Diffusion Magnetic Resonance Imaging-Based Biomarkers for Neurodegenerative Diseases
Abstract
1. Introduction
2. Diffusion MRI Techniques
2.1. DTI
2.2. DKI
2.3. FWI
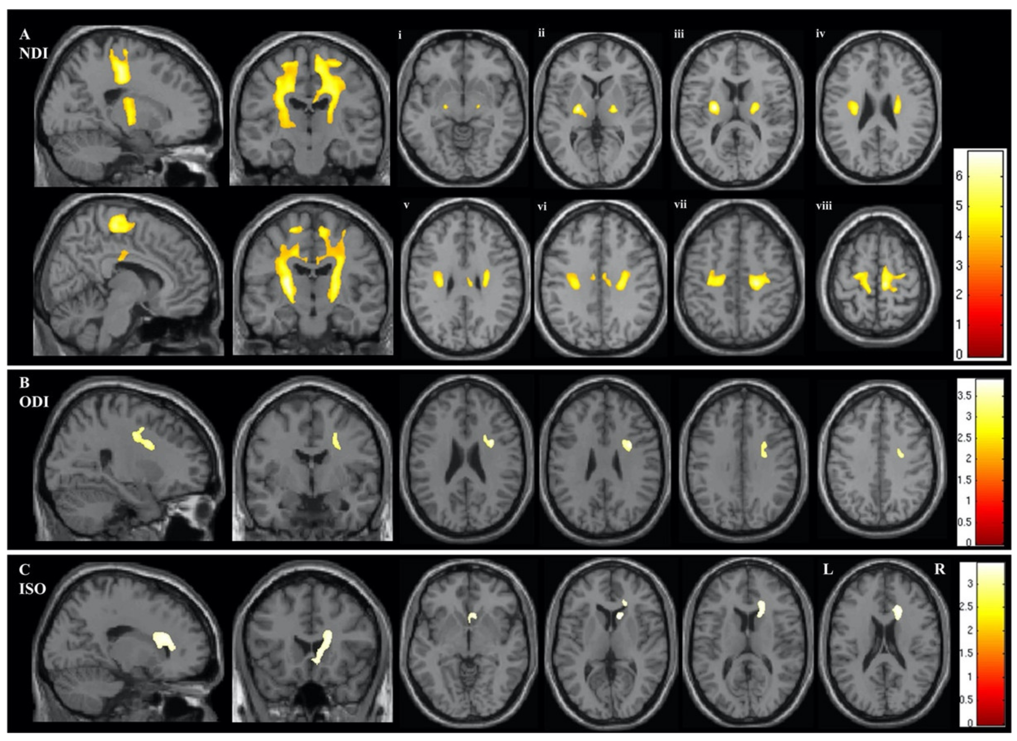
2.4. NODDI
3. Applications of Advanced Diffusion MRI Techniques in Neurodegenerative Diseases
3.1. AlzD
3.1.1. DTI in AlzD
3.1.2. DKI in AlzD
3.1.3. FWI in AlzD
3.1.4. NODDI in AlzD
3.2. PD
3.2.1. DTI in PD
3.2.2. DKI in PD
3.2.3. FWI in PD
3.2.4. NODDI in PD
3.3. Amyotrophic Lateral Sclerosis
3.3.1. DTI in ALS
3.3.2. DKI in ALS
3.3.3. FWI in ALS
3.3.4. NODDI in ALS
4. Conclusion and Future Directions
Author Contributions
Funding
Institutional Review Board Statement
Informed Consent Statement
Data Availability Statement
Conflicts of Interest
Abbreviations
| Aβ | Amyloid-β |
| AD | Axial diffusivity |
| ADT | Free water-corrected axial diffusivity |
| AK | Axial kurtosis |
| ALS | Amyotrophic lateral sclerosis |
| ALSFRS-R | Amyotrophic lateral sclerosis functional rating scale-revised |
| AlzD | Alzheimer’s disease |
| APOE | Apolipoprotein E |
| AUC | Area under the receiver-operating characteristics curve |
| C9ORF72 | Chromosome 9 open reading frame 72 gene |
| COV | Coefficient of variation |
| CSF | Cerebrospinal fluid |
| DKI | Diffusion kurtosis imaging |
| DTI | Diffusion tensor imaging |
| FA | Fractional anisotropy |
| FAT | Free water-corrected fractional anisotropy |
| FWI | Free-water imaging |
| GM | Gray matter |
| GBSS | Gray matter-based spatial statistics |
| ICVF | Intracellular volume fraction |
| ISOVF | Isotropic volume fraction |
| MCI | Mild cognitive impairment |
| MD | Mean diffusivity |
| MDT | Free water-corrected mean diffusivity |
| MK | Mean kurtosis |
| MMSE | Mini-mental state examination |
| MRI | Magnetic resonance imaging |
| MSA | Multiple system atrophy |
| NODDI | Neurite orientation dispersion and density imaging |
| ODI | Orientation dispersion index |
| PD | Parkinson’s disease |
| PET | Positron emission tomography |
| PSP | Progressive supranuclear palsy |
| RD | Radial diffusivity |
| RDT | Free water-corrected radial diffusivity |
| RK | Radial kurtosis |
| ROC | Receiver-operating characteristics |
| ROI | Region of interest |
| SN | Substantia nigra |
| TBSS | Tract-based spatial statistics |
| WM | White matter |
| UPDRS | Unified Parkinson’s disease rating scale |
References
- Prince, M.; Bryce, R.; Albanese, E.; Wimo, A.; Ribeiro, W.; Ferri, C.P. The global prevalence of dementia: A systematic review and metaanalysis. Alzheimer’s Dement. J. Alzheimer’s Assoc. 2013, 9, 63–75.e62. [Google Scholar] [CrossRef] [PubMed]
- GBD 2016 Parkinson’s Disease Collaborators. Global, regional, and national burden of Parkinson’s disease, 1990-2016: A systematic analysis for the Global Burden of Disease Study 2016. Lancet. Neurol. 2018, 17, 939–953. [Google Scholar] [CrossRef]
- Assaf, Y.; Pasternak, O. Diffusion tensor imaging (DTI)-based white matter mapping in brain research: A review. J. Mol. Neurosci. 2008, 34, 51–61. [Google Scholar] [CrossRef]
- Mori, S.; Zhang, J. Principles of diffusion tensor imaging and its applications to basic neuroscience research. Neuron 2006, 51, 527–539. [Google Scholar] [CrossRef] [PubMed]
- Alexander, A.L.; Lee, J.E.; Lazar, M.; Field, A.S. Diffusion tensor imaging of the brain. Neurotherapeutics 2007, 4, 316–329. [Google Scholar] [CrossRef]
- Clerx, L.; Visser, P.J.; Verhey, F.; Aalten, P. New MRI markers for Alzheimer’s disease: A meta-analysis of diffusion tensor imaging and a comparison with medial temporal lobe measurements. J. Alzheimers Dis. 2012, 29, 405–429. [Google Scholar] [CrossRef]
- Sexton, C.E.; Kalu, U.G.; Filippini, N.; Mackay, C.E.; Ebmeier, K.P. A meta-analysis of diffusion tensor imaging in mild cognitive impairment and Alzheimer’s disease. Neurobiol. Aging. 2011, 32, 2322.e5–2322.e18. [Google Scholar] [CrossRef]
- Teipel, S.J.; Wegrzyn, M.; Meindl, T.; Frisoni, G.; Bokde, A.L.; Fellgiebel, A.; Filippi, M.; Hampel, H.; Kloppel, S.; Hauenstein, K.; et al. Anatomical MRI and DTI in the diagnosis of Alzheimer’s disease: A European multicenter study. J. Alzheimers Dis. 2012, 31 (Suppl. 3), S33–S47. [Google Scholar] [CrossRef]
- Atkinson-Clement, C.; Pinto, S.; Eusebio, A.; Coulon, O. Diffusion tensor imaging in Parkinson’s disease: Review and meta-analysis. Neuroimage Clin. 2017, 16, 98–110. [Google Scholar] [CrossRef] [PubMed]
- Cochrane, C.J.; Ebmeier, K.P. Diffusion tensor imaging in parkinsonian syndromes: A systematic review and meta-analysis. Neurology 2013, 80, 857–864. [Google Scholar] [CrossRef]
- Guimaraes, R.P.; Campos, B.M.; de Rezende, T.J.; Piovesana, L.; Azevedo, P.C.; Amato-Filho, A.C.; Cendes, F.; D’Abreu, A. Is Diffusion Tensor Imaging a Good Biomarker for Early Parkinson’s Disease? Front. Neurol. 2018, 9, 626. [Google Scholar] [CrossRef]
- Kamagata, K.; Tomiyama, H.; Hatano, T.; Motoi, Y.; Abe, O.; Shimoji, K.; Kamiya, K.; Suzuki, M.; Hori, M.; Yoshida, M.; et al. A preliminary diffusional kurtosis imaging study of Parkinson disease: Comparison with conventional diffusion tensor imaging. Neuroradiology 2014, 56, 251–258. [Google Scholar] [CrossRef] [PubMed]
- Hagiwara, A.; Kamagata, K.; Shimoji, K.; Yokoyama, K.; Andica, C.; Hori, M.; Fujita, S.; Maekawa, T.; Irie, R.; Akashi, T.; et al. White Matter Abnormalities in Multiple Sclerosis Evaluated by Quantitative Synthetic MRI, Diffusion Tensor Imaging, and Neurite Orientation Dispersion and Density Imaging. Ajnr Am. J. Neuroradiol. 2019, 40, 1642–1648. [Google Scholar] [CrossRef] [PubMed]
- Rovaris, M.; Agosta, F.; Pagani, E.; Filippi, M. Diffusion tensor MR imaging. Neuroimaging Clin. N Am. 2009, 19, 37–43. [Google Scholar] [CrossRef] [PubMed]
