Peptide Interference with APP and Tau Association: Relevance to Alzheimer’s Disease Amelioration
Abstract
1. Introduction
2. Results
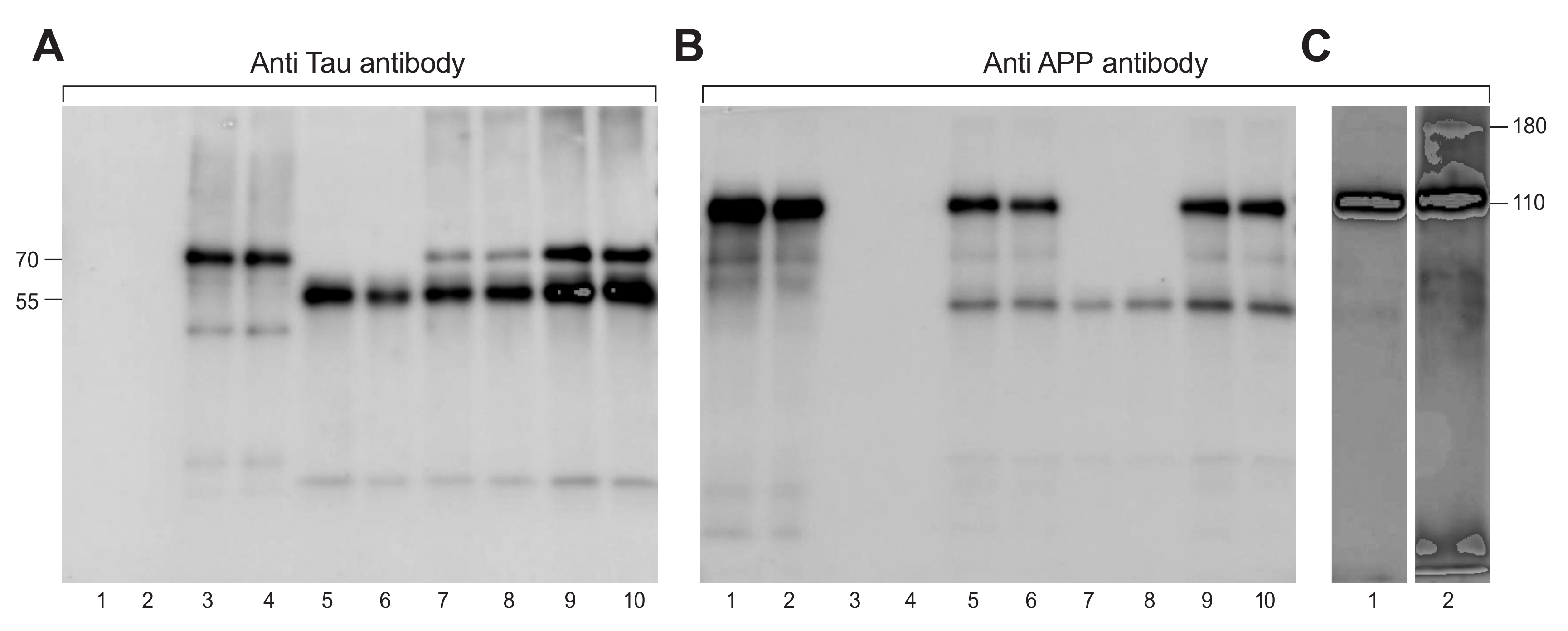
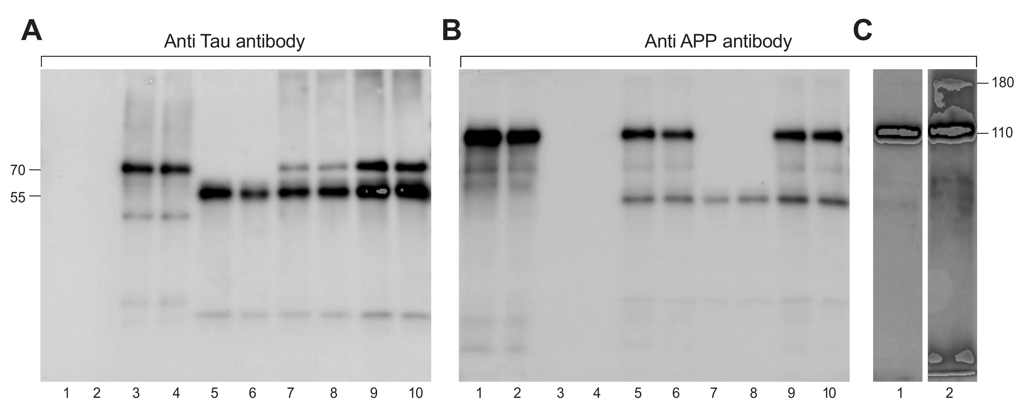
2.1. Verification of APP and Tau Protein Binding and Crosslinking of the Proteins
2.2. Prediction of the APP and Tau Peptides Involved in the Protein Binding
2.3. In Vitro Assessment of the APP and Tau Protein Peptides and Their Binding
2.4. In Vivo Treatment of 5xFADXTau (FT) Mice or 5xFAD with APP1 and Tau1 Mixture and Its Effect on Cognition, Plaques and Soluble Brain Aß 1–42 Levels
2.4.1. Outline of Experimental Process
2.4.2. Cognitive Functions
3. Discussion
4. Materials and Methods
4.1. Proteins, Chemicals and Antibodies
4.2. Mouse Lines
4.3. Western Blot Analysis of APP and Tau Protein Binding
4.4. Computing-Based Approach for Predicting and Design of APP and Tau Peptides
4.5. Crosslinking of APP and Tau Proteins to Identify and Confirm Candidate Peptides for In Vitro/In Vivo Experiments
4.6. Synthetic Peptides
4.7. In Vitro Tests
Inhibition of Tau and APP Proteins Binding by Peptides APP1, APP2, Tau1, Tau2 and their Combinations
4.8. Peptide Labeling with Fluorescein and Rhodamine for Visualization of Peptide Binding
4.9. Histological Staining and Quantitation of Amyloid
4.10. Analysis of Amyloid Peptide from Brain Homogenate Samples
4.11. In Vivo Animal Treatment and Behavior Test
4.11.1. Outline of Experimental Process
4.11.2. Animal Treatment and Behaviour Test
4.12. Statistical Analysis
5. Conclusions
Author Contributions
Funding
Acknowledgments
Conflicts of Interest
References
- Sandomenico, A.; Monti, S.M.; Sabatella, M.; De Capua, A.; Tornatore, L.; Doti, N.; Viparelli, F.; Dathan, N.A.; Pedone, C.; Ruvo, M.; et al. Protein-Protein Interactions: A Simple Strategy to Identify Binding Sites and Peptide Antagonists. Chem. Biol. Drug Des. 2009, 73, 483–493. [Google Scholar] [CrossRef]
- Petsalaki, E.; Russell, R.B. Peptide-mediated interactions in biological systems: New discoveries and applications. Curr. Opin. Biotechnol. 2008, 19, 344–350. [Google Scholar] [CrossRef]
- Arnon, R.; Sela, M. Studies on the chemical basis of the antigenicity of proteins. 2. Antigenic specificity of polytyrosyl gelatins. Biochem. J. 1960, 75, 103–109. [Google Scholar] [CrossRef] [PubMed]
