Colorectal Cancer Early Detection in Stool Samples Tracing CpG Islands Methylation Alterations Affecting Gene Expression
Abstract
1. Introduction
2. Results
2.1. Biomarkers’ Selection
2.2. Methylation Analyses
2.3. mRNA Expression Study
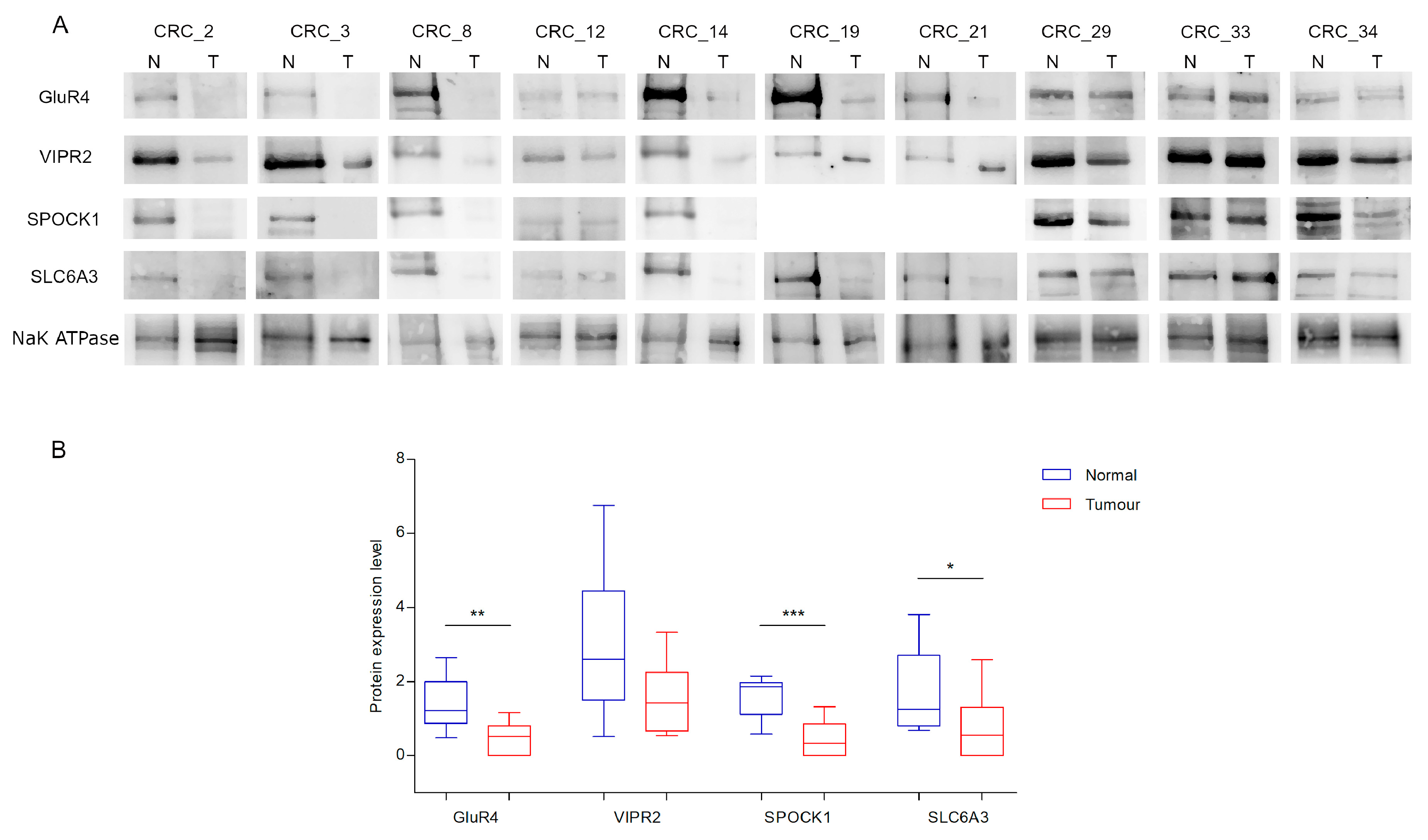
2.4. Protein Expression Study
3. Discussion
4. Materials and Methods
4.1. Tissue Samples
4.2. Stool Samples
4.3. Marker Selection
4.4. Methylation Analyses
4.5. mRNA Expression Analysis
4.6. Protein Expression Analysis
4.7. Validation Analyses
5. Conclusions
Supplementary Materials
Author Contributions
Funding
Acknowledgments
Conflicts of Interest
References
- Siegel, R.L.; Miller, K.D.; Jemal, A. Cancer statistics, 2016. CA Cancer J. Clin. 2016, 66, 7–30. [Google Scholar] [CrossRef] [PubMed]
- Bettegowda, C.; Sausen, M.; Leary, R.J.; Kinde, I.; Wang, Y.; Agrawal, N.; Bartlett, B.R.; Wang, H.; Luber, B.; Alani, R.M.; et al. Detection of circulating tumor DNA in early- and late-stage human malignancies. Sci. Transl. Med. 2014, 6, 224ra224. [Google Scholar] [CrossRef] [PubMed]
- Barault, L.; Amatu, A.; Siravegna, G.; Ponzetti, A.; Moran, S.; Cassingena, A.; Mussolin, B.; Falcomata, C.; Binder, A.M.; Cristiano, C.; et al. Discovery of methylated circulating DNA biomarkers for comprehensive noninvasive monitoring of treatment response in metastatic colorectal cancer. Gut 2018, 67, 1995–2005. [Google Scholar] [CrossRef] [PubMed]
- Fadda, A.; Gentilini, D.; Moi, L.; Barault, L.; Leoni, V.P.; Sulas, P.; Zorcolo, L.; Restivo, A.; Cabras, F.; Fortunato, F.; et al. Colorectal cancer early methylation alterations affect the crosstalk between cell and surrounding environment, tracing a biomarker signature specific for this tumor. Int. J. Cancer 2018, 143, 907–920. [Google Scholar] [CrossRef]
- Wright, M.; Beaty, J.S.; Ternent, C.A. Molecular Markers for Colorectal Cancer. Surg. Clin. North Am. 2017, 97, 683–701. [Google Scholar] [CrossRef]
- Vega-Benedetti, A.F.; Loi, E.; Moi, L.; Blois, S.; Fadda, A.; Antonelli, M.; Arcella, A.; Badiali, M.; Giangaspero, F.; Morra, I.; et al. Clustered protocadherins methylation alterations in cancer. Clin. Epigenetics 2019, 11, 100. [Google Scholar] [CrossRef]
- Morikawa, T.; Kato, J.; Yamaji, Y.; Wada, R.; Mitsushima, T.; Shiratori, Y. A comparison of the immunochemical fecal occult blood test and total colonoscopy in the asymptomatic population. Gastroenterology 2005, 129, 422–428. [Google Scholar] [CrossRef]
