Secondhand Smoke Induces Liver Steatosis through Deregulation of Genes Involved in Hepatic Lipid Metabolism
Abstract
1. Introduction
2. Results
2.1. Genome-Wide Gene Expression Changes in the Liver of Secondhand Smoke (SHS)-Exposed Mice
2.2. Modulation of Functional Networks and Biological Pathways in SHS-Exposed Mice
2.3. Initiation and Progression of Liver Steatosis in SHS-Exposed Mice
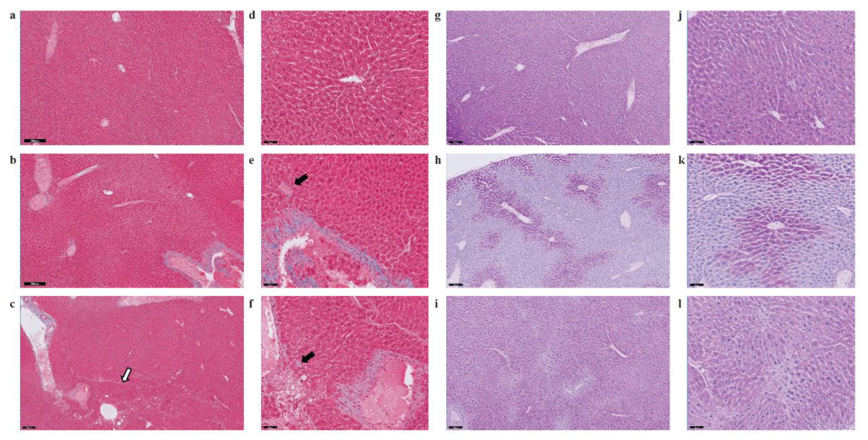
2.4. Histopathological Evaluation of Liver Injury in SHS-Exposed Mice
2.5. Validation of Genome-Wide Gene Expression Data by Reverse Transcription-Quantitative PCR (RT-qPCR)
3. Discussion
4. Materials and Methods
4.1. Animal Care and Maintenance
4.2. Smoking Machine and SHS Exposure
4.3. Study Design
4.4. Genome-Wide Gene Expression Analysis
4.5. Gene Ontology and Canonical Pathways Analysis
4.6. Histological Examination
4.7. Reverse Transcription Quantitative PCR (RT-qPCR)
5. Conclusions
Supplementary Materials
Author Contributions
Acknowledgments
Conflicts of Interest
Abbreviations
| AMPK | AMP-activated kinase |
| APR | Acute Phase Response |
| CHUK | Component of inhibitor of nuclear factor kappa B kinase complex |
| DAVID | Database for Annotation, Visualization and Integrated Discovery |
| DEGs | Differentially expressed genes |
| Elovl3 | Elongation of very long chain fatty acids (FEN1/Elo2, SUR4/Elo3, yeast)-like 3 |
| FOXO3 | Forkhead box O3 |
| GO | Gene Ontology |
| Gapdh | Glyceraldehyde-3-phosphate dehydrogenase |
| H&E | hematoxylin and eosin |
| Hmox1 | Heme oxygenase 1 |
| Hnf6/Onecut1 | Hepatocyte nuclear factor 6 |
| HEPA | High-efficiency particulate air |
| IPA | Ingenuity Pathway Analysis |
| IKBKB | Inhibitor of nuclear factor kappa B kinase subunit beta |
| IKBKG | Inhibitor of nuclear factor kappa B kinase regulatory subunit gamma |
| IACUC | Institutional Animal Care and Use Committee |
| IGF | Insulin-like growth factor |
| IL-1 | interleukin-1 |
| Lpin1 | Lipin 1 |
| LPS | lipopolysaccharide |
| NAFLD | Non-alcoholic fatty liver disease |
| MTs | Metallothioneins |
| Mt1 | Metallothionein 1 |
| NFKBIA | NFKB inhibitor alpha |
| NF-κB | Nuclear factor kappa B |
| NFKB1 | Nuclear factor kappa B subunit 1 |
| ORO | Oil Red O |
| PAS | Periodic Acid-Schiff |
| PCA | principal component analysis |
| PPARα | Peroxisome proliferator-activated receptor α |
| PGC-1α | PPARγ coactivator 1α |
| RELA | RELA proto-oncogene |
| RXR | NF-κB subunit Retinoid X Receptor |
| Per1 | Period circadian clock 1 |
| SHS | Secondhand smoke |
| ROS | Reactive oxygen species |
| Rgs16 | Regulator of G-protein signaling 16 |
| RT-qPCR | Reverse transcription quantitative polymerase chain reaction |
| SP1 | Sp1 transcription factor |
| STAT1 | Signal transducer and activator of transcription 1 |
| SREBPs | Sterol regulatory elements binding sites for proteins |
| SREBP-1c | Sterol regulatory element binding protein-1c |
| TSP | Total suspended particulate |
| Tsc22d3 | TSC22 domain family, member 3 |
| TP53 | Tumor protein p53 |
| Usp2 | Ubiquitin specific peptidase 2 |
References
- Byrne, C.D.; Targher, G. NAFLD: A multisystem disease. J. Hepatol. 2015, 62, S47–S64. [Google Scholar] [CrossRef] [PubMed]
- Younossi, Z.M.; Koenig, A.B.; Abdelatif, D.; Fazel, Y.; Henry, L.; Wymer, M. Global epidemiology of nonalcoholic fatty liver disease-Meta-analytic assessment of prevalence, incidence, and outcomes. Hepatology 2016, 64, 73–84. [Google Scholar] [CrossRef]
- Neuschwander-Tetri, B.A. Fatty liver and the metabolic syndrome. Curr. Opin. Gastroenterol. 2007, 23, 193–198. [Google Scholar] [CrossRef] [PubMed]
- Takahashi, Y.; Fukusato, T. Pediatric nonalcoholic fatty liver disease: Overview with emphasis on histology. World J. Gastroenterol. 2010, 16, 5280–5285. [Google Scholar] [CrossRef]
- Ofosu, A.; Ramai, D.; Reddy, M. Non-alcoholic fatty liver disease: Controlling an emerging epidemic, challenges, and future directions. Ann. Gastroenterol. 2018, 31, 288–295. [Google Scholar] [CrossRef]
- Kawano, Y.; Cohen, D.E. Mechanisms of hepatic triglyceride accumulation in non-alcoholic fatty liver disease. J. Gastroenterol. 2013, 48, 434–441. [Google Scholar] [CrossRef]