- Rovaris, M.; Filippi, M. Diffusion tensor MRI in multiple sclerosis. J. Neuroimaging 2007, 17 (Suppl. 1), 27s–30s. [Google Scholar] [CrossRef]
- Dodd, A.B.; Epstein, K.; Ling, J.M.; Mayer, A.R. Diffusion tensor imaging findings in semi-acute mild traumatic brain injury. J. Neurotrauma 2014, 31, 1235–1248. [Google Scholar] [CrossRef] [PubMed]
- Lo, C.; Shifteh, K.; Gold, T.; Bello, J.A.; Lipton, M.L. Diffusion tensor imaging abnormalities in patients with mild traumatic brain injury and neurocognitive impairment. J. Comput Assist. Tomogr. 2009, 33, 293–297. [Google Scholar] [CrossRef]
- Niogi, S.N.; Mukherjee, P. Diffusion tensor imaging of mild traumatic brain injury. J. Head Trauma Rehabil. 2010, 25, 241–255. [Google Scholar] [CrossRef] [PubMed]
- Jensen, J.H.; Helpern, J.A. MRI quantification of non-Gaussian water diffusion by kurtosis analysis. NMR Biomed. 2010, 23, 698–710. [Google Scholar] [CrossRef] [PubMed]
- Jensen, J.H.; Helpern, J.A.; Ramani, A.; Lu, H.; Kaczynski, K. Diffusional kurtosis imaging: The quantification of non-gaussian water diffusion by means of magnetic resonance imaging. Magn. Reson. Med. 2005, 53, 1432–1440. [Google Scholar] [CrossRef]
- Shimony, J.S.; McKinstry, R.C.; Akbudak, E.; Aronovitz, J.A.; Snyder, A.Z.; Lori, N.F.; Cull, T.S.; Conturo, T.E. Quantitative diffusion-tensor anisotropy brain MR imaging: Normative human data and anatomic analysis. Radiology 1999, 212, 770–784. [Google Scholar] [CrossRef]
- Zacharopoulos, N.G.; Narayana, P.A. Selective measurement of white matter and gray matter diffusion trace values in normal human brain. Med. Phys. 1998, 25, 2237–2241. [Google Scholar] [CrossRef] [PubMed]
- Falconer, J.C.; Narayana, P.A. Cerebrospinal fluid-suppressed high-resolution diffusion imaging of human brain. Magn. Reson. Med. 1997, 37, 119–123. [Google Scholar] [CrossRef] [PubMed]
- Hirsch, J.G.; Bock, M.; Essig, M.; Schad, L.R. Comparison of diffusion anisotropy measurements in combination with the flair-technique. Magn. Reson. Imaging 1999, 17, 705–716. [Google Scholar] [CrossRef]
- Beaulieu, C. The basis of anisotropic water diffusion in the nervous system—a technical review. NMR Biomed. 2002, 15, 435–455. [Google Scholar] [CrossRef] [PubMed]
- Chung, A.W.; Seunarine, K.K.; Clark, C.A. NODDI reproducibility and variability with magnetic field strength: A comparison between 1.5 T and 3 T. Hum. Brain Mapp. 2016, 37, 4550–4565. [Google Scholar] [CrossRef] [PubMed]
- Wheeler-Kingshott, C.A.; Cercignani, M. About “axial” and “radial” diffusivities. Magn. Reson. Med. 2009, 61, 1255–1260. [Google Scholar] [CrossRef] [PubMed]
- Kamagata, K.; Zalesky, A.; Hatano, T.; Ueda, R.; Di Biase, M.A.; Okuzumi, A.; Shimoji, K.; Hori, M.; Caeyenberghs, K.; Pantelis, C.; et al. Gray Matter Abnormalities in Idiopathic Parkinson’s Disease: Evaluation by Diffusional Kurtosis Imaging and Neurite Orientation Dispersion and Density Imaging. Hum. Brain Mapp. 2017, 38, 3704–3722. [Google Scholar] [CrossRef] [PubMed]
- Behrens, T.E.; Berg, H.J.; Jbabdi, S.; Rushworth, M.F.; Woolrich, M.W. Probabilistic diffusion tractography with multiple fibre orientations: What can we gain? NeuroImage 2007, 34, 144–155. [Google Scholar] [CrossRef] [PubMed]
- Jeurissen, B.; Leemans, A.; Tournier, J.D.; Jones, D.K.; Sijbers, J. Investigating the prevalence of complex fiber configurations in white matter tissue with diffusion magnetic resonance imaging. Hum. Brain Mapp. 2013, 34, 2747–2766. [Google Scholar] [CrossRef] [PubMed]
- Tournier, J.D.; Mori, S.; Leemans, A. Diffusion tensor imaging and beyond. Magn. Reson. Med. 2011, 65, 1532–1556. [Google Scholar] [CrossRef] [PubMed]
- Steven, A.J.; Zhuo, J.; Melhem, E.R. Diffusion kurtosis imaging: An emerging technique for evaluating the microstructural environment of the brain. Am. J. Roentgenol. 2014, 202, W26–W33. [Google Scholar] [CrossRef]
- Arab, A.; Wojna-Pelczar, A.; Khairnar, A.; Szabo, N.; Ruda-Kucerova, J. Principles of diffusion kurtosis imaging and its role in early diagnosis of neurodegenerative disorders. Brain Res. Bull. 2018, 139, 91–98. [Google Scholar] [CrossRef] [PubMed]
- Jelescu, I.O.; Budde, M.D. Design and validation of diffusion MRI models of white matter. Front. Phys. 2017, 28. [Google Scholar] [CrossRef]
- Hattori, A.; Kamagata, K.; Kirino, E.; Andica, C.; Tanaka, S.; Hagiwara, A.; Fujita, S.; Maekawa, T.; Irie, R.; Kumamaru, K.K.; et al. White matter alterations in adult with autism spectrum disorder evaluated using diffusion kurtosis imaging. Neuroradiology 2019, 61, 1343–1353. [Google Scholar] [CrossRef] [PubMed]
- Kamagata, K.; Motoi, Y.; Tomiyama, H.; Abe, O.; Ito, K.; Shimoji, K.; Suzuki, M.; Hori, M.; Nakanishi, A.; Sano, T.; et al. Relationship between cognitive impairment and white-matter alteration in Parkinson’s disease with dementia: Tract-based spatial statistics and tract-specific analysis. Eur Radiol 2013, 23, 1946–1955. [Google Scholar] [CrossRef]
- Kamiya, K.; Kamagata, K.; Ogaki, K.; Hatano, T.; Ogawa, T.; Takeshige-Amano, H.; Murata, S.; Andica, C.; Murata, K.; Feiweier, T.; et al. Brain White-Matter Degeneration Due to Aging and Parkinson Disease as Revealed by Double Diffusion Encoding. Front. Neurosci. 2020, 14, 584510. [Google Scholar] [CrossRef]
- Andica, C.; Kamagata, K.; Hatano, T.; Saito, Y.; Ogaki, K.; Hattori, N.; Aoki, S. MR Biomarkers of Degenerative Brain Disorders Derived From Diffusion Imaging. J. Magn. Reson. Imaging 2020, 52, 1620–1636. [Google Scholar] [CrossRef] [PubMed]
- Lu, H.; Jensen, J.H.; Ramani, A.; Helpern, J.A. Three-dimensional characterization of non-gaussian water diffusion in humans using diffusion kurtosis imaging. Nmr Biomed. 2006, 19, 236–247. [Google Scholar] [CrossRef] [PubMed]