- Sela, M.; Arnon, R. A specific synthetic polypeptide antigen. Biochim. Biophys. Acta 1960, 40, 382–384. [Google Scholar] [CrossRef]
- Arnon, R.; Maron, E.; Sela, M.; Anfinsen, C.B. Antibodies reactive with native lysozyme elicited by a completely synthetic antigen. Proc. Natl. Acad. Sci. USA 1971, 68, 1450–1455. [Google Scholar] [CrossRef] [PubMed]
- Teitelbaum, D.; Fridkis-Hareli, M.; Arnon, R.; Sela, M. Copolymer 1 inhibits chronic relapsing experimental allergic encephalomyelitis induced by proteolipid protein (PLP) peptides in mice and interferes with PLP-specific T cell responses. J. Neuroimmunol. 1996, 64, 209–217. [Google Scholar] [CrossRef]
- Teitelbaum, D.; Meshorer, A.; Hirshfeld, T.; Arnon, R.; Sela, M. Suppression of experimental allergic encephalomyelitis by a synthetic polypeptide. Eur. J. Immunol. 1971, 1, 242–248. [Google Scholar] [CrossRef]
- Langbeheim, H.; Arnon, R.; Sela, M. Antiviral effect on MS 2 coliphage obtained with a synthetic antigen. Proc. Natl. Acad. Sci. USA 1976, 73, 4636–4640. [Google Scholar] [CrossRef]
- Langbeheim, H.; Teitelbaum, D.; Arnon, R. Cellular immune response toward MS-2 phage and a synthetic fragment of its coat protein. Cell. Immunol. 1978, 38, 193–197. [Google Scholar] [CrossRef]
- Ben-Yedidia, T.; Arnon, R. Towards an epitope-based human vaccine for influenza. Hum. Vaccin. 2005, 1, 95–101. [Google Scholar] [CrossRef][Green Version]
- Apostolova, L.G. Alzheimer disease. Contin. Lifelong Learn. Neurol. 2016, 22, 419–434. [Google Scholar] [CrossRef] [PubMed]
- O’brien, R.J.; Wong, P.C. Amyloid Precursor Protein Processing and Alzheimer’s Disease. Annu. Rev. Neurosci. 2011, 34, 185–204. [Google Scholar] [CrossRef] [PubMed]
- Grundke-Iqbal, I.; Iqbal, K.; Tung, Y.C.; Quinlan, M.; Wisniewski, H.M.; Binder, L.I. Abnormal phosphorylation of the microtubule-associated protein tau (tau) in Alzheimer cytoskeletal pathology. Proc. Natl. Acad. Sci. USA 1986, 83, 4913–4917. [Google Scholar] [CrossRef] [PubMed]
- Holtzman, D.M.; Mandelkow, E.; Selkoe, D.J. Alzheimer disease in 2020. Cold Spring Harb. Perspect. Med. 2012, 2. [Google Scholar] [CrossRef]
- Mudher, A.; Lovestone, S. Alzheimer’s disease—Do tauists and baptists finally shake hands? Trends Neurosci. 2002, 25, 22–26. [Google Scholar] [CrossRef]