- Luo, Y.; Wong, C.J.; Kaz, A.M.; Dzieciatkowski, S.; Carter, K.T.; Morris, S.M.; Wang, J.; Willis, J.E.; Makar, K.W.; Ulrich, C.M.; et al. Differences in DNA methylation signatures reveal multiple pathways of progression from adenoma to colorectal cancer. Gastroenterology 2014, 147, 418–429.e8. [Google Scholar] [CrossRef]
- Toiyama, Y.; Okugawa, Y.; Goel, A. DNA methylation and microRNA biomarkers for noninvasive detection of gastric and colorectal cancer. Biochem. Biophys. Res. Commun. 2014, 455, 43–57. [Google Scholar] [CrossRef]
- Vedeld, H.M.; Goel, A.; Lind, G.E. Epigenetic biomarkers in gastrointestinal cancers: The current state and clinical perspectives. Semin. Cancer Biol. 2018, 51, 36–49. [Google Scholar] [CrossRef]
- Imperiale, T.F.; Ransohoff, D.F.; Itzkowitz, S.H.; Levin, T.R.; Lavin, P.; Lidgard, G.P.; Ahlquist, D.A.; Berger, B.M. Multitarget stool DNA testing for colorectal-cancer screening. New Engl. J. Med. 2014, 370, 1287–1297. [Google Scholar] [CrossRef] [PubMed]
- Epigenomics AG. EIFU Epi ProColon 2.0 CE- Rev 7, Instructions for Use; Epigenomics AG: Berlin, Germany, 2016. [Google Scholar]
- Traynelis, S.F.; Wollmuth, L.P.; McBain, C.J.; Menniti, F.S.; Vance, K.M.; Ogden, K.K.; Hansen, K.B.; Yuan, H.; Myers, S.J.; Dingledine, R. Glutamate receptor ion channels: Structure, regulation, and function. Pharmacol. Rev. 2010, 62, 405–496. [Google Scholar] [CrossRef] [PubMed]
- Martin, S.; Chamberlin, A.; Shinde, D.N.; Hempel, M.; Strom, T.M.; Schreiber, A.; Johannsen, J.; Ousager, L.B.; Larsen, M.J.; Hansen, L.K.; et al. De Novo Variants in GRIA4 Lead to Intellectual Disability with or without Seizures and Gait Abnormalities. Am. J. Hum. Genet. 2017, 101, 1013–1020. [Google Scholar] [CrossRef] [PubMed]
- Luksch, H.; Uckermann, O.; Stepulak, A.; Hendruschk, S.; Marzahn, J.; Bastian, S.; Staufner, C.; Temme, A.; Ikonomidou, C. Silencing of selected glutamate receptor subunits modulates cancer growth. Anticancer Res. 2011, 31, 3181–3192. [Google Scholar] [PubMed]
- Hauptman, N.; Jevsinek Skok, D.; Spasovska, E.; Bostjancic, E.; Glavac, D. Genes CEP55, FOXD3, FOXF2, GNAO1, GRIA4, and KCNA5 as potential diagnostic biomarkers in colorectal cancer. BMC Med Genom. 2019, 12, 54. [Google Scholar] [CrossRef] [PubMed]
- Dickson, L.; Finlayson, K. VPAC and PAC receptors: From ligands to function. Pharmacol. Ther. 2009, 121, 294–316. [Google Scholar] [CrossRef]