- Szczepankiewicz, F.; Latt, J.; Wirestam, R.; Leemans, A.; Sundgren, P.; van Westen, D.; Stahlberg, F.; Nilsson, M. Variability in diffusion kurtosis imaging: Impact on study design, statistical power and interpretation. Neuroimage 2013, 76, 145–154. [Google Scholar] [CrossRef] [PubMed]
- Pasternak, O.; Sochen, N.; Gur, Y.; Intrator, N.; Assaf, Y. Free water elimination and mapping from diffusion MRI. Magn. Reson. Med. 2009, 62, 717–730. [Google Scholar] [CrossRef]
- Andica, C.; Kamagata, K.; Hatano, T.; Saito, A.; Uchida, W.; Ogawa, T.; Takeshige-Amano, H.; Zalesky, A.; Wada, A.; Suzuki, M.; et al. Free-Water Imaging in White and Gray Matter in Parkinson’s Disease. Cells 2019, 8, 839. [Google Scholar] [CrossRef] [PubMed]
- Oestreich, L.K.L.; Lyall, A.E.; Pasternak, O.; Kikinis, Z.; Newell, D.T.; Savadjiev, P.; Bouix, S.; Shenton, M.E.; Kubicki, M.; Whitford, T.J.; et al. Characterizing white matter changes in chronic schizophrenia: A free-water imaging multi-site study. Schizophr Res. 2017, 189, 153–161. [Google Scholar] [CrossRef] [PubMed]
- Lyall, A.E.; Pasternak, O.; Robinson, D.G.; Newell, D.; Trampush, J.W.; Gallego, J.A.; Fava, M.; Malhotra, A.K.; Karlsgodt, K.H.; Kubicki, M.; et al. Greater extracellular free-water in first-episode psychosis predicts better neurocognitive functioning. Mol. Psychiatry 2018, 23, 701–707. [Google Scholar] [CrossRef] [PubMed]
- Pasternak, O.; Westin, C.F.; Bouix, S.; Seidman, L.J.; Goldstein, J.M.; Woo, T.U.; Petryshen, T.L.; Mesholam-Gately, R.I.; McCarley, R.W.; Kikinis, R.; et al. Excessive extracellular volume reveals a neurodegenerative pattern in schizophrenia onset. J. Neurosci. 2012, 32, 17365–17372. [Google Scholar] [CrossRef] [PubMed]
- Bergamino, M.; Pasternak, O.; Farmer, M.; Shenton, M.E.; Hamilton, J.P. Applying a free-water correction to diffusion imaging data uncovers stress-related neural pathology in depression. Neuroimage Clin. 2016, 10, 336–342. [Google Scholar] [CrossRef]
- Pasternak, O.; Shenton, M.E.; Westin, C.F. Estimation of extracellular volume from regularized multi-shell diffusion MRI. Med. Image Comput. Comput. Assist. Interv 2012, 15, 305–312. [Google Scholar] [CrossRef] [PubMed]
- Hoy, A.R.; Koay, C.G.; Kecskemeti, S.R.; Alexander, A.L. Optimization of a free water elimination two-compartment model for diffusion tensor imaging. Neuroimage 2014, 103, 323–333. [Google Scholar] [CrossRef]
- Zhang, H.; Schneider, T.; Wheeler-Kingshott, C.A.; Alexander, D.C. NODDI: Practical in vivo neurite orientation dispersion and density imaging of the human brain. NeuroImage 2012, 61, 1000–1016. [Google Scholar] [CrossRef]
- Assaf, Y.; Basser, P.J. Composite hindered and restricted model of diffusion (CHARMED) MR imaging of the human brain. Neuroimage 2005, 27, 48–58. [Google Scholar] [CrossRef]
- Assaf, Y.; Freidlin, R.Z.; Rohde, G.K.; Basser, P.J. New modeling and experimental framework to characterize hindered and restricted water diffusion in brain white matter. Magn. Reson. Med. 2004, 52, 965–978. [Google Scholar] [CrossRef]
- Zhang, H.; Hubbard, P.L.; Parker, G.J.; Alexander, D.C. Axon diameter mapping in the presence of orientation dispersion with diffusion MRI. Neuroimage 2011, 56, 1301–1315. [Google Scholar] [CrossRef]
- Grussu, F.; Schneider, T.; Tur, C.; Yates, R.L.; Tachrount, M.; Ianus, A.; Yiannakas, M.C.; Newcombe, J.; Zhang, H.; Alexander, D.C.; et al. Neurite dispersion: A new marker of multiple sclerosis spinal cord pathology? Ann. Clin. Transl. Neurol. 2017, 4, 663–679. [Google Scholar] [CrossRef] [PubMed]
- Schilling, K.G.; Janve, V.; Gao, Y.; Stepniewska, I.; Landman, B.A.; Anderson, A.W. Histological validation of diffusion MRI fiber orientation distributions and dispersion. Neuroimage 2018, 165, 200–221. [Google Scholar] [CrossRef]
- Parvathaneni, P.; Nath, V.; Blaber, J.A.; Schilling, K.G.; Hainline, A.E.; Mojahed, E.; Anderson, A.W.; Landman, B.A. Empirical reproducibility, sensitivity, and optimization of acquisition protocol, for Neurite Orientation Dispersion and Density Imaging using AMICO. Magn. Reson. Imaging 2018, 50, 96–109. [Google Scholar] [CrossRef] [PubMed]
- Tariq, M.; Schneider, T.; Alexander, D.C.; Gandini Wheeler-Kingshott, C.A.; Zhang, H. Bingham-NODDI: Mapping anisotropic orientation dispersion of neurites using diffusion MRI. Neuroimage 2016, 133, 207–223. [Google Scholar] [CrossRef] [PubMed]
- Blennow, K.; de Leon, M.J.; Zetterberg, H. Alzheimer’s disease. Lancet 2006, 368, 387–403. [Google Scholar] [CrossRef] [PubMed]
- Raber, J.; Huang, Y.; Ashford, J.W. ApoE genotype accounts for the vast majority of AD risk and AD pathology. Neurobiol. Aging 2004, 25, 641–650. [Google Scholar] [CrossRef] [PubMed]
- Hoy, A.R.; Ly, M.; Carlsson, C.M.; Okonkwo, O.C.; Zetterberg, H.; Blennow, K.; Sager, M.A.; Asthana, S.; Johnson, S.C.; Alexander, A.L.; et al. Microstructural white matter alterations in preclinical Alzheimer’s disease detected using free water elimination diffusion tensor imaging. PLoS ONE 2017, 12, e0173982. [Google Scholar] [CrossRef]
- Petersen, R.C. Mild cognitive impairment as a diagnostic entity. J. Intern. Med. 2004, 256, 183–194. [Google Scholar] [CrossRef]
- Schmand, B.; Huizenga, H.M.; van Gool, W.A. Meta-analysis of CSF and MRI biomarkers for detecting preclinical Alzheimer’s disease. Psychol Med. 2010, 40, 135–145. [Google Scholar] [CrossRef]
- Yuan, L.; Sun, M.; Chen, Y.; Long, M.; Zhao, X.; Yin, J.; Yan, X.; Ji, D.; Ni, H. Non-Gaussian diffusion alterations on diffusion kurtosis imaging in patients with early Alzheimer’s disease. Neurosci. Lett. 2016, 616, 11–18. [Google Scholar] [CrossRef]
- Gong, N.J.; Wong, C.S.; Chan, C.C.; Leung, L.M.; Chu, Y.C. Correlations between microstructural alterations and severity of cognitive deficiency in Alzheimer’s disease and mild cognitive impairment: A diffusional kurtosis imaging study. Magn. Reson. Imaging 2013, 31, 688–694. [Google Scholar] [CrossRef] [PubMed]