- Mashek, D.G.; Khan, S.A.; Sathyanarayan, A.; Ploeger, J.M.; Franklin, M.P. Hepatic lipid droplet biology: Getting to the root of fatty liver. Hepatology 2015, 62, 964–967. [Google Scholar] [CrossRef]
- Zoller, H.; Tilg, H. Nonalcoholic fatty liver disease and hepatocellular carcinoma. Metabolism 2016, 65, 1151–1160. [Google Scholar] [CrossRef]
- Armstrong, L.E.; Guo, G.L. Understanding Environmental Contaminants’ Direct Effects on Non-alcoholic Fatty Liver Disease Progression. Curr. Environ. Health Rep. 2019, 6, 95–104. [Google Scholar] [CrossRef]
- Klaunig, J.E.; Li, X.; Wang, Z. Role of xenobiotics in the induction and progression of fatty liver disease. Toxicol. Res. (Camb.) 2018, 7, 664–680. [Google Scholar] [CrossRef]
- VoPham, T. Environmental risk factors for liver cancer and nonalcoholic fatty liver disease. Curr. Epidemiol. Rep. 2019, 6, 50–66. [Google Scholar] [CrossRef] [PubMed]
- Tommasi, S.; Besaratinia, A. DNA Hydroxymethylation at the Interface of the Environment and Nonalcoholic Fatty Liver Disease. Int. J. Environ. Res. Public Health 2019, 16, 2791. [Google Scholar] [CrossRef] [PubMed]
- Hamabe, A.; Uto, H.; Imamura, Y.; Kusano, K.; Mawatari, S.; Kumagai, K.; Kure, T.; Tamai, T.; Moriuchi, A.; Sakiyama, T.; et al. Impact of cigarette smoking on onset of nonalcoholic fatty liver disease over a 10-year period. J. Gastroenterol. 2011, 46, 769–778. [Google Scholar] [CrossRef] [PubMed]
- Chang, Y.; Jung, H.S.; Yun, K.E.; Cho, J.; Cho, Y.K.; Ryu, S. Cohort study of non-alcoholic fatty liver disease, NAFLD fibrosis score, and the risk of incident diabetes in a Korean population. Am. J. Gastroenterol. 2013, 108, 1861–1868. [Google Scholar] [CrossRef]
- Oniki, K.; Hori, M.; Saruwatari, J.; Morita, K.; Kajiwara, A.; Sakata, M.; Mihara, S.; Ogata, Y.; Nakagawa, K. Interactive effects of smoking and glutathione S-transferase polymorphisms on the development of non-alcoholic fatty liver disease. Toxicol. Lett. 2013, 220, 143–149. [Google Scholar] [CrossRef]
- Okamoto, M.; Miyake, T.; Kitai, K.; Furukawa, S.; Yamamoto, S.; Senba, H.; Kanzaki, S.; Deguchi, A.; Koizumi, M.; Ishihara, T.; et al. Cigarette smoking is a risk factor for the onset of fatty liver disease in nondrinkers: A longitudinal cohort study. PLoS ONE 2018, 13, e0195147. [Google Scholar] [CrossRef]
- Kato, A.; Li, Y.; Ota, A.; Naito, H.; Yamada, H.; Nihashi, T.; Hotta, Y.; Chiang, C.; Hirakawa, Y.; Aoyama, A.; et al. Smoking results in accumulation of ectopic fat in the liver. Diabetes Metab. Syndr. Obes. 2019, 12, 1075–1080. [Google Scholar] [CrossRef]
- Zein, C.O.; Unalp, A.; Colvin, R.; Liu, Y.C.; McCullough, A.J. Nonalcoholic Steatohepatitis Clinical Research Network. Smoking and severity of hepatic fibrosis in nonalcoholic fatty liver disease. J. Hepatol. 2011, 54, 753–759. [Google Scholar] [CrossRef]
- Huang, C.W.; Horng, C.T.; Huang, C.Y.; Cho, T.H.; Tsai, Y.C.; Chen, L.J.; Hsu, T.C. Tzang BS Secondhand smoke induces hepatic apoptosis and fibrosis in hamster fetus. Hum. Exp. Toxicol. 2016, 35, 1005–1015. [Google Scholar] [CrossRef]
- Al-Sayed, E.M.; Ibrahim, K.S. Second-hand tobacco smoke and children. Toxicol. Ind. Health 2014, 30, 635–644. [Google Scholar] [CrossRef]
- Lin, C.; Rountree, C.B.; Methratta, S.; LaRusso, S.; Kunselman, A.R.; Spanier, A.J. Secondhand tobacco exposure is associated with nonalcoholic fatty liver disease in children. Environ. Res. 2014, 132, 264–268. [Google Scholar] [CrossRef] [PubMed]
- Liu, Y.; Dai, M.; Bi, Y.; Xu, M.; Xu, Y.; Li, M.; Wang, T.; Huang, F.; Xu, B.; Zhang, J.; et al. Active smoking, passive smoking, and risk of nonalcoholic fatty liver disease (NAFLD): A population-based study in China. J. Epidemiol. 2013, 23, 115–121. [Google Scholar] [CrossRef] [PubMed]
- Rezayat, A.A.; Moghadam, M.D.; Nour, M.G.; Shirazinia, M.; Ghodsi, H.; Rouhbakhsh Zahmatkesh, M.R.; Noghabi, M.T.; Hoseini, B.; Rezayat, K.A. Association between smoking and non-alcoholic fatty liver disease: A systematic review and meta-analysis. SAGE Open Med. 2018, 6, 2050312117745223. [Google Scholar]
