Folate-Targeted Transgenic Activity of Dendrimer Functionalized Selenium Nanoparticles In Vitro
Abstract
1. Introduction
2. Results and Discussion
2.1. Nanoparticle Synthesis and Characterization
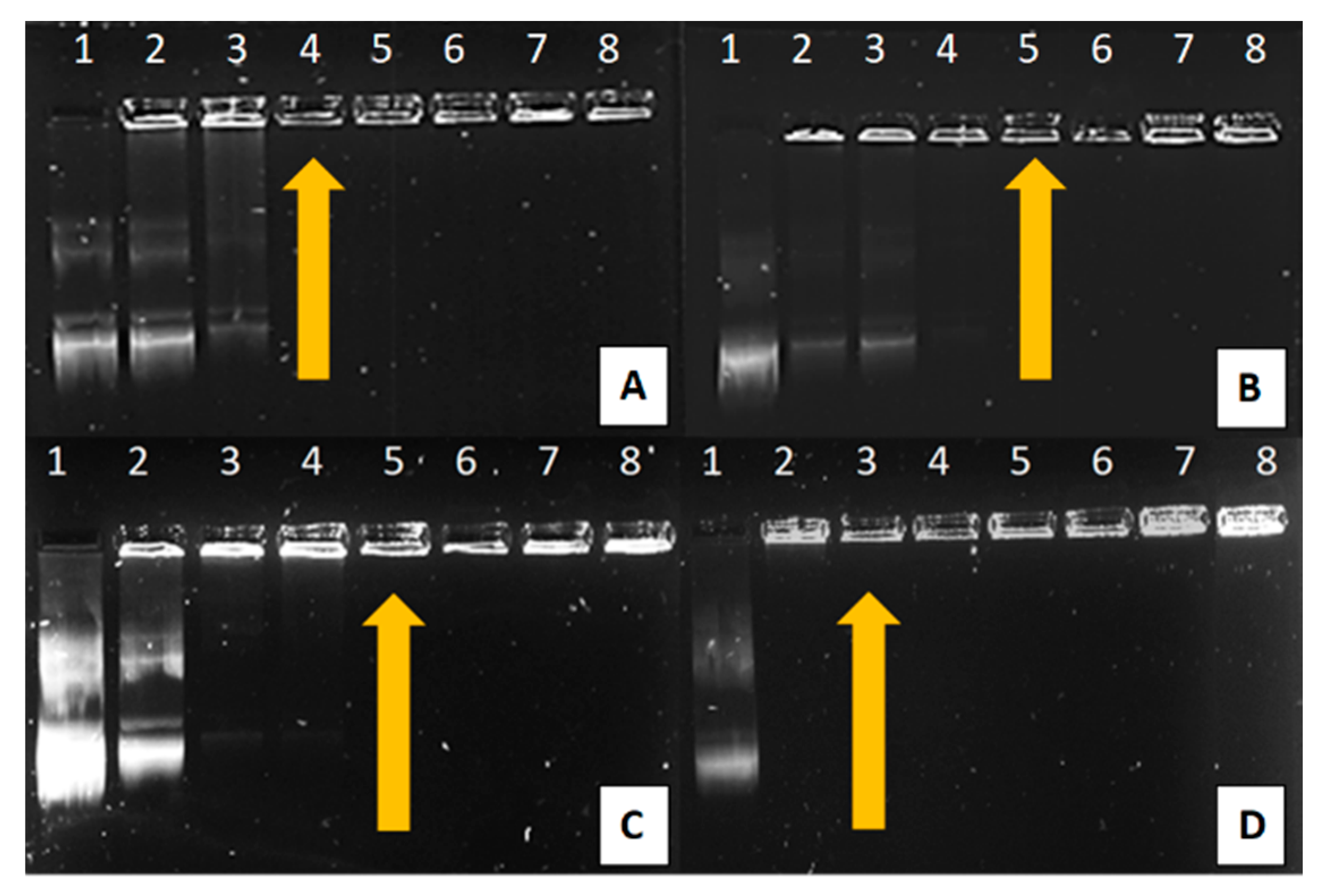
2.2. Band Shift Assay
2.3. Nuclease Protection Assay
2.4. Ethidium Bromide Displacement Assay
2.5. Cytotoxicity Assay
2.6. Apoptosis Assay
2.7. Luciferase Reporter Gene Assay and Receptor-Mediated Uptake
3. Materials and Methods
3.1. Materials
3.2. Synthesis of Selenium Nanoparticles (SeNPs)
3.3. Synthesis of Dendrimer-Encapsulated Selenium Nanoparticles (PAMAM-SeNPs)
3.4. Synthesis of Folate-Targeted Dendrimer Nanoparticles (PAMAM-FA)
3.5. Synthesis of Folate-Targeted Dendrimer-Encapsulated Selenium Nanoparticles (PAMAM-SeNP-FA)
3.6. Preparation of Nanocomplexes
3.7. UV-Visible and Fourier-Transform Infra-Red Spectroscopy (FTIR)
3.8. Nanoparticle Tracking Analysis (NTA) and Transmission Electron Microscopy (TEM)
3.9. Gel Retardation/Band Shift Assay
3.10. Nuclease Protection Assay
3.11. Ethidium Bromide Displacement Assay
3.12. Cytotoxicity Assay
3.13. Apoptosis Assay
3.14. Luciferase Gene Expression and Receptor-Mediated Uptake
3.15. Statistical Analysis
4. Conclusions
Supplementary Materials
Author Contributions
Funding
Acknowledgments
Conflicts of Interest
Abbreviations
| AO | Acridine orange |
| BCA | Bicinchoninic acid |
| DMF | N,N-dimethylformamide |
| DMSO | Dimethylsulfoxide |
| EB | Ethidium bromide |
| EDC | 1-ethyl-3-(3-dimethylaminopropyl) carbodiimide hydrochloride |
| EDTA | Ethylenediaminetetraacetic acid |
| EMEM | Eagles minimum essential medium |
| EPR | Enhanced permeability and retention |
| FA | Folic acid |
| FBS | Foetal bovine serum |
| FR | Folate receptor |
| G5 | Generation 5 |
| HBS | HEPES buffered saline |
| MTT | 3-(4,5-dimethyldiazol-2-yl)-2,5-diphenyltetrazolium bromide |
| NPs | Nanoparticles |
| NTA | Nanoparticle tracking analysis |
| PAMAM | Poly(amidoamine) |
| PAMAM-SeNP | Dendrimer functionalized SeNPs |
| PBS | Phosphate-buffered saline |
| pDNA | Plasmid DNA (specifically referring to pCMV-Luc-DNA in this study) |
| RLU | Relative light units |
| SDS | Sodium dodecyl sulphate |
| SeNPs | Selenium nanoparticles |
| TEM | Transmission electron microscopy |
| WC | With competitor |
| WOC | Without competitor |
References
- Wishart, D. Is Cancer a Genetic Disease or a Metabolic Disease? EBioMedicine 2015, 2, 478–479. [Google Scholar] [CrossRef] [PubMed]
- Martinelli, C.; Pucci, C.; Ciofani, G. Nanostructured carriers as innovative tools for cancer diagnosis and therapy. APL Bioeng. 2019, 3, 011502. [Google Scholar] [CrossRef] [PubMed]
