A Novel Synthetic Compound (E)-5-((4-oxo-4H-chromen-3-yl)methyleneamino)-1-phenyl-1H-pyrazole-4-carbonitrile Inhibits TNFα-Induced MMP9 Expression via EGR-1 Downregulation in MDA-MB-231 Human Breast Cancer Cells
Abstract
1. Introduction
2. Results and Discussion
2.1. Chemical Synthesis and Cytotoxicity of DK4023 against MDA-MB-231 Cells
2.2. Effect of DK4023 on the TNFα-Induced Migration of MDA-MB-231 Cells
2.3. Effect of DK4023 on the Actin Reorganization of MDA-MB-231 Cells
2.4. Effect of DK4023 on the Expression of MMP9
2.5. Effect of DK4023 on the TNFα-Induced Invasion of MD-MB-231 Cells
2.6. Effect of DK4023 on the TNFα-Induced Activation of Nuclear Factor-Kappa B (NF-κB) Pathway
2.7. Effect of DK4023 on the TNFα-Induced Expression of Early Growth Response-1 (EGR-1)
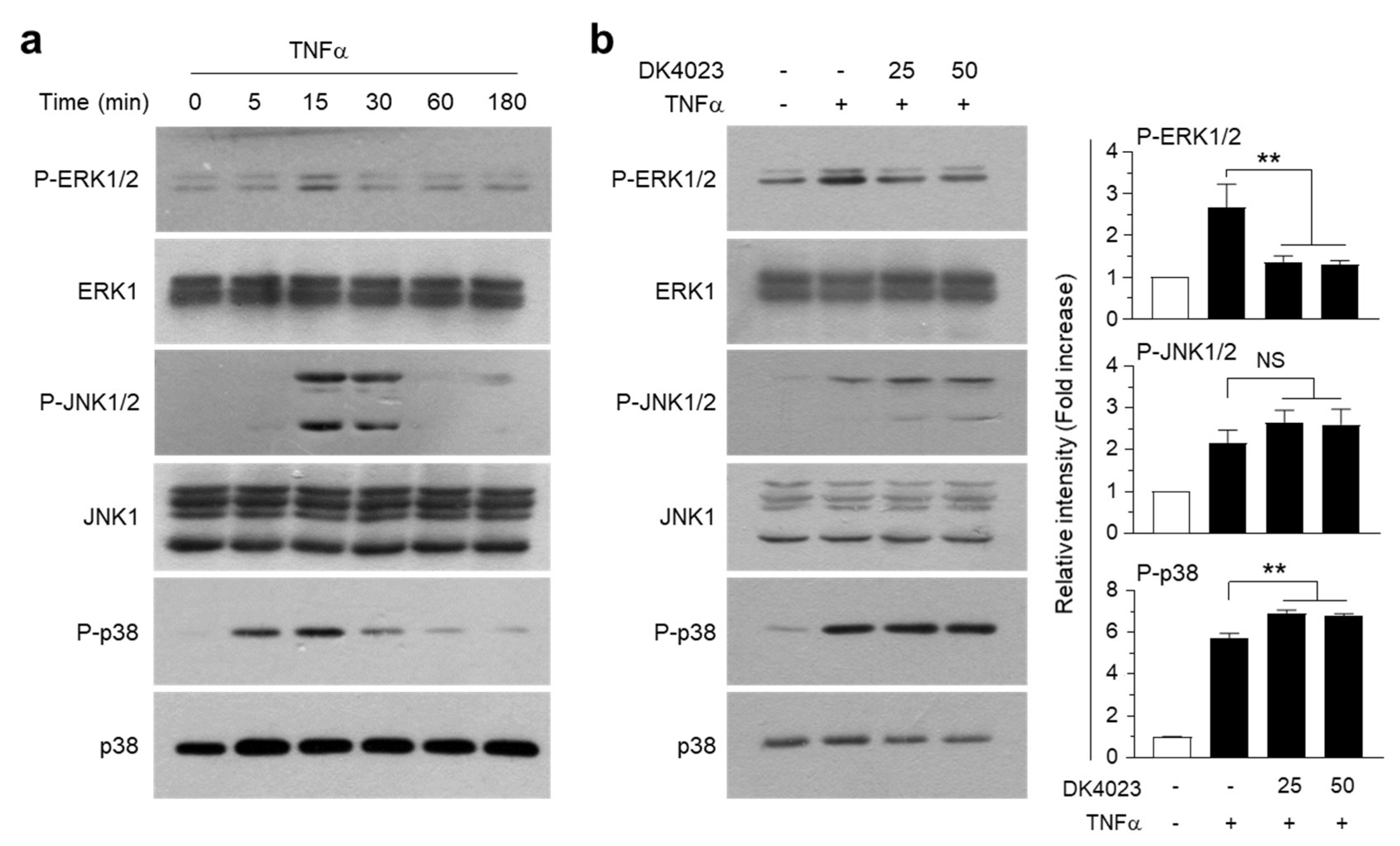
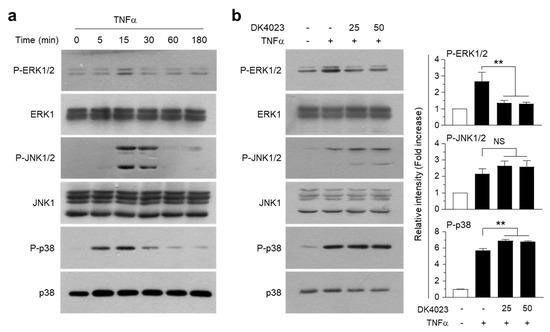
2.8. Effect of DK4023 on the TNFα-Induced Activation of Mitogen-Activated Protein Kinase (MAPK) Pathway
3. Materials and Methods
3.1. Cells and Chemicals
3.2. Chemical Synthesis
3.3. Cytotoxicity Assay
3.4. Cell Migration Assay
3.5. Actin Rearrangement
3.6. In-Gel Gelatinase Activity Assay
3.7. RT-PCR
3.8. MMP9 Promoter-Reporter Assay
3.9. 3-D Spheroid Culture and Invasion Assay
3.10. Immunoblot Analysis
3.11. Statistical Analysis
4. Conclusions
Supplementary Materials
Author Contributions
Funding
Acknowledgments
Conflicts of Interest
Abbreviations
| DK4023 | (E)-5-((4-oxo-4H-chromen-3-yl)methyleneamino)-1-phenyl-1H-pyrazole-4-carbonitrile |
| EBS | EGR-1-binding site |
| EGR-1 | Early growth response-1 |
| ERK | Extracellular signal-regulated kinase |
| GAPDH | Glyceraldehyde 3-phosphate dehydrogenase |
| IκB | Inhibitor of nuclear factor-κB |
| IKK | IκB kinase |
| JNK | c-Jun N-terminal kinase |
| MAPK | Mitogen-activated protein kinase |
| MMP | Matrix metallopeptidase |
| NF-κB | Nuclear factor kappa B |
| RelA | v-rel Avian reticuloendotheliosis viral oncogene homolog A |
| RT-PCR | Reverse-transcription polymerase chain reaction |
| TNFα | Tumor necrosis factor alpha |
References
- Jemal, A.; Bray, F.; Center, M.M.; Ferlay, J.; Ward, E.; Forman, D. Global cancer statistics. CA Cancer J. Clin. 2011, 61, 69–90. [Google Scholar] [CrossRef] [PubMed]
- Lacroix, M. Significance, detection and markers of disseminated breast cancer cells. Endocr. Relat. Cancer 2006, 13, 1033–1067. [Google Scholar] [CrossRef] [PubMed]
- Kurozumi, S.; Joseph, C.; Sonbul, S.; Alsaeed, S.; Kariri, Y.; Aljohani, A.; Raafat, S.; Alsaleem, M.; Ogden, A.; Johnston, S.J.; et al. A key genomic subtype associated with lymphovascular invasion in invasive breast cancer. Br. J. Cancer 2019, 120, 1129–1136. [Google Scholar] [CrossRef] [PubMed]
