S.K.; Zhang, K.; Zhang, H.; Pan, Q.; Liu, Z.; Pan, H.; Xue, L.; Yen, Y.; Chu, P.G. Expression of glypican 3 enriches hepatocellular carcinoma development-related genes and associates with carcinogenesis in cirrhotic livers. Carcinogenesis 2015, 36, 232–242. [Google Scholar] [CrossRef] [PubMed]
- Abdul-Al, H.M.; Makhlouf, H.R.; Wang, G.; Goodman, Z.D. Glypican-3 expression in benign liver tissue with active hepatitis C: Implications for the diagnosis of hepatocellular carcinoma. Hum. Pathol. 2008, 39, 209–212. [Google Scholar] [CrossRef] [PubMed]
- Zynger, D.L.; Gupta, A.; Luan, C.; Chou, P.M.; Yang, G.Y.; Yang, X.J. Expression of glypican 3 in hepatoblastoma: An immunohistochemical study of 65 cases. Hum. Pathol. 2008, 39, 224–230. [Google Scholar] [CrossRef] [PubMed]
- Levy, M.; Trivedi, A.; Zhang, J.; Miles, L.; Mattis, A.N.; Kim, G.E.; Lassman, C.; Anders, R.A.; Misdraji, J.; Yerian, L.M.; et al. Expression of glypican-3 in undifferentiated embryonal sarcoma and mesenchymal hamartoma of the liver. Hum. Pathol. 2012, 43, 695–701. [Google Scholar] [CrossRef] [PubMed]
- Yamauchi, N.; Watanabe, A.; Hishinuma, M.; Ohashi, K.; Midorikawa, Y.; Morishita, Y.; Niki, T.; Shibahara, J.; Mori, M.; Makuuchi, M.; et al. The glypican 3 oncofetal protein is a promising diagnostic marker for hepatocellular carcinoma. Mod. Pathol. 2005, 18, 1591–1598. [Google Scholar] [CrossRef]
- Baumhoer, D.; Tornillo, L.; Stadlmann, S.; Roncalli, M.; Diamantis, E.K.; Terracciano, L.M. Glypican 3 expression in human nonneoplastic, preneoplastic, and neoplastic tissues: A tissue microarray analysis of 4,387 tissue samples. Am. J. Clin. Pathol. 2008, 129, 899–906. [Google Scholar] [CrossRef]
- Gonzalez, A.K.K.; Salomao, M.A.; Lagana, S.M. Current concepts in the immunohistochemical evaluation of liver tumors. World J. Hepatol. 2015, 7, 1403–1411. [Google Scholar] [CrossRef] [PubMed]
- Chuma, M.; Sakamoto, M.; Yamazaki, K.; Ohta, T.; Ohki, M.; Asaka, M.; Hirohashi, S. Expression profiling in multistage hepatocarcinogenesis: Identification of HSP70 as a molecular marker of early hepatocellular carcinoma. Hepatology 2003, 37, 198–207. [Google Scholar] [CrossRef]
- Di Tommaso, L.; Franchi, G.; Park, Y.N.; Fiamengo, B.; Destro, A.; Morenghi, E.; Montorsi, M.; Torzilli, G.; Tommasini, M.; Terracciano, L.; et al. Diagnostic value of HSP70, glypican 3, and glutamine synthetase in hepatocellular nodules in cirrhosis. Hepatology 2007, 45, 725–734. [Google Scholar] [CrossRef]
- Lagana, S.M.; Salomao, M.; Bao, F.; Moreira, R.K.; Lefkowitch, J.H.; Remotti, H.E. Utility of an immunohistochemical panel consisting of glypican-3, heat-shock protein-70, and glutamine synthetase in the distinction of low-grade hepatocellular carcinoma from hepatocellular adenoma. Appl. Immunohistochem. Mol. Morphol. 2013, 21, 170–176. [Google Scholar] [CrossRef] [PubMed]