- Lansdall, C.J. An effective treatment for Alzheimer’s disease must consider both amyloid and tau. Biosci. Horizons Int. J. Student Res. 2014, 7. [Google Scholar] [CrossRef]
- Smith, M.A.; Siedlak, S.L.; Richey, P.L.; Mulvihill, P.; Ghiso, J.; Frangione, B.; Tagliavini, F.; Giaccone, G.; Bugiani, O.; Praprotnik, D.; et al. Tau protein directly interacts with the amyloid β-protein precursor: Implications for Alzheimer’s disease. Nat. Med. 1995, 1, 365–369. [Google Scholar] [CrossRef]
- Giaccone, G.; Pedrotti, B.; Migheli, A.; Verga, L.; Perez, J.; Racagni, G.; Smith, M.A.; Perry, G.; Gioia, L.D.; Selvaggini, C.; et al. beta PP and Tau interaction. A possible link between amyloid and neurofibrillary tangles in Alzheimer’s disease. Am. J. Pathol. 1996, 148, 79. [Google Scholar]
- Pundir, S.; Martin, M.J.; O’Donovan, C. UniProt Tools. Curr. Protoc. Bioinforma. 2016, 53, 1.29.1–1.29.15. [Google Scholar] [CrossRef]
- Altschul, S.F.; Gish, W.; Miller, W.; Myers, E.W.; Lipman, D.J. Basic local alignment search tool. J. Mol. Biol. 1990, 215, 403–410. [Google Scholar] [CrossRef]
- Wang, Y.; Ha, Y. The X-ray structure of an antiparallel dimer of the human amyloid precursor protein E2 domain. Mol. Cell 2004, 15, 343–353. [Google Scholar] [CrossRef] [PubMed]
- Neddens, J.; Temmel, M.; Flunkert, S.; Kerschbaumer, B.; Hoeller, C.; Loeffler, T.; Niederkofler, V.; Daum, G.; Attems, J.; Hutter-Paier, B. Phosphorylation of different tau sites during progression of Alzheimer’s disease. Acta Neuropathol. Commun. 2018, 6, 52. [Google Scholar] [CrossRef] [PubMed]
- Lifshitz, V.; Weiss, R.; Benromano, T.; Kfir, E.; Blumenfeld-Katzir, T.; Tempel-Brami, C.; Assaf, Y.; Xia, W.; Wyss-Coray, T.; Weiner, H.L.; et al. Immunotherapy of cerebrovascular amyloidosis in a transgenic mouse model. Neurobiol. Aging 2012, 33, 432. [Google Scholar] [CrossRef] [PubMed][Green Version]
- Heredia, L.; Torrente, M.; Colomina, M.T.; Domingo, J.L. Assessing anxiety in C57BL/6J mice: A pharmacological characterization of the open-field and light/dark tests. J. Pharmacol. Toxicol. Methods 2014, 69, 108–114. [Google Scholar] [CrossRef] [PubMed]
- Esparza, T.J.; Wildburger, N.C.; Jiang, H.; Gangolli, M.; Cairns, N.J.; Bateman, R.J.; Brody, D.L. Soluble amyloid-beta aggregates from human Alzheimer’s disease brains. Sci. Rep. 2016, 6. [Google Scholar] [CrossRef] [PubMed]