- Gatseva, A.; Sin, Y.Y.; Brezzo, G.; Van Agtmael, T. Basement membrane collagens and disease mechanisms. Essays Biochem. 2019, 63, 297–312. [Google Scholar]
- Egeblad, M.; Werb, Z. New functions for the matrix metalloproteinases in cancer progression. Nat. Rev. Cancer 2002, 2, 161–174. [Google Scholar] [CrossRef]
- Morini, M.; Mottolese, M.; Ferrari, N.; Ghiorzo, F.; Buglioni, S.; Mortarini, R.; Noonan, D.M.; Natali, P.G.; Albini, A. The alpha 3 beta 1 integrin is associated with mammary carcinoma cell metastasis, invasion, and gelatinase B (MMP-9) activity. Int. J. Cancer 2000, 87, 336–342. [Google Scholar] [CrossRef]
- Hidalgo, M.; Eckhardt, S.G. Development of matrix metalloproteinase inhibitors in cancer therapy. J. Natl. Cancer Inst. 2001, 93, 178–193. [Google Scholar] [CrossRef]
- Jones, J.L.; Shaw, J.A.; Pringle, J.H.; Walker, R.A. Primary breast myoepithelial cells exert an invasion-suppressor effect on breast cancer cells via paracrine down-regulation of MMP expression in fibroblasts and tumour cells. J. Pathol. 2003, 201, 562–572. [Google Scholar] [CrossRef]
- Kupferman, M.E.; Fini, M.E.; Muller, W.J.; Weber, R.; Cheng, Y.; Muschel, R.J. Matrix metalloproteinase 9 promoter activity is induced coincident with invasion during tumor progression. Am. J. Pathol. 2000, 157, 1777–1783. [Google Scholar] [CrossRef]
- Itoh, T.; Tanioka, M.; Yoshida, H.; Yoshioka, T.; Nishimoto, H.; Itohara, S. Reduced angiogenesis and tumor progression in gelatinase A-deficient mice. Cancer Res. 1998, 58, 1048–1051. [Google Scholar]
- Itoh, T.; Tanioka, M.; Matsuda, H.; Nishimoto, H.; Yoshioka, T.; Suzuki, R.; Uehira, M. Experimental metastasis is suppressed in MMP-9-deficient mice. Clin. Exp. Metastasis 1999, 17, 177–181. [Google Scholar] [CrossRef] [PubMed]
- Insuasty, B.; Tigreros, A.; Orozco, F.; Quiroga, J.; Abonia, R.; Nogueras, M.; Sanchez, A.; Cobo, J. Synthesis of novel pyrazolic analogues of chalcones and their 3-aryl-4-(3-aryl-4,5-dihydro-1H-pyrazol-5-yl)-1-phenyl-1H-pyrazole derivatives as potential antitumor agents. Bioorg. Med. Chem. 2010, 18, 4965–4974. [Google Scholar] [CrossRef]
- Mellini, P.; Marrocco, B.; Borovika, D.; Polletta, L.; Carnevale, I.; Saladini, S.; Stazi, G.; Zwergel, C.; Trapencieris, P.; Ferretti, E.; et al. Pyrazole-based inhibitors of enhancer of zeste homologue 2 induce apoptosis and autophagy in cancer cells. Philos. Trans. R. Soc. Lond. B Biol. Sci. 2018, 373. [Google Scholar]