- Reubi, J.C.; Laderach, U.; Waser, B.; Gebbers, J.O.; Robberecht, P.; Laissue, J.A. Vasoactive intestinal peptide/pituitary adenylate cyclase-activating peptide receptor subtypes in human tumors and their tissues of origin. Cancer Res. 2000, 60, 3105–3112. [Google Scholar]
- Szilasi, M.; Buglyo, A.; Treszl, A.; Kiss, L.; Schally, A.V.; Halmos, G. Gene expression of vasoactive intestinal peptide receptors in human lung cancer. Int. J. Oncol. 2011, 39, 1019–1024. [Google Scholar] [CrossRef]
- Schulz, S.; Mann, A.; Novakhov, B.; Piggins, H.D.; Lupp, A. VPAC2 receptor expression in human normal and neoplastic tissues: Evaluation of the novel MAB SP235. Endocr. Connect. 2015, 4, 18–26. [Google Scholar] [CrossRef]
- Moody, T.W.; Nuche-Berenguer, B.; Jensen, R.T. VIP/PACAP, and their receptors and cancer. Curr. Opin. Endocrinol. Diabetes Obes. 2016, 23, 38–47. [Google Scholar] [CrossRef]
- Miao, L.; Wang, Y.; Xia, H.; Yao, C.; Cai, H.; Song, Y. SPOCK1 is a novel transforming growth factor-beta target gene that regulates lung cancer cell epithelial-mesenchymal transition. Biochem. Biophys. Res. Commun. 2013, 440, 792–797. [Google Scholar] [CrossRef] [PubMed]
- Chen, Q.; Yao, Y.T.; Xu, H.; Chen, Y.B.; Gu, M.; Cai, Z.K.; Wang, Z. SPOCK1 promotes tumor growth and metastasis in human prostate cancer. Drug Des. Dev. Ther. 2016, 10, 2311–2321. [Google Scholar] [CrossRef]
- Zhang, J.; Zhi, X.; Shi, S.; Tao, R.; Chen, P.; Sun, S.; Bian, L.; Xu, Z.; Ma, L. SPOCK1 is up-regulated and promotes tumor growth via the PI3K/AKT signaling pathway in colorectal cancer. Biochem. Biophys. Res. Commun. 2017, 482, 870–876. [Google Scholar] [CrossRef] [PubMed]
- Salatino-Oliveira, A.; Rohde, L.A.; Hutz, M.H. The dopamine transporter role in psychiatric phenotypes. Am. J. Med Genet. Part B Neuropsychiatr. Genet. 2018, 177, 211–231. [Google Scholar] [CrossRef]
- Robertson, B.D.; Al Jaja, A.S.; MacDonald, A.A.; Hiebert, N.M.; Tamjeedi, R.; Seergobin, K.N.; Schwarz, U.I.; Kim, R.B.; MacDonald, P.A. SLC6A3 Polymorphism Predisposes to Dopamine Overdose in Parkinson’s Disease. Front. Neurol. 2018, 9, 693. [Google Scholar] [CrossRef]
- Bao, L.; Chen, Y.; Lai, H.T.; Wu, S.Y.; Wang, J.E.; Hatanpaa, K.J.; Raisanen, J.M.; Fontenot, M.; Lega, B.; Chiang, C.M.; et al. Methylation of hypoxia-inducible factor (HIF)-1alpha by G9a/GLP inhibits HIF-1 transcriptional activity and cell migration. Nucleic Acids Res. 2018, 46, 6576–6591. [Google Scholar] [CrossRef]