- Nguyen, T.B.; Roncalli, M.; Di Tommaso, L.; Kakar, S. Combined use of heat-shock protein 70 and glutamine synthetase is useful in the distinction of typical hepatocellular adenoma from atypical hepatocellular neoplasms and well-differentiated hepatocellular carcinoma. Mod. Pathol. 2016, 29, 283–292. [Google Scholar] [CrossRef] [PubMed]
- Lagana, S.M.; Moreira, R.K.; Remotti, H.E.; Bao, F. Glutamine synthetase, heat shock protein-70, and glypican-3 in intrahepatic cholangiocarcinoma and tumors metastatic to liver. Appl. Immunohistochem. Mol. Morphol. 2013, 21, 254–257. [Google Scholar] [CrossRef]
- Reitzer, L.J.; Wice, B.M.; Kennell, D. Evidence that glutamine, not sugar, is the major energy source for cultured HeLa cells. J. Biol. Chem. 1979, 254, 2669–2676. [Google Scholar] [CrossRef]
- Moorman, A.F.; Vermeulen, J.L.; Charles, R.; Lamers, W.H. Localization of ammonia-metabolizing enzymes in human liver: Ontogenesis of heterogeneity. Hepatology 1989, 9, 367–372. [Google Scholar] [CrossRef] [PubMed]
- Kurogi, M.; Nakashima, O.; Miyaaki, H.; Fujimoto, M.; Kojiro, M. Clinicopathological study of scirrhous hepatocellular carcinoma. J. Gastroenterol. Hepatol. 2006, 21, 1470–1477. [Google Scholar] [CrossRef] [PubMed]
- Matsuura, S.; Aishima, S.; Taguchi, K.; Asayama, Y.; Terashi, T.; Honda, H.; Tsuneyoshi, M. ‘Scirrhous’ type hepatocellular carcinomas: A special reference to expression of cytokeratin 7 and hepatocyte paraffin 1. Histopathology 2005, 47, 382–390. [Google Scholar] [CrossRef] [PubMed]
- Shafizadeh, N.; Kakar, S. Hepatocellular carcinoma: Histologic subtypes. Surg. Pathol. Clin. 2013, 6, 367–384. [Google Scholar] [CrossRef]
- Choi, W.T.; Kakar, S. Immunohistochemistry in the diagnosis of hepatocellular carcinoma. Gastroenterol. Clin. N. Am. 2017, 46, 311–325. [Google Scholar]
- Gornicka, B.; Ziarkiewicz-Wroblewska, B.; Wroblewski, T.; Wilczynski, G.M.; Koperski, L.; Krawczyk, M.; Wasiutynski, A. Carcinoma, a fibrolamellar variant—Immunohistochemical analysis of 4 cases. Hepatogastroenterology 2005, 52, 519–523. [Google Scholar]
- Ward, S.C.; Huang, J.; Tickoo, S.K.; Thung, S.N.; Ladanyi, M.; Klimstra, D.S. Fibrolamellar carcinoma of the liver exhibits immunohistochemical evidence of both hepatocyte and bile duct differentiation. Mod. Pathol. 2010, 23, 1180–1190. [Google Scholar] [CrossRef]
- Abdul-Al, H.M.; Wang, G.; Makhlouf, H.R.; Goodman, Z.D. Fibrolamellar hepatocellular carcinoma: An immunohistochemical comparison with conventional hepatocellular carcinoma. Int. J. Surg. Pathol. 2010, 18, 313–318. [Google Scholar] [CrossRef]
- Ross, H.M.; Daniel, H.D.J.; Vivekanandan, P.; Kannangai, R.; Yeh, M.M.; Wu, T.T.; Makhlouf, H.R.; Torbenson, M. Fibrolamellar carcinomas are positive for CD68. Mod. Pathol. 2011, 24, 390–395. [Google Scholar] [CrossRef]
- Honeyman, J.N.; Simon, E.P.; Robine, N.; Chiaroni-Clarke, R.; Darcy, D.G.; Lim, I.I.P.; Gleason, C.E.; Murphy, J.M.; Rosenberg, B.R.; Teegan, L.; et al. Detection of a recurrent DNAJB1-PRKACA chimeric transcript in fibrolamellar hepatocellular carcinoma. Science 2014, 343, 1010–1014. [Google Scholar] [CrossRef] [PubMed]