- Lu, X.; Dong, G.; Zheng, Y.; Zhang, C.; Qiu, Y.; Lua, T.; Zhou, X. Synthesis and Anticancer Study of Novel 4H-Chromen Derivatives. Anticancer Agents Med. Chem. 2017, 17, 1070–1083. [Google Scholar] [CrossRef]
- Singh, A.K.; Saxena, G.; Sahabjada, S.; Arshad, M. Synthesis, characterization and biological evaluation of ruthenium flavanol complexes against breast cancer. Spectrochim. Acta A Mol. Biomol. Spectrosc. 2017, 180, 97–104. [Google Scholar] [CrossRef] [PubMed]
- Bhatia, R.K.; Singh, L.; Garg, R.; Kaur, M.; Yadav, M.; Madan, J.; Kancherla, S.; Pissurlenkar, R.R.S.; Coutinho, E.C. Novel p-Functionalized Chromen-4-on-3-yl Chalcones Bearing Astonishing Boronic Acid Moiety as MDM2 Inhibitor: Synthesis, Cytotoxic Evaluation and Simulation Studies. Med. Chem. 2020, 16, 212–228. [Google Scholar] [CrossRef] [PubMed]
- Valachovicova, T.; Slivova, V.; Bergman, H.; Shuherk, J.; Sliva, D. Soy isoflavones suppress invasiveness of breast cancer cells by the inhibition of NF-kappaB/AP-1-dependent and -independent pathways. Int. J. Oncol. 2004, 25, 1389–1395. [Google Scholar] [PubMed]
- Balkwill, F. TNF-alpha in promotion and progression of cancer. Cancer Metastasis Rev. 2006, 25, 409–416. [Google Scholar] [CrossRef]
- Sethi, G.; Sung, B.; Aggarwal, B.B. TNF: A master switch for inflammation to cancer. Front. Biosci. 2008, 13, 5094–5107. [Google Scholar] [CrossRef]
- Balkwill, F. Tumour necrosis factor and cancer. Nat. Rev. Cancer 2009, 9, 361–371. [Google Scholar] [CrossRef]
- Lim, B.; Woodward, W.A.; Wang, X.; Reuben, J.M.; Ueno, N.T. Inflammatory breast cancer biology: The tumour microenvironment is key. Nat. Rev. Cancer 2018, 18, 485–499. [Google Scholar] [CrossRef] [PubMed]
- Ham, M.; Moon, A. Inflammatory and microenvironmental factors involved in breast cancer progression. Arch. Pharm. Res. 2013, 36, 1419–1431. [Google Scholar] [CrossRef] [PubMed]
- Mantovani, A.; Allavena, P.; Sica, A.; Balkwill, F. Cancer-related inflammation. Nature 2008, 454, 436–444. [Google Scholar] [CrossRef]
- Krones-Herzig, A.; Adamson, E.; Mercola, D. Early growth response 1 protein, an upstream gatekeeper of the p53 tumor suppressor, controls replicative senescence. Proc. Natl. Acad. Sci. USA 2003, 100, 3233–3238. [Google Scholar] [CrossRef]
- Ham, B.; Fernandez, M.C.; D’Costa, Z.; Brodt, P. The diverse roles of the TNF axis in cancer progression and metastasis. Trends Cancer Res. 2016, 11, 1–27. [Google Scholar] [PubMed]
- Merino, F.; Pospich, S.; Raunser, S. Towards a structural understanding of the remodeling of the actin cytoskeleton. Semin. Cell Dev. Biol. 2020, 102, 51–64. [Google Scholar] [CrossRef] [PubMed]