- Aslan, B.; Ozpolat, B.; Sood, A.; Lopez-Berestein, G. Nanotechnology in cancer therapy. J. Drug Target. 2013, 21, 904–913. [Google Scholar] [CrossRef]
- Nobile, S.; Nobile, L. Nanotechnology for biomedical applications: Recent advances in neurosciences and bone tissue engineering. Polym. Eng. Sci. 2017, 57, 644–650. [Google Scholar] [CrossRef]
- Hardee, C.; Arévalo-Soliz, L.; Hornstein, B.; Zechiedrich, L. Advances in Non-Viral DNA Vectors for Gene Therapy. Genes 2017, 8, 65. [Google Scholar] [CrossRef] [PubMed]
- Xia, J.; Li, T.; Lu, C.; Xu, H. Selenium-Containing Polymers: Perspectives toward Diverse Applications in Both Adaptive and Biomedical Materials. Macromolecules 2018, 51, 7435–7455. [Google Scholar] [CrossRef]
- Maiyo, F.; Singh, M. Selenium Nanoparticles: Potential in Cancer Gene and Drug Delivery. Nanomedicine 2017, 12, 1075–1089. [Google Scholar] [CrossRef] [PubMed]
- Bai, K.; Hong, B.; Hong, Z.; Sun, J.; Wang, C. Selenium nanoparticles-loaded chitosan/citrate complex and its protection against oxidative stress in d-galactose-induced aging mice. J. Nanobiotechnol. 2017, 15, 92. [Google Scholar] [CrossRef]
- Gangadoo, S.; Stanley, D.; Hughes, R.; Moore, R.; Chapman, J. The synthesis and characterization of highly stable and reproducible selenium nanoparticles. Inorg. Nano Met. Chem. 2017, 47, 1568–1576. [Google Scholar] [CrossRef]
- Yang, H.; Kao, W.J. Dendrimers for pharmaceutical and biomedical applications. J. Biomater. Sci. Polym. Ed. 2006, 17, 3–19. [Google Scholar] [CrossRef]
- Ahmed, S.; Vepuri, S.; Kalhapure, R.; Govender, T. Interactions of dendrimers with biological drug targets: Reality or mystery-a gap in drug delivery and development research. Biomater. Sci. 2016, 4, 1032–1050. [Google Scholar] [CrossRef] [PubMed]
- Mbatha, L.S.; Maiyo, F.C.; Singh, M. Dendrimer Functionalized Folate-Targeted Gold Nanoparticles for Luciferase Gene Silencing in vitro: A Proof of Principle Study. Acta Pharm. 2019, 69, 49–61. [Google Scholar] [CrossRef] [PubMed]
- Shan, Y.; Luo, T.; Peng, C.; Sheng, R.; Cao, A.; Cao, X.; Shi, X. Gene delivery using dendrimer-entrapped gold nanoparticles as nonviral vectors. Biomaterials 2012, 33, 3025–3035. [Google Scholar] [CrossRef] [PubMed]
- Yang, W.; Cheng, Y.; Xu, T.; Wang, X.; Wen, L. Targeting cancer cells with biotin-dendrimer conjugates. Eur. J. Med. Chem. 2009, 44, 862–868. [Google Scholar] [CrossRef] [PubMed]
- Maiyo, F.; Singh, M. Folate-Targeted mRNA Delivery Using Chitosan Functionalized Selenium Nanoparticles: Potential in Cancer Immunotherapy. Pharmaceuticals 2019, 12, 164. [Google Scholar] [CrossRef]
