Clinical Significance of Cytoplasmic IgE-Positive Mast Cells in Eosinophilic Chronic Rhinosinusitis
Abstract
1. Introduction
2. Results
2.1. Patients’ Characteristics
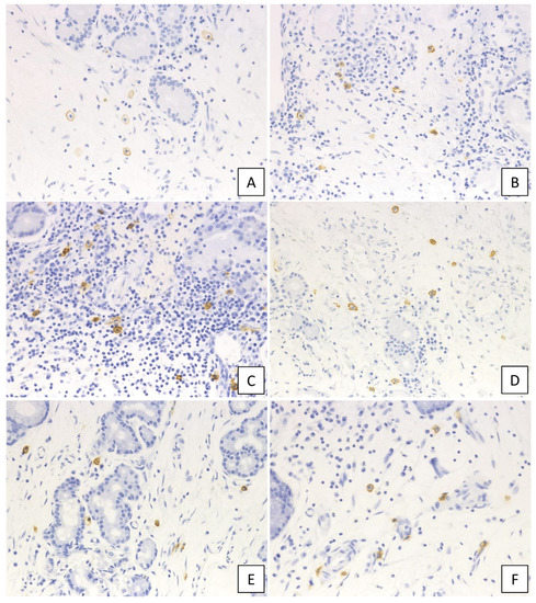
2.2. Histological Evaluation and Pathophysiological Significance of c-Kit-Positive Cells
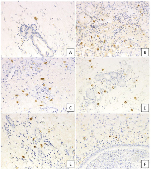
2.3. Histological Evaluation and Pathophysiological Significance of IgE-Positive Cells
3. Discussion
4. Materials and Methods
4.1. Patients
4.2. Histological Examination and Immunohistochemistry
4.3. Histological Evaluation of c-Kit and IgE-Positive Cell
4.4. Statistical Analysis
Author Contributions
Funding
Conflicts of Interest
References
- Matsuwaki, Y.; Ookushi, T.; Asaka, D.; Mori, E.; Nakajima, T.; Yoshida, T.; Kojima, J.; Chiba, S.; Ootori, N.; Moriyama, H. Chronic rhinosinusitis: Risk factors for the recurrence of chronic rhinosinusitis based on 5-year follow-up after endoscopic sinus surgery. Int. Arch. Allergy Immunol. 2008, 146, 77–81. [Google Scholar] [CrossRef]
- Fujieda, S.; Imoto, Y.; Kato, Y.; Ninomiya, T.; Tokunaga, T.; Tsutsumiuchi, T.; Yoshida, K.; Kidoguchi, M.; Takabayashi, T. Eosinophilic chronic rhinosinusitis. Allergol. Int. 2019, 68, 403–412. [Google Scholar] [CrossRef]
- Ishitoya, J.; Sakuma, Y.; Tsukuda, M. Eosinophilic chronic rhinosinusitis in Japan. Allergol. Int. 2010, 59, 239–245. [Google Scholar] [CrossRef]
- Takeno, S.; Hirakawa, K.; Ishino, T. Pathological mechanisms and clinical features of eosinophilic chronic rhinosinusitis in the Japanese population. Allergol. Int. 2010, 59, 247–256. [Google Scholar] [CrossRef]
- Tokunaga, T.; Sakashita, M.; Haruna, T.; Asaka, D.; Takeno, S.; Ikeda, H.; Nakayama, T.; Seki, N.; Ito, S.; Murata, J.; et al. Novel scoring system and algorithm for classifying chronic rhinosinusitis: The JESREC study. Allergy 2015, 70, 995–1003. [Google Scholar] [CrossRef]
- Bradding, P.; Holgate, S.T. Immunopathology and human mast cell cytokines. Crit. Rev. Oncol. Hematol. 1999, 31, 119–133. [Google Scholar]
- Henz, B.M.; Maurer, M.; Lippert, U.; Worm, M.; Babina, M. Mast cells as initiators of immunity and host defense. Exp. Dermatol. 2001, 10, 1–10. [Google Scholar]
- Metcalfe, D.D.; Baram, D.; Mekori, Y.A. Mast cells. Physiol. Rev. 1997, 77, 1033–1079. [Google Scholar] [CrossRef]
- Galli, S.J.; Nakae, S.; Tsai, M. Mast cells in the development of adaptive immune responses. Nat. Immunol. 2005, 6, 135–142. [Google Scholar] [CrossRef]
- Lu, L.F.; Lind, E.F.; Gondek, D.C.; Bennett, K.A.; Gleeson, M.W.; Pino-Lagos, K.; Scott, Z.A.; Coyle, A.J.; Reed, J.L.; Van Snick, J.; et al. Mast cells are essential intermediaries in regulatory T-cell tolerance. Nature 2006, 442, 997–1002. [Google Scholar] [CrossRef]
- Supajatura, V.; Ushio, H.; Nakao, A.; Okumura, K.; Ra, C.; Ogawa, H. Protective roles of mast cells against enterobacterial infection are mediated by Toll-like receptor 4. J. Immunol. 2001, 167, 2250–2256. [Google Scholar]
- Supajatura, V.; Ushio, H.; Nakao, A.; Akira, S.; Okumura, K.; Ra, C.; Ogawa, H. Differential responses of mast cell Toll-like receptors 2 and 4 in allergy and innate immunity. J. Clin. Investig. 2002, 109, 1351–1359. [Google Scholar] [CrossRef]