- Graham, R.P.; Jin, L.; Knutson, D.L.; Kloft-Nelson, S.M.; Greipp, P.T.; Waldburger, N.; Roessler, S.; Longerich, T.; Roberts, L.R.; Oliveira, A.M.; et al. DNAJB1-PRKACA is specific for fibrolamellar carcinoma. Mod. Pathol. 2015, 28, 822–829. [Google Scholar] [CrossRef]
- Vyas, M.; Hechtman, J.F.; Zhang, Y.; Benayed, R.; Yavas, A.; Askan, G.; Shia, J.; Klimstra, D.S.; Basturk, O. DNAJB1-PRKACA fusions occur in oncocytic pancreatic and biliary neoplasms and are not specific for fibrolamellar hepatocellular carcinoma. Mod. Pathol. 2020, 33, 648–656. [Google Scholar] [CrossRef]
- Rebouissou, S.; Bioulac-Sage, P.; Zucman-Rossi, J. Molecular pathogenesis of focal nodular hyperplasia and hepatocellular adenoma. J. Hepatol. 2008, 48, 163–170. [Google Scholar] [CrossRef]
- Dhingra, S.; Fiel, M.I. Update on the new classification of hepatic adenomas: Clinical, molecular, and pathologic characteristics. Arch. Pathol. Lab. Med. 2014, 138, 1090–1097. [Google Scholar] [CrossRef]
- Bioulac-Sage, P.; Laumonier, H.; Rullier, A.; Cubel, G.; Laurent, C.; Zucman-Rossi, J.; Balabaud, C. Over-expression of glutamine synthetase in focal nodular hyperplasia: A novel easy diagnostic tool in surgical pathology. Liver Int. 2009, 29, 459–465. [Google Scholar] [CrossRef]
- Joseph, N.M.; Ferrell, L.D.; Jain, D.; Torbenson, M.S.; Wu, T.T.; Yeh, M.M.; Kakar, S. Diagnostic utility and limitations of glutamine synthetase and serum amyloid-associated protein immunohistochemistry in the distinction of focal nodular hyperplasia and inflammatory hepatocellular adenoma. Mod. Pathol. 2014, 27, 62–72. [Google Scholar] [CrossRef]
- Rebouissou, S.; Couchy, G.; Libbrecht, L.; Balabaud, C.; Imbeaud, S.; Auffray, C.; Roskams, T.; Bioulac-Sage, P.; Zucman-Rossi, J. The beta-catenin pathway is activated in focal nodular hyperplasia but not in cirrhotic FNH-like nodules. J. Hepatol. 2008, 49, 61–71. [Google Scholar] [CrossRef]
- Boulac-Sage, P.; Kakar, S.; Nault, J.C. Hepatocellular adenoma. In WHO Classification of Tumours (Digestive System Tumours), 5th ed.; WHO Classification of Tumours Editorial Board, Ed.; World Health Organization: Lyon, France, 2019; Volume 1, pp. 224–228. [Google Scholar]
- Sempoux, C.; Chang, C.; Gouw, A.; Chiche, L.; Zucman-Rossi, J.; Balabaud, C.; Bioulac-Sage, P. Benign hepatocellular nodules: What have we learned using the patho-molecular classification. Clin. Res. Hepatol. Gastroenterol. 2013, 37, 322–327. [Google Scholar] [CrossRef]
- Bioulac-Sage, P.; Rebouissou, S.; Thomas, C.; Blanc, J.F.; Saric, J.; Cunha, A.S.; Rullier, A.; Cubel, G.; Couchy, G.; Imbeaud, S.; et al. Hepatocellular adenoma subtype classification using molecular markers and immunohistochemistry. Hepatology 2007, 46, 740–748. [Google Scholar] [CrossRef]