- Large, D.; Soucy, J.; Hebert, J.; Auguste, D. Advances in Receptor-Mediated, Tumor-Targeted Drug Delivery. Adv. Ther. 2019, 2, 1800091. [Google Scholar] [CrossRef]
- Singh, P.; Gupta, U.; Asthana, A.; Jain, N. Folate and folate-PEG-PAMAM dendrimers: Synthesis, Characterization, and targeted anticancer drug delivery potential in tumor bearing mice. Bioconjug. Chem. 2008, 19, 2239–2252. [Google Scholar] [CrossRef]
- Leroueil, P.; Dimaggio, S.; Leistra, A.; Blanchette, C.; Sinniah, K.; Orr, B.; Holl, M.M.B. Characterization of Folic Acid and Poly(amidoamine) Dendrimer Interactions with Folate Binding Protein: A Force Pulling Study. J. Phys. Chem. B 2015, 119, 11506–11512. [Google Scholar] [CrossRef]
- Yang, C.-L.; Chen, J.-P.; Wei, K.-C.; Chen, J.-Y.; Huang, C.-W.; Liao, Z.-X. Release of Doxorubicin by a Folate-Grafted, Chitosan-Coated Magnetic Nanoparticle. Nanomaterials 2017, 7, 85. [Google Scholar] [CrossRef]
- Samadian, H.; Hosseini-Nami, S.; Kamrava, S.K.; Ghaznavi, H.; Shakeri-Zadeh, A. Folate-conjugated gold nanoparticle as a new nanoplatform for targeted cancer therapy. J. Cancer Res. Clin. 2016, 142, 2217–2229. [Google Scholar] [CrossRef]
- Maiyo, F.; Singh, M. Polymerized Selenium Nanoparticles for Folate-Receptor Targeted Delivery of anti-Luc-siRNA: Potential for Gene Silencing. Biomedicines 2020, 8, 76. [Google Scholar] [CrossRef] [PubMed]
- Mbatha, L.; Singh, M. Starburst Poly(amidoamine) Dendrimer Grafted Gold Nanoparticles as a Scaffold for Folic Acid-Targeted Plasmid DNA Delivery in vitro. J. Nanosci. Nanotechnol. 2019, 19, 1959–1970. [Google Scholar] [CrossRef] [PubMed]
- Chandramohan, S.; Sundar, K.; Muthukumaran, A. Reducing agents influence the shapes of selenium nanoparticles (SeNPs) and subsequently, their antibacterial and antioxidant activity. Mater. Res. Express 2019, 6. [Google Scholar] [CrossRef]
- Behzadi, S.; Serpooshan, V.; Tao, W.; Hamaly, M.; Alkawareek, M.; Dreaden, E.; Mahmoudi, M. Cellular uptake of nanoparticles: Journey inside the cell. Chem. Soc. Rev. 2018, 46, 4218–4244. [Google Scholar] [CrossRef]
- Gunti, L.; Dass, R.S.; Kalagatur, N.K. Phytofabrication of Selenium Nanoparticles from Emblica officinalis Fruit Extract and Exploring Its Biopotential Applications: Antioxidant, Antimicrobial, and Biocompatibility. Front. Microbiol. 2019, 10, 931. [Google Scholar] [CrossRef]
- Boroumand, S.; Safari, M.; Shaabani, E.; Shirzad, M.; Faridi-Majidi, R. Selenium nanoparticles: Synthesis, Characterization and study of their cytotoxicity, antioxidant and antibacterial activity. Mater. Res. Express 2019, 6. [Google Scholar] [CrossRef]