- Pawankar, R.; Okuda, M.; Yssel, H.; Okumura, K.; Ra, C. Nasal mast cells in perennial allergic rhinitics exhibit increased expression of the Fc epsilonRI, CD40L, IL-4, and IL-13, and can induce IgE synthesis in B cells. J. Clin. Investig. 1997, 99, 1492–1499. [Google Scholar] [CrossRef]
- Fattakhova, G.V.; Masilamani, M.; Narayanan, S.; Borrego, F.; Gilfillan, A.M.; Metcalfe, D.D.; Coligan, J.E. Endosomal trafficking of the ligated FcvarepsilonRI receptor. Mol. Immunol. 2009, 46, 793–802. [Google Scholar] [CrossRef]
- Irani, A.A.; Schechter, N.M.; Craig, S.S.; DeBlois, G.; Schwartz, L.B. Two types of human mast cells that have distinct neutral protease compositions. Proc. Natl. Acad. Sci. USA 1986, 83, 4464–4468. [Google Scholar]
- Baba, S.; Kondo, K.; Suzukawa, M.; Ohta, K.; Yamasoba, T. Distribution, subtype population, and IgE positivity of mast cells in chronic rhinosinusitis with nasal polyps. Ann. Allergy Asthma Immunol. 2017, 119, 120–128. [Google Scholar] [CrossRef]
- Nishida, K.; Gion, Y.; Takeuchi, M.; Tanaka, T.; Kataoka, T.R.; Yoshino, T.; Sato, Y. Mast cells exhibiting strong cytoplasmic staining for IgE and high affinity IgE receptor are increased in IgG4-related disease. Sci. Rep. 2018, 8, 4656. [Google Scholar] [CrossRef]
- Bachert, C.; Zhang, N.; Holtappels, G.; De Lobel, L.; van Cauwenberge, P.; Liu, S.; Lin, P.; Bousquet, J.; Van Steen, K. Presence of IL-5 protein and IgE antibodies to staphylococcal enterotoxins in nasal polyps is associated with comorbid asthma. J. Allergy Clin. Immunol. 2010, 126, 962–968.e6. [Google Scholar] [CrossRef]
- Patou, J.; Gevaert, P.; Van Zele, T.; Holtappels, G.; van Cauwenberge, P.; Bachert, C. Staphylococcus aureus enterotoxin B, protein A, and lipoteichoic acid stimulations in nasal polyps. J. Allergy Clin. Immunol. 2008, 121, 110–115. [Google Scholar] [CrossRef]
- Grundmann, S.A.; Hemfort, P.B.; Luger, T.A.; Brehler, R. Anti-IgE (omalizumab): A new therapeutic approach for chronic rhinosinusitis. J. Allergy Clin. Immunol. 2008, 121, 257–258. [Google Scholar]
- Bobolea, I.; Barranco, P.; Fiandor, A.; Cabanas, R.; Quirce, S. Omalizumab: A potential new therapeutic approach for aspirin-exacerbated respiratory disease. J. Investig. Allergol. Clin. Immunol. 2010, 20, 448–449. [Google Scholar]
- Okano, M.; Kariya, S.; Ohta, N.; Imoto, Y.; Fujieda, S.; Nishizaki, K. Association and management of eosinophilic inflammation in upper and lower airways. Allergol. Int. 2015, 64, 131–138. [Google Scholar] [CrossRef]
- Gevaert, P.; Van Bruaene, N.; Cattaert, T.; Van Steen, K.; Van Zele, T.; Acke, F.; De Ruyck, N.; Blomme, K.; Sousa, A.R.; Marshall, R.P.; et al. Mepolizumab, a humanized anti-IL-5 mAb, as a treatment option for severe nasal polyposis. J. Allergy Clin. Immunol. 2011, 128, 989–995.e8. [Google Scholar] [CrossRef]
- Koyama, T.; Kariya, S.; Sato, Y.; Gion, Y.; Higaki, T.; Haruna, T.; Fujiwara, T.; Minoura, A.; Takao, S.; Orita, Y.; et al. Significance of IgG4-positive cells in severe eosinophilic chronic rhinosinusitis. Allergol. Int. 2018. [Google Scholar] [CrossRef]
- Padia, R.; Curtin, K.; Peterson, K.; Orlandi, R.R.; Alt, J. Eosinophilic esophagitis strongly linked to chronic rhinosinusitis. Laryngoscope 2016, 126, 1279–1283. [Google Scholar] [CrossRef]