- Azzalini, L.; Ferrer, E.; Ramalho, L.N.; Moreno, M.; Domínguez, M.; Colmenero, J.; Peinado, V.I.; Barberà, J.A.; Arroyo, V.; Ginès, P.; et al. Cigarette smoking exacerbates nonalcoholic fatty liver disease in obese rats. Hepatology 2010, 51, 1567–1576. [Google Scholar] [CrossRef] [PubMed]
- De la Monte, S.M.; Tong, M.; Agarwal, A.R.; Cadenas, E. Tobacco Smoke-Induced Hepatic Injury with Steatosis, Inflammation, and Impairments in Insulin and Insulin-Like Growth Factor Signaling. J. Clin. Exp. Pathol. 2016, 6, 269. [Google Scholar] [CrossRef] [PubMed]
- Yuan, H.; Shyy, J.Y.; Martins-Green, M. Second-hand smoke stimulates lipid accumulation in the liver by modulating AMPK and SREBP-1. J. Hepatol. 2009, 51, 535–547. [Google Scholar] [CrossRef]
- Zein, C.O. Clearing the smoke in chronic liver diseases. Hepatology 2010, 51, 1487–1490. [Google Scholar] [CrossRef]
- Yuan, H.; Wong, L.S.; Bhattacharya, M.; Ma, C.; Zafarani, M.; Yao, M.; Schneider, M.; Pitas, R.E.; Martins-Green, M. The effects of second-hand smoke on biological processes important in atherogenesis. BMC Cardiovasc. Disord. 2007, 7, 1. [Google Scholar] [CrossRef]
- Kim, S.I.; Arlt, V.M.; Yoon, J.I.; Cole, K.J.; Pfeifer, G.P.; Phillips, D.H.; Besaratinia, A. Whole body exposure of mice to secondhand smoke induces dose-dependent and persistent promutagenic DNA adducts in the lung. Mutat. Res. 2011, 716, 92–98. [Google Scholar] [CrossRef]
- Kim, S.I.; Yoon, J.I.; Tommasi, S.; Besaratinia, A. New experimental data linking secondhand smoke exposure to lung cancer in nonsmokers. FASEB J. 2012, 26, 1845–1854. [Google Scholar] [CrossRef]
- Tommasi, S.; Zheng, A.; Yoon, J.I.; Li, A.X.; Wu, X.; Besaratinia, A. Whole DNA methylome profiling in mice exposed to secondhand smoke. Epigenetics 2012, 7, 1302–1314. [Google Scholar] [CrossRef] [PubMed]
- Tommasi, S.; Zheng, A.; Besaratinia, A. Exposure of mice to secondhand smoke elicits both transient and long-lasting transcriptional changes in cancer-related functional networks. Int. J. Cancer 2015, 136, 2253–2263. [Google Scholar] [CrossRef] [PubMed]
- Sundar, I.K.; Yao, H.; Rahman, I. Oxidative stress and chromatin remodeling in chronic obstructive pulmonary disease and smoking-related diseases. Antioxid. Redox Signal. 2013, 18, 1956–1971. [Google Scholar] [CrossRef] [PubMed]
- Izzotti, A.; Pulliero, A. Molecular damage and lung tumors in cigarette smoke-exposed mice. Ann. N. Y. Acad. Sci. 2015, 1340, 75–83. [Google Scholar] [CrossRef]
- Strnad, P.; Tacke, F.; Koch, A.; Trautwein, C. Liver—Guardian, modifier and target of sepsis. Nat. Rev. Gastroenterol. Hepatol. 2017, 14, 55–66. [Google Scholar] [CrossRef]
- Huang, W.C.; Hung, M.C. Beyond NF-kappaB activation: Nuclear functions of IkappaB kinase alpha. J. Biomed. Sci. 2013, 20, 3. [Google Scholar] [CrossRef]
- Luedde, T.; Schwabe, R.F. NF-kappaB in the liver—Linking injury, fibrosis and hepatocellular carcinoma. Nat. Rev. Gastroenterol. Hepatol. 2011, 8, 108–118. [Google Scholar] [CrossRef]
- Mallat, A.; Lotersztajn, S. Cigarette smoke exposure: A novel cofactor of NAFLD progression? J. Hepatol. 2009, 51, 430–432. [Google Scholar] [CrossRef][Green Version]
- Ogrodnik, M.; Miwa, S.; Tchkonia, T.; Tiniakos, D.; Wilson, C.L.; Lahat, A.; Day, C.P.; Burt, A.; Palmer, A.; Anstee, Q.M.; et al. Cellular senescence drives age-dependent hepatic steatosis. Nat. Commun. 2017, 8, 15691. [Google Scholar] [CrossRef]
- Kaser, S.; Moschen, A.; Cayon, A.; Kaser, A.; Crespo, J.; Pons-Romero, F.; Ebenbichler, C.F.; Patsch, J.R.; Tilg, H. Adiponectin and its receptors in non-alcoholic steatohepatitis. Gut 2005, 54, 117–121. [Google Scholar] [CrossRef]
- Karczewski, K.J.; Dudley, J.T.; Kukurba, K.R.; Chen, R.; Butte, A.J.; Montgomery, S.B.; Snyder, M. Systematic functional regulatory assessment of disease-associated variants. Proc. Natl. Acad. Sci. USA 2013, 110, 9607–9612. [Google Scholar] [CrossRef] [PubMed]
- Irimia, J.M.; Meyer, C.M.; Segvich, D.M.; Surendran, S.; DePaoli-Roach, A.A.; Morral, N.; Roach, P.J. Lack of liver glycogen causes hepatic insulin resistance and steatosis in mice. J. Biol. Chem. 2017, 292, 10455–10464. [Google Scholar] [CrossRef] [PubMed]