- Rubi, B.; Maechler, P. Minireview: New roles for peripheral dopamine on metabolic control and tumor growth: Let’s seek the balance. Endocrinology 2010, 151, 5570–5581. [Google Scholar] [CrossRef]
- Sarkar, C.; Chakroborty, D.; Chowdhury, U.R.; Dasgupta, P.S.; Basu, S. Dopamine increases the efficacy of anticancer drugs in breast and colon cancer preclinical models. Clin. Cancer Res. Off. J. Am. Assoc. Cancer Res. 2008, 14, 2502–2510. [Google Scholar] [CrossRef]
- Ramos-Lopez, O.; Riezu-Boj, J.I.; Milagro, F.I.; Martinez, J.A.; Project, M. Dopamine gene methylation patterns are associated with obesity markers and carbohydrate intake. Brain Behav. 2018, 8, e01017. [Google Scholar] [CrossRef]
- De Maio, G.; Rengucci, C.; Zoli, W.; Calistri, D. Circulating and stool nucleic acid analysis for colorectal cancer diagnosis. World J. Gastroenterol. 2014, 20, 957–967. [Google Scholar] [CrossRef]
- Lynch, M.L.; Brand, M.I. Preoperative evaluation and oncologic principles of colon cancer surgery. Clin. Colon Rectal Surg. 2005, 18, 163–173. [Google Scholar] [CrossRef] [PubMed]
- Yu, M.; Carter, K.T.; Makar, K.W.; Vickers, K.; Ulrich, C.M.; Schoen, R.E.; Brenner, D.; Markowitz, S.D.; Grady, W.M. MethyLight droplet digital PCR for detection and absolute quantification of infrequently methylated alleles. Epigenetics 2015, 10, 803–809. [Google Scholar] [CrossRef] [PubMed]
- Baylin, S.B. DNA methylation and gene silencing in cancer. Nat. Clin. Pract. Oncol. 2005, 2, S4–S11. [Google Scholar] [CrossRef] [PubMed]
- Jones, P.A. Functions of DNA methylation: Islands, start sites, gene bodies and beyond. Nat. Rev. Genet. 2012, 13, 484–492. [Google Scholar] [CrossRef] [PubMed]
- Antonelli, M.; Fadda, A.; Loi, E.; Moi, L.; Zavattari, C.; Sulas, P.; Gentilini, D.; Cameli, C.; Bacchelli, E.; Badiali, M.; et al. Integrated DNA methylation analysis identifies topographical and tumoral biomarkers in pilocytic astrocytomas. Oncotarget 2018, 9, 13807–13821. [Google Scholar] [CrossRef] [PubMed]
- Sproul, D.; Nestor, C.; Culley, J.; Dickson, J.H.; Dixon, J.M.; Harrison, D.J.; Meehan, R.R.; Sims, A.H.; Ramsahoye, B.H. Transcriptionally repressed genes become aberrantly methylated and distinguish tumors of different lineages in breast cancer. Proc. Natl. Acad. Sci. USA 2011, 108, 4364–4369. [Google Scholar] [CrossRef]
- Moarii, M.; Boeva, V.; Vert, J.P.; Reyal, F. Changes in correlation between promoter methylation and gene expression in cancer. BMC Genom. 2015, 16, 873. [Google Scholar] [CrossRef]