- Dong, J.W.; Jelescu, I.O.; Ades-Aron, B.; Novikov, D.S.; Friedman, K.; Babb, J.S.; Osorio, R.S.; Galvin, J.E.; Shepherd, T.M.; Fieremans, E. Diffusion MRI biomarkers of white matter microstructure vary nonmonotonically with increasing cerebral amyloid deposition. Neurobiol. Aging 2020, 89, 118–128. [Google Scholar] [CrossRef] [PubMed]
- Wang, M.L.; Wei, X.E.; Fu, J.L.; Li, W.; Yu, M.M.; Li, P.Y.; Li, W.B. Subcortical nuclei in Alzheimer’s disease: A volumetric and diffusion kurtosis imaging study. Acta Radiol. 2018, 59, 1365–1371. [Google Scholar] [CrossRef]
- Gong, N.J.; Chan, C.C.; Leung, L.M.; Wong, C.S.; Dibb, R.; Liu, C. Differential microstructural and morphological abnormalities in mild cognitive impairment and Alzheimer’s disease: Evidence from cortical and deep gray matter. Hum. Brain Mapp. 2017, 38, 2495–2508. [Google Scholar] [CrossRef] [PubMed]
- Braak, H.; Braak, E. Development of Alzheimer-related neurofibrillary changes in the neocortex inversely recapitulates cortical myelogenesis. Acta Neuropathol. 1996, 92, 197–201. [Google Scholar] [CrossRef] [PubMed]
- Benitez, A.; Fieremans, E.; Jensen, J.H.; Falangola, M.F.; Tabesh, A.; Ferris, S.H.; Helpern, J.A. White matter tract integrity metrics reflect the vulnerability of late-myelinating tracts in Alzheimer’s disease. Neuroimage Clin. 2014, 4, 64–71. [Google Scholar] [CrossRef]
- Cheng, J.X.; Zhang, H.Y.; Peng, Z.K.; Xu, Y.; Tang, H.; Wu, J.T.; Xu, J. Divergent topological networks in Alzheimer’s disease: A diffusion kurtosis imaging analysis. Transl. Neurodegener. 2018, 7, 10. [Google Scholar] [CrossRef]
- Tu, M.C.; Huang, S.M.; Hsu, Y.H.; Yang, J.J.; Lin, C.Y.; Kuo, L.W. Discriminating subcortical ischemic vascular disease and Alzheimer’s disease by diffusion kurtosis imaging in segregated thalamic regions. Hum. Brain Mapp. 2021, 42, 2018–2031. [Google Scholar] [CrossRef]
- Chen, Y.; Sha, M.; Zhao, X.; Ma, J.; Ni, H.; Gao, W.; Ming, D. Automated detection of pathologic white matter alterations in Alzheimer’s disease using combined diffusivity and kurtosis method. Psychiatry Res. Neuroimaging 2017, 264, 35–45. [Google Scholar] [CrossRef]
- Falangola, M.F.; Jensen, J.H.; Tabesh, A.; Hu, C.; Deardorff, R.L.; Babb, J.S.; Ferris, S.; Helpern, J.A. Non-Gaussian diffusion MRI assessment of brain microstructure in mild cognitive impairment and Alzheimer’s disease. Magn. Reson. Imaging 2013, 31, 840–846. [Google Scholar] [CrossRef]
- Ofori, E.; DeKosky, S.T.; Febo, M.; Colon-Perez, L.; Chakrabarty, P.; Duara, R.; Adjouadi, M.; Golde, T.E.; Vaillancourt, D.E.; Alzheimer’s Disease Neuroimaging Initiative. Free-water imaging of the hippocampus is a sensitive marker of Alzheimer’s disease. Neuroimage Clin. 2019, 24, 101985. [Google Scholar] [CrossRef] [PubMed]
- Dumont, M.; Roy, M.; Jodoin, P.M.; Morency, F.C.; Houde, J.C.; Xie, Z.; Bauer, C.; Samad, T.A.; Van Dijk, K.R.A.; Goodman, J.A.; et al. Free Water in White Matter Differentiates MCI and AD From Control Subjects. Front. Aging Neurosci. 2019, 11, 270. [Google Scholar] [CrossRef] [PubMed]
- Archer, D.B.; Coombes, S.A.; McFarland, N.R.; DeKosky, S.T.; Vaillancourt, D.E. Development of a transcallosal tractography template and its application to dementia. Neuroimage 2019, 200, 302–312. [Google Scholar] [CrossRef]
- Ji, F.; Pasternak, O.; Ng, K.K.; Chong, J.S.X.; Liu, S.; Zhang, L.; Shim, H.Y.; Loke, Y.M.; Tan, B.Y.; Venketasubramanian, N.; et al. White matter microstructural abnormalities and default network degeneration are associated with early memory deficit in Alzheimer’s disease continuum. Sci. Rep. 2019, 9, 4749. [Google Scholar] [CrossRef]
- Maier-Hein, K.H.; Westin, C.F.; Shenton, M.E.; Weiner, M.W.; Raj, A.; Thomann, P.; Kikinis, R.; Stieltjes, B.; Pasternak, O. Widespread white matter degeneration preceding the onset of dementia. Alzheimers Dement. 2015, 11, 485–493.e2. [Google Scholar] [CrossRef]
- Ji, F.; Pasternak, O.; Liu, S.; Loke, Y.M.; Choo, B.L.; Hilal, S.; Xu, X.; Ikram, M.K.; Venketasubramanian, N.; Chen, C.L.; et al. Distinct white matter microstructural abnormalities and extracellular water increases relate to cognitive impairment in Alzheimer’s disease with and without cerebrovascular disease. Alzheimers Res. Ther. 2017, 9, 63. [Google Scholar] [CrossRef] [PubMed]
- Archer, D.B.; Moore, E.E.; Shashikumar, N.; Dumitrescu, L.; Pechman, K.R.; Landman, B.A.; Gifford, K.A.; Jefferson, A.L.; Hohman, T.J. Free-water metrics in medial temporal lobe white matter tract projections relate to longitudinal cognitive decline. Neurobiol Aging 2020, 94, 15–23. [Google Scholar] [CrossRef] [PubMed]
- Vipin, A.; Ng, K.K.; Ji, F.; Shim, H.Y.; Lim, J.K.W.; Pasternak, O.; Zhou, J.H.; Alzheimer’s Disease Neuroimaging, I. Amyloid burden accelerates white matter degradation in cognitively normal elderly individuals. Hum. Brain Mapp. 2019, 40, 2065–2075. [Google Scholar] [CrossRef] [PubMed]
- Mormino, E.C.; Betensky, R.A.; Hedden, T.; Schultz, A.P.; Amariglio, R.E.; Rentz, D.M.; Johnson, K.A.; Sperling, R.A. Synergistic effect of beta-amyloid and neurodegeneration on cognitive decline in clinically normal individuals. JAMA Neurol. 2014, 71, 1379–1385. [Google Scholar] [CrossRef] [PubMed]
- Montal, V.; Vilaplana, E.; Alcolea, D.; Pegueroles, J.; Pasternak, O.; Gonzalez-Ortiz, S.; Clarimon, J.; Carmona-Iragui, M.; Illan-Gala, I.; Morenas-Rodriguez, E.; et al. Cortical microstructural changes along the Alzheimer’s disease continuum. Alzheimer’s Dement. J. Alzheimer’s Assoc. 2018, 14, 340–351. [Google Scholar] [CrossRef] [PubMed]
- Sone, D.; Shigemoto, Y.; Ogawa, M.; Maikusa, N.; Okita, K.; Takano, H.; Kato, K.; Sato, N.; Matsuda, H. Association between neurite metrics and tau/inflammatory pathology in Alzheimer’s disease. Alzheimers Dement. (Amst) 2020, 12, e12125. [Google Scholar] [CrossRef] [PubMed]