- Pashkov, V.; Huang, J.; Parameswara, V.K.; Kedzierski, W.; Kurrasch, D.M.; Tall, G.G.; Esser, V.; Gerard, R.D.; Uyeda, K.; Towle, H.C.; et al. Regulator of G protein signaling (RGS16) inhibits hepatic fatty acid oxidation in a carbohydrate response element-binding protein (ChREBP)-dependent manner. J. Biol. Chem. 2011, 286, 15116–15125. [Google Scholar] [CrossRef]
- Finck, B.N.; Gropler, M.C.; Chen, Z.; Leone, T.C.; Croce, M.A.; Harris, T.E.; Lawrence, J.C., Jr.; Kelly, D.P. Lipin 1 is an inducible amplifier of the hepatic PGC-1alpha/PPARalpha regulatory pathway. Cell Metab. 2006, 4, 199–210. [Google Scholar] [CrossRef]
- Han, G.S.; Wu, W.I.; Carman, G.M. The Saccharomyces cerevisiae Lipin homolog is a Mg2+-dependent phosphatidate phosphatase enzyme. J. Biol. Chem. 2006, 281, 9210–9218. [Google Scholar] [CrossRef]
- Bi, L.; Jiang, Z.; Zhou, J. The role of lipin-1 in the pathogenesis of alcoholic fatty liver. Alcohol. Alcohol. 2015, 50, 146–151. [Google Scholar] [CrossRef]
- Ruttkay-Nedecky, B.; Nejdl, L.; Gumulec, J.; Zitka, O.; Masarik, M.; Eckschlager, T.; Stiborova, M.; Adam, V.; Kizek, R. The role of metallothionein in oxidative stress. Int. J. Mol. Sci. 2013, 14, 6044–6066. [Google Scholar] [CrossRef]
- Wang, M.; Chen, M.; Zheng, G.; Dillard, B.; Tallarico, M.; Ortiz, Z.; Holterman, A.X. Transcriptional activation by growth hormone of HNF-6-regulated hepatic genes, a potential mechanism for improved liver repair during biliary injury in mice. Am. J. Physiol. Gastrointest. Liver Physiol. 2008, 295, G357–G366. [Google Scholar] [CrossRef]
- Zadravec, D.; Brolinson, A.; Fisher, R.M.; Carneheim, C.; Csikasz, R.I.; Bertrand-Michel, J.; Borén, J.; Guillou, H.; Rudling, M.; Jacobsson, A. Ablation of the very-long-chain fatty acid elongase ELOVL3 in mice leads to constrained lipid storage and resistance to diet-induced obesity. FASEB J. 2010, 24, 4366–4377. [Google Scholar] [CrossRef]
- Besaratinia, A.; Pfeifer, G.P. Applications of the human p53 knock-in (Hupki) mouse model for human carcinogen testing. FASEB J. 2010, 24, 2612–2619. [Google Scholar] [CrossRef]
- Hecht, S.S. Tobacco carcinogens, their biomarkers and tobacco-induced cancer. Nat. Rev. Cancer 2003, 3, 733–744. [Google Scholar] [CrossRef]
- Huang, S.; Sun, C.; Hou, Y.; Tang, Y.; Zhu, Z.; Zhang, Z.; Zhang, Y.; Wang, L.; Zhao, Q.; Chen, M.G.; et al. A comprehensive bioinformatics analysis on multiple Gene Expression Omnibus datasets of nonalcoholic fatty liver disease and nonalcoholic steatohepatitis. Sci. Rep. 2018, 8, 7630. [Google Scholar] [CrossRef] [PubMed]
- Tergaonkar, V.; Perkins, N.D. p53 and NF-kappaB crosstalk: IKKalpha tips the balance. Mol. Cell 2007, 26, 158–159. [Google Scholar] [CrossRef] [PubMed]
- Buckbinder, L.; Velasco-Miguel, S.; Chen, Y.; Xu, N.; Talbott, R.; Gelbert, L.; Gao, J.; Seizinger, B.R.; Gutkind, J.S.; Kley, N. The p53 tumor suppressor targets a novel regulator of G protein signaling. Proc. Natl. Acad. Sci. USA 1997, 94, 7868–7872. [Google Scholar] [CrossRef] [PubMed]
- Carper, M.B.; Denvir, J.; Boskovic, G.; Primerano, D.A.; Claudio, P.P. RGS16, a novel p53 and pRb cross-talk candidate inhibits migration and invasion of pancreatic cancer cells. Genes Cancer 2014, 5, 420–435. [Google Scholar]
- Assaily, W.; Rubinger, D.A.; Wheaton, K.; Lin, Y.; Ma, W.; Xuan, W.; Brown-Endres, L.; Tsuchihara, K.; Mak, T.W.; Benchimol, S. ROS-mediated p53 induction of Lpin1 regulates fatty acid oxidation in response to nutritional stress. Mol. Cell 2011, 44, 491–501. [Google Scholar] [CrossRef]
- Seo, Y.K.; Chong, H.K.; Infante, A.M.; Im, S.-S.; Xie, X.; Osborne, T.F. Genome-wide analysis of SREBP-1 binding in mouse liver chromatin reveals a preference for promoter proximal binding to a new motif. Proc. Natl. Acad. Sci. USA 2009, 106, 13765–13769. [Google Scholar] [CrossRef]
- Goldstein, I.; Ezra, O.; Rivlin, N.; Molchadsky, A.; Madar, S.; Goldfinger, N.; Rotter, V. p53, a novel regulator of lipid metabolism pathways. J. Hepatol. 2012, 56, 656–662. [Google Scholar] [CrossRef]
- Goldstein, I.; Rotter, V. Regulation of lipid metabolism by p53—Fighting two villains with one sword. Trends Endocrinol. Metab. 2012, 23, 567–575. [Google Scholar] [CrossRef]