- Loi, E.; Moi, L.; Fadda, A.; Satta, G.; Zucca, M.; Sanna, S.; Amini Nia, S.; Cabras, G.; Padoan, M.; Magnani, C.; et al. Methylation alteration of SHANK1 as a predictive, diagnostic and prognostic biomarker for chronic lymphocytic leukemia. Oncotarget 2019, 10, 4987–5002. [Google Scholar] [CrossRef]
- Sproul, D.; Meehan, R.R. Genomic insights into cancer-associated aberrant CpG island hypermethylation. Brief. Funct. Genom. 2013, 12, 174–190. [Google Scholar] [CrossRef]
- Sims, D.; Sudbery, I.; Ilott, N.E.; Heger, A.; Ponting, C.P. Sequencing depth and coverage: Key considerations in genomic analyses. Nat. Rev. Genet. 2014, 15, 121–132. [Google Scholar] [CrossRef]
- Oka, H.; Jin, L.; Reubi, J.C.; Qian, X.; Scheithauer, B.W.; Fujii, K.; Kameya, T.; Lloyd, R.V. Pituitary adenylate-cyclase-activating polypeptide (PACAP) binding sites and PACAP/vasoactive intestinal polypeptide receptor expression in human pituitary adenomas. Am. J. Pathol. 1998, 153, 1787–1796. [Google Scholar] [CrossRef]
- Fernandez-Martinez, A.B.; Carmena, M.J.; Arenas, M.I.; Bajo, A.M.; Prieto, J.C.; Sanchez-Chapado, M. Overexpression of vasoactive intestinal peptide receptors and cyclooxygenase-2 in human prostate cancer. Analysis of potential prognostic relevance. Histol. Histopathol. 2012, 27, 1093–1101. [Google Scholar] [CrossRef] [PubMed]
- Liu, S.; Zeng, Y.; Li, Y.; Guo, W.; Liu, J.; Ouyang, N. VPAC1 overexpression is associated with poor differentiation in colon cancer. Tumour Biol. J. Int. Soc. Oncodevelopmental Biol. Med. 2014, 35, 6397–6404. [Google Scholar] [CrossRef] [PubMed]
- Sanz-Pamplona, R.; Berenguer, A.; Cordero, D.; Mollevi, D.G.; Crous-Bou, M.; Sole, X.; Pare-Brunet, L.; Guino, E.; Salazar, R.; Santos, C.; et al. Aberrant gene expression in mucosa adjacent to tumor reveals a molecular crosstalk in colon cancer. Mol. Cancer 2014, 13, 46. [Google Scholar] [CrossRef] [PubMed]
- Paternain, L.; Batlle, M.A.; De la Garza, A.L.; Milagro, F.I.; Martinez, J.A.; Campion, J. Transcriptomic and epigenetic changes in the hypothalamus are involved in an increased susceptibility to a high-fat-sucrose diet in prenatally stressed female rats. Neuroendocrinology 2012, 96, 249–260. [Google Scholar] [CrossRef]
- Vucetic, Z.; Carlin, J.L.; Totoki, K.; Reyes, T.M. Epigenetic dysregulation of the dopamine system in diet-induced obesity. J. Neurochem. 2012, 120, 891–898. [Google Scholar] [CrossRef]