- Zheng, W.; Cao, C.; Liu, Y.; Yu, Q.; Zheng, C.; Sun, D.; Liu, J. Multifunctional polyamidoamine-modified selenium nanoparticles dual-delivering siRNA and cisplatin to A549/DDP cells for reversal multi-drug resistance. Acta Biomater. 2015, 11, 368–380. [Google Scholar] [CrossRef]
- Mansoori, B.; Mohammadi, A.; Duijf, P.H.; Shomali, N.; Shirafkan, N.; Baradaran, B. MicroRNAs in cancer drug resistance: Basic evidence and clinical applications. J. Cell Physiol. 2019, 234, 2152–2168. [Google Scholar] [CrossRef]
- Esumi, K.; Houdatsu, H.; Yoshimura, T. Antioxidant Action by Gold—PAMAM Dendrimer Nanocomposites. Langmuir 2004, 20, 2536–2538. [Google Scholar] [CrossRef] [PubMed]
- Bhattacharjee, A.; Basu, A.; Sen, T.; Biswas, J.; Bhattacharya, S. Nano-Se as a novel candidate in the management of oxidative stress related disorders and cancer. Nucleus 2017, 60, 137–145. [Google Scholar] [CrossRef]
- Xu, L.; Kittrell, S.; Yeudall, W.; Yang, H. Folic acid-decorated polyamidoamine dendrimer mediates selective uptake and high expression of genes in head and neck cancer cells. Nanomedicine 2016, 11, 2959–2973. [Google Scholar] [CrossRef] [PubMed]
- Foroozandeh, P.; Aziz, A. Insight into Cellular Uptake and Intracellular Trafficking of Nanoparticles. Nanoscale Res. Lett. 2018, 13, 339. [Google Scholar] [CrossRef]
- Ostolska, I.; Wiśniewska, M. Application of the zeta potential measurements to explanation of colloidal Cr2O3stability mechanism in the presence of the ionic polyamino acids. Colloid Polym. Sci. 2014, 292, 2453–2464. [Google Scholar] [CrossRef] [PubMed]
- Castro, R.; Forero-Doria, O.; Guzmán, L. Perspectives of dendrimer-based nanoparticles in cancer therapy. An. Acad. Bras. Cienc. 2018, 90, 2331–2346. [Google Scholar] [CrossRef] [PubMed]
- Honary, S.; Zahir, F. Effect of Zeta Potential on the Properties of Nano-Drug Delivery Systems-A Review (Part 2). Trop. J. Pharm. Res. 2013, 12, 265–273. [Google Scholar] [CrossRef]
- Upadhaya, S.; Swanson, D.; Tomalia, D.; Sharma, A. Analysis of polyamidoamine dendrimers by isoelectric focusing. Anal. Bioanal. Chem. 2014, 406, 455–458. [Google Scholar] [CrossRef]
- Li, T.; Smet, M.; Dehaen, W.; Xu, H. Selenium-Platinum Coordination Dendrimers with Controlled Anti-Cancer Activity. ACS Appl. Mater. Interfaces 2016, 8, 3609–3614. [Google Scholar] [CrossRef]
- Cui, D.; Yan, C.; Miao, J.; Zhang, X.; Chen, J.; Sun, L.; Li, Q. Synthesis, Characterization and antitumor properties of selenium nanoparticles coupling with ferulic acid. Mater. Sci. Eng. C 2018, 90, 104–112. [Google Scholar] [CrossRef]