- Zucman-Rossi, J.; Jeannot, E.; Van Nhieu, J.T.; Scoazec, J.Y.; Guettier, C.; Rebouissou, S.; Bacq, Y.; Leteurtre, E.; Paradis, V.; Michalak, S.; et al. Genotype-phenotype correlation in hepatocellular adenoma: New classification and relationship with HCC. Hepatology 2006, 43, 515–524. [Google Scholar] [CrossRef] [PubMed]
- Inoue, M.; Takahashi, Y.; Fujii, T.; Kitagawa, M.; Fukusato, T. Significance of downregulation of liver fatty acid-binding protein in hepatocellular carcinoma. World J. Gastroenterol. 2014, 20, 17541–17551. [Google Scholar] [CrossRef] [PubMed]
- Cho, S.J.; Ferrell, L.D.; Gill, R.M. Expression of liver fatty acid binding protein in hepatocellular carcinoma. Hum. Pathol. 2016, 50, 135–139. [Google Scholar] [CrossRef] [PubMed]
- Rebouissou, S.; Franconi, A.; Calderaro, J.; Letouze, E.; Imbeaud, S.; Pilati, C.; Nault, J.C.; Couchy, G.; Laurent, A.; Balabaud, C.; et al. Genotype-phenotype correlation of CTNNB1 mutations reveals different β-catenin activity associated with liver tumor progression. Hepatology 2016, 64, 2047–2061. [Google Scholar] [CrossRef] [PubMed]
- Fukusato, T.; Soejima, Y.; Kondo, F.; Inoue, M.; Watanabe, M.; Takahashi, Y.; Aso, T.; Uozaki, H.; Sano, K.; Sanada, Y.; et al. Preserved or enhanced OATP1B3 expression in hepatocellular adenoma subtypes with nuclear accumulation of β-catenin. Hepatol. Res. 2015, 45, E32–E42. [Google Scholar] [CrossRef]
- Leonhardt, M.; Keiser, M.; Oswald, S.; Kühn, J.; Jia, J.; Grube, M.; Kroemer, H.K.; Siegmund, W.; Weitschies, W. Hepatic uptake of the magnetic resonance imaging contrast agent Gd-EOB-DTPA: Role of human organic anion transporters. Drug Metab. Dispos. 2010, 38, 1024–1028. [Google Scholar] [CrossRef] [PubMed]
- Guo, Y.; Li, W.; Cai, W.; Zhang, Y.; Fang, Y.; Hong, G. Diagnostic value of gadoxetic acid-enhanced MR imaging to distinguish HCA and its subtype from FNH: A systematic review. Int. J. Med. Sci. 2017, 14, 668–674. [Google Scholar] [CrossRef] [PubMed][Green Version]
- Henriet, E.; Hammoud, A.A.; Dupuy, J.W.; Dartigues, B.; Ezzoukry, Z.; Dugot-Senant, N.; Leste-Lasserre, T.; Pallares-Lupon, N.; Nikolski, M.; Bail, B.L.; et al. Argininosuccinate synthase 1 (ASS1): A marker of unclassified hepatocellular adenoma and high bleeding risk. Hepatology 2017, 66, 2016–2028. [Google Scholar] [CrossRef]
- Nault, J.C.; Couchy, G.; Balabaud, C.; Morcrette, G.; Caruso, S.; Blanc, J.F.; Bacq, Y.; Calderaro, J.; Paradis, V.; Ramos, J.; et al. Molecular classification of hepatocellular adenoma associates with risk factors, bleeding, and malignant transformation. Gastroenterology 2017, 152, 880–894. [Google Scholar] [CrossRef]
- Stroescu, C.; Herlea, V.; Dragnea, A.; Popescu, I. The diagnostic value of cytokeratins and carcinoembryonic antigen immunostaining in differentiating hepatocellular carcinomas from intrahepatic cholangiocarcinomas. J. Gastrointest. Liver Dis. 2006, 15, 9–14. [Google Scholar]
- Wu, P.C.; Fang, J.W.; Lau, V.K.; Lai, C.L.; Lo, C.K.; Lau, J.Y. Classification of hepatocellular carcinoma according to hepatocellular and biliary differentiation markers. Clinical and biological implications. Am. J. Pathol. 1996, 149, 1167–1175. [Google Scholar]