- Wise, S.K.; Lin, S.Y.; Toskala, E.; Orlandi, R.R.; Akdis, C.A.; Alt, J.A.; Azar, A.; Baroody, F.M.; Bachert, C.; Canonica, G.W.; et al. International consensus statement on allergy and rhinology: Allergic rhinitis. Int. Forum. Allergy Rhinol. 2018, 8, 108–352. [Google Scholar] [CrossRef]
- Alexander, E.S.; Martin, L.J.; Collins, M.H.; Kottyan, L.C.; Sucharew, H.; He, H.; Mukkada, V.A.; Succop, P.A.; Abonia, J.P.; Foote, H.; et al. Twin and family studies reveal strong environmental and weaker genetic cues explaining heritability of eosinophilic esophagitis. J. Allergy Clin. Immunol. 2014, 134, 1084–1092.e1. [Google Scholar] [CrossRef]
- Karkos, P.D.; Srivastava, R.; Kaptanis, S.; Vaughan, C. Eosinophilic esophagitis for the otolaryngologist. Int. J. Otolaryngol. 2012, 2012, 181402. [Google Scholar] [CrossRef]







| Groups | Non-CRS (UT) | CRSsNP (UT) | Non-ECRS (NP) | Mild ECRS (NP) | Moderate ECRS (NP) | Severe ECRS (NP) |
|---|---|---|---|---|---|---|
| Number | 13 | 14 | 27 | 8 | 12 | 10 |
| Age (years old) | 61.4 (41–92) | 60.5 (35–75) | 57.6 (36–84) | 56.8 (34–70) | 52.5 (32–78) | 49.5 (33–74) |
| Sex (female/male) | 9/4 | 6/8 | 8/19 | 2/6 | 5/7 | 3/7 |
| Blood eosinophil rate (%) | 2.1 (0–5.9) | 2.5 (0.8–8.6) | 3.2 (0.1–7.3) | 3.8 (2.6–4.7) | 5.6 (1.7–7.9) | 10.8 (4.6–22.8) |
| Serum total IgE (IU/mL) | 34.5 (2–99) | 141.7 (4–923) | 164.6 (4–1322) | 150.4 (10–452) | 256.4 (34–1768) | 476.2 (34–1899) |
| FEV1/FVC ratio (%) | 83.8 (68.7–92.7) | 77.3 (66.5–84.7) | 78.3 (47.2–91.9) | 76.3 (73.2–86.4) | 76.0 (49.2–92.3) | 72.8 (52.6–89.5) |
| CT grading score (Lund–Mackay) | 1.9 (1–3) | 6.5 (1–14) | 13.4 (3–24) | 14.3 (8–22) | 13.4 (7–21) | 16.6 (10–24) |
| Comorbidity of asthma (n) | 0 | 0 | 5 | 0 | 5 | 10 |
| Comorbidity of NSAIDs intolerance (n) | 0 | 0 | 2 | 0 | 1 | 3 |
© 2020 by the authors. Licensee MDPI, Basel, Switzerland. This article is an open access article distributed under the terms and conditions of the Creative Commons Attribution (CC BY) license (http://creativecommons.org/licenses/by/4.0/).
Share and Cite
Gion, Y.; Okano, M.; Koyama, T.; Oura, T.; Nishikori, A.; Orita, Y.; Tachibana, T.; Marunaka, H.; Makino, T.; Nishizaki, K.; et al. Clinical Significance of Cytoplasmic IgE-Positive Mast Cells in Eosinophilic Chronic Rhinosinusitis. Int. J. Mol. Sci. 2020, 21, 1843. https://doi.org/10.3390/ijms21051843
Gion Y, Okano M, Koyama T, Oura T, Nishikori A, Orita Y, Tachibana T, Marunaka H, Makino T, Nishizaki K, et al. Clinical Significance of Cytoplasmic IgE-Positive Mast Cells in Eosinophilic Chronic Rhinosinusitis. International Journal of Molecular Sciences. 2020; 21(5):1843. https://doi.org/10.3390/ijms21051843
Chicago/Turabian StyleGion, Yuka, Mitsuhiro Okano, Takahisa Koyama, Tokie Oura, Asami Nishikori, Yorihisa Orita, Tomoyasu Tachibana, Hidenori Marunaka, Takuma Makino, Kazunori Nishizaki, and et al. 2020. "Clinical Significance of Cytoplasmic IgE-Positive Mast Cells in Eosinophilic Chronic Rhinosinusitis" International Journal of Molecular Sciences 21, no. 5: 1843. https://doi.org/10.3390/ijms21051843
APA StyleGion, Y., Okano, M., Koyama, T., Oura, T., Nishikori, A., Orita, Y., Tachibana, T., Marunaka, H., Makino, T., Nishizaki, K., & Sato, Y. (2020). Clinical Significance of Cytoplasmic IgE-Positive Mast Cells in Eosinophilic Chronic Rhinosinusitis. International Journal of Molecular Sciences, 21(5), 1843. https://doi.org/10.3390/ijms21051843