- Ganeshpurkar, A.; Swetha, R.; Kumar, D.; Gangaram, G.P.; Singh, R.; Gutti, G.; Jana, S.; Kumar, D.; Kumar, A.; Singh, S.K. Protein-Protein Interactions and Aggregation Inhibitors in Alzheimer’s Disease. Curr. Top. Med. Chem. 2019, 19, 501–533. [Google Scholar] [CrossRef] [PubMed]
- Kupfer, L.; Hinrichs, W.; Groschup, M. Prion Protein Misfolding. Curr. Mol. Med. 2009, 9, 826–835. [Google Scholar] [CrossRef]
- Rossjohn, J.; Cappai, R.; Feil, S.C.; Henry, A.; McKinstry, W.J.; Galatis, D.; Hesse, L.; Multhaup, G.; Beyreuther, K.; Masters, C.L.; et al. Crystal structure of the N-terminal, growth factor-like domain of Alzheimer amyloid precursor protein. Nat. Struct. Biol. 1999, 6, 327–331. [Google Scholar] [CrossRef]
- Fitzpatrick, A.W.P.; Falcon, B.; He, S.; Murzin, A.G.; Murshudov, G.; Garringer, H.J.; Crowther, R.A.; Ghetti, B.; Goedert, M.; Scheres, S.H.W. Cryo-EM structures of tau filaments from Alzheimer’s disease. Nature 2017, 547, 185–190. [Google Scholar] [CrossRef]
- Sayas, C.L.; Medina, M.; Cuadros, R.; Ollá, I.; García, E.; Pérez, M.; Ferrer, I.; Hernández, F.; Avila, J. Role of tau N-terminal motif in the secretion of human tau by End Binding proteins. PLoS ONE 2019, 14. [Google Scholar] [CrossRef] [PubMed]
- Congdon, E.E.; Sigurdsson, E.M. Tau-targeting therapies for Alzheimer disease. Nat. Rev. Neurol. 2018, 14, 399–415. [Google Scholar] [CrossRef] [PubMed]
- Benhamron, S.; Rozenstein-Tsalkovich, L.; Nitzan, K.; Abramsky, O.; Rosenmann, H. Phos-tau peptide immunization of amyloid-tg-mice reduced non-mutant phos-tau pathology, improved cognition and reduced amyloid plaques. Exp. Neurol. 2018, 303, 48–58. [Google Scholar] [CrossRef] [PubMed]
- Oakley, H.; Cole, S.L.; Logan, S.; Maus, E.; Shao, P.; Craft, J.; Guillozet-Bongaarts, A.; Ohno, M.; Disterhoft, J.; Van Eldik, L.; et al. Intraneuronal β-amyloid aggregates, neurodegeneration, and neuron loss in transgenic mice. J. Neurosci. 2006, 26, 10129–10140. [Google Scholar] [CrossRef] [PubMed]
- Rosenmann, H.; Grigoriadis, N.; Eldar-Levy, H.; Avital, A.; Rozenstein, L.; Touloumi, O.; Behar, L.; Ben-Hur, T.; Avraham, Y.; Berry, E.; et al. A novel transgenic mouse expressing double mutant tau driven by its natural promoter exhibits tauopathy characteristics. Exp. Neurol. 2008, 212, 71–84. [Google Scholar] [CrossRef]