- Arpon, A.; Milagro, F.I.; Laja, A.; Segura, V.; de Pipaon, M.S.; Riezu-Boj, J.I.; Alfredo Martinez, J. Methylation changes and pathways affected in preterm birth: A role for SLC6A3 in neurodevelopment. Epigenomics 2018, 10, 91–103. [Google Scholar] [CrossRef]
- Tarrado-Castellarnau, M.; de Atauri, P.; Cascante, M. Oncogenic regulation of tumor metabolic reprogramming. Oncotarget 2016, 7, 62726–62753. [Google Scholar] [CrossRef]
- Widschwendter, M.; Fiegl, H.; Egle, D.; Mueller-Holzner, E.; Spizzo, G.; Marth, C.; Weisenberger, D.J.; Campan, M.; Young, J.; Jacobs, I.; et al. Epigenetic stem cell signature in cancer. Nat. Genet. 2007, 39, 157–158. [Google Scholar] [CrossRef]
- Gal-Yam, E.N.; Saito, Y.; Egger, G.; Jones, P.A. Cancer epigenetics: Modifications, screening, and therapy. Annu. Rev. Med. 2008, 59, 267–280. [Google Scholar] [CrossRef]
- Eads, C.A.; Danenberg, K.D.; Kawakami, K.; Saltz, L.B.; Blake, C.; Shibata, D.; Danenberg, P.V.; Laird, P.W. MethyLight: A high-throughput assay to measure DNA methylation. Nucleic Acids Res. 2000, 28, E32. [Google Scholar] [CrossRef] [PubMed]






| CGI | Gene | Δβ Discovery Set | AUC Discovery Set | Δβ Validation Set | AUC Validation Set |
|---|---|---|---|---|---|
| chr2:182321761-182323029 | ITGA4 | 0.37 | 1.00 | 0.35 | 0.96 |
| chr4:156129168-156130209 | NPY2R | 0.27 | 1.00 | 0.3 | 0.97 |
| chr4:157997166-157997686 | GLRB | 0.30 | 1.00 | 0.36 | 0.97 |
| chr4:107956555-107957453 | DKK2 | 0.32 | 0.97 | 0.33 | 0.97 |
| chr5:136834016-136835146 | SPOCK1 | 0.29 | 1.00 | 0.33 | 0.98 |
| chr5:140864527-140864748 | PCDHGA4 | 0.35 | 1.00 | 0.38 | 0.97 |
| chr5:1444678-1446648 | SLC6A3 | 0.26 | 1.00 | 0.29 | 0.98 |
| chr5:178016558-178017670 | COL23A1 | 0.29 | 0.98 | 0.32 | 0.96 |
| chr5:159399004-159399928 | ADRA1B | 0.25 | 0.97 | 0.31 | 0.97 |
| chr6:159589636-159591319 | FNDC1 | 0.33 | 1.00 | 0.33 | 0.97 |
| chr6:73330942-73333109 | KCNQ5 | 0.36 | 1.00 | 0.33 | 0.96 |
| chr7:28448716-28450028 | CREB5 | 0.27 | 1.00 | 0.27 | 0.96 |
| chr7:158936507-158938492 | VIPR2 | 0.33 | 0.96 | 0.35 | 0.96 |
| chr8:97505747-97507607 | SDC2 | 0.29 | 1.00 | 0.36 | 0.96 |
| chr8:75896528-75897116 | CRISPLD1 | 0.21 | 0.96 | 0.27 | 0.97 |
| chr10:15761423-15762101 | ITGA8 | 0.30 | 0.96 | 0.35 | 0.97 |
| chr11:105481126-105481422 | GRIA4 | 0.40 | 1.00 | 0.41 | 0.96 |
| chr11:133938850-133939681 | JAM3 | 0.30 | 1.00 | 0.29 | 0.97 |
| chr12:117798076-117799448 | NOS1 | 0.25 | 0.97 | 0.27 | 0.96 |
| chr13:110958891-110960590 | COL4A1 | 0.33 | 0.96 | 0.37 | 0.98 |