- Chandra, A.; Valkimadi, P.E.; Pagano, G.; Cousins, O.; Dervenoulas, G.; Politis, M.; Alzheimer’s Disease Neuroimaging, I. Applications of amyloid, tau, and neuroinflammation PET imaging to Alzheimer’s disease and mild cognitive impairment. Hum. Brain Mapp. 2019, 40, 5424–5442. [Google Scholar] [CrossRef] [PubMed]
- Okamura, N.; Harada, R.; Ishiki, A.; Kikuchi, A.; Nakamura, T.; Kudo, Y. The development and validation of tau PET tracers: Current status and future directions. Clin. Transl Imaging 2018, 6, 305–316. [Google Scholar] [CrossRef]
- Wen, Q.; Risacher, S.L.; Xie, L.; Li, J.; Harezlak, J.; Farlow, M.R.; Unverzagt, F.W.; Gao, S.; Apostolova, L.G.; Saykin, A.J.; et al. Tau-related white-matter alterations along spatially selective pathways. Neuroimage 2021, 226, 117560. [Google Scholar] [CrossRef]
- Reas, E.T.; Hagler, D.J.; Kuperman, J.M.; Wierenga, C.E.; Galasko, D.; White, N.S.; Dale, A.M.; Banks, S.J.; McEvoy, L.K.; Brewer, J.B. Associations Between Microstructure, Amyloid, and Cognition in Amnestic Mild Cognitive Impairment and Dementia. J. Alzheimers Dis. 2020, 73, 347–357. [Google Scholar] [CrossRef] [PubMed]
- Fu, X.; Shrestha, S.; Sun, M.; Wu, Q.; Luo, Y.; Zhang, X.; Yin, J.; Ni, H. Microstructural White Matter Alterations in Mild Cognitive Impairment and Alzheimer’s Disease: Study Based on Neurite Orientation Dispersion and Density Imaging (NODDI). Clin. Neuroradiol. 2020, 30, 569–579. [Google Scholar] [CrossRef] [PubMed]
- Wen, Q.; Mustafi, S.M.; Li, J.; Risacher, S.L.; Tallman, E.; Brown, S.A.; West, J.D.; Harezlak, J.; Farlow, M.R.; Unverzagt, F.W.; et al. White matter alterations in early-stage Alzheimer’s disease: A tract-specific study. Alzheimers Dement. (Amst) 2019, 11, 576–587. [Google Scholar] [CrossRef]
- Vogt, N.M.; Hunt, J.F.; Adluru, N.; Dean, D.C.; Johnson, S.C.; Asthana, S.; Yu, J.J.; Alexander, A.L.; Bendlin, B.B. Cortical Microstructural Alterations in Mild Cognitive Impairment and Alzheimer’s Disease Dementia. Cereb Cortex 2020, 30, 2948–2960. [Google Scholar] [CrossRef] [PubMed]
- Harvey, R.J.; Skelton-Robinson, M.; Rossor, M.N. The prevalence and causes of dementia in people under the age of 65 years. J. Neurol. Neurosurg. Psychiatry 2003, 74, 1206–1209. [Google Scholar] [CrossRef]
- Parker, T.D.; Slattery, C.F.; Zhang, J.; Nicholas, J.M.; Paterson, R.W.; Foulkes, A.J.M.; Malone, I.B.; Thomas, D.L.; Modat, M.; Cash, D.M.; et al. Cortical microstructure in young onset Alzheimer’s disease using neurite orientation dispersion and density imaging. Hum. Brain Mapp. 2018, 39, 3005–3017. [Google Scholar] [CrossRef]
- Mole, J.P.; Fasano, F.; Evans, J.; Sims, R.; Hamilton, D.A.; Kidd, E.; Metzler-Baddeley, C. Genetic risk of dementia modifies obesity effects on white matter myelin in cognitively healthy adults. Neurobiol. Aging 2020, 94, 298–310. [Google Scholar] [CrossRef] [PubMed]
- Evans, S.L.; Dowell, N.G.; Prowse, F.; Tabet, N.; King, S.L.; Rusted, J.M. Mid age APOE epsilon4 carriers show memory-related functional differences and disrupted structure-function relationships in hippocampal regions. Sci. Rep. 2020, 10, 3110. [Google Scholar] [CrossRef] [PubMed]
- Sweeney, M.D.; Montagne, A.; Sagare, A.P.; Nation, D.A.; Schneider, L.S.; Chui, H.C.; Harrington, M.G.; Pa, J.; Law, M.; Wang, D.J.J.; et al. Vascular dysfunction-The disregarded partner of Alzheimer’s disease. Alzheimers Dement. 2019, 15, 158–167. [Google Scholar] [CrossRef]
- Badji, A.; de la Colina, A.N.; Boshkovski, T.; Sabra, D.; Karakuzu, A.; Robitaille-Grou, M.C.; Gros, C.; Joubert, S.; Bherer, L.; Lamarre-Cliche, M.; et al. A Cross-Sectional Study on the Impact of Arterial Stiffness on the Corpus Callosum, a Key White Matter Tract Implicated in Alzheimer’s Disease. J. Alzheimers Dis. 2020, 77, 591–605. [Google Scholar] [CrossRef] [PubMed]
- Metzler-Baddeley, C.; Mole, J.P.; Leonaviciute, E.; Sims, R.; Kidd, E.J.; Ertefai, B.; Kelso-Mitchell, A.; Gidney, F.; Fasano, F.; Evans, J.; et al. Sex-specific effects of central adiposity and inflammatory markers on limbic microstructure. Neuroimage 2019, 189, 793–803. [Google Scholar] [CrossRef] [PubMed]
- Braak, H.; Del Tredici, K.; Rub, U.; de Vos, R.A.; Jansen Steur, E.N.; Braak, E. Staging of brain pathology related to sporadic Parkinson’s disease. Neurobiol. Aging. 2003, 24, 197–211. [Google Scholar] [CrossRef]
- Fearnley, J.M.; Lees, A.J. Ageing and Parkinson’s disease: Substantia nigra regional selectivity. Brain 1991, 114((Pt. 5)), 2283–2301. [Google Scholar] [CrossRef]
- Schapira, A.H.V.; Chaudhuri, K.R.; Jenner, P. Non-motor features of Parkinson disease. Nat. Rev. Neurosci. 2017, 18, 435–450. [Google Scholar] [CrossRef] [PubMed]
- Zhang, Y.; Burock, M.A. Diffusion Tensor Imaging in Parkinson’s Disease and Parkinsonian Syndrome: A Systematic Review. Front. Neurol. 2020, 11, 531993. [Google Scholar] [CrossRef]
- Guan, J.; Ma, X.; Geng, Y.; Qi, D.; Shen, Y.; Shen, Z.; Chen, Y.; Wu, E.; Wu, R. Diffusion Kurtosis Imaging for Detection of Early Brain Changes in Parkinson’s Disease. Front. Neurol. 2019, 10, 1285. [Google Scholar] [CrossRef]
- Bingbing, G.; Yujing, Z.; Yanwei, M.; Chunbo, D.; Weiwei, W.; Shiyun, T.; Yangyingqiu, L.; Jin, S.; Qingwei, S.; Ailian, L.; et al. Diffusion Kurtosis Imaging of Microstructural Changes in Gray Matter Nucleus in Parkinson Disease. Front. Neurol. 2020, 11, 252. [Google Scholar] [CrossRef]
- Surova, Y.; Nilsson, M.; Lampinen, B.; Latt, J.; Hall, S.; Widner, H.; van Westen, D.; Hansson, O. Alteration of putaminal fractional anisotropy in Parkinson’s disease: A longitudinal diffusion kurtosis imaging study. Neuroradiology 2018, 60, 247–254. [Google Scholar] [CrossRef] [PubMed]