- Schaks, M.; Giannone, G.; Rottner, K. Actin dynamics in cell migration. Essays Biochem. 2019, 63, 483–495. [Google Scholar]
- Shin, S.Y.; Kim, J.H.; Baker, A.; Lim, Y.; Lee, Y.H. Transcription factor Egr-1 is essential for maximal matrix metalloproteinase-9 transcription by tumor necrosis factor alpha. Mol. Cancer Res. 2010, 8, 507–519. [Google Scholar] [CrossRef]
- Esteve, P.O.; Chicoine, E.; Robledo, O.; Aoudjit, F.; Descoteaux, A.; Potworowski, E.F.; St-Pierre, Y. Protein kinase C-zeta regulates transcription of the matrix metalloproteinase-9 gene induced by IL-1 and TNF-alpha in glioma cells via NF-kappa B. J. Biol Chem. 2002, 277, 35150–35155. [Google Scholar] [CrossRef]
- Huang, L.; Lin, H.; Chen, Q.; Yu, L.; Bai, D. MPPa-PDT suppresses breast tumor migration/invasion by inhibiting Akt-NF-kappaB-dependent MMP-9 expression via ROS. BMC Cancer 2019, 19, 1159. [Google Scholar] [CrossRef]
- Wang, J.; Li, S.; Li, X.; Li, B.; Li, Y.; Xia, K.; Yang, Y.; Aman, S.; Wang, M.; Wu, H. Circadian protein BMAL1 promotes breast cancer cell invasion and metastasis by up-regulating matrix metalloproteinase9 expression. Cancer Cell Int. 2019, 19, 182. [Google Scholar] [CrossRef] [PubMed]
- Yang, H.L.; Thiyagarajan, V.; Shen, P.C.; Mathew, D.C.; Lin, K.Y.; Liao, J.W.; Hseu, Y.C. Anti-EMT properties of CoQ0 attributed to PI3K/AKT/NFKB/MMP-9 signaling pathway through ROS-mediated apoptosis. J. Exp. Clin. Cancer Res. 2019, 38, 186. [Google Scholar] [CrossRef] [PubMed]
- Taniguchi, K.; Karin, M. NF-kappaB, inflammation, immunity and cancer: Coming of age. Nat. Rev. Immunol. 2018, 18, 309–324. [Google Scholar] [CrossRef] [PubMed]
- Gashler, A.; Sukhatme, V.P. Early growth response protein 1 (Egr-1): Prototype of a zinc-finger family of transcription factors. Prog. Nucleic Acid Res. Mol. Biol. 1995, 50, 191–224. [Google Scholar]
- Shin, S.Y.; Lee, J.M.; Lim, Y.; Lee, Y.H. Transcriptional regulation of the growth-regulated oncogene alpha gene by early growth response protein-1 in response to tumor necrosis factor alpha stimulation. Biochim. Biophys. Acta 2013, 1829, 1066–1074. [Google Scholar] [CrossRef]
- Koh, D.; Jung, Y.; Ahn, S.; Mok, K.H.; Shin, S.Y.; Lim, Y. Synthesis and structure elucidation of polyphenols containing the N’-methyleneformohydrazide scaffold as aurora kinase inhibitors. Magn. Reson. Chem. 2017, 55, 864–876. [Google Scholar] [CrossRef]
- Shin, S.Y.; Lee, J.; Park, J.; Lee, Y.; Ahn, S.; Lee, J.H.; Koh, D.; Lee, Y.H.; Lim, Y. Design, synthesis, and biological activities of 1-aryl-(3-(2-styryl)phenyl)prop-2-en-1-ones. Bioorg. Chem. 2019, 83, 438–449. [Google Scholar] [CrossRef]