| chr16:23846941-23848102 | PRKCB | 0.25 | 0.98 | 0.34 | 0.97 |
| chr19:48918115-48918340 | GRIN2D | 0.33 | 1.00 | 0.38 | 0.96 |
| chr21:28337856-28340237 | ADAMTS5 | 0.29 | 1.00 | 0.31 | 0.99 |
| chr22:33453892-33454505 | SYN3 | 0.28 | 0.97 | 0.32 | 0.97 |
| GRIA4 | VIPR2 | |||||
|---|---|---|---|---|---|---|
| Tumour Tissue Sample | Stool Sample MethyLight | Stool Sample ddPCR | Tumour Tissue Sample | Stool Sample MethyLight | Stool Sample ddPCR | |
| CRC_2 | Hyper methylated | Methylated | Methylated | Hyper methylated | Methylated | Methylated |
| CRC_3 | Hyper methylated | Methylated | Methylated | Hyper methylated | Methylated | Methylated |
| CRC_8 | Undetectable methylation | Undetectable methylation | Methylated | Undetectable methylation | Methylated | Methylated |
| CRC_12 | Undetectable methylation | Undetectable methylation | Methylated | Hyper methylated | Undetectable methylation | Methylated |
| CRC_14 | Not differentially methylated | Undetectable methylation | Methylated | Hyper methylated | Methylated | Methylated |
| CRC_19 | Hyper methylated | Methylated | Methylated | Not differentially methylated | Methylated | Methylated |
| CRC_21 | Hyper methylated | Undetectable methylation | Undetectable methylation | Hyper methylated | Undetectable methylation | Undetectable methylation |
| CRC_29 | Not differentially methylated | Methylated | Methylated | Hyper methylated | Methylated | Methylated |
| CRC_33 | Hyper methylated | Undetectable methylation | Methylated | Hyper methylated | Methylated | Methylated |
| CRC_34 | Hyper methylated | Undetectable methylation | Methylated | Not differentially methylated | Undetectable methylation | Methylated |
| Sample ID | Tumour Location | Stage at Diagnosis | Mucinous Histology | Lymphovascular Invasion | Grade | Ulcerative Neoplasia |
|---|---|---|---|---|---|---|
| CRC_2 | Left colon | I | NO | NO | G2 | NO |
| CRC_3 | Right colon | III | NO | YES | G2 | YES |
| CRC_8 | Rectum | IV | YES | YES | G2 | NO |
| CRC_12 | Right colon | 0 | NO | YES | G1 | NO |
| CRC_14 | Rectum | III | YES | YES | G3 | NO |
| CRC_19 | Right colon | II | YES | YES | G2 | YES |
| CRC_21 | Transversal colon | II | NO | YES | G2 | NO |
| CRC_29 | Right colon | II | NO | YES | G2 | NA |
| CRC_33 | Right colon | IV | NO | YES | G2 | NA |
| CRC_34 | Rectum | III | NO | YES | G2 | YES |
| Target | Forward Primer (5′–3′) | Reverse Primer (5′–3′) | Probe (5′–3′) |
|---|---|---|---|