- Klein, W.M.; Molmenti, E.P.; Colombani, P.M.; Grover, D.S.; Schwarz, K.B.; Boitnott, J.; Torbenson, M.S. Primary liver carcinoma arising in people younger than 30 years. Am. J. Clin. Pathol. 2005, 124, 512–518. [Google Scholar] [CrossRef] [PubMed]
- Durnez, A.; Verslype, C.; Nevens, F.; Fevery, J.; Aerts, R.; Pirenne, J.; Lesaffre, E.; Libbrecht, L.; Desmet, V.; Roskams, T. The clinicopathological and prognostic relevance of cytokeratin 7 and 19 expression in hepatocellular carcinoma. A possible progenitor cell origin. Histopathology 2006, 49, 138–151. [Google Scholar] [CrossRef] [PubMed]
- Leong, A.S.; Sormunen, R.T.; Tsui, W.M.; Liew, C.T. Hep Par 1 and selected antibodies in the immunohistological distinction of hepatocellular carcinoma from cholangiocarcinoma, combined tumours and metastatic carcinoma. Histopathology 1998, 33, 318–324. [Google Scholar] [CrossRef]
- Niemann, T.H.; Hughes, J.H.; De Young, B.R. MOC-31 aids in the differentiation of metastatic adenocarcinoma from hepatocellular carcinoma. Cancer 1999, 87, 295–298. [Google Scholar] [CrossRef]
- Proca, D.M.; Niemann, T.H.; Porcell, A.I.; De Young, B.R. MOC31 immunoreactivity in primary and metastatic carcinoma of the liver. Report of findings and review of other utilized markers. Appl. Immunohistochem. Mol. Morphol. 2000, 8, 120–125. [Google Scholar] [CrossRef]
- Sia, D.; Hoshida, Y.; Villanueva, A.; Roayaie, S.; Ferrer, J.; Tabak, B.; Peix, J.; Sole, M.; Tovar, V.; Alsinet, C.; et al. Integrative molecular analysis of intrahepatic cholangiocarcinoma reveals 2 classes that have different outcomes. Gastroenterology 2013, 144, 829–840. [Google Scholar] [CrossRef]
- Balitzer, D.; Joseph, N.M.; Ferrell, L.; Shafizadeh, N.; Jain, D.; Zhang, X.; Yeh, M.; Di Tommaso, L.; Kakar, S. Immunohistochemical and molecular features of cholangiolocellular carcinoma are similar to well-differentiated intrahepatic cholangiocarcinoma. Mod. Pathol. 2019, 32, 1486–1494. [Google Scholar] [CrossRef] [PubMed]
- Soejima, Y.; Inoue, M.; Takahashi, Y.; Uozaki, H.; Sawabe, M.; Fukusato, T. Integrins αvβ6, α6β4 and α3β1 are down-regulated in cholangiolocellular carcinoma but not cholangiocarcinoma. Hepatol. Res. 2014, 44, E320–E334. [Google Scholar] [CrossRef]
- Park, Y.N. Update on precursor and early lesions of hepatocellular carcinomas. Arch. Pathol. Lab. Med. 2011, 135, 704–715. [Google Scholar] [CrossRef] [PubMed]
- Park, Y.N.; Kojiro, M.; Di Tommaso, L.; Dhillon, A.P.; Kondo, F.; Nakano, M.; Sakamoto, M.; Theise, N.D.; Roncalli, M. Ductular reaction is helpful in defining early stromal invasion, small hepatocellular carcinomas, and dysplastic nodules. Cancer 2007, 109, 915–923. [Google Scholar] [CrossRef]
- Di Tommaso, L.; Destro, A.; Seok, J.Y.; Balladore, E.; Terracciano, L.; Sangiovanni, A.; Iavarone, M.; Colombo, M.; Jang, J.J.; Yu, E.; et al. The application of markers (HSP70 GPC3 and GS) in liver biopsies is useful for detection of hepatocellular carcinoma. J. Hepatol. 2009, 50, 746–754. [Google Scholar] [CrossRef]