- Shinohara, E.; Lu, B.; Hallahan, D. The Use of Gene Therapy in Cancer Research and Treatment. Technol. Cancer Res. Treat. 2004, 3, 479–490. [Google Scholar] [CrossRef]
- Riss, T.; Moravec, R.; Niles, A.; Duellman, S.; Benink, H.; Worzella, T.; Minor, L. Cell Viability Assays 2004. Available online: http://www.ncbi.nh.gov/books/NBK144065/ (accessed on 15 October 2019).
- Pieroth, R.; Paver, S.; Day, S.; Lammersfeld, C. Folate and Its Impact on Cancer Risk. Curr. Nutr. Rep. 2018, 7, 70–84. [Google Scholar] [CrossRef]
- Naha, P.C.; Mukherjee, S.P.; Byrne, H.J. Toxicology of engineered nanoparticles: Focus on poly(amidoamine) dendrimers. Int. J. Environ. Res. Public Health 2018, 15, 338. [Google Scholar] [CrossRef] [PubMed]
- Pellis, L.; Dommels, Y.; Venema, D.; Polanen, A.; Lips, E.; Baykus, H.; Keijer, J. High folic acid increases cell turnover and lowers differentiation and iron content in human HT29 colon cancer cells. Br. J. Nutr. 2008, 99, 703–708. [Google Scholar] [CrossRef] [PubMed]
- Mosmann, T. Rapid colorimetric assay for cellular growth and survival: Application toproliferation and cytotoxicity assays. J. Immunol. Methods 1983, 65, 55–63. [Google Scholar] [CrossRef]
- Van Tonder, A.; Joubert, A.M.; Cromarty, A.D. Limitations of the 3-(4,5-dimethylthiazol-2-yl)-2,5-diphenyl-2H-tetrazolium bromide (MTT) assay when compared to three commonly used cell enumeration assays. BMC Res. Notes 2015, 8, 47. [Google Scholar] [CrossRef]
- Liu, K.; Liu, P.; Liu, R.; Wu, X. Dual AO/EB staining to detect apoptosis in osteosarcoma cells compared with flow cytometry. Med. Sci. Monit. Basic Res. 2015, 21, 15–20. [Google Scholar] [CrossRef]
- Ribble, D.; Goldstein, N.B.; Norris, D.A.; Shellman, Y.G. A simple technique for quantifying apoptosis in 96-well plates. BMC Biotechnol. 2005, 5, 12. [Google Scholar] [CrossRef]
- Maiyo, F.; Moodley, R.; Singh, M. Cytotoxicity, antioxidant and apoptosis studies of Quercetin-3-O-glucoside and 4-(β-D-Glucopyranosyl-1→4-α-L-Rhamnopyranosyloxy)-benzyl isothiocyanate from Moringa oleifera. Anti Cancer Agent Med. Chem. 2016, 16, 648–656. [Google Scholar] [CrossRef]
- Chen, H.; Ahn, R.; Van Den Bossche, J.; Thompson, D.; O’Halloran, T. Folate-mediated intracellular drug delivery increases the anticancer efficacy of nanoparticulate formulation of arsenic trioxide. Mol. Cancer Ther. 2009, 8, 1955–1963. [Google Scholar] [CrossRef]