| GRIA4 | GGGTTGGTGTAGGTTTGTT | CTCCCCCCTTACTTTCTCACATACACACAA | AACGCCGCGACCGCCACAC |
| VIPR2 | TCGGTTTCGAGTAGAGAGAATTGG | AAACAAATACAAACGACCGCAAAA | CCCTTCCGAACGCACACCTAACCC |
| Alu | GGTTAGGTATAGTGGTTTATATTTGTAATTTTAGAT | ATTAACTAAACTAATCTTAAACTCCTAACCTCA | CCTACCTTAACCTCCC |
| Gene | Forward Primer (5′–3′) | Reverse Primer (5′–3′) | |
|---|---|---|---|
| CRC gene expression assay | GRIA4 | TCATGTGGACAACATTGAGACA | ATCATAGAGTCCAAAAATGGCAAA |
| VIPR2 | GTCTCTTGCAACAGGAAGCA | TCTCAGGATGAAGGACAGGAA | |
| SLC6A3 | CCATACTGAAAGGTGTGGGCT | AGAAGAGATAGTGCAGCGCC | |
| SPOCK1 | AGGTAAAATGCAGCCCTCACA | TTCCCCTTCTTTTGCCTGGG | |
| TFRC | GGCACAGCTCTCCTATTGAAAC | CAAAGTCTCCAGCACTCCAACT |
© 2020 by the authors. Licensee MDPI, Basel, Switzerland. This article is an open access article distributed under the terms and conditions of the Creative Commons Attribution (CC BY) license (http://creativecommons.org/licenses/by/4.0/).
Share and Cite
Vega-Benedetti, A.F.; Loi, E.; Moi, L.; Orrù, S.; Ziranu, P.; Pretta, A.; Lai, E.; Puzzoni, M.; Ciccone, L.; Casadei-Gardini, A.; et al. Colorectal Cancer Early Detection in Stool Samples Tracing CpG Islands Methylation Alterations Affecting Gene Expression. Int. J. Mol. Sci. 2020, 21, 4494. https://doi.org/10.3390/ijms21124494
Vega-Benedetti AF, Loi E, Moi L, Orrù S, Ziranu P, Pretta A, Lai E, Puzzoni M, Ciccone L, Casadei-Gardini A, et al. Colorectal Cancer Early Detection in Stool Samples Tracing CpG Islands Methylation Alterations Affecting Gene Expression. International Journal of Molecular Sciences. 2020; 21(12):4494. https://doi.org/10.3390/ijms21124494
Chicago/Turabian StyleVega-Benedetti, Ana Florencia, Eleonora Loi, Loredana Moi, Sandra Orrù, Pina Ziranu, Andrea Pretta, Eleonora Lai, Marco Puzzoni, Letizia Ciccone, Andrea Casadei-Gardini, and et al. 2020. "Colorectal Cancer Early Detection in Stool Samples Tracing CpG Islands Methylation Alterations Affecting Gene Expression" International Journal of Molecular Sciences 21, no. 12: 4494. https://doi.org/10.3390/ijms21124494
APA StyleVega-Benedetti, A. F., Loi, E., Moi, L., Orrù, S., Ziranu, P., Pretta, A., Lai, E., Puzzoni, M., Ciccone, L., Casadei-Gardini, A., Cabras, F., Fortunato, F., Restivo, A., Zorcolo, L., Scartozzi, M., & Zavattari, P. (2020). Colorectal Cancer Early Detection in Stool Samples Tracing CpG Islands Methylation Alterations Affecting Gene Expression. International Journal of Molecular Sciences, 21(12), 4494. https://doi.org/10.3390/ijms21124494