- Tremosini, S.; Forner, A.; Boix, L.; Vilana, R.; Bianchi, L.; Reig, M.; Rimola, J.; Rodriguez-Lope, C.; Ayuso, C.; Sole, M.; et al. Prospective validation of an immunohistochemical panel (glypican 3, heat shock protein 70 and glutamine synthetase) in liver biopsies for diagnosis of very early hepatocellular carcinoma. Gut 2012, 61, 1481–1487. [Google Scholar] [CrossRef]
- Park, Y.N.; Yang, C.P.; Fernandez, G.J.; Cubukcu, O.; Thung, S.N.; Theise, N.D. Neoangiogenesis and sinusoidal “capillarization” in dysplastic nodules of the liver. Am. J. Surg. Pathol. 1998, 22, 656–662. [Google Scholar] [CrossRef] [PubMed]
- Werling, R.W.; Yaziji, H.; Bacchi, C.E.; Gown, A.M. CDX2, a highly sensitive and specific marker of adenocarcinomas of intestinal origin: An immunohistochemical survey of 476 primary and metastatic carcinomas. Am. J. Surg. Pathol. 2003, 27, 303–310. [Google Scholar] [CrossRef]
- Takahashi, Y.; Kawate, S.; Watanabe, M.; Fukushima, J.; Mori, S.; Fukusato, T. Amplification of c-myc and cyclin D1 genes in primary and metastatic carcinomas of the liver. Pathol. Int. 2007, 57, 437–442. [Google Scholar] [CrossRef] [PubMed]
- Lok, T.; Chen, L.; Lin, F.; Wang, H.L. Immunohistochemical distinction between intrahepatic cholangiocarcinoma and pancreatic ductal adenocarcinoma. Hum. Pathol. 2014, 45, 394–400. [Google Scholar] [CrossRef] [PubMed]
- Yeh, Y.C.; Lei, H.J.; Chen, M.H.; Ho, H.L.; Chiu, L.Y.; Li, C.P.; Wang, Y.C. C-reactive protein (CRP) is a promising diagnostic immunohistochemical marker for intrahepatic cholangiocarcinoma and is associated with better prognosis. Am. J. Surg. Pathol. 2017, 41, 1630–1641. [Google Scholar] [CrossRef] [PubMed]
- Calderaro, J.; Meunier, L.; Nguyen, C.T.; Boubaya, M.; Caruso, S.; Luciani, A.; Amaddeo, G.; Regnault, H.; Nault, J.C.; Cohen, J.; et al. ESM1 as a marker of macrotrabecular-massive hepatocellular carcinoma. Clin. Cancer Res. 2019, 25, 5859–5865. [Google Scholar] [CrossRef] [PubMed]




| Marker | Staining Pattern | Characteristics |
|---|---|---|
| Markers of Hepatocellular Differentiation | ||
| Hepatocyte paraffin 1 | Cytoplasmic | The sensitivity decreases in the diagnosis of poorly differentiated HCC and scirrhous HCC. |
| Arginase-1 | Cytoplasmic with variable nuclear reactivity | This is the most sensitive marker of HCC and shows high sensitivity even in poorly differentiated HCC and scirrhous HCC. |
| pCEA | Canalicular | The sensitivity decreases in poorly differentiated HCC. The staining may be difficult to interpret. |
| CD10 | Canalicular | The sensitivity tends to be lower compared to pCEA. |
| Markers of Malignant Hepatocytes | ||
| Glypican-3 | Cytoplasmic, membranous, and canalicular | The sensitivity is low in well differentiated HCC and high in moderately and poorly differentiated HCC. |