- Ito, K.; Ohtsuka, C.; Yoshioka, K.; Kameda, H.; Yokosawa, S.; Sato, R.; Terayama, Y.; Sasaki, M. Differential diagnosis of parkinsonism by a combined use of diffusion kurtosis imaging and quantitative susceptibility mapping. Neuroradiology 2017, 59, 759–769. [Google Scholar] [CrossRef]
- Ito, K.; Sasaki, M.; Ohtsuka, C.; Yokosawa, S.; Harada, T.; Uwano, I.; Yamashita, F.; Higuchi, S.; Terayama, Y. Differentiation among parkinsonisms using quantitative diffusion kurtosis imaging. Neuroreport 2015, 26, 267–272. [Google Scholar] [CrossRef]
- Kamagata, K.; Tomiyama, H.; Motoi, Y.; Kano, M.; Abe, O.; Ito, K.; Shimoji, K.; Suzuki, M.; Hori, M.; Nakanishi, A.; et al. Diffusional kurtosis imaging of cingulate fibers in Parkinson disease: Comparison with conventional diffusion tensor imaging. Magn. Reson. Imaging 2013, 31, 1501–1506. [Google Scholar] [CrossRef] [PubMed]
- Rodriguez-Grande, B.; Blackabey, V.; Gittens, B.; Pinteaux, E.; Denes, A. Loss of substance P and inflammation precede delayed neurodegeneration in the substantia nigra after cerebral ischemia. Brain Behav. Immun. 2013, 29, 51–61. [Google Scholar] [CrossRef]
- Zhang, G.; Zhang, Y.; Zhang, C.; Wang, Y.; Ma, G.; Nie, K.; Xie, H.; Liu, J.; Wang, L. Striatal silent lacunar infarction is associated with changes to the substantia nigra in patients with early-stage Parkinson’s disease: A diffusion kurtosis imaging study. J. Clin. Neurosci. 2016, 33, 138–141. [Google Scholar] [CrossRef] [PubMed]
- Zhang, G.; Zhang, C.; Wang, Y.; Wang, L.; Zhang, Y.; Xie, H.; Lu, J.; Nie, K. Is hyperhomocysteinemia associated with the structural changes of the substantia nigra in Parkinson’s disease? A two-year follow-up study. Parkinsonism Relat. Disord. 2019, 60, 46–50. [Google Scholar] [CrossRef] [PubMed]
- Guttuso, T., Jr.; Bergsland, N.; Hagemeier, J.; Lichter, D.G.; Pasternak, O.; Zivadinov, R. Substantia Nigra Free Water Increases Longitudinally in Parkinson Disease. Ajnr Am. J. Neuroradiol. 2018. [Google Scholar] [CrossRef]
- Ofori, E.; Krismer, F.; Burciu, R.G.; Pasternak, O.; McCracken, J.L.; Lewis, M.M.; Du, G.; McFarland, N.R.; Okun, M.S.; Poewe, W.; et al. Free water improves detection of changes in the substantia nigra in parkinsonism: A multisite study. Mov. Disord. 2017, 32, 1457–1464. [Google Scholar] [CrossRef]
- Ofori, E.; Pasternak, O.; Planetta, P.J.; Burciu, R.; Snyder, A.; Febo, M.; Golde, T.E.; Okun, M.S.; Vaillancourt, D.E. Increased free water in the substantia nigra of Parkinson’s disease: A single-site and multi-site study. Neurobiol. Aging 2015, 36, 1097–1104. [Google Scholar] [CrossRef]
- Planetta, P.J.; Ofori, E.; Pasternak, O.; Burciu, R.G.; Shukla, P.; DeSimone, J.C.; Okun, M.S.; McFarland, N.R.; Vaillancourt, D.E. Free-water imaging in Parkinson’s disease and atypical parkinsonism. Brain 2016, 139, 495–508. [Google Scholar] [CrossRef]
- Burciu, R.G.; Ofori, E.; Archer, D.B.; Wu, S.S.; Pasternak, O.; McFarland, N.R.; Okun, M.S.; Vaillancourt, D.E. Progression marker of Parkinson’s disease: A 4-year multi-site imaging study. Brain 2017, 140, 2183–2192. [Google Scholar] [CrossRef] [PubMed]
- Ofori, E.; Pasternak, O.; Planetta, P.J.; Li, H.; Burciu, R.G.; Snyder, A.F.; Lai, S.; Okun, M.S.; Vaillancourt, D.E. Longitudinal changes in free-water within the substantia nigra of Parkinson’s disease. Brain 2015, 138, 2322–2331. [Google Scholar] [CrossRef] [PubMed]
- Yang, J.; Archer, D.B.; Burciu, R.G.; Muller, M.; Roy, A.; Ofori, E.; Bohnen, N.I.; Albin, R.L.; Vaillancourt, D.E. Multimodal dopaminergic and free-water imaging in Parkinson’s disease. Parkinsonism Relat. Disord. 2019, 62, 10–15. [Google Scholar] [CrossRef]
- Chung, J.W.; Burciu, R.G.; Ofori, E.; Shukla, P.; Okun, M.S.; Hess, C.W.; Vaillancourt, D.E. Parkinson’s disease diffusion MRI is not affected by acute antiparkinsonian medication. Neuroimage Clin. 2017, 14, 417–421. [Google Scholar] [CrossRef] [PubMed]
- Burciu, R.G.; Ofori, E.; Shukla, P.; Pasternak, O.; Chung, J.W.; McFarland, N.R.; Okun, M.S.; Vaillancourt, D.E. Free-water and BOLD imaging changes in Parkinson’s disease patients chronically treated with a MAO-B inhibitor. Hum. Brain Mapp. 2016, 37, 2894–2903. [Google Scholar] [CrossRef] [PubMed]
- Mitchell, T.; Archer, D.B.; Chu, W.T.; Coombes, S.A.; Lai, S.; Wilkes, B.J.; McFarland, N.R.; Okun, M.S.; Black, M.L.; Herschel, E.; et al. Neurite orientation dispersion and density imaging (NODDI) and free-water imaging in Parkinsonism. Hum. Brain Mapp. 2019, 40, 5094–5107. [Google Scholar] [CrossRef] [PubMed]
- Kamagata, K.; Hatano, T.; Aoki, S. What is NODDI and what is its role in Parkinson’s assessment? Expert Rev. Neurother. 2016, 16, 241–243. [Google Scholar] [CrossRef] [PubMed]
- Kamagata, K.; Hatano, T.; Okuzumi, A.; Motoi, Y.; Abe, O.; Shimoji, K.; Kamiya, K.; Suzuki, M.; Hori, M.; Kumamaru, K.K.; et al. Neurite orientation dispersion and density imaging in the substantia nigra in idiopathic Parkinson disease. Eur. Radiol. 2016, 26, 2567–2577. [Google Scholar] [CrossRef] [PubMed]
- Blesa, J.; Juri, C.; Garcia-Cabezas, M.A.; Adanez, R.; Sanchez-Gonzalez, M.A.; Cavada, C.; Obeso, J.A. Inter-hemispheric asymmetry of nigrostriatal dopaminergic lesion: A possible compensatory mechanism in Parkinson’s disease. Front. Syst. Neurosci. 2011, 5, 92. [Google Scholar] [CrossRef] [PubMed]
- Burke, R.E.; O’Malley, K. Axon degeneration in Parkinson’s disease. Exp. Neurol. 2013, 246, 72–83. [Google Scholar] [CrossRef]
- Andica, C.; Kamagata, K.; Hatano, T.; Okuzumi, A.; Saito, A.; Nakazawa, M.; Ueda, R.; Motoi, Y.; Kamiya, K.; Suzuki, M.; et al. Neurite orientation dispersion and density imaging of the nigrostriatal pathway in Parkinson’s disease: Retrograde degeneration observed by tract-profile analysis. Parkinsonism Relat. Disord. 2018, 51, 55–60. [Google Scholar] [CrossRef]