- Parrales, A.; Iwakuma, T. p53 as a Regulator of Lipid Metabolism in Cancer. Int. J. Mol. Sci. 2016, 17, 2074. [Google Scholar] [CrossRef]
- Berkers, C.R.; Maddocks, O.D.; Cheung, E.C.; Mor, I.; Vousden, K.H. Metabolic regulation by p53 family members. Cell Metab. 2013, 18, 617–633. [Google Scholar] [CrossRef] [PubMed]
- Council, N.R. Guide for the Care and Use of Laboratory Animals, 8th ed.; The National Academies Press: Washington, DC, USA, 2011. [Google Scholar]
- D’Agostini, F.; Izzotti, A.; Balansky, R.; Zanesi, N.; Croce, C.M.; De Flora, S. Early loss of Fhit in the respiratory tract of rodents exposed to environmental cigarette smoke. Cancer Res. 2006, 66, 3936–3941. [Google Scholar] [CrossRef] [PubMed]
- Besaratinia, A.; Pfeifer, G.P. Second-hand smoke and human lung cancer. Lancet Oncol. 2008, 9, 657–666. [Google Scholar] [CrossRef]
- Tommasi, S.; Zheng, A.; Yoon, J.I.; Besaratinia, A. Epigenetic targeting of the Nanog pathway and signaling networks during chemical carcinogenesis. Carcinogenesis 2014, 35, 1726–1736. [Google Scholar] [CrossRef] [PubMed]
- Tommasi, S.; Zheng, A.; Besaratinia, A. Expression of epigenetic modifiers is not significantly altered by exposure to secondhand smoke. Lung Cancer 2015, 90, 598–603. [Google Scholar] [CrossRef] [PubMed]
- Tommasi, S.; Zheng, A.; Weninger, A.; Bates, S.E.; Li, X.A.; Wu, X.; Hollstein, M.; Besaratinia, A. Mammalian cells acquire epigenetic hallmarks of human cancer during immortalization. Nucleic Acids Res. 2013, 41, 182–195. [Google Scholar] [CrossRef]
- Huang da, W.; Sherman, B.T.; Lempicki, R.A. Systematic and integrative analysis of large gene lists using DAVID bioinformatics resources. Nat. Protoc. 2009, 4, 44–57. [Google Scholar] [CrossRef]
- Mehlem, A.; Hagberg, C.E.; Muhl, L.; Eriksson, U.; Falkevall, A. Imaging of neutral lipids by oil red O for analyzing the metabolic status in health and disease. Nat. Protoc. 2013, 8, 1149–1154. [Google Scholar] [CrossRef]
- Krishna, M. Role of special stains in diagnostic liver pathology. Clin. Liver Dis. (Hoboken) 2013, 2, S8–S10. [Google Scholar] [CrossRef]
- Cardiff, R.D.; Miller, C.H.; Munn, R.J. Manual hematoxylin and eosin staining of mouse tissue sections. Cold Spring Harb. Protoc. 2014, 2014, 655–658. [Google Scholar] [CrossRef]






| Expression 1 Log Ratio | ID | D 2 | Symbol 3 | Entrez Gene Name | Location |
|---|---|---|---|---|---|
| 3.543 | 1426037_a_at | D | RGS16 * | regulator of G-protein signaling 16 | Cytoplasm |
| 3.466 | 1422557_s_at | D | Mt1 | metallothionein 1 | Cytoplasm |
| 3.26 | 1428942_at | Mt2 | metallothionein 2 | Other | |
| 3.245 | 1417168_a_at | D | USP2 | ubiquitin specific peptidase 2 | Cytoplasm |
| 2.943 | 1422257_s_at | D | CYP2B6 | cytochrome P450 family 2 subfamily B member 6 | Cytoplasm |
| 2.387 | 1442025_a_at | D | ZBTB16 | zinc finger and BTB domain containing 16 | Nucleus |
| 2.265 | 1418288_at | D | LPIN1 * | lipin 1 | Nucleus |
| 2.221 | 1427747_a_at | LCN2 | lipocalin 2 | Extracellular Space | |
| 2.174 | 1428223_at | MFSD2A * | major facilitator superfamily domain containing 2A | Plasma Membrane | |
| 2.168 | 1443147_at | D | ACOT1 * | acyl-CoA thioesterase 1 | Cytoplasm |
| 2.095 | 1416125_at | FKBP5 | FK506 binding protein 5 | Nucleus | |
| 1.956 | 1435188_at | CIART | circadian associated repressor of transcription | Nucleus | |
| 1.933 | 1425837_a_at | NOCT * | nocturnin | Nucleus | |
| 1.922 | 1451190_a_at | D | SBK1 | SH3 domain binding kinase 1 | Other |
| 1.87 | 1428923_at | PPP1R3G | protein phosphatase 1 regulatory subunit 3G | Cytoplasm | |
| 1.864 | 1451548_at | D | UPP2 | uridine phosphorylase 2 | Cytoplasm |
| 1.774 | 1460241_a_at | D | ST3GAL5 | ST3 beta-galactoside alpha-2,3-sialyltransferase 5 | Cytoplasm |
| 1.759 | 1419590_at | Cyp2b13/Cyp2b9 | cytochrome P450, family 2, subfamily b, polypeptide 9 | Cytoplasm | |
| 1.707 | 1416432_at | PFKFB3 | 6-phosphofructo-2-kinase/fructose-2,6-biphosphatase 3 | Cytoplasm | |
| 1.61 | 1429144_at | D | GPCPD1 | glycerophosphocholine phosphodiesterase 1 | Cytoplasm |
| 1.598 | 1434437_x_at | D | RRM2 | ribonucleotide reductase regulatory subunit M2 | Nucleus |