| Heat shock protein 70 | Nuclear and cytoplasmic | The staining pattern is usually patchy. Benign hepatocytes may be stained. |
| Glutamine synthetase | Cytoplasmic | This cannot be used in the differential diagnosis between HCC and HCA, and between hepatocellular and non-hepatocellular neoplasms. |
| α-Fetoprotein | Cytoplasmic | The sensitivity is low. |
| CD34 | Sinusoidal | The evaluation is subjective. |
| Item | FNH | H-HCA | IHCA | b-HCA |
|---|---|---|---|---|
| Molecular findings | Activation of the β-catenin pathway without mutations of CTNNB1 | Biallelic mutations of HNF1A | Activation of the IL-6 signaling pathway due to mutations in IL6ST, FRK, STAT3, GNAS, and JAK1 | Activation of the WNT signaling pathway due to mutation or deletion of CTNNB1 |
| Histological features | Thick fibrous septa with or without a central scar, abnormal blood vessels, and ductular reaction | Prominent steatosis | Sinusoidal dilation, patchy inflammatory cell infiltration, and variable steatosis | Cellular and structural atypia and pseudoglands |
| Immunohistochemical findings | ||||
| LFABP | (+) | (−) | (+) | (+) |
| β-catenin | Membranous | Membranous | Membranous | Nuclear |
| GS | Map-like | Patchy with perivascular accentuation | Patchy with perivascular accentuation | Diffuse homogenous or heterogenous staining depending on the mutation type |
| SAA/CRP | Usually (−) | (−) | Strong and diffuse | (−) |
| OATP1B3 | (+) | (−) | (−) | (+) |
Publisher’s Note: MDPI stays neutral with regard to jurisdictional claims in published maps and institutional affiliations. |
© 2021 by the authors. Licensee MDPI, Basel, Switzerland. This article is an open access article distributed under the terms and conditions of the Creative Commons Attribution (CC BY) license (https://creativecommons.org/licenses/by/4.0/).
Share and Cite
Takahashi, Y.; Dungubat, E.; Kusano, H.; Ganbat, D.; Tomita, Y.; Odgerel, S.; Fukusato, T. Application of Immunohistochemistry in the Pathological Diagnosis of Liver Tumors. Int. J. Mol. Sci. 2021, 22, 5780. https://doi.org/10.3390/ijms22115780
Takahashi Y, Dungubat E, Kusano H, Ganbat D, Tomita Y, Odgerel S, Fukusato T. Application of Immunohistochemistry in the Pathological Diagnosis of Liver Tumors. International Journal of Molecular Sciences. 2021; 22(11):5780. https://doi.org/10.3390/ijms22115780
Chicago/Turabian StyleTakahashi, Yoshihisa, Erdenetsogt Dungubat, Hiroyuki Kusano, Dariimaa Ganbat, Yasuhiko Tomita, Sarandelger Odgerel, and Toshio Fukusato. 2021. "Application of Immunohistochemistry in the Pathological Diagnosis of Liver Tumors" International Journal of Molecular Sciences 22, no. 11: 5780. https://doi.org/10.3390/ijms22115780
APA StyleTakahashi, Y., Dungubat, E., Kusano, H., Ganbat, D., Tomita, Y., Odgerel, S., & Fukusato, T. (2021). Application of Immunohistochemistry in the Pathological Diagnosis of Liver Tumors. International Journal of Molecular Sciences, 22(11), 5780. https://doi.org/10.3390/ijms22115780