- Westerman, M.A.; Cooper-Blacketer, D.; Mariash, A.; Kotilinek, L.; Kawarabayashi, T.; Younkin, L.H.; Carlson, G.A.; Younkin, S.G.; Ashe, K.H. The relationship between Aβ and memory in the Tg2576 mouse model of Alzheimer’s disease. J. Neurosci. 2002, 22, 1858–1867. [Google Scholar] [CrossRef]
- Kanno, T.; Tsuchiya, A.; Nishizaki, T. Hyperphosphorylation of Tau at Ser396 occurs in the much earlier stage than appearance of learning and memory disorders in 5XFAD mice. Behav. Brain Res. 2014, 274, 302–306. [Google Scholar] [CrossRef]
- Vergara, C.; Houben, S.; Vanden Dries, V.; Yilmaz, Z.; Suain, V.; De Decker, R.; Duyckaerts, C.; Boom, A.; Leroy, K.; Ando, K.; et al. PHF-tau propagation in the presence of Amyloid ß pathology. Front. Aging Neurosci. 2016, 8. [Google Scholar] [CrossRef]
- Polanco, J.C.; Li, C.; Bodea, L.G.; Martinez-Marmol, R.; Meunier, F.A.; Götz, J. Amyloid-β and tau complexity—Towards improved biomarkers and targeted therapies. Nat. Rev. Neurol. 2018, 14, 22–40. [Google Scholar] [CrossRef]
- Trudler, D.; Weinreb, O.; Mandel, S.A.; Youdim, M.B.H.; Frenkel, D. DJ-1 deficiency triggers microglia sensitivity to dopamine toward a pro-inflammatory phenotype that is attenuated by rasagiline. J. Neurochem. 2014, 129, 434–447. [Google Scholar] [CrossRef]
- Small, S.A.; Duff, K. Linking Aβ and Tau in Late-Onset Alzheimer’s Disease: A Dual Pathway Hypothesis. Neuron 2008, 60, 534–542. [Google Scholar] [CrossRef]
- Dou, F.; Netzer, W.J.; Tanemura, K.; Li, F.; Hartl, F.U.; Takashima, A.; Gouras, G.K.; Greengard, P.; Xu, H. Chaperones increase association of tau protein with microtubules. Proc. Natl. Acad. Sci. USA 2003, 100, 721–726. [Google Scholar] [CrossRef] [PubMed]
- Leitner, A.; Walzthoeni, T.; Aebersold, R. Lysine-specific chemical cross-linking of protein complexes and identification of cross-linking sites using LC-MS/MS and the xQuest/xProphet software pipeline. Nat. Protoc. 2014, 9, 120–137. [Google Scholar] [CrossRef] [PubMed]
- Leitner, A.; Joachimiak, L.A.; Unverdorben, P.; Walzthoeni, T.; Frydman, J.; Förster, F.; Aebersold, R. Chemical cross-linking/mass spectrometry targeting acidic residues in proteins and protein complexes. Proc. Natl. Acad. Sci. USA 2014, 111, 9455–9460. [Google Scholar] [CrossRef] [PubMed]
- Holmes, K.L.; Lantz, L.M. Protein labeling with fluorescent probes. Methods Cell Biol. 2001, 185–204. [Google Scholar] [CrossRef]