- Guo, T.; Wu, J.; Zhou, C.; Guan, X.; Gao, T.; Bai, X.; Song, Z.; Xuan, M.; Gu, Q.; Huang, P.; et al. Aberrant Fiber Coherence of Amygdala-Accumbens-Pallidum Pathway Is Associated With Disorganized Nigrostriatal-Nigropallidal Pathway in Parkinson’s Disease. J. Magn. Reson. Imaging 2020, 52, 1799–1808. [Google Scholar] [CrossRef] [PubMed]
- Andica, C.; Kamagata, K.; Hatano, T.; Saito, Y.; Uchida, W.; Ogawa, T.; Takeshige-Amano, H.; Hagiwara, A.; Murata, S.; Oyama, G.; et al. Neurocognitive and psychiatric disorders-related axonal degeneration in Parkinson’s disease. J. Neurosci. Res. 2020, 98, 936–949. [Google Scholar] [CrossRef]
- Yasaka, K.; Kamagata, K.; Ogawa, T.; Hatano, T.; Takeshige-Amano, H.; Ogaki, K.; Andica, C.; Akai, H.; Kunimatsu, A.; Uchida, W.; et al. Parkinson’s disease: Deep learning with a parameter-weighted structural connectome matrix for diagnosis and neural circuit disorder investigation. Neuroradiology 2021. [Google Scholar] [CrossRef] [PubMed]
- Van Es, M.A.; Hardiman, O.; Chio, A.; Al-Chalabi, A.; Pasterkamp, R.J.; Veldink, J.H.; van den Berg, L.H. Amyotrophic lateral sclerosis. Lancet 2017, 390, 2084–2098. [Google Scholar] [CrossRef]
- Li, J.; Pan, P.; Song, W.; Huang, R.; Chen, K.; Shang, H. A meta-analysis of diffusion tensor imaging studies in amyotrophic lateral sclerosis. Neurobiol. Aging 2012, 33, 1833–1838. [Google Scholar] [CrossRef]
- Zhang, F.; Chen, G.; He, M.; Dai, J.; Shang, H.; Gong, Q.; Jia, Z. Altered white matter microarchitecture in amyotrophic lateral sclerosis: A voxel-based meta-analysis of diffusion tensor imaging. Neuroimage Clin. 2018, 19, 122–129. [Google Scholar] [CrossRef] [PubMed]
- Filippini, N.; Douaud, G.; Mackay, C.E.; Knight, S.; Talbot, K.; Turner, M.R. Corpus callosum involvement is a consistent feature of amyotrophic lateral sclerosis. Neurology 2010, 75, 1645–1652. [Google Scholar] [CrossRef]
- Müller, H.P.; Del Tredici, K.; Lulé, D.; Müller, K.; Weishaupt, J.H.; Ludolph, A.C.; Kassubek, J. In vivo histopathological staging in C9orf72-associated ALS: A tract of interest DTI study. Neuroimage Clin. 2020, 27, 102298. [Google Scholar] [CrossRef]
- Huang, N.X.; Zou, Z.Y.; Xue, Y.J.; Chen, H.J. Abnormal cerebral microstructures revealed by diffusion kurtosis imaging in amyotrophic lateral sclerosis. J. Magn Reson. Imaging 2019. [Google Scholar] [CrossRef] [PubMed]
- Welton, T.; Maller, J.J.; Lebel, R.M.; Tan, E.T.; Rowe, D.B.; Grieve, S.M. Diffusion kurtosis and quantitative susceptibility mapping MRI are sensitive to structural abnormalities in amyotrophic lateral sclerosis. Neuroimage Clin. 2019, 24, 101953. [Google Scholar] [CrossRef]
- Gatto, R.G.; Mustafi, S.M.; Amin, M.Y.; Mareci, T.H.; Wu, Y.C.; Magin, R.L. Neurite orientation dispersion and density imaging can detect presymptomatic axonal degeneration in the spinal cord of ALS mice. Funct. Neurol. 2018, 33, 155–163. [Google Scholar]
- Broad, R.J.; Gabel, M.C.; Dowell, N.G.; Schwartzman, D.J.; Seth, A.K.; Zhang, H.; Alexander, D.C.; Cercignani, M.; Leigh, P.N. Neurite orientation and dispersion density imaging (NODDI) detects cortical and corticospinal tract degeneration in ALS. J. Neurol. Neurosurg. Psychiatry 2019, 90, 404–411. [Google Scholar] [CrossRef]
- Wen, J.; Zhang, H.; Alexander, D.C.; Durrleman, S.; Routier, A.; Rinaldi, D.; Houot, M.; Couratier, P.; Hannequin, D.; Pasquier, F.; et al. Neurite density is reduced in the presymptomatic phase of C9orf72 disease. J. Neurol. Neurosurg. Psychiatry 2019, 90, 387–394. [Google Scholar] [CrossRef] [PubMed]
- Yu, P.; Sun, J.; Wolz, R.; Stephenson, D.; Brewer, J.; Fox, N.C.; Cole, P.E.; Jack, C.R., Jr.; Hill, D.L.; Schwarz, A.J. Operationalizing hippocampal volume as an enrichment biomarker for amnestic mild cognitive impairment trials: Effect of algorithm, test-retest variability, and cut point on trial cost, duration, and sample size. Neurobiol. Aging 2014, 35, 808–818. [Google Scholar] [CrossRef] [PubMed]
- Zhu, T.; Hu, R.; Qiu, X.; Taylor, M.; Tso, Y.; Yiannoutsos, C.; Navia, B.; Mori, S.; Ekholm, S.; Schifitto, G.; et al. Quantification of accuracy and precision of multi-center DTI measurements: A diffusion phantom and human brain study. NeuroImage 2011, 56, 1398–1411. [Google Scholar] [CrossRef]
- Andica, C.; Kamagata, K.; Hayashi, T.; Hagiwara, A.; Uchida, W.; Saito, Y.; Kamiya, K.; Fujita, S.; Akashi, T.; Wada, A.; et al. Scan-rescan and inter-vendor reproducibility of neurite orientation dispersion and density imaging metrics. Neuroradiology 2020, 62, 483–494. [Google Scholar] [CrossRef]
- Cercignani, M.; Bammer, R.; Sormani, M.P.; Fazekas, F.; Filippi, M. Inter-sequence and inter-imaging unit variability of diffusion tensor MR imaging histogram-derived metrics of the brain in healthy volunteers. Ajnr. Am. J. Neuroradiol. 2003, 24, 638–643. [Google Scholar] [PubMed]
- Kamagata, K.; Shimoji, K.; Hori, M.; Nishikori, A.; Tsuruta, K.; Yoshida, M.; Kamiya, K.; Irie, R.; Suzuki, M.; Kyogoku, S.; et al. Intersite Reliability of Diffusion Tensor Imaging on Two 3T Scanners. Magn. Reson. Med. Sci 2015, 14, 227–233. [Google Scholar] [CrossRef]
- Mahoney, C.J.; Simpson, I.J.; Nicholas, J.M.; Fletcher, P.D.; Downey, L.E.; Golden, H.L.; Clark, C.N.; Schmitz, N.; Rohrer, J.D.; Schott, J.M.; et al. Longitudinal diffusion tensor imaging in frontotemporal dementia. Ann. Neurol. 2015, 77, 33–46. [Google Scholar] [CrossRef] [PubMed]
- Tu, M.C.; Lo, C.P.; Huang, C.F.; Hsu, Y.H.; Huang, W.H.; Deng, J.F.; Lee, Y.C. Effectiveness of diffusion tensor imaging in differentiating early-stage subcortical ischemic vascular disease, Alzheimer’s disease and normal ageing. PLoS ONE 2017, 12, e0175143. [Google Scholar] [CrossRef]