| 1.594 | 1416933_at | POR * | cytochrome p450 oxidoreductase | Cytoplasm | |
| 1.542 | 1439489_at | FFAR4 * | free fatty acid receptor 4 | Plasma Membrane | |
| 1.542 | 1448162_at | VCAM1 | vascular cell adhesion molecule 1 | Plasma Membrane | |
| 1.523 | 1429206_at | RHOBTB1 | Rho related BTB domain containing 1 | Other | |
| 1.518 | 1453023_at | ANKHD1/ANKHD1-EIF4EBP3 | ankyrin repeat and KH domain containing 1 | Other | |
| 1.493 | 1434473_at | SLC16A5 | solute carrier family 16 member 5 | Plasma Membrane | |
| 1.492 | 1417761_at | D | APOA4 | apolipoprotein A4 | Extracellular Space |
| 1.469 | 1417602_at | PER2 | period circadian clock 2 | Nucleus | |
| 1.45 | 1425824_a_at | PCSK4 | proprotein convertase subtilisin/kexin type 4 | Extracellular Space | |
| 1.437 | 1448239_at | HMOX1 * | heme oxygenase 1 | Cytoplasm | |
| 1.433 | 1452416_at | IL6R | interleukin 6 receptor | Plasma Membrane | |
| 1.418 | 1427473_at | Gstm3 | glutathione S-transferase, mu 3 | Cytoplasm | |
| 1.403 | 1449851_at | PER1 | period circadian clock 1 | Nucleus | |
| 1.38 | 1417904_at | DCLRE1A | DNA cross-link repair 1A | Nucleus | |
| 1.336 | 1450505_a_at | D | FAM134B | family with sequence similarity 134, member B | Cytoplasm |
| 1.334 | 1440840_at | SLC16A7 | solute carrier family 16 member 7 | Plasma Membrane | |
| 1.302 | 1423233_at | CEBPD | CCAAT/enhancer binding protein delta | Nucleus | |
| 1.296 | 1416773_at | WEE1 | WEE1 G2 checkpoint kinase | Nucleus | |
| 1.279 | 1435459_at | D | FMO2 | flavin containing monooxygenase 2 | Cytoplasm |
| 1.279 | 1426452_a_at | RAB30 | RAB30, member RAS oncogene family | Cytoplasm | |
| 1.268 | 1421681_at | D | NRG4 | neuregulin 4 | Extracellular Space |
| 1.259 | 1435495_at | ADORA1 * | adenosine A1 receptor | Plasma Membrane | |
| 1.251 | 1426850_a_at | MAP2K6 | mitogen-activated protein kinase kinase 6 | Cytoplasm | |
| 1.247 | 1421852_at | KCNK5 | potassium two pore domain channel subfamily K member 5 | Plasma Membrane | |
| 1.246 | 1443870_at | ABCC4 | ATP binding cassette subfamily C member 4 | Plasma Membrane | |
| 1.242 | 1422230_s_at | CYP2A6 (includes others) | cytochrome P450 family 2 subfamily A member 6 | Cytoplasm | |
| 1.239 | 1458442_at | AI132709 | expressed sequence AI132709 | Other | |
| 1.238 | 1424175_at | TEF | TEF, PAR bZIP transcription factor | Nucleus | |
| 1.231 | 1424744_at | SDS | serine dehydratase | Cytoplasm | |
| 1.213 | 1434292_at | Snhg11 | small nucleolar RNA host gene 11 | Other | |
| 1.212 | 1418780_at | CYP39A1 | cytochrome P450 family 39 subfamily A member 1 | Cytoplasm | |
| 1.207 | 1453410_at | ANGPTL4 | angiopoietin like 4 | Extracellular Space | |
| 1.199 | 1456156_at | LEPR | leptin receptor | Plasma Membrane | |
| 1.198 | 1449565_at | Cyp2g1 | cytochrome P450, family 2, subfamily g, polypeptide 1 | Cytoplasm | |
| 1.198 | 1449498_at | MARCO | macrophage receptor with collagenous structure | Plasma Membrane | |
| 1.197 | 1428352_at | ARRDC2 | arrestin domain containing 2 | Other | |
| 1.185 | 1418595_at | PLIN4 | perilipin 4 | Cytoplasm | |
| 1.178 | 1417042_at | SLC37A4 | solute carrier family 37 member 4 | Cytoplasm | |
| 1.169 | 1426980_s_at | EPOP | elongin BC and polycomb repressive complex 2 associated protein | Other | |
| 1.164 | 1445574_at | D | PPARGC1B * | PPARG coactivator 1 beta | Nucleus |
| 1.162 | 1429809_at | TMTC2 | transmembrane and tetratricopeptide repeat containing 2 | Cytoplasm | |
| 1.152 | 1455958_s_at | PPTC7 | PTC7 protein phosphatase homolog | Cytoplasm | |
| 1.151 | 1431339_a_at | D | EFHD2 | EF-hand domain family member D2 | Other |
| 1.142 | 1428512_at | BHLHB9 | basic helix-loop-helix domain containing, class B, 9 | Cytoplasm | |
| 1.141 | 1455002_at | D | PTP4A1 | protein tyrosine phosphatase type IVA, member 1 | Cytoplasm |
| 1.133 | 1428926_at | D | FBXO31 | F-box protein 31 | Extracellular Space |
| 1.123 | 1416286_at | RGS4 | regulator of G-protein signaling 4 | Cytoplasm | |
| 1.115 | 1432543_a_at | KLF13 | Kruppel like factor 13 | Nucleus | |
| 1.111 | 1434456_at | RUNDC3B | RUN domain containing 3B | Other | |
| 1.108 | 1435860_at | SLC5A6 | solute carrier family 5 member 6 | Plasma Membrane | |