- Lee, D.Y.; Lee, D.H.; Jung, J.Y.; Koh, D.; Kim, G.S.; Ahn, Y.S.; Lee, Y.H.; Lim, Y.; Shin, S.Y. A synthetic chalcone derivative, 2-hydroxy-3′,5,5′-trimethoxychalcone (DK-139), suppresses the TNFalpha-induced invasive capability of MDA-MB-231 human breast cancer cells by inhibiting NF-kappaB-mediated GROalpha expression. Bioorg. Med. Chem. Lett. 2016, 26, 203–208. [Google Scholar] [CrossRef]
- Shin, S.Y.; Kim, C.G.; Jung, Y.J.; Lim, Y.; Lee, Y.H. The UPR inducer DPP23 inhibits the metastatic potential of MDA-MB-231 human breast cancer cells by targeting the Akt-IKK-NF-kappaB-MMP-9 axis. Sci. Rep. 2016, 6, 34134. [Google Scholar] [CrossRef]









© 2020 by the authors. Licensee MDPI, Basel, Switzerland. This article is an open access article distributed under the terms and conditions of the Creative Commons Attribution (CC BY) license (http://creativecommons.org/licenses/by/4.0/).
Share and Cite
Jeong, M.; Jung, E.; Lee, Y.H.; Seo, J.K.; Ahn, S.; Koh, D.; Lim, Y.; Shin, S.Y. A Novel Synthetic Compound (E)-5-((4-oxo-4H-chromen-3-yl)methyleneamino)-1-phenyl-1H-pyrazole-4-carbonitrile Inhibits TNFα-Induced MMP9 Expression via EGR-1 Downregulation in MDA-MB-231 Human Breast Cancer Cells. Int. J. Mol. Sci. 2020, 21, 5080. https://doi.org/10.3390/ijms21145080
Jeong M, Jung E, Lee YH, Seo JK, Ahn S, Koh D, Lim Y, Shin SY. A Novel Synthetic Compound (E)-5-((4-oxo-4H-chromen-3-yl)methyleneamino)-1-phenyl-1H-pyrazole-4-carbonitrile Inhibits TNFα-Induced MMP9 Expression via EGR-1 Downregulation in MDA-MB-231 Human Breast Cancer Cells. International Journal of Molecular Sciences. 2020; 21(14):5080. https://doi.org/10.3390/ijms21145080
Chicago/Turabian StyleJeong, Munki, Euitaek Jung, Young Han Lee, Jeong Kon Seo, Seunghyun Ahn, Dongsoo Koh, Yoongho Lim, and Soon Young Shin. 2020. "A Novel Synthetic Compound (E)-5-((4-oxo-4H-chromen-3-yl)methyleneamino)-1-phenyl-1H-pyrazole-4-carbonitrile Inhibits TNFα-Induced MMP9 Expression via EGR-1 Downregulation in MDA-MB-231 Human Breast Cancer Cells" International Journal of Molecular Sciences 21, no. 14: 5080. https://doi.org/10.3390/ijms21145080
APA StyleJeong, M., Jung, E., Lee, Y. H., Seo, J. K., Ahn, S., Koh, D., Lim, Y., & Shin, S. Y. (2020). A Novel Synthetic Compound (E)-5-((4-oxo-4H-chromen-3-yl)methyleneamino)-1-phenyl-1H-pyrazole-4-carbonitrile Inhibits TNFα-Induced MMP9 Expression via EGR-1 Downregulation in MDA-MB-231 Human Breast Cancer Cells. International Journal of Molecular Sciences, 21(14), 5080. https://doi.org/10.3390/ijms21145080