- Feng, Z.; Lyon, J.; Croley, J.S.; Crooks, R.; Vanden Bout, D.; Stevenson, K. Synthesis and Catalytic Evaluation of Dendrimer-Encapsulated Cu Nanoparticles: An Undergraduate Experiment Exploring Catalytic Nanomaterials. J. Chem. Educ. 2009, 86, 368–372. [Google Scholar] [CrossRef]
- Ali-Mansoori, G.; Brandenburg, K.; Shakeri-Zadeh, A. A comparative study of two folate-conjugated gold nanoparticles for cancer nanotechnology applications. Cancers 2010, 2, 1911–1928. [Google Scholar] [CrossRef]
- Naicker, K.; Ariatti, M.; Singh, M. Active targeting of asialoglycoprotein receptor using sterically lipoplexes. Eur. J. Lipid Sci. Technol. 2016, 118, 1730–1742. [Google Scholar] [CrossRef]










| Nanoparticles | Nanoparticles | Nanocomplexes | |||
|---|---|---|---|---|---|
| Size (nm) | ζ-Potential (mV) | pDNA:NP (w/w) | Size (nm) | ζ-Potential (mV) | |
| SeNP | 66.6 ± 1.4 | −19.4 ± 0.1 | - | - | - |
| PAMAM | 125.1 ± 0.3 | 48.0 ± 6.3 | 1:0.12 | 75.2 ± 10.3 | 21.2 ± 0.6 |
| PAMAM-Se | 84.6 ± 13.2 | 37.1 ± 1.4 | 1:4 | 144.0 ± 87.5 | 28.8 ± 2.8 |
| PAMAM-FA | 111.1 ± 6.1 | 29.9 ± 4.9 | 1:4 | 141 ± 33.9 | 17.1 ± 7.3 |
| PAMAM-Se-FA | 135.1 ± 0.4 | 35.3 ± 0.4 | 1:2 | 125.1 ± 10.3 | 25.9 ± 2.0 |
| Nanocomplex | Suboptimal Ratio (w/w) | Optimal Ratio (w/w) | Supraoptimal Ratio (w/w) |
|---|---|---|---|
| PAMAM-pDNA | 1:0.08 | 1:0.12 | 1:0.16 |
| PAMAM-SeNP-pDNA | 1:3 | 1:4 | 1:5 |
| PAMAM-FA-pDNA | 1:3 | 1:4 | 1:5 |
| PAMAM-Se-FA-pDNA | 1:1 | 1:2 | 1:3 |
© 2020 by the authors. Licensee MDPI, Basel, Switzerland. This article is an open access article distributed under the terms and conditions of the Creative Commons Attribution (CC BY) license (http://creativecommons.org/licenses/by/4.0/).
Share and Cite
Pillay, N.S.; Daniels, A.; Singh, M. Folate-Targeted Transgenic Activity of Dendrimer Functionalized Selenium Nanoparticles In Vitro. Int. J. Mol. Sci. 2020, 21, 7177. https://doi.org/10.3390/ijms21197177
Pillay NS, Daniels A, Singh M. Folate-Targeted Transgenic Activity of Dendrimer Functionalized Selenium Nanoparticles In Vitro. International Journal of Molecular Sciences. 2020; 21(19):7177. https://doi.org/10.3390/ijms21197177
Chicago/Turabian StylePillay, Nikita Simone, Aliscia Daniels, and Moganavelli Singh. 2020. "Folate-Targeted Transgenic Activity of Dendrimer Functionalized Selenium Nanoparticles In Vitro" International Journal of Molecular Sciences 21, no. 19: 7177. https://doi.org/10.3390/ijms21197177
APA StylePillay, N. S., Daniels, A., & Singh, M. (2020). Folate-Targeted Transgenic Activity of Dendrimer Functionalized Selenium Nanoparticles In Vitro. International Journal of Molecular Sciences, 21(19), 7177. https://doi.org/10.3390/ijms21197177