| 1.102 | 1427912_at | CBR3 | carbonyl reductase 3 | Cytoplasm | |
| 1.098 | 1456395_at | D | PPARGC1A * | PPARG coactivator 1 alpha | Nucleus |
| 1.091 | 1454799_at | GPAT3 | glycerol-3-phosphate acyltransferase 3 | Cytoplasm | |
| 1.047 | 1419758_at | ABCB1 | ATP binding cassette subfamily B member 1 | Plasma Membrane | |
| 1.04 | 1423627_at | NQO1 | NAD(P)H quinone dehydrogenase 1 | Cytoplasm | |
| 1.036 | 1438211_s_at | DBP | D-box binding PAR bZIP transcription factor | Nucleus | |
| 1.032 | 1424815_at | GYS2 | glycogen synthase 2 | Cytoplasm | |
| 1.021 | 1448568_a_at | SLC20A1 | solute carrier family 20 member 1 | Plasma Membrane | |
| 1.007 | 1428487_s_at | D | COQ10B | coenzyme Q10B | Cytoplasm |
| 1.007 | 1420772_a_at | TSC22D3 * | TSC22 domain family member 3 | Nucleus | |
| 1.006 | 1433816_at | SLC25A51 | solute carrier family 25 member 51 | Cytoplasm | |
| −1.003 | 1439377_x_at | CDC20 | cell division cycle 20 | Nucleus | |
| −1.006 | 1455293_at | LEO1 | LEO1 homolog, Paf1/RNA polymerase II complex component | Nucleus | |
| −1.008 | 1431056_a_at | LPL * | lipoprotein lipase | Cytoplasm | |
| −1.013 | 1450010_at | HSD17B12 | hydroxysteroid 17-beta dehydrogenase 12 | Cytoplasm | |
| −1.022 | 1417292_at | Ifi47 | interferon gamma inducible protein 47 | Cytoplasm | |
| −1.022 | 1417792_at | ZNF638 | zinc finger protein 638 | Nucleus | |
| −1.027 | 1452445_at | SLC41A2 | solute carrier family 41 member 2 | Plasma Membrane | |
| −1.036 | 1448986_x_at | DNASE2 | deoxyribonuclease 2, lysosomal | Cytoplasm | |
| −1.037 | 1436931_at | RFX4 | regulatory factor X4 | Nucleus | |
| −1.039 | 1450035_a_at | D | PRPF40A | pre-mRNA processing factor 40 homolog A | Nucleus |
| −1.04 | 1428022_at | OBP2B * | odorant binding protein 2B | Extracellular Space | |
| −1.042 | 1427356_at | FAM89A | family with sequence similarity 89 member A | Other | |
| −1.042 | 1424033_at | SRSF7 | serine and arginine rich splicing factor 7 | Nucleus | |
| −1.043 | 1457758_at | ENY2 | ENY2, transcription and export complex 2 subunit | Nucleus | |
| −1.045 | 1416403_at | ABCB10 | ATP binding cassette subfamily B member 10 | Cytoplasm | |
| −1.047 | 1450846_at | BZW1 | basic leucine zipper and W2 domains 1 | Cytoplasm | |
| −1.048 | 1438713_at | RASSF8 | Ras association domain family member 8 | Extracellular Space | |
| −1.051 | 1433515_s_at | D | ETNK1 | ethanolamine kinase 1 | Cytoplasm |
| −1.057 | 1437864_at | ADIPOR2 * | adiponectin receptor 2 | Plasma Membrane | |
| −1.057 | 1451122_at | D | IDI1 | isopentenyl-diphosphate delta isomerase 1 | Cytoplasm |
| −1.061 | 1425206_a_at | UBE3A | ubiquitin protein ligase E3A | Nucleus | |
| −1.073 | 1420379_at | Slco1a1 | solute carrier organic anion transporter family, member 1a1 | Plasma Membrane | |
| −1.077 | 1448183_a_at | HIF1A | hypoxia inducible factor 1 alpha subunit | Nucleus | |
| −1.085 | 1452030_a_at | HNRNPR | heterogeneous nuclear ribonucleoprotein R | Nucleus | |
| −1.085 | 1428372_at | ST5 | suppression of tumorigenicity 5 | Cytoplasm | |
| −1.086 | 1450484_a_at | CMPK2 | cytidine/uridine monophosphate kinase 2 | Cytoplasm | |
| −1.091 | 1431024_a_at | ARID4B | AT-rich interaction domain 4B | Nucleus | |
| −1.108 | 1417832_at | SMC1A | structural maintenance of chromosomes 1A | Nucleus | |
| −1.109 | 1424842_a_at | ARHGAP24 | Rho GTPase activating protein 24 | Cytoplasm | |
| −1.11 | 1455324_at | D | PLCXD2 | phosphatidylinositol specific phospholipase C X domain containing 2 | Other |
| −1.12 | 1426458_at | SLMAP | sarcolemma associated protein | Plasma Membrane | |
| −1.128 | 1438269_at | ZBTB38 | zinc finger and BTB domain containing 38 | Nucleus | |
| −1.131 | 1449931_at | CPEB4 | cytoplasmic polyadenylation element binding protein 4 | Plasma Membrane | |
| −1.136 | 1442537_at | CYP2U1 | cytochrome P450 family 2 subfamily U member 1 | Cytoplasm | |
| −1.158 | 1449854_at | NR0B2 | nuclear receptor subfamily 0 group B member 2 | Nucleus | |
| −1.16 | 1427574_s_at | SH3D19 | SH3 domain containing 19 | Plasma Membrane | |
| −1.165 | 1435775_at | CLOCK | clock circadian regulator | Nucleus | |
| −1.169 | 1429772_at | D | PLXNA2 | plexin A2 | Plasma Membrane |