- Maiti, P.; Plemmons, A.; Bowers, Z.; Weaver, C.; Dunbar, G. Labeling and imaging of amyloid plaques in brain tissue using the natural polyphenol curcumin. J. Vis. Exp. 2019, 2019. [Google Scholar] [CrossRef] [PubMed]
- DeMattos, R.B.; Bales, K.R.; Cummins, D.J.; Paul, S.M.; Holtzman, D.M. Brain to plasma amyloid-β efflux: A measure of brain amyloid burden in a mouse model of Alzheimer’s disease. Science 2002, 295, 2264–2267. [Google Scholar] [CrossRef]
- Webster, S.J.; Bachstetter, A.D.; Nelson, P.T.; Schmitt, F.A.; Van Eldik, L.J. Using mice to model Alzheimer’s dementia: An overview of the clinical disease and the preclinical behavioral changes in 10 mouse models. Front. Genet. 2014, 5. [Google Scholar] [CrossRef]
- Ji, X.; Peng, D.; Zhang, Y.; Zhang, J.; Wang, Y.; Gao, Y.; Lu, N.; Tang, P. Astaxanthin improves cognitive performance in mice following mild traumatic brain injury. Brain Res. 2017, 1659, 88–95. [Google Scholar] [CrossRef]






© 2020 by the authors. Licensee MDPI, Basel, Switzerland. This article is an open access article distributed under the terms and conditions of the Creative Commons Attribution (CC BY) license (http://creativecommons.org/licenses/by/4.0/).
Share and Cite
Maron, R.; Armony, G.; Tsoory, M.; Wilchek, M.; Frenkel, D.; Arnon, R. Peptide Interference with APP and Tau Association: Relevance to Alzheimer’s Disease Amelioration. Int. J. Mol. Sci. 2020, 21, 3270. https://doi.org/10.3390/ijms21093270
Maron R, Armony G, Tsoory M, Wilchek M, Frenkel D, Arnon R. Peptide Interference with APP and Tau Association: Relevance to Alzheimer’s Disease Amelioration. International Journal of Molecular Sciences. 2020; 21(9):3270. https://doi.org/10.3390/ijms21093270
Chicago/Turabian StyleMaron, Ruth, Gad Armony, Michael Tsoory, Meir Wilchek, Dan Frenkel, and Ruth Arnon. 2020. "Peptide Interference with APP and Tau Association: Relevance to Alzheimer’s Disease Amelioration" International Journal of Molecular Sciences 21, no. 9: 3270. https://doi.org/10.3390/ijms21093270
APA StyleMaron, R., Armony, G., Tsoory, M., Wilchek, M., Frenkel, D., & Arnon, R. (2020). Peptide Interference with APP and Tau Association: Relevance to Alzheimer’s Disease Amelioration. International Journal of Molecular Sciences, 21(9), 3270. https://doi.org/10.3390/ijms21093270