- Voineskos, A.N.; Lobaugh, N.J.; Bouix, S.; Rajji, T.K.; Miranda, D.; Kennedy, J.L.; Mulsant, B.H.; Pollock, B.G.; Shenton, M.E. Diffusion tensor tractography findings in schizophrenia across the adult lifespan. Brain 2010, 133, 1494–1504. [Google Scholar] [CrossRef]
- Fortin, J.P.; Parker, D.; Tunç, B.; Watanabe, T.; Elliott, M.A.; Ruparel, K.; Roalf, D.R.; Satterthwaite, T.D.; Gur, R.C.; Gur, R.E.; et al. Harmonization of multi-site diffusion tensor imaging data. Neuroimage 2017, 161, 149–170. [Google Scholar] [CrossRef]
- Cetin Karayumak, S.; Bouix, S.; Ning, L.; James, A.; Crow, T.; Shenton, M.; Kubicki, M.; Rathi, Y. Retrospective harmonization of multi-site diffusion MRI data acquired with different acquisition parameters. Neuroimage 2019, 184, 180–200. [Google Scholar] [CrossRef]
- Tax, C.M.; Grussu, F.; Kaden, E.; Ning, L.; Rudrapatna, U.; John Evans, C.; St-Jean, S.; Leemans, A.; Koppers, S.; Merhof, D.; et al. Cross-scanner and cross-protocol diffusion MRI data harmonisation: A benchmark database and evaluation of algorithms. Neuroimage 2019, 195, 285–299. [Google Scholar] [CrossRef]
- De Santis, S.; Barazany, D.; Jones, D.K.; Assaf, Y. Resolving relaxometry and diffusion properties within the same voxel in the presence of crossing fibres by combining inversion recovery and diffusion-weighted acquisitions. Magn. Reson. Med. 2016, 75, 372–380. [Google Scholar] [CrossRef] [PubMed]
- Reymbaut, A.; Critchley, J.; Durighel, G.; Sprenger, T.; Sughrue, M.; Bryskhe, K.; Topgaard, D. Toward nonparametric diffusion- T 1 characterization of crossing fibers in the human brain. Magn. Reson. Med. 2021, 85, 2815–2827. [Google Scholar] [CrossRef] [PubMed]
- Ravanfar, P.; Loi, S.M.; Syeda, W.T.; Van Rheenen, T.E.; Bush, A.I.; Desmond, P.; Cropley, V.L.; Lane, D.J.R.; Opazo, C.M.; Moffat, B.A.; et al. Systematic Review: Quantitative Susceptibility Mapping (QSM) of Brain Iron Profile in Neurodegenerative Diseases. Front. Neurosci. 2021, 15, 618435. [Google Scholar] [CrossRef] [PubMed]















| Model | Indices | Summary of Models | Implication | Unique Limitation |
|---|---|---|---|---|
| DTI | FA | Signal representation that estimates the anisotropy and directionality of water diffusion by assuming a single ellipse in a voxel | Overall directionality of water diffusion within the brain tissue | Partial volume effect associated with CSF contaminationNonspecificity due to the lack of inclusion of biophysical assumptions |
| MD | Magnitude of isotropic diffusion within the brain tissue | |||
| AD | Magnitude of isotropic diffusion along the main axis | |||
| RD | Magnitude of isotropic diffusion along the transverse direction | |||
| DKI | MK | Signal representation that quantifies the degree of non-Gaussian diffusion associated with complex brain microstructures | Degree of diffusion restriction or brain tissue complexity | Long scanning time to acquire at least two b-values Nonspecificity due to the lack of inclusion of biophysical assumptions |
| AK | Degree of diffusion restriction or brain tissue complexity along the main axis of maximal diffusion | |||
| RK | Degree of diffusion restriction or brain tissue complexity along the transverse direction | |||
| FWI | FW | Two-compartment model that quantifies extracellular free water to eliminate indices contaminated by CSF from DTI | Free water within extracellular space | High dependence of single-shell FWI model fitting on regularization constraints |
| Free water-corrected DTI | DTI parameters, eliminating the influence of extracellular free water | |||
| NODDI | ICVF | Three-compartment model that represents neurite density, isotropic free water, and dispersion of neurites (e.g., axons, dendrites, and others) | Neurite density within a voxel based on the intracellular compartment | Long scanning time to acquire at least two b-values for highly accurate parameters |
| ISOVF | Volume fraction of isotropic diffusion based on the extracellular compartment | |||
| ODI | Orientation dispersion of neurites based on the intracellular compartment |
Publisher’s Note: MDPI stays neutral with regard to jurisdictional claims in published maps and institutional affiliations. |
© 2021 by the authors. Licensee MDPI, Basel, Switzerland. This article is an open access article distributed under the terms and conditions of the Creative Commons Attribution (CC BY) license (https://creativecommons.org/licenses/by/4.0/).
Share and Cite
Kamagata, K.; Andica, C.; Kato, A.; Saito, Y.; Uchida, W.; Hatano, T.; Lukies, M.; Ogawa, T.; Takeshige-Amano, H.; Akashi, T.; et al. Diffusion Magnetic Resonance Imaging-Based Biomarkers for Neurodegenerative Diseases. Int. J. Mol. Sci. 2021, 22, 5216. https://doi.org/10.3390/ijms22105216
Kamagata K, Andica C, Kato A, Saito Y, Uchida W, Hatano T, Lukies M, Ogawa T, Takeshige-Amano H, Akashi T, et al. Diffusion Magnetic Resonance Imaging-Based Biomarkers for Neurodegenerative Diseases. International Journal of Molecular Sciences. 2021; 22(10):5216. https://doi.org/10.3390/ijms22105216
Chicago/Turabian StyleKamagata, Koji, Christina Andica, Ayumi Kato, Yuya Saito, Wataru Uchida, Taku Hatano, Matthew Lukies, Takashi Ogawa, Haruka Takeshige-Amano, Toshiaki Akashi, and et al. 2021. "Diffusion Magnetic Resonance Imaging-Based Biomarkers for Neurodegenerative Diseases" International Journal of Molecular Sciences 22, no. 10: 5216. https://doi.org/10.3390/ijms22105216
APA StyleKamagata, K., Andica, C., Kato, A., Saito, Y., Uchida, W., Hatano, T., Lukies, M., Ogawa, T., Takeshige-Amano, H., Akashi, T., Hagiwara, A., Fujita, S., & Aoki, S. (2021). Diffusion Magnetic Resonance Imaging-Based Biomarkers for Neurodegenerative Diseases. International Journal of Molecular Sciences, 22(10), 5216. https://doi.org/10.3390/ijms22105216