| −1.171 | 1437932_a_at | CLDN1 | claudin 1 | Plasma Membrane | |
| −1.172 | 1423325_at | PNN | pinin, desmosome associated protein | Plasma Membrane | |
| −1.18 | 1447927_at | D | GBP6 | guanylate binding protein family member 6 | Cytoplasm |
| −1.205 | 1425099_a_at | ARNTL * | aryl hydrocarbon receptor nuclear translocator like | Nucleus | |
| −1.208 | 1444512_at | ARHGAP29 | Rho GTPase activating protein 29 | Cytoplasm | |
| −1.238 | 1442367_at | ATP11C | ATPase phospholipid transporting 11C | Plasma Membrane | |
| −1.27 | 1417982_at | INSIG2 * | insulin induced gene 2 | Cytoplasm | |
| −1.275 | 1427513_at | BC024137 | cDNA sequence BC024137 | Other | |
| −1.276 | 1430896_s_at | NUDT7 | nudix hydrolase 7 | Cytoplasm | |
| −1.289 | 1450090_at | Zfp101 | zinc finger protein 101 | Nucleus | |
| −1.295 | 1449514_at | GRK5 | G protein-coupled receptor kinase 5 | Plasma Membrane | |
| −1.325 | 1421092_at | SERPINA12 | serpin family A member 12 | Cytoplasm | |
| −1.343 | 1423571_at | S1PR1 | sphingosine-1-phosphate receptor 1 | Plasma Membrane | |
| −1.346 | 1420531_at | Hsd3b4 (includes others) | hydroxy-delta-5-steroid dehydrogenase, 3 beta- and steroid delta-isomerase 4 | Cytoplasm | |
| −1.354 | 1422769_at | D | SYNCRIP | synaptotagmin binding cytoplasmic RNA interacting protein | Nucleus |
| −1.379 | 1437581_at | ZNF800 | zinc finger protein 800 | Other | |
| −1.395 | 1430785_at | D | SDR9C7 | short chain dehydrogenase/reductase family 9C member 7 | Other |
| −1.402 | 1426215_at | DDC * | dopa decarboxylase | Cytoplasm | |
| −1.405 | 1426645_at | HSP90AA1 | heat shock protein 90 alpha family class A member 1 | Cytoplasm | |
| −1.434 | 1433446_at | D | HMGCS1 | 3-hydroxy-3-methylglutaryl-CoA synthase 1 | Cytoplasm |
| −1.472 | 1423397_at | UGT2B28 | UDP glucuronosyltransferase family 2, member B28 | Cytoplasm | |
| −1.482 | 1424709_at | D | SC5D | sterol-C5-desaturase | Cytoplasm |
| −1.509 | 1450264_a_at | CHKA | choline kinase alpha | Cytoplasm | |
| −1.554 | 1438751_at | SLC30A10 | solute carrier family 30 member 10 | Other | |
| −1.573 | 1417065_at | EGR1 | early growth response 1 | Nucleus | |
| −1.58 | 1433944_at | HECTD2 | HECT domain E3 ubiquitin protein ligase 2 | Cytoplasm | |
| −1.622 | 1431817_at | Adh6-ps1 | alcohol dehydrogenase 6 (class V), pseudogene 1 | Other | |
| −1.663 | 1439300_at | D | CHIC1 | cysteine rich hydrophobic domain 1 | Plasma Membrane |
| −1.666 | 1427347_s_at | D | TUBB2A | tubulin beta 2A class IIa | Cytoplasm |
| −1.692 | 1450018_s_at | D | SLC25A30 | solute carrier family 25 member 30 | Cytoplasm |
| −1.896 | 1448092_x_at | D | Serpina4-ps1 | serine (or cysteine) peptidase inhibitor, clade A, member 4, pseudogene 1 | Other |
| −2.034 | 1420722_at | ELOVL3 | ELOVL fatty acid elongase 3 | Cytoplasm | |
| −2.382 | 1421447_at | D | ONECUT1 | one cut homeobox 1 | Nucleus |
© 2020 by the authors. Licensee MDPI, Basel, Switzerland. This article is an open access article distributed under the terms and conditions of the Creative Commons Attribution (CC BY) license (http://creativecommons.org/licenses/by/4.0/).
Share and Cite
Tommasi, S.; Yoon, J.-I.; Besaratinia, A. Secondhand Smoke Induces Liver Steatosis through Deregulation of Genes Involved in Hepatic Lipid Metabolism. Int. J. Mol. Sci. 2020, 21, 1296. https://doi.org/10.3390/ijms21041296
Tommasi S, Yoon J-I, Besaratinia A. Secondhand Smoke Induces Liver Steatosis through Deregulation of Genes Involved in Hepatic Lipid Metabolism. International Journal of Molecular Sciences. 2020; 21(4):1296. https://doi.org/10.3390/ijms21041296
Chicago/Turabian StyleTommasi, Stella, Jae-In Yoon, and Ahmad Besaratinia. 2020. "Secondhand Smoke Induces Liver Steatosis through Deregulation of Genes Involved in Hepatic Lipid Metabolism" International Journal of Molecular Sciences 21, no. 4: 1296. https://doi.org/10.3390/ijms21041296
APA StyleTommasi, S., Yoon, J.-I., & Besaratinia, A. (2020). Secondhand Smoke Induces Liver Steatosis through Deregulation of Genes Involved in Hepatic Lipid Metabolism. International Journal of Molecular Sciences, 21(4), 1296. https://doi.org/10.3390/ijms21041296

